游离腓骨肌皮复合组织瓣一期修复下颌骨及软组织缺损
作者:李宁毅 贾暮云 袁荣涛 樊功为 赵保东 祝为桥
单位:266003 青岛大学医学院附属医院口腔科
关键词:移植,腓骨曱;外科皮瓣
中华口腔医学杂志980604 【摘要】 目的 寻找一种既能满足下颌骨及软组织复合缺损重建需要,又不影响供区功能的新的修复材料。方法 对10例各种原因所致的下颌骨及周围软组织缺损患者,采用游离腓骨肌皮复合组织瓣进行修复重建。所切取的腓骨平均长度9.1 cm,肌皮瓣平均大小为4.5 cm×6.2 cm。结果 术后2周经99mTcO-4骨扫描等证实,9例(9/10)骨肌皮瓣成活,患者下颌功能与外形良好,行走无障碍。结论 腓骨肌皮复合组织瓣骨量充足,骨质坚硬,腓骨血供具二重性,利于塑形,可以用作下颌骨及软组织缺损的修复。
The reconstruction of mandible and soft tissue defects with the osteocutaneous free fibula flap
, http://www.100md.com
Li Ningyi, Jia Muyun, Yuan Rongtao, et al. Department of Oral and Maxillofacial Surgery, Affiliated Hospital of Qingdao Medical College, Qingdao 266003
【Abstract】 Objective To find a new material to reconstruct the defects involving mandible and the surrounding soft tissues with the donor site morbidity mild and transient.Methods Ten consecutive fibula free flaps were used to reconstruct composite defect of mandible and soft tissue. The average length of the fibular graft was 9.1 cm, and the average size of the cutaneous-flap was 4.5 cm×6.2 cm.Results 99mTcO-4 scan demonstrated that 9 flaps were survivial (9/10) 2 weeks postsurgery. The function and the contour of the mandible were excellent. The donor site morbidity was mild and transient.Conclusion Fibula has a high density of cortical bone. There is enough bone available to reconstruct mandible defect. The osteocutaneous fibula flap is a new material to reconstruct the composite mandible and soft tissue defects.
, 百拇医药
【Key words】 Transfer, fibula Surgical flap
下颌骨及其软组织肿瘤切除术后缺损的即刻修复,一直是口腔颌面外科的重要研究课题之一。我们自1995年开始在尸体解剖研究基础上,对临床10例下颌骨及其软组织缺损的患者采用游离腓骨肌皮复合组织瓣一期修复,取得满意效果,报告如下。
资料与方法
