前列腺特殊类型癌27例临床病理与免疫组化分析
作者:叶明福 赵海燕 谢青 王亚丽
单位:叶明福 赵海燕 谢青 王亚丽(第三军医大学新桥医院病理科,重庆 400037)
关键词:前列腺肿瘤;免疫组织化学;组织发生学;病理学;临床
临床与实验病理学杂志990208摘要 目的:探讨前列腺特殊类型癌(PPTC)病理变化、免疫组化表达特点。方法:采用HE及免疫组化方法观察27例PPTC形态学特征。结果:(1)移行细胞癌及鳞癌具有典型的形态,癌细胞无PSA及35βH11表达,c-erbB-2显阳性。从形态分析,这两种癌可能同源于移行上皮或化生上皮:(2)粘液腺癌、黄色瘤样癌、导管癌、髓样癌、宫内膜样癌、乳头状癌及印戒细胞癌均显PSA及35βH11阳性,提示这几种癌可能来源于分泌上皮;(3)类癌对PSA、35βH11、NSE及CgA均显阳性,符合内分泌细胞来源;(4)小细胞癌无PSA、NSE及CgA表达,对c-erbB-2及35βH11显阳性,是否来源于前列腺内分泌细胞、储备细胞或基细胞有待证实;(5)27例癌区均无34βE12表达,提示PPTC中基细胞缺失。结论:PPTC少见,组织类型多,形态各异及不同的免疫组化表达,有时诊断较困难,应注意鉴别。
, http://www.100md.com
中国图书分类号 R737.25;R730.21 文献标识码 A 文章编号 1001-7399(1999)02-0115-04
A clinicopathological and immunohistochemical study of 27 cases with prostatic particular types carcinoma
Ye Mingfu Zhao Haiyan Xie Qing et al
(Dept of Pathol, Xinqiao Hospital, Third Military Medical University, Chongqing 400037)
ABSTRACT Purpose To study pathomorphological changes, expression of immunohistochemical marks of the prostatic particular types carcinoma (PPTC). Methods Twenty-seven cases of PPTC were studied with routin HE and immunohistochemistry technique. Results (1) There were typical morphological pattern in transitional and squamous cell carcinoma, cancer cells did not express PSA and 35βH11, but were positive for c-erbB-2 protein. These cancer cells might histogenetically be related to the transitional or metaplastic epithelium of prostate according to morphological analysis; (2) Mucinous adenocarcinoma, Xanthomatous carcinoma (foamy gland carciomma), ductal carcinoma, medullary carcinoma, endometrioid carcinoma, papillary carcinoma and signet-ring cell carcinoma were positive for PSA and 35βH11, these carcinomas might histogenetically be related to prostatic secretory epithelium; (3) Prostatic carcinoid showed positive to PSA, 35βH11, NSE and CgA, corresponded with endocrine cell originator; (4) Small cell carcinoma were negative for PSA, 35βH11, NSE and CgA, whether or not it originates from endocrine cells, storage cells or basal cell of prostate had yet to be proved; (5) 34βE12 marking was negative in cancerous areas of 27 cases, and the basal cells were absent in PPTC. Conclusion PPTC are not frequently seen, there are different pathohistohistological types, morphological changes and immunohistochemical reaction, diagnosis is more difficult at times, differential diagnosis is necessary.
