当前位置: 首页 > 期刊 > 《中国医学论坛报》 > 2007年第31期
编号:11480750
○ 医学影像 壶腹部胰腺导管癌
http://www.100md.com 2007年8月16日 《中国医学论坛报》 2007年第31期
○ 医学影像 壶腹部胰腺导管癌

     患者女,56岁,上腹不适半月,巩膜皮肤黄染伴皮肤搔痒10天。

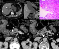
    图1 CT平扫,示肝内胆管增宽(箭头)

    图2 CT增强扫描,沿胆总管纵轴曲面多平面重组(curved MPR),近横轴位平面,示胆总管扩张(星号),胰腺内段下段壁增厚,增强,管腔闭塞(箭号)

    图3 手术病理:壶腹部中-高分化导管腺癌,浸润壶腹壁全层与相邻纤维脂肪组织、胰腺实质及十二指肠肌层(HE染色,×100)

    图4 CT增强扫描门静脉期,胆总管下端水平,左、右两图像相差2 mm。可见胆总管壁弧形增厚,增强明显(箭号),直至完全闭塞(箭头)。图中P-胰头,SV-脾静脉,D-十二指肠,SMA-肠系膜上动脉, 百拇医药