肝癌组织中转化生长因子β亚型的表达及与肝癌复发的关系
作者:潘志刚 杨秉辉 刘银坤 施达仁 陆洪芬 汤钊猷
单位:200032 上海医科大学附属中山医院肝癌研究所(潘志刚、杨秉辉、刘银坤、汤钊猷);上海医科大学附属肿瘤医院病理科(施达仁、陆洪芬)
关键词:肝肿瘤;癌;转化生长因子β;复发
中华医学杂志980813 【摘要】 目的 探讨原发性肝癌(HCC)组织中三种转化生长因子β(TGFβ)的表达及其与肝癌复发的关系。方法 ABC免疫组织化学方法检测52例小肝癌患者癌组织中三种TGFβ的免疫反应性,并根据术后2年内肝癌有无复发,分析其与肝癌复发的关系。结果 复发组TGFβ1表达阳性率为85%(17/20),无复发组TGFβ1表达阳性率为47%(15/32),两组比较差异有显著意义(P<0.05)。 复发组TGFβ2阳性率50%(10/20),强阳性率40%(8/20),无复发组TGFβ2阳性率66%(21/32),强阳性13%(4/32),两组比较差异有显著意义(P<0.05)。复发组TGFβ3阳性率45%(9/20),无复发组TGFβ3阳性率63%(20/32),两组比较差异无显著意义(P>0.05)。结论 肝癌组织中TGFβ1、TGFβ2的免疫反应性与肝癌复发呈正相关。
, http://www.100md.com
TGFβ subtypes in hepatocellular carcinoma. Pan Zhigang, Yang Binghui, Liu Yinkun, et al. Liver Cancer Institute,Zhongshan Hospital, Shanghai Medical University, Shanghai 200032.
【Abstract】 Objective To detect the expression of three TGFβ isoforms and its clinicopathologic significance in hepatocellular carcinoma(HCC). Methods Surgical specimens of 52 patients with small HCC resection during 1992~1995 were used to determine the immunoreactivity of TGFβ protein by ABC immunohistochemistry . These specimens were divided into recurrence group(G1) and unrecurrence group(G2) according to whether HCC recurred two years after resection. The relations with recurrene of HCC were analyzed. Results The positive rates in G1 and G2 were 85%(17/20) versus 47%(15/32) for TGFβ1, 90%(18/20) vs. 78%(25/32) for TGFβ2, and 45%(9/20) vs. 63%(20/32) for TGFβ3. Significant difference was found in TGFβ1 and TGFβ2, but not in TGFβ3. Conclusion The high immunoreactivity to TGFβ1 or TGFβ2 is positively related to the recurrence of HCC.
, 百拇医药
【Key words】 Liver neoplasms Cancer Transforming growth factor β Recurrence
(Natl Med J China, 1998, 78:595-597)
转化生长因子(TGF)β家族由一组具有相似的生物学活性、结构上密切相关的多肽组成。在哺乳动物细胞中主要表达TGFβ1、TGFβ2和TGFβ3[1]。TGFβ在许多肿瘤组织中可过度表达[2],且其不同亚型的表达与肿瘤预后有关[3]。对肝癌组织中TGFβ1表达的研究较多,但三种TGFβ的表达与肝癌复发的关系还不清楚。我们用免疫组织化学方法检测了我所1992~1995年手术切除的52例小肝癌组织中TGFβ的免疫反应性,并分析其与肝癌复发的关系。
对象与方法
, 百拇医药
一、对象
我所1992~1995年手术切除的52例小肝癌(单个肿瘤直径小于5 cm)患者的石蜡存档标本,其中男46例,女6例,年龄33~78岁。术后2年内复发者20例,无复发者32例。乙型肝炎病毒感染阳性47例,阴性5例。
