黑色素抑制流感病毒诱导宿主细胞凋亡
作者:胡国斌 郑从义 屈三甫 卫扬保
单位:武汉大学生命科学学院,武汉 430072
关键词:黑色素;流感病毒;细胞凋亡
黑色素抑制流感病毒诱导宿主细胞凋亡
摘 要 报道了流感病毒体外诱导狗肾细胞系(MDCK)细胞凋亡的检测结果,对黑色素选择性抑制流感病毒诱导细胞凋亡的可能性进行了探讨,同时与临床上常用的抗病毒药物病毒唑的效果进行比较。结果显示:病毒感染6h后,即可观测到宿主细胞核固缩现象、DNA凝胶电泳出现特征性的梯状图谱,感染12h后,细胞核可见明显的裂解;并且流感病毒株A1/京防86-1诱导细胞凋亡能力强于B沪防/93-1;在20~125μg/mL浓度范围内,黑色素可有效抑制64个血凝单位(HU)的流感病毒感染诱导的细胞凋亡而无细胞毒性作用,其抑制效率类似病毒唑。初步研究结果表明:黑色素抗流感病毒诱导细胞凋亡机理与其阻断病毒吸附侵入宿主细胞有关。
, http://www.100md.com
Studies on Inhibitory Effect of Melanin on the Apoptosis
Induced by Influenza Virus in Host Cells
Hu Guobing Zheng Congyi Qu Shanpu Wei Yangbao
(College of Life Sciences, Wuhan University, Wuhan 430072)
Abstract The apoptosis induced by influenza virus in cultured MDCK cells was reported and the selective inhibitory effect of melamin on the apoptosis induced by influenza virus was investigated. The results showed that the DNA ladder could be first detected at 6 h post-infection (p.i.), accompanied by nuclear condensation and nuclear fragmentation could be easily detected at 12 h p.i. In addition, the apoptosis-induced activity of influenza virus A1/Jingfang 86-1 strain was more potent than that of B/Hufang 93-1 strain (P<0.05). In the range of 20-125 μg/mL, melanin was found to significantly (P<0.001) inhibit apoptosis induced by 64 hemagglutination unit influenza virus infection with a inhibitory rate comparable to that obtained by virazole and showed no cytotoxicity. The inital results suggested that the mechanism of melanin against the apoptosis induced by influenza virus was related to the blockage of viruses' adsorbtion to the host cells.
, 百拇医药
Key words Melanin, Influenza virus, Apoptosis
黑色素是广泛存在生物界中的一类具有多种生物学功能的重要色素,其化学本质为酚类和醌类的衍生物[1]。近年来,有关黑色素功能和应用的研究日益深入[2,3],但关于黑色素抑制病毒诱导细胞凋亡的研究迄今尚未见报道。最近我们发现黑色素具有体外抑制流感病毒诱导MDCK细胞凋亡的作用,这为充分开发利用黑色素资源提供了新的研究思路。
1 材料与方法
1.1 病毒增殖和细胞培养
流感病毒株A1/京防86-1和B/沪防93-1由中国预防医学科学院病毒所提供。将病毒接种于9~11日龄鸡胚尿囊腔,35℃孵育48-72h,收集尿囊液、3000rpm离心15min,取上清进行血凝试验,以血凝滴度大于1∶320的病毒液作实验材料,-70℃贮存。
, http://www.100md.com
MDCK细胞为本实验室保藏的传代细胞系,培养液为DMEM(Gibco公司生产),内含10%小牛血清、100u(μg)/mL的青、链霉素。调细胞浓度为1×105个/mL,接种于内置有一无菌盖玻片的60mm培养皿,4mL/皿,置于37℃、5%CO2培养箱培养。
1.2 黑色素的细胞毒性试验
采用MTT法[4]。取对数生长期的MDCK细胞5×104个/mL,接种于96孔培养板,200μL/孔,设对照组和不同浓度实验组,每组重复3孔,培养24h后加黑色素继续培养48h,然后加四甲基偶氮唑盐(MTT,5mg/mL),20μL/孔,孵育4h后吸去上清,每孔加二甲基亚枫(DMSO)150μL溶解,用MR600型酶标仪在490nm处测OD值。根据文献[5]计算黑色素的无毒界限,即以细胞正常生长组所加黑色素浓度的半数量为其对MDCK细胞的无毒界限。
