慢性肝病患者肝组织中庚型肝炎病毒NS5抗原的检测
作者:郎振为 方德龄 罗朝霞 廖慧钰 周育森 陈万荣 黄德庄
单位:100054,北京佑安医院(郎振为、罗朝霞、廖慧钰、黄德庄);河北邯郸市第二医院(方德龄);军事医学科学院微生物流行病研究所(周育森、陈万荣)
关键词:肝炎,病毒性,人;抗原;免疫组织化学
中华医学杂志980814 【摘要】 目的 了解慢性肝病患者肝组织中庚型肝炎病毒(HGV)的存在状况。方法 采用免疫组织化学方法,用抗-HGV NS5单克隆抗体对110例血清学病毒标记非甲非戊、乙型及丙型肝炎的慢性肝病患者肝组织中的HGV抗原进行了检测。结果 HGV的总检出率为32.7%(36/110),非甲非戊、乙型及丙型肝炎病毒的检出率分别为21%(4/19)、36%(25/69)及32%(7/22);活动性肝硬化、原发性肝癌及慢性重型肝炎中HGV的检出率为22%(10/45)、43%(20/47)及33%(6/18),不同血清病毒标志组或病理类型之间其检出率差异均无显著意义(χ2=4.31,1.52;P>0.10,P>0.25)。HGV NS5Ag主要于肝细胞或癌细胞胞浆内表达,阳性肝细胞呈弥漫或大片灶状分布,免疫组织化学双标记染色显示HBsAg或丙型肝炎(HCV) NS3Ag阳性细胞呈单个或小片灶状,多与HGAg阳性细胞位于同一区域内,或在同一肝细胞内表达。结论 在慢性肝病患者肝组织中HGV的感染较为常见。
, http://www.100md.com
Detection of HGV NS5 antigen in liver tissue of patients with chronic liver disease Lang Zhenwei, Fang Deling, luo Zaoxia, et al. Youan Hospital, Beijing 100054
【Abstract】 Objective To investigate the existence of hepatitis G virus (HGV) in liver tissue. Methods HGV NS5 antigen was detected by immunohistochemical method in paraffin-embeded liver tissue of autopsy patients with chronic liver disease. Results Among 110 samples, 32.7% (36/110) had been detected out HGAg in their liver. When serologica marker was used,the detection rate was 21% (4/19) in HNA-E, 36% (25/69) in HBV and 32%(7/22) in HCV infectious group, respectively. HGAg expression in hepatocytes was also found pathologically in 22% of 45 patients with active cirrhosis, 43% of 47 patients with hepatocellular carcinoma, and 33% of 18 patients with chronic fulminent hepatitis. The staining signal of HGV NS5 antigen was mainly located in the cytoplasm of liver or neoplasm cells, and the positive cells were distributed diffusely in pseudolobule or liver tissues. Conclusion The infection of viral G is often seen in liver tissue of patients with chronic liver disease.
, 百拇医药
【Key words】 Hepatitis, viral, human Antigens Immunohistochemistry
(Natl Med J China, 1998, 78:598-600)