, 百拇医药
KEY WORDS prostatic neoplasms; immunohistochemistry; histogenesis; pathology, clinical
在前列腺恶性肿瘤中,前列腺腺癌是最常见的类型,文献报道此型癌约占全部前列腺癌(prostatic carcinoma; PC)的90%左右〔1〕。近年来,一些前列腺特殊类型癌(prostatic particular types carcinoma; PPTC)的报道逐渐增多〔2〕,使人们对PPTC逐渐有所认识。为探讨PPTC的形态学变化、免疫组化表达与细胞起源的关系,为PC的病理组织学分类提供形态依据,现对收集的27例PPTC进行总结分析。
1 材料和方法
收集近20年来经手术及病理确诊的138例PC中,特殊类型的少见或罕见癌27例,占19.56%,其中25例为根治术标本,2例为TUR术标本。组织经10%福尔马林液固定,石蜡包埋,HE染色。选各例典型病变部位切取数片4 μm厚的白片,应用免疫组化ABC技术作了前列腺特异性抗原(PSA)、高分子量角蛋白34βE12、低分子量角蛋白35βH11标记(3种标记物均为美国德克萨斯州癌症研究中心赵海燕教授提供),对小细胞癌及类癌还作了LCA、NSE、CgA及c-erbB-2标记(各抗体均购自福州迈新公司)。根据各标记物的反应强度,光镜下划分反应等级:上皮不显色为阴性(-)、浅淡黄色为弱阳性(+)、黄色为阳性(
)、棕黄色为强阳性(
)。
, http://www.100md.com
根据27例PC的组织学及免疫组化结果,参照WHO(1989)、Dhom(1990)的PC分类及文献报道划分本组PPTC的病理类型。
2 结果
2.1 临床病理资料 见表1
2.2 病理形态学观察
2.2.1 移行细胞癌 5例,占3.6%。巨检:肿瘤累及区质硬,灰白色或浅黄白色,边界不清。非肿瘤区质韧,1例TUR术标本组织破碎,重7.6 g。镜检:肿瘤细胞呈实片状,主要分布导管内或腺腔内,具备膀胱等部位移行细胞癌特点,癌细胞浆丰富淡染,核异型,部分区域向间质浸润。
2.2.2 粘液腺癌 5例,占3.6%,已另文报道〔3〕。
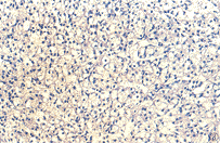
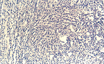
2.2.3 小细胞癌 4例,占2.89%。巨检:标本重12~25.5 g不等。肿瘤切面呈灰白色,质细嫩,呈鱼肉状。镜检:3例肿瘤细胞以实性分布为主,呈片巢状、条索状或散在小灶状分布(图1)。2例癌细胞呈松散的不规则小团状、细索条状或异形小腺泡样。有的区域可见小细胞区与癌性小腺泡区有移行。癌细胞体积小,胞浆极少,核小,异型,呈小圆形或小梭形,染色质丰富,浓染,可见核分裂象。部分小腺泡区见散在PSA阳性(图2)或弱阳性细胞。
, 百拇医药
图1 前列腺小细胞癌,不规则形癌细胞团浸润于纤维肌组织内。HE×210
图2 前列腺小细胞民癌,上半图为散在小巢状癌细胞民显示PSA阴性,下半图小腺泡移行区癌组织显示PSA阳性。ABC×420
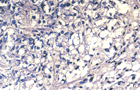
2.2.4 鳞癌 3例,占2.17%。巨检:结节状组织,包膜不完整,切面灰白,质实硬。镜检:癌细胞呈实性巢团或束片状,细胞体积大,胞浆丰富,有的癌巢内可见角化珠或不全角化,部分区域癌细胞沿导管或腺腔壁排列,细胞异型,核异型。
2.2.5
图3 前列腺黄色瘤样癌,癌细胞民弥散排列,胞浆丰富,胞浆呈泡沫样。HE×210
, 百拇医药
2.2.6 导管癌 2例,占1.45%。镜检:肿瘤主要累及前列腺尿道部腺导管,癌细胞被覆导管或腺管腔内形成大小不等的实性癌团或筛状结构,有些扩大腺腔内充有粉刺样物。癌细胞呈立方形、短柱状或不规则形,胞浆丰富,淡染,核分裂象易见。
2.2.7 髓样癌 2例,占1.45%。组织重25.5 g及39 g。镜检:癌细胞呈不规则实片状、束状排列,细胞丰富,无典型腺腔结构。癌细胞异形,胞浆丰富,核异型,易见核分裂象。肿瘤间质稀少,仅见一些细条索状纤维穿插在癌细胞间。
2.2.8 类癌 1例,占0.72%。癌细胞呈特征性单层梁索状及地毯状结构(图4)。癌细胞体积较小,胞浆嗜酸,核浓染,核型较一致,部分见核仁。
图4 前列腺类癌,癌细胞呈索梁状及地毯状排列。HE×210
, 百拇医药
2.2.9 宫内膜样癌 1例,占0.72%,重26 g。镜
表1 27例前列腺特殊类型癌的临床病理资料 癌类型
n
平均年龄(岁)
前列腺
肿大程度
手术方式
标本体积
(cm3)
肿瘤累及部位
移行细胞癌
, 百拇医药 5
57
Ⅱ~Ⅲ
根治(4)TUR(1)
4.5×3×2.8~7×7×2.5
前列腺尿道部、侧叶、后叶
粘液腺癌
5
66.8
Ⅱ~Ⅲ
根治
