特发性间质性肾炎临床病理分析
作者:金其庄 刘玉春 谌贻璞 章友康 潘辑圣 周春华 邹万忠 王海燕
单位:100034 北京医科大学第一医院肾内科北京医科大学肾脏病研究所(金其庄、刘玉春、谌贻璞、章友康、潘辑圣、邹万忠、王海燕);中国人民解放军海军总医院肾内科(周春华)
关键词:肾炎,间质性;肾功能衰竭,急性
中华医学杂志980319
【摘要】 目的 提高对特发性间质性肾炎的认识,了解其临床、病理特点,以避免误漏诊。方法 对7例特发性间质性肾炎行肾活检免疫荧光及电镜检查,血肌酐,β2微球蛋白测定并做眼科检查。全部病人用糖皮质激素,部分用环磷酰胺治疗随访半年~5年。结果 临床主要表现为非少尿型急性肾功能不全,伴轻度蛋白尿(<2 g/24 h)、镜下血尿及明显的肾小管功能障碍。3例有高γ球蛋白血症,2例合并了眼色素膜炎。肾活检为典型的肾小管间质炎症,而肾小球及肾血管基本正常。5例病人治疗取得较好疗效。结论 对临床上无原因的肾功能不全,特别是非少尿型急性肾衰并伴有肾小管功能障碍者,应考虑此病的可能,尽早行肾活检明确诊断,尽早治疗。
, 百拇医药
Idiopathic interstitial nephritis induced acute renal failure: clinical and pathological analysis Jin Qizhuang, Liu Yuchun, Shen Yipu, et al.Department of Nephrology, First Hospital, Institute of Nephrology, Beijing Medical University, Beijing 100034
【Abstract】 Objective To understand idiopathic interstitial nephritis (IIN) and its relationship with acute renal failure as well as its clinical and pathological character istics for avoiding misdiagnosis and missing diagnosis.Method A detail clinical and pathological analysis was performed on 7 patients with idiopathic interstitial nephritis. Results The major manifestations were acute non-oliguric renal insufficiency combined with mild proteinuria (<2g/d ), microscopic hematuria and obvious disorder of renal tubular function ( for example, glycosuria ). Three patients had high γ-globulinemia and 2 were associated with uveitis. Renal biopsy showed typical tubulointerstial nephritis but glomeruli, and the renal vasculature was almost normal. All patients were treated with prednison. Renal function recovered in 5 patients. Conclusion When a patient has renal insufficiency especially non-oliguric renal failure with disorder of tubular function without definite causes, IIN should be considered. The diagnosis and treatment should be done immediately.
, 百拇医药
【Key words】 Idiopathic interstitial nephritis Acute renal failur
(Natl Med J China, 1998,78:222-224)
特发性间质性肾炎[1],目前国内尚少见报道。我院于1990年1月~1996年1月收治了7例并进行临床病理分析,以提高对该病的认识,现报道如下。
对象与方法
7例特发性间质性肾炎病人,男5例,女2例,年龄18~55岁,平均31.71岁。
7例病人均行血常规、尿蛋白定量、尿浓缩试验、血肌酐(SCr)及肾脏B超检查,部分病人测定了指甲肌酐和尿β2微球蛋白。全部病人于起病后1~5个月行肾穿刺活检,其中1例于治疗后1个月又行第二次肾活检。病理标本分别做光镜(HE、PAS、PASM及Masson三色染色)、免疫荧光及电镜检查。7例病人均行眼科检查。
, 百拇医药