自1995年发现庚型肝炎病毒(HGV)以来,人们已能对血中的抗-HGV及病毒RNA进行检测和诊断,但对肝组织中HGV的检测尚少见报道。我们采用免疫组织化学法以抗HGV NS5单克隆抗体,对一组慢性肝病患者肝组织中HGV的表达与分布进行了研究,报道如下。
对象和方法
一、对象
对象为1993~1997年本院尸体解剖的慢性肝病患者,共110例,其中男83例,女27例,年龄49±17岁。根据血清学病毒标志检测(均为酶联免疫吸附法)110例中非甲非戊(NAE)肝炎19例;乙型肝炎(HBV)69例;丙型肝炎(HCV)22例。根据病理组织学[1],110例中活动性肝硬化(AC)45例,慢性重型肝炎(CFH)18例,原发性肝癌(HCC)47例。阴性对照用4例非肝病者的正常肝组织,其中血清学各型病毒性肝炎标记及肝组织免疫组织化学检测HBsAg及HCV NS3Ag均为阴性。阳性对照为预试中HGV NS5Ag呈阳性的AC肝组织。
, 百拇医药
二、方法
每例肝组织经10%甲醛固定,石蜡包埋,5 μm厚切片,分别做HE及免疫组织化学检测。每例切片分别做HGV NS5Ag、HBsAg及HCV NS3Ag检测,同时分别用兔血清和磷酸盐缓冲液代替第一抗体,以确定其特异性和可靠性。挑选HBV组中8例HBsAg和HGV NS5Ag表达强烈及HCV组中4例HCV NS3Ag和HGV NS5Ag表达均较强烈的病例进行HGVAg或HBsAg及HGVAg或HCV NS3Ag免疫组织化学双标记检测。主要试剂:鼠抗-HGV NS5(2b)单克隆抗体由军事医学科学院王海涛教授惠赠,鼠抗-HCV NS3单克隆抗体由中国预防医学科学院病毒学研究所詹美云教授惠赠,鼠抗-HBs单克隆抗体及免疫组织化学双染试剂盒均为美国Zymed Lab公司产品,购自北京中山生物技术公司。
三、统计学处理
采用卡方检验。
, 百拇医药
结 果
一、单标记染色
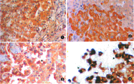
各种肝炎总检出率为32.7%(36/110),非甲非戊、乙型及丙型肝炎病毒的检出率分别为21%(4/19)、36%(25/69)及32%(7/22)。HGA在AC、HCC及CFH的检出率分别为22%(10/45)、42%(20/47)及33%(6/18)。不同病理类型及血清学病毒标志组之间差异均无显著意义(χ2=4.31,1.52;P>0.1,P>0.25)。HGV NS5抗原呈细颗粒状主要定位于肝细胞浆内,在部分病例偶见有核型表达。此外一些胆管上皮细胞及浸润的单个核细胞胞浆内也呈阳性表达。HGV NS5Ag阳性肝细胞多在假小叶中或肝小叶内弥漫或呈大片灶状分布(图1,2),包括一些被纤维结缔组织包绕分隔的孤立肝细胞团也多呈阳性表达。在HCC病例,20例为癌旁肝组织检测阳性,血清病毒学标记阴性、HBV及HCV组癌组织中HGV NS5Ag的检出例数分别为2组、8组及1例,阳性颗粒定位于癌细胞胞浆内,其癌旁肝细胞均为阳性表达(图3)。在各型慢性肝组织中HBsAg或HCAg阳性肝细胞则呈极不规则的单个或小灶状分布。
, 百拇医药
二、双标记染色
HBsAg或HCAg与HGV NS5Ag分别经碱性磷酸酶或辣根过氧化物及其底物显色后呈蓝色及红色。3种阳性细胞的分布同单标记染色。HBsAg或HCAg阳性细胞与HGV NS5Ag阳性细胞多于假小叶内同一区域甚至同一肝细胞内表达,也可在不同部
图1 HGAg阳性肝细胞(箭示)在假小叶内弥漫分布 免疫组织化学S-P法(AEC) 苏木素衬染(图2,3同) ×200 图2 HGAg阳性肝细胞在肝组织中呈片灶状分布 ×200 图3 原发性肝癌癌细胞胞浆内HGAg阳性表达,呈红色 ×200 图4 HBV与HCV重叠感染病例,HBsAg于肝细胞胞浆内呈蓝色,HGAg呈红色,部分肝细胞呈双表达(箭示) 免疫组织化学双标记S-P法(AP和AEC) ×200
位表达(图4)。
, 百拇医药
4例正常肝组织中HBsAg、HCAg及HGV NS5Ag检测均为阴性,阳性标本每次免疫组织化学检测均为阳性,用兔血清或磷酸盐缓冲液替代第一抗体后,原阳性对照及肝细胞胞浆中HGV NS5Ag表达的标本皆为阴性。讨 论
