当前位置: 首页 > 期刊 > 《中国医学论坛报》 > 2007年第5期
编号:11348660
从病例看慢性房颤抗凝治疗和监测
http://www.100md.com 2007年2月1日 《中国医学论坛报》 2007年第5期
从病例看慢性房颤抗凝治疗和监测
从病例看慢性房颤抗凝治疗和监测

     大量流行病学调查和临床研究证实,心房颤动(房颤)是脑卒中的重要危险因素。国内近年来人群调查显示,房颤患者脑卒中患病率为12.95%~24.8%。

    房颤的血栓栓塞预防以抗凝治疗为主,尤其是高危房颤更应抗凝。目前,房颤血栓栓塞一级和二级预防的长期抗凝仍需选择华法林治疗,并进行长期监测。研究表明,与不抗凝相比,华法林治疗能使血栓栓塞事件发生率下降60%~70%。鉴于华法林的药理特性,在用药过程中需要注意很多问题,例如选择最佳适应证、平衡患者获益和风险、剂量调整、国际标准化比值(INR)异常升高的处理以及与抗血小板治疗的联合用药处理等。希望通过分析下列临床病例,促进临床中合理和规范应用华法林。

    如何选择房颤抗凝适应证?

    病例 患者男性,71岁,患原发性高血压13年,慢性持续性房颤3年,曾置入VVI起搏器。主要用药史:氨氯地平5 mg,qd。查体:血压140/95 mmHg,心率89次/分钟。超声心动图显示:左房内径41 mm,左室内径50 mm,左室射血分数(LVEF)66%。心电图显示为房颤。
, 百拇医药
    国际上有6项直接比较阿司匹林与调整剂量华法林的临床研究,经荟萃分析后发现华法林预防房颤血栓栓塞并发症明显优于阿司匹林。中国非瓣膜病房颤抗栓研究结果表明,对具有血栓栓塞高危因素(年龄≥75岁、高血压、糖尿病、心力衰竭和血栓栓塞病史等)的患者,华法林治疗明显优于阿司匹林。可见,房颤患者的危险分层对于合理选择抗栓治疗至关重要。

    关于房颤危险分层的两大权威指南为第七届美国胸科医师协会指南(ACCP7)和2006年ACC/AHA房颤治疗指南。根据ACCP7建议,具有一项危险因素(年龄≥75岁、脑卒中或TIA病史、既往血栓栓塞、中度或重度左心室功能受损或充血性心力衰竭、高血压、糖尿病)的房颤患者应抗凝。ACC/AHA2006版房颤治疗指南则建议,具有一项高危因素(既往卒中、TIA或栓塞、风湿性瓣膜病、人工瓣膜置换)或一项以上中等危险因素(年龄≥75岁、高血压、心力衰竭、LVEF≤35%、糖尿病)的房颤患者,应该服用华法林并监测INR。

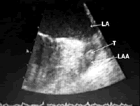
    本病例应选择阿司匹林还是华法林治疗呢?该患者仅有一项高血压符合华法林或阿司匹林治疗适应证,但是入院后超声心动图检查发现其左心房内有云雾状改变,进一步经食管超声证实其左心耳内可见不活动的低回声团块(图1),提示左心耳内血栓形成。此时必须口服华法林进行抗凝治疗并监测INR,同时应该对患者进行心脏超声随访。
, http://www.100md.com
    华法林剂量与监测及药物相互作用

    病例 患者女性,68岁,因“心悸、双下肢浮肿”入院,患风湿性心脏瓣膜病40年,阵发性房颤8年,最长持续时间24小时,应用胺碘酮及莫雷西嗪转复无效。否认甲亢、高血压、高血脂、糖尿病病史。用药史:阿司匹林160 mg/d,莫雷西嗪间断服用,因风湿性关节炎常年口服布洛芬。2001年7月头部CT检查发现腔隙性脑梗塞。