1.临床资料:本组患者10例,男性8例,女性2例;年龄最大者58岁,最小22岁,平均35.5岁。下颌骨及其软组织缺损的原因为:牙龈癌手术3例,口底癌手术2例,颌骨中心性鳞癌1例,软骨肉瘤1例,牙源性角化囊肿术后复发1例,巨大造釉细胞瘤1例,颌骨及其软组织外伤后缺损1例。
2.手术方法:
(1)腓骨肌皮复合组织瓣的制备(图1):采用外侧径路,由腓骨小头与外踝间划连线,以腓骨小头下方约11~14 cm处为中心设计皮瓣。止血带充气至60 kPa,切开皮肤、浅筋膜及深筋膜至腓骨长肌与比目鱼肌浅面,将皮肤与深筋膜一并从上述二肌肉表面掀起,使皮瓣仅通过肌间隔附着于腓骨上。沿比目鱼肌与腓骨长肌间隙分离肌间隔近腓骨时,锐分离后方的比目鱼肌与长屈肌,前方的腓骨长肌至骨间隔,同时于腓骨周围保留约0.5 cm厚的肌袖,使之附着于腓骨。在后方保留长屈肌肌袖时注意保护胫后动、静脉,均将上述血管神经牵拉向外方以保护之。依颌骨缺损长度确定所切取的腓骨长度,将其远、近端切开骨膜,紧贴腓骨分别以线锯锯断,将该段腓骨拉向后方。继续锐分离腓骨前方的肌肉、骨间膜,显露腓动、静脉,将其远端切断、结扎。松开止血带,以便在解剖近端时随时触摸血管。进一步游离腓动、静脉,近胫后动、静脉处切断、结扎。至此,腓骨肌皮复合组织瓣完全游离,所遗创面依大小给予拉拢缝合或植皮。
, http://www.100md.com
图1 小腿横断面解剖及腓骨肌皮复合
组织瓣设计示意
图2 口底癌术中,塑形制备腓骨肌皮复合
组织瓣成下颌形态,钛夹板固定
(2)受区处理:切除原发灶并视情况行颈淋巴结清扫术。术中解剖游离面动脉及颈外静脉或面静脉,于拟吻合处切断,近心端备用。
(3)复合组织瓣骨成形及移植(图2):依切除下颌骨的长度及形态,确定应用腓骨的长短及形态。如需要移植骨块再造下颌角或颏部,则需在弯曲部位做楔形截骨,然后弯曲成所需的形状,以钛夹板固定。仅下颌骨体部缺损者,则在骨块两端与颌骨断端相嵌后,小夹板固定即可。将成形的腓骨肌皮复合组织瓣行血管吻合,一般腓动脉与面动脉吻合,腓静脉与颈外静脉或面静脉吻合(多吻合二条静脉),术后限制下颌运动2~3周。结果
, 百拇医药
10例患者中所切取的腓骨,长者18.0 cm,短者6.0 cm,平均9.1 cm。移植部位以下颌骨体部为主,4例累及颏部、下颌角者将腓骨截断塑形,并以钛夹板固定。术后2周经同位素99mTcO-4骨扫描,9例血供良好。切取的皮瓣小者4.0 cm×6.0 cm,大者6.0 cm×10.0 cm,平均4.5 cm×6.2 cm。10例中1例出现皮瓣坏死,99mTcO-4骨扫描发现移植骨血供不良,2个月后移植骨坏死游离,从口内摘除。该病例系第2例患者,手术时间约12小时,术后曾出现喉水肿、窒息,行紧急气管切开抢救。其余成功者术后外形与功能良好,术后1个月患者行走自如,无障碍(图3~5)。
图3 牙龈癌行腓骨肌皮复合组织瓣修复术后,显示口内成活之皮瓣及关系
, http://www.100md.com
图4 牙龈癌行腓骨肌皮复合
组织瓣修复后,患者正面像
讨论
1.腓骨肌皮复合组织瓣的解剖基础:腓骨为致密的长管状骨,长约32.5cm,直径1.2~1.5 cm,其下端1/4参与组成踝关节,中上段则几乎无承重作用,可切取而不影响功能,因此可供骨量充足。腓骨血供来源于腓动脉的弓状动脉穿支及滋养动脉。弓状动脉沿腓骨呈节段性排列,供应腓骨表面肌肉与骨膜,并通过骨膜供应腓骨部分骨皮质;滋养动脉通过滋养孔入骨髓腔,营养骨髓及部分骨皮质。因此腓骨血供具有双重性,只要保留了弓状动脉,即可任意截断塑形。腓骨滋养孔距腓骨小头约11~14 cm[1],腓动脉紧贴腓骨之后,有2条伴行静脉,血管平均内径2.95 mm[2],其通过弓状动脉以骨肌间隔穿支为主要类型供应小腿外侧皮肤的血供[3],范围达22~25 (cm)×10~14 (cm)。有研究表明[4]:既使没有骨肌间隔穿支,也同样能保证小腿外侧皮肤的营养。
, http://www.100md.com
