当前位置: 首页 > 期刊 > 《中国医学论坛报》 > 2007年第25期
编号:11461742
不规则发热、贫血、粒细胞减少
http://www.100md.com 2007年7月5日 《中国医学论坛报》 2007年第25期
不规则发热、贫血、粒细胞减少

     病历摘要

    患儿,女,1岁4个月,因“发热38天”入院。38天前患儿无明显诱因开始发热,每日最高体温波动于39℃~40℃,不伴畏寒,偶有咳嗽,无痰,无腹泻腹痛,无头痛呕吐,无尿急、尿频、尿痛,无鼻衄、牙龈出血,无皮肤瘀点、瘀斑。在当地医院检查肥达氏反应、支原体抗体、结核抗体均阴性,血沉50 mm/h,肝功能正常,甲肝、乙肝、丙肝、丁肝等抗体阴性;心脏彩超未见异常,腹部B超示脾脏轻度增大,X线胸片示“支气管炎”,胸部CT平扫示“支气管肺炎”。血常规白细胞、血红蛋白进行性下降。诊断为“发热、贫血待查,肺含铁血黄素沉着症?”先后予红霉素、青霉素、头孢三嗪及阿昔洛韦、丙种球蛋白、布洛芬等治疗,病程中出现皮疹1次,位于胸部、耳后、面颊部,为红色丘疹,约10天左右消退,但患儿仍发热,约6小时发热1次,最高40.4℃,面色苍黄渐重,随即来我院。门诊查血常规白细胞2.6×109/L,中性粒细胞27.1% ,血小板78×109/L,血红蛋白80 g/L,X线胸片提示肺内实质浸润,拟诊“发热待查”收住院。
, http://www.100md.com
    患儿足月顺产,出生体重3.1 kg,既往体健,生长发育良好,按计划接种疫苗,否认食物药物及其他物质过敏史,否认传染病接触史。家族中祖母、外祖父有高血压。外祖母、母亲长期贫血,具体原因不详。

    体格检查:T 36.20 ℃, R 24次/分,P 110次/分,Bp 80/50 mmHg;面色苍黄,未见皮疹及出血点,浅表淋巴结未触及,睑结膜稍苍白,咽无充血,双侧扁桃体Ⅰ度肿大。双肺呼吸音粗糙对称,未闻及干湿罗音;心脏相对浊音界无扩大,心率110次/分,律齐,各瓣膜听诊区未闻及杂音;腹平软,无压痛,肝肋下2 cm,质软,无触痛,脾肋下2 cm,质中,边钝。生理反射正常对称引出,脑膜刺激征(-)。

    实验室检查:血常规白细胞2.6×109/L,中性粒细胞27.1%,中性粒细胞绝对值:0.7×109/L,红细胞3.12×109/L,血红蛋白80 g/L,血小板78×109/L,白细胞分类提示单核为主,红细胞大小不等,以小细胞为主,偶见球形、椭圆形红细胞。
, 百拇医药
    血生化:丙氨酸转氨酶375 IU/L,门冬氨酸转氨酶453 IU/L ,γ谷氨酰转氨酶67 IU/L 乳酸脱氢酶 367 IU/L,白蛋白26 g/L,球蛋白34 g/L,白/球:0.76。电解质、肾功、心肌酶正常。

    隐球菌抗原阴性;鲎试验(真菌、杆菌均阴性。C反应蛋白(CRP)38.40 mg/L,血沉 21 mm/h。

    血清铁蛋白 216 ng/ml,血清铁 40 μg/dl(减低),总铁结合力 272 μg/dl,血清叶酸 20.4 ng/ml。

    Coomb’s 阴性。肥达氏反应、结核菌素试验和布氏杆菌抗体均阴性。

    抗核抗体1:20阳性。凝血五项中活化部分凝血酶时间(APTT) 64.9 秒,余正常。

    IgA 0.09 g/L↑,余正常。CD系列:CD4 53.9%,CD4/CD8 2.82,NK-C 2.6%,余正常。
, 百拇医药
    骨髓细胞学检查:骨髓增生活跃,可见中毒颗粒,粒红比例减少,有分类不明细胞占1%,有吞噬血小板、中晚幼红细胞、中性粒细胞、淋巴细胞、单核细胞和成熟红细胞的网状细胞。

    X线胸片示肺内实质浸润;腹部B超:肝肋下2.8 cm,脾肋下3.3 cm,双肾偏大,未见肿大的淋巴结。头颅CT、头颅平片均正常。

    诊治经过

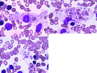
    入院后根据以上检验结果,结合患儿的临床表现,初步诊断:(1)支气管肺炎;(2)感染相关性噬血细胞综合征?予以抗感染、抗病毒、丙球、升白细胞、纠正贫血及对症支持等治疗,患儿体温于入院第二天恢复正常,血红蛋白上升至95 g/L,血小板恢复正常,但白细胞仍下降;于入院第11天再次出现发热39.0℃~39.5℃,每天呈双峰热型,肝增至肋下4 cm,脾肋下3 cm,于入院第19天,白细胞下降至1.9×109/L,中性粒细胞9.7%,中性粒细胞绝对值0.018×109/L,血红蛋白87 g/L。复查骨髓象提示有利-杜氏小体(图1~3)。追问病史,患儿发病前1个月曾在山西省寿阳县居住,有病犬接触史,结合临床有不规则发热,肝脾进行性增大,全血减低等表现诊断为“黑热病”。
, 百拇医药
    于入院第26天给予患儿葡萄糖酸锑钠140 mg/kg,肌注,分6天给予,同时给予对症支持治疗,患儿在锑剂治疗的第4天后,体温下降至正常,血常规逐渐好转,于住院第41天好转出院,出院2周后当地医院复查血常规恢复正常,肝脾明显回缩。