特发性间质性肾炎的诊断标准:临床上突出表现为肾小管功能障碍,如糖尿、低比重尿等,多有急性肾衰表现及轻度蛋白尿、血尿。无系统性疾病,3个月内无用药或感染性疾病史。肾活检病理见肾间质水肿,伴弥漫或多灶性炎性细胞(主要是单核、淋巴细胞)浸润,肾小管上皮细胞变性坏死或灶状萎缩,而肾小球、肾血管相对正常。免疫病理检查未见肾小管基底膜的免疫球蛋白沉着。
全部病人均于肾活检明确诊断后行糖皮质激素治疗,泼尼松25~40 mg/24 h,1.5~3个月,然后逐渐减量,总疗程3~6个月,4例病人同时应用了环磷酰胺大剂量静脉注射治疗,每次0.4~0.8 g,两次间隔为2~4周,总量4~8 g。对严重肾衰病人行血液透析治疗。
疗效判断标准:根据7例病人的疗效,初步制定如下标准(随访后):(1)完全缓解:Scr及肾小管功能恢复正常,尿检查完全正常;(2)部分缓解:Scr正常,肾小管功能未完全恢复正常;(3)无效:Scr及肾小管功能均无改善,呈慢性肾功能衰竭,依靠血液透析维持生命。
, 百拇医药
7例病人随访了0.5年~5年,平均2.5年。
结果
1.一般表现:病人多有不同程度的前驱症状,最常见的是乏力、腰酸。水肿及高血压不明显,贫血多见。4例病人的血沉高于正常。3例γ球蛋白升高(0.21~0.30)。2例有水肿,2例有眼色素膜炎。
2.化验检查:特发性间质性肾炎的尿蛋白定量一般小于2 g/24 h,本组6例尿蛋白在0.9~1.9 g,仅1例曾一过性达6 g/24 h,但其血浆白蛋白正常。4例病人有镜下血尿,5例病人尿糖阳性,但同时血糖均正常。在4例β2微球蛋白明显升高(≥2.5 mg/L),7例血肌酐均升高,(141.4~1113.8μmol/L),尿量在正常范围内。另外,4例受检病人的指甲肌酐均正常,提示病人3个月前血肌酐水平是正常的,也支持病人的肾功能损害属急性。本组病人均经过B型超声检查,肾脏大小均正常。
, 百拇医药
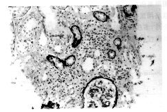
3.病理改变特点:以间质水肿、炎性细胞浸润和肾小管变性萎缩为突出表现,浸润的炎性细胞为单核及淋巴细胞。肾小球正常或轻度系膜细胞及基质增生,1例肾小球基底膜呈缺血性皱缩,3例有轻度系膜增生,肾血管均未见异常。3例有不同程度的间质纤维化,免疫荧光检查,肾小球及肾小管基底膜未见免疫复合物沉着(图1)
图1 治疗前可见间质弥漫性炎症细胞浸润
及间质水肿HE染色×200
4.疗效与转归:全部病人用激素,经过4~6周治疗,2例完全缓解,3例部分缓解,2例无效。1例依赖透析,1例进入终末肾衰,行血液透析治疗)。1例于治疗1个月又行第二次肾活检,间质炎症细胞浸润变为局灶性病变,间质水肿消失(图2)。经随访半年至5年,除1例继续透析,1例死亡外,其余5例病人的血肌酐及血色素均保持在正常水平。
, 百拇医药
图2 治疗后可见间质炎症细胞浸润减轻
水肿消失HE+PAS染色×200
讨论
原发于肾间质的炎症在肾功能的损害中所占的比例日益受到重视。有报道在终末期肾损害中,约有1/3来自原发间质的炎症[2]。特发性间质性肾炎是间质性肾炎中的一个特殊类型,国外目前报道已近100例[3],我院收治急性肾衰病人54例,急性间质性肾炎占18例,其中7例为特发性间质性肾炎,占急性肾衰的13%,占急性间质性肾炎的38.9%,这说明本病并非少见,主要是缺乏对它的认识。
本组资料显示,此病可以是急性起病,也可以是隐袭起病,待发现时已进入不可逆的临床病理状态。其临床及病理有如下特点:(1)没有肯定的感染、药物、毒物等诱因;(2)肾小球滤过功能进行性下降,多数表现为急性肾功能不全,但尿量往往无减少;(3)有肾小管功能障碍的表现;(4)病人往往伴有轻至中度贫血、血沉增快、γ球蛋白升高等肾外表现;(5)肾脏病理表现均为间质小管明显的炎症改变,如间质水肿、炎性细胞浸润(以单核及淋巴细胞为主,偶有嗜酸细胞),小管萎缩,晚期则可出现间质纤维化,而肾小球、肾血管正常或变化轻微。
, 百拇医药
特发性间质肾炎的病因及发病机理目前尚不清楚,多数报道均认为此病的发病机制与免疫反应有关。有人测定了此病间质浸润的炎性细胞为CD4+及CD8+T淋巴细胞,推测迟发超敏反应为其主要发病机制[4]。本组7例抗TBM均为阴性。另外,此病与免疫反应有关的证据是,它有时与其它免疫性疾病合并,如眼色素膜炎、溃疡性结肠炎等[5]。
对本病是否用糖皮质激素治疗尚无定论,主要是病例数少且无对照研究。但大多都应用此类药物且用量较大,如泼尼松每天40~80 mg/kg,甚至有用甲基强的松龙冲击治疗,每天500 mg,连续3天,以后用泼尼松100 mg口服维持[6]。一般疗程1~3个月,多获得较好疗效。对于肾间质已经进入纤维化等慢性病变的病人,则效果较差。
参考文献
1 Rodriguez-Perez JC, Cruz-Alamo M, Perez-Aciego P, et al. Clinical and immune aspects of idiopathic acute tubulointerstitial nephritis and uveitis syndrome. Am J Nephrol, 1995, 15: 386-391.
