肝血管平滑肌脂肪瘤的影象学表现
作者:王茂强 李连贵 张金山 于国 高育敖
单位:100853 北京,中国人民解放军总医院放射诊断科(王茂强、张金山、高育敖),病理科(于国);第一重型机械集团职工医院外科(李连贵)
关键词:
中华医学杂志980820 肝血管平滑肌脂肪瘤(hepatic angiomyolipoma, HAML)是肝脏少见的良性肿瘤,术前定性诊断较困难。近20年来,国外医学期刊已累计报告60余例,国内报道甚少。我们近年遇见6例,均经手术及病理证实,影象学资料完整,现报道如下。
一、对象和方法
1.临床资料:6例中女5例,男1例,年龄28~46岁,平均34.5岁。3例因肝区疼痛就诊,3例无自觉症状,超声波检查发现肝内占位性病变。既往均无肝炎病史,肝炎血清学检查阴性,甲胎蛋白定量测定均在正常范围(<25 μg/L),血、尿常规检查无异常。
, 百拇医药
2.影象学检查方法:6例均做超声波(US)、CT、MRI和血管造影检查。超声波检查设备为Acuson-128型彩色多普勒超声仪,探头频率为3.5 MHz。CT检查包括平扫和增强扫描,增强造影剂用量1~1.5 ml/kg体重,扫描时相包括动脉期和门静脉期,局部薄层扫描3例,层厚3 mm,所用设备:2例用Somatoma DR3型扫描仪,3例用Philips Tomoscan SR 7000型(螺旋CT),1例用GE-9800型。MRI检查设备:5例用Siemens Compact Magnet B 1.0T超导型磁共振成像仪,1例用GE Signa 0.5 T超导磁共振成像仪,用自旋回波、T1加权(TR/TE=500/15~20 ms)及T2加权成像,4例曾做增强扫描,用Gd-DTPA 0.1 mmol/kg体重。血管造影设备为Philips DVI V型数字减影血管造影机,按常规行选择性肝动脉造影。
3.手术及病理所见:肿瘤位于肝右叶5例,左叶1例,均为单发,直径2~13 cm,有假包膜2例,无包膜4例。肿块质软、剖面有较多黄色脂肪成分4例,肿块质硬、剖面呈鱼肉状2例(镜下主要为平滑肌组织)。镜下均呈典型AML表现,由成熟的脂肪组织、血管及平滑肌组成,血管壁厚薄不均,未见动脉瘤,可见少许淋巴细胞浸润。
, 百拇医药
图1 超声波检查显示肝右叶前段下部(V)2.1×2.3 cm强回声结节
二、影象学表现
1.US表现:肿块均为强回声,边缘清楚(图1),3例回声均匀,3例回声不均匀。彩色Doppler超声显示肿瘤血供丰富,主要为动脉血流频谱。US术前诊断血管瘤3例,肝癌2例,性质待定1例。
2.CT表现:平扫病变呈分叶状,低于肝实质密度,边缘清楚。4例可见较多脂肪成分,分布在肿块周边。1例于薄层扫描(3 mm)显示点状脂肪密度,1例未显示脂肪成分。增强扫描:动脉为主期(早期)肿块呈明显强化,4例与主动脉密度近似,于注药2~4分钟后转变为低于肝实质密度(图2);2例延迟10~15分钟后病变呈等密度(与血管瘤相似)。6例均无肝硬化表现。术前2例因肿块内脂肪成分多而考虑为HAML,2例诊断为血管瘤,2例诊断为肝癌。
, http://www.100md.com
图2 肝增强CT扫描延迟相,肿瘤密度低于肝实质密度,后部有脂肪成分
3.MRI所见:T1加权像病变低于肝实质信号4例,近似等信号2例。4例肿块周边可见脂肪信号,肿块内见迂曲流空血管结构(图3)。2例未见脂肪信号。T2加权像显示肿瘤信号高且不均匀,T2值在70~95 ms之间。增强扫描肿块呈明显强化,脂肪信号区亦有强化,提示其内存在异常血管成分。
图3 MRI T1加权像,肿块略低于肝实质信号,其内有迂曲流空血管结构,后部(↑)为脂肪信号
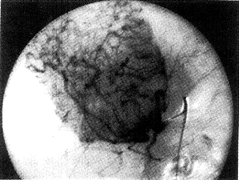
图4 X线数字减影肝动脉造影动脉期,肝右叶肿瘤血供丰富,肿瘤血管呈近似放射状分布
, http://www.100md.com
4.血管造影表现:肿瘤均呈富血供型,供血动脉明显增粗、迂曲,肿瘤血管从周边向中央分布,呈近似梳齿状或放射状2例(图4),肿瘤血管粗细不均4例,粗细较均2例,肿瘤区肝静脉早期显影4例,未见动-静脉瘘。
三、讨论
肝AML罕见,主要见于青年女性,少数病例可与肾脏AML、多发性结节硬化并存[2]。本组6例AML仅限于肝脏。病理上,肝AML由成熟脂肪组织、平滑肌及发育不良的血管组成,脂肪所占比例从5%~50%不等,与肾AML常合并微小动脉瘤及易并发出血不同,肝AML合并动脉瘤及自发性出血少见[3]。
