膀胱小细胞神经内分泌复合癌1例报道及文献复习
作者:陆孝禹 肖立
单位:陆孝禹 肖立(华东医院病理科,上海 200040)
关键词:膀胱肿瘤;癌;神经内分泌;癌;小细胞;小细胞神经内分泌复合癌
临床与实验病理学杂志990211摘要 目的:研究膀胱小细胞神经内分泌复合癌(SCNECC)的临床病理特征及生物学行为。方法:采用光镜、电镜和免疫组化对1例膀胱SCNECC进行观察及行随防。结果:本例肿瘤组织由小细胞神经内分泌癌(>75%)、移行细胞癌(<20%)及腺癌(<5%)3种癌成分构成。电镜下在小细胞癌内可找见神经内分泌颗粒,免疫组化NSE阳性。术后3个月发生肝与肩胛骨转移,13个月死于肝功能衰竭。结论:SCNECC是一罕见高度恶性肿瘤,有独特的病理形态,早期即可发生侵袭、转移,预后很差。手术切除辅以放疗及全身联合化疗是目前最宜治疗方案。
中国图书分类号 R737.14 文献标识码 A 文章编号 1001-7399(1999)02-0124-03
, 百拇医药
Small cell neuroendocrine combined carcinoma of the urinary bladder:a case report and literature review
Lu Xiaoyu Xiao Li
(Dept of Pathol, Huadong Hospital, Shanghai 200040)
ABSTRACT Purpose To study the clinical, histological, ultrastructural and immunohistochemical characteristics of small cell neuroendocrine combined carcinoma (SCNECC) of the urinary bladder and its behaviour. Methods A case of SCNECC of the urinary bladder was investigated by light microscopy, electric microscopy, immunohistochemistry and clinical follow up was collected. Results This cancer was composed of small cell neuroendocrine carcinoma (>75%), transitional cell carcinoma (<20%) and adenocarcinoma (<5%). Under electric microscopy, neuroendocrine granules were found in the small cell plasma. Immunohistochemical studies demonstrated positive result for neuron-specific enolase. Metastasis to bone and liver occurred 3 months after surgery. He died from hepatic failure 13 months after surgery. Conclusion SCNECC of the urinary bladder is rare and highly malignant tumor. There is distinct pathological morphology. It is aggressive with early metastases and has a poor prognosis. Surgical resection plus adjuvant multidrug systemic chemotherapy and radiation are the current available treatment.
, 百拇医药
KEY WORDS bladder neoplasms; carcinoma, neroendocrine; carcinoma; small cell; small cell neuroendocrine combined carcinoma
膀胱小细胞癌比较少见,自1981年Cramer〔1〕首先报道以来至1996年Dominguez〔2〕收集文献才报道87例。约有半数病例混有另一种癌成分称复合癌,而同一瘤块内含有3种癌成分极为罕见。在此我们报导1例含有3种癌成分之膀胱小细胞神经内分泌复合癌,对该病例进行光镜、电镜及免疫组化研究,结合文献复习随访结果探讨其临床病理特点。
