当前位置: 首页 > 期刊 > 《中国医学论坛报》 > 2007年第29期
编号:11468528
Canavan病
http://www.100md.com 2007年8月2日 《中国医学论坛报》 2007年第29期
Canavan病

     病历摘要

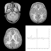
    患儿女,8个月,智力发育落后,头大,尿N-乙酰天门冬氨酸(NAA)升高。MRI表现为双侧大脑半球脑白质对称性、弥漫性T2WI高信号,内囊、脑干、丘脑、苍白球、齿状核受累。1H 磁共振波谱分析(MRS)表现为NAA峰值明显升高,诊断为Canavan病。

    讨 论

    Canavan病又称海绵状脑白质营养不良(SLD),脑海绵状变性,是一种罕见的常染色体隐性遗传代谢疾病,其基因位于第17号染色体。NAA仅能在脑组织中合成,是脑组织所特有的一种物质,并由天门冬氨酰酶水解代谢。

    Canavan病人由于天门冬氨酰酶缺乏,导致NAA在脑组织内积聚,进入血循环,通过尿液排出,发生NAA酸血症和酸尿症;影响到中枢神经系统和骨骼肌,从而产生一系列病理改变及临床表现。患儿脑体积与重量明显增加,以两侧大脑半球为著。组织学检查,病变区脑组织呈海绵状空泡变性,伴髓鞘水肿,但神经轴突常不受累,星形细胞肿胀明显,最终可导致脱髓鞘和胶质细胞减少。

    本病典型的发病年龄为婴儿早期,即出生后几个月内,偶见于新生儿和青少年。临床表现为巨头、智力落后、视力丧失、肌张力低下,该病病情进展迅速,可导致植物人状态。多于发病后几年内死亡。

    实验室检查,可见尿液中NAA升高,具有特异性。影像学典型表现为巨头,CT表现为两侧大脑半球广泛的对称性密度减低区,以皮质下白质最为明显,注射造影剂后病灶无强化。晚期可有轻度的脑萎缩改变伴巨脑室。MRI典型表现为病变累及全部大脑白质,呈两侧对称性,向心性进展。早期病变主要位于皮层下白质,进展期累及深部白质,如内囊和胼胝体,病变还可累及灰质结构,如丘脑、苍白球、深层皮质、齿状核,少数累及脑干,延伸至脊髓等处。T1WI上呈较低信号,T2WI上呈明显高信号,尤在T2WI上显示为佳。病变后期表现不典型,可为脑萎缩。本病1H MRS表现为NAA相对或绝对升高,伴随胆碱(Cho)和肌酸(Cr)的下降,常出现异常的乳酸峰。NAA峰值升高对Canavan病诊断具有特异性。MRI是诊断本病的主要影像学检查方法。

    图1~3 为MRI T2WI,显示双侧大脑半球脑白质对称性,弥漫性T2WI高信号,内囊、脑干、丘脑、苍白球、齿状核受累。

    图4 为1H MRS,表现为NAA峰值明显升高。, http://www.100md.com