先天性肝母细胞瘤四例
作者:王绪洲 宋金环
单位:250012 济南,山东医科大学附属医院病理科(王绪洲),山东省药物依赖治疗中心防治科(宋金环
关键词:
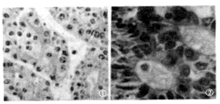
中华医学杂志980329 例1,男,40天,自生后第1天有黄疸并逐渐加重,伴肝大。体检:全身皮肤粘膜黄染,腹部膨隆,腹壁静脉曲张。肝剑突下9 cm、右肋下12 cm,质硬。实验室检查:甲胎蛋白(AFP)阳性,各氨酰转肽酶350 μ/L,血清直接胆红素阳性,尿胆元及胆红素阳性。临床诊断,黄疸、肝大原因待查,收住院行剖腹探查。手术所见,腹腔内大量血性液体,肝右叶有一肿物隆起,行肝右叶切除。病理检查:切除的部分肝组织及肿物体积14 cm×12 cm×7.5 cm。切面见肿物呈多结节状,弥漫分布,最大结节面积7 cm×7 cm,有出血坏死灶。显微镜下:瘤细胞核大染色深,有少数病理性核分裂象。排列成2~5层细胞的粗梁状或缎带状,其间为被复内皮细胞的血窦。散在有髓外造血细胞灶(图Ⅰ)。病理学诊断:肝母细胞瘤(胚胎型)。
图1 先天性肝母细胞瘤(胚胎型),瘤细胞排列成多层细胞的粗梁状或缎带状,其间为血窦 HE×200 图2 先天性肝母细胞瘤(未分化型),瘤细胞排列成菊形团或腺管状结构 HE×400
例2,女,8个月胎儿。妊娠8个月早产,因难产急症入院。体检:无胎心音,脐带脱出至阴道内,住院后娩出一死胎。胎儿肝大平脐、右肋下7 cm,质硬。病理学检查:肝脏弥漫性增大,切面肿物呈多结状,体积18 cm×18 cm×4 cm。显微镜下,瘤细胞小,核染色深,有多数病理性核分裂象。呈弥漫或散在分布,有菊形团和腺管状结构形成,其间为血窦(图2)。病理学诊断:肝母细胞瘤(未分化型)。
例3,男,30天。自出生后第一天发现右上腹部肿块,逐渐增大30天。临床诊断为肝脏血管瘤,收住院手术治疗。手术所,肝右叶体积增大,有隆起包块、质硬,行肝右叶切除。病理检查:切面中央见一椭圆形肿物,面积5 cm×3 cm。显微镜下检查与病例1相似。病理学诊断:肝母细胞瘤(胚胎型)。
例4,男,4天。生后第一天发现右上腹包块,右肋下4 cm。第2天发烧,呼吸困难,因呼吸衰竭抢救无效,于生后第4天死亡。临床诊断:(1)腹部肿瘤;(2)新生儿羊水吸入性肺炎。尸体解剖:腹腔内大量深黄色腹水,肝右叶有8 cm×6 cm×6 cm的肿瘤。显微镜检查:除有胚胎型和未分化型肝母细胞瘤的成分外,并有骨、软骨、脂肪等间叶组织成分。病理诊断:肝母细胞瘤(混合型)。
讨论:先天性肝母细胞瘤的病因和发病尚不清楚。本组病例发病时间为胎儿期及刚生下婴儿,说明该病起源于肝脏胚胎组织。其发生的病因可能是在母体内受到致癌物质的作用,通过母体经胎盘到达胎儿,导致在胎儿期发生的一种肝脏恶性肿瘤。该病的预后极差。, 百拇医药
单位:250012 济南,山东医科大学附属医院病理科(王绪洲),山东省药物依赖治疗中心防治科(宋金环
关键词:
中华医学杂志980329 例1,男,40天,自生后第1天有黄疸并逐渐加重,伴肝大。体检:全身皮肤粘膜黄染,腹部膨隆,腹壁静脉曲张。肝剑突下9 cm、右肋下12 cm,质硬。实验室检查:甲胎蛋白(AFP)阳性,各氨酰转肽酶350 μ/L,血清直接胆红素阳性,尿胆元及胆红素阳性。临床诊断,黄疸、肝大原因待查,收住院行剖腹探查。手术所见,腹腔内大量血性液体,肝右叶有一肿物隆起,行肝右叶切除。病理检查:切除的部分肝组织及肿物体积14 cm×12 cm×7.5 cm。切面见肿物呈多结节状,弥漫分布,最大结节面积7 cm×7 cm,有出血坏死灶。显微镜下:瘤细胞核大染色深,有少数病理性核分裂象。排列成2~5层细胞的粗梁状或缎带状,其间为被复内皮细胞的血窦。散在有髓外造血细胞灶(图Ⅰ)。病理学诊断:肝母细胞瘤(胚胎型)。
图1 先天性肝母细胞瘤(胚胎型),瘤细胞排列成多层细胞的粗梁状或缎带状,其间为血窦 HE×200 图2 先天性肝母细胞瘤(未分化型),瘤细胞排列成菊形团或腺管状结构 HE×400
例2,女,8个月胎儿。妊娠8个月早产,因难产急症入院。体检:无胎心音,脐带脱出至阴道内,住院后娩出一死胎。胎儿肝大平脐、右肋下7 cm,质硬。病理学检查:肝脏弥漫性增大,切面肿物呈多结状,体积18 cm×18 cm×4 cm。显微镜下,瘤细胞小,核染色深,有多数病理性核分裂象。呈弥漫或散在分布,有菊形团和腺管状结构形成,其间为血窦(图2)。病理学诊断:肝母细胞瘤(未分化型)。
例3,男,30天。自出生后第一天发现右上腹部肿块,逐渐增大30天。临床诊断为肝脏血管瘤,收住院手术治疗。手术所,肝右叶体积增大,有隆起包块、质硬,行肝右叶切除。病理检查:切面中央见一椭圆形肿物,面积5 cm×3 cm。显微镜下检查与病例1相似。病理学诊断:肝母细胞瘤(胚胎型)。
例4,男,4天。生后第一天发现右上腹包块,右肋下4 cm。第2天发烧,呼吸困难,因呼吸衰竭抢救无效,于生后第4天死亡。临床诊断:(1)腹部肿瘤;(2)新生儿羊水吸入性肺炎。尸体解剖:腹腔内大量深黄色腹水,肝右叶有8 cm×6 cm×6 cm的肿瘤。显微镜检查:除有胚胎型和未分化型肝母细胞瘤的成分外,并有骨、软骨、脂肪等间叶组织成分。病理诊断:肝母细胞瘤(混合型)。
讨论:先天性肝母细胞瘤的病因和发病尚不清楚。本组病例发病时间为胎儿期及刚生下婴儿,说明该病起源于肝脏胚胎组织。其发生的病因可能是在母体内受到致癌物质的作用,通过母体经胎盘到达胎儿,导致在胎儿期发生的一种肝脏恶性肿瘤。该病的预后极差。, 百拇医药