雪旺细胞悬液植入成鼠正常脊髓
作者:赵 虬1 郭世绂1 王 沛1 金 宇1 雪 原1
单位:天津医科大学总医院骨科 300052
关键词:雪旺细胞悬液;脊髓损伤;轴索再生
中国脊柱脊髓杂志990208 摘要 目的:了解雪旺细胞(SC)促进脊髓受损轴索再生作用。方法:将Wistar大鼠20只随机分为两组,各10只,实验组将自成鼠坐骨神经培养获取的雪旺细胞悬液(SCS)采用显微注射植入成鼠正常胸段(T7)脊髓,对照组以相同量的Dulbecco改良细胞培养液(DMEM)植入。移植术后2周、6周通过组织学及免疫组织化学检查,观察移植物的存活及促进轴索再生能力。结果:实验组宿主中SC形态正常,束状排列,轴索可长入移植物中。束状排列的SC间有髓鞘碱性蛋白(MBP)阳性纤维存在,相伴随的SC胞质亦呈MBP阳性。对照组无再生轴索长入。结论:SC植入成鼠正常脊髓后,与宿主融合好,可存活,促进宿主再生轴索越过宿主-移植物交界面长入移植物,并形成髓鞘。
, 百拇医药
The transplantation of cultured Schwann cells into normal adult rat spinal cord
ZHAO Qiu GUO Shifu WANG Pei,et al
Chinese Journal of Spine and Spinal Cord,1999,9(2):86~88
Abstracts Objective:To survey the effect of Schwann cells (SC) on promoting spinal axonal regeneration.Method:Twenty Wistar rats were randomly divided into two groups.The SC suspension (SCS) cultured from adult rat sciatic nerves was implanted into normal adult rat thoracic (T7) spinal cord by micro-injection method,while the vehicle solution-DMEM was grafted for controls.At 2 and 6 weeks post-transplantation,the samples were studied for surviving and promoting axonal regeneration of grafts by histological and immunohistochemical method.Result:Morphology of SC was normal and bundle arrangement in host.Axons could regrow into grafts.Regrowing axons into grafts were associated with bundles of SCs,both axons and SCs were immunoreactive for MBP.There was no neurite in controls.Conclusion:SC could integrate with the host.The implanted cells survive proliferate and promote regrowing axons cross the host-graft interface into the acceptor and form myelin sheath.
, 百拇医药
Author′s address′s address Department of Orthopaedics, Tianjin Med. Univ. Hosp.Tianjin, 300052
Key words Schwann cell suspension Spinal cord injury Axonal regeneration
