醛化脐带静脉和自体颈静脉移植的实验研究
作者:许 可 陈维佩
单位:邮政编码630038重庆,第三军医大学应用解剖与手术学教研室
关键词:静脉;移植;组织学,比较
中华医学杂志930709 摘要 用醛化脐带静脉移植于犬腹主动脉,并以犬自体颈静脉作为对照,观察移植效果及其愈合的规律和机理。结果:两组静脉移植后(6个月)的通畅率无显著差异;两组静脉移植后愈合均经历了急性损伤、急性炎症反应、组织增生修复三个阶段。自体静脉组内皮细胞生长较醛化脐带静脉早且快,但术后6个月两组均已内皮细胞化。醛化脐带静脉移植后不引起免疫排斥反应,且具有血管壁结构及抗血栓功能,能保持血管通畅,可作为动脉移植的代用品。
随着动脉硬化、脉管炎、血管外伤等疾病的增加,寻找理想的中小动脉代用品,重建肢体和器官的血流是当前血管外科迫切需要解决的课题〔1〕。近年来,有人试用生物性脐带静脉修复血管,取得了一定效果,但实验研究尚不够深入,尤其对胎儿脐带静脉移植后的超微结构动态观察很少〔2〕。本实验采用脐带静脉(简称HUV)进行犬腹主动脉移植,同时与犬自体颈静脉(简称AJV)作对照,以研究和比较两组移植的效果和移植后静脉愈合的规律及其机理,为提高通畅率和为临床筛选较合适的血管代用品提供理论依据。
, http://www.100md.com
材料及方法
一、实验动物及分组
取本地杂种犬45只,体重9~13kg,雌雄不拘,随机分为AJV移植组和HUV移植组,其中AJV移植组21只,HUV移植组24只,AJV和HUV移植组的动物又随机分为6个时相点,即1天,1、2周,1、3、6个月,每一时相点3~5只犬,定期进行各项指标检查。
二、手术方法
1.AJV移植组:将犬麻醉后在无菌条件下,先在犬颈部外侧切开皮肤、皮下组织,切取2cm颈外静脉,用肝素盐水冲洗管腔待用。然后进腹分离肾动脉以下的腹主动脉,切断腹主动脉,用5-0聚丙烯无损伤缝线将颈外静脉(倒置)与腹主动脉两断端作两定点连续缝合。
2.HUV移植组:(1)HUV的制备:取新鲜正常分娩胎儿脐带,用肝素盐水彻底冲洗脐带静脉管腔,并注入肝素生理盐水,使其膨胀,结扎两端,以便剥离脐带静脉周围的胶状组织及两根脐动脉,操作时勿伤静脉壁,选择直径适合的玻璃棒插入脐带静脉管腔中,置于0.5%戊二醛缓冲液中固定48小时,再贮于50%酒精中待用。(2)移植方法:当测得犬腹主动脉内径后,取与其内径相同的脐带静脉,长约2cm,用AJV移植的方法将脐带静脉段与腹主动脉进行端端吻合。两组动物在术中及术后全身均不用抗凝处理。
, 百拇医药
三、观察指标
1.临床观察:术后观察犬的活动度,肢体肿胀,股动脉搏动,后肢皮温变化。
2.动脉造影检查:AJV和HUV移植组的3个月和6个月时相点中各取3只犬在观察期末进行股动脉造影检查。
3.大体解剖检查:定期观察移植静脉管腔的通畅程度,内膜生长情况。
4.光镜观察:定期取标本常规组织切片,HE染色和Masson三色法染色分别观察移植血管壁各层组织结构变化,以及血管壁内弹力纤维、胶原纤维、平滑肌纤维的改变。
5.电镜观察:定期取标本按常规方法分别制作电镜样品,在T-300扫描电镜(日本产)下观察移植段血管的内表面内皮细胞的演变,在H-300透射电镜(日本产)下观察移植段静脉壁各层超微结构改变。
, http://www.100md.com
结 果
一、AJV和HUV移植的效果
经大体解剖及动脉造影检查两组移植物的通畅、阻塞、狭窄的结果相一致(图1,附表)。AJV组6个月内的通畅率达95.2%,HUV组6个月内的通畅率为87.5%,两组差异无显著意义(P>0.05)。
