C—erbB—2癌基因激活在大肠癌变过程中的作用
作者:刘复兴 王四玲
单位:刘复兴 咸宁医学院病理学教研室,咸宁 437100;王四玲 咸宁医学院附属第一医院病理科,咸宁 437100
关键词:大肠癌;癌蛋白;免疫组织化学
咸宁医学院学报990206
摘 要 目的:探讨C—erbB—2癌基因过表达在大肠癌变过程中的作用。方法:用免疫组化SABC法检测35例结肠癌及癌旁非典型增生上皮和17例大肠乳头状腺瘤中C—erbB—2蛋白的表达。结果:C—erbB—2在大肠癌变各阶段(正常—非典型增生/乳头状腺瘤—癌)均有不同程度的表达,前两阶段间表达的差异显著(P<0.05)。结论:C—erbB—2基因激活是大肠癌变过程中的前期事件,通过诱导细胞增殖而参与促进癌的形成。
中图分类号 R739.65
, 百拇医药
Role of Activation of C—erbB—2 Oncogene in the
Tumorigenesis of Large Intestine
Liu Fuxing1,Wang Siling2
1 Department of Pathology,Xianning Medical College,Xianning 437100
2 Department of Pathology,the First Affiliated Hospital of Xianning Medical College,Xianning 437100
ABSTRACT Objective To reveal the role of activation of C—erbB—2 proto-oncogene in tumorigenesis of large intestine.Methods The expression of C—erbB—2 oncoprotein was determined by SABC—immunohistochemical method in 35 cases of colon carcinoma and atypical hyperplastic epithelium adjacent to carcinoma and 17 cases of colorectal papillary adenoma.Results The C—erbB—2 positive reaction was revealled in various degree in all varient stages of tumorigenesis (normal—atypical hyperplasia and /or papillary adenoma—carcinoma) of large intestine,and there was significant difference between the former two stages.Conclusion The overexpression of C—erbB—2 was an early event in the carcinogenesis of large intestine ,it may play an important role in the process of carcinogenesis by inducing cells to proliferate.
, 百拇医药
KEY WORDS Large intestine;Tumor;C—erbB—2;Immunohistochemistry
大肠癌的发生是多个抗癌基因与原癌基因改变的多阶段形成过程[1~2]。临床观察发现乳头状腺瘤转变成癌的机率较高,与大肠癌的发生关系密切。C—erbB—2原癌基因蛋白在多种腺癌中有超量表达。为了解C—erbB—2癌基因激活在大肠癌变过程中的作用,用免疫组化SABC法检测了大肠癌及癌旁非典型增生组织、大肠乳头状腺瘤中C—erbB—2蛋白的表达。为大肠癌变过程提供理论依据。
1 资料和方法
1.1病例标本
35例结肠癌(男16例,女19例,年龄23~74岁,平均年龄57.32岁),其中乳头状癌7例,管状腺癌28例;从癌旁组织中选非典型增生组织29例,并取正常大肠粘膜组织35例作对照;大肠乳头状腺瘤17例。
, http://www.100md.com
1.2 试剂
一抗鼠抗人C—erbB—2单抗系Dako公司产品,SABC(Strept—Avidin—Biotin—Complex)Kit系Boster公司产品。
1.3 染色方法
