当前位置: 首页 > 期刊 > 《中国医学论坛报》 > 2006年第42期
编号:11276726
血压升高、性早熟、肾上腺占位
http://www.100md.com 2006年11月9日 《中国医学论坛报》 2006年第42期
血压升高、性早熟、肾上腺占位

     病历摘要

    患者,社会表型为男性,12岁,学生,因“血压升高10个月,左肾上腺切除术后8个月”入院。

    患儿于10个月前体检时发现血压升高,达150/100 mmHg左右,无心慌、心悸、头痛、头晕及多汗乏力,无下肢软瘫等不适,就诊医院建议观察,其后检测血压持续高于正常,8个月前在当地医院行24小时动态血压检查示最高190/132 mmHg,血、尿皮质醇在正常范围,促皮质激素稍高,尿游离肾上腺素两次复查均高于正常,放射性核素标记的间碘苄胍(MIBG)显示“左侧肾上腺占位”,结合影像学结果,诊断为“双肾上腺皮质增生,嗜铬细胞瘤可能”,并行左肾上腺切除术,术后病理示肾上腺皮质结节状增生。但血压控制仍不理想,给予“氨氯地平(络活喜)5 mg qd”治疗后,患儿血压仍波动于130~140 mmHg /80~100 mmHg左右。1个月前,为进一步诊治来我院。

    患儿自患病以来,体重无明显变化,饮食、睡眠可,大小便正常。否认同种疾病家族史,否认其他遗传疾病家族史。出生体重4 kg,足月顺产。
, 百拇医药
    追问病史发现,患儿幼年时生长速度快于同龄人,6岁半左右开始有勃起、遗精等现象,身高、力气均明显超过同龄人,但近1年来,身高未再增加。

    入院查体 T 37°C,P 80次/分,R 20次/分,BP 140/100 mmHg,身高165 cm,体重69 kg,体重指数(BMI)25.3。神志清,营养中等,自主体位,查体合作。无多血质面容,无满月脸及水牛背,无向心性肥胖。全身皮肤黏膜无黄染及出血点,无水肿,全身浅表淋巴结未扪及。眼睑无水肿,巩膜无黄染,双侧瞳孔等大等圆,对光反射存在。咽后壁无充血,口唇不发绀。颈软,颈静脉无怒张,甲状腺未扪及。双侧乳腺无发育。双肺呼吸音清,未闻及罗音,心率85次/分,律齐,腹部平软,腹壁无紫纹,左侧腹部可见陈旧性手术瘢痕,肝脾肋缘下未触及,Murphy征(-),全腹无压痛及反跳痛。脊柱四肢无畸形,双下肢无水肿,双足背动脉搏动可及,皮温正常。腋毛阴毛浓密,阴茎约4 cm,睾丸约2 ml左右。神经系统检查,病理征未引出。

, 百拇医药     辅助检查

    外院术前检查:

    血清游离皮质醇(F)昼夜节律(8 am、4 pm、12 pm)存在,分别为10.6 μg/dl、12.5 μg/dl、4.2 μg/dl;尿F 68.1 μg/24h;1 mg 地塞米松抑制试验血F明显受抑制,降至2.4 μg/dl;8 am查促肾上腺皮质激素(ACTH) 87.1 pg/ml ↑;血醛固酮52.7 pg/ml(基础)、46.2 pg/ml(激发);尿醛固酮0.70 μg/24h;基础及激发血浆肾素活性(0.01 ng/ml/h和0.20 ng/ml/h)均明显降低;尿游离肾上腺素、去甲肾上腺素和多巴胺分别为86.3 μg/24h↑、55.4 μg/24h和381.9 μg/24h;次日复查分别为192.4 μg/24h↑、64.6 μg/ml和703.2 μg/24 h↑;性激素6项:泌乳素(PRL)10.15 ng/ml,促黄体生成素(LH)0.57 mIU/ml↓,卵泡刺激素(FSH)0.3 mIU/ml↓,雌二醇(E2)9.32 pg/ml,孕酮(P)1.53 ng/ml↑,睾酮(T)0.56 ng/ml。
, 百拇医药
    外院(术前)影像学检查:

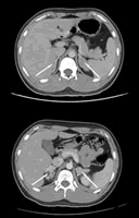
    垂体MRI示“垂体微腺瘤可能”;CT示“双肾上腺增生,左肾上腺腺瘤可能”(图1); MIBG示“左肾上腺嗜铬细胞瘤可能”。