, 百拇医药
2 Toto Robert D. Review: acute Tubulointerstitial Nephritis. Am J Med Sci, 1990, 299:392-410.
3 Chanza JA, Garella S, Esparza A. Acute interstitial nephritis: A distinct clinico-pathological entity? Nephron, 1972,9: 10.
4 Okada H, Konishi k, Suzuki H, et al, Steroid-responsive renal in sufficiency due to idiopathic grnuloma tubulointerstitil nephritis. Am J Nephrol, 1993, 13:164-166.
5 Zeier M, Schmidt R, Andrassy K, et al. Idiopathic interstitial nephritis complicating ulcerative colitis. Nephrol Dial Transplant, 1990, 5:901-902.
6 Spital A, Panner BJ, Sterns RH. Acute idiopathic tubulointerstitial nephritis: Report of two cases and review of the literature. Am J Kidney Dis, 1987, 9:71-78.
(收稿:1997-05-29 修回:1997-08-21), http://www.100md.com
单位:100034 北京医科大学第一医院肾内科北京医科大学肾脏病研究所(金其庄、刘玉春、谌贻璞、章友康、潘辑圣、邹万忠、王海燕);中国人民解放军海军总医院肾内科(周春华)
关键词:肾炎,间质性;肾功能衰竭,急性
中华医学杂志980319
【摘要】 目的 提高对特发性间质性肾炎的认识,了解其临床、病理特点,以避免误漏诊。方法 对7例特发性间质性肾炎行肾活检免疫荧光及电镜检查,血肌酐,β2微球蛋白测定并做眼科检查。全部病人用糖皮质激素,部分用环磷酰胺治疗随访半年~5年。结果 临床主要表现为非少尿型急性肾功能不全,伴轻度蛋白尿(<2 g/24 h)、镜下血尿及明显的肾小管功能障碍。3例有高γ球蛋白血症,2例合并了眼色素膜炎。肾活检为典型的肾小管间质炎症,而肾小球及肾血管基本正常。5例病人治疗取得较好疗效。结论 对临床上无原因的肾功能不全,特别是非少尿型急性肾衰并伴有肾小管功能障碍者,应考虑此病的可能,尽早行肾活检明确诊断,尽早治疗。
, 百拇医药
Idiopathic interstitial nephritis induced acute renal failure: clinical and pathological analysis Jin Qizhuang, Liu Yuchun, Shen Yipu, et al.Department of Nephrology, First Hospital, Institute of Nephrology, Beijing Medical University, Beijing 100034
【Abstract】 Objective To understand idiopathic interstitial nephritis (IIN) and its relationship with acute renal failure as well as its clinical and pathological character istics for avoiding misdiagnosis and missing diagnosis.Method A detail clinical and pathological analysis was performed on 7 patients with idiopathic interstitial nephritis. Results The major manifestations were acute non-oliguric renal insufficiency combined with mild proteinuria (<2g/d ), microscopic hematuria and obvious disorder of renal tubular function ( for example, glycosuria ). Three patients had high γ-globulinemia and 2 were associated with uveitis. Renal biopsy showed typical tubulointerstial nephritis but glomeruli, and the renal vasculature was almost normal. All patients were treated with prednison. Renal function recovered in 5 patients. Conclusion When a patient has renal insufficiency especially non-oliguric renal failure with disorder of tubular function without definite causes, IIN should be considered. The diagnosis and treatment should be done immediately.