二、方法
1.试剂:兔抗人TGFβ1多克隆抗体购自美国Promega公司。亲和层析纯兔抗人TGFβ2及TGFβ3多克隆抗体购自Santa Cruz公司。以上三种多克隆抗体使用浓度均为1∶400。 生物素标记的羊抗兔抗体及卵蛋白生物素辣根过氧化物酶复合物(ABC)为美国Vector公司产品。染色剂3-二氨基联苯胺(DAB)购自瑞士Fluka公司。
2.染色方法:采用ABC法。手术切除的肝癌组织标本经石蜡包埋切片,置于95℃ 0.01 mol/L、pH6.0的柠檬酸钠缓冲液中,置微波炉中低档加热10分钟,使温度保持在94℃,保温10分钟,以提高TGFβ2的阳性检出率。分别以单纯肝硬化、血管瘤的存档石蜡切片及用TBS代替第一抗体作为阴性对照。显微镜下观察:有棕黄色染色者为阳性,染色密度<25%为(-),25%~50%为(+),≥50%为(++)。
, 百拇医药
三、统计学处理
用χ2检验或趋势χ2检验。
结 果
一、三种TGFβ在癌组织中的分布特征
三种TGFβ阳性物质分布于胞浆和/或胞膜(图1~3),且在癌组织中的分布呈异质性。
二、三种TGFβ表达与肝癌临床特征的关系
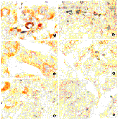
图1 复发组TGFβ1免疫反应阳性(+),棕黄色染色为TGFβ1阳性物质,不均质分布于胞浆和胞膜中 ABC染色 ×400 图2 无复发组TGFβ1免疫反应阴性 ABC染色×400 图3 复发组TGFβ2免疫反应阳性(++),棕黄色染色为TGFβ2阳性物质,不均质分布于胞浆及胞膜中 ABC染色×400 图4 无复发组TGFβ2免疫反应阳性(+),棕黄色染色为TGFβ2阳性物质,不均质分布于胞浆及胞膜中 ABC染色×400 图5,6 复发组与不复发组TGFβ3免疫反应均阴性(染色密度<25%)棕黄色染色为TGFβ3阳性物质,不均质分布于胞浆及胞膜中ABC染色×400
, 百拇医药
复发组TGFβ1表达为(+)者17例(85%),无复发组中TGFβ1表达为(+)者15例(47%),经χ2检验,两组差异有显著意义(P<0.05)(图1、2附表)。复发组中TGFβ2表达为(+)者10例(50%),(++)者8例(40%),无复发组TGFβ2表达为(+)者21例(66%),(++)者4例(13%),经趋势χ2检验两组差异有显著意义(P<0.05)(图3、4,附表)。 复发组中TGFβ3表达为(+)者9例(45%),无复发组中TGFβ3 表达为(+)者20例(63%),经χ2检验两组差异无显著意义(P> 0.05)(图5、6,附表)。附表 小肝癌复发与三种TGFβ的免疫反应性的关系 组别
例数
TGFβ1阳性
TGFβ2阳性
TGFβ3阳性
, 百拇医药
复发组
20
17(85)
18(90)
9(45)
非复发组
32
15(47)*
25(78)*
20(63)
注:与复发组比较,* P<0.05,括号内为阳性率
, 百拇医药 讨 论
TGFβ作为细胞生长、分化的重要调控因子,在肿瘤形成及其预后中所起的作用已引起人们的重视。已有报道,三种TGFβ的表达与黑色素瘤及胰腺癌的进展相关[3,4]。我们的研究结果提示,肝癌组织中表达三种TGFβ,肝癌复发与TGFβ1、TGFβ2的免疫反应性增高密切相关,与TGFβ3的免疫反应性无关。
在人的肝癌细胞株(HEPG2)及肝癌组织中,TGFβ1 mRNA及蛋白质是高水平表达[5]。同时,Ito等[6]发现肝癌组织中TGFβ1 mRNA水平与肿瘤大小、血中甲胎蛋白水平无关。在组织分化较差的肝癌组织中,TGFβ1 mRNA表达的水平最高。Oda等[7]发现TGFβ1在肿瘤细胞内表达,可以诱导纤维连接蛋白(FN)与FN受体间的相互作用,促进肿瘤细胞的侵袭,导致淋巴结转移。Hoefer等[8]发现抗TGFβ1抗体可以抑制裸鼠人肝癌细胞株SLU-1原发灶生长及远处转移,推测TGFβ1介导的生长调节作用与肿瘤转移能力直接相关,抗TGFβ1抗体诱导肿瘤生长和远处转移的抑制更可能是刺激免疫监视的结果。TGFβ2在肿瘤转移、复发中的作用机理尚不清楚。在其它肿瘤的研究中已发现TGFβ2的表达与肿瘤预后有关。
, 百拇医药
TGFβ能刺激纤维细胞增殖,基质蛋白的合成及沉积,在形态发生及再生过程中是上皮-基质之间相互作用的调节剂。Irubo等[9]发现提高TGFβ的浓度,能够抑制胸腹膜腔的间皮细胞生长,并能明显地改变细胞形态,从而增加其通透性,在不同的临床肿瘤病人中亦测到不同的TGFβ浓度,提示TGFβ在肿瘤形成及浸润、转移复发中起重要作用。TGFβ也是重要的免疫功能调节剂,具有免疫抑制作用。Maeda等[10]发现用抗TGFβ中和抗体治疗EL4带瘤小鼠,可以恢复小鼠的巨噬细胞功能,提示TGFβ是一个免疫抑制剂。