2.临床应用及特点:1975年Taylor首次报告,运用吻合血管的游离腓骨移植治疗2例外伤性腓骨缺损,而将其应用于重建下颌骨缺损则是1989年首先由Hidalgo[5]报道,其中7例即采用腓骨复合组织瓣进行修复。国内周训银等[6]1995年应用腓骨瓣对下颌骨缺损进行修复,获得成功。既往对下颌骨肿瘤大范围切除后进行一期修复时,多采用髂骨肌皮瓣或肋骨胸大肌皮瓣等。髂骨以松质骨为主,利于愈合,但承担咀嚼压力欠佳。肋骨胸大肌皮瓣更难满足要求。为此,我们在尸体解剖研究基础上,于临床上开始了将游离腓骨肌皮复合组织瓣应用于下颌骨及其软组织缺损修复的研究。通过临床应用,我们认为游离腓骨肌皮复合组织瓣具有如下特点:①复合组织瓣切取的手术难度不大,技术易于掌握。②腓骨以皮质骨为主,质硬,血管化之腓骨承受咀嚼压力的能力较佳。③腓骨血供具二重性,对其截断、塑形,可塑成下颌骨形态而不影响其成活。④复合组织瓣含骨、肌肉与皮肤,切取的腓骨有足够的长度(最长可达25 cm),对术后供区功能无影响;皮瓣可供面积大,血供可靠;修复一次完成。⑤腓动脉位置相对恒定,易于寻找,腓动脉管径与颌外动、静脉相近,易于吻合。⑥供、受区相距远,手术可分组进行,缩短了手术时间。⑦腓骨质地硬,对其截骨塑形的器械要求高,下颌角、颏部塑形难度较大,且塑形时有损伤腓骨血管的可能。
, http://www.100md.com
3.应用该瓣注意事项:文献报告切取腓骨瓣有2种入路,我们选用外侧进路。切取腓骨长度应比实际缺损稍长,以利于截骨塑形、颌骨断端相嵌及小夹板固定。腓骨的横断面近似三角形,尤以前缘最为突出,设计时宜将前缘作为牙槽突。同时由于腓骨替代下颌骨时高度不足,宜将骨瓣上移后固定,以利日后义齿的修复。其血管蒂宜位于下颌角处。供应皮瓣的皮支血管很细,操作时应轻柔,若皮蒂带有部分比目鱼肌,血供则更可靠。在分离腓骨时,宜保留0.5 cm肌袖,若短,易损伤弓状动脉;若长,则易损伤胫后动、静脉及神经。有的腓动脉为下肢的主要供血动脉,应注意。切取腓骨之下端应距外踝10 cm左右,最低不少于5 cm,否则影响踝关节的稳定性。对于范围大,波及颏部者,必要时可行预防性气管切开。本组中有1例由于未行预防性气管切开,术后窒息,经气管切开抢救后恢复,但由于抢救过程中的影响使复合组织瓣坏死,是为教训。
(本文图5见插页第24页)
, http://www.100md.com
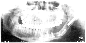
图5 同图4患者术后半年颌骨曲面断层片像。腓骨中段截断塑形成下颌角,微夹板固定,断端已愈合
山东省卫生厅基金资助课题
参考文献
1 丁训诏,吴永沭.腓动脉与腓骨血液供应关系的研究和临床应用.中华骨科杂志,1982,2:134-138.
2 郭连魁,王绍坤,韩西城.腓骨的供血动脉解剖.中华骨科杂志,1982,2:139-141.
3 Schusterman MA, Reece GP, Miller MJ, et al. The osteocutaneous free fibular flap: is the skin paddle reliable? Plast Reconstr Surg, 1992, 90:787-790.
, 百拇医药
4 Jones NF, Monstrey S, Gambier BA. Reliability of the fibular osteocutaneous flap for mandibular reconstruction: anatomical and Surgical Confirmation. Plast Recontr Surg, 1996, 97:707-711.
5 Hidalgo DA. Fibular free flap: a new method of mandibular reconstruction. Plast Reconstr Surg, 1989, 84:71-76.
6 周训银,文家福,陈希哲,等.带血管蒂游离腓骨移植一期修复下颌骨缺损.实用口腔医学杂志,1995,1:6-8.
