老年患者嗅球的组织形态学变化
作者:王娜亚 李挺 范为 喻妮 张小伯 王忠植
单位:100029 北京,中日友好医院耳鼻喉科(王娜亚、范为、喻妮、张小伯、王忠植),病理科(李挺)
关键词:
中华医学杂志981116
随着社会老龄化的进展,对中枢神经系统老化的研究亦不断深入。为此,我们用常规组织病理学和免疫组织化学的方法,观察了老年患者嗅球的变化,以期为嗅球及老年性嗅觉障碍的研究提供形态学的依据,报道如下。
一、对象和方法
1.对象:来自我院和日本国立国际医疗中心的14例尸体解剖患者(无前颅窝病变),其中肺癌4例,头颈部恶性肿瘤3例,肝癌2例,血液病2例,乳腺癌、卵巢癌和慢性肾功能衰竭各1例。14例中男9例,女5例,年龄20~44岁5例,60~87岁9例。
, http://www.100md.com
2.嗅球标本制备:于前颅窝筛板处采取完整单侧嗅球组织,10%甲醛固定。将嗅球冠状连续切为3块(每份厚约3 mm),石蜡包埋,切片厚3 μm。行常规HE染色。
3.免疫组织化学染色:石蜡切片4 μm,用S-100(1∶1 000,多克隆抗体,丹麦DAKO公司)和神经元特异烯醇化酶(NSE)(1∶100,单克隆抗体,丹麦DAKO公司)抗体,行标准ABC法及DAB法显色。
4.观察指标:HE切片,将综合嗅球不同组织段切片(即嗅球冠状连续切块包埋切片)所见作为分析依据;S-100和NSE染色分别对胶质细胞和神经元免疫标记作为辅助观察。(1)测定嗅球内4种神经元的数量:以各切面僧帽细胞数的平均值作定量分析;比较各例的刷状细胞层和内颗粒细胞层的厚度,以及这两种细胞和小球周细胞的核密度,作半定量分析。(2)观察突触小球的数量和形态:以各切面突触小球数的平均值为标准,同时观察突触小球的形态改变,其大小以直径为标准(大:直径约100 μm,中:直径约60 μm,小:直径约30 μm)。(3)其他退行性改变:淀粉样小体大量出现为+++,中度为++。
, 百拇医药
图1 正常嗅球结构.从外到内分别为嗅神经
纤维层、突触小球层、外颗粒层、僧帽细胞
层、内颗粒层及嗅束神经纤维层 HE×64
二、结果
1.嗅球的结构:HE染色有13例较清楚地显示了嗅球的6层结构(图1):嗅球的最外层可见嗅神经纤维层;其次一层可见到呈球状纤维的突触小球层,突触小球球体大而圆,直径约100 μm,有时呈2~4个分叶状结构集聚而成;第3层为外颗粒层,由排列不整,细胞体积由小逐渐增大的锥体状神经元(刷状细胞)构成;第4层为僧帽细胞层,僧帽细胞是嗅球中最大的细胞,锥体状,泡状核,直径约15~20 μm,且细胞排列疏松;第5层为内颗粒层,可见排列呈3~5层的细胞核密集带;第6层为嗅束神经纤维层。在嗅神经纤维层、突触小球层及嗅束神经纤维层中,S-100蛋白呈阳性反应的胶质细胞广泛分布,数目较多。嗅球的僧帽细胞、刷状细胞、颗粒细胞及小球周细胞等4种神经元对S-100蛋白均呈阴性反应。NSE染色在较大的刷状细胞和僧帽细胞中呈阳性。
, http://www.100md.com