目前许多学者确信,中枢神经系统(CNS)再生能力受限极可能为不适宜的生长环境而非损伤的轴索本身不具有再生能力所致。80年代,一些学者为改变CNS中不适宜轴索的生长环境而将外周神经段植入成鼠脊髓,观察到中枢轴索在外周神经移植物中可生长一定距离〔1,2〕。雪旺细胞(SC)为外周神经的主要成分,大量实验研究已证实,SC的产物可影响离体和在体的神经元或轴索的存活和/或轴索的生长〔3〕。因此,近年国外不少学者开始进行SC移植促进中枢神经轴索再生的动物实验研究。本实验研究目的旨在观察SC促进轴索再生、形成髓鞘的作用,为临床自体SC移植促进脊髓损伤修复提供实验依据。
, http://www.100md.com
1 材料与方法
1.1 雪旺细胞悬液(SCS)的制备
采用特异粘附法制备SCS。将由 Wistar大鼠坐骨神经消化获得的细胞悬液,经两次30分钟孵育后,吸取未贴壁的细胞进行培养。培养增殖1周后,加入乙二胺四乙酸二钠(EDTA)吹打收集于离心管中。经离心冲洗后,加入适量Dulbecco改良细胞培养液(DMEM,0.1ml/管)吹打制备成SCS。移植前经台盼蓝染色,细胞记数为1.8~2×106个/ml,存活率90%~95%。将盖玻片上生长的单层细胞经S-100蛋白染色,以鉴定SC纯度。镜下观察,80%以上细胞为S-100蛋白阳性(记数300个细胞),且表现出SC的形态特点,胞体细长、双极,常呈肩并肩或端对端生长(图1,插Ⅲ)。
1.2 动物分组及移植操作
Wistar雌性大鼠20只,体重230~250g,随机分成实验组(SCS组)和对照组(DMEM组),每组10只。T7椎板后路切除显露硬膜,将显微注射悬液移植器针头向头侧斜行(45°)刺入脊髓1.5~2mm。实验组注入SCS 10μl,对照组注入DMEM 10μl,关闭伤口饲养。
, 百拇医药
1.3 取材与观察
两组动物分别于移植术后2周、6周各有5只行10%甲醛心脏灌注,切取T4~T10段脊髓标本固定于灌注液中。脊髓标本常规石蜡包埋,纵行6μm切片,用HE、嗜银染色行组织学观察。实验组标本另行免疫组化检查,采用髓鞘碱性蛋白(MBP)染色观察移植物中的SC和髓鞘。
2 结果
2.1 组织学检查结果
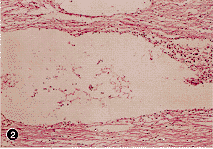
对照组(DMEM)2周标本HE染色示植入区灶性液化坏死腔,偶见泡沫细胞,周边无明显炎性反应(图2,插Ⅲ)。银染示轴索断裂崩解。6周HE染色示液化灶边界清楚,泡沫细跑基本消失。银染示轴索断裂。实验组(SCS)2周标本HE示植入区可见梭形细胞,核呈短杆状,染色质均细,胞质粉染,为正常SC形态。多呈束状排列且与周围脊髓组织有移行过渡现象,说明与宿主融合好。植入物中亦可见小圆淋巴样细胞,核小圆形深染,胞质少。银染可见宿主轴索越过宿主-移植物交界面长入移植物中,且多与束状排列的梭形细胞伴行,轴索较稀疏,排列无极向,说明再生轴索长入移植区(图3,插Ⅲ)。6周HE染色示移植物主要由束状排列的梭形细胞构成,其间杂有小圆淋巴样细胞。银染示移植物中有散在轴索。
, 百拇医药
2.2 免疫组织化学检查结果
银染证实对照组(DMEM)无再生轴索长入,故仅对实验组(SCS)行免疫组化检查。2周标本MBP染色示移植物中束状排列的梭形细胞间可见线状MBP阳性产物(纤维),提示移植物中有髓鞘样结构形成。与线状MBP阳性纤维相伴随的束状排列的梭形细胞的胞质中亦有MBP阳性产物存在,提示MBP阳性的髓鞘样结构由其产生。说明植入正常脊髓的SC可存活,并有形成髓鞘的能力(图4,插Ⅲ)。6周示束状排列的梭形细胞间亦可见线状MBP阳性纤维,未观察到明显的数量上的改变。



, http://www.100md.com 图1 培养的S-100阳性SC,胞体细长,肩并肩、端对端生长(PAP×200) 图2 植入DMEM 2周,空腔界限清楚,无明显炎性反应(HE×200) 图3 植入SCS 2周,再生轴索越过宿主-移植物交界面长入,多与束状排列的SC伴行(银染×200) 图4 植入SCS 2周,胞质MBP阳性的SC与MBP阳性纤维相伴随(PAP×1000)
3 讨论
3.1 SC的培养
SC的培养获取方法有:抗有丝分裂法,免疫选择法,植块移出法及特异粘附法。其中以特异粘附法较为简便,其优点为获取SC速度快,产量高,不使用抗有丝分裂剂及血清补体。不足处为成纤维细胞含量高于其它方法。本实验采用二次粘附孵育过程以达到提高SC纯度的目的。国内顾立强〔4〕已利用相似的方法获取了纯净度较高的SC。
3.2 显微注射悬液移植
, http://www.100md.com