在现已发现的甲、乙、丙、丁及戊5种肝炎病毒之外,尚有10%~20%的人类肝炎的致病因子是不清楚的。近1年多来实验诊断技术的迅猛进展证实这一部分患者中有一部分为HGV感染。有学者采用逆转录聚合酶链反应(RT-PCR)技术对慢性非甲非丙或非甲非戊型肝炎的病例,进行了血清学检测,HGV的检出率为8.2%及2.9%[2,3]。我科近5年来尸体解剖病例中慢性肝病共134例,其中约14.2%的患者其生前血清病毒学各项标志检测均阴性,HGV NS5Ag在肝组织中的检出率为35.3%。文献报道HGV常与HBV和HCV有重叠感染[4],我们以往的工作也表明:在血清学诊断不明的慢性肝病死亡患者中,约1/3可检出HGV感染,非甲非戊肝炎的多数病例其病原因子不清,还有待于进一步查寻[5]。与资料中HGV血清学检出率相比,本文非甲非戊、HBV及HCV组中HGV的检出率均较高,表明肝组织中HGV感染较为常见,3组间差异无显著意义。这可能与它们具有相似的传播途径有关。一些文献认为血制品或免疫球蛋白制品中HGV RNA的检出率可高达7%~40%及87.5%,HGV感染与患者接受过血制品或免疫球蛋白制品关系密切[6]。本组患者中有输过血液或血制品患者76例,其中肝组织HGAg阳性25例,阴性51例;而未输用者16例中,HGAg阳性6例,阴性10例(χ2=0.125,P>0.75),未显示出HGV的感染与使用血液或血制品的相关关系。其原因为:(1) 我们未对本组所用血制品或免疫球蛋白制品进行检测;(2) 也可能与HGV的核心基因尚未能确定,可能属于一种没有囊膜的缺陷性颗粒,而传染性较低弱有关[7]。关于HGV的诊断,除现有的血清酶联免疫吸附试验及RT-PCR法外,免疫组织化学检测还能进一步显示HGV在肝组织中的表达与分布,值得推广及应用。
, http://www.100md.com
HGV NS5Ag的表达与HBsAg及HCAg有类似之处,即除了在肝细胞胞浆内表达外,也见于胆管上皮及浸润的单个核细胞浆内,双标记染色显示HGV分布较HBV或HCV广泛而弥散,HBsAg或HCAg阳性细胞多散布HGV感染的肝细胞区域内,或于同一肝细胞胞浆内表达,进一步证实了HGV与HBV或HCV存在着重叠感染。本组病例的绝大多数肝组织中有肝硬化的晚期病理背景,HGV NS5Ag在假小叶中的表达与分布与肝组织病理变化及炎症反应的关系较难进行评估,有待于今后选择急慢性肝炎病例作进一步探讨。
本组病例中有47例为原发性肝癌,其癌旁肝细胞或癌细胞中均检出了HGAg,对于HGV感染与原发性肝癌的关系文献报道不一。本组9例非甲非戊型肝癌患者癌组织中检测出HGV NS5Ag 2例,重叠有HBV及HCV感染的患者中检出率分别为24%(8/34)及1/4,三者癌组织中HGV的检出率均不高且较接近,若从另一角度统计,则显示38例原发性肝癌中有29例仅有HBV或(和)HCV感染,与9例非甲非戊型患者中3例HGV阳性比较,χ2=6.18,P<0.05,鉴于非甲非戊组原发性肝癌癌组织中检出HGV NS5的病例偏少,有待于累积更多的资料。
, http://www.100md.com
参考文献
1 中华医学会传染病与寄生虫病学会.病毒性肝炎病理组织学诊断标准.中华病理学杂志,1996,25:122-123.
2 Linnen J, Wages J, Zhang-Keck ZY, et al. Molecular cloning and disease association of hepatitis G virus; a transfusion-transmissible agent. Science, 1996, 271:505-508.
3 Nakatsuji Y, Shih JWK, Tanaka E, et al. Prevalence of hepatitis G virus in Japan. Hepatol, 1995, 22(pt2):182-182.
4 王佑春,庄辉,吴晓音,等.庚型肝炎病毒(GBV-C/HGV)与HBV和HCV联合或重叠感染的初步研究.中华肝脏病杂志,1997,5:3-4.
, 百拇医药
5 Theodore D, Lemon SM. GB virus C, hepatitis G virus, or human orphan flavivirus? Hepatol, 1997, 25:1285-1286.
6 王火生,周伯平,蒋小玲,等.慢性乙型与丙型肝炎患者重叠HGV感染情况的调查.深圳医学,1997,10:8-9.
7 Miyakawa Y, Mayumi M. Hepatitis G virus-A true hepatitis virus or an accidental tourist? N Eng J Med, 1997, 336:795-796.