, 百拇医药
1.3 病毒感染诱导细胞凋亡
将经维持液(血清量为2%,其余与培养液相同)稀释的不同浓度(8、16、32、64、128血凝单位/mL)的流感病毒接种于70%单层的MDCK细胞上,1mL/皿,37℃作用1h后补加维持液,3mL/皿,分别于感染6、12、18、24、30h后取样分析。
1.4 黑色素处理
接种64个血凝单位的流感病毒于MDCK细胞上,37℃分别作用0、1、4h后加入黑色素(Sigma公司产品),终浓度为10、20、40、80、120μg/mL,其中0h组黑色素分两次加入,第一次在作用开始时加入,第二次于作用1h后随维持液加入,前后两次终浓度不变;后两组为补加维持液时一次性加入。同时设黑色素阴性对照组、相应浓度的病毒唑阳性对照组和正常细胞对照组,于感染后12h取样分析。
1.5 Hoechst 33258荧光染色检测
, http://www.100md.com
取贴盖玻片生长的待测细胞,经固定液(甲醇∶冰醋酸=3∶1)固定15min,弃固定液,空气干燥后用0.5μg/mL Hoechst33258染色45min,弃染液,经PBS(pH=7.4)清洗、风干后封片,于Olympus荧光显微镜下观察。每样品随机计数5个视野,以下列公式计算凋亡指数(AI):AI=凋亡细胞/(凋亡细胞数+正常细胞数)。
1.6 DNA提取与电泳分析
参照文献[6]的方法提取待测细胞样品的DNA,2%琼脂糖凝胶电泳(4V/cm)3h,UV灯下观察结果。
1.7 统计学分析
采用成组数据t检验,P<0.05者认为相差显著。
2 结果
2.1 黑色素的细胞毒性浓度范围与无毒界限
, 百拇医药
为了解黑色素对MDCK细胞的毒性,确定黑色素的最佳使用浓度,用MTT法测定了不同浓度的黑色素对MDCK细胞的细胞毒性效应(见表1)。表1的结果表明,加入不同浓度黑色素的各实验组中,250μg/mL黑色素组细胞活性与对照组无显著差异(P>0.05),因而黑色素的无毒界限为125μg/mL。亦即使用125μg/mL以内浓度的黑色素对MDCK细胞均无细胞毒性。
表1 MTT试验结果(
±s,n=3)
Table 1 Results of MTT colorimetric assay(
±s,n=3)
, http://www.100md.com
黑色素浓度(μg/mL)
Melanin concentration
OD值(490nm)
OD490nm value
P值
P value
生长抑制率(%)
Inhibitory percentage
500
0.14±0.02
<0.001
, http://www.100md.com
70.2
450
0.15±0.01
<0.001
68.1
400
0.22±0.03
<0.005
53.2
350
0.29±0.04
<0.01
38.3
, 百拇医药
300
0.33±0.04
<0.05
29.8
250
0.38±0.04
>0.05
19.1
200
0.39±0.03
>0.05
17.0
150
, http://www.100md.com
0.41±0.04
>0.05
12.8
100
0.43±0.03
>0.05
8.5
50
0.46±0.03
>0.05
2.1
25
0.46±0.05
, 百拇医药
>0.05
2.1
Control
0.47±0.05
—
—
2.2 流感病毒感染与MDCK细胞凋亡
倒置显微镜下观察发现,相同剂量(64个血凝单位)的A1/京防86-1和B/沪防93-1,感染MDCK细胞6h后均开始产生细胞病变(CPE),感染8h后已有少量细胞病变脱壁。随着培养时间延长,A1/京防86-1组的细胞病变迅速加重,至感染后18h约80%细胞病变脱壁,但此时B/沪防93-1仍有半数细胞贴壁。在病毒感染6h后,荧光染色可观察到病变细胞的核固缩现象,电泳结果显示两组均出现特征性DNA梯状图谱(图1)。至12h病毒感染细胞可见核裂解(图7b)。同时,两种流感病毒诱导MDCK细胞凋亡的凋亡指数与培养时间呈直接的相关性,即随着培养时间延长细胞凋亡指数迅速上升,感染后30h A1/京防86-1组即达最高值(图2)。研究还发现两种病毒诱导细胞的凋亡指数虽呈剂量依赖关系,但在每一剂量点上A1/京防86-1组的凋亡指数均高于B/沪防93-1组(P<0.05)(图3)。以上研究结果提示:对MDCK细胞而言,A1/京防86-1的毒力大于B/沪防93-1。
, 百拇医药
图1 64HU流感病毒感染6h的细胞DNA电泳图谱
Fig.1 Agarose gel electrophoresis of DNA extracted from influenza virus (64HU) infected cells at 6h p.i.
1.PCR markers (SABC); 2.Control;3.Infected with A1/Jingfang 86-1;
4.Infected with B/Hufang 93-1.