(收稿:1997-07-23 修回:1998-04-16), 百拇医药
单位:266003 青岛大学医学院附属医院口腔科
关键词:移植,腓骨曱;外科皮瓣
中华口腔医学杂志980604 【摘要】 目的 寻找一种既能满足下颌骨及软组织复合缺损重建需要,又不影响供区功能的新的修复材料。方法 对10例各种原因所致的下颌骨及周围软组织缺损患者,采用游离腓骨肌皮复合组织瓣进行修复重建。所切取的腓骨平均长度9.1 cm,肌皮瓣平均大小为4.5 cm×6.2 cm。结果 术后2周经99mTcO-4骨扫描等证实,9例(9/10)骨肌皮瓣成活,患者下颌功能与外形良好,行走无障碍。结论 腓骨肌皮复合组织瓣骨量充足,骨质坚硬,腓骨血供具二重性,利于塑形,可以用作下颌骨及软组织缺损的修复。
The reconstruction of mandible and soft tissue defects with the osteocutaneous free fibula flap
, http://www.100md.com
Li Ningyi, Jia Muyun, Yuan Rongtao, et al. Department of Oral and Maxillofacial Surgery, Affiliated Hospital of Qingdao Medical College, Qingdao 266003
【Abstract】 Objective To find a new material to reconstruct the defects involving mandible and the surrounding soft tissues with the donor site morbidity mild and transient.Methods Ten consecutive fibula free flaps were used to reconstruct composite defect of mandible and soft tissue. The average length of the fibular graft was 9.1 cm, and the average size of the cutaneous-flap was 4.5 cm×6.2 cm.Results 99mTcO-4 scan demonstrated that 9 flaps were survivial (9/10) 2 weeks postsurgery. The function and the contour of the mandible were excellent. The donor site morbidity was mild and transient.Conclusion Fibula has a high density of cortical bone. There is enough bone available to reconstruct mandible defect. The osteocutaneous fibula flap is a new material to reconstruct the composite mandible and soft tissue defects.
, 百拇医药
【Key words】 Transfer, fibula Surgical flap
下颌骨及其软组织肿瘤切除术后缺损的即刻修复,一直是口腔颌面外科的重要研究课题之一。我们自1995年开始在尸体解剖研究基础上,对临床10例下颌骨及其软组织缺损的患者采用游离腓骨肌皮复合组织瓣一期修复,取得满意效果,报告如下。
资料与方法
1.临床资料:本组患者10例,男性8例,女性2例;年龄最大者58岁,最小22岁,平均35.5岁。下颌骨及其软组织缺损的原因为:牙龈癌手术3例,口底癌手术2例,颌骨中心性鳞癌1例,软骨肉瘤1例,牙源性角化囊肿术后复发1例,巨大造釉细胞瘤1例,颌骨及其软组织外伤后缺损1例。