因此,我们推测增高的TGFβ1、TGFβ2免疫反应性与肝癌复发之间的密切联系可能是TGFβ1、TGFβ2抑制免疫功能、促进肝癌浸润、转移的结果。TGFβ1、TGFβ2可能成为肝癌复发的指标。TGFβ1、TGFβ2在肝癌转移、复发中的作用机理还需进一步研究。
参考文献
, http://www.100md.com
1 Massague J, Cheifetz S, Laiho M, et al, Transforming growth factor-beta. Cancer Surv,1992 ,12: 81-103.
2 Kim IY, Ahn HJ, Zelner DJ, et al, Genetic change in transforming growth factor β(TGF-β) receptor typeⅠ gene correlates with insensivity to TGF-β1 in human prostate cancer cells. Cancer Res,1996, 56:44-48.
3 Van Belle P, Rodeck U, Nuamah I, et al, Melanoma-associated expression of transforming growth factor-β isoforms. Am J Pathol , 1996,148: 1887-1894.
, http://www.100md.com
4 Fries H, Yamanaka Y, Buchler M, et al, Enhanced expression of transforming growth factor β isoforms in pancreatic cancer correlates with decreased survival.Gastroenterology ,1993,105:1846-1856.
5 Ito N, Kawata S, Tamura S, et al, Elevated levels of transforming growth factor-beta messenger RNA and its polypeptide in human hepatocellular carcinoma. Cancer Res, 1991, 51: 4080-4083.
6 Ito N, Kawata S, Tamura S, et al.Expression of transforming growth factor-beta 1 mRNA in human hepatocellular carcinoma. Jpn J Cancer Res, 1990,81: 1202-1205.
, 百拇医药
7 Oda K, Hori S, Itoh H, et al. Immunohistochemical study of transforming growth factor β, fibronectin, and fibronectin receptor in invasive mammary carcinomas. Acta Pathol Jap, 1992, 42:645-650.
8 Hoefer M, Anderer FA. Anti-transforming growth factor β antibodies with predefined specificity inhibit metastasis of highly tumorigenic human xenotransplants in nu/nu mice. Cancer Immunol Immunother,1995, 41:302-308.
9 Irubo A, Morisaki T, Katano M, et al. A possible role of TGF-β in the formation of malignant effussions. Clin Immunol Immunopathol, 1995, 77:27-32.
10 Maeda H, Tsuru S, Shiraishi A, et al. Improvement of macrophage dysfunction by administration of anti- transforming growth factor-β antibody in EL4 bearing hosts. Jpn J Cancer Res, 1994, 85:1137-1145.