    入院检查:

    血钾3.0 mmol/L↓,24小时尿:Na+ 166.8 mmol/L,K+ 28.44 mmol/L,Cl- 139.2 mmol/L;血F昼夜节律(8 am、4 pm、12 pm)分别为15.8 μg/dl、13.1 μg/dl、4.5 μg/dl;24小时尿F为38.2 μg;血ACTH 692 pg/ml↑,复查866 pg/ml↑;血醛固酮41.8 pg/ml(基础)、42.4 pg/ml(激发);尿醛固酮0.70 μg/24h↓;血浆肾素活性0.14 ng/ml/h(基础)、0.30 ng/ml/h(激发)↓;血管紧张素Ⅱ20.0 pg/ml(基础)、36.0 pg/ml(激发);血甲氧基去甲肾上腺素(NMN)67.5 pg/ml,血甲氧基肾上腺素(MN)38.0 pg/ml;尿游离肾上腺素3.82 μg/24h,尿游离去甲肾上腺素100.46 μg/ml,尿游离多巴胺375.36 μg/24h。
, 百拇医药
    性激素6项:PRL 27.45 ng/ml↑,LH<0.07 mIU/ml↓,FSH 0.05 mIU/ml↓,E2 33.0 pg/ml,P 1.0 ng/ml↑,T 4.2 ng/ml↑。

    肾上腺源性雄激素:硫酸脱氢异雄酮(DHEAS)120.9 μg/dl↑、雄烯二酮19.39 ng/ml↑、血清17羟孕酮(17-OHP)14.59 ng/ml↑。

    甲状腺功能:三碘甲状腺原氨酸(T3)1.58 nmol/L、甲状腺素(T4)83.19 nmol/L、游离三碘甲状腺原氨酸(FT3)4.75 pmol/L、游离甲状腺素(FT4)14.89 pmol/L、超敏促甲状腺素(sTSH)1.975 uIU/L;甲状腺微粒体抗体(MCAB)1.5%、甲状腺过氧化物酶抗体(TPOAb)1.0 U/ml、甲状腺球蛋白(TG)8.1 ng/ml、甲状旁腺素(PTH)114.4 pg/ml。

    入院影像学检查:
, http://www.100md.com
    肾上腺CT示“双侧肾上腺较前显著增生,右侧为著”(图2);垂体MRI示“垂体未见明显异常”。骨龄片显示骨骺基本愈合,约18岁左右。

    诊治经过

    患者,少年男性,查体发现血压升高。外院查皮质醇正常,ACTH稍高,尿儿茶酚胺类物质升高,CT示双侧肾上腺增生,疑为“嗜铬细胞瘤”。患儿接受“左侧肾上腺大部切除术”,术后血压控制不佳,8个月后来我院复查。追问病史,存在性早熟症状,查血钾低于正常,血尿皮质醇仍在正常范围,但ACTH较前显著升高,肾上腺源性的雄激素前体也明显高于正常,并呈低肾素活性;CT复查示双侧肾上腺较前明显增生,提示肾上腺皮质激素合成不足。

    临床诊断:先天性肾上腺增生 11β羟化酶缺陷症

    在获得知情同意后,对患儿及其父母的外周血DNA进行CYP11B1基因突变检测,发现R453Q及R454C的复合杂合突变,确认11β羟化酶缺陷症诊断成立。遂给予地塞米松0.375 mg qd治疗,停用降压药物。2个月后随访,患儿血压降至120/80 mmHg左右,复查血ACTH为30 pg/ml,17羟孕酮水平为1.29 pg/ml,均明显降低,血钾恢复正常。目前患者仍在随访中。
, http://www.100md.com
    讨 论

    drenal hyperplasia,CAH)是由基因突变导致肾上腺皮质激素生物合成过程中必需酶缺陷,从而使肾上腺皮质类固醇激素合成障碍引起的一组疾病,由常染色体隐性遗传。肾上腺皮质所合成的类固醇激素主要有糖皮质激素、盐皮质激素和雄性类固醇激素。在皮质激素合成过程中,由于不同的酶缺陷而致皮质醇合成不足,ACTH代偿性分泌增加,肾上腺皮质增生以弥补皮质激素合成的不足。影响依次为类固醇急性调节蛋白(StAR)缺陷所致的胆固醇转变为孕烯醇酮障碍、17α羟化酶/17,20碳链裂解酶、3β类固醇脱氢酶、21羟化酶、11β羟化酶等缺陷。除3β类固醇脱氢酶外,余均属于细胞色素氧化酶P450(CYP)。StAR蛋白、17α羟化酶/17,20碳链裂解酶及3β类固醇脱氢酶缺陷可导致3种肾上腺皮质激素合成障碍,而后两种酶缺陷只引起皮质醇和醛固酮合成减少,性激素合成相应增加。因此临床表现也各不相同。