2.老年患者嗅球改变的组织学特点:以青壮年组作对照,该组突触小球的数量为17~20个(群),僧帽细胞20~23个。老年患者的突触小球层和僧帽细胞层有明显改变者8例。突触小球减少为10~12个(群)者2例(分别为65岁及72岁),其形态变为中等大,僧帽细胞亦呈中度减少(9~14个);突触小球减少至4~8个(群)者2例(分别为60岁及85岁),其形态变为更小,僧帽细胞呈中度减少(9~14个);突触小球结构不清者4例(分别为63岁、83岁、85岁及87岁),其中僧帽细胞中度减少3例(9~13个),重度减少1例(5个);伴有突触小球内纤维状结构消失者2例,表现为呈云雾状均值的强嗜伊红块结;在老年患者嗅球的6层结构中,嗅神经纤维层、外颗粒层、内颗粒层及嗅束神经纤维层的形态无明显变化,而嗅球6层结构不清伴细胞总数明显减少1例(72岁),其僧帽细胞重度减少(5个)。此外,因突触小球层不同程度萎缩造成外颗粒层外移6例(图2,3);伴有小球周细胞体减少9例;出现明显淀粉样小体5例,其中3例为+++,2例为++;出现软脑膜钙化斑2例。
, 百拇医药
图2 青年患者嗅球.突触小球呈分叶状结构(↓),外颗粒
层深层可见与刷状细胞移行过渡的僧帽细胞(▲) HE×400
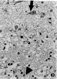
图3 老龄患者嗅球.突触小球的球形结构消失,突触小球层萎缩
导致外颗粒层外移,僧帽细胞(↑),内颗粒细胞层(▲) HE×400
三、讨论
1.人嗅球的形态学特点:嗅球为嗅觉的低级中枢,呈扁卵圆形、长约9 mm,位于前颅窝筛板之上,大脑额叶前下方[1]。有关人嗅球的研究报道甚少,动物嗅球的结构已十分明确,其横断面分为近似同心圆的6层[2]。人嗅球结构被认为与动物相似,本组13例患者可看到嗅球6层结构。其明显的特点为:(1)突触小球球体大而圆,直径约100 μm,有时由2~4个分叶状结构集聚而成。(2)突触小球层、外颗粒层、僧帽细胞层、内颗粒层及嗅束神经纤维层相互之间有移行过渡,不象动物嗅球的6层结构那样分,尤其是僧帽细胞,为嗅球中最主要的神经元,其细胞排列疏松不整,与第3层深部个体较大的刷状细胞移形过渡更为显著。
, http://www.100md.com
2.老年患者嗅球改变的组织学特点:对照青年组嗅球组织学结构,老年组嗅球改变有:僧帽细胞、突触小球及小球周细胞均明显减少;突触小球形态变小甚至结构不清,并导致部分突触小球层出现不同程度萎缩;部分有淀粉样小体和软脑膜钙化斑。中枢神经系统衰老的特点之一是神经细胞减少[3]。僧帽细胞是嗅球内最主要的神经细胞,为嗅觉系的一级神经元,其树突接受嗅细胞轴突传来的刺激,其轴突汇成嗅索并将刺激传到大脑嗅觉中枢[2]。本组部分老年患者僧帽细胞明显减少,提示在临床可能出现老年性嗅觉减退。突触小球是由嗅丝末端与僧帽细胞和刷状细胞的树突构成的球体。我们观察到老年患者的突触小球明显减少,其形态变小甚至结构不清,均意味着组成小球各种神经纤维减少。突触小球是嗅细胞与僧帽细胞之间联系中介[2],上述改变可以导致嗅觉传导障碍。小球周细胞担当突触小球间的联络,是具有多巴胺能的细胞群,以此推测,如果这3种细胞明显减少将造成嗅觉中枢性传导障碍。
参考文献
1 川北幸男,山上荣.机能的神经解剖学.东京:医齿药出版株式会社,1975.244-252.
2 入来正躬,外山敬介.生理学Ⅰ.东京:株式会社,1986,353-362.
3 江口吾朗,大泽仲昭,他.发生と老化Ⅱ.新医科学大系4B.东京:中山书店,1986.112-122.
