当前位置: 首页 > 期刊 > 《中国医学论坛报》 > 2007年第37期
编号:11494670
发热、腰腹痛
http://www.100md.com 2007年10月3日 《中国医学论坛报》 2007年第37期
发热、腰腹痛

     病历摘要

    患者,男,38岁,因“ 发热10个月,伴腰痛、腹痛2个月”于2006年入院。

    患者10个月前无明显诱因出现发热,Tmax 38℃,发热无明显规律,否认畏寒、寒战、乏力、盗汗,否认咳嗽、腹痛、腹泻、尿频、尿痛,无皮疹和关节肌肉痛。在当地诊所查血白细胞(WBC)11.2×109/L,中性粒细胞(Neut)82.8%,给予头孢类抗生素治疗效果不佳。当地医院考虑“结核”,予以异烟肼、利福平、吡嗪酰胺抗结核治疗5个月,效果不显著,仍有发热。

    分析讨论

    患者为青年男性,慢性病程,以中热为主要临床表现,无明显伴随症状,但血WBC高,中性粒细胞比例偏高。普通细菌性感染不支持点有:(1)经验性广谱抗生素疗效欠佳;(2)患者无明确感染病原体证据,无感染的定位症状和体征。(3)慢性病程。应再积极地寻找慢性感染的证据,如血培养、超声心动图(UCG)等,目前首先考虑结核病。
, http://www.100md.com
    患者逐渐出现左侧胸痛,吸气时明显,查体发现其颌下淋巴结肿大。UCG提示有心包积液,X线胸片提示左侧少量胸腔积液,胸腔穿刺出黄色微混胸水,无凝块,检验:李凡试验(+),白细胞计数0.9×109/L,单核细胞48%,多核细胞52%,糖7.8 mmol/L,总蛋白(TP)40.48 g/L,乳酸脱氢酶(LDH)69.39 U/L。结核菌素纯蛋白衍生物皮试(PPD)(++),血沉35~75 mm/第1h末。行颌下淋巴结穿刺,细胞学报告:淋巴结炎。

    既往史:患者幼年曾患“肺淋巴结结核”,治愈。当地医院考虑“结核”,予异烟肼、利福平、吡嗪酰胺抗结核治疗5个月,效果不显著,仍有发热,有“少量心包积液及左侧胸腔积液”。

    患者出现多浆膜腔积液,胸腔积液TP 40.48 g/L。根据Light标准:胸液中的总蛋白与血清中的总蛋白含量比值>0.5;胸液中的LDH含量>200 U/L或大于正常血清LDH高限的2/3;胸液LDH/血清LDH>0.6,符合三条标准中1条则考虑为渗出液。该患者胸腔积液考虑为渗出液。患者颌下淋巴结肿大,但颌下淋巴结肿大因受口咽部疾病影响而临床意义不大。患者既往有肺结核,PPD(++)可能和既往感染有关,但结合其临床表现有发热、多浆膜腔积液,胸腔积液为渗出液,尽管患者临床未发现明确结核病证据,仍高度怀疑结核病,但经正规三联抗结核治疗5个月疗效欠佳,从治疗反应上来看,不支持典型的结核感染,除非为多种耐药结核菌株的感染。
, http://www.100md.com
    两个月前患者无明显诱因出现腹痛,于脐上偏左处持续性跳痛,伴背部对应部位疼痛,否认关节肌肉痛,与劳累、发热、进食无关,用非类固醇类抗炎药(NSAID)可以减轻疼痛。 患者餐后感上腹胀,进食量明显减少,无腹泻,体重2个月下降10 kg。

    在疑诊结核病患者的抗痨疗效欠佳时,出现腹腰痛,应警惕寒性脓肿或存在消化道病变。

    患者于外院查消化道造影提示小肠憩室。1周前来我院门诊,X线胸部正位片:左侧肺动脉段膨隆,右肋膈角钝。腰椎MRI:腰椎轻度骨质增生,L4-5椎间盘膨出。为进一步诊治收入院。

    小肠憩室在人群中发生率较高,但有症状的不多,该患者的小肠憩室不能解释临床全貌。影像学提示腰椎间盘突出,无神经根受累,未发现冷脓肿形成,腰椎病变不能解释腹痛。X线胸片见双肺野正常,有肺动脉段膨出,用结核病不好解释,需要进一步检查。