(收稿:1997-09-05 修回:1998-02-25), 百拇医药
单位:200032 上海医科大学附属中山医院肝癌研究所(潘志刚、杨秉辉、刘银坤、汤钊猷);上海医科大学附属肿瘤医院病理科(施达仁、陆洪芬)
关键词:肝肿瘤;癌;转化生长因子β;复发
中华医学杂志980813 【摘要】 目的 探讨原发性肝癌(HCC)组织中三种转化生长因子β(TGFβ)的表达及其与肝癌复发的关系。方法 ABC免疫组织化学方法检测52例小肝癌患者癌组织中三种TGFβ的免疫反应性,并根据术后2年内肝癌有无复发,分析其与肝癌复发的关系。结果 复发组TGFβ1表达阳性率为85%(17/20),无复发组TGFβ1表达阳性率为47%(15/32),两组比较差异有显著意义(P<0.05)。 复发组TGFβ2阳性率50%(10/20),强阳性率40%(8/20),无复发组TGFβ2阳性率66%(21/32),强阳性13%(4/32),两组比较差异有显著意义(P<0.05)。复发组TGFβ3阳性率45%(9/20),无复发组TGFβ3阳性率63%(20/32),两组比较差异无显著意义(P>0.05)。结论 肝癌组织中TGFβ1、TGFβ2的免疫反应性与肝癌复发呈正相关。
, http://www.100md.com
TGFβ subtypes in hepatocellular carcinoma. Pan Zhigang, Yang Binghui, Liu Yinkun, et al. Liver Cancer Institute,Zhongshan Hospital, Shanghai Medical University, Shanghai 200032.
【Abstract】 Objective To detect the expression of three TGFβ isoforms and its clinicopathologic significance in hepatocellular carcinoma(HCC). Methods Surgical specimens of 52 patients with small HCC resection during 1992~1995 were used to determine the immunoreactivity of TGFβ protein by ABC immunohistochemistry . These specimens were divided into recurrence group(G1) and unrecurrence group(G2) according to whether HCC recurred two years after resection. The relations with recurrene of HCC were analyzed. Results The positive rates in G1 and G2 were 85%(17/20) versus 47%(15/32) for TGFβ1, 90%(18/20) vs. 78%(25/32) for TGFβ2, and 45%(9/20) vs. 63%(20/32) for TGFβ3. Significant difference was found in TGFβ1 and TGFβ2, but not in TGFβ3. Conclusion The high immunoreactivity to TGFβ1 or TGFβ2 is positively related to the recurrence of HCC.
, 百拇医药
【Key words】 Liver neoplasms Cancer Transforming growth factor β Recurrence
(Natl Med J China, 1998, 78:595-597)
转化生长因子(TGF)β家族由一组具有相似的生物学活性、结构上密切相关的多肽组成。在哺乳动物细胞中主要表达TGFβ1、TGFβ2和TGFβ3[1]。TGFβ在许多肿瘤组织中可过度表达[2],且其不同亚型的表达与肿瘤预后有关[3]。对肝癌组织中TGFβ1表达的研究较多,但三种TGFβ的表达与肝癌复发的关系还不清楚。我们用免疫组织化学方法检测了我所1992~1995年手术切除的52例小肝癌组织中TGFβ的免疫反应性,并分析其与肝癌复发的关系。
对象与方法
, 百拇医药
一、对象
我所1992~1995年手术切除的52例小肝癌(单个肿瘤直径小于5 cm)患者的石蜡存档标本,其中男46例,女6例,年龄33~78岁。术后2年内复发者20例,无复发者32例。乙型肝炎病毒感染阳性47例,阴性5例。