照试剂盒附说明书用SABC法,DAB显色,苏木素复染。用正常血清代一抗作阴性对照,用预试中染色较佳的阳性大肠癌标本作阳性对照。
1.4 结果评定
阳性反应明显而阳性细胞数多于10%为(+),无阳性反应或极少数细胞弱阳性而可疑者定为(-)。用χ2和u检验进行统计分析。
2 结 果
2.1大肠癌及癌旁非典型增生组织、腺瘤中C—erbB—2表达
, 百拇医药
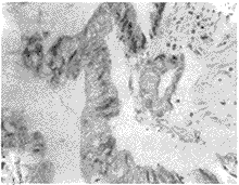
C—erbB—2阳性反应呈棕黄色,定位于胞浆和/或胞膜(图1,2)。C—erbB—2癌蛋白在各类型组织中表达见表1。
图1 大肠乳头状腺瘤C—erbB—2阳性反应见于胞浆和胞膜(SABC法,40×10倍)
图2 大肠腺癌C—erbB—2阳性
(SABC法,40×10倍)
表1 大肠癌及癌旁非典型增生组织、腺瘤中C—erbB—2表达 组织类型
例 数
C—erbB—2表达例数
, 百拇医药
表达率(%)
(-)
(+)
管状腺癌
28
35
9
10
19
25
67.8
71.4
乳头状癌
, http://www.100md.com
7
1
6
85.7
乳头状腺瘤
23
9
14
60.8
非典型增生
29
16
13
, http://www.100md.com 44.8
正常粘膜
35
32
2
5.7
2.2 正常大肠粘膜C—erbB—2表达
35例中2例阳性(5.7%)。
2.3 腺瘤及癌旁C—erbB—2表达
23例乳头状腺瘤有14例(60.8%)阳性,与正常粘膜表达率(5.7)比较差异明显(χ2=77.6757,0.01, 百拇医药
2.4 癌组织中C—erbB—2表达
35例中有25例(71.4%)阳性,其中管状腺癌和乳头状腺癌表达率分别为67.8%和85.7%,二者比较无统计意义上的差异(u=0.9373,P>0.20)。大肠癌C—erbB—2表达率(71.4%)与乳头状瘤和不典型增生表达率比较亦无统计意义上的差异(u1=0.8414,P1>0.02;u2=1.3849,0.10
3 讨 论
C—erbB—2癌蛋白是该原癌基因编码的—185KD跨膜糖蛋白。其结构类似生长因子受体,它的过度表达可增加细胞与生长因子结合的敏感性,进而通过一系列信号传递,引起核的改变而使细胞呈旺盛增殖状态[3],由此而参与多种腺癌的发生[4~5]。从本实验结果看:①在大肠癌变各阶段中均可见C—erbB—2蛋白表达,提示C—erbB—2基因活化参与到了大肠癌变过程各阶段。②正常粘膜和癌旁非典型增生均出现C—erbB—2的表达,说明C—erbB—2原癌基因激活在大肠癌变过程中是一前期事件,在癌变早期通过其过表达与生长因子受体结合后的高水平反应引起细胞的异常增殖,参与癌的形成。③C—erbB—2表达率从正常粘膜(5.7%)粘膜不典型增生(44.8%)/乳头状腺瘤(60.8%)—大肠癌(71.4%)逐渐升高。前一级进展过程之间的表达差异有统计意义,表现出细胞增殖状态的一次质变。而从非典型增生或乳头状腺瘤—癌的转化过程中C—erbB—2表达率无统计意义上的差异。提示此两种瘤变已具备与大肠癌相近似的某些生物学特性,结合乳头状腺瘤癌变率较高等临床资料来看,乳头状腺瘤和癌旁非典型增生均可认作癌前病变,大肠癌手术时应适当扩大癌旁切除范围。④大肠乳头状癌和管状腺癌的表达率无明显差异,可能是C—erbB—2基因激活主要是促进细胞增殖而与诱导细胞分化关系不大。
, http://www.100md.com
参考文献
1 Fearon ER and Vogelstein B.A genetic model for colorectal tumorogenesis.Cell,1990;61:759
2 Hamilton SR.Molecular genetics of colorectal carcinoma.Cancer,1992;70:1216
3 李士谔.细胞分化在致癌和抑癌中的作用.中国医学科学院学报,1993;15:385
4 Enilia J.Bulauas K,Ercole K,et al.Expression of the C—erbB—2 gene product (P185) at different stages of neoplastic progression in the colon.Oncogene,1989;4(10):1233
5 Mc Cann A,Dervan PA,Johnston PA,et al.C—erbB—2 Oncoprotein expression in primary human tumors.Cancer,1990;65:88