3.8×3.1×2.2~6×5×2
, 百拇医药 侧叶、后叶
小细胞癌
4
66.3
Ⅲ
根治
3×2.3×1.3~7×5×1.5
侧叶、中叶、各叶
鳞 癌
3
62.3
Ⅱ~Ⅲ
根治
, 百拇医药
5.3×4.7×3.1~6×5×2.1
侧叶、中叶、后叶
黄色瘤样癌
2
69.5
Ⅲ
根治
4.2×3.7×2.8~4.6×3.2×2.6
中叶、后叶
导 管 癌
2
71
, 百拇医药
Ⅱ~Ⅲ
根治
3.6×2.4×1.9~7.5×5×2.5
中叶、后叶
髓 样 癌
2
65.5
Ⅱ
根治
2.5×2×2~3×2×1.5
侧叶
类 癌
1
, 百拇医药
65
Ⅱ
根治
4×4×3
左侧叶、中叶
宫内膜样癌
1
67
Ⅲ
根治
5.2×3.1×2.3
中叶、侧叶
乳头状癌
, 百拇医药
1
70
Ⅲ
TUR
破碎组织,重8.6 g
中叶、后叶
印戒细胞癌
1
74
Ⅱ~Ⅲ
根治
5×3.5×2.5
侧叶、中叶
, 百拇医药
表2 前列腺特殊类型癌27例免疫组化标记结果 类 型
n
PSA
35βH11
34βE12
c-erbB-2
其它
移行细胞癌
5
-
-
-

, http://www.100md.com
粘液腺癌
5
~

小细胞癌
4
-
+~
-
, http://www.100md.com
鳞 癌
3
-
-
-
黄色瘤样癌
2


-
, 百拇医药
导 管 癌
2


-
髓 样 癌
2


, 百拇医药
-


类 癌
1
~
(图8a)
-
宫内膜样癌
1
~
, 百拇医药

-
乳头状癌
1
+~
~
-
印戒细胞癌
1
~
, 百拇医药

-
检:癌性腺泡大小不等,多数腺泡较大。癌细胞呈柱状或高柱状,单层或复层排列,表面可见纤细的微绒毛(图5)。癌细胞胞浆丰富或细颗粒状,核异型明显,深染,核分裂象及核仁可见,部分区域合并有典型的前列腺腺癌结构。
图5 前列腺宫内膜样癌,柱状及高柱状癌细胞民呈单层或复层或复层衬覆于腺腔内,癌性上皮表面有微绒毛。HE×210
2.2.10 乳头状癌 1例,占0.72%。镜检:前列腺组织大部分被肿瘤弥散浸润,少数区域见重度非典型增生的腺体。癌组织呈大小不等乳头状排列(图6),可见癌与重度非典型增生腺体的移行区域。
, 百拇医药
图6 前列腺乳头状癌,癌组织呈乳头状排列,多数和乳头细小 。HE×210
2.2.11 印戒细胞癌 1例,占0.72%,重23 g。镜检:癌组织呈实片状、束片状、散在分布或不规则腺样排列。大部分癌细胞浆呈空泡状或典型的印戒状(图7)。
图7 前列腺印戒细胞民癌,癌细胞民胞浆淡染,呈典型的的印戒状。HE×400
图8a 前列腺类癌,癌细胞对35βH11显阳性反应,癌组织内残存的增生腺体上皮显示35βH11强阳性。ABC×210
图8b 前列腺类癌,癌细胞NSE染色呈弥漫阳性。ABC×420
, 百拇医药
2.3 免疫组化观察 见表2。
3 讨论
PPTC系指不包括腺癌、筛状癌、未分化实体癌及混合结构癌等各常见类型PC在内的一些少见或罕见癌,如前列腺原发性移行细胞癌、鳞癌、小细胞癌、粘液腺癌、宫内膜样癌、类癌、乳头状癌、腺鳞癌及肉瘤样癌等不同病理类型。由于各特殊类型PC的病例较少,国内外对其确切的发病率尚无理想的统计资料〔4〕。1990年Dhom提出可将PC分为常见和少见两大类癌,其中约90%为常见癌,3%~5%是移行细胞癌,约1%是小细胞癌、类癌或复合型癌〔5〕。Catalona等则认为前列腺恶性肿瘤95%以上是腺癌,而移行细胞癌、鳞癌和肉瘤只占5%。我国李竞贤等〔2〕曾报道50例PC,其中40例是腺癌,占80%,移行细胞癌3例(6%);粘液腺癌4例(8%),鳞癌3例(6%)。我们收集的138例PC中,常见癌110例,占80.44%,这与李氏统计数接近。另27例为PPTC,占本组PC的19.56%,其中移行细胞癌和粘液腺癌各5例,各占3.6%,鳞癌3例,占2.17%;小细胞癌4例,占2.89%,黄色瘤样癌、导管癌和髓样癌各2例,分别占1.45%;类癌、宫内膜样癌、乳头状癌及印戒细胞癌各1例,分别占0.72%。将本组各特殊类型癌与上述各作者报道的结果比较后,作者认为,我国的前列腺移行细胞癌、鳞癌、粘液腺癌及小细胞癌似乎较国外多见。本组中的这几种癌的例数也相对较多,可视为前列腺的少见癌;而类癌、黄色瘤样癌、宫内膜样、乳头状癌及印戒细胞癌例数更少,应视为罕见癌。
, 百拇医药
34βE12是高分子量角蛋白,对前列腺基细胞有特异反应;35βH11是低分子量角蛋白,能标记前列腺分泌上皮;PSA是良恶性前列腺上皮的特异性标记物〔4~9〕。本组免疫组化结果显示PPTC对这几种标记物显示出不同的反应结果:(1)27例癌组织区均无34βE12的阳性反应,提示PPTC组织中的基细胞层完全消失;(2)5例移行细胞癌及3例鳞癌均无35βH11及PSA的阳性表达;(3)4例小细胞癌的实性癌区均无PSA反应,部分移行区可有弱阳性或阴性反应,其中1例伴有不规则松散的小腺泡状结构区能良好表达PSA;各例对c-erbB-2显阳性反应,(4)本组的粘液腺癌、黄色瘤样癌、导管癌、髓样癌、类癌、宫内膜样癌、乳头状癌及印戒细胞癌对PSA及35βH11均能良好地表达,类癌还显NSE及CgA强阳性反应。结果提示本组27例PPTC所显示的不同免疫组化结果可能与不同的细胞类型有关。