(收稿:1998-02-19 修回:1998-07-16), http://www.100md.com
单位:100029 北京,中日友好医院耳鼻喉科(王娜亚、范为、喻妮、张小伯、王忠植),病理科(李挺)
关键词:
中华医学杂志981116
随着社会老龄化的进展,对中枢神经系统老化的研究亦不断深入。为此,我们用常规组织病理学和免疫组织化学的方法,观察了老年患者嗅球的变化,以期为嗅球及老年性嗅觉障碍的研究提供形态学的依据,报道如下。
一、对象和方法
1.对象:来自我院和日本国立国际医疗中心的14例尸体解剖患者(无前颅窝病变),其中肺癌4例,头颈部恶性肿瘤3例,肝癌2例,血液病2例,乳腺癌、卵巢癌和慢性肾功能衰竭各1例。14例中男9例,女5例,年龄20~44岁5例,60~87岁9例。
, http://www.100md.com
2.嗅球标本制备:于前颅窝筛板处采取完整单侧嗅球组织,10%甲醛固定。将嗅球冠状连续切为3块(每份厚约3 mm),石蜡包埋,切片厚3 μm。行常规HE染色。
3.免疫组织化学染色:石蜡切片4 μm,用S-100(1∶1 000,多克隆抗体,丹麦DAKO公司)和神经元特异烯醇化酶(NSE)(1∶100,单克隆抗体,丹麦DAKO公司)抗体,行标准ABC法及DAB法显色。
4.观察指标:HE切片,将综合嗅球不同组织段切片(即嗅球冠状连续切块包埋切片)所见作为分析依据;S-100和NSE染色分别对胶质细胞和神经元免疫标记作为辅助观察。(1)测定嗅球内4种神经元的数量:以各切面僧帽细胞数的平均值作定量分析;比较各例的刷状细胞层和内颗粒细胞层的厚度,以及这两种细胞和小球周细胞的核密度,作半定量分析。(2)观察突触小球的数量和形态:以各切面突触小球数的平均值为标准,同时观察突触小球的形态改变,其大小以直径为标准(大:直径约100 μm,中:直径约60 μm,小:直径约30 μm)。(3)其他退行性改变:淀粉样小体大量出现为+++,中度为++。
, 百拇医药
图1 正常嗅球结构.从外到内分别为嗅神经
纤维层、突触小球层、外颗粒层、僧帽细胞
层、内颗粒层及嗅束神经纤维层 HE×64
二、结果
1.嗅球的结构:HE染色有13例较清楚地显示了嗅球的6层结构(图1):嗅球的最外层可见嗅神经纤维层;其次一层可见到呈球状纤维的突触小球层,突触小球球体大而圆,直径约100 μm,有时呈2~4个分叶状结构集聚而成;第3层为外颗粒层,由排列不整,细胞体积由小逐渐增大的锥体状神经元(刷状细胞)构成;第4层为僧帽细胞层,僧帽细胞是嗅球中最大的细胞,锥体状,泡状核,直径约15~20 μm,且细胞排列疏松;第5层为内颗粒层,可见排列呈3~5层的细胞核密集带;第6层为嗅束神经纤维层。在嗅神经纤维层、突触小球层及嗅束神经纤维层中,S-100蛋白呈阳性反应的胶质细胞广泛分布,数目较多。嗅球的僧帽细胞、刷状细胞、颗粒细胞及小球周细胞等4种神经元对S-100蛋白均呈阴性反应。NSE染色在较大的刷状细胞和僧帽细胞中呈阳性。
, http://www.100md.com