成年动物脊髓神经纤维排列紧密,不够柔韧,因此当相对柔韧的移植物注入时不能很好退让,致使移植物易沿针道漏出很难进行脊髓实质内移植〔5〕, Brook〔6〕曾将吸有SCS的微量进样器刺入成鼠丘脑中,拔针的同时持续喷射出SCS, SC沿此针道可成功地形成一个SC柱。其所以获得成功,可能与CNS灰质较疏松,柔韧性好有关。本实验对微量进样器进行了改进,以细胞内电极玻璃毛坯拉伸成口径6μm的针头替代原针头,刺入成鼠胸段脊髓植入 SCS,操作过程中观察几乎无渗漏,组织学检查亦证实SCS被成功植入脊髓实质中,且无明显副损伤。
3.3 SCS移植
在SCS移植的实验研究中,学者们多采用人造基膜支架或定向导管方式对SC移植进行观察。这种方式可使大量的SC植入在一个被控制的环境中,轴索生长被支持,疤痕长入被抑制,宿主移植物间的相互作用容易被观察〔7〕。此外,其内容物在移植前可通过加入各种细胞的和/或营养的成分而被调控〔8〕。但此途径仍类似于外周神经移植。细胞悬液移植物的成分在植入前也可加以调整,单纯SCS容易获取,移植操作简便,避免了类似外周神经形式移植的缺点,更接近于临床自体SC移植。实验结果提示SCS移植可促进轴索再生,形成髓鞘。
, http://www.100md.com
3.4 SCS移植存在的问题
SCS移植的实验研究始于近年,尚有许多问题有待解决。如移植物中是否应附加某些营养或细胞成分?是否应针对生长抑制因子加入拮抗剂?是否应在移植时使用糖皮质激素类药物以减少星形神经胶质反应?本实验中出现的较明显的排斥反应对同种异体移植动物实验研究的影响亦不容忽视,今后的实验中或许应使用免疫抑制剂或采用自体移植方式加以克服。
脊髓损伤后,受损轴索具有再生能力已得到公认。如何为再生轴索提供一个最适宜的生长环境使其迅速生长到达靶器官,建立突触联系是脊髓损伤修复的关键。 SCS移植的实验研究的目的即在于此,一旦合理的中枢轴索生长环境或空间结构被建立,受损伤脊髓的功能恢复肯定能得以实现。
参考文献
[1] Richardson PM, Mcguiness UM, Aguayo AJ. Axonal from CNS regenerate into PNS graft. Nature, 1980,284:264.
, http://www.100md.com
[2] Richardson PM, Isse VMK, Aguayo AJ. Peripheral nerve autografts to the rat spinal cord: studies with axonal tracking methods. Brain Res, 1987,237: 147.
[3] Paino CL, Fernander-Valle C, Bats ML, et al. Regrowth of axons in lesioned adult rat spinal cord: promotion by implanted Schwann cells. J Neurocytol, 1994,23:433 .
[4] 顾立强,朱家恺.雪旺细胞源营养神经活性物质的研究.中华显微外科杂志,1993,2:125.
[5] 胥少汀,郭世绂主编.脊髓损伤基础与临床.北京:人民卫生出版社,1992.239.
, 百拇医药
[6] Brook GA, Lawerence JM, Shah B, et al. Extrusion transplantation of Schwann cells into the adult rat thalamus induces directional host axon growth. Exp Neural, 1993, 122: 107.
[7] Montgomery T, Robson A. Implants of cultured Schwann cells support axonal growth in the central nervous system of adult rats. Exp Neural, 1993,122: 107.
[8] Xu XM, Raisman G, Kleitman N, et al. A combination of BDNF and NT-3 promotes supraspinal axonal regeneration into Schwann cell grafts in adult rat thoracic spinal cord. Exp Neural, 1995,134:261.