1 临床资料
患者男性,61岁,因无痛性全程血尿3天伴血凝块于1997年6月入院。既往有慢性肾炎病史20年,已用药物控制。体检除双下肢轻度凹陷性浮肿外未见阳性体征。B超见膀胱左侧壁有一2.6 cm×2.3 cm肿块,中等回声,边界欠清,内部回声不均,诊断膀胱占位性病变。血常规检查:WBC 8.1×109.L-1,RBC 3.7×1012.L-1,Hb 118 g.L-1,BPC 209×109.L-1。血清钙、磷等26种生化指标除胆固醇略高外均在正常范围内。膀胱镜检查见肿瘤位于左输尿管上方,3 cm×2.5 cm,基底较大(1.5 cm),表面有较多坏死,肿瘤周围有较多增粗血管向肿瘤延伸。活检病理报告移行细胞癌Ⅱ级,行膀胱肿瘤切除术,术后采用丝裂霉素膀胱冲洗化疗及局部放疗。术中探查及术后CT检查未见转移灶。术后3个月右肩酸痛,CT检查发现右肩胛骨及肝脏有转移灶,术后13个月死于肝转移肝功能衰竭。
, http://www.100md.com
2 病理检查
2.1 大体观察 送检标本为一块灰白色组织,3 cm×3 cm×2.2 cm,中等硬度,部分区域表面呈细颗粒状,部分区域浅表溃疡形成,剖面色白均匀。
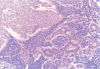
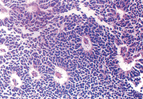
2.2 光镜观察 瘤块由3种肿瘤成分构成(图1),表面为移行细胞乳头状癌,下为中分化管状腺癌及小细胞癌。小细胞癌为主要成分占>75%,次为移行细胞癌占<20%,腺癌成分最少<5%。小细胞癌形态上类似于肺雀麦细胞癌,呈弥漫状、片状或巢状分布,富于细胞,间质稀少,部分区域有腺样排列倾向,部分区域瘤细胞围绕收缩的小血管而呈典型的菊形团排列(图2),瘤细胞小而圆或短梭形,胞浆稀少,核染色深,染色质分布均匀,核仁不明显,核分裂象易见,灶性区域细胞核有受挤压拉长现象(streaking or squash),提示胞核脆性较大。瘤细胞已浸润膀胱肌层,在淋巴管及血管内见有癌栓,此外还可找到小片状坏死区域。移行细胞癌成分位于表面,形态典型,呈乳头状生长,分化中等,在某些表面移行细胞原位癌基层内可找见小细胞癌灶(图3)。腺癌成分数量最少,分化尚好,与移行细胞癌毗邻,可找见两者移行化生过程。
, 百拇医药
图1 肿瘤由3种癌成:移行细胞癌(右)、管状腺癌(右)及小细胞神经内分泌癌。HE×100
图2 典型的菊形团排列。HE×400
图3 肿瘤表面乳头状移行细胞原位癌基层内可见深染的小细胞胞癌灶。HE×400
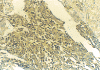
2.3 免疫组化染色 中性甲醛溶液固定标本,石蜡切片,采用迈新公司试剂,S-P法染色,结果见表1及图4,5。
图4 免疫组化EMA染色:移行细胞癌(
),腺癌(+),小细胞癌(-)。S-P×100
, 百拇医药
图5 小细胞癌NSE(+)。S-P×400
表1 免疫组化检测结果 项 别
EMA
CK
CEA
NSE
CHG
SYN
S-100
NF
LCA
移行细胞癌成分
, 百拇医药
+
+
-
-
-
-
-
-
腺癌成分
+
+
+
-
-
, 百拇医药
-
-
-
-
小细胞癌成分
-
-
-
-
-
-
-
-
, http://www.100md.com
2.4 透射电镜检查 样品取自中性甲醛固定1周标本表面部分,按常规方法制作超薄切片。电镜下小细胞癌细胞间仅有少量细胞连接,如指突状连接,而桥粒发育不全。胞浆内含有较多的游离及多聚核糖体,高尔基体与线粒体灶性聚集,微丝散在或束状排列,数量较少,最具特征性表现是可找到少量神经内分泌颗粒,直径约140 nm,具有晕环,染色较淡(图6)。
图6 电镜下可见神经内分泌颗粒(↑)。EM×20 000
2.5 病理诊断 膀胱小细胞神经内分泌复合癌,含有小细胞神经内分泌癌,移行细胞癌及腺癌成分。前者浸润肌层,脉管内存有癌栓。
3 讨论
膀胱小细胞癌主要见于男性,男女比例为2~7.6∶1,多见于老年人(40~89岁,平均68岁)。症状主要是无痛性血尿(94.4%)〔3〕,少数可伴排尿困难,偶有高钙低磷血症。膀胱镜下肿瘤呈扁平状或乳头状,息肉状生长。可发生于膀胱任何部位,侧壁多见,其次为顶部、后壁。广基性直径2~10 cm,平均5.5 cm,表面可伴有溃疡或出血。镜下可分为雀麦细胞型、中间细胞型,雀麦与中间细胞混合型和复合癌型。小细胞癌约半数左右混有另一种癌成分,依次为移行细胞癌、腺癌、鳞癌、肉瘤样癌、扁平癌,称复合癌,含有3种癌成分极为罕见。Grignon等〔3〕报道22例小细胞癌中5例为复合癌,其中仅1例含有3种癌成分。小细胞癌一般呈弥漫片状或不规则巢状排列,也可有小梁状带状排列,偶有菊形团形成,核分裂易见,往往有融合性坏死,细胞体积较小,深染,核仁不明显,由于胞核脆性大易出现人为的挤压伤。Grignon曾统计10例小细胞癌免疫表型依次是NSE(10/10)、CHG(8/9)、Serotonin(7/9)、CK(7/10)、S-100(4/10)呈阳性反应,而Vim、Des、LCA、PSA皆为阴性。电镜下细胞排列紧密、胞浆稀少、表面有细微突起、浆内含有少量细胞器,大部分病例少数细胞内可找到神经内分泌颗粒、直径150~250 nm、只是数量稀少,需仔细寻找。
