当前位置: 首页 > 期刊 > 《中国医学论坛报》 > 2006年第33期
编号:11160858
发热、胸痛、呼吸困难
http://www.100md.com 2006年9月1日 《中国医学论坛报》 2006年第33期
发热、胸痛、呼吸困难

     病历摘要

    患者,男性,55岁,因“发热、胸痛、呼吸困难1个月”入院。

    患者1个月前无明显诱因出现发热,为中低度热,最高体温38.3℃,盗汗,无畏寒、寒战。病程初期有一过性前胸、后背及剑突下针刺样剧痛,深吸气时加重,严重时不敢大声说话。数日后疼痛缓解,逐渐出现呼吸困难,呼吸困难进行性加重,步行200米或上3层楼即需要停下休息。无咳嗽、咳痰、咯血,体重无明显下降。

    诊治经过

    当发热、胸痛和呼吸困难3个症状同时存在时,胸腔内病变(肺脏、心脏和大血管)将是下一步检查的重点。最初胸痛的性质是针刺样锐痛,且于深吸气时加重,胸痛与呼吸困难有明确的先后关系,疼痛缓解后呼吸困难趋于明显。从症状上看,考虑胸膜或心包病变的可能性最大。

    常见容易导致发热的疾病可分为感染、肿瘤和自身免疫性疾病3大类,详细询问病史对于发热的诊断常有重要意义。对于所有发热的患者,有必要详细了解既往健康状况、生活习惯、职业、旅游史、特殊疾病接触史以及先前治疗经过等资料。
, http://www.100md.com
    患者既往有高血压病,未服药控制,最高血压达165/95 mmHg。其职业为机械工程师,平时工作压力很大,吸烟20~30支/天。否认饲养宠物。发病前半年内一直生活在北京,未去过外地。否认外伤史和结核接触史。

    入院前2周曾在外院查血常规及胸片“正常”,接受青霉素及头孢呋辛静脉滴注治疗1周无效。

    根据上述资料,我们可进一步缩小鉴别诊断的范围。发热、胸痛和呼吸困难是社区获得性肺炎的常见症状,但患者起病较隐袭,无咳嗽、咳痰,血常规和胸片检查阴性,抗生素治疗无效,该诊断可基本除外。患者除高血压病外,无其他基础疾病,下呼吸道各种机会性感染的可能性也很小。吸烟是肺癌的重要危险因素,常规胸片检查并不能检出所有的肺癌病变,需重点排除。但呼吸困难在肺癌并不多见,除非是出现以下情况:弥漫性肺泡癌,晚期肿瘤压迫大气道或导致大量胸腔积液。患者一般情况良好,临床上不像晚期肿瘤表现,且胸痛为一过性,也不符合肿瘤疼痛的特点。详细的体格检查将会有更多的发现。
, http://www.100md.com
    查体:T 38.2℃,P 115次/分钟,R 28次/分钟,BP 145/85 mmHg。患者可平卧,浅表淋巴结未及,无颈静脉怒张。心界向双侧扩大,心音遥远,未闻及病理性杂音,奇脉(+)。双肺呼吸音清。腹软,肝脾肋下未触及,无压痛、反跳痛,移动性浊音(-)。下肢无水肿。血氧饱和度为97%。肘静脉压为20 cmH2O。

    查体所见提示心脏病变;心界扩大,心音遥远,奇脉,肘静脉压升高,提示心包积液可能性较大。伴有发热的心脏疾病还应包括感染性心内膜炎,但该病很少导致胸痛,可有体循环栓塞表现,查体往往有心脏杂音,因此可能性不大。肺栓塞可出现发热、胸痛和呼吸困难,但患者无明确血栓形成的危险因素,无下肢深静脉血栓的表现,且肺栓塞若导致心界扩大,心音遥远则需考虑右心功能不全。但患者无体循环淤血表现,血流动力学尚稳定,因此肺栓塞可能性也不大。常规检查之外重点是行超声心动图检查。