图2 64HU的流感病毒诱导MDCK细胞凋亡的动力学特征
, 百拇医药
Fig.2 Kinetics of apoptosis induced by 64Hu influenza virus in MDCK cells
图3 流感病毒感染12h后诱导MDCK细胞凋亡的量效关系
Fig.3 Relationship of dose and effect of apoptosis induced by influenza virus in MDCK cells at 12 h p.i
2.3 黑色素和病毒唑对流感病毒诱导MDCK细胞凋亡的影响
实验结果表明,黑色素和病毒唑均可抑制流感病毒诱导MDCK细胞凋亡(图4、5、7)。黑色素对64个血凝单位的A1/京防86-1和B/沪防93-1的有效抑制浓度为20~125μg/mL,40μg/mL的黑色素基本上可抑制宿主细胞凋亡发生,其抑制效率类似病毒唑,但病毒唑对B/沪防93-1抑制作用相对较弱(图6)。不同时间加入黑色素对流感病毒诱导MDCK细胞凋亡的影响结果表明,于病毒作用细胞0h时加入黑色素可显著(P<0.001)抑制A1/京防86-1和B/沪防93-1诱导的细胞凋亡,于作用1h时或更晚加入黑色素,则较少或不能抑制流感病毒诱导的细胞凋亡;而当加入病毒唑时,无论0h组或1h组均有显著(P<0.001)的抑制效果(见表2)。以上结果提示:黑色素的抑制作用主要发生在病毒吸附侵入环节,病毒唑的抑制作用则发生在细胞凋亡早期。
, 百拇医药
表2 不同时间加入的黑色素(40μg/mL)和病毒唑(40μg/mL)
对64HU的流感病毒感染12h后诱导MDCK细胞凋亡的影响(x±s,n=5)
Table 2 Effect of melanin (40μg/mL) and virazole (40μg/mL) added at various time
on the apoptosis induced by 64HU influenza virus in MDCK cells at 12h p.i.
组 别
Groups
黑色素 Melanin
病毒唑 Virazole
, 百拇医药
A1/京防86-1
A1/Jingfang86-1
B/沪防93-1
B/Hufang93-1
A1/京防86-1
A1/Jingfang86-1
B/沪防93-1
B/Hufang93-1
凋亡指数(%)
A1(%)
抑制率(%)
, http://www.100md.com Inhibitory
rate(%)
凋亡指数(%)
A1(%)
抑制率(%)
Inhibitory
rate(%)
凋亡指数(%)
A1(%)
抑制率(%)
Inhibitory
rate(%)
, http://www.100md.com
凋亡指数(%)
A1(%)
抑制率(%)
Inhibitory
rate(%)
0h
4.10±0.36***
90.3
3.72±0.44***
86.8
2.86±0.82***
, 百拇医药
93.8
4.66±1.15***
82.9
1h
26.85±4.22**#
24.5
18.46±3.18*#
25.6
4.27±1.02***
89.8
4.90±1.24***
, 百拇医药
81.9
4h
34.00±4.05
3.8
24.05±2.04
2.3
32.14±6.77
9.2
23.92±2.04
2.9
病毒感染对照
Infected group
, 百拇医药
35.33±2.27
-
24.61±3.23
-
35.33±2.27
-
24.61±3.23
-
正常细胞对照
Normal group
0.73±0.05
-
, 百拇医药 0.55±0.06
-
0.73±0.05
-
0.55±0.06
-
Inhibitory rate=[1-(Al of testing group-A1 of normal group)/(A1 of infected group-A1 of normal group)]×100%
*Compared with infected group P<0.05; **Compared with infected group P<0.01; ***Compared with infected group P<0.001; #Compared with 4h group P<0.05.
, 百拇医药
图4 40μg/ml黑色素或病毒唑处理 64HU A1/京防86-1感染12h的细胞DNA电泳图谱
Fig.4 Agarose gel Clectrophoresis of DNA extracted from the cells, which were treated with 40μg/mL melanin or virazole and infected with 64HU A1/Jinglang 86-1 for 12h. 1.infected with A1/Jingfang 86-1;2.PCR markers(SABC);3.Control; 4.Treated wtih melanin and infected with A1/Jingfang 86-1; 5.Treated with virazole and infected with A1/Jingfang 86-1
, 百拇医药
图5 40μg/mL黑色素或病毒唑处理 64HU B/沪防93-1感染12h的细胞DNA电泳图谱
FIg.5 Agarose gel electrophoresis of DNA extracted from the cells, which were treated with 40μg/mL melanin or virazole and infected with 64HU B/Hufang 93-1. 1.PCR markers (SABC);2.Infected with B/Hufang 93-1;3.Control;4.Treated with melanin and infected with B/Hufang 93-1; 5.Treated with virazole and infected with B/Hufang 93-1
, 百拇医药
图6 不同剂量的黑色素和病毒唑对64HU的流感病毒感染12h后诱导MDCK细胞凋亡的影响
Fig.6 Effect of various doses of melanin and virazole on the apoptos is induced
by 64HU influenza virus in MDCK cells at 12 h p.i.