Dhom曾较系统地描述了前列腺少见癌的组织起源与前列腺的4种上皮类型有关:即分泌上皮、基细胞、内分泌细胞和移行上皮〔5〕。作者对本组27例PPTC的病理形态作了细致观察和分析,结合免疫组化结果,发现:(1)本组的移行细胞癌和鳞癌的癌细胞体积大,胞浆丰富,巢团状排列,鳞癌细胞浆红染,可见角化物。从形态分析,这两种癌可能同源于移行上皮或源于化生上皮,在诊断时,应先排除膀胱或尿道移行细胞癌的蔓延;(2)本组大多数PPTC对PSA及35βH11显反应,具备分泌上皮之特点,提示这些癌与前列腺分泌上皮有关;(3)1例类癌显NSE及CgA阳性,符合APUD细胞来源〔8〕;(4)目前对前列腺小细胞癌来源的认识仍不一致,Dhom认为是内分泌细胞来源〔5〕,Ro等通过免疫组化标记与电镜观察认为此癌具备多相性,其一部分显内分泌细胞癌特点,另一部分则显示腺癌或储备细胞癌之特征〔7〕。本组4例小细胞癌均无内分泌细胞的免疫组化表达特征,也无PSA阳性反应,提示此癌可能源于储备细胞或基细胞。
, 百拇医药
本组27例PPTC可划分为11种组织类型,但仍未包括PPTC的全部类型。由于PPTC的种类多,形态各异及不同的免疫组化表达,有时给病理诊断造成困难,应注意鉴别。
作者简介:叶明福,男,50岁,硕士生导师,副教授,副主任医师。研究方向:泌尿系统疾病与肿瘤病理
参考文献
1 王 森.44例前列腺恶性肿瘤病理分析.天津医药,1990;3(2):151
2 李竞贤,马文香,邹万忠.前列腺癌——50例病理分析.中华泌尿外科杂志,1983;4(5):284
3 叶明福,谢 青 张哉根等.5例前列腺粘液腺癌分析.中华病理学杂志,1995;24(5):325
4 叶明福,谢 青,高广正等.前列腺癌的组织结构与病理分类.第三军医大学学报,1993;15(6):522
, http://www.100md.com
5 Dhom G. Unusual prostatic carcinoma. Pathol Res Pract, 1990;186:28
6 罗 洪.前列腺移行细胞癌.男性学杂志,1994;8(4):245
7 Ro JY, Tetu B, Lberto F et al. Small cell carcinoma of the prostate (Ⅱ): Immunohistochemical and electron microscopic studies of 18 cases. Cancer, 1987;59:977
8 Anthony P, Mesy Jenseu KL, Churukian CJ et al. Human prostatic endocrine-paracrine (APUD) cells. Arch Pathol Lab Med, 1985;109:607
, http://www.100md.com
9 Mostofi FK, Sesterhernn LA, Davis CJ. A pathologists view of prostatic carcinoma. Cancer, 1993;71:906
10 Mostofi FK, Sesterhenn IA, Davis CJ. Prostatic carcinoma: problem in the interpretation of prostatic biopsies. Hum Pathol, 1992;23:223
11 Dhom G. Histopathology of prostatic carcinoma. diagnosis and differential diagnosis. Pathol Res Pract, 1985;179:277
收稿日期:1998-11-11, http://www.100md.com
单位:叶明福 赵海燕 谢青 王亚丽(第三军医大学新桥医院病理科,重庆 400037)
关键词:前列腺肿瘤;免疫组织化学;组织发生学;病理学;临床