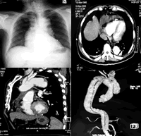
    入院检查:血白细胞(WBC) 6.85×109/L,中性 70%,血红蛋白110 g/L,血小板269×109/L。血沉(ESR)95 mm/第1h末(正常值<15 mm/第1h末),肝肾功能正常,白蛋白(ALB)4.5 g/dl。心电图正常。胸片:纵隔增宽,心影增大,双肺野未见明显异常(图1)。超声心动图(UCG):升主动脉增宽,主动脉瓣轻度关闭不全,大量心包积液,心脏各腔室大小正常。
, http://www.100md.com
    上述检查表明心包积液的诊断明确,但心包积液的病因是什么?国外一项研究纳入204例急性心包积液患者,其中107例(52%)获得明确诊断,病因包括急性非特异性心包炎(48%)、感染(16%)、恶性肿瘤(15%)、自身免疫性疾病(10%)、代谢性疾病(10%,主要是尿毒症和甲状腺功能低减)和肾功能衰竭(2%),其他较少见的病因还包括心肌梗死、药物和创伤等。我国结核病的发病率较高,国内学者报告一组心包积液病例106例,其中66例为结核(66%)。结核性心包炎若不能及时诊断,常常发展至缩窄性心包炎,对患者心功能的影响很大。急性心包炎的病因很多,目前资料尚不足以明确诊断,需要进一步的检查。

    多次血细菌培养(-),抗结核抗体(TB-Ab)(±),结核菌素皮试(PPD)(++),甲状腺功能、肌酸激酶及其同功酶、肌钙蛋白I(cTnI)均正常。抗核抗体、抗可提取性核抗原抗体、抗双链DNA抗体、抗中性粒细胞胞浆抗体均阴性;抗链球菌溶血素O(ASO)正常;神经元特异性烯醇化酶、组织特异性抗原、癌胚抗原(CEA)及糖抗原(CA199)均正常。
, 百拇医药
    病史不支持药物或创伤引起心包积液的可能。患者长期吸烟,有高血压病史,且未接受正规治疗,有冠心病的危险因素,但胸痛不典型,病程长,结合心电图和UCG可排除急性心肌梗死。患者并非自身免疫性疾病的好发人群,无口腔溃疡、皮疹、关节炎等其他临床表现,自身抗体检查均阴性,因此自身免疫性疾病基本可以除外。实验室检查已经除外了尿毒症和甲状腺功能低减。

    结合发热和心包积液的表现,应重点考虑急性非特异性心包炎、感染性疾病(尤其是结核)和恶性肿瘤。一项纳入232例患者的前瞻性研究表明,当急性心包炎的临床症状持续3周以上不缓解时,诊断性心包穿刺可能对患者有意义。2004年,欧洲心脏病学会在关于心包穿刺指征的讨论中,强调了心包穿刺对于化脓性心包炎、结核性心包炎和肿瘤性心包炎诊断的重要意义(ⅡA级推荐)。为了获取更多的资料以利于诊断,也为了减轻症状,有必要行心包穿刺检查。

    入院后第5日患者在超声引导下行心包穿刺置管引流术,共引流血性心包积液约450 ml,细胞总数4.93 ×105/mm3,WBC 380/mm3,单核76%;总蛋白 5.2 g/dl,ALB 2.62 g/dl,乳酸脱氢酶1654 U/L,葡萄糖 140 mg/dl;腺苷脱氨酶(ADA)21.9 U/L,革兰染色、抗酸染色及细菌培养(-)。病理检查:心包积液外观血性,镜下可见淋巴细胞、中性粒细胞及大量红细胞,未见瘤细胞。
, 百拇医药
    穿刺证实心包积液为血性,一项对96例血性心包积液病例的分析显示,常见的病因包括心脏手术后(31%)、肿瘤(26%)、急性非特异性心包炎(10%)和主动脉夹层(4%)。急性非特异性心包炎目前尚不能除外,该病多见于青壮年,28%的病例起病前1~2周有上呼吸道感染病史,发热多为高热,可有ASO升高,心包积液少至中量,典型心包积液外观草绿色多见,亦可有血性心包积液,该病预后良好,但属于排除性诊断,目前下结论还为时过早。