, 百拇医药
【Key words】 Idiopathic interstitial nephritis Acute renal failur
(Natl Med J China, 1998,78:222-224)
特发性间质性肾炎[1],目前国内尚少见报道。我院于1990年1月~1996年1月收治了7例并进行临床病理分析,以提高对该病的认识,现报道如下。
对象与方法
7例特发性间质性肾炎病人,男5例,女2例,年龄18~55岁,平均31.71岁。
7例病人均行血常规、尿蛋白定量、尿浓缩试验、血肌酐(SCr)及肾脏B超检查,部分病人测定了指甲肌酐和尿β2微球蛋白。全部病人于起病后1~5个月行肾穿刺活检,其中1例于治疗后1个月又行第二次肾活检。病理标本分别做光镜(HE、PAS、PASM及Masson三色染色)、免疫荧光及电镜检查。7例病人均行眼科检查。
, 百拇医药
特发性间质性肾炎的诊断标准:临床上突出表现为肾小管功能障碍,如糖尿、低比重尿等,多有急性肾衰表现及轻度蛋白尿、血尿。无系统性疾病,3个月内无用药或感染性疾病史。肾活检病理见肾间质水肿,伴弥漫或多灶性炎性细胞(主要是单核、淋巴细胞)浸润,肾小管上皮细胞变性坏死或灶状萎缩,而肾小球、肾血管相对正常。免疫病理检查未见肾小管基底膜的免疫球蛋白沉着。
全部病人均于肾活检明确诊断后行糖皮质激素治疗,泼尼松25~40 mg/24 h,1.5~3个月,然后逐渐减量,总疗程3~6个月,4例病人同时应用了环磷酰胺大剂量静脉注射治疗,每次0.4~0.8 g,两次间隔为2~4周,总量4~8 g。对严重肾衰病人行血液透析治疗。
疗效判断标准:根据7例病人的疗效,初步制定如下标准(随访后):(1)完全缓解:Scr及肾小管功能恢复正常,尿检查完全正常;(2)部分缓解:Scr正常,肾小管功能未完全恢复正常;(3)无效:Scr及肾小管功能均无改善,呈慢性肾功能衰竭,依靠血液透析维持生命。
, 百拇医药
7例病人随访了0.5年~5年,平均2.5年。
结果
1.一般表现:病人多有不同程度的前驱症状,最常见的是乏力、腰酸。水肿及高血压不明显,贫血多见。4例病人的血沉高于正常。3例γ球蛋白升高(0.21~0.30)。2例有水肿,2例有眼色素膜炎。
2.化验检查:特发性间质性肾炎的尿蛋白定量一般小于2 g/24 h,本组6例尿蛋白在0.9~1.9 g,仅1例曾一过性达6 g/24 h,但其血浆白蛋白正常。4例病人有镜下血尿,5例病人尿糖阳性,但同时血糖均正常。在4例β2微球蛋白明显升高(≥2.5 mg/L),7例血肌酐均升高,(141.4~1113.8μmol/L),尿量在正常范围内。另外,4例受检病人的指甲肌酐均正常,提示病人3个月前血肌酐水平是正常的,也支持病人的肾功能损害属急性。本组病人均经过B型超声检查,肾脏大小均正常。
, 百拇医药
3.病理改变特点:以间质水肿、炎性细胞浸润和肾小管变性萎缩为突出表现,浸润的炎性细胞为单核及淋巴细胞。肾小球正常或轻度系膜细胞及基质增生,1例肾小球基底膜呈缺血性皱缩,3例有轻度系膜增生,肾血管均未见异常。3例有不同程度的间质纤维化,免疫荧光检查,肾小球及肾小管基底膜未见免疫复合物沉着(图1)
图1 治疗前可见间质弥漫性炎症细胞浸润
及间质水肿HE染色×200
4.疗效与转归:全部病人用激素,经过4~6周治疗,2例完全缓解,3例部分缓解,2例无效。1例依赖透析,1例进入终末肾衰,行血液透析治疗)。1例于治疗1个月又行第二次肾活检,间质炎症细胞浸润变为局灶性病变,间质水肿消失(图2)。经随访半年至5年,除1例继续透析,1例死亡外,其余5例病人的血肌酐及血色素均保持在正常水平。
, 百拇医药
图2 治疗后可见间质炎症细胞浸润减轻
水肿消失HE+PAS染色×200
讨论