, http://www.100md.com
本病需与下列疾病鉴别:(1)低分化移行细胞癌:Ali等〔4〕报道 11/23例小细胞癌为低分化移行细胞癌,两者在预后及治疗方法上不同,必须鉴别。低分化移行细胞癌常有巢状排列倾向,细胞多形性较明显,核仁易找到,核染色相对较淡,核分裂象相对较少,而人为的核挤压变形现象几乎不见。(2)本瘤形态上与前列腺、肺及其它上皮部位小细胞癌浸润转移无法区别,需结合病史、解剖部位、是否含有移行细胞癌等成分而鉴别。(3)淋巴瘤:淋巴瘤核染色较小细胞癌淡,梭形瘤细胞罕见,血管侵犯少。鉴别困难时需借助于免疫组化、基因重排来鉴别。需要指出的是约半数膀胱小细胞癌为复合癌,含有另一种或二种成分,但含量少(5%~15%)〔5〕,小块膀胱活检往往诊断单一癌,必须仔细检查切除标本以免遗漏。
膀胱小细胞癌预后差,是一种快速生长、高度侵袭性恶性肿瘤,初诊时往往已属晚期。Lopez等〔6〕认为应把其看成为Ⅳ级膀胱肿瘤。Blomjous等〔5〕的资料显示89%(16/18)发生转移,常见部位是局部淋巴结、肝、骨和腹腔,78%(14/18)死亡(平均9.4个月),恶性程度比移行细胞癌高的多。
, 百拇医药
治疗模式一般采用手术切除、放疗加化疗。Blomjous〔5〕报道5例使用联合化疗获得较长生存期,其中死亡2例也存活了15个月,另3例虽有复发转移但已生存22~38个月,说明瘤细胞对化疗敏感。本文病例用的是膀胱冲洗化疗,术后3个月出现骨、肝转移,13个月死亡,因此我们认为应提倡早期使用全身联合化疗。
膀胱小细胞癌组织起源有下列几种学说:(1)来自神经内分泌细胞恶变,在正常或化生的膀胱粘膜内见到神经内分泌细胞的存在,文献上也有膀胱发生典型类癌的报道。(2)通过低分化移行细胞癌化生而来。(3)来自移行上皮基底层内多潜能干细胞。Blomjous〔5〕认为同一瘤块内见有不同类型癌成分及在随访过程中发生不同的免疫表型,支持这一学说。我们也赞成这一观点,在我们病例中,表面移行上皮乳头状原位癌部位基底层处可找见小细胞癌病灶。
作者简介:陆孝禹,男,59岁,主任医师
, 百拇医药
参考文献
1 Cramer SF, Aikawa M, Cebelin M. Neurosecretory granules in small cell invasive carcinoma of the urinary bladder. Cancer, 1981;47:724~730
2 Dominguez-Iglesias F, Riera-Velasco JR, Junco-Petrement P et al. Small cell sarcomatoid carcinoma of the urinary bladder. Arch Rsp Urol, 1996;49:631~635
3 Grignon DJ, Ro JY, Ayala AG et al. Small cell carcinoma of the urinary bladder: A clinicopathologic analysis of 22 cases. Cancer, 1992;69:527~536
, 百拇医药
4 Ali SZ, Reuter VE, Zakowski MF. Small cell neuroendocrine carcinoma of the urinary bladder. Cancer, 1997;79:356~361
5 Blomjous CEM, Vos W, Devoogt HJ et al. Small cell carcinoma of the urinary bladder: A clinicopathologic, morphometric, immunohistochemical, and ultrastructural study of 18 cases. Cancer, 1989;64:1347~1357
6 Lopez JI, Angulo JC, Flores N et al. Small cell carcinoma of the urinary bladder. A clinicopathological study of six cases. Br J Urol, 1994;73:43~49
