当前位置: 首页 > 期刊 > 《中国医学论坛报》 > 2006年第48期
编号:11319876
间断咯血2例
http://www.100md.com 2006年12月21日 《中国医学论坛报》 2006年第48期
间断咯血2例

     病历摘要

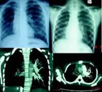
    病例1 患儿,女,8岁。因间断咯血9天入院。入院前9天患儿无诱因出现轻微咳嗽,最初咳灰白色痰一次,后转为咯血,为鲜红色,不含痰液,每次约0.3~0.5 ml,在3天内咯血5次,不伴发热、胸痛及呼吸困难。当地就诊X线胸片检查示:双肺纹理增多粗糙,可见部分间质改变(见图1)。入院前2天来院查血常规示白细胞5.5×109/L,中性粒细胞49.5%,血色素126 g/L,血小板260×109/L,C反应蛋白(CRP)小于8 mg/L。门诊以“咯血待查”收入院。患儿于发病前无外伤及异物吸入史,既往体健,无特殊病史,否认结核接触史。

    入院查体检 生命体征正常,精神反应好,呼吸平稳,无紫绀,皮肤黏膜未见出血点及淤斑,双上臂未见卡疤。双肺呼吸音略粗,对称,未闻及罗音。心腹查体未见异常。无杵状指趾。

    入院后查结核菌素纯蛋白衍生物(PPD)(-)。

    实验室检查 血、尿便常规,CRP、血沉(ESR)、支原体抗体、凝血功能、肝肾功能均正常。巨细胞病毒(CMV)-IgM(+);EB病毒、单纯疱疹病毒、柯萨奇病毒、埃可病毒IgM(-)。抗中性粒细胞胞浆抗体MPO、PR3:阴性。抗内皮细胞抗体强阳性。痰、支气管灌洗液细菌培养及结核培养阴性。痰涂片:可见大量含铁血黄素细胞。

    肺CT:右肺体积小,右肺血管略显纤细,右侧肺野渗出病变,右肺中下叶部分网格影和泡状空腔样改变,支气管壁增厚,支气管血管束部分扭曲。心脏彩超:未见异常。

    纤维支气管镜:各支气管开口位置正常,黏膜粗糙,血管行走粗重,黏膜呈花斑样改变,未见确切出血灶,无明显分泌物附着,各支通气好,未见异物及气管发育不良。

    病例2 患儿,女,10岁,因咯血5天入院。入院前5天患儿无诱因出现咯血,为鲜红色不含痰和食物,每天咳2~3次,每次约5~10 ml,无发热、胸痛及呼吸困难,当地医院就诊拍X线胸片示支气管炎,予抗炎止血治疗无好转,转至我院。发病前无外伤及异物吸入史。患儿4岁时诊断“先天性心脏病,动脉导管未闭(PDA)、房间隔缺损、肺动脉高压”,行动脉导管未闭介入治疗(伞堵)术,术后生长发育可,但剧烈活动不耐受。

    入院查体 生命体征正常,精神反应好,无紫绀, 呼吸平稳,皮肤黏膜未见出血点及淤斑,双上臂未见卡疤。双肺呼吸音略粗,对称,未闻及罗音 ......

您现在查看是摘要页,全文长 8961 字符