    入院查体:T 36.9 ℃, P 94次/分, BP 120/90 mmHg。右颌下可触及1枚2 cm淋巴结,质硬,活动,无压痛,余浅表淋巴结未及肿大。甲状腺不大。双肺呼吸音清,未闻干湿啰音、胸膜摩擦音。胸骨左缘2~4肋间闻及2/6级收缩期杂音,无心包摩擦音。腹平软,肝脾未及,脐上偏左深压痛。脊柱呈正常生理弯曲,第2腰椎棘突旁、第3、4腰椎横突旁深压痛,双肾区无叩击痛。
, http://www.100md.com
    辅助检查:血常规WBC(8.10~10.9)×109/L(正常值4.0×109~10.0×109/L),Neut 73.5%~76.4%(50%~75%),血红蛋白(Hb) 107~110 g/L(男120~165 g/L),血小板(Plt) (427~489)×109/L[(100~350)×109/L];尿常规、便常规+隐血均阴性。肝肾功能、肌酶谱正常;血沉(ESR)53 mm/1h(男<15 mm /1h),C反应蛋白(CRP) 69.3 mg/L(0~8.0 mg/L)。感染方面:乙肝五项、快速梅毒血清反应(RPR)、抗EB病毒抗体(EBV-Ab)、抗丙型肝炎病毒抗体(抗HCV)、抗人免疫缺陷病毒抗体(抗HIV)、布氏凝集试验均阴性,骨髓培养阴性×1次。肿瘤标志物:血癌胚抗原(CEA)、糖链抗原CA19-9、CA125、CA242、CA50和甲胎蛋白(AFP)均正常。结缔组织病方面:抗核抗体(ANA)、抗双链DNA抗体(抗ds-DNA)、抗中性粒细胞胞浆抗体(ANCA)、人类白细胞抗原(HLA-B27)均阴性。胸片(-)。超声心动图(UCG):无心包积液,主动脉后壁及左房侧壁外可见中等度强回声。腹部超声(-)。
, 百拇医药
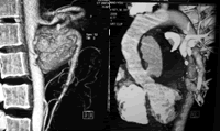
    入院后初步检查发现,WBC及Neut比例正常偏高,炎症指标ESR和CRP明显增高。考虑:(1)感染性疾病 无明确感染灶,抗生素治疗无效,常见的病毒血清学均阴性,目前感染无证据。(2)肿瘤 无浅表淋巴结和肝脾肿大,肿瘤标志物正常,常见可引起发热的实体肿瘤如淋巴瘤、肝癌、肾癌、胃肠道肿瘤等均无证据。 UCG提示主动脉后壁及左房旁占位,需要进一步明确性质。(3)结缔组织疾病 青年男性,无其他系统性结缔组织疾病的特征性症状,且ANA、抗 ds-DNA、ANCA、肌酶谱均正常,临床不支持系统性红斑狼疮,多发性肌炎或皮肌炎、ANCA相关血管炎等常引起发热的结缔组织疾病。患者有腰痛,但与活动无关,无其他关节症状,血HLA-B27 阴性,腰椎MRI未见椎间盘和椎骨边缘的增生或纤维化,不支持血清阴性脊柱关节病如强直性脊柱炎。 入院后患者仍低热、腰腹痛性质同前,入院第6日出现剑下剧痛,不放射,持续不缓解。查体:剑突下偏左可触及搏动性包块,听诊血管杂音响亮,左侧肾动脉可闻及血管杂音,余同入院查体。临床上高度怀疑主动脉夹层或动脉瘤破裂,遂急查血管超声,提示肠系膜上动脉(SMA)起始段动脉瘤5 cm×6 cm。近期UCG发现的胸腔内病变是否也为血管病变?急查经食道超声心动图,提示升主动脉瘤6.9 cm×6.1 cm。增强CT+血管成像(CTA)进一步明确了上述诊断〔图1,图2〕:升主动脉根部及SMA根部动脉瘤形成,主肺动脉可疑偏心血栓形成,左肾动脉受压移位。诊断:多发大动脉动脉瘤,系统性血管炎。
, 百拇医药
    患者为多发大动脉动脉瘤诊断明确,有发热,ESR、CRP等炎症指标增高,考虑有系统性血管炎的可能,病情活动,动脉瘤形成时动脉壁撕裂引起腰痛、腹痛。累及大动脉的血管炎病变有:(1)Takayasu动脉炎,又称无脉症,多发生在女性,引起动脉闭塞,引起动脉瘤较少见。(2)巨细胞动脉炎,多见于老年人,有头痛、咀嚼无力、视力受损等症状,该患者的临床表现不支持。(3)白塞病(Behcet’s disease),需要再仔细询问有无口腔、外阴溃疡和眼葡萄膜炎病史。