收稿日期:1999-02-06, http://www.100md.com
单位:刘复兴 咸宁医学院病理学教研室,咸宁 437100;王四玲 咸宁医学院附属第一医院病理科,咸宁 437100
关键词:大肠癌;癌蛋白;免疫组织化学
咸宁医学院学报990206
摘 要 目的:探讨C—erbB—2癌基因过表达在大肠癌变过程中的作用。方法:用免疫组化SABC法检测35例结肠癌及癌旁非典型增生上皮和17例大肠乳头状腺瘤中C—erbB—2蛋白的表达。结果:C—erbB—2在大肠癌变各阶段(正常—非典型增生/乳头状腺瘤—癌)均有不同程度的表达,前两阶段间表达的差异显著(P<0.05)。结论:C—erbB—2基因激活是大肠癌变过程中的前期事件,通过诱导细胞增殖而参与促进癌的形成。
中图分类号 R739.65
, 百拇医药
Role of Activation of C—erbB—2 Oncogene in the
Tumorigenesis of Large Intestine
Liu Fuxing1,Wang Siling2
1 Department of Pathology,Xianning Medical College,Xianning 437100
2 Department of Pathology,the First Affiliated Hospital of Xianning Medical College,Xianning 437100
ABSTRACT Objective To reveal the role of activation of C—erbB—2 proto-oncogene in tumorigenesis of large intestine.Methods The expression of C—erbB—2 oncoprotein was determined by SABC—immunohistochemical method in 35 cases of colon carcinoma and atypical hyperplastic epithelium adjacent to carcinoma and 17 cases of colorectal papillary adenoma.Results The C—erbB—2 positive reaction was revealled in various degree in all varient stages of tumorigenesis (normal—atypical hyperplasia and /or papillary adenoma—carcinoma) of large intestine,and there was significant difference between the former two stages.Conclusion The overexpression of C—erbB—2 was an early event in the carcinogenesis of large intestine ,it may play an important role in the process of carcinogenesis by inducing cells to proliferate.
, 百拇医药
KEY WORDS Large intestine;Tumor;C—erbB—2;Immunohistochemistry
大肠癌的发生是多个抗癌基因与原癌基因改变的多阶段形成过程[1~2]。临床观察发现乳头状腺瘤转变成癌的机率较高,与大肠癌的发生关系密切。C—erbB—2原癌基因蛋白在多种腺癌中有超量表达。为了解C—erbB—2癌基因激活在大肠癌变过程中的作用,用免疫组化SABC法检测了大肠癌及癌旁非典型增生组织、大肠乳头状腺瘤中C—erbB—2蛋白的表达。为大肠癌变过程提供理论依据。
1 资料和方法
1.1病例标本
35例结肠癌(男16例,女19例,年龄23~74岁,平均年龄57.32岁),其中乳头状癌7例,管状腺癌28例;从癌旁组织中选非典型增生组织29例,并取正常大肠粘膜组织35例作对照;大肠乳头状腺瘤17例。
, http://www.100md.com
1.2 试剂
一抗鼠抗人C—erbB—2单抗系Dako公司产品,SABC(Strept—Avidin—Biotin—Complex)Kit系Boster公司产品。
1.3 染色方法