2.老年患者嗅球改变的组织学特点:以青壮年组作对照,该组突触小球的数量为17~20个(群),僧帽细胞20~23个。老年患者的突触小球层和僧帽细胞层有明显改变者8例。突触小球减少为10~12个(群)者2例(分别为65岁及72岁),其形态变为中等大,僧帽细胞亦呈中度减少(9~14个);突触小球减少至4~8个(群)者2例(分别为60岁及85岁),其形态变为更小,僧帽细胞呈中度减少(9~14个);突触小球结构不清者4例(分别为63岁、83岁、85岁及87岁),其中僧帽细胞中度减少3例(9~13个),重度减少1例(5个);伴有突触小球内纤维状结构消失者2例,表现为呈云雾状均值的强嗜伊红块结;在老年患者嗅球的6层结构中,嗅神经纤维层、外颗粒层、内颗粒层及嗅束神经纤维层的形态无明显变化,而嗅球6层结构不清伴细胞总数明显减少1例(72岁),其僧帽细胞重度减少(5个)。此外,因突触小球层不同程度萎缩造成外颗粒层外移6例(图2,3);伴有小球周细胞体减少9例;出现明显淀粉样小体5例,其中3例为+++,2例为++;出现软脑膜钙化斑2例。
, 百拇医药
图2 青年患者嗅球.突触小球呈分叶状结构(↓),外颗粒
层深层可见与刷状细胞移行过渡的僧帽细胞(▲) HE×400
图3 老龄患者嗅球.突触小球的球形结构消失,突触小球层萎缩
导致外颗粒层外移,僧帽细胞(↑),内颗粒细胞层(▲) HE×400
三、讨论
1.人嗅球的形态学特点:嗅球为嗅觉的低级中枢,呈扁卵圆形、长约9 mm,位于前颅窝筛板之上,大脑额叶前下方[1]。有关人嗅球的研究报道甚少,动物嗅球的结构已十分明确,其横断面分为近似同心圆的6层[2]。人嗅球结构被认为与动物相似,本组13例患者可看到嗅球6层结构。其明显的特点为:(1)突触小球球体大而圆,直径约100 μm,有时由2~4个分叶状结构集聚而成。(2)突触小球层、外颗粒层、僧帽细胞层、内颗粒层及嗅束神经纤维层相互之间有移行过渡,不象动物嗅球的6层结构那样分,尤其是僧帽细胞,为嗅球中最主要的神经元,其细胞排列疏松不整,与第3层深部个体较大的刷状细胞移形过渡更为显著。
, http://www.100md.com
2.老年患者嗅球改变的组织学特点:对照青年组嗅球组织学结构,老年组嗅球改变有:僧帽细胞、突触小球及小球周细胞均明显减少;突触小球形态变小甚至结构不清,并导致部分突触小球层出现不同程度萎缩;部分有淀粉样小体和软脑膜钙化斑。中枢神经系统衰老的特点之一是神经细胞减少[3]。僧帽细胞是嗅球内最主要的神经细胞,为嗅觉系的一级神经元,其树突接受嗅细胞轴突传来的刺激,其轴突汇成嗅索并将刺激传到大脑嗅觉中枢[2]。本组部分老年患者僧帽细胞明显减少,提示在临床可能出现老年性嗅觉减退。突触小球是由嗅丝末端与僧帽细胞和刷状细胞的树突构成的球体。我们观察到老年患者的突触小球明显减少,其形态变小甚至结构不清,均意味着组成小球各种神经纤维减少。突触小球是嗅细胞与僧帽细胞之间联系中介[2],上述改变可以导致嗅觉传导障碍。小球周细胞担当突触小球间的联络,是具有多巴胺能的细胞群,以此推测,如果这3种细胞明显减少将造成嗅觉中枢性传导障碍。
参考文献
1 川北幸男,山上荣.机能的神经解剖学.东京:医齿药出版株式会社,1975.244-252.
2 入来正躬,外山敬介.生理学Ⅰ.东京:株式会社,1986,353-362.
3 江口吾朗,大泽仲昭,他.发生と老化Ⅱ.新医科学大系4B.东京:中山书店,1986.112-122.
(收稿:1998-02-19 修回:1998-07-16), http://www.100md.com