当前位置: 首页 > 期刊 > 《中国医学论坛报》 > 2007年第22期
编号:11456763
● 医学影像 胆总管腺癌
http://www.100md.com 2007年6月15日 《中国医学论坛报》 2007年第22期
● 医学影像 胆总管腺癌

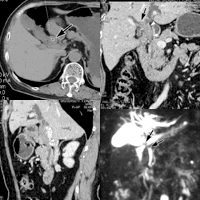
     病历摘要 患者女,67岁,出现黄疸1个月余,伴皮肤搔痒,粪便呈灰白色1周,无腹痛。影像学检查如下图所示,诊断为胆总管癌。手术的病理结果为低分化腺癌。

    图1 CT平扫,胆总管增粗,呈均匀软组织密度,CT值43HU(箭号)

    图2,图3 CT延胆总管长轴曲面多平面重组影像(MPR)冠状位(图2),矢状位(图3),示肿瘤沿胆总管生长(箭头),并侵犯肝管与肝右叶肝管(箭号),伴肝内胆管扩张

    图4 MRI水成像,可见胆总管上段至肝总管信号缺损,代表肿瘤部位(箭号),伴肝内胆管扩张, http://www.100md.com