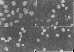
图7 40μg/mL黑色素或病毒唑处理、64HU流感病毒感染12h的细胞核形态变化(细胞经Hoechst33258染色)
Fig.7 Nuclear morphological changes of the cells, which were treated with 40μg/mL melanin or virazole and infected with 64HU influenza virus for 12h (stained with Hoechest33258). a. Control (400×); b.Infected with A1/Jingfang 86-1(200×); c. Treated with melanin and infected with B/Hufang 93-1(200×); d. Treated with virazole and infected with A1/Jingfang 86-1(200×)
, 百拇医药
3 讨论
细胞凋亡(apoptosis)是一种与细胞坏死(necrosis)有本质区别的细胞死亡方式,研究表明它是细胞在生理或病理信号刺激下,启动自身凋亡相关基因而发生的主动“自杀”过程。凋亡细胞由于染色质凝聚而导致核裂解,通过DNA特异性荧光染料Hoechst33258对细胞进行荧光染色,在荧光显微镜下计数多个视野中凋亡细胞核的数量,即可对细胞凋亡程度进行相对量化分析。DNA断裂是凋亡细胞的另一重要特征,细胞凋亡时,其内源性核酸内切酶被激活,并特异地在核小体连接处降解DNA,形成以180~200bp为单位的片段,在DNA电泳图谱上呈现特异性的梯形改变。研究结果表明,使用两种检测技术可使细胞凋亡的分析结果更为客观。
1993年,Takizawa等人[7]首次证明流感病毒感染可诱导宿主细胞凋亡,从而为揭示流感病毒致病机理迈出了重要的一步。本研究结果也表明,流感病毒感染引起的宿主细胞病变死亡是通过诱导细胞凋亡来实现的,并发现A1/京防86-1是比B/沪防93-1更为烈性的毒株(P<0.05),这一体外研究结果与A型和B型流感病毒的流行病学特征相符合。研究还发现20μg/mL的黑色素即可有效抑制64个血凝单位的A1/京防86-1和B/沪防93-1感染诱导的MDCK细胞凋亡,其抑制效率类似临床上常用的抗病毒药物病毒唑,此有效浓度远在无毒界限之下,提示黑色素可作为一种新型抗流感病毒制剂深入研究。初步的研究结果表明,黑色素的抗病毒作用明显与其阻断病毒吸附感染宿主细胞有关,这一点与病毒唑通过抑制病毒核酸合成而干扰流感病毒诱导宿主细胞凋亡早期事件的机理有所不同[8,9]。左丽等报道黄芪A6组分阻断流感病毒吸附感染宿主细胞的机制与其抑制流感病毒包膜功能、影响病毒对敏感细胞的吸附和穿入密切相关[10],黑色素的作用机理是否与此类似尚需深入研究。值得注意的是,病毒作用细胞后1h与4h加入黑色素组的细胞凋亡指数之间存在显著差异(P<0.05),表明黑色素也可作用于细胞凋亡早期事件而存在多重抑制细胞凋亡发生的机制,这些机制有待于进一步阐明。
, http://www.100md.com
参考文献
[1] 季立才.黑色素.生命的化学,1991,11(1):3~5
[2] Robert V F, John M T. Fungal melanins and their interactions with metal. Enzyme Microb Technol, 1996,19:311~317
[3] Dunford R, Land E J, Rozanowska M et al. Interaction of melanin with carbon and oxygen-centered radicals from methanol and ethanol. Free-radical-Biol-Med,1995,19(6):735~740
[4] Ferrari M, Chiara M and Isetta A M. MTT colorimetric assay for testing macrophage cytotoxic activity. J Immunol Methods, 1990,131:165~172
, http://www.100md.com
[5] 中华人民共和国卫生部药政管理局.中药新药研究指南.1994.203~208
[6] 姜泊.分子生物学常用实验方法.北京:人民军医出版社,1996.176~177
[7] Takizawa T, Matsukawa S, Higuchi Y et al. Induction of programmed cell death by influenza virus infection in tissue culture cells. J Gen Virol, 1993,74:2347~2355
[8] 孙琛.临床用药大全.上海:中国大百科全书出版社上海分社,1995,541
[9] Margarita D G, Carmen R, Mariano E. Activation of the IFN-inducible enzyme RNase L causes apoptosis of animal cells. Virology, 1997,236:354~363