(收稿:1997-08-15 修回:1998-03-20), http://www.100md.com
单位:100054,北京佑安医院(郎振为、罗朝霞、廖慧钰、黄德庄);河北邯郸市第二医院(方德龄);军事医学科学院微生物流行病研究所(周育森、陈万荣)
关键词:肝炎,病毒性,人;抗原;免疫组织化学
中华医学杂志980814 【摘要】 目的 了解慢性肝病患者肝组织中庚型肝炎病毒(HGV)的存在状况。方法 采用免疫组织化学方法,用抗-HGV NS5单克隆抗体对110例血清学病毒标记非甲非戊、乙型及丙型肝炎的慢性肝病患者肝组织中的HGV抗原进行了检测。结果 HGV的总检出率为32.7%(36/110),非甲非戊、乙型及丙型肝炎病毒的检出率分别为21%(4/19)、36%(25/69)及32%(7/22);活动性肝硬化、原发性肝癌及慢性重型肝炎中HGV的检出率为22%(10/45)、43%(20/47)及33%(6/18),不同血清病毒标志组或病理类型之间其检出率差异均无显著意义(χ2=4.31,1.52;P>0.10,P>0.25)。HGV NS5Ag主要于肝细胞或癌细胞胞浆内表达,阳性肝细胞呈弥漫或大片灶状分布,免疫组织化学双标记染色显示HBsAg或丙型肝炎(HCV) NS3Ag阳性细胞呈单个或小片灶状,多与HGAg阳性细胞位于同一区域内,或在同一肝细胞内表达。结论 在慢性肝病患者肝组织中HGV的感染较为常见。
, http://www.100md.com
Detection of HGV NS5 antigen in liver tissue of patients with chronic liver disease Lang Zhenwei, Fang Deling, luo Zaoxia, et al. Youan Hospital, Beijing 100054
【Abstract】 Objective To investigate the existence of hepatitis G virus (HGV) in liver tissue. Methods HGV NS5 antigen was detected by immunohistochemical method in paraffin-embeded liver tissue of autopsy patients with chronic liver disease. Results Among 110 samples, 32.7% (36/110) had been detected out HGAg in their liver. When serologica marker was used,the detection rate was 21% (4/19) in HNA-E, 36% (25/69) in HBV and 32%(7/22) in HCV infectious group, respectively. HGAg expression in hepatocytes was also found pathologically in 22% of 45 patients with active cirrhosis, 43% of 47 patients with hepatocellular carcinoma, and 33% of 18 patients with chronic fulminent hepatitis. The staining signal of HGV NS5 antigen was mainly located in the cytoplasm of liver or neoplasm cells, and the positive cells were distributed diffusely in pseudolobule or liver tissues. Conclusion The infection of viral G is often seen in liver tissue of patients with chronic liver disease.
, 百拇医药
【Key words】 Hepatitis, viral, human Antigens Immunohistochemistry
(Natl Med J China, 1998, 78:598-600)