照试剂盒附说明书用SABC法,DAB显色,苏木素复染。用正常血清代一抗作阴性对照,用预试中染色较佳的阳性大肠癌标本作阳性对照。
1.4 结果评定
阳性反应明显而阳性细胞数多于10%为(+),无阳性反应或极少数细胞弱阳性而可疑者定为(-)。用χ2和u检验进行统计分析。
2 结 果
2.1大肠癌及癌旁非典型增生组织、腺瘤中C—erbB—2表达
, 百拇医药
C—erbB—2阳性反应呈棕黄色,定位于胞浆和/或胞膜(图1,2)。C—erbB—2癌蛋白在各类型组织中表达见表1。
图1 大肠乳头状腺瘤C—erbB—2阳性反应见于胞浆和胞膜(SABC法,40×10倍)
图2 大肠腺癌C—erbB—2阳性
(SABC法,40×10倍)
表1 大肠癌及癌旁非典型增生组织、腺瘤中C—erbB—2表达 组织类型
例 数
C—erbB—2表达例数
, 百拇医药
表达率(%)
(-)
(+)
管状腺癌
28
35
9
10
19
25
67.8
71.4
乳头状癌
, http://www.100md.com
7
1
6
85.7
乳头状腺瘤
23
9
14
60.8
非典型增生
29
16
13
, http://www.100md.com 44.8
正常粘膜
35
32
2
5.7
2.2 正常大肠粘膜C—erbB—2表达
35例中2例阳性(5.7%)。
2.3 腺瘤及癌旁C—erbB—2表达
23例乳头状腺瘤有14例(60.8%)阳性,与正常粘膜表达率(5.7)比较差异明显(χ2=77.6757,0.01, 百拇医药
2.4 癌组织中C—erbB—2表达
35例中有25例(71.4%)阳性,其中管状腺癌和乳头状腺癌表达率分别为67.8%和85.7%,二者比较无统计意义上的差异(u=0.9373,P>0.20)。大肠癌C—erbB—2表达率(71.4%)与乳头状瘤和不典型增生表达率比较亦无统计意义上的差异(u1=0.8414,P1>0.02;u2=1.3849,0.10
3 讨 论
C—erbB—2癌蛋白是该原癌基因编码的—185KD跨膜糖蛋白。其结构类似生长因子受体,它的过度表达可增加细胞与生长因子结合的敏感性,进而通过一系列信号传递,引起核的改变而使细胞呈旺盛增殖状态[3],由此而参与多种腺癌的发生[4~5]。从本实验结果看:①在大肠癌变各阶段中均可见C—erbB—2蛋白表达,提示C—erbB—2基因活化参与到了大肠癌变过程各阶段。②正常粘膜和癌旁非典型增生均出现C—erbB—2的表达,说明C—erbB—2原癌基因激活在大肠癌变过程中是一前期事件,在癌变早期通过其过表达与生长因子受体结合后的高水平反应引起细胞的异常增殖,参与癌的形成。③C—erbB—2表达率从正常粘膜(5.7%)粘膜不典型增生(44.8%)/乳头状腺瘤(60.8%)—大肠癌(71.4%)逐渐升高。前一级进展过程之间的表达差异有统计意义,表现出细胞增殖状态的一次质变。而从非典型增生或乳头状腺瘤—癌的转化过程中C—erbB—2表达率无统计意义上的差异。提示此两种瘤变已具备与大肠癌相近似的某些生物学特性,结合乳头状腺瘤癌变率较高等临床资料来看,乳头状腺瘤和癌旁非典型增生均可认作癌前病变,大肠癌手术时应适当扩大癌旁切除范围。④大肠乳头状癌和管状腺癌的表达率无明显差异,可能是C—erbB—2基因激活主要是促进细胞增殖而与诱导细胞分化关系不大。
, http://www.100md.com
参考文献
1 Fearon ER and Vogelstein B.A genetic model for colorectal tumorogenesis.Cell,1990;61:759
2 Hamilton SR.Molecular genetics of colorectal carcinoma.Cancer,1992;70:1216
3 李士谔.细胞分化在致癌和抑癌中的作用.中国医学科学院学报,1993;15:385
4 Enilia J.Bulauas K,Ercole K,et al.Expression of the C—erbB—2 gene product (P185) at different stages of neoplastic progression in the colon.Oncogene,1989;4(10):1233
5 Mc Cann A,Dervan PA,Johnston PA,et al.C—erbB—2 Oncoprotein expression in primary human tumors.Cancer,1990;65:88
收稿日期:1999-02-06, http://www.100md.com