当前位置: 首页 > 期刊 > 《中国医学论坛报》 > 2007年第31期
编号:11480746
发热、黄疸、血三系细胞降低
http://www.100md.com 2007年8月16日 《中国医学论坛报》 2007年第31期
发热、黄疸、血三系细胞降低

     病历摘要

    患者男,42岁,因“发热3个月,皮肤巩膜黄染1个月”于2006年10月入院。

    患者于3个月前无明显诱因出现夜间发热,最高体温37.8℃,伴乏力,不伴畏寒、寒颤、咳痰、腹痛、腹泻等症状,1小时后可自行降至正常,每日1次。随后出现对刺激性食物味觉过敏,伴食欲下降。2个月前就诊于我院,查丙氨酸转氨酶(ALT)98 U/L(正常值<40 U/L),天冬氨酸转氨酶(AST )59 U/L(<40 U/L),总胆红素(Tbil)53.1 mmol/L(5.1~22.2 mmol/L),直接胆红素(Dbil)10.4 mmol/L(0.2~8.6 mmol/L),乳酸脱氢酶(LDH)593 U/L(97~270 U/ L),γ-谷氨酰转移酶(GGT)、碱性磷酸酶(ALP)和白蛋白(ALB)均正常。乙肝五项(-)。喉镜示慢性咽炎。予以保肝治疗上述症状无改善。

    近1个月来患者出现面色苍白、皮肤巩膜黄染、尿色加深;发热、味觉敏感、食欲下降。再次来我院,查血常规:WBC 3.23×109/L(4.0~10.0×109/L),中性粒细胞(Neut)62.7%(50~75%),血红蛋白(Hb)75 g/L(男120~165 g/L),红细胞(RBC)1.59×1012/L(男4.0×1012~5.5×1012/L),平均红细胞体积(MCV) 109.7 fl(82~92 fl),血小板(Plt)59×109(100×109~350×109/L),网织红细胞计数(Ret)1.28%(0.5%~1.5%)。尿常规:尿潜血(Bld)微量,尿胆红素(Bil)和尿胆原(Uro)阳性。血Tbil 43.7 mmol/L,Dbil 16.4 mmol/L,LDH 2270 U/L,ALB 47 g/L,肌酸磷酸肌酶(CK)、ALT和AST正常。腹部B超示脾大(脾厚4.9 cm,肋下3.1 cm),脂肪肝。为进一步诊治收住入院。发病以来患者体重下降10 kg。
, 百拇医药
    患者在化工厂工作10年,长期接触铅、汞。8年前曾诊断“药物性肝损害”,服联苯双酯保肝治疗,每年复查肝功均正常。6年前B超提示“轻度脂肪肝”。2个月前出现吞咽困难,钡餐提示“颈椎骨质增生导致食道狭窄”。

    入院查体:T 37.7 ℃,BP 110/70 mmHg。贫血貌,皮肤巩膜黄染,全身皮肤黏膜未见明显出血点,浅表淋巴结未及肿大。咽后壁红,可见少量淋巴滤泡增生。双肺呼吸音清,心律齐,各瓣膜听诊区未及病理性杂音。腹平软,肝未触及,脾左肋缘下1 cm,质中。双下肢不肿。四肢肌力、肌张力正常,双侧病理反射(-)。

