当前位置: 首页 > 期刊 > 《中国医学论坛报》 > 2007年第25期
编号:11461758
上海儿童医学中心神经外科成功摘除1月龄男婴脑部巨大肿瘤
http://www.100md.com 2007年7月5日 《中国医学论坛报》 2007年第25期
上海儿童医学中心神经外科成功摘除1月龄男婴脑部巨大肿瘤

     本报讯 (驻地记者 胡德荣)上海交通大学医学院附属儿童医学中心神经外科鲍南教授,成功切除了1月龄男婴脑部的巨大肿瘤,这名男婴日前康复出院。

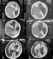
    据悉,该婴儿的脑瘤是“促纤维增生性婴儿型神经节细胞胶质瘤”。入院时医学影像检查,患儿头颅内的巨大肿瘤几乎占据整个右大脑半球,前囟被肿瘤撑大,极度扩张。脑组织受压偏向左侧,并产生脑积水。巨大肿瘤和脑积水双重压迫脑组织,致使患儿颅内高压,产生昏迷等症状。

    鲍医师依据新生儿前囟未闭的特点,设计了一个全新的治疗方案,即第一步抽取肿瘤囊液,以减轻颅内压,2次穿刺放液120 ml;第二步,待脑疝好转,患儿生命体征稳定,进行肿瘤切除术。患儿出院时,已经能吃、能看、会笑、会抬头,生长发育趋于正常。, 百拇医药