图1 腹主动脉造影,HUV移植后6个月,移植段静脉通畅(箭头)
附表 犬AJV组与HUV组移植6个月内结果 组别
动物数(只)
通畅只数△
狭窄只数
, 百拇医药
栓塞只数
AJV
21
20
1
1
HUV
24
21
3
3
△P>0.05
二、病理组织形态学的动态观察
, http://www.100md.com
取各个时相点的标本经光镜、扫描电镜、透射电镜观察发现,两组静脉移植后经历了三个阶段,即急性损伤阶段(1周内明显)、急性炎症反应阶段(1个月内明显)、组织增生修复阶段(1个月开始)。
1.急性损伤阶段:主要表现为内皮细胞变性,脱落,内皮下纤维组织裸露,血液成分沉积,形成附壁血栓,内膜下纤维素膜形成,壁内各层组织水肿,血管扩张、充血,散在出血。
2.急性炎症反应阶段:在术后2周后明显,持续到术后1个月。表现为壁内组织水肿加重,内膜下最为明显,肌层、外膜局灶性出血、片状嗜中性粒细胞浸润及在炎性细胞浸润区内有片状灶性坏死,HUV组的炎症反应较AJV组为重。
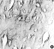
3.组织增生修复阶段:(1)内皮细胞层:AJV移植组在术后2周开始有内皮细胞自宿主动脉跨动-静脉交界处向移植静脉管腔生长,同时残存于静脉内表面的内皮细胞开始增殖并向四周延伸;HUV移植组在术后1个月才有内皮细胞跨动-静脉交界处向移植段管腔生长。术后3个月两组静脉的内表面大部分区域均已为内皮细胞覆盖,但中央仍缺乏内皮细胞,AJV组较HUV组的内皮细胞生长快一些。移植后6个月,新生内皮细胞已完全覆盖于两组静脉的内表面,这些内皮细胞排列整齐,细胞无裂隙(图2),说明整个移植段已基本内皮细胞化。(2)内皮下层:裸露的内皮下层血液成分沉积逐渐减少,代之以成纤维细胞、胶原纤维增生,这就构成了新内膜的成分。随着时间的延长,新内膜的多细胞层结构越明显,多达10层。AJV组在术后2周,HUV组在术后1个月移植静脉距吻合口附近内皮下层可见有肌内膜细胞,至术后3个月移植段中央的内膜下亦见有散在的肌内膜细胞(图3),术后6个月内皮下已由纤维结缔组织和散在片状的软骨样化生所代替(图4)。(3)中膜和外膜:中膜内平滑肌细胞增生,部分出现肌内膜细胞样变,并逐渐移向内膜下。外膜中的滋养血管增多,成纤维细胞增生活跃,术后3个月开始,外膜中纤维结缔组织逐渐增多。

, http://www.100md.com
图2 HUV移植后6个月,内皮细胞排列整齐,细胞间无间隙 SEM×20000
图3 HUV移植后3个月,移植段内膜下的肌内膜细胞,胞浆内可见肌原纤维SEM×15000
图4 HUV移植段内膜软骨样化生 HE×450
讨 论
一、脐带静脉作为动脉移植的临床应用评价
脐带静脉作为生物性血管代用品,具有来源方便、血管构造符合生理、无静脉属支,有一定柔软性和屈曲性等优点。近年来,国外应一定柔软性和屈曲性等优点。近年来,国外应用较多〔1,2〕。国内孙金星等〔3〕亦有个别成功的临床报道。本实验的结果表明,戊二醛处理的脐带静脉移植组6个月内的通畅率与自体静脉移植组无显著差异。所以,当患者自体静脉不适用或为了节省时间,减轻患者痛苦或紧急情况下,脐带静脉可作为中小动脉移植较佳的代用品。
, 百拇医药
二、静脉移植后愈合的规律及其机理