    追问病史,患者曾反复出现无痛性口腔溃疡6年,每年复发3~5次,2个月前曾有口腔溃疡,无外阴溃疡,静脉穿刺部位有红肿和小白点。

    诊断:白塞病 大血管炎 多发动脉瘤形成

    让患者严格卧床,控制血压,口服甲泼尼龙40 mg bid,环磷酰胺(CTX)0.2 g qod静脉注射,镇痛、镇静治疗。
, http://www.100md.com
    下一步的问题是对于动脉瘤的处理。患者动脉瘤的病因是白塞病所致,目前其血沉、CRP增高,处于病情活动期,为手术禁忌,暂不能手术治疗。在血管外科、介入科和心内科等多科会诊后达成共识:给予长效血管紧张素转换酶抑制剂(ACEI)、钙通道阻滞剂(CCB)和少量利尿剂控制血压,患者可以行支架置入术,但有再发动脉瘤及血栓形成的风险,且费用昂贵。经与患者和家属沟通后决定继续内科保守治疗。

    是否需要抗痨治疗呢?患者PPD皮试(++),胸部和腰椎影像学检查未发现活动性结核病灶,且经过正规三联抗结核治疗5个月疗效欠佳,这些均不支持活动性结核,多浆膜腔积液和发热可以用血管炎解释。但结核感染和白塞病发病有关联。患者既往有结核病史,现应用大剂量糖皮质激素和免疫抑制剂,可能引起结核病复发,另外患者在抗痨治疗中无明显药物不良反应,故继续抗结核治疗。

    经过上述治疗,患者体温控制,未再出现明显腹痛症状,病情平稳出院。目前该患者还在随诊中。
, 百拇医药
    体 会

    患者在外院检查近10个月,白塞病为什么会被延迟诊断? 其原因可能有以下几点:

    1. 长期发热待查的四大类疾病包括感染、肿瘤、自身免疫性疾病,及其他疾病,自身免疫性疾病是重要的病因之一。白塞病典型表现以复发性口腔溃疡、外阴溃疡、眼炎及皮肤损害为特征,仅在白塞病复燃时尤其当有关节炎、结节红斑或深静脉血栓时,可能会出现低/中度发热,而以发热为首发症状,特别是以发热作为惟一表现的白塞病非常罕见,发热症状可在明确诊断白塞病前迁延数月至数年,所以在发热待查的鉴别诊断方面白塞病常被忽视。

    2. 口腔溃疡作为常见症状常被患者和家属忽略,未能提供病史。

    3. 白塞病无特异性检查,无明确相关的自身抗体,在筛查中易遗漏。

    4. 病程中发热伴白细胞增高,易被误诊为普通细菌感染。
, http://www.100md.com
    5. 白塞病和结核病有关,有研究表明,白塞病患者的PPD抗体滴度明显增高,故常被误诊为结核病。该患者在病程中有胸水、腹痛,血沉快,在发病初期明确诊断的确有一定难度,但是如果仔细询问病史,重视显著升高的炎性指标和追踪抗痨治疗效果,可能会更早一些得到正确诊断。

    白塞病预后变化很大,一旦累及重要脏器则预后不良,早期发现、早期治疗尤为重要。目前主要应用全身糖皮质激素和免疫抑制剂治疗。血管受累是白塞病的主要死因之一,发生率约25%,男性较女性更常见,分别为36% 和 14% 。动脉瘤破裂外科修补术和人工血管植入后血管瘤的复发率为25%,预后不良。

    点 评

    患者为青年男性,以长期发热、多浆膜腔积液为主要表现,诊断为结核病但抗结核治疗无效,以后又突发腹、背部剧痛。文章介绍了长期发热的鉴别诊断和白塞病的诊断要点。不完全性白塞病可以没有临床的口腔溃疡、外阴溃疡、眼炎及皮肤损害等特有表现,在临床上容易被漏诊、误诊。在处理其并发症动脉瘤时,如果病变处于活动期,外科治疗和介入治疗要慎行,首先要控制白塞病。(刘晓红)

    图1 腹部增强CT血管重建:肠系膜上动脉动脉瘤

    图2 胸部增强CT血管重建:升主动脉动脉瘤, http://www.100md.com