临床与实验病理学杂志990208摘要 目的:探讨前列腺特殊类型癌(PPTC)病理变化、免疫组化表达特点。方法:采用HE及免疫组化方法观察27例PPTC形态学特征。结果:(1)移行细胞癌及鳞癌具有典型的形态,癌细胞无PSA及35βH11表达,c-erbB-2显阳性。从形态分析,这两种癌可能同源于移行上皮或化生上皮:(2)粘液腺癌、黄色瘤样癌、导管癌、髓样癌、宫内膜样癌、乳头状癌及印戒细胞癌均显PSA及35βH11阳性,提示这几种癌可能来源于分泌上皮;(3)类癌对PSA、35βH11、NSE及CgA均显阳性,符合内分泌细胞来源;(4)小细胞癌无PSA、NSE及CgA表达,对c-erbB-2及35βH11显阳性,是否来源于前列腺内分泌细胞、储备细胞或基细胞有待证实;(5)27例癌区均无34βE12表达,提示PPTC中基细胞缺失。结论:PPTC少见,组织类型多,形态各异及不同的免疫组化表达,有时诊断较困难,应注意鉴别。
, http://www.100md.com
中国图书分类号 R737.25;R730.21 文献标识码 A 文章编号 1001-7399(1999)02-0115-04
A clinicopathological and immunohistochemical study of 27 cases with prostatic particular types carcinoma
Ye Mingfu Zhao Haiyan Xie Qing et al
(Dept of Pathol, Xinqiao Hospital, Third Military Medical University, Chongqing 400037)
ABSTRACT Purpose To study pathomorphological changes, expression of immunohistochemical marks of the prostatic particular types carcinoma (PPTC). Methods Twenty-seven cases of PPTC were studied with routin HE and immunohistochemistry technique. Results (1) There were typical morphological pattern in transitional and squamous cell carcinoma, cancer cells did not express PSA and 35βH11, but were positive for c-erbB-2 protein. These cancer cells might histogenetically be related to the transitional or metaplastic epithelium of prostate according to morphological analysis; (2) Mucinous adenocarcinoma, Xanthomatous carcinoma (foamy gland carciomma), ductal carcinoma, medullary carcinoma, endometrioid carcinoma, papillary carcinoma and signet-ring cell carcinoma were positive for PSA and 35βH11, these carcinomas might histogenetically be related to prostatic secretory epithelium; (3) Prostatic carcinoid showed positive to PSA, 35βH11, NSE and CgA, corresponded with endocrine cell originator; (4) Small cell carcinoma were negative for PSA, 35βH11, NSE and CgA, whether or not it originates from endocrine cells, storage cells or basal cell of prostate had yet to be proved; (5) 34βE12 marking was negative in cancerous areas of 27 cases, and the basal cells were absent in PPTC. Conclusion PPTC are not frequently seen, there are different pathohistohistological types, morphological changes and immunohistochemical reaction, diagnosis is more difficult at times, differential diagnosis is necessary.