    分析讨论

    患者为中年男性,病程3个月。主要表现为低热、黄疸、血三系减低、脾大和消瘦。患者消化道症状明显,且血清胆红素升高(直接胆红素占20%~40%),故我们以黄疸为切入点,结合病程全貌进行分析。在黄疸病因中首先考虑肝细胞性黄疸和肝前性黄疸。
, 百拇医药
    1. 肝细胞性黄疸:患者有食欲下降,肝酶一度升高,黄疸为双相,考虑肝细胞性黄疸,后者病因有多种:(1)病毒性肝炎:患者病程3个月,有发热、黄疸、纳差、肝酶异常。急性病毒感染如甲肝、戊肝暂不考虑。慢性病毒感染如乙肝、丙肝可同时出现发热、但黄疸少见,且患者无肝炎接触史,查乙肝五项均为阴性,其他病毒感染如EB病毒、巨细胞病毒(CMV)无相关证据,不支持嗜肝病毒感染。(2)酒精性肝炎:该病诊断需有长期大量饮酒史或短期暴饮史,多有AST/ALT>2,与本患者不符,可以除外。(3)药物性肝病:患者既往曾诊断“药物性肝损害”,保肝治疗后肝功恢复正常;此次发病前无明确的用药史,无皮疹、血嗜酸细胞不高,似乎可以除外。(4)自身免疫性肝病:可以分为以肝炎表现为主的自身免疫性肝炎、以胆系损害及胆汁淤积为主的原发性胆汁性肝硬化和原发性硬化性胆管炎。该患者肝酶轻度升高,微胆管酶不高,无明显淤胆表现,且为中年男性,无口腔溃疡、皮疹、脱发、关节痛、光过敏等免疫系统受损表现,无高球蛋白血症,可查自身抗体以除外。(5)中毒性肝病:患者为技术工人,有20余年铅、汞等密切接触史。铅虽属低毒类肝脏毒物,但能引起多系统的损害,可引起中毒性肝损害、贫血和溶血等。但目前普遍认为铅中毒引起肝脏损伤多见于口服铅及铅化合物引起,职业性铅中毒不多见。可在除外内科常见病的基础上进一步行职业病相关检查。另外,患者肝酶轻度升高,血象改变更突出,还要考虑肝前性黄疸。
, http://www.100md.com
    2. 肝前性黄疸:(1)溶血性黄疸:急性溶血时可有发热,血管内溶血时可出现黄疸(以间接胆红素升高为主)、贫血、尿胆原和粪胆原升高,血管外溶血可出现肝脾大,同时有网织红细胞增加,LDH升高。该患者有溶血的证据,如发热、黄疸、贫血、LDH进行性升高;但无明显骨髓增生的证据,如网织红细胞不高(1.28%),黄疸为双相升高。故单纯用溶血难以解释病情全貌。可查血涂片、蔗糖溶血试验(Coomb试验)和尿含铁血黄素试验(Rous试验)等判断有无溶血表现。(2)骨髓无效造血:巨幼细胞贫血可出现血三系减低,红细胞体积增大,网织红细胞可以不高。异常增生的巨幼红细胞的破坏可导致间接胆红素的升高,LDH升高,本患者平均红细胞体积(MCV)增高,近期出现味觉过敏,应考虑该病可能,但患者无饮食偏好,无胃病、胃部分或大部切除术史。可行血涂片,必要时行骨穿检查进一步明确。

    结合患者血三系降低,还应考虑下列疾病:

    1. 淋巴瘤:患者有脾大、发热、消瘦和LDH升高,结合患者为中年男性,长期接触铅、汞等毒物,淋巴瘤诊断不除外。淋巴瘤累及骨髓及血液时可出现血三系减低。但患者全身浅表淋巴结不大,可查胸腹CT、骨扫描、骨髓穿刺等检查以除外。
, http://www.100md.com
    2. 结核感染:结核感染可有发热、血三系减低、肝脾肿大等,但结核出现血三系减低时往往中毒症状重,该患者结核中毒症状不明显,且血沉正常,不支持结核感染。

    3. 其他:可以引起血三系减低的疾病如急性低增生性白血病、骨髓异常增生综合征、骨髓纤维化、再生障碍性贫血等均难以解释病情全貌,可行血涂片,骨髓检查以除外。

    入院诊断:低热、黄疸、血三系下降原因待查

    (1)溶血性贫血?(2)巨幼细胞贫血?(3)淋巴瘤?(4)结核感染?

    患者入院后症状无明显变化,再次查体发现患者舌面光滑、舌红绛。

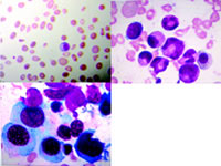
    入院后检查:血Hb 62~64 g/L,RBC(1.68~1.63)×1012/L,MCV 116.7fl,WBC(3.92~4.65)×109/L,PLT(42~59)×109/L,Ret 3.90%。ALT(38~43) U/L,AST 63 U/L,Tbil 36.5 mmol/L,Dbil 16.5 mmol/L,ALB(38~47) U/L,血清肌酐(SCr)71 mmol/L(53~132 mmol/L)。血培养阴性。尿胆素原(UBG) 16 mmol/L,Bil少量。大便常规(-)。溶血性贫血全套(-)。糖链抗原CA19-9,CA242,甲胎蛋白(AFP)均阴性。胸腹CT:左下肺索条影(陈旧病变),胆囊密度欠均匀,脾大。全身骨扫描(-)。血涂片(图1):红细胞轻度大小不等,中心淡染区扩大。骨髓穿刺涂片(图2ab):增生活跃,红系各阶段比例增高,大部分可见明显巨幼变细胞。印象:巨幼细胞性贫血。
, http://www.100md.com
    巨幼细胞性贫血是一种营养性贫血,主要是因为体内叶酸和(或)维生素(Vit)B12缺乏所致。可查红细胞内叶酸、VitB12以明确诊断。