    多数结核性心包炎表现为血性心包积液。本例患者长期低热、盗汗,血WBC正常,ESR快,TB-Ab可疑及PPD阳性,心包积液中WBC升高且以单核为主,头孢类抗生素治疗无效,因此结核不能除外。但患者没有结核接触史,胸片未发现结核病灶,ADA正常,心包积液多次抗酸染色均阴性,因此结核目前尚不能诊断,应做心包积液结核杆菌快速培养。同时应行胸腹CT检查,重点排除肺结核、深部淋巴结核及其他脏器结核。如上述检查仍不能明确,则考虑心包活检。

    恶性肿瘤出现血性心包积液多见于肺癌、乳腺癌、淋巴瘤及间皮瘤。本例患者一般情况尚可,消耗症状不明显,查体无肿瘤线索,胸片未见肿瘤病灶,血清肿瘤标志物正常,心包积液多次找瘤细胞阴性。因此不支持恶性肿瘤,需进一步行影像学检查排除恶性病变。
, 百拇医药
    主动脉夹层破裂是血性心包积液较少见的病因。本例患者为中年男性,有吸烟史,长期高血压未控制,有主动脉夹层的危险因素。病初曾有剧烈胸背痛,临床医师容易将该症状简单归于急性心包炎所致而忽略仔细询问疼痛特点。经反复询问,患者回忆起最初疼痛性质为刀割或撕裂样,从胸部向下腰背部放射,约数小时后才表现为与呼吸相关。少数主动脉夹层病例可有发热,可能与血管内膜撕裂,内生性致热原暴露以及血块吸收热等因素有关。考虑到主动脉夹层后立即测双上肢血压,右上肢血压125/75 mmHg,左上肢血压105/65 mmHg。病史和查体已初步提供的一些信息提示主动脉夹层的诊断,下一步应立即行增强CT检查。

    患者于入院后第10日行胸腹部增强CT(图2~4)发现,主动脉夹层自升主动脉至肾动脉水平广泛撕裂(DebakeyⅠ型),升主动脉血肿。患者立即被转入心外科病房,于入院后第12日行升主动脉及部分主动脉弓置换术,手术顺利,术中见主动脉夹层破裂导致心包内大量陈旧性血块,主动脉假腔内大量机化血栓,假腔破口在右无名动脉和左颈总动脉开口之间。患者术后恢复良好,体温降至正常。
, 百拇医药
    复查UCG:心包积液及主动脉瓣反流消失。术中心包活检病理报告:血管纤维组织慢性炎症伴钙化出血,未见肿瘤组织及干酪样坏死。

    至此,诊断明确,这是一例罕见的以发热、心包积液为主要表现的主动脉夹层病例,极易误诊,而一旦误诊,后果可能非常严重。该例患者的心包积液可能与相邻的主动脉夹层少量渗血,刺激心包渗出有关,这类患者可以长期无明显症状,心包积血逐渐机化,最终发展为缩窄性心包炎。

    由于UCG对升主动脉远端主动脉夹层的诊断敏感性不高,因此我们建议,对于心包积液患者,若存在高血压等危险因素,有胸背痛的症状及双侧脉搏不对称等体征时应行CT检查以除外主动脉夹层的可能。

    点 评

    由主动脉夹层引起心包积液的病例报告不多,该患者以心包积液为首发表现,超声心动图没有主动脉夹层的提示,如何根据体征考虑到该病是很有意思的过程。及时诊断和手术可使患者得以康复。(刘晓红)

    图1 胸片可见纵隔增宽、心影增大

    图2 胸部增强CT可见降主动脉夹层形成、心包积液

    图3 增强CT矢状面可见升主动脉严重迂曲,夹层形成

    图4 CT重建后可见升主动脉至肾动脉水平广泛夹层形成, 百拇医药