2.手术方法:
(1)腓骨肌皮复合组织瓣的制备(图1):采用外侧径路,由腓骨小头与外踝间划连线,以腓骨小头下方约11~14 cm处为中心设计皮瓣。止血带充气至60 kPa,切开皮肤、浅筋膜及深筋膜至腓骨长肌与比目鱼肌浅面,将皮肤与深筋膜一并从上述二肌肉表面掀起,使皮瓣仅通过肌间隔附着于腓骨上。沿比目鱼肌与腓骨长肌间隙分离肌间隔近腓骨时,锐分离后方的比目鱼肌与长屈肌,前方的腓骨长肌至骨间隔,同时于腓骨周围保留约0.5 cm厚的肌袖,使之附着于腓骨。在后方保留长屈肌肌袖时注意保护胫后动、静脉,均将上述血管神经牵拉向外方以保护之。依颌骨缺损长度确定所切取的腓骨长度,将其远、近端切开骨膜,紧贴腓骨分别以线锯锯断,将该段腓骨拉向后方。继续锐分离腓骨前方的肌肉、骨间膜,显露腓动、静脉,将其远端切断、结扎。松开止血带,以便在解剖近端时随时触摸血管。进一步游离腓动、静脉,近胫后动、静脉处切断、结扎。至此,腓骨肌皮复合组织瓣完全游离,所遗创面依大小给予拉拢缝合或植皮。
, http://www.100md.com
图1 小腿横断面解剖及腓骨肌皮复合
组织瓣设计示意
图2 口底癌术中,塑形制备腓骨肌皮复合
组织瓣成下颌形态,钛夹板固定
(2)受区处理:切除原发灶并视情况行颈淋巴结清扫术。术中解剖游离面动脉及颈外静脉或面静脉,于拟吻合处切断,近心端备用。
(3)复合组织瓣骨成形及移植(图2):依切除下颌骨的长度及形态,确定应用腓骨的长短及形态。如需要移植骨块再造下颌角或颏部,则需在弯曲部位做楔形截骨,然后弯曲成所需的形状,以钛夹板固定。仅下颌骨体部缺损者,则在骨块两端与颌骨断端相嵌后,小夹板固定即可。将成形的腓骨肌皮复合组织瓣行血管吻合,一般腓动脉与面动脉吻合,腓静脉与颈外静脉或面静脉吻合(多吻合二条静脉),术后限制下颌运动2~3周。结果
, 百拇医药
10例患者中所切取的腓骨,长者18.0 cm,短者6.0 cm,平均9.1 cm。移植部位以下颌骨体部为主,4例累及颏部、下颌角者将腓骨截断塑形,并以钛夹板固定。术后2周经同位素99mTcO-4骨扫描,9例血供良好。切取的皮瓣小者4.0 cm×6.0 cm,大者6.0 cm×10.0 cm,平均4.5 cm×6.2 cm。10例中1例出现皮瓣坏死,99mTcO-4骨扫描发现移植骨血供不良,2个月后移植骨坏死游离,从口内摘除。该病例系第2例患者,手术时间约12小时,术后曾出现喉水肿、窒息,行紧急气管切开抢救。其余成功者术后外形与功能良好,术后1个月患者行走自如,无障碍(图3~5)。
图3 牙龈癌行腓骨肌皮复合组织瓣修复术后,显示口内成活之皮瓣及关系
, http://www.100md.com
图4 牙龈癌行腓骨肌皮复合
组织瓣修复后,患者正面像
讨论
1.腓骨肌皮复合组织瓣的解剖基础:腓骨为致密的长管状骨,长约32.5cm,直径1.2~1.5 cm,其下端1/4参与组成踝关节,中上段则几乎无承重作用,可切取而不影响功能,因此可供骨量充足。腓骨血供来源于腓动脉的弓状动脉穿支及滋养动脉。弓状动脉沿腓骨呈节段性排列,供应腓骨表面肌肉与骨膜,并通过骨膜供应腓骨部分骨皮质;滋养动脉通过滋养孔入骨髓腔,营养骨髓及部分骨皮质。因此腓骨血供具有双重性,只要保留了弓状动脉,即可任意截断塑形。腓骨滋养孔距腓骨小头约11~14 cm[1],腓动脉紧贴腓骨之后,有2条伴行静脉,血管平均内径2.95 mm[2],其通过弓状动脉以骨肌间隔穿支为主要类型供应小腿外侧皮肤的血供[3],范围达22~25 (cm)×10~14 (cm)。有研究表明[4]:既使没有骨肌间隔穿支,也同样能保证小腿外侧皮肤的营养。
, http://www.100md.com