自1995年发现庚型肝炎病毒(HGV)以来,人们已能对血中的抗-HGV及病毒RNA进行检测和诊断,但对肝组织中HGV的检测尚少见报道。我们采用免疫组织化学法以抗HGV NS5单克隆抗体,对一组慢性肝病患者肝组织中HGV的表达与分布进行了研究,报道如下。
对象和方法
一、对象
对象为1993~1997年本院尸体解剖的慢性肝病患者,共110例,其中男83例,女27例,年龄49±17岁。根据血清学病毒标志检测(均为酶联免疫吸附法)110例中非甲非戊(NAE)肝炎19例;乙型肝炎(HBV)69例;丙型肝炎(HCV)22例。根据病理组织学[1],110例中活动性肝硬化(AC)45例,慢性重型肝炎(CFH)18例,原发性肝癌(HCC)47例。阴性对照用4例非肝病者的正常肝组织,其中血清学各型病毒性肝炎标记及肝组织免疫组织化学检测HBsAg及HCV NS3Ag均为阴性。阳性对照为预试中HGV NS5Ag呈阳性的AC肝组织。
, 百拇医药
二、方法
每例肝组织经10%甲醛固定,石蜡包埋,5 μm厚切片,分别做HE及免疫组织化学检测。每例切片分别做HGV NS5Ag、HBsAg及HCV NS3Ag检测,同时分别用兔血清和磷酸盐缓冲液代替第一抗体,以确定其特异性和可靠性。挑选HBV组中8例HBsAg和HGV NS5Ag表达强烈及HCV组中4例HCV NS3Ag和HGV NS5Ag表达均较强烈的病例进行HGVAg或HBsAg及HGVAg或HCV NS3Ag免疫组织化学双标记检测。主要试剂:鼠抗-HGV NS5(2b)单克隆抗体由军事医学科学院王海涛教授惠赠,鼠抗-HCV NS3单克隆抗体由中国预防医学科学院病毒学研究所詹美云教授惠赠,鼠抗-HBs单克隆抗体及免疫组织化学双染试剂盒均为美国Zymed Lab公司产品,购自北京中山生物技术公司。
三、统计学处理
采用卡方检验。
, 百拇医药
结 果
一、单标记染色
各种肝炎总检出率为32.7%(36/110),非甲非戊、乙型及丙型肝炎病毒的检出率分别为21%(4/19)、36%(25/69)及32%(7/22)。HGA在AC、HCC及CFH的检出率分别为22%(10/45)、42%(20/47)及33%(6/18)。不同病理类型及血清学病毒标志组之间差异均无显著意义(χ2=4.31,1.52;P>0.1,P>0.25)。HGV NS5抗原呈细颗粒状主要定位于肝细胞浆内,在部分病例偶见有核型表达。此外一些胆管上皮细胞及浸润的单个核细胞胞浆内也呈阳性表达。HGV NS5Ag阳性肝细胞多在假小叶中或肝小叶内弥漫或呈大片灶状分布(图1,2),包括一些被纤维结缔组织包绕分隔的孤立肝细胞团也多呈阳性表达。在HCC病例,20例为癌旁肝组织检测阳性,血清病毒学标记阴性、HBV及HCV组癌组织中HGV NS5Ag的检出例数分别为2组、8组及1例,阳性颗粒定位于癌细胞胞浆内,其癌旁肝细胞均为阳性表达(图3)。在各型慢性肝组织中HBsAg或HCAg阳性肝细胞则呈极不规则的单个或小灶状分布。
, 百拇医药
二、双标记染色
HBsAg或HCAg与HGV NS5Ag分别经碱性磷酸酶或辣根过氧化物及其底物显色后呈蓝色及红色。3种阳性细胞的分布同单标记染色。HBsAg或HCAg阳性细胞与HGV NS5Ag阳性细胞多于假小叶内同一区域甚至同一肝细胞内表达,也可在不同部
图1 HGAg阳性肝细胞(箭示)在假小叶内弥漫分布 免疫组织化学S-P法(AEC) 苏木素衬染(图2,3同) ×200 图2 HGAg阳性肝细胞在肝组织中呈片灶状分布 ×200 图3 原发性肝癌癌细胞胞浆内HGAg阳性表达,呈红色 ×200 图4 HBV与HCV重叠感染病例,HBsAg于肝细胞胞浆内呈蓝色,HGAg呈红色,部分肝细胞呈双表达(箭示) 免疫组织化学双标记S-P法(AP和AEC) ×200
位表达(图4)。
, 百拇医药
4例正常肝组织中HBsAg、HCAg及HGV NS5Ag检测均为阴性,阳性标本每次免疫组织化学检测均为阳性,用兔血清或磷酸盐缓冲液替代第一抗体后,原阳性对照及肝细胞胞浆中HGV NS5Ag表达的标本皆为阴性。讨 论