[10] 左丽,陈力,唐晓敏等.黄芪A6组分对流感病毒感染小鼠的防治作用.中国病毒学,1997,12(4):342~345
收稿日期:1998-07-16,修回日期:1998-11-09, 百拇医药
单位:武汉大学生命科学学院,武汉 430072
关键词:黑色素;流感病毒;细胞凋亡
黑色素抑制流感病毒诱导宿主细胞凋亡
摘 要 报道了流感病毒体外诱导狗肾细胞系(MDCK)细胞凋亡的检测结果,对黑色素选择性抑制流感病毒诱导细胞凋亡的可能性进行了探讨,同时与临床上常用的抗病毒药物病毒唑的效果进行比较。结果显示:病毒感染6h后,即可观测到宿主细胞核固缩现象、DNA凝胶电泳出现特征性的梯状图谱,感染12h后,细胞核可见明显的裂解;并且流感病毒株A1/京防86-1诱导细胞凋亡能力强于B沪防/93-1;在20~125μg/mL浓度范围内,黑色素可有效抑制64个血凝单位(HU)的流感病毒感染诱导的细胞凋亡而无细胞毒性作用,其抑制效率类似病毒唑。初步研究结果表明:黑色素抗流感病毒诱导细胞凋亡机理与其阻断病毒吸附侵入宿主细胞有关。
, http://www.100md.com
Studies on Inhibitory Effect of Melanin on the Apoptosis
Induced by Influenza Virus in Host Cells
Hu Guobing Zheng Congyi Qu Shanpu Wei Yangbao
(College of Life Sciences, Wuhan University, Wuhan 430072)
Abstract The apoptosis induced by influenza virus in cultured MDCK cells was reported and the selective inhibitory effect of melamin on the apoptosis induced by influenza virus was investigated. The results showed that the DNA ladder could be first detected at 6 h post-infection (p.i.), accompanied by nuclear condensation and nuclear fragmentation could be easily detected at 12 h p.i. In addition, the apoptosis-induced activity of influenza virus A1/Jingfang 86-1 strain was more potent than that of B/Hufang 93-1 strain (P<0.05). In the range of 20-125 μg/mL, melanin was found to significantly (P<0.001) inhibit apoptosis induced by 64 hemagglutination unit influenza virus infection with a inhibitory rate comparable to that obtained by virazole and showed no cytotoxicity. The inital results suggested that the mechanism of melanin against the apoptosis induced by influenza virus was related to the blockage of viruses' adsorbtion to the host cells.
, 百拇医药
Key words Melanin, Influenza virus, Apoptosis
黑色素是广泛存在生物界中的一类具有多种生物学功能的重要色素,其化学本质为酚类和醌类的衍生物[1]。近年来,有关黑色素功能和应用的研究日益深入[2,3],但关于黑色素抑制病毒诱导细胞凋亡的研究迄今尚未见报道。最近我们发现黑色素具有体外抑制流感病毒诱导MDCK细胞凋亡的作用,这为充分开发利用黑色素资源提供了新的研究思路。
1 材料与方法
1.1 病毒增殖和细胞培养
流感病毒株A1/京防86-1和B/沪防93-1由中国预防医学科学院病毒所提供。将病毒接种于9~11日龄鸡胚尿囊腔,35℃孵育48-72h,收集尿囊液、3000rpm离心15min,取上清进行血凝试验,以血凝滴度大于1∶320的病毒液作实验材料,-70℃贮存。
, http://www.100md.com
MDCK细胞为本实验室保藏的传代细胞系,培养液为DMEM(Gibco公司生产),内含10%小牛血清、100u(μg)/mL的青、链霉素。调细胞浓度为1×105个/mL,接种于内置有一无菌盖玻片的60mm培养皿,4mL/皿,置于37℃、5%CO2培养箱培养。
1.2 黑色素的细胞毒性试验