收稿日期:1998-02-06 修回日期:1998-07-23, 百拇医药(赵 虬1 郭世绂1 王 沛1 金 宇1 雪 原1)
单位:天津医科大学总医院骨科 300052
关键词:雪旺细胞悬液;脊髓损伤;轴索再生
中国脊柱脊髓杂志990208 摘要 目的:了解雪旺细胞(SC)促进脊髓受损轴索再生作用。方法:将Wistar大鼠20只随机分为两组,各10只,实验组将自成鼠坐骨神经培养获取的雪旺细胞悬液(SCS)采用显微注射植入成鼠正常胸段(T7)脊髓,对照组以相同量的Dulbecco改良细胞培养液(DMEM)植入。移植术后2周、6周通过组织学及免疫组织化学检查,观察移植物的存活及促进轴索再生能力。结果:实验组宿主中SC形态正常,束状排列,轴索可长入移植物中。束状排列的SC间有髓鞘碱性蛋白(MBP)阳性纤维存在,相伴随的SC胞质亦呈MBP阳性。对照组无再生轴索长入。结论:SC植入成鼠正常脊髓后,与宿主融合好,可存活,促进宿主再生轴索越过宿主-移植物交界面长入移植物,并形成髓鞘。
, 百拇医药
The transplantation of cultured Schwann cells into normal adult rat spinal cord
ZHAO Qiu GUO Shifu WANG Pei,et al
Chinese Journal of Spine and Spinal Cord,1999,9(2):86~88
Abstracts Objective:To survey the effect of Schwann cells (SC) on promoting spinal axonal regeneration.Method:Twenty Wistar rats were randomly divided into two groups.The SC suspension (SCS) cultured from adult rat sciatic nerves was implanted into normal adult rat thoracic (T7) spinal cord by micro-injection method,while the vehicle solution-DMEM was grafted for controls.At 2 and 6 weeks post-transplantation,the samples were studied for surviving and promoting axonal regeneration of grafts by histological and immunohistochemical method.Result:Morphology of SC was normal and bundle arrangement in host.Axons could regrow into grafts.Regrowing axons into grafts were associated with bundles of SCs,both axons and SCs were immunoreactive for MBP.There was no neurite in controls.Conclusion:SC could integrate with the host.The implanted cells survive proliferate and promote regrowing axons cross the host-graft interface into the acceptor and form myelin sheath.
, 百拇医药
Author′s address′s address Department of Orthopaedics, Tianjin Med. Univ. Hosp.Tianjin, 300052
Key words Schwann cell suspension Spinal cord injury Axonal regeneration