    病例讨论

    黑热病又称内脏利什曼病,是由杜氏利什曼原虫引起慢性地方性传染病。属乙类传染病。本病遍及包括印度、非洲、欧洲在内的88个热带及亚热带国家及地区,约有1200万人感染利什曼原虫。在我国该病流行于长江以北17 个省市自治区,农村较城市多发,是我国五大寄生虫病之一。中华白蛉是我国黑热病主要传播媒介,患者、病犬和犬类野生动物(狼、狐、豺等)为主要传染源,传播途径是通过媒介白蛉的吸血作用,在人间、兽间或人兽间互相传播。白蛉吸入感染宿主(病兽或病人)血液中的利什曼原虫后, 虫体在其胃内发育繁殖,约经7天时间成熟并到达白蛉的口腔及喙部,当再次吸血时,即可感染新的宿主,偶可经破损皮肤和黏膜、胎盘或输血传播。发病无明显季节性。人群普遍易感,尤以小儿发病率高,病后有持久免疫力。
, 百拇医药
    黑热病分为内脏型、皮肤型、淋巴型。内脏型临床上以长期不规则发热、进行性肝脾肿大、消瘦、贫血、全血细胞减少及血浆球蛋白增高为特点。病原检查即涂片查找病原为确诊本病的最可靠方法,常用骨髓穿刺涂片,阳性率80%~90%;皮肤型和淋巴结型病人,可自皮损区及肿大的淋巴结中取材涂片。查见利什曼原虫即可确诊。免疫学检查血清特异性抗体阳性有助于诊断。对疑似患者可考虑用葡萄糖锑钠做诊断性治疗,若疗效显著,亦有助于本病的诊断。

    本病应与组织胞浆菌病、结核病、伤寒、布鲁菌病、EB病毒感染、白血病、恶性组织细胞病等相鉴别。

    治疗

    目前治疗本病的特效药物为五价锑剂,对三型黑热病均获极好疗效。用药后患者体温可迅速下降、脾脏逐渐缩小、血象恢复正常;病原体消失率达95%以上,且毒副作用少。首选葡萄糖酸锑钠:成人总剂量:90~130 mg/kg、儿童总剂量:150~200 mg/kg,分6次,1次/d(6日疗法),静脉或肌肉注射; 病情严重和体弱者改用3 周疗法,即成人总剂量:150 mg/kg、儿童总剂量:200 mg/kg,分6 次,每周2 次。疗效与前者相似。锑剂的副作用:极个别人出现发热、腹痛、腹泻、急性胰腺炎、心电图异常、脾区疼痛等反应,偶有发生粒细胞减少症,停药2~3 天,反应即可消失,末梢血象恢复正常。对锑剂无效或禁忌者,可选用非锑剂药物:如戊烷脒或两性霉素B。多种治疗无效时应考虑脾切除。术后给予病原治疗。随访1 年以上无复发者为治愈。
, 百拇医药
    预后取决于治疗是否及时以及有无并发症,如继发细菌感染、急性粒细胞缺乏症及未经治疗者,死亡率95%,大多数死于继发感染。在内脏利什曼病症状消失后,出现后遗皮肤损害比较难治。应尽量早发现、早确诊和早治疗,是预防黑热病后遗症的重要环节。

    本患儿为幼儿,来自曾有黑热病发病的地区,发病前有病犬接触史,以不规则发热、肝脾肿大、贫血、粒细胞减少为主要表现,骨髓象中发现大量利-杜氏小体,经过锑剂治疗临床缓解,黑热病诊断明确。在病程中合并粒细胞缺乏、肺炎、肝功能损害等并发症,病情一度十分危重,经积极对症支持治疗终于转危为安。在本病的诊断过程中,骨髓象可见利-杜氏小体对临床的确诊起到了关键性的作用,提示我们对于原因不明的贫血、粒细胞减少者及时复查骨髓象十分必要,另外提高检验师对利-杜氏小体的认识可减少误诊的发生。因近10年本病在华北地区少见,城市更为罕见,临床医师缺乏认识,以致本患儿从发病到诊断用药经历长达60天,目前豢养犬的家庭增多,加强对本病的认识有一定现实性。另外,免疫学检查血清特异性抗体有助于诊断,且简便易行,但非流行区多不备有此类检验制剂,影响了本病的筛查。

    在本病的诊治过程中得到北京友谊医院热带病研究所甘绍波教授的指导与热情的帮助,特予感谢。, http://www.100md.com