采用MTT法[4]。取对数生长期的MDCK细胞5×104个/mL,接种于96孔培养板,200μL/孔,设对照组和不同浓度实验组,每组重复3孔,培养24h后加黑色素继续培养48h,然后加四甲基偶氮唑盐(MTT,5mg/mL),20μL/孔,孵育4h后吸去上清,每孔加二甲基亚枫(DMSO)150μL溶解,用MR600型酶标仪在490nm处测OD值。根据文献[5]计算黑色素的无毒界限,即以细胞正常生长组所加黑色素浓度的半数量为其对MDCK细胞的无毒界限。
, 百拇医药
1.3 病毒感染诱导细胞凋亡
将经维持液(血清量为2%,其余与培养液相同)稀释的不同浓度(8、16、32、64、128血凝单位/mL)的流感病毒接种于70%单层的MDCK细胞上,1mL/皿,37℃作用1h后补加维持液,3mL/皿,分别于感染6、12、18、24、30h后取样分析。
1.4 黑色素处理
接种64个血凝单位的流感病毒于MDCK细胞上,37℃分别作用0、1、4h后加入黑色素(Sigma公司产品),终浓度为10、20、40、80、120μg/mL,其中0h组黑色素分两次加入,第一次在作用开始时加入,第二次于作用1h后随维持液加入,前后两次终浓度不变;后两组为补加维持液时一次性加入。同时设黑色素阴性对照组、相应浓度的病毒唑阳性对照组和正常细胞对照组,于感染后12h取样分析。
1.5 Hoechst 33258荧光染色检测
, http://www.100md.com
取贴盖玻片生长的待测细胞,经固定液(甲醇∶冰醋酸=3∶1)固定15min,弃固定液,空气干燥后用0.5μg/mL Hoechst33258染色45min,弃染液,经PBS(pH=7.4)清洗、风干后封片,于Olympus荧光显微镜下观察。每样品随机计数5个视野,以下列公式计算凋亡指数(AI):AI=凋亡细胞/(凋亡细胞数+正常细胞数)。
1.6 DNA提取与电泳分析
参照文献[6]的方法提取待测细胞样品的DNA,2%琼脂糖凝胶电泳(4V/cm)3h,UV灯下观察结果。
1.7 统计学分析
采用成组数据t检验,P<0.05者认为相差显著。
2 结果
2.1 黑色素的细胞毒性浓度范围与无毒界限
, 百拇医药
为了解黑色素对MDCK细胞的毒性,确定黑色素的最佳使用浓度,用MTT法测定了不同浓度的黑色素对MDCK细胞的细胞毒性效应(见表1)。表1的结果表明,加入不同浓度黑色素的各实验组中,250μg/mL黑色素组细胞活性与对照组无显著差异(P>0.05),因而黑色素的无毒界限为125μg/mL。亦即使用125μg/mL以内浓度的黑色素对MDCK细胞均无细胞毒性。
表1 MTT试验结果(
Table 1 Results of MTT colorimetric assay(
, http://www.100md.com
黑色素浓度(μg/mL)
Melanin concentration
OD值(490nm)
OD490nm value
P值
P value
生长抑制率(%)
Inhibitory percentage
500
0.14±0.02
<0.001
, http://www.100md.com
70.2
450
0.15±0.01
<0.001
68.1
400
0.22±0.03
<0.005
53.2
350
0.29±0.04
<0.01
38.3
, 百拇医药
300
0.33±0.04
<0.05
29.8
250
0.38±0.04
>0.05
19.1
200
0.39±0.03
>0.05
17.0
150
, http://www.100md.com
0.41±0.04
>0.05
12.8
100
0.43±0.03
>0.05
8.5
50
0.46±0.03
>0.05
2.1
25
0.46±0.05
, 百拇医药
>0.05
2.1
Control
0.47±0.05
—
—
2.2 流感病毒感染与MDCK细胞凋亡
倒置显微镜下观察发现,相同剂量(64个血凝单位)的A1/京防86-1和B/沪防93-1,感染MDCK细胞6h后均开始产生细胞病变(CPE),感染8h后已有少量细胞病变脱壁。随着培养时间延长,A1/京防86-1组的细胞病变迅速加重,至感染后18h约80%细胞病变脱壁,但此时B/沪防93-1仍有半数细胞贴壁。在病毒感染6h后,荧光染色可观察到病变细胞的核固缩现象,电泳结果显示两组均出现特征性DNA梯状图谱(图1)。至12h病毒感染细胞可见核裂解(图7b)。同时,两种流感病毒诱导MDCK细胞凋亡的凋亡指数与培养时间呈直接的相关性,即随着培养时间延长细胞凋亡指数迅速上升,感染后30h A1/京防86-1组即达最高值(图2)。研究还发现两种病毒诱导细胞的凋亡指数虽呈剂量依赖关系,但在每一剂量点上A1/京防86-1组的凋亡指数均高于B/沪防93-1组(P<0.05)(图3)。以上研究结果提示:对MDCK细胞而言,A1/京防86-1的毒力大于B/沪防93-1。
, 百拇医药
图1 64HU流感病毒感染6h的细胞DNA电泳图谱
Fig.1 Agarose gel electrophoresis of DNA extracted from influenza virus (64HU) infected cells at 6h p.i.
1.PCR markers (SABC); 2.Control;3.Infected with A1/Jingfang 86-1;
4.Infected with B/Hufang 93-1.