收稿日期:1998-11-11, 百拇医药
单位:陆孝禹 肖立(华东医院病理科,上海 200040)
关键词:膀胱肿瘤;癌;神经内分泌;癌;小细胞;小细胞神经内分泌复合癌
临床与实验病理学杂志990211摘要 目的:研究膀胱小细胞神经内分泌复合癌(SCNECC)的临床病理特征及生物学行为。方法:采用光镜、电镜和免疫组化对1例膀胱SCNECC进行观察及行随防。结果:本例肿瘤组织由小细胞神经内分泌癌(>75%)、移行细胞癌(<20%)及腺癌(<5%)3种癌成分构成。电镜下在小细胞癌内可找见神经内分泌颗粒,免疫组化NSE阳性。术后3个月发生肝与肩胛骨转移,13个月死于肝功能衰竭。结论:SCNECC是一罕见高度恶性肿瘤,有独特的病理形态,早期即可发生侵袭、转移,预后很差。手术切除辅以放疗及全身联合化疗是目前最宜治疗方案。
中国图书分类号 R737.14 文献标识码 A 文章编号 1001-7399(1999)02-0124-03
, 百拇医药
Small cell neuroendocrine combined carcinoma of the urinary bladder:a case report and literature review
Lu Xiaoyu Xiao Li
(Dept of Pathol, Huadong Hospital, Shanghai 200040)
ABSTRACT Purpose To study the clinical, histological, ultrastructural and immunohistochemical characteristics of small cell neuroendocrine combined carcinoma (SCNECC) of the urinary bladder and its behaviour. Methods A case of SCNECC of the urinary bladder was investigated by light microscopy, electric microscopy, immunohistochemistry and clinical follow up was collected. Results This cancer was composed of small cell neuroendocrine carcinoma (>75%), transitional cell carcinoma (<20%) and adenocarcinoma (<5%). Under electric microscopy, neuroendocrine granules were found in the small cell plasma. Immunohistochemical studies demonstrated positive result for neuron-specific enolase. Metastasis to bone and liver occurred 3 months after surgery. He died from hepatic failure 13 months after surgery. Conclusion SCNECC of the urinary bladder is rare and highly malignant tumor. There is distinct pathological morphology. It is aggressive with early metastases and has a poor prognosis. Surgical resection plus adjuvant multidrug systemic chemotherapy and radiation are the current available treatment.
, 百拇医药
KEY WORDS bladder neoplasms; carcinoma, neroendocrine; carcinoma; small cell; small cell neuroendocrine combined carcinoma
膀胱小细胞癌比较少见,自1981年Cramer〔1〕首先报道以来至1996年Dominguez〔2〕收集文献才报道87例。约有半数病例混有另一种癌成分称复合癌,而同一瘤块内含有3种癌成分极为罕见。在此我们报导1例含有3种癌成分之膀胱小细胞神经内分泌复合癌,对该病例进行光镜、电镜及免疫组化研究,结合文献复习随访结果探讨其临床病理特点。
