当前位置: 首页 > 期刊 > 《中国医学论坛报》 > 2006年第47期
编号:11318923
经支气管镜肺减容术
http://www.100md.com 2006年12月14日 《中国医学论坛报》 2006年第47期
经支气管镜肺减容术
经支气管镜肺减容术

     美国国立卫生研究院(NIH)近年公布了一项多中心、随机对照的全国肺气肿治疗临床研究(NETT)结果:开胸肺减容手术治疗重度肺气肿较常规治疗能改善部分患者术后肺功能及生活质量,减少急性发作次数,延长生存期。但开胸手术本身有一定的风险性和死亡率,医疗费用高。近年国内外学者致力于研究微创方法做肺减容手术,如经纤维支气管镜放置单向活瓣栓子(endobronchial valve,EBV)治疗重度肺气肿,取得了不开胸做肺减容手术同样的近期效果。现将我们完成的1例经支气管镜置入单向活瓣肺减容术报告如下。

    临床资料

    患者女性,62岁。反复咳嗽、咯痰20余年,活动后气促5年,在家间断吸氧治疗1年余。因病情反复加重每年住院治疗或在急诊留观治疗1~3次。诊断慢性阻塞性肺疾病(COPD)、重度肺气肿、Ⅰ型呼吸衰竭。平素服用茶碱缓释片,规律吸入异丙托溴铵(爱喘乐),氟替卡松/沙美特罗(舒利迭),按需吸入万托林治疗。术前肺功能测定显示,一秒用力呼气容积(FEV1)=0.57 L,FEV1占预计值百分比(FEV1%pred)=30%,用力肺活量(FVC)=1.70 L,FVC%pred=70%,FEV1/FVC=35%,残气容积(RV)=3.05 L,RV%pred=162%,肺总量(TLC)=4.99 L,TLC%pred=106%,一氧化碳弥散量(DLCO)%=32.2%。动脉血气分析(FiO2=0.21)为:pH=7.36,PaO2=52 mmHg(1 mmHg=0.133 kPa),PaCO2=42 mmHg,SaO2=85%。6分钟步行距离335 m。
, 百拇医药
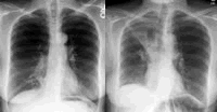
    术前在家中由医务人员指导下进行呼吸康复训练4周。术前胸部X线片及高分辨率CT(HRCT)显示:重度肺气肿改变,双肺上叶病变明显,膈肌平坦,肋间隙增宽(图1左)。

    手术过程为,静脉诱导麻醉下气管插管,经纤维支气管镜放入置入器,测量靶支气管右上叶3个段开口直径,选择合适口径的栓子(美国EMPHASYS公司研制产品)3枚,直视下放入靶支气管右上叶前、尖、后开口处各1枚,并观察到栓子工作状态正常:患者吸气时瓣膜口关闭,呼气时瓣膜开放(图2)。

    术后24 h拍胸部X线片复查,见右上肺不张形成(图1右)。患者自觉气促较术前有改善。出院后继续术前药物治疗。1个月后复查肺功能:FEV1=0.97 L,FEV1%pred=52%,FVC=2.05 L,FVC%pred=86%,FEV1/FVC=47%,RV=2.13 L,RV%pred=106%,TLC=4.23 L,TLC%pred=89%,DLCO%=32%,6分钟步行距离445 m。动脉血气分析(FiO2=0.21):pH=7.36,PaO2=58 mmHg,PaCO2=40 mmHg,SaO2%=87%。自觉生活质量改善,可胜任一般家务劳动。
, 百拇医药
    讨 论

    COPD是世界范围的严重多发性疾病,是继心血管疾病、癌症、脑血管疾病之后第4位引起死亡的重要疾病。世界卫生组织(WHO)近期公布资料表明,2000年有274万人死于COPD。由于大气污染和吸烟等危害因素,其发病率和死亡率在未来10年内将继续升高。1990年COPD造成的医疗经济负担为第12位,至2020年将上升为第5位。由于其严重危害人类健康,已引起世界各国政府及卫生机构的重视并加大防治的研究力度。

    目前除戒烟和吸氧外,尚无有效阻止COPD疾病发展和治疗的方法。药物治疗基本以控制症状为主。近年来,国内外对处于肺气肿晚期阶段的患者进行开胸肺减容手术,部分患者获得满意疗效。与常规治疗方法相比,开胸肺减容手术可以提高部分晚期患者的生存期及生活质量。但只有经过认真筛选的上肺叶病变为主及低运动耐量的患者术后效果好。

    近2~3年在美国、日本、澳大利亚及香港等国家和地区相继开展了经纤维支气管镜放置单向活瓣栓子技术。将特殊设计的单向活瓣栓子经纤维支气管镜直视下置于严重肺气肿患者相应的肺叶或肺段支气管中,拟减容的已基本失去功能的肺叶或肺段中残存的气体随着呼吸逐渐呼出,单向活瓣栓子阻止气体吸入,该肺叶/段逐渐塌陷。减少肺过度膨胀/气体陷闭和周围组织的膨胀不全,部分恢复胸壁弹性,有利于功能相对较好肺组织和膈肌发挥呼吸功能,从而达到不开胸做肺减容手术的临床疗效。据国外文献报道,其短期疗效与开胸做肺减容手术相似,但具有创伤小、操作安全易行、医疗费用低、设备简单、适应证宽、患者易接受等特点。另一突出优点是,一旦术后临床效果不理想,或有严重合并症,可以在术后任何时间经纤维支气管镜方便取出栓子,因而实用性和可操作性均佳。我们严格筛选的1例患者,接受EBV治疗后,肺功能有明显改善,生活质量提高,短期疗效明显,仍在继续随访中。, http://www.100md.com