1.影象学诊断:血管造影显示多数AML为富血供型,但缺乏特征性,与肝癌难以区别,有人报告典型AML的肿瘤血管呈卷发状或旋涡状,但出现率低[4]。本组有4例出现肿瘤区肝静脉早期显影,文献亦有类似报道,其成因可能为肿瘤内微小动-静脉畸形所致。有作者认为,US引导下经皮肝穿刺活检有助于确诊AML,但由于绝大多数肿瘤内有发育异常的血管,穿刺检查可诱发难以控制的大出血[2,3]。
, http://www.100md.com
2.鉴别诊断:除了AML外,肝脏含脂肪成分的肿瘤及肿瘤样病变尚有脂肪瘤、局灶性脂肪浸润、肝癌瘤体内脂肪变性、肝原发或转移性脂肪肉瘤、原发或转移性畸胎瘤、髓源性脂肪瘤(含脂肪和造血组织)、血管脂肪瘤、术后大网膜填塞等。从临床治疗角度考虑,AML主要应与前5种鉴别。肝脂肪瘤罕见,由单一成熟脂肪组织组成,有占位效应,但无异常血管;肝局灶性脂肪浸润常呈扇形或楔形,无占位效应,其内可见正常血管穿行;肝癌瘤灶内脂肪变性分布弥散,界限不具体,常伴有液化坏死和血管受侵犯。AML与脂肪肉瘤、畸胎瘤、髓源性脂肪瘤鉴别困难[3,4]。
参考文献
1 Peh WCG, Gan NH, Fan ST, et al. Case report: variable imaging appearances of angiomyolipomas of the liver. Br J Radiol, 1995,68:540-544.
, 百拇医药
2 Low VHS, Breidahl WH, Robbins PD: Hepatic angiomyolipomas. Abdom Imaging, 1994,19:540-542.
3 Chang JC, Lee YW, Kim HJ: Preoperative diagnosis of angiomyolipoma of the liver. Abdom Imaging, 1994,19:546-548.
4 Murakami T, Nakamura H, Hori S, et al. Angiomyolipoma of the liver: ultrasound, CT, MR imaging and angiography. Acta Radiol, 1993,34:392-394.
(收稿:1997-08-22 修回:1998-04-08), 百拇医药
单位:100853 北京,中国人民解放军总医院放射诊断科(王茂强、张金山、高育敖),病理科(于国);第一重型机械集团职工医院外科(李连贵)
关键词:
中华医学杂志980820 肝血管平滑肌脂肪瘤(hepatic angiomyolipoma, HAML)是肝脏少见的良性肿瘤,术前定性诊断较困难。近20年来,国外医学期刊已累计报告60余例,国内报道甚少。我们近年遇见6例,均经手术及病理证实,影象学资料完整,现报道如下。
一、对象和方法
1.临床资料:6例中女5例,男1例,年龄28~46岁,平均34.5岁。3例因肝区疼痛就诊,3例无自觉症状,超声波检查发现肝内占位性病变。既往均无肝炎病史,肝炎血清学检查阴性,甲胎蛋白定量测定均在正常范围(<25 μg/L),血、尿常规检查无异常。
, 百拇医药
2.影象学检查方法:6例均做超声波(US)、CT、MRI和血管造影检查。超声波检查设备为Acuson-128型彩色多普勒超声仪,探头频率为3.5 MHz。CT检查包括平扫和增强扫描,增强造影剂用量1~1.5 ml/kg体重,扫描时相包括动脉期和门静脉期,局部薄层扫描3例,层厚3 mm,所用设备:2例用Somatoma DR3型扫描仪,3例用Philips Tomoscan SR 7000型(螺旋CT),1例用GE-9800型。MRI检查设备:5例用Siemens Compact Magnet B 1.0T超导型磁共振成像仪,1例用GE Signa 0.5 T超导磁共振成像仪,用自旋回波、T1加权(TR/TE=500/15~20 ms)及T2加权成像,4例曾做增强扫描,用Gd-DTPA 0.1 mmol/kg体重。血管造影设备为Philips DVI V型数字减影血管造影机,按常规行选择性肝动脉造影。
3.手术及病理所见:肿瘤位于肝右叶5例,左叶1例,均为单发,直径2~13 cm,有假包膜2例,无包膜4例。肿块质软、剖面有较多黄色脂肪成分4例,肿块质硬、剖面呈鱼肉状2例(镜下主要为平滑肌组织)。镜下均呈典型AML表现,由成熟的脂肪组织、血管及平滑肌组成,血管壁厚薄不均,未见动脉瘤,可见少许淋巴细胞浸润。
, 百拇医药