2.临床应用及特点:1975年Taylor首次报告,运用吻合血管的游离腓骨移植治疗2例外伤性腓骨缺损,而将其应用于重建下颌骨缺损则是1989年首先由Hidalgo[5]报道,其中7例即采用腓骨复合组织瓣进行修复。国内周训银等[6]1995年应用腓骨瓣对下颌骨缺损进行修复,获得成功。既往对下颌骨肿瘤大范围切除后进行一期修复时,多采用髂骨肌皮瓣或肋骨胸大肌皮瓣等。髂骨以松质骨为主,利于愈合,但承担咀嚼压力欠佳。肋骨胸大肌皮瓣更难满足要求。为此,我们在尸体解剖研究基础上,于临床上开始了将游离腓骨肌皮复合组织瓣应用于下颌骨及其软组织缺损修复的研究。通过临床应用,我们认为游离腓骨肌皮复合组织瓣具有如下特点:①复合组织瓣切取的手术难度不大,技术易于掌握。②腓骨以皮质骨为主,质硬,血管化之腓骨承受咀嚼压力的能力较佳。③腓骨血供具二重性,对其截断、塑形,可塑成下颌骨形态而不影响其成活。④复合组织瓣含骨、肌肉与皮肤,切取的腓骨有足够的长度(最长可达25 cm),对术后供区功能无影响;皮瓣可供面积大,血供可靠;修复一次完成。⑤腓动脉位置相对恒定,易于寻找,腓动脉管径与颌外动、静脉相近,易于吻合。⑥供、受区相距远,手术可分组进行,缩短了手术时间。⑦腓骨质地硬,对其截骨塑形的器械要求高,下颌角、颏部塑形难度较大,且塑形时有损伤腓骨血管的可能。
, http://www.100md.com
3.应用该瓣注意事项:文献报告切取腓骨瓣有2种入路,我们选用外侧进路。切取腓骨长度应比实际缺损稍长,以利于截骨塑形、颌骨断端相嵌及小夹板固定。腓骨的横断面近似三角形,尤以前缘最为突出,设计时宜将前缘作为牙槽突。同时由于腓骨替代下颌骨时高度不足,宜将骨瓣上移后固定,以利日后义齿的修复。其血管蒂宜位于下颌角处。供应皮瓣的皮支血管很细,操作时应轻柔,若皮蒂带有部分比目鱼肌,血供则更可靠。在分离腓骨时,宜保留0.5 cm肌袖,若短,易损伤弓状动脉;若长,则易损伤胫后动、静脉及神经。有的腓动脉为下肢的主要供血动脉,应注意。切取腓骨之下端应距外踝10 cm左右,最低不少于5 cm,否则影响踝关节的稳定性。对于范围大,波及颏部者,必要时可行预防性气管切开。本组中有1例由于未行预防性气管切开,术后窒息,经气管切开抢救后恢复,但由于抢救过程中的影响使复合组织瓣坏死,是为教训。
(本文图5见插页第24页)
, http://www.100md.com
图5 同图4患者术后半年颌骨曲面断层片像。腓骨中段截断塑形成下颌角,微夹板固定,断端已愈合
山东省卫生厅基金资助课题
参考文献
1 丁训诏,吴永沭.腓动脉与腓骨血液供应关系的研究和临床应用.中华骨科杂志,1982,2:134-138.
2 郭连魁,王绍坤,韩西城.腓骨的供血动脉解剖.中华骨科杂志,1982,2:139-141.
3 Schusterman MA, Reece GP, Miller MJ, et al. The osteocutaneous free fibular flap: is the skin paddle reliable? Plast Reconstr Surg, 1992, 90:787-790.
, 百拇医药
4 Jones NF, Monstrey S, Gambier BA. Reliability of the fibular osteocutaneous flap for mandibular reconstruction: anatomical and Surgical Confirmation. Plast Recontr Surg, 1996, 97:707-711.
5 Hidalgo DA. Fibular free flap: a new method of mandibular reconstruction. Plast Reconstr Surg, 1989, 84:71-76.
6 周训银,文家福,陈希哲,等.带血管蒂游离腓骨移植一期修复下颌骨缺损.实用口腔医学杂志,1995,1:6-8.
(收稿:1997-07-23 修回:1998-04-16), 百拇医药