从本实验动态观察病理组织变化的资料中得出:静脉移植后愈合规律是经过急性损伤(1周内)、急性炎症反应(1个月内)、组织修复(1个月后)等三个阶段,它们之间又是相互联系的发展演变过程,反映机体对创伤的正常生理机能。在静脉移植的急性损伤和炎症反应阶段,由于内皮细胞损伤、脱落(脐带静脉尤甚),内皮细胞合成前列环素减少,血小板激活,释放血栓素A2及其它凝血因子,血小板成堆聚集并附着于裸露的网状胶原纤维层,同时,内膜损伤还可以释放组织凝血因子,激活内、外凝血系统,加速凝血过程,形成附壁血栓〔4〕。此后,随着血流的冲洗和自身纤溶机制,大部分血栓消退、消除或机化,裸露的内皮下层逐渐变成平滑的板状纤维层,为新生内皮细胞生长爬行创造有利条件,再后,以皮下层新内膜增生,内膜表面内皮细胞化,中膜外膜的炎症、出血、坏死被吸收消失,肉芽组织增生并进一步纤维化,从而保持血管壁结构。针对这三个阶段规律性演变,为提高通畅率,我们提出以下措施:首先,正确的缝合技术是减少内膜损伤,保证血管通畅的重要因素,其次,选择合适的抗血小板聚集药物,最后,加速血流,减少血液粘性。
, 百拇医药
本文对组织修复过程中有关内皮细胞化、新生内膜和肌内膜细胞以及软骨化生等问题作进一步探讨。
1.内皮细胞化:从本实验发现,AJV移植组的新生内皮细胞来源于邻近动脉和残存于静脉内 表面的内皮细胞增殖,而HUV移植组新生的内皮细胞仅来自宿主动脉。AJV组新生内皮细胞化比HUV组再生早且快,两组静脉在术后6个月整个移植段已基本内皮细胞化。
2.新内膜形成与肌内膜细胞:本实验发现AJV组与HUV组内膜下有散在肌内膜细胞,它是平滑肌细胞逐渐移行到裸露的内皮下层演变来的,因为它既有平滑肌的肌原纤维、致密斑、线粒体,又有成纤维细胞的粗面内质网、高尔基器等。
3.软骨化生:本实验证实脐带静脉移植后1、3、6、个月可见内膜散在软骨化生外〔5〕,还观察到自体静脉移植后6个月新内膜也有散在软骨化生。
三、脐带静脉在异种、异体内的免疫反应
, 百拇医药
戊二醛能降低血管免疫反应,主要是使蛋白质分子之间发生不可逆转的化学交联,从而封闭蛋白质分子抗原基历,同时增强了移植物的稳定性,本实验证实醛化脐带静脉既保持血管结构的完整,亦具有抗凝性能,移植后仍可获得内膜重建的结果〔6〕,故该脐带静脉有较大的临床应用价值。
参考文献
1 Weisel RD,Johnston KW,Baird RJ,et al.Comparison of conduits for leg revascularization.Surgery,1981,89:9.
2 Dardik H,Zbrahim IM,Sussman B,et al.Clinical and morphologic assessment of long-term human umbilical cord vein implants employed as vascular conduits.Vasc Surg,1980,14:175.
, 百拇医药
3 孙金星,高东来,陈登华,等。脐带静脉代血管的实验研究和临床应用。中华外科杂志,1989,27:114.
4 Heynen YG.Immediate and longterm evolution of the blood-venous graft interface.Experimental study in dogs.Eur Surg Res,1983,15:230.
5 Komoto Y,Kohmoto T,Kobayashi S.Some pathophysiolgical aspects of modified human umbilical cord vein used as an arterial conduit.Vasc Surg,1984,18:347.
6 陈维佩,郭光金,姚长乐,等。脐静脉的制备及动脉移植的实验研究。中华实验外科杂志,1987,4:121.
