眼睑粘蛋白性外分泌癌
作者:翟长斌
单位:
关键词:
眼睑粘蛋白性外分泌癌Mucinous Eccrine Carcinoma of the Eyelid
James R. Boynton,MD; Walter Markowitch, Jr,MD
患者87岁,女性,可见左下睑有一红色肿块,左上睑亦有一较小结节(图1)。5年前她在同一部位上曾切除一个类似的病变,诊断为未分化癌。将上、下睑全厚层切除。冰冻切片检查结果显示所有边缘均有肿瘤组织。2次切除手术清除各边缘。
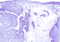
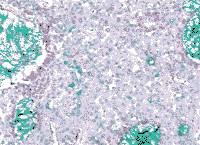
肿瘤是由不同大小的实性或筛状小叶集聚组成,并有丰富的细胞外和细胞内粘蛋白(图2)。另有少量管状结构。肿瘤细胞呈卵圆形、立方形或柱状(图3)。在纤维性基质内有淋巴细胞、浆细胞和少量含铁血黄素。粘蛋白呈过碘酸-Schiff和奥辛绿(alcian green)阳性,而耐淀粉酶(图4)。经免疫过氧化物酶染色,肿瘤细胞对癌胚抗原(CEA)呈强阳性(图5)。
图1 分叶状红色向外生长的肿瘤伴有明显的卫星病变(箭头)
图2 粘蛋白性癌。真皮内有大小不等、不规则形状的小叶,与一片含粘蛋白的肿瘤细胞团相邻(苏木素-伊红染色,原大×40)
图3 粘蛋白性癌。筛状小叶聚集显示在淡染的细胞内及细胞外间隙有粘蛋白(苏木素-伊红染色,原大×400)
图4 粘蛋白性癌。大量的细胞内和细胞外粘蛋白为奥辛绿染色所证实(原大×200)
图5 粘蛋白性癌。癌胚抗原免疫过氧化物酶染色中表明对癌胚胎性抗原有强阳性细胞浆染色,与外分泌性分化一致(原大×100)
评 论 粘蛋白性外分泌癌常保持局限在原部位,具有易复发倾向,但不转移。必须在临床上与转移性生产粘蛋白的腺癌(胶样癌)、特别是乳腺和结肠的腺癌相鉴别,它们可能有相同的组织病理改变。虽然曾有个别病例报告曾证实肿瘤可迅速并侵袭地生长,大多数肿瘤生长缓慢1~3。临床表现不定2,颜色可呈黄褐、蓝、粉红、红棕以及红色。多数病变隆起,被描述为不平、光滑、坚硬、结痂、乳头瘤状、有蒂以及霉菌样生长。但是,也有报告描述为皮下病变3,覆盖其上的皮肤很少或无改变。分开的肿瘤灶3可能表示皮肤转移癌,并非独立的生长中心。
这些肿瘤具有侵犯眼眶的能力以及它们对局部扩散和远处转移的潜势,应行彻底根除术。
参 考 文 献
Arch Ophthalmol 1998;166∶1130-1131
郑邦和 校, 百拇医药
单位:
关键词:
眼睑粘蛋白性外分泌癌Mucinous Eccrine Carcinoma of the Eyelid
James R. Boynton,MD; Walter Markowitch, Jr,MD
患者87岁,女性,可见左下睑有一红色肿块,左上睑亦有一较小结节(图1)。5年前她在同一部位上曾切除一个类似的病变,诊断为未分化癌。将上、下睑全厚层切除。冰冻切片检查结果显示所有边缘均有肿瘤组织。2次切除手术清除各边缘。
肿瘤是由不同大小的实性或筛状小叶集聚组成,并有丰富的细胞外和细胞内粘蛋白(图2)。另有少量管状结构。肿瘤细胞呈卵圆形、立方形或柱状(图3)。在纤维性基质内有淋巴细胞、浆细胞和少量含铁血黄素。粘蛋白呈过碘酸-Schiff和奥辛绿(alcian green)阳性,而耐淀粉酶(图4)。经免疫过氧化物酶染色,肿瘤细胞对癌胚抗原(CEA)呈强阳性(图5)。
图1 分叶状红色向外生长的肿瘤伴有明显的卫星病变(箭头)
图2 粘蛋白性癌。真皮内有大小不等、不规则形状的小叶,与一片含粘蛋白的肿瘤细胞团相邻(苏木素-伊红染色,原大×40)
图3 粘蛋白性癌。筛状小叶聚集显示在淡染的细胞内及细胞外间隙有粘蛋白(苏木素-伊红染色,原大×400)
图4 粘蛋白性癌。大量的细胞内和细胞外粘蛋白为奥辛绿染色所证实(原大×200)
图5 粘蛋白性癌。癌胚抗原免疫过氧化物酶染色中表明对癌胚胎性抗原有强阳性细胞浆染色,与外分泌性分化一致(原大×100)
评 论 粘蛋白性外分泌癌常保持局限在原部位,具有易复发倾向,但不转移。必须在临床上与转移性生产粘蛋白的腺癌(胶样癌)、特别是乳腺和结肠的腺癌相鉴别,它们可能有相同的组织病理改变。虽然曾有个别病例报告曾证实肿瘤可迅速并侵袭地生长,大多数肿瘤生长缓慢1~3。临床表现不定2,颜色可呈黄褐、蓝、粉红、红棕以及红色。多数病变隆起,被描述为不平、光滑、坚硬、结痂、乳头瘤状、有蒂以及霉菌样生长。但是,也有报告描述为皮下病变3,覆盖其上的皮肤很少或无改变。分开的肿瘤灶3可能表示皮肤转移癌,并非独立的生长中心。
这些肿瘤具有侵犯眼眶的能力以及它们对局部扩散和远处转移的潜势,应行彻底根除术。
参 考 文 献
Arch Ophthalmol 1998;166∶1130-1131
郑邦和 校, 百拇医药