    治疗:入院后开始给予地高辛(0.125 mg,qd)、氢氯噻嗪(50 mg,bid),第4天水肿消退、体重稳定后给予美托洛尔(25 mg,bid)。应患者积极要求,决定药物复律,开始给予低分子量肝素皮下注射(0.4 ml,bid),同时开始口服华法林,起始剂量3 mg/d。第6天检测INR为1.323,将华法林剂量调整为3.75 mg/d。第7天开始口服胺碘酮(200 mg,tid)转复房颤。第11天出现静脉穿刺部位皮下瘀斑,复查INR为3.691,将华法林剂量降到2.25 mg/d,第14天胺碘酮剂量减为200 mg,bid。第17天测定INR为7.75,停用华法林,未特殊处理。第18天测定INR为8.902。后INR逐渐降到目标水平。治疗全过程无严重出血。
, http://www.100md.com
    口服不同剂量华法林后,大约2~7天出现抗凝作用。ACC/AHA指南建议华法林初始剂量为5~10 mg/d,但是亚洲人华法林肝脏代谢酶活性与西方人存在较大差异,因此该剂量应调低。中国非瓣膜病房颤抗栓研究中,华法林组的维持剂量大约为3 mg/d。通常不主张给予负荷剂量,建议平均初始剂量为3 mg/d,5~7天后INR可达到2.0。对老年、高出血危险等华法林敏感者,初始剂量应低于3 mg/d。本病例为了迅速达到抗凝,将低分子量肝素和华法林重叠,一般可联合应用4天以上,当INR达到目标范围持续2天以上时停用肝素。

    华法林最常见的副作用是出血,导致INR异常升高或出血的原因包括遗传因素、药物过量、合并用药、合并疾病、检验误差等,其中合并用药在心血管疾病患者中尤应引起重视。该患者服用的地高辛、胺碘酮和布洛芬与华法林合用均可引起INR升高,第6天INR为1.323,此时如果考虑到其合并用药情况,不应该急于增加华法林剂量,可能有助于避免INR升高和出血危险。

    冠心病合并房颤如何长期抗栓治疗?
, 百拇医药
    病例 患者男性,因“突发胸痛6小时”入院,患高血压20年,冠心病6年,慢性阵发性房颤6年,3年前患“脑梗死”。入院时心电图示房颤,40小时后恢复为窦性心律,但仍有阵发性发作,持续时间不等。心肌标志物:肌酸激酶同工酶(CK-MB) 7.5 ng/ml,肌红蛋白(MYO) 120 ng/ml,肌钙蛋白I(TnI) 1.67 ng/ml。心电图:V4~V6、Ⅰ、AVL导联ST段压低,T波低平或倒置(图2)。3日后行冠状动脉造影显示前降支近端90%狭窄,于前降支置入TAXUS支架2枚。

    本病例诊断为“冠心病,非ST段抬高心肌梗死”。由于患者进行冠脉介入治疗并置入药物洗脱支架,有双重抗血小板治疗指征。但是该患者曾患“脑梗死”,具有房颤血栓栓塞高危因素,需要长期抗凝治疗以预防血栓栓塞。在急性期皮下注射低分子量肝素可以兼顾急性冠脉综合征和房颤的抗凝需要,但对这类患者的长期治疗并没有太多研究证据。

    人们曾经试图利用双重抗血小板治疗来代替口服抗凝治疗,但是ACTVIV-W研究却表明,抗血小板治疗不能有效预防高危房颤患者的血栓栓塞事件。该研究对伴有至少一项危险因素(年龄大于75岁、高血压、既往卒中或TIA病史、左室射血分数低于45%、外周动脉疾病、糖尿病、年龄55~74岁合并冠心病)的房颤患者随访不到两年时,双重抗血小板治疗组终点事件发生率已明显高于华法林组(5.64%/年对3.93%/年,P=0.0002),研究提前终止。

    2006年ACC/AHA房颤治疗指南建议(Ⅱb/C级),房颤患者在经皮冠脉介入或血运重建术后可进行口服抗凝+阿司匹林(<100 mg/d)和(或)氯吡格雷(75 mg/d)联合治疗,但是该方法未经全面评价,会导致出血危险增加。氯吡格雷治疗时间为:裸金属支架置入者至少1个月,西罗莫司支架置入者至少3个月,紫杉醇支架置入者至少6个月,特定的患者可延长至12个月以上。此后如无冠脉事件发生,可改为单独抗凝治疗。联合应用华法林、小剂量阿司匹林或氯吡格雷时,要注意调节抗凝强度,INR应维持在2.0~3.0。

    图1 经食管超声心动图 左心耳(LAA)内血栓形成

    图2 心电图, http://www.100md.com