原发于肾间质的炎症在肾功能的损害中所占的比例日益受到重视。有报道在终末期肾损害中,约有1/3来自原发间质的炎症[2]。特发性间质性肾炎是间质性肾炎中的一个特殊类型,国外目前报道已近100例[3],我院收治急性肾衰病人54例,急性间质性肾炎占18例,其中7例为特发性间质性肾炎,占急性肾衰的13%,占急性间质性肾炎的38.9%,这说明本病并非少见,主要是缺乏对它的认识。
本组资料显示,此病可以是急性起病,也可以是隐袭起病,待发现时已进入不可逆的临床病理状态。其临床及病理有如下特点:(1)没有肯定的感染、药物、毒物等诱因;(2)肾小球滤过功能进行性下降,多数表现为急性肾功能不全,但尿量往往无减少;(3)有肾小管功能障碍的表现;(4)病人往往伴有轻至中度贫血、血沉增快、γ球蛋白升高等肾外表现;(5)肾脏病理表现均为间质小管明显的炎症改变,如间质水肿、炎性细胞浸润(以单核及淋巴细胞为主,偶有嗜酸细胞),小管萎缩,晚期则可出现间质纤维化,而肾小球、肾血管正常或变化轻微。
, 百拇医药
特发性间质肾炎的病因及发病机理目前尚不清楚,多数报道均认为此病的发病机制与免疫反应有关。有人测定了此病间质浸润的炎性细胞为CD4+及CD8+T淋巴细胞,推测迟发超敏反应为其主要发病机制[4]。本组7例抗TBM均为阴性。另外,此病与免疫反应有关的证据是,它有时与其它免疫性疾病合并,如眼色素膜炎、溃疡性结肠炎等[5]。
对本病是否用糖皮质激素治疗尚无定论,主要是病例数少且无对照研究。但大多都应用此类药物且用量较大,如泼尼松每天40~80 mg/kg,甚至有用甲基强的松龙冲击治疗,每天500 mg,连续3天,以后用泼尼松100 mg口服维持[6]。一般疗程1~3个月,多获得较好疗效。对于肾间质已经进入纤维化等慢性病变的病人,则效果较差。
参考文献
1 Rodriguez-Perez JC, Cruz-Alamo M, Perez-Aciego P, et al. Clinical and immune aspects of idiopathic acute tubulointerstitial nephritis and uveitis syndrome. Am J Nephrol, 1995, 15: 386-391.
, 百拇医药
2 Toto Robert D. Review: acute Tubulointerstitial Nephritis. Am J Med Sci, 1990, 299:392-410.
3 Chanza JA, Garella S, Esparza A. Acute interstitial nephritis: A distinct clinico-pathological entity? Nephron, 1972,9: 10.
4 Okada H, Konishi k, Suzuki H, et al, Steroid-responsive renal in sufficiency due to idiopathic grnuloma tubulointerstitil nephritis. Am J Nephrol, 1993, 13:164-166.
5 Zeier M, Schmidt R, Andrassy K, et al. Idiopathic interstitial nephritis complicating ulcerative colitis. Nephrol Dial Transplant, 1990, 5:901-902.
6 Spital A, Panner BJ, Sterns RH. Acute idiopathic tubulointerstitial nephritis: Report of two cases and review of the literature. Am J Kidney Dis, 1987, 9:71-78.
(收稿:1997-05-29 修回:1997-08-21), http://www.100md.com
参见:首页 > 医疗版 > 疾病专题 > 肾脏内科 > 肾病综合征 > 间质性肾炎