当前位置: 首页 > 期刊 > 《中国医学论坛报》 > 2006年第30期
编号:11133537
影像学检查助眼眶神经鞘瘤诊治
http://www.100md.com 2006年8月10日 《中国医学论坛报》 2006年第30期
影像学检查助眼眶神经鞘瘤诊治

     北京武警总医院的肖利华等研究发现,现代影像学检查方法,尤其是磁共振(MRI)可为眼眶神经鞘瘤的术前定性、定位诊断以及对手术入路的选择,提供可靠依据。

    研究人员回顾性分析了1999年8月至2003年12月该院收治的38例眼眶神经鞘瘤患者(男15例、女23例)的情况。患者年龄9~65岁(平均22岁),平均随访23个月。

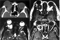
    结果发现,接受标准化A/B超检查者37例,CT扫描38例(图1),MRI成像33例(图2)。手术入路选择有外侧开眶(包括改良外侧开眶)26例,内外联合开眶2例,前路开眶4例,内侧开眶2例。其中肿瘤囊内切除21例,肿瘤整体切除15例,部分切除联合术后放射治疗2例。手术并发症包括视力丧失1例,上睑下垂2例,眼球运动障碍2例。(中华眼科杂志 2006,42:585)

    研究提示:神经鞘瘤术前正确诊断主要依赖影像学检查。肿瘤的病理学分型与MRI的信号可能有一定的关系。T2WI上肿瘤低信号较多时,病理多见实体细胞,而T2WI上肿瘤的高信号较多时,镜下为疏松黏液组织。

    图1 右眶神经鞘瘤患者水平CT扫描图像 图像显示右眶内肿瘤呈S形,并蔓延至眶尖(L区)

    图2 眼眶神经鞘瘤患者MRI检查结果 图2a为T1WI,显示右眼球突出,球后类圆形占位病变(T区)呈中信号(与眼外肌信号相同)。图2b为T2WI,显示肿瘤周围呈中高信号(细胞成分),中部两个高信号区(液化腔)高于玻璃体信号(箭头)。图2c为Gd-DTPA(二乙烯三胺五乙酸)增强加脂肪抑制扫描结果,显示病变周围增强,中部囊腔不增强, 百拇医药