图2 64HU的流感病毒诱导MDCK细胞凋亡的动力学特征
, 百拇医药
Fig.2 Kinetics of apoptosis induced by 64Hu influenza virus in MDCK cells
图3 流感病毒感染12h后诱导MDCK细胞凋亡的量效关系
Fig.3 Relationship of dose and effect of apoptosis induced by influenza virus in MDCK cells at 12 h p.i
2.3 黑色素和病毒唑对流感病毒诱导MDCK细胞凋亡的影响
实验结果表明,黑色素和病毒唑均可抑制流感病毒诱导MDCK细胞凋亡(图4、5、7)。黑色素对64个血凝单位的A1/京防86-1和B/沪防93-1的有效抑制浓度为20~125μg/mL,40μg/mL的黑色素基本上可抑制宿主细胞凋亡发生,其抑制效率类似病毒唑,但病毒唑对B/沪防93-1抑制作用相对较弱(图6)。不同时间加入黑色素对流感病毒诱导MDCK细胞凋亡的影响结果表明,于病毒作用细胞0h时加入黑色素可显著(P<0.001)抑制A1/京防86-1和B/沪防93-1诱导的细胞凋亡,于作用1h时或更晚加入黑色素,则较少或不能抑制流感病毒诱导的细胞凋亡;而当加入病毒唑时,无论0h组或1h组均有显著(P<0.001)的抑制效果(见表2)。以上结果提示:黑色素的抑制作用主要发生在病毒吸附侵入环节,病毒唑的抑制作用则发生在细胞凋亡早期。
, 百拇医药
表2 不同时间加入的黑色素(40μg/mL)和病毒唑(40μg/mL)
对64HU的流感病毒感染12h后诱导MDCK细胞凋亡的影响(x±s,n=5)
Table 2 Effect of melanin (40μg/mL) and virazole (40μg/mL) added at various time
on the apoptosis induced by 64HU influenza virus in MDCK cells at 12h p.i.
组 别
Groups
黑色素 Melanin
病毒唑 Virazole
, 百拇医药
A1/京防86-1
A1/Jingfang86-1
B/沪防93-1
B/Hufang93-1
A1/京防86-1
A1/Jingfang86-1
B/沪防93-1
B/Hufang93-1
凋亡指数(%)
A1(%)
抑制率(%)
, http://www.100md.com Inhibitory
rate(%)
凋亡指数(%)
A1(%)
抑制率(%)
Inhibitory
rate(%)
凋亡指数(%)
A1(%)
抑制率(%)
Inhibitory
rate(%)
, http://www.100md.com
凋亡指数(%)
A1(%)
抑制率(%)
Inhibitory
rate(%)
0h
4.10±0.36***
90.3
3.72±0.44***
86.8
2.86±0.82***
, 百拇医药
93.8
4.66±1.15***
82.9
1h
26.85±4.22**#
24.5
18.46±3.18*#
25.6
4.27±1.02***
89.8
4.90±1.24***
, 百拇医药
81.9
4h
34.00±4.05
3.8
24.05±2.04
2.3
32.14±6.77
9.2
23.92±2.04
2.9
病毒感染对照
Infected group
, 百拇医药
35.33±2.27
-
24.61±3.23
-
35.33±2.27
-
24.61±3.23
-
正常细胞对照
Normal group
0.73±0.05
-
, 百拇医药 0.55±0.06
-
0.73±0.05
-
0.55±0.06
-
Inhibitory rate=[1-(Al of testing group-A1 of normal group)/(A1 of infected group-A1 of normal group)]×100%
*Compared with infected group P<0.05; **Compared with infected group P<0.01; ***Compared with infected group P<0.001; #Compared with 4h group P<0.05.
, 百拇医药
图4 40μg/ml黑色素或病毒唑处理 64HU A1/京防86-1感染12h的细胞DNA电泳图谱
Fig.4 Agarose gel Clectrophoresis of DNA extracted from the cells, which were treated with 40μg/mL melanin or virazole and infected with 64HU A1/Jinglang 86-1 for 12h. 1.infected with A1/Jingfang 86-1;2.PCR markers(SABC);3.Control; 4.Treated wtih melanin and infected with A1/Jingfang 86-1; 5.Treated with virazole and infected with A1/Jingfang 86-1
, 百拇医药
图5 40μg/mL黑色素或病毒唑处理 64HU B/沪防93-1感染12h的细胞DNA电泳图谱
FIg.5 Agarose gel electrophoresis of DNA extracted from the cells, which were treated with 40μg/mL melanin or virazole and infected with 64HU B/Hufang 93-1. 1.PCR markers (SABC);2.Infected with B/Hufang 93-1;3.Control;4.Treated with melanin and infected with B/Hufang 93-1; 5.Treated with virazole and infected with B/Hufang 93-1
, 百拇医药
图6 不同剂量的黑色素和病毒唑对64HU的流感病毒感染12h后诱导MDCK细胞凋亡的影响
Fig.6 Effect of various doses of melanin and virazole on the apoptos is induced
by 64HU influenza virus in MDCK cells at 12 h p.i.