(收稿:1992-07-24 修回:1993-04-05), 百拇医药
单位:邮政编码630038重庆,第三军医大学应用解剖与手术学教研室
关键词:静脉;移植;组织学,比较
中华医学杂志930709 摘要 用醛化脐带静脉移植于犬腹主动脉,并以犬自体颈静脉作为对照,观察移植效果及其愈合的规律和机理。结果:两组静脉移植后(6个月)的通畅率无显著差异;两组静脉移植后愈合均经历了急性损伤、急性炎症反应、组织增生修复三个阶段。自体静脉组内皮细胞生长较醛化脐带静脉早且快,但术后6个月两组均已内皮细胞化。醛化脐带静脉移植后不引起免疫排斥反应,且具有血管壁结构及抗血栓功能,能保持血管通畅,可作为动脉移植的代用品。
随着动脉硬化、脉管炎、血管外伤等疾病的增加,寻找理想的中小动脉代用品,重建肢体和器官的血流是当前血管外科迫切需要解决的课题〔1〕。近年来,有人试用生物性脐带静脉修复血管,取得了一定效果,但实验研究尚不够深入,尤其对胎儿脐带静脉移植后的超微结构动态观察很少〔2〕。本实验采用脐带静脉(简称HUV)进行犬腹主动脉移植,同时与犬自体颈静脉(简称AJV)作对照,以研究和比较两组移植的效果和移植后静脉愈合的规律及其机理,为提高通畅率和为临床筛选较合适的血管代用品提供理论依据。
, http://www.100md.com
材料及方法
一、实验动物及分组
取本地杂种犬45只,体重9~13kg,雌雄不拘,随机分为AJV移植组和HUV移植组,其中AJV移植组21只,HUV移植组24只,AJV和HUV移植组的动物又随机分为6个时相点,即1天,1、2周,1、3、6个月,每一时相点3~5只犬,定期进行各项指标检查。
二、手术方法
1.AJV移植组:将犬麻醉后在无菌条件下,先在犬颈部外侧切开皮肤、皮下组织,切取2cm颈外静脉,用肝素盐水冲洗管腔待用。然后进腹分离肾动脉以下的腹主动脉,切断腹主动脉,用5-0聚丙烯无损伤缝线将颈外静脉(倒置)与腹主动脉两断端作两定点连续缝合。
2.HUV移植组:(1)HUV的制备:取新鲜正常分娩胎儿脐带,用肝素盐水彻底冲洗脐带静脉管腔,并注入肝素生理盐水,使其膨胀,结扎两端,以便剥离脐带静脉周围的胶状组织及两根脐动脉,操作时勿伤静脉壁,选择直径适合的玻璃棒插入脐带静脉管腔中,置于0.5%戊二醛缓冲液中固定48小时,再贮于50%酒精中待用。(2)移植方法:当测得犬腹主动脉内径后,取与其内径相同的脐带静脉,长约2cm,用AJV移植的方法将脐带静脉段与腹主动脉进行端端吻合。两组动物在术中及术后全身均不用抗凝处理。
, 百拇医药
三、观察指标
1.临床观察:术后观察犬的活动度,肢体肿胀,股动脉搏动,后肢皮温变化。
2.动脉造影检查:AJV和HUV移植组的3个月和6个月时相点中各取3只犬在观察期末进行股动脉造影检查。
3.大体解剖检查:定期观察移植静脉管腔的通畅程度,内膜生长情况。
4.光镜观察:定期取标本常规组织切片,HE染色和Masson三色法染色分别观察移植血管壁各层组织结构变化,以及血管壁内弹力纤维、胶原纤维、平滑肌纤维的改变。
5.电镜观察:定期取标本按常规方法分别制作电镜样品,在T-300扫描电镜(日本产)下观察移植段血管的内表面内皮细胞的演变,在H-300透射电镜(日本产)下观察移植段静脉壁各层超微结构改变。
, http://www.100md.com
结 果
一、AJV和HUV移植的效果
经大体解剖及动脉造影检查两组移植物的通畅、阻塞、狭窄的结果相一致(图1,附表)。AJV组6个月内的通畅率达95.2%,HUV组6个月内的通畅率为87.5%,两组差异无显著意义(P>0.05)。