二、方法
1.试剂:兔抗人TGFβ1多克隆抗体购自美国Promega公司。亲和层析纯兔抗人TGFβ2及TGFβ3多克隆抗体购自Santa Cruz公司。以上三种多克隆抗体使用浓度均为1∶400。 生物素标记的羊抗兔抗体及卵蛋白生物素辣根过氧化物酶复合物(ABC)为美国Vector公司产品。染色剂3-二氨基联苯胺(DAB)购自瑞士Fluka公司。
2.染色方法:采用ABC法。手术切除的肝癌组织标本经石蜡包埋切片,置于95℃ 0.01 mol/L、pH6.0的柠檬酸钠缓冲液中,置微波炉中低档加热10分钟,使温度保持在94℃,保温10分钟,以提高TGFβ2的阳性检出率。分别以单纯肝硬化、血管瘤的存档石蜡切片及用TBS代替第一抗体作为阴性对照。显微镜下观察:有棕黄色染色者为阳性,染色密度<25%为(-),25%~50%为(+),≥50%为(++)。
, 百拇医药
三、统计学处理
用χ2检验或趋势χ2检验。
结 果
一、三种TGFβ在癌组织中的分布特征
三种TGFβ阳性物质分布于胞浆和/或胞膜(图1~3),且在癌组织中的分布呈异质性。
二、三种TGFβ表达与肝癌临床特征的关系
图1 复发组TGFβ1免疫反应阳性(+),棕黄色染色为TGFβ1阳性物质,不均质分布于胞浆和胞膜中 ABC染色 ×400 图2 无复发组TGFβ1免疫反应阴性 ABC染色×400 图3 复发组TGFβ2免疫反应阳性(++),棕黄色染色为TGFβ2阳性物质,不均质分布于胞浆及胞膜中 ABC染色×400 图4 无复发组TGFβ2免疫反应阳性(+),棕黄色染色为TGFβ2阳性物质,不均质分布于胞浆及胞膜中 ABC染色×400 图5,6 复发组与不复发组TGFβ3免疫反应均阴性(染色密度<25%)棕黄色染色为TGFβ3阳性物质,不均质分布于胞浆及胞膜中ABC染色×400
, 百拇医药
复发组TGFβ1表达为(+)者17例(85%),无复发组中TGFβ1表达为(+)者15例(47%),经χ2检验,两组差异有显著意义(P<0.05)(图1、2附表)。复发组中TGFβ2表达为(+)者10例(50%),(++)者8例(40%),无复发组TGFβ2表达为(+)者21例(66%),(++)者4例(13%),经趋势χ2检验两组差异有显著意义(P<0.05)(图3、4,附表)。 复发组中TGFβ3表达为(+)者9例(45%),无复发组中TGFβ3 表达为(+)者20例(63%),经χ2检验两组差异无显著意义(P> 0.05)(图5、6,附表)。附表 小肝癌复发与三种TGFβ的免疫反应性的关系 组别
例数
TGFβ1阳性
TGFβ2阳性
TGFβ3阳性
, 百拇医药
复发组
20
17(85)
18(90)
9(45)
非复发组
32
15(47)*
25(78)*
20(63)
注:与复发组比较,* P<0.05,括号内为阳性率
, 百拇医药 讨 论
TGFβ作为细胞生长、分化的重要调控因子,在肿瘤形成及其预后中所起的作用已引起人们的重视。已有报道,三种TGFβ的表达与黑色素瘤及胰腺癌的进展相关[3,4]。我们的研究结果提示,肝癌组织中表达三种TGFβ,肝癌复发与TGFβ1、TGFβ2的免疫反应性增高密切相关,与TGFβ3的免疫反应性无关。
在人的肝癌细胞株(HEPG2)及肝癌组织中,TGFβ1 mRNA及蛋白质是高水平表达[5]。同时,Ito等[6]发现肝癌组织中TGFβ1 mRNA水平与肿瘤大小、血中甲胎蛋白水平无关。在组织分化较差的肝癌组织中,TGFβ1 mRNA表达的水平最高。Oda等[7]发现TGFβ1在肿瘤细胞内表达,可以诱导纤维连接蛋白(FN)与FN受体间的相互作用,促进肿瘤细胞的侵袭,导致淋巴结转移。Hoefer等[8]发现抗TGFβ1抗体可以抑制裸鼠人肝癌细胞株SLU-1原发灶生长及远处转移,推测TGFβ1介导的生长调节作用与肿瘤转移能力直接相关,抗TGFβ1抗体诱导肿瘤生长和远处转移的抑制更可能是刺激免疫监视的结果。TGFβ2在肿瘤转移、复发中的作用机理尚不清楚。在其它肿瘤的研究中已发现TGFβ2的表达与肿瘤预后有关。
, 百拇医药
TGFβ能刺激纤维细胞增殖,基质蛋白的合成及沉积,在形态发生及再生过程中是上皮-基质之间相互作用的调节剂。Irubo等[9]发现提高TGFβ的浓度,能够抑制胸腹膜腔的间皮细胞生长,并能明显地改变细胞形态,从而增加其通透性,在不同的临床肿瘤病人中亦测到不同的TGFβ浓度,提示TGFβ在肿瘤形成及浸润、转移复发中起重要作用。TGFβ也是重要的免疫功能调节剂,具有免疫抑制作用。Maeda等[10]发现用抗TGFβ中和抗体治疗EL4带瘤小鼠,可以恢复小鼠的巨噬细胞功能,提示TGFβ是一个免疫抑制剂。