, 百拇医药
KEY WORDS prostatic neoplasms; immunohistochemistry; histogenesis; pathology, clinical
在前列腺恶性肿瘤中,前列腺腺癌是最常见的类型,文献报道此型癌约占全部前列腺癌(prostatic carcinoma; PC)的90%左右〔1〕。近年来,一些前列腺特殊类型癌(prostatic particular types carcinoma; PPTC)的报道逐渐增多〔2〕,使人们对PPTC逐渐有所认识。为探讨PPTC的形态学变化、免疫组化表达与细胞起源的关系,为PC的病理组织学分类提供形态依据,现对收集的27例PPTC进行总结分析。
1 材料和方法
收集近20年来经手术及病理确诊的138例PC中,特殊类型的少见或罕见癌27例,占19.56%,其中25例为根治术标本,2例为TUR术标本。组织经10%福尔马林液固定,石蜡包埋,HE染色。选各例典型病变部位切取数片4 μm厚的白片,应用免疫组化ABC技术作了前列腺特异性抗原(PSA)、高分子量角蛋白34βE12、低分子量角蛋白35βH11标记(3种标记物均为美国德克萨斯州癌症研究中心赵海燕教授提供),对小细胞癌及类癌还作了LCA、NSE、CgA及c-erbB-2标记(各抗体均购自福州迈新公司)。根据各标记物的反应强度,光镜下划分反应等级:上皮不显色为阴性(-)、浅淡黄色为弱阳性(+)、黄色为阳性(
, http://www.100md.com
根据27例PC的组织学及免疫组化结果,参照WHO(1989)、Dhom(1990)的PC分类及文献报道划分本组PPTC的病理类型。
2 结果
2.1 临床病理资料 见表1
2.2 病理形态学观察
2.2.1 移行细胞癌 5例,占3.6%。巨检:肿瘤累及区质硬,灰白色或浅黄白色,边界不清。非肿瘤区质韧,1例TUR术标本组织破碎,重7.6 g。镜检:肿瘤细胞呈实片状,主要分布导管内或腺腔内,具备膀胱等部位移行细胞癌特点,癌细胞浆丰富淡染,核异型,部分区域向间质浸润。
2.2.2 粘液腺癌 5例,占3.6%,已另文报道〔3〕。
2.2.3 小细胞癌 4例,占2.89%。巨检:标本重12~25.5 g不等。肿瘤切面呈灰白色,质细嫩,呈鱼肉状。镜检:3例肿瘤细胞以实性分布为主,呈片巢状、条索状或散在小灶状分布(图1)。2例癌细胞呈松散的不规则小团状、细索条状或异形小腺泡样。有的区域可见小细胞区与癌性小腺泡区有移行。癌细胞体积小,胞浆极少,核小,异型,呈小圆形或小梭形,染色质丰富,浓染,可见核分裂象。部分小腺泡区见散在PSA阳性(图2)或弱阳性细胞。
, 百拇医药
图1 前列腺小细胞癌,不规则形癌细胞团浸润于纤维肌组织内。HE×210
图2 前列腺小细胞民癌,上半图为散在小巢状癌细胞民显示PSA阴性,下半图小腺泡移行区癌组织显示PSA阳性。ABC×420
2.2.4 鳞癌 3例,占2.17%。巨检:结节状组织,包膜不完整,切面灰白,质实硬。镜检:癌细胞呈实性巢团或束片状,细胞体积大,胞浆丰富,有的癌巢内可见角化珠或不全角化,部分区域癌细胞沿导管或腺腔壁排列,细胞异型,核异型。
2.2.5
图3 前列腺黄色瘤样癌,癌细胞民弥散排列,胞浆丰富,胞浆呈泡沫样。HE×210
, 百拇医药
2.2.6 导管癌 2例,占1.45%。镜检:肿瘤主要累及前列腺尿道部腺导管,癌细胞被覆导管或腺管腔内形成大小不等的实性癌团或筛状结构,有些扩大腺腔内充有粉刺样物。癌细胞呈立方形、短柱状或不规则形,胞浆丰富,淡染,核分裂象易见。
2.2.7 髓样癌 2例,占1.45%。组织重25.5 g及39 g。镜检:癌细胞呈不规则实片状、束状排列,细胞丰富,无典型腺腔结构。癌细胞异形,胞浆丰富,核异型,易见核分裂象。肿瘤间质稀少,仅见一些细条索状纤维穿插在癌细胞间。
2.2.8 类癌 1例,占0.72%。癌细胞呈特征性单层梁索状及地毯状结构(图4)。癌细胞体积较小,胞浆嗜酸,核浓染,核型较一致,部分见核仁。
图4 前列腺类癌,癌细胞呈索梁状及地毯状排列。HE×210
, 百拇医药
2.2.9 宫内膜样癌 1例,占0.72%,重26 g。镜
表1 27例前列腺特殊类型癌的临床病理资料 癌类型
n
平均年龄(岁)
前列腺
肿大程度
手术方式
标本体积
(cm3)
肿瘤累及部位
移行细胞癌
, 百拇医药 5
57
Ⅱ~Ⅲ
根治(4)TUR(1)
4.5×3×2.8~7×7×2.5
前列腺尿道部、侧叶、后叶
粘液腺癌
5
66.8
Ⅱ~Ⅲ