图1 腹主动脉造影,HUV移植后6个月,移植段静脉通畅(箭头)
附表 犬AJV组与HUV组移植6个月内结果 组别
动物数(只)
通畅只数△
狭窄只数
, 百拇医药
栓塞只数
AJV
21
20
1
1
HUV
24
21
3
3
△P>0.05
二、病理组织形态学的动态观察
, http://www.100md.com
取各个时相点的标本经光镜、扫描电镜、透射电镜观察发现,两组静脉移植后经历了三个阶段,即急性损伤阶段(1周内明显)、急性炎症反应阶段(1个月内明显)、组织增生修复阶段(1个月开始)。
1.急性损伤阶段:主要表现为内皮细胞变性,脱落,内皮下纤维组织裸露,血液成分沉积,形成附壁血栓,内膜下纤维素膜形成,壁内各层组织水肿,血管扩张、充血,散在出血。
2.急性炎症反应阶段:在术后2周后明显,持续到术后1个月。表现为壁内组织水肿加重,内膜下最为明显,肌层、外膜局灶性出血、片状嗜中性粒细胞浸润及在炎性细胞浸润区内有片状灶性坏死,HUV组的炎症反应较AJV组为重。
3.组织增生修复阶段:(1)内皮细胞层:AJV移植组在术后2周开始有内皮细胞自宿主动脉跨动-静脉交界处向移植静脉管腔生长,同时残存于静脉内表面的内皮细胞开始增殖并向四周延伸;HUV移植组在术后1个月才有内皮细胞跨动-静脉交界处向移植段管腔生长。术后3个月两组静脉的内表面大部分区域均已为内皮细胞覆盖,但中央仍缺乏内皮细胞,AJV组较HUV组的内皮细胞生长快一些。移植后6个月,新生内皮细胞已完全覆盖于两组静脉的内表面,这些内皮细胞排列整齐,细胞无裂隙(图2),说明整个移植段已基本内皮细胞化。(2)内皮下层:裸露的内皮下层血液成分沉积逐渐减少,代之以成纤维细胞、胶原纤维增生,这就构成了新内膜的成分。随着时间的延长,新内膜的多细胞层结构越明显,多达10层。AJV组在术后2周,HUV组在术后1个月移植静脉距吻合口附近内皮下层可见有肌内膜细胞,至术后3个月移植段中央的内膜下亦见有散在的肌内膜细胞(图3),术后6个月内皮下已由纤维结缔组织和散在片状的软骨样化生所代替(图4)。(3)中膜和外膜:中膜内平滑肌细胞增生,部分出现肌内膜细胞样变,并逐渐移向内膜下。外膜中的滋养血管增多,成纤维细胞增生活跃,术后3个月开始,外膜中纤维结缔组织逐渐增多。
, http://www.100md.com
图2 HUV移植后6个月,内皮细胞排列整齐,细胞间无间隙 SEM×20000
图3 HUV移植后3个月,移植段内膜下的肌内膜细胞,胞浆内可见肌原纤维SEM×15000
图4 HUV移植段内膜软骨样化生 HE×450
讨 论
一、脐带静脉作为动脉移植的临床应用评价
脐带静脉作为生物性血管代用品,具有来源方便、血管构造符合生理、无静脉属支,有一定柔软性和屈曲性等优点。近年来,国外应一定柔软性和屈曲性等优点。近年来,国外应用较多〔1,2〕。国内孙金星等〔3〕亦有个别成功的临床报道。本实验的结果表明,戊二醛处理的脐带静脉移植组6个月内的通畅率与自体静脉移植组无显著差异。所以,当患者自体静脉不适用或为了节省时间,减轻患者痛苦或紧急情况下,脐带静脉可作为中小动脉移植较佳的代用品。
, 百拇医药
二、静脉移植后愈合的规律及其机理