    查红细胞内叶酸218 ng/ml(166~640 ng/ml),VitB12 49 pg/ml(150~1000 pg/ml),明显减低。诊断:巨幼细胞贫血。予以叶酸5 mg 3次/日,VitB12 0.5 mg/d肌注治疗。

    诊断巨幼细胞贫血后,最重要的就是寻找叶酸和VitB12缺乏的原因,以便针对性治疗。其主要病因有:(1)摄入不足: 长期素食、偏食(VitB12来源少), 过度烹煮或腌制导致叶酸、VitB12破坏丢失。该患者生活史无偏食。(2)吸收不良:见于胃大部分切除或全胃切除、慢性胃炎或小肠肿瘤。患者无手术史,需行内镜检查除外慢性萎缩性胃炎。(3)内因子减少:内因子由胃壁细胞分泌,是VitB12在肠道吸收的重要辅助因子。体内存在内因子抗体可造成恶性贫血,可查相关抗体以明确。(4)药物:甲氨蝶呤、秋水仙碱等抗风湿病类药物、苯巴比妥类药物等。该患者无特殊用药史。
, 百拇医药
    胃镜检查:慢性浅表性胃炎,幽门螺杆菌快速尿素酶检查(HP-RUT)(-)。内因子抗体阳性。至此,最终诊断:恶性贫血。

    给予治疗剂量的叶酸和VitB12治疗后的第3天,患者体温降至正常,味觉过敏明显好转,舌面渐长出舌苔。10天后皮肤巩膜黄染渐消退,血三系和网织红细胞明显上升。查Hb 106 g/L,RBC 3.25×1012/L,MCV 102 fL,WBC 4.17×109/L,Plt 213×109/L,Ret 5.65%。Tbil 13.2 mmol/L,Dbil 5.6 mmol/L。继续叶酸、VitB12治疗出院。

    本例患者以“发热、黄疸、血三系减低、消瘦”就诊,最终诊断为“恶性贫血”。由于患者就诊时主要表现为消化系统症状,加之全血细胞减少、消瘦明显,故开始诊治时的注意力集中于消化系统疾病和血液系统恶性肿瘤上。而忽视了病史和血常规中的重要线索。

    巨幼细胞贫血可能以消化道症状(食欲不振、腹胀、腹泻),神经系统症状(手足对称性麻木、无力、感觉障碍)或精神症状(抑郁或神经错乱)起病。对一个贫血患者仔细询问病史,分析血像结果至关重要。该患者第一次的血像即符合大细胞正色素性中度贫血(MCV 109.7 fL),白细胞偏低,血小板仅59×109/L,结合味觉过敏的病史,应想到巨幼细胞贫血,但因合并其他症状而未及时作出诊断。因此,若血常规检查提示贫血,应注意看MCV,若高于正常值时应查血涂片、骨髓涂片、血清叶酸和VitB12以明确是否有巨幼细胞贫血。
, 百拇医药
    由于巨幼细胞贫血为骨髓内无效造血,巨幼细胞未出骨髓就会被破坏,会出现以间接胆红素为主的总胆红素升高,伴LDH增高。LDH升高在除外肌肉源性后主要考虑溶血所致,本例就是以此线索为突破口作出诊断的。

    诊断巨幼细胞贫血之后,若查内因子抗体阳性,则可诊断为恶性贫血。因为内因子可以与VitB12结合,防止其在回肠中被肠酶或某些细菌破坏,VitB12被回肠黏膜上皮细胞吸收入血。恶性贫血患者能产生抗内因子抗体,使内因子失去活性,导致VitB12吸收障碍,从而导致恶性贫血。其治疗需要终身的VitB12替代治疗。

    点 评

    患者以发热、黄疸、血三系下降和消瘦就诊,容易联想到恶性肿瘤,而忽略了常见疾病。入院时有两条线索,一是黄疸,另一是血像改变,而后者通过血涂片、骨髓穿刺等更容易收集信息。巨幼细胞贫血可有多系统表现,除了贫血和溶血表现之外,常出现消化道症状和神经精神系统表现。其次是寻找病因,进行针对性治疗。患者检出抗内因子抗体,确诊为恶性贫血,该病发病年龄多在40岁以上,我国罕见。

    图1 血涂片示红细胞轻度大小不等

    图2ab 骨髓涂片示增生活跃,红系各阶段比例增高,可见明显的巨幼变细胞, http://www.100md.com