根治
3.8×3.1×2.2~6×5×2
, 百拇医药 侧叶、后叶
小细胞癌
4
66.3
Ⅲ
根治
3×2.3×1.3~7×5×1.5
侧叶、中叶、各叶
鳞 癌
3
62.3
Ⅱ~Ⅲ
根治
, 百拇医药
5.3×4.7×3.1~6×5×2.1
侧叶、中叶、后叶
黄色瘤样癌
2
69.5
Ⅲ
根治
4.2×3.7×2.8~4.6×3.2×2.6
中叶、后叶
导 管 癌
2
71
, 百拇医药
Ⅱ~Ⅲ
根治
3.6×2.4×1.9~7.5×5×2.5
中叶、后叶
髓 样 癌
2
65.5
Ⅱ
根治
2.5×2×2~3×2×1.5
侧叶
类 癌
1
, 百拇医药
65
Ⅱ
根治
4×4×3
左侧叶、中叶
宫内膜样癌
1
67
Ⅲ
根治
5.2×3.1×2.3
中叶、侧叶
乳头状癌
, 百拇医药
1
70
Ⅲ
TUR
破碎组织,重8.6 g
中叶、后叶
印戒细胞癌
1
74
Ⅱ~Ⅲ
根治
5×3.5×2.5
侧叶、中叶
, 百拇医药
表2 前列腺特殊类型癌27例免疫组化标记结果 类 型
n
PSA
35βH11
34βE12
c-erbB-2
其它
移行细胞癌
5
-
-
-
, http://www.100md.com
粘液腺癌
5
小细胞癌
4
-
+~
-
, http://www.100md.com
鳞 癌
3
-
-
-
黄色瘤样癌
2
-
, 百拇医药
导 管 癌
2
-
髓 样 癌
2
, 百拇医药
-
类 癌
1
-
宫内膜样癌
1
, 百拇医药
-
乳头状癌
1
+~
-
印戒细胞癌
1
, 百拇医药
-
检:癌性腺泡大小不等,多数腺泡较大。癌细胞呈柱状或高柱状,单层或复层排列,表面可见纤细的微绒毛(图5)。癌细胞胞浆丰富或细颗粒状,核异型明显,深染,核分裂象及核仁可见,部分区域合并有典型的前列腺腺癌结构。
图5 前列腺宫内膜样癌,柱状及高柱状癌细胞民呈单层或复层或复层衬覆于腺腔内,癌性上皮表面有微绒毛。HE×210
2.2.10 乳头状癌 1例,占0.72%。镜检:前列腺组织大部分被肿瘤弥散浸润,少数区域见重度非典型增生的腺体。癌组织呈大小不等乳头状排列(图6),可见癌与重度非典型增生腺体的移行区域。
, 百拇医药
图6 前列腺乳头状癌,癌组织呈乳头状排列,多数和乳头细小 。HE×210
2.2.11 印戒细胞癌 1例,占0.72%,重23 g。镜检:癌组织呈实片状、束片状、散在分布或不规则腺样排列。大部分癌细胞浆呈空泡状或典型的印戒状(图7)。
图7 前列腺印戒细胞民癌,癌细胞民胞浆淡染,呈典型的的印戒状。HE×400
图8a 前列腺类癌,癌细胞对35βH11显阳性反应,癌组织内残存的增生腺体上皮显示35βH11强阳性。ABC×210
图8b 前列腺类癌,癌细胞NSE染色呈弥漫阳性。ABC×420
, 百拇医药
2.3 免疫组化观察 见表2。
3 讨论
PPTC系指不包括腺癌、筛状癌、未分化实体癌及混合结构癌等各常见类型PC在内的一些少见或罕见癌,如前列腺原发性移行细胞癌、鳞癌、小细胞癌、粘液腺癌、宫内膜样癌、类癌、乳头状癌、腺鳞癌及肉瘤样癌等不同病理类型。由于各特殊类型PC的病例较少,国内外对其确切的发病率尚无理想的统计资料〔4〕。1990年Dhom提出可将PC分为常见和少见两大类癌,其中约90%为常见癌,3%~5%是移行细胞癌,约1%是小细胞癌、类癌或复合型癌〔5〕。Catalona等则认为前列腺恶性肿瘤95%以上是腺癌,而移行细胞癌、鳞癌和肉瘤只占5%。我国李竞贤等〔2〕曾报道50例PC,其中40例是腺癌,占80%,移行细胞癌3例(6%);粘液腺癌4例(8%),鳞癌3例(6%)。我们收集的138例PC中,常见癌110例,占80.44%,这与李氏统计数接近。另27例为PPTC,占本组PC的19.56%,其中移行细胞癌和粘液腺癌各5例,各占3.6%,鳞癌3例,占2.17%;小细胞癌4例,占2.89%,黄色瘤样癌、导管癌和髓样癌各2例,分别占1.45%;类癌、宫内膜样癌、乳头状癌及印戒细胞癌各1例,分别占0.72%。将本组各特殊类型癌与上述各作者报道的结果比较后,作者认为,我国的前列腺移行细胞癌、鳞癌、粘液腺癌及小细胞癌似乎较国外多见。本组中的这几种癌的例数也相对较多,可视为前列腺的少见癌;而类癌、黄色瘤样癌、宫内膜样、乳头状癌及印戒细胞癌例数更少,应视为罕见癌。
, 百拇医药