目前许多学者确信,中枢神经系统(CNS)再生能力受限极可能为不适宜的生长环境而非损伤的轴索本身不具有再生能力所致。80年代,一些学者为改变CNS中不适宜轴索的生长环境而将外周神经段植入成鼠脊髓,观察到中枢轴索在外周神经移植物中可生长一定距离〔1,2〕。雪旺细胞(SC)为外周神经的主要成分,大量实验研究已证实,SC的产物可影响离体和在体的神经元或轴索的存活和/或轴索的生长〔3〕。因此,近年国外不少学者开始进行SC移植促进中枢神经轴索再生的动物实验研究。本实验研究目的旨在观察SC促进轴索再生、形成髓鞘的作用,为临床自体SC移植促进脊髓损伤修复提供实验依据。
, http://www.100md.com
1 材料与方法
1.1 雪旺细胞悬液(SCS)的制备
采用特异粘附法制备SCS。将由 Wistar大鼠坐骨神经消化获得的细胞悬液,经两次30分钟孵育后,吸取未贴壁的细胞进行培养。培养增殖1周后,加入乙二胺四乙酸二钠(EDTA)吹打收集于离心管中。经离心冲洗后,加入适量Dulbecco改良细胞培养液(DMEM,0.1ml/管)吹打制备成SCS。移植前经台盼蓝染色,细胞记数为1.8~2×106个/ml,存活率90%~95%。将盖玻片上生长的单层细胞经S-100蛋白染色,以鉴定SC纯度。镜下观察,80%以上细胞为S-100蛋白阳性(记数300个细胞),且表现出SC的形态特点,胞体细长、双极,常呈肩并肩或端对端生长(图1,插Ⅲ)。
1.2 动物分组及移植操作
Wistar雌性大鼠20只,体重230~250g,随机分成实验组(SCS组)和对照组(DMEM组),每组10只。T7椎板后路切除显露硬膜,将显微注射悬液移植器针头向头侧斜行(45°)刺入脊髓1.5~2mm。实验组注入SCS 10μl,对照组注入DMEM 10μl,关闭伤口饲养。
, 百拇医药
1.3 取材与观察
两组动物分别于移植术后2周、6周各有5只行10%甲醛心脏灌注,切取T4~T10段脊髓标本固定于灌注液中。脊髓标本常规石蜡包埋,纵行6μm切片,用HE、嗜银染色行组织学观察。实验组标本另行免疫组化检查,采用髓鞘碱性蛋白(MBP)染色观察移植物中的SC和髓鞘。
2 结果
2.1 组织学检查结果
对照组(DMEM)2周标本HE染色示植入区灶性液化坏死腔,偶见泡沫细胞,周边无明显炎性反应(图2,插Ⅲ)。银染示轴索断裂崩解。6周HE染色示液化灶边界清楚,泡沫细跑基本消失。银染示轴索断裂。实验组(SCS)2周标本HE示植入区可见梭形细胞,核呈短杆状,染色质均细,胞质粉染,为正常SC形态。多呈束状排列且与周围脊髓组织有移行过渡现象,说明与宿主融合好。植入物中亦可见小圆淋巴样细胞,核小圆形深染,胞质少。银染可见宿主轴索越过宿主-移植物交界面长入移植物中,且多与束状排列的梭形细胞伴行,轴索较稀疏,排列无极向,说明再生轴索长入移植区(图3,插Ⅲ)。6周HE染色示移植物主要由束状排列的梭形细胞构成,其间杂有小圆淋巴样细胞。银染示移植物中有散在轴索。
, 百拇医药
2.2 免疫组织化学检查结果
银染证实对照组(DMEM)无再生轴索长入,故仅对实验组(SCS)行免疫组化检查。2周标本MBP染色示移植物中束状排列的梭形细胞间可见线状MBP阳性产物(纤维),提示移植物中有髓鞘样结构形成。与线状MBP阳性纤维相伴随的束状排列的梭形细胞的胞质中亦有MBP阳性产物存在,提示MBP阳性的髓鞘样结构由其产生。说明植入正常脊髓的SC可存活,并有形成髓鞘的能力(图4,插Ⅲ)。6周示束状排列的梭形细胞间亦可见线状MBP阳性纤维,未观察到明显的数量上的改变。
, http://www.100md.com 图1 培养的S-100阳性SC,胞体细长,肩并肩、端对端生长(PAP×200) 图2 植入DMEM 2周,空腔界限清楚,无明显炎性反应(HE×200) 图3 植入SCS 2周,再生轴索越过宿主-移植物交界面长入,多与束状排列的SC伴行(银染×200) 图4 植入SCS 2周,胞质MBP阳性的SC与MBP阳性纤维相伴随(PAP×1000)
3 讨论
3.1 SC的培养
SC的培养获取方法有:抗有丝分裂法,免疫选择法,植块移出法及特异粘附法。其中以特异粘附法较为简便,其优点为获取SC速度快,产量高,不使用抗有丝分裂剂及血清补体。不足处为成纤维细胞含量高于其它方法。本实验采用二次粘附孵育过程以达到提高SC纯度的目的。国内顾立强〔4〕已利用相似的方法获取了纯净度较高的SC。
3.2 显微注射悬液移植
, http://www.100md.com