1 临床资料
患者男性,61岁,因无痛性全程血尿3天伴血凝块于1997年6月入院。既往有慢性肾炎病史20年,已用药物控制。体检除双下肢轻度凹陷性浮肿外未见阳性体征。B超见膀胱左侧壁有一2.6 cm×2.3 cm肿块,中等回声,边界欠清,内部回声不均,诊断膀胱占位性病变。血常规检查:WBC 8.1×109.L-1,RBC 3.7×1012.L-1,Hb 118 g.L-1,BPC 209×109.L-1。血清钙、磷等26种生化指标除胆固醇略高外均在正常范围内。膀胱镜检查见肿瘤位于左输尿管上方,3 cm×2.5 cm,基底较大(1.5 cm),表面有较多坏死,肿瘤周围有较多增粗血管向肿瘤延伸。活检病理报告移行细胞癌Ⅱ级,行膀胱肿瘤切除术,术后采用丝裂霉素膀胱冲洗化疗及局部放疗。术中探查及术后CT检查未见转移灶。术后3个月右肩酸痛,CT检查发现右肩胛骨及肝脏有转移灶,术后13个月死于肝转移肝功能衰竭。
, http://www.100md.com
2 病理检查
2.1 大体观察 送检标本为一块灰白色组织,3 cm×3 cm×2.2 cm,中等硬度,部分区域表面呈细颗粒状,部分区域浅表溃疡形成,剖面色白均匀。
2.2 光镜观察 瘤块由3种肿瘤成分构成(图1),表面为移行细胞乳头状癌,下为中分化管状腺癌及小细胞癌。小细胞癌为主要成分占>75%,次为移行细胞癌占<20%,腺癌成分最少<5%。小细胞癌形态上类似于肺雀麦细胞癌,呈弥漫状、片状或巢状分布,富于细胞,间质稀少,部分区域有腺样排列倾向,部分区域瘤细胞围绕收缩的小血管而呈典型的菊形团排列(图2),瘤细胞小而圆或短梭形,胞浆稀少,核染色深,染色质分布均匀,核仁不明显,核分裂象易见,灶性区域细胞核有受挤压拉长现象(streaking or squash),提示胞核脆性较大。瘤细胞已浸润膀胱肌层,在淋巴管及血管内见有癌栓,此外还可找到小片状坏死区域。移行细胞癌成分位于表面,形态典型,呈乳头状生长,分化中等,在某些表面移行细胞原位癌基层内可找见小细胞癌灶(图3)。腺癌成分数量最少,分化尚好,与移行细胞癌毗邻,可找见两者移行化生过程。
, 百拇医药
图1 肿瘤由3种癌成:移行细胞癌(右)、管状腺癌(右)及小细胞神经内分泌癌。HE×100
图2 典型的菊形团排列。HE×400
图3 肿瘤表面乳头状移行细胞原位癌基层内可见深染的小细胞胞癌灶。HE×400
2.3 免疫组化染色 中性甲醛溶液固定标本,石蜡切片,采用迈新公司试剂,S-P法染色,结果见表1及图4,5。
图4 免疫组化EMA染色:移行细胞癌(
, 百拇医药
图5 小细胞癌NSE(+)。S-P×400
表1 免疫组化检测结果 项 别
EMA
CK
CEA
NSE
CHG
SYN
S-100
NF
LCA
移行细胞癌成分
, 百拇医药
+
+
-
-
-
-
-
-
腺癌成分
+
+
+
-
-
, 百拇医药
-
-
-
-
小细胞癌成分
-
-
-
-
-
-
-
-
, http://www.100md.com
2.4 透射电镜检查 样品取自中性甲醛固定1周标本表面部分,按常规方法制作超薄切片。电镜下小细胞癌细胞间仅有少量细胞连接,如指突状连接,而桥粒发育不全。胞浆内含有较多的游离及多聚核糖体,高尔基体与线粒体灶性聚集,微丝散在或束状排列,数量较少,最具特征性表现是可找到少量神经内分泌颗粒,直径约140 nm,具有晕环,染色较淡(图6)。
图6 电镜下可见神经内分泌颗粒(↑)。EM×20 000
2.5 病理诊断 膀胱小细胞神经内分泌复合癌,含有小细胞神经内分泌癌,移行细胞癌及腺癌成分。前者浸润肌层,脉管内存有癌栓。
3 讨论
膀胱小细胞癌主要见于男性,男女比例为2~7.6∶1,多见于老年人(40~89岁,平均68岁)。症状主要是无痛性血尿(94.4%)〔3〕,少数可伴排尿困难,偶有高钙低磷血症。膀胱镜下肿瘤呈扁平状或乳头状,息肉状生长。可发生于膀胱任何部位,侧壁多见,其次为顶部、后壁。广基性直径2~10 cm,平均5.5 cm,表面可伴有溃疡或出血。镜下可分为雀麦细胞型、中间细胞型,雀麦与中间细胞混合型和复合癌型。小细胞癌约半数左右混有另一种癌成分,依次为移行细胞癌、腺癌、鳞癌、肉瘤样癌、扁平癌,称复合癌,含有3种癌成分极为罕见。Grignon等〔3〕报道22例小细胞癌中5例为复合癌,其中仅1例含有3种癌成分。小细胞癌一般呈弥漫片状或不规则巢状排列,也可有小梁状带状排列,偶有菊形团形成,核分裂易见,往往有融合性坏死,细胞体积较小,深染,核仁不明显,由于胞核脆性大易出现人为的挤压伤。Grignon曾统计10例小细胞癌免疫表型依次是NSE(10/10)、CHG(8/9)、Serotonin(7/9)、CK(7/10)、S-100(4/10)呈阳性反应,而Vim、Des、LCA、PSA皆为阴性。电镜下细胞排列紧密、胞浆稀少、表面有细微突起、浆内含有少量细胞器,大部分病例少数细胞内可找到神经内分泌颗粒、直径150~250 nm、只是数量稀少,需仔细寻找。