34βE12是高分子量角蛋白,对前列腺基细胞有特异反应;35βH11是低分子量角蛋白,能标记前列腺分泌上皮;PSA是良恶性前列腺上皮的特异性标记物〔4~9〕。本组免疫组化结果显示PPTC对这几种标记物显示出不同的反应结果:(1)27例癌组织区均无34βE12的阳性反应,提示PPTC组织中的基细胞层完全消失;(2)5例移行细胞癌及3例鳞癌均无35βH11及PSA的阳性表达;(3)4例小细胞癌的实性癌区均无PSA反应,部分移行区可有弱阳性或阴性反应,其中1例伴有不规则松散的小腺泡状结构区能良好表达PSA;各例对c-erbB-2显阳性反应,(4)本组的粘液腺癌、黄色瘤样癌、导管癌、髓样癌、类癌、宫内膜样癌、乳头状癌及印戒细胞癌对PSA及35βH11均能良好地表达,类癌还显NSE及CgA强阳性反应。结果提示本组27例PPTC所显示的不同免疫组化结果可能与不同的细胞类型有关。
Dhom曾较系统地描述了前列腺少见癌的组织起源与前列腺的4种上皮类型有关:即分泌上皮、基细胞、内分泌细胞和移行上皮〔5〕。作者对本组27例PPTC的病理形态作了细致观察和分析,结合免疫组化结果,发现:(1)本组的移行细胞癌和鳞癌的癌细胞体积大,胞浆丰富,巢团状排列,鳞癌细胞浆红染,可见角化物。从形态分析,这两种癌可能同源于移行上皮或源于化生上皮,在诊断时,应先排除膀胱或尿道移行细胞癌的蔓延;(2)本组大多数PPTC对PSA及35βH11显反应,具备分泌上皮之特点,提示这些癌与前列腺分泌上皮有关;(3)1例类癌显NSE及CgA阳性,符合APUD细胞来源〔8〕;(4)目前对前列腺小细胞癌来源的认识仍不一致,Dhom认为是内分泌细胞来源〔5〕,Ro等通过免疫组化标记与电镜观察认为此癌具备多相性,其一部分显内分泌细胞癌特点,另一部分则显示腺癌或储备细胞癌之特征〔7〕。本组4例小细胞癌均无内分泌细胞的免疫组化表达特征,也无PSA阳性反应,提示此癌可能源于储备细胞或基细胞。
, 百拇医药
本组27例PPTC可划分为11种组织类型,但仍未包括PPTC的全部类型。由于PPTC的种类多,形态各异及不同的免疫组化表达,有时给病理诊断造成困难,应注意鉴别。
作者简介:叶明福,男,50岁,硕士生导师,副教授,副主任医师。研究方向:泌尿系统疾病与肿瘤病理
参考文献
1 王 森.44例前列腺恶性肿瘤病理分析.天津医药,1990;3(2):151
2 李竞贤,马文香,邹万忠.前列腺癌——50例病理分析.中华泌尿外科杂志,1983;4(5):284
3 叶明福,谢 青 张哉根等.5例前列腺粘液腺癌分析.中华病理学杂志,1995;24(5):325
4 叶明福,谢 青,高广正等.前列腺癌的组织结构与病理分类.第三军医大学学报,1993;15(6):522
, http://www.100md.com
5 Dhom G. Unusual prostatic carcinoma. Pathol Res Pract, 1990;186:28
6 罗 洪.前列腺移行细胞癌.男性学杂志,1994;8(4):245
7 Ro JY, Tetu B, Lberto F et al. Small cell carcinoma of the prostate (Ⅱ): Immunohistochemical and electron microscopic studies of 18 cases. Cancer, 1987;59:977
8 Anthony P, Mesy Jenseu KL, Churukian CJ et al. Human prostatic endocrine-paracrine (APUD) cells. Arch Pathol Lab Med, 1985;109:607
, http://www.100md.com
9 Mostofi FK, Sesterhernn LA, Davis CJ. A pathologists view of prostatic carcinoma. Cancer, 1993;71:906
10 Mostofi FK, Sesterhenn IA, Davis CJ. Prostatic carcinoma: problem in the interpretation of prostatic biopsies. Hum Pathol, 1992;23:223
11 Dhom G. Histopathology of prostatic carcinoma. diagnosis and differential diagnosis. Pathol Res Pract, 1985;179:277
收稿日期:1998-11-11, http://www.100md.com