腰痛、少尿、进行性肾功能减退
作者:陈惠萍 吴 燕 朱茂艳
单位:南京军区南京总医院 解放军肾脏病研究所(南京,210002)
关键词:栓塞性微血管病;急性肾功能衰竭;肾活检
肾脏病与透析肾移植杂志 CHINESE JOURNAL OF NEPHROLOGY1 病例报告
患者女性,26岁,因腰痛,少尿10天,无尿1天,1998-10-20入院。缘于1998年9月底无明显诱因发热,体温37.5~38℃,伴咳嗽,咳痰,外院予阿莫西林口服,青霉素静滴,口服“退热片”(药名不详),症状无明显改善,10月10日出现腰部疼痛不适,尿量减少(每天约300ml),肾功能急剧减退,血清肌酐最高达948μmol/L,外院曾行血液透析治疗两次。入院前1天无尿。患者发病前4周因“阴道滴虫”曾服当地药店购买治疗滴虫的中成药2周(具体成分不详)。病程中无高血压,无皮疹及关节痛,无腹泻,无口服避孕药及流产病史。
, http://www.100md.com
过去史,个人史,家庭史无特殊。
体格检查:体温36.8℃,脉搏78次/min,呼吸18次/min,血压18/12kPa,一般状况差,发育正常,贫血貌,营养欠佳,自动体位,全身皮肤粘膜无黄染及出血点,浅表淋巴结未触及,眼睑轻度浮肿,咽部充血,双侧扁桃体不肿大,两肺呼吸音粗,未闻及干湿性罗音,心率78次/min,律齐,各瓣膜听诊区未闻及病理性杂音,腹软,无压痛,肝脾肋下未及,腹水征阴性,双下肢无浮肿,病理反射未引出。
实验室检查:
尿检:尿沉渣红细胞计数235万/ml,多形性,尿蛋白3+(尿量少,未作定量检查),尿C3,尿α-2M阴性,尿溶菌酶9.1mg/L,尿嗜酸性细胞计数0,尿NAG酶132.8U/(g.cr)。
血清学检查:Hb7.4g/L,WBC9.1×109/L,N0.86,L0.14,PLT130万/ml,网织红细胞 0.006,A/G25.1/24.6g/L,GPT20U/L,GOT40U/L,CH3.2mmol/L,TG0.91 mmol/L,BUN22.6mmol/L,SCr733μmol/L,电解质正常,IgG9.23g/L,IgA1.80g/L,IgM0.89g/L,自身抗体:ANA(-),抗ds-DNA抗体(-),ANCA,MPO-ANCA(-),抗心肌磷脂抗体阳性(1∶50),乙肝相关抗原及抗体检测均阴性,丙肝抗体检测阴性,外周血涂片未见红细胞碎片。
, 百拇医药
双肾B超:左肾126mm×50mm×50mm,右肾128mm×65mm×70mm,皮质回声增强,皮髓界限不清,集合系统松散,肝胆脾B超正常。全胸片示左侧肋膈角胸膜稍有粘连;眼底检查示:视乳头色潮红,生理凹陷不明显,动脉反光带增宽明显,静脉怒张粗细不均,动静交叉压迫不明显,后极部视网膜水肿,未见出血及渗出。
临床诊断:急性肾功能衰竭
入院后行常规血液透析等对症治疗,为明确急性肾功能衰竭的病因,1998-10-26在B超引导下,行抽吸式经皮肾活组织病理检查。
2 肾活检结果
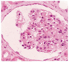
