当前位置: 首页 > 期刊 > 《中国医学论坛报》 > 2007年第12期
编号:11402168
左肾静脉胡桃夹现象合并左侧精索内静脉曲张
http://www.100md.com 2007年3月29日 《中国医学论坛报》 2007年第12期
左肾静脉胡桃夹现象合并左侧精索内静脉曲张

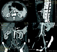
     患者男,32岁,左侧阴囊静脉曲张,曾行导管栓堵治疗,后复发。

    图1左肾静脉水平增强CT扫描,示肠系膜上动脉(白箭号)位于腹主动脉(黑箭号)正前侧,两者间距离仅2.5mm。左肾静脉左侧(白箭头)直径明显大于右侧(黑箭头),约为右侧的2.5~3倍

    图2沿主动脉长轴的多平面重组像(MPR),示肠系膜上动脉(白箭号)与腹主动脉(A)间的夹角为13。。可见位于两者之间受压变窄的左肾静脉(黑箭号)

    图3沿双侧肾静脉长轴的曲面MPR,示左肾静脉近侧增宽(LRV),经肠系膜上动脉与腹主动脉后受压变窄,汇入下腔静脉(IVC)。箭号示肠系膜上动脉的断面。箭头示曲张的左侧精索内静脉

    图4厚块最大密度投影(Slab MIP),示曲张的左侧精索内静脉(箭头)汇入左肾静脉, 百拇医药