图7 40μg/mL黑色素或病毒唑处理、64HU流感病毒感染12h的细胞核形态变化(细胞经Hoechst33258染色)
Fig.7 Nuclear morphological changes of the cells, which were treated with 40μg/mL melanin or virazole and infected with 64HU influenza virus for 12h (stained with Hoechest33258). a. Control (400×); b.Infected with A1/Jingfang 86-1(200×); c. Treated with melanin and infected with B/Hufang 93-1(200×); d. Treated with virazole and infected with A1/Jingfang 86-1(200×)
, 百拇医药
3 讨论
细胞凋亡(apoptosis)是一种与细胞坏死(necrosis)有本质区别的细胞死亡方式,研究表明它是细胞在生理或病理信号刺激下,启动自身凋亡相关基因而发生的主动“自杀”过程。凋亡细胞由于染色质凝聚而导致核裂解,通过DNA特异性荧光染料Hoechst33258对细胞进行荧光染色,在荧光显微镜下计数多个视野中凋亡细胞核的数量,即可对细胞凋亡程度进行相对量化分析。DNA断裂是凋亡细胞的另一重要特征,细胞凋亡时,其内源性核酸内切酶被激活,并特异地在核小体连接处降解DNA,形成以180~200bp为单位的片段,在DNA电泳图谱上呈现特异性的梯形改变。研究结果表明,使用两种检测技术可使细胞凋亡的分析结果更为客观。
1993年,Takizawa等人[7]首次证明流感病毒感染可诱导宿主细胞凋亡,从而为揭示流感病毒致病机理迈出了重要的一步。本研究结果也表明,流感病毒感染引起的宿主细胞病变死亡是通过诱导细胞凋亡来实现的,并发现A1/京防86-1是比B/沪防93-1更为烈性的毒株(P<0.05),这一体外研究结果与A型和B型流感病毒的流行病学特征相符合。研究还发现20μg/mL的黑色素即可有效抑制64个血凝单位的A1/京防86-1和B/沪防93-1感染诱导的MDCK细胞凋亡,其抑制效率类似临床上常用的抗病毒药物病毒唑,此有效浓度远在无毒界限之下,提示黑色素可作为一种新型抗流感病毒制剂深入研究。初步的研究结果表明,黑色素的抗病毒作用明显与其阻断病毒吸附感染宿主细胞有关,这一点与病毒唑通过抑制病毒核酸合成而干扰流感病毒诱导宿主细胞凋亡早期事件的机理有所不同[8,9]。左丽等报道黄芪A6组分阻断流感病毒吸附感染宿主细胞的机制与其抑制流感病毒包膜功能、影响病毒对敏感细胞的吸附和穿入密切相关[10],黑色素的作用机理是否与此类似尚需深入研究。值得注意的是,病毒作用细胞后1h与4h加入黑色素组的细胞凋亡指数之间存在显著差异(P<0.05),表明黑色素也可作用于细胞凋亡早期事件而存在多重抑制细胞凋亡发生的机制,这些机制有待于进一步阐明。
, http://www.100md.com
参考文献
[1] 季立才.黑色素.生命的化学,1991,11(1):3~5
[2] Robert V F, John M T. Fungal melanins and their interactions with metal. Enzyme Microb Technol, 1996,19:311~317
[3] Dunford R, Land E J, Rozanowska M et al. Interaction of melanin with carbon and oxygen-centered radicals from methanol and ethanol. Free-radical-Biol-Med,1995,19(6):735~740
[4] Ferrari M, Chiara M and Isetta A M. MTT colorimetric assay for testing macrophage cytotoxic activity. J Immunol Methods, 1990,131:165~172
, http://www.100md.com
[5] 中华人民共和国卫生部药政管理局.中药新药研究指南.1994.203~208
[6] 姜泊.分子生物学常用实验方法.北京:人民军医出版社,1996.176~177
[7] Takizawa T, Matsukawa S, Higuchi Y et al. Induction of programmed cell death by influenza virus infection in tissue culture cells. J Gen Virol, 1993,74:2347~2355
[8] 孙琛.临床用药大全.上海:中国大百科全书出版社上海分社,1995,541
[9] Margarita D G, Carmen R, Mariano E. Activation of the IFN-inducible enzyme RNase L causes apoptosis of animal cells. Virology, 1997,236:354~363
[10] 左丽,陈力,唐晓敏等.黄芪A6组分对流感病毒感染小鼠的防治作用.中国病毒学,1997,12(4):342~345
收稿日期:1998-07-16,修回日期:1998-11-09, 百拇医药