光镜:2条皮髓组织,共25个肾小球,无分叶及硬化,肾小球固有细胞减少或消失,见浸润细胞3~5个/球不等,较多核碎裂(插页图1),袢内充满红细胞,红细胞形态不规则,包囊腔中大量红细胞及不规则小的嗜复红的碎片,袢内血栓形成(插页图2),数个入球动脉大量血栓(插页图3),囊壁增厚。少数肾小球毛细血管袢皱缩,呈缺血状改变,包囊腔相对扩大,囊外纤维化。PASM-Masson:周边袢节段双轨。小管-间质病变严重,小管上皮细胞弥漫性坏死,胞浆脱落,部分管腔内充满红细胞,间质大片出血伴浸润细胞(出现核固缩碎裂),较多嗜酸性细胞(插页图4)。间质动脉坏死,伴血栓形成。
, 百拇医药
免疫荧光检查:IgM+,C3+,Clq+弥漫分布,呈颗粒状分布于系膜区及血管袢;IgG,IgA,C4染色阴性。
电镜:电镜下肾小球内皮细胞与基膜分离,增宽的内皮下间隙中含“蓬松”的物质,见一薄的新形成的“基膜”(插页图5)。
病理诊断:符合栓塞性微血管病—溶血性尿毒症综合征/栓塞性血小板减少性紫癜(HUS/TTP)之改变。
图1 肾小球固有细胞减少或消失,见浸润细胞,较多核碎裂(HE,×400)
, 百拇医药
图2 包囊腔中大量红细胞及不规则小的嗜复红的
碎片,袢内血栓形成(PASM-Masson,×400)
图3 入球动脉血栓(MSB,×400)
图4 间质大片出血伴浸润细胞,较多嗜酸性细胞(HE,×400)
, http://www.100md.com
图5 内皮细胞与基膜分离,内皮下间隙中含"蓬松"的
物质,见一薄的新形成的"基膜"(EM,×9000)
3 讨 论
由于HUS/TTP有共同的临床表现、实验室检查特点(如溶血性贫血、周围血红细胞碎片、栓塞性血小板减少和肾功能损害等)和病理形态学特征(肾小球内皮细胞肿胀、内皮下增宽伴电子透亮的蓬松物质,和稀疏免疫复合物沉积的膜增殖样改变),从病理形态学改变出发,这二类疾病统称为“栓塞性微血管病”(Thrombotic Microangiopathies,TMA),因此,我们将二病一起讨论(恶性高血压和急性硬皮病病理改变也属于TMA范畴,因此有时也不免提及)[1~3]。
3.1 肾脏大体改变 急性期的HUS/TTP患者肾脏肿胀、充血,皮质及包囊下见许多斑点或较大的出血灶,在恶性高血压和急性硬皮病肾脏危象时也可见斑点状出血。出现这种病理改变的机制不明,可能是肾小球毛细血管袢栓塞伴毛细血管丛坏死的后果,也可能是小管中RBC管型或包囊腔RBC堆积的反应。表现为肾皮质坏死的HUS/TTP患者,坏死呈片状分布,致使皮质呈斑点状。急性硬皮病患者皮质见小的楔形梗塞区,未波及肾脏的急性病例肾脏表面通常是光滑的;若以往存在良性高血压则肾脏表面通常为细颗粒状。慢性期肾脏大小正常或略偏小,坏死区域收缩伴/不伴钙化,引起皮质瘢痕和包囊粘连。在皮质坏死“修复”区的边缘常见钙化。慢性肾衰患者,肾脏大体标本与慢性肾小球肾炎晚期或肾硬化相似[2~5]。
, http://www.100md.com
3.2 显微镜改变[3~9]
3.2.1 光镜
(1)肾小球:肾小球病理改变与疾病持续时间及严重程度相关,甚至同一患者邻近的肾小球病变都可以不相同。最特征性的急性病变是肾小球毛细血管袢增厚,内皮细胞肿胀,袢腔狭窄或完全堵塞。由于肾小球毛细血管袢腔完全闭合,使肾小球呈无血样,无血的肾小球在HE染色时最清晰(插页图6)。内皮细胞肿胀在子痫或先兆子痫患者中最具特征性。沿周边毛细血管袢可见插入的系膜基质和(或)系膜细胞,内皮细胞与基膜分离及基膜样物质生成造成毛细血管袢双轨样改变,Masson染色可见袢腔内破碎的RBC及栓子。诊断TMