当前位置: 首页 > 期刊 > 《中国医学论坛报》 > 2007年第5期
编号:11348613
咳嗽、咳痰伴喘息
http://www.100md.com 2007年2月1日 《中国医学论坛报》 2007年第5期
咳嗽、咳痰伴喘息
咳嗽、咳痰伴喘息

     病历摘要

    患者,女性,44岁,因咳嗽、咳痰伴喘息1年入院。

    患者1年前无明显原因出现咳嗽、咳痰,痰量多,色白,呈泡沫样,近半年症状逐渐加重,伴活动后气喘。曾先后接受“布地奈德干粉吸入剂、富马酸福莫特罗干粉吸入剂、沙美特罗/氟替卡松”吸入治疗,效果不佳。入院前1个月,咳嗽、咳痰症状明显加重,稍活动后即喘息。外院肺功能示:第一秒用力呼气容积(FEV1)占预计值百分比为33.5%,FEV1/用力肺活量(FVC)为36%,支气管舒张试验FEV1增加6%。为进一步诊治收入我院。患者无哮喘及变应性疾病家族史。

    体格检查 T 36.5℃,R 24次/分,P 80次/分, 营养中等,呼吸困难,呼气相延长,明显三凹征,双肺呼吸音粗,吸气相及呼气相均可闻及高调哮鸣音,呼气相延长。外鼻稍塌陷,心脏(-),双下肢无水肿。

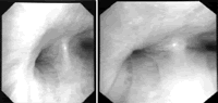
    辅助检查 肝肾功能无异常,免疫系统各项指标(-),血总IgE水平正常,心电图(-)。血气分析正常。纤维支气管镜检查示:主气管及各级支气管黏膜充血、水肿,可见大量分泌物,主气管下段、双侧主气管及双侧各级支气管可见呼气相明显狭窄,左肺上叶及右中叶支气管开口狭窄(图1)。
, 百拇医药
    诊治经过

    患者接受充分解痉、平喘(缓释茶碱口服0.2,bid;静脉氨茶碱0.25,bid;异丙托溴铵、沙丁胺醇各1 ml雾化吸入,bid;沙美特罗/氟替卡松250 μg,bid)和抗感染治疗后,仍剧烈咳嗽,大量白粘痰,不能平卧,夜间及活动后喘息加重。给予利多卡因5 ml射流雾化吸入qid,症状稍缓解,但喘息症状仍持续存在。

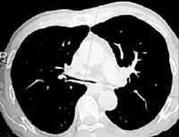
    纤维支气管镜检查提示气管及支气管呼气相塌陷,诊断不除外复发性多软骨炎(RP),再查体发现鼻梁塌陷。询问病史,鼻梁塌陷在近1年内明显。复阅胸部 CT发现,呼吸相,主气管较正常人气管明显缩窄,左右支气管分叉显示内径明显狭窄(图2)。

    纤维支气管镜结果提示该患者可能为RP,继而进行软骨活检,因患者呼吸困难严重,未取鼻软骨活检,改取耳软骨活检,病理显示:灶性区软骨细胞有退变,核结构消失,软骨基质可见黏液样变,PAS染色阴性。
, 百拇医药
    最后诊断:复发性多软骨炎

    对患者进行积极抗感染治疗外,给予琥珀酸氢化可的松300 mg,bid,连续5天,症状明显改善后减量,并给予环磷酰胺400 mg每周1次,共4周。出院时给予泼尼松20 mg,3个月后门诊随访时病情稳定。

    讨 论

    复发性多软骨炎(RP)是一种较少见的炎性破坏性疾病,病因及发病机制目前仍不清楚,其特点为软骨组织复发性退化性炎症,表现为耳、鼻、喉、气管、眼、关节、心脏瓣膜等器官及血管等结缔组织受累。鼻软骨炎表现为局部红肿、压痛,常突然发病,颇似蜂窝组织炎,数天后可缓,反复发作可引起鼻软骨局限性塌陷,发展为鞍鼻畸形。呼吸系统病变为声音嘶哑、刺激性咳嗽、呼吸困难和吸气性喘鸣。

    迄今,RP无特异性检查手段,诊断主要依赖于临床表现,1976年McAdom等提出的诊断标准被同行视为公认标准,即McAdom征:①双侧耳廓复发性软骨炎;②非侵蚀性血清阴性炎症性多关节炎;③鼻软骨炎;④眼部炎症;⑤呼吸道软骨炎;⑥耳蜗或前庭损害出现耳鸣、耳聋及眩晕。具备上述≥3个标准,无需组织病理证实亦可确诊。1979年Damiani提出扩大的McAdom诊断标准,只要有下述任何一条即可诊断:1条以上的McAdom征加组织病理证实;病变累及≥2个解剖部位;激素或氨苯砜治疗有效。
, 百拇医药
    该病例最后诊断以临床及气管镜所见为依据,且激素治疗有效。由于该患者呼吸困难严重,未取鼻软骨组织,取耳软骨组织。

    当RP出现呼吸道相关症状时,提示病情严重。初诊的RP患者需与支气管哮喘、ABPA、气管软化症、CSS、BOOP、LAM、结节病、肉芽肿病、肿瘤、COPD、淀粉样变等疾病鉴别。该患者因咳嗽、喘息伴活动后呼吸困难就诊,满肺哮鸣音,首先考虑为支气管哮喘,但门诊及入院肺功能检查均提示支气管舒张试验阴性,且伴严重阻塞性通气障碍,病程1年,不能完全用支气管哮喘解释。进一步纤维支气管镜检查提示气管软骨软化,为明确诊断提供线索。

    糖皮质激素治疗可抑制病变的急性发作,减少复发频率及严重程度,用于病情较重者。RP晚期致患者死亡的主要原因是气管、支气管狭窄导致窒息,气管内支架置入术是一种尝试。

    点 评

    哮喘样症状并非都是支气管哮喘,当临床症状提示支气管哮喘,而实验室检查,特别是支气管舒张试验阴性时,鉴别诊断的思路应开阔。糖皮质激素治疗应慎重,一旦使用后,因症状缓解,会影响病因的诊断。RP为少见病,首次诊断更多见于耳鼻喉科及免疫科,累及呼吸系统的气管软骨时,症状严重。及时诊断、积极治疗直接影响预后。, http://www.100md.com