从本实验动态观察病理组织变化的资料中得出:静脉移植后愈合规律是经过急性损伤(1周内)、急性炎症反应(1个月内)、组织修复(1个月后)等三个阶段,它们之间又是相互联系的发展演变过程,反映机体对创伤的正常生理机能。在静脉移植的急性损伤和炎症反应阶段,由于内皮细胞损伤、脱落(脐带静脉尤甚),内皮细胞合成前列环素减少,血小板激活,释放血栓素A2及其它凝血因子,血小板成堆聚集并附着于裸露的网状胶原纤维层,同时,内膜损伤还可以释放组织凝血因子,激活内、外凝血系统,加速凝血过程,形成附壁血栓〔4〕。此后,随着血流的冲洗和自身纤溶机制,大部分血栓消退、消除或机化,裸露的内皮下层逐渐变成平滑的板状纤维层,为新生内皮细胞生长爬行创造有利条件,再后,以皮下层新内膜增生,内膜表面内皮细胞化,中膜外膜的炎症、出血、坏死被吸收消失,肉芽组织增生并进一步纤维化,从而保持血管壁结构。针对这三个阶段规律性演变,为提高通畅率,我们提出以下措施:首先,正确的缝合技术是减少内膜损伤,保证血管通畅的重要因素,其次,选择合适的抗血小板聚集药物,最后,加速血流,减少血液粘性。
, 百拇医药
本文对组织修复过程中有关内皮细胞化、新生内膜和肌内膜细胞以及软骨化生等问题作进一步探讨。
1.内皮细胞化:从本实验发现,AJV移植组的新生内皮细胞来源于邻近动脉和残存于静脉内 表面的内皮细胞增殖,而HUV移植组新生的内皮细胞仅来自宿主动脉。AJV组新生内皮细胞化比HUV组再生早且快,两组静脉在术后6个月整个移植段已基本内皮细胞化。
2.新内膜形成与肌内膜细胞:本实验发现AJV组与HUV组内膜下有散在肌内膜细胞,它是平滑肌细胞逐渐移行到裸露的内皮下层演变来的,因为它既有平滑肌的肌原纤维、致密斑、线粒体,又有成纤维细胞的粗面内质网、高尔基器等。
3.软骨化生:本实验证实脐带静脉移植后1、3、6、个月可见内膜散在软骨化生外〔5〕,还观察到自体静脉移植后6个月新内膜也有散在软骨化生。
三、脐带静脉在异种、异体内的免疫反应
, 百拇医药
戊二醛能降低血管免疫反应,主要是使蛋白质分子之间发生不可逆转的化学交联,从而封闭蛋白质分子抗原基历,同时增强了移植物的稳定性,本实验证实醛化脐带静脉既保持血管结构的完整,亦具有抗凝性能,移植后仍可获得内膜重建的结果〔6〕,故该脐带静脉有较大的临床应用价值。
参考文献
1 Weisel RD,Johnston KW,Baird RJ,et al.Comparison of conduits for leg revascularization.Surgery,1981,89:9.
2 Dardik H,Zbrahim IM,Sussman B,et al.Clinical and morphologic assessment of long-term human umbilical cord vein implants employed as vascular conduits.Vasc Surg,1980,14:175.
, 百拇医药
3 孙金星,高东来,陈登华,等。脐带静脉代血管的实验研究和临床应用。中华外科杂志,1989,27:114.
4 Heynen YG.Immediate and longterm evolution of the blood-venous graft interface.Experimental study in dogs.Eur Surg Res,1983,15:230.
5 Komoto Y,Kohmoto T,Kobayashi S.Some pathophysiolgical aspects of modified human umbilical cord vein used as an arterial conduit.Vasc Surg,1984,18:347.
6 陈维佩,郭光金,姚长乐,等。脐静脉的制备及动脉移植的实验研究。中华实验外科杂志,1987,4:121.
(收稿:1992-07-24 修回:1993-04-05), 百拇医药