在现已发现的甲、乙、丙、丁及戊5种肝炎病毒之外,尚有10%~20%的人类肝炎的致病因子是不清楚的。近1年多来实验诊断技术的迅猛进展证实这一部分患者中有一部分为HGV感染。有学者采用逆转录聚合酶链反应(RT-PCR)技术对慢性非甲非丙或非甲非戊型肝炎的病例,进行了血清学检测,HGV的检出率为8.2%及2.9%[2,3]。我科近5年来尸体解剖病例中慢性肝病共134例,其中约14.2%的患者其生前血清病毒学各项标志检测均阴性,HGV NS5Ag在肝组织中的检出率为35.3%。文献报道HGV常与HBV和HCV有重叠感染[4],我们以往的工作也表明:在血清学诊断不明的慢性肝病死亡患者中,约1/3可检出HGV感染,非甲非戊肝炎的多数病例其病原因子不清,还有待于进一步查寻[5]。与资料中HGV血清学检出率相比,本文非甲非戊、HBV及HCV组中HGV的检出率均较高,表明肝组织中HGV感染较为常见,3组间差异无显著意义。这可能与它们具有相似的传播途径有关。一些文献认为血制品或免疫球蛋白制品中HGV RNA的检出率可高达7%~40%及87.5%,HGV感染与患者接受过血制品或免疫球蛋白制品关系密切[6]。本组患者中有输过血液或血制品患者76例,其中肝组织HGAg阳性25例,阴性51例;而未输用者16例中,HGAg阳性6例,阴性10例(χ2=0.125,P>0.75),未显示出HGV的感染与使用血液或血制品的相关关系。其原因为:(1) 我们未对本组所用血制品或免疫球蛋白制品进行检测;(2) 也可能与HGV的核心基因尚未能确定,可能属于一种没有囊膜的缺陷性颗粒,而传染性较低弱有关[7]。关于HGV的诊断,除现有的血清酶联免疫吸附试验及RT-PCR法外,免疫组织化学检测还能进一步显示HGV在肝组织中的表达与分布,值得推广及应用。
, http://www.100md.com
HGV NS5Ag的表达与HBsAg及HCAg有类似之处,即除了在肝细胞胞浆内表达外,也见于胆管上皮及浸润的单个核细胞浆内,双标记染色显示HGV分布较HBV或HCV广泛而弥散,HBsAg或HCAg阳性细胞多散布HGV感染的肝细胞区域内,或于同一肝细胞胞浆内表达,进一步证实了HGV与HBV或HCV存在着重叠感染。本组病例的绝大多数肝组织中有肝硬化的晚期病理背景,HGV NS5Ag在假小叶中的表达与分布与肝组织病理变化及炎症反应的关系较难进行评估,有待于今后选择急慢性肝炎病例作进一步探讨。
本组病例中有47例为原发性肝癌,其癌旁肝细胞或癌细胞中均检出了HGAg,对于HGV感染与原发性肝癌的关系文献报道不一。本组9例非甲非戊型肝癌患者癌组织中检测出HGV NS5Ag 2例,重叠有HBV及HCV感染的患者中检出率分别为24%(8/34)及1/4,三者癌组织中HGV的检出率均不高且较接近,若从另一角度统计,则显示38例原发性肝癌中有29例仅有HBV或(和)HCV感染,与9例非甲非戊型患者中3例HGV阳性比较,χ2=6.18,P<0.05,鉴于非甲非戊组原发性肝癌癌组织中检出HGV NS5的病例偏少,有待于累积更多的资料。
, http://www.100md.com
参考文献
1 中华医学会传染病与寄生虫病学会.病毒性肝炎病理组织学诊断标准.中华病理学杂志,1996,25:122-123.
2 Linnen J, Wages J, Zhang-Keck ZY, et al. Molecular cloning and disease association of hepatitis G virus; a transfusion-transmissible agent. Science, 1996, 271:505-508.
3 Nakatsuji Y, Shih JWK, Tanaka E, et al. Prevalence of hepatitis G virus in Japan. Hepatol, 1995, 22(pt2):182-182.
4 王佑春,庄辉,吴晓音,等.庚型肝炎病毒(GBV-C/HGV)与HBV和HCV联合或重叠感染的初步研究.中华肝脏病杂志,1997,5:3-4.
, 百拇医药
5 Theodore D, Lemon SM. GB virus C, hepatitis G virus, or human orphan flavivirus? Hepatol, 1997, 25:1285-1286.
6 王火生,周伯平,蒋小玲,等.慢性乙型与丙型肝炎患者重叠HGV感染情况的调查.深圳医学,1997,10:8-9.
7 Miyakawa Y, Mayumi M. Hepatitis G virus-A true hepatitis virus or an accidental tourist? N Eng J Med, 1997, 336:795-796.
(收稿:1997-08-15 修回:1998-03-20), http://www.100md.com