, http://www.100md.com
本病需与下列疾病鉴别:(1)低分化移行细胞癌:Ali等〔4〕报道 11/23例小细胞癌为低分化移行细胞癌,两者在预后及治疗方法上不同,必须鉴别。低分化移行细胞癌常有巢状排列倾向,细胞多形性较明显,核仁易找到,核染色相对较淡,核分裂象相对较少,而人为的核挤压变形现象几乎不见。(2)本瘤形态上与前列腺、肺及其它上皮部位小细胞癌浸润转移无法区别,需结合病史、解剖部位、是否含有移行细胞癌等成分而鉴别。(3)淋巴瘤:淋巴瘤核染色较小细胞癌淡,梭形瘤细胞罕见,血管侵犯少。鉴别困难时需借助于免疫组化、基因重排来鉴别。需要指出的是约半数膀胱小细胞癌为复合癌,含有另一种或二种成分,但含量少(5%~15%)〔5〕,小块膀胱活检往往诊断单一癌,必须仔细检查切除标本以免遗漏。
膀胱小细胞癌预后差,是一种快速生长、高度侵袭性恶性肿瘤,初诊时往往已属晚期。Lopez等〔6〕认为应把其看成为Ⅳ级膀胱肿瘤。Blomjous等〔5〕的资料显示89%(16/18)发生转移,常见部位是局部淋巴结、肝、骨和腹腔,78%(14/18)死亡(平均9.4个月),恶性程度比移行细胞癌高的多。
, 百拇医药
治疗模式一般采用手术切除、放疗加化疗。Blomjous〔5〕报道5例使用联合化疗获得较长生存期,其中死亡2例也存活了15个月,另3例虽有复发转移但已生存22~38个月,说明瘤细胞对化疗敏感。本文病例用的是膀胱冲洗化疗,术后3个月出现骨、肝转移,13个月死亡,因此我们认为应提倡早期使用全身联合化疗。
膀胱小细胞癌组织起源有下列几种学说:(1)来自神经内分泌细胞恶变,在正常或化生的膀胱粘膜内见到神经内分泌细胞的存在,文献上也有膀胱发生典型类癌的报道。(2)通过低分化移行细胞癌化生而来。(3)来自移行上皮基底层内多潜能干细胞。Blomjous〔5〕认为同一瘤块内见有不同类型癌成分及在随访过程中发生不同的免疫表型,支持这一学说。我们也赞成这一观点,在我们病例中,表面移行上皮乳头状原位癌部位基底层处可找见小细胞癌病灶。
作者简介:陆孝禹,男,59岁,主任医师
, 百拇医药
参考文献
1 Cramer SF, Aikawa M, Cebelin M. Neurosecretory granules in small cell invasive carcinoma of the urinary bladder. Cancer, 1981;47:724~730
2 Dominguez-Iglesias F, Riera-Velasco JR, Junco-Petrement P et al. Small cell sarcomatoid carcinoma of the urinary bladder. Arch Rsp Urol, 1996;49:631~635
3 Grignon DJ, Ro JY, Ayala AG et al. Small cell carcinoma of the urinary bladder: A clinicopathologic analysis of 22 cases. Cancer, 1992;69:527~536
, 百拇医药
4 Ali SZ, Reuter VE, Zakowski MF. Small cell neuroendocrine carcinoma of the urinary bladder. Cancer, 1997;79:356~361
5 Blomjous CEM, Vos W, Devoogt HJ et al. Small cell carcinoma of the urinary bladder: A clinicopathologic, morphometric, immunohistochemical, and ultrastructural study of 18 cases. Cancer, 1989;64:1347~1357
6 Lopez JI, Angulo JC, Flores N et al. Small cell carcinoma of the urinary bladder. A clinicopathological study of six cases. Br J Urol, 1994;73:43~49
收稿日期:1998-11-11, 百拇医药