图1 超声波检查显示肝右叶前段下部(V)2.1×2.3 cm强回声结节
二、影象学表现
1.US表现:肿块均为强回声,边缘清楚(图1),3例回声均匀,3例回声不均匀。彩色Doppler超声显示肿瘤血供丰富,主要为动脉血流频谱。US术前诊断血管瘤3例,肝癌2例,性质待定1例。
2.CT表现:平扫病变呈分叶状,低于肝实质密度,边缘清楚。4例可见较多脂肪成分,分布在肿块周边。1例于薄层扫描(3 mm)显示点状脂肪密度,1例未显示脂肪成分。增强扫描:动脉为主期(早期)肿块呈明显强化,4例与主动脉密度近似,于注药2~4分钟后转变为低于肝实质密度(图2);2例延迟10~15分钟后病变呈等密度(与血管瘤相似)。6例均无肝硬化表现。术前2例因肿块内脂肪成分多而考虑为HAML,2例诊断为血管瘤,2例诊断为肝癌。
, http://www.100md.com
图2 肝增强CT扫描延迟相,肿瘤密度低于肝实质密度,后部有脂肪成分
3.MRI所见:T1加权像病变低于肝实质信号4例,近似等信号2例。4例肿块周边可见脂肪信号,肿块内见迂曲流空血管结构(图3)。2例未见脂肪信号。T2加权像显示肿瘤信号高且不均匀,T2值在70~95 ms之间。增强扫描肿块呈明显强化,脂肪信号区亦有强化,提示其内存在异常血管成分。
图3 MRI T1加权像,肿块略低于肝实质信号,其内有迂曲流空血管结构,后部(↑)为脂肪信号
图4 X线数字减影肝动脉造影动脉期,肝右叶肿瘤血供丰富,肿瘤血管呈近似放射状分布
, http://www.100md.com
4.血管造影表现:肿瘤均呈富血供型,供血动脉明显增粗、迂曲,肿瘤血管从周边向中央分布,呈近似梳齿状或放射状2例(图4),肿瘤血管粗细不均4例,粗细较均2例,肿瘤区肝静脉早期显影4例,未见动-静脉瘘。
三、讨论
肝AML罕见,主要见于青年女性,少数病例可与肾脏AML、多发性结节硬化并存[2]。本组6例AML仅限于肝脏。病理上,肝AML由成熟脂肪组织、平滑肌及发育不良的血管组成,脂肪所占比例从5%~50%不等,与肾AML常合并微小动脉瘤及易并发出血不同,肝AML合并动脉瘤及自发性出血少见[3]。
1.影象学诊断:血管造影显示多数AML为富血供型,但缺乏特征性,与肝癌难以区别,有人报告典型AML的肿瘤血管呈卷发状或旋涡状,但出现率低[4]。本组有4例出现肿瘤区肝静脉早期显影,文献亦有类似报道,其成因可能为肿瘤内微小动-静脉畸形所致。有作者认为,US引导下经皮肝穿刺活检有助于确诊AML,但由于绝大多数肿瘤内有发育异常的血管,穿刺检查可诱发难以控制的大出血[2,3]。
, http://www.100md.com
2.鉴别诊断:除了AML外,肝脏含脂肪成分的肿瘤及肿瘤样病变尚有脂肪瘤、局灶性脂肪浸润、肝癌瘤体内脂肪变性、肝原发或转移性脂肪肉瘤、原发或转移性畸胎瘤、髓源性脂肪瘤(含脂肪和造血组织)、血管脂肪瘤、术后大网膜填塞等。从临床治疗角度考虑,AML主要应与前5种鉴别。肝脂肪瘤罕见,由单一成熟脂肪组织组成,有占位效应,但无异常血管;肝局灶性脂肪浸润常呈扇形或楔形,无占位效应,其内可见正常血管穿行;肝癌瘤灶内脂肪变性分布弥散,界限不具体,常伴有液化坏死和血管受侵犯。AML与脂肪肉瘤、畸胎瘤、髓源性脂肪瘤鉴别困难[3,4]。
参考文献
1 Peh WCG, Gan NH, Fan ST, et al. Case report: variable imaging appearances of angiomyolipomas of the liver. Br J Radiol, 1995,68:540-544.
, 百拇医药
2 Low VHS, Breidahl WH, Robbins PD: Hepatic angiomyolipomas. Abdom Imaging, 1994,19:540-542.
3 Chang JC, Lee YW, Kim HJ: Preoperative diagnosis of angiomyolipoma of the liver. Abdom Imaging, 1994,19:546-548.
4 Murakami T, Nakamura H, Hori S, et al. Angiomyolipoma of the liver: ultrasound, CT, MR imaging and angiography. Acta Radiol, 1993,34:392-394.
(收稿:1997-08-22 修回:1998-04-08), 百拇医药