成年动物脊髓神经纤维排列紧密,不够柔韧,因此当相对柔韧的移植物注入时不能很好退让,致使移植物易沿针道漏出很难进行脊髓实质内移植〔5〕, Brook〔6〕曾将吸有SCS的微量进样器刺入成鼠丘脑中,拔针的同时持续喷射出SCS, SC沿此针道可成功地形成一个SC柱。其所以获得成功,可能与CNS灰质较疏松,柔韧性好有关。本实验对微量进样器进行了改进,以细胞内电极玻璃毛坯拉伸成口径6μm的针头替代原针头,刺入成鼠胸段脊髓植入 SCS,操作过程中观察几乎无渗漏,组织学检查亦证实SCS被成功植入脊髓实质中,且无明显副损伤。
3.3 SCS移植
在SCS移植的实验研究中,学者们多采用人造基膜支架或定向导管方式对SC移植进行观察。这种方式可使大量的SC植入在一个被控制的环境中,轴索生长被支持,疤痕长入被抑制,宿主移植物间的相互作用容易被观察〔7〕。此外,其内容物在移植前可通过加入各种细胞的和/或营养的成分而被调控〔8〕。但此途径仍类似于外周神经移植。细胞悬液移植物的成分在植入前也可加以调整,单纯SCS容易获取,移植操作简便,避免了类似外周神经形式移植的缺点,更接近于临床自体SC移植。实验结果提示SCS移植可促进轴索再生,形成髓鞘。
, http://www.100md.com
3.4 SCS移植存在的问题
SCS移植的实验研究始于近年,尚有许多问题有待解决。如移植物中是否应附加某些营养或细胞成分?是否应针对生长抑制因子加入拮抗剂?是否应在移植时使用糖皮质激素类药物以减少星形神经胶质反应?本实验中出现的较明显的排斥反应对同种异体移植动物实验研究的影响亦不容忽视,今后的实验中或许应使用免疫抑制剂或采用自体移植方式加以克服。
脊髓损伤后,受损轴索具有再生能力已得到公认。如何为再生轴索提供一个最适宜的生长环境使其迅速生长到达靶器官,建立突触联系是脊髓损伤修复的关键。 SCS移植的实验研究的目的即在于此,一旦合理的中枢轴索生长环境或空间结构被建立,受损伤脊髓的功能恢复肯定能得以实现。
参考文献
[1] Richardson PM, Mcguiness UM, Aguayo AJ. Axonal from CNS regenerate into PNS graft. Nature, 1980,284:264.
, http://www.100md.com
[2] Richardson PM, Isse VMK, Aguayo AJ. Peripheral nerve autografts to the rat spinal cord: studies with axonal tracking methods. Brain Res, 1987,237: 147.
[3] Paino CL, Fernander-Valle C, Bats ML, et al. Regrowth of axons in lesioned adult rat spinal cord: promotion by implanted Schwann cells. J Neurocytol, 1994,23:433 .
[4] 顾立强,朱家恺.雪旺细胞源营养神经活性物质的研究.中华显微外科杂志,1993,2:125.
[5] 胥少汀,郭世绂主编.脊髓损伤基础与临床.北京:人民卫生出版社,1992.239.
, 百拇医药
[6] Brook GA, Lawerence JM, Shah B, et al. Extrusion transplantation of Schwann cells into the adult rat thalamus induces directional host axon growth. Exp Neural, 1993, 122: 107.
[7] Montgomery T, Robson A. Implants of cultured Schwann cells support axonal growth in the central nervous system of adult rats. Exp Neural, 1993,122: 107.
[8] Xu XM, Raisman G, Kleitman N, et al. A combination of BDNF and NT-3 promotes supraspinal axonal regeneration into Schwann cell grafts in adult rat thoracic spinal cord. Exp Neural, 1995,134:261.
收稿日期:1998-02-06 修回日期:1998-07-23, 百拇医药(赵 虬1 郭世绂1 王 沛1 金 宇1 雪 原1)