因此,我们推测增高的TGFβ1、TGFβ2免疫反应性与肝癌复发之间的密切联系可能是TGFβ1、TGFβ2抑制免疫功能、促进肝癌浸润、转移的结果。TGFβ1、TGFβ2可能成为肝癌复发的指标。TGFβ1、TGFβ2在肝癌转移、复发中的作用机理还需进一步研究。
参考文献
, http://www.100md.com
1 Massague J, Cheifetz S, Laiho M, et al, Transforming growth factor-beta. Cancer Surv,1992 ,12: 81-103.
2 Kim IY, Ahn HJ, Zelner DJ, et al, Genetic change in transforming growth factor β(TGF-β) receptor typeⅠ gene correlates with insensivity to TGF-β1 in human prostate cancer cells. Cancer Res,1996, 56:44-48.
3 Van Belle P, Rodeck U, Nuamah I, et al, Melanoma-associated expression of transforming growth factor-β isoforms. Am J Pathol , 1996,148: 1887-1894.
, http://www.100md.com
4 Fries H, Yamanaka Y, Buchler M, et al, Enhanced expression of transforming growth factor β isoforms in pancreatic cancer correlates with decreased survival.Gastroenterology ,1993,105:1846-1856.
5 Ito N, Kawata S, Tamura S, et al, Elevated levels of transforming growth factor-beta messenger RNA and its polypeptide in human hepatocellular carcinoma. Cancer Res, 1991, 51: 4080-4083.
6 Ito N, Kawata S, Tamura S, et al.Expression of transforming growth factor-beta 1 mRNA in human hepatocellular carcinoma. Jpn J Cancer Res, 1990,81: 1202-1205.
, 百拇医药
7 Oda K, Hori S, Itoh H, et al. Immunohistochemical study of transforming growth factor β, fibronectin, and fibronectin receptor in invasive mammary carcinomas. Acta Pathol Jap, 1992, 42:645-650.
8 Hoefer M, Anderer FA. Anti-transforming growth factor β antibodies with predefined specificity inhibit metastasis of highly tumorigenic human xenotransplants in nu/nu mice. Cancer Immunol Immunother,1995, 41:302-308.
9 Irubo A, Morisaki T, Katano M, et al. A possible role of TGF-β in the formation of malignant effussions. Clin Immunol Immunopathol, 1995, 77:27-32.
10 Maeda H, Tsuru S, Shiraishi A, et al. Improvement of macrophage dysfunction by administration of anti- transforming growth factor-β antibody in EL4 bearing hosts. Jpn J Cancer Res, 1994, 85:1137-1145.
(收稿:1997-09-05 修回:1998-02-25), 百拇医药