表皮下钙化结节
作者:赵素焱
单位:
关键词:
美国医学会眼科杂志中文版990209 Subepidermal Calcified Nodule
Claus Cursiefen,MD; Anselm J
nemann,MD
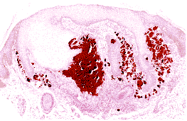
1例7岁女孩为评估其左上睑一个小肿瘤而接受检查(图1),她在7个月前首次发现该肿物,那时因怀疑为潴留性囊肿,由1位眼科医生做过2次肿物穿刺,检查结果揭示为一坚硬的、固定良好的、轻度隆起的黄白色肿物,包括标准的实验室检查和体检、眼科检查及既往史均无异常。进行了肿瘤切除活检,组织病理检查结果揭示为局限于表皮下的钙化位于多层角化鳞状上皮下,伴随棘皮症和角化过度(图2)。Von Kossa钙染色发现该区域为阳性(图3),邻近钙沉着区可见到伴有巨细胞的异物肉芽肿性炎症反应(图4)。钙化块内Fulgen DNA染色和Gram染色结果均为阴性。去年未再复发。
图1 1例7岁女孩,在其左上眼睑可见一坚硬的、固定良好的、轻度隆起的黄白色肿物。她在7个月前首次发现该肿物,因怀疑为潴留性囊肿而由1位眼科医师做过2次肿物穿刺
图2 眼睑表皮下钙化结节。局限于表皮下的钙沉积(星号)伴有棘皮症性增厚和多层鳞状上皮的角化过度(苏木精-伊红染色,原大×50)
图3 Von Kossa钙染色发现表皮下钙化结节为阳性(原大×50)
图4 邻近钙沉着区可见伴有巨细胞(箭头)的异物肉芽肿性炎症反应(星号)(苏木精-伊红染色,原大×160)
讨 论 表皮下钙化结节、尤其是儿童头颈区域者,已为皮科医生所熟知1,在这些区域发生者仅有很少报道,其常为疣状直径3~10mm、黄白色、触之坚硬而无痛性,在眼科文献中可见报道2~4。组织病理学上,在棘皮症厚的上皮下可见钙化块位于表皮下,伴有或不伴有邻近异物肉芽肿性炎症反应。与代谢性和变性性钙质沉着不同的是2~4,这种局限性钙沉着的发病原因和致病机理还不清楚2~4。切除和组织病理学检查为治疗的选择方法。尽管该表皮下钙化结节不常见,但在与眼睑肿瘤的鉴别诊断中仍应考虑到其的存在。
参 考 文 献
Arch Ophthalmol 1998;1254-1255
赵光喜 校, 百拇医药
单位:
关键词:
美国医学会眼科杂志中文版990209 Subepidermal Calcified Nodule
Claus Cursiefen,MD; Anselm J
1例7岁女孩为评估其左上睑一个小肿瘤而接受检查(图1),她在7个月前首次发现该肿物,那时因怀疑为潴留性囊肿,由1位眼科医生做过2次肿物穿刺,检查结果揭示为一坚硬的、固定良好的、轻度隆起的黄白色肿物,包括标准的实验室检查和体检、眼科检查及既往史均无异常。进行了肿瘤切除活检,组织病理检查结果揭示为局限于表皮下的钙化位于多层角化鳞状上皮下,伴随棘皮症和角化过度(图2)。Von Kossa钙染色发现该区域为阳性(图3),邻近钙沉着区可见到伴有巨细胞的异物肉芽肿性炎症反应(图4)。钙化块内Fulgen DNA染色和Gram染色结果均为阴性。去年未再复发。
图1 1例7岁女孩,在其左上眼睑可见一坚硬的、固定良好的、轻度隆起的黄白色肿物。她在7个月前首次发现该肿物,因怀疑为潴留性囊肿而由1位眼科医师做过2次肿物穿刺
图2 眼睑表皮下钙化结节。局限于表皮下的钙沉积(星号)伴有棘皮症性增厚和多层鳞状上皮的角化过度(苏木精-伊红染色,原大×50)
图3 Von Kossa钙染色发现表皮下钙化结节为阳性(原大×50)
图4 邻近钙沉着区可见伴有巨细胞(箭头)的异物肉芽肿性炎症反应(星号)(苏木精-伊红染色,原大×160)
讨 论 表皮下钙化结节、尤其是儿童头颈区域者,已为皮科医生所熟知1,在这些区域发生者仅有很少报道,其常为疣状直径3~10mm、黄白色、触之坚硬而无痛性,在眼科文献中可见报道2~4。组织病理学上,在棘皮症厚的上皮下可见钙化块位于表皮下,伴有或不伴有邻近异物肉芽肿性炎症反应。与代谢性和变性性钙质沉着不同的是2~4,这种局限性钙沉着的发病原因和致病机理还不清楚2~4。切除和组织病理学检查为治疗的选择方法。尽管该表皮下钙化结节不常见,但在与眼睑肿瘤的鉴别诊断中仍应考虑到其的存在。
参 考 文 献
Arch Ophthalmol 1998;1254-1255
赵光喜 校, 百拇医药