当前位置: 首页 > 期刊 > 《中国医学论坛报》 > 2007年第21期
编号:11456476
通心络胶囊对大鼠缺血脑细胞超微结构及线粒体呼吸功能的保护作用(一)
http://www.100md.com 2007年6月7日 《中国医学论坛报》 2007年第21期
通心络胶囊对大鼠缺血脑细胞超微结构及线粒体呼吸功能的保护作用(一)
通心络胶囊对大鼠缺血脑细胞超微结构及线粒体呼吸功能的保护作用(一)

     丁素菊教授系上海第二军医大学长海医院神经内科主任、主任医师,博士生导师;现任全军神经病学专业委员会委员、中华医学会上海分会神经病学专业委员会委员、上海市中西医结合学会神经专业委员会委员、上海市神经科学学会理事;担任国家、省市等15种杂志编委;先后参与或主持完成的课题获得国家科技进步三等奖,军队科技进步一、二、三等奖,上海市科技进步二、三等奖共12项;撰写论著100余篇;参与编写专著10余部;共获基金200余万元。

    摘要

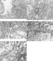
    目的 研究通心络(tongxinluo ,TXL)胶囊对脑缺血大鼠脑细胞超微结构及脑细胞线粒体呼吸功能的影响。

    方法 采用线栓法制作大鼠大脑中动脉缺血模型,通过透射电镜观察大鼠缺血后脑组织神经元超微结构的改变;检测线粒体内的烟酰胺腺嘌呤二核苷酸(NAD)链及黄素腺嘌呤二核苷酸(FAD)氧化呼吸链呼吸Ⅲ(R3)态、Ⅳ (R4)态,呼吸控制率(RCR),磷氧比(P/O)等评价呼吸功能指标变化,并与尼莫地平进行比较;观察并评价通心络对脑缺血大鼠脑细胞超微结构及脑细胞线粒体呼吸功能的影响 ......

您现在查看是摘要页,全文长 3628 字符