    11羟化酶缺陷症是先天性肾上腺皮质增生症的少见类型,约占5%~8%。人类的11β羟化酶有两种同工酶,11β羟化酶(CYP11B1)和醛固酮合成酶(CYP11B2)。前者在盐皮质激素的合成通路中,将去氧皮质酮转化成皮质酮,再经过醛固酮合成酶的作用最终合成醛固酮;11β羟化酶的另外一项作用是将去氧皮质醇合成为皮质醇。因此,当该酶缺陷时,束状带糖皮质激素合成显著减少,ACTH反应性分泌增加,双侧肾上腺增生。同时,由于该酶功能受累,使得酶的底物及其前体物质积聚,盐皮质激素产生通路中去氧皮质酮大量增加,该物质具有强大的理糖作用和理盐作用,理糖作用足以代偿皮质醇的不足,患者极少出现肾上腺皮质功能危象的表现,但可有消瘦和色素沉着;理盐作用则导致水钠潴留,血容量增加,出现高血压、低血钾等表现;由于肾上腺束状带及球状带类固醇激素的合成均受到影响,因此过量的前体物质积聚,使肾上腺源性的性激素合成增加,雄激素产生过多,临床上表现为男性性早熟和女性男性化。
, 百拇医药
    本例患者特点为:少年起病,以血压升高为主要表现。血压最高达190/132 mmHg,查双侧肾上腺增生合并单侧结节,行单侧肾上腺大部切除后,血压控制不理想,且出现双侧肾上腺增生更加明显,ACTH显著升高,提示存在肾上腺原发的皮质醇合成障碍。患者还存在低血钾但盐皮质激素合成及肾素活性受抑。追问病史,患者有性早熟症状及体征,实验室检查发现肾上腺源性雄激素合成增加,符合11β羟化酶缺陷症诊断,并经基因诊断确认。

    在鉴别诊断上,少年起病的高血压应与其他先天性疾患如Liddle综合征等,以及其他原因的继发性高血压如嗜铬细胞瘤、原发性醛固酮增多症、Cushing综合征等进行鉴别。Liddle综合征也可出现潴钠性的高血压、低血钾,且肾素活性明显受抑,但肾上腺影像学检查应无异常,且无性早熟征象。各种继发性高血压也有各自的特点,如嗜铬细胞瘤常有“头痛、心悸、多汗”三联征,切除肿瘤后血压常可恢复正常,且血MN和NMN显著高于正常可作为特异性诊断指标。而该患儿亦不具备原醛和Cushing综合征的临床特点,各项辅助检查也相应除外上述疾患。
, 百拇医药
    与其他先天性肾上腺增生症的治疗类似,11β羟化酶缺陷症的治疗也以糖皮质激素替代为主,通过纠正肾上腺皮质功能,抑制ACTH分泌及垂体肾上腺轴的不良反馈,达到抑制盐皮质激素分泌,使高血压和低血钾的临床表现得以控制,并进一步达到纠正肾上腺源性雄激素合成紊乱的目的。

    对于儿童或青少年患者,建议使用对生长发育影响较小的短效糖皮质激素如氢化考的松等。本例患儿骨骺已基本愈合,高血压低血钾的症状较重,故给予地塞米松0.375 mg qd治疗,并密切随访。本例患儿还存在睾丸偏小,与阴茎不成比例的情况。在纠正皮质激素合成紊乱后,建议进一步评价睾丸的雄激素合成功能,必要时给予FSH促进生精细胞的发育,以期保留其生育功能。

    点 评

    先天性肾上腺皮质增生症虽然不常见,但其危害不容忽视。在临床上,该病常常表现出高血压,雄性激素分泌增多等症状,对于出现这类症状的青少年患者,一定要高度警惕,以避免不必要的手术或不恰当的治疗,给患者带来伤害。(王卫庆)

    图1 肾上腺CT(术前):双肾上腺增生,左肾上腺腺瘤可能

    图2 肾上腺CT(术后):双侧肾上腺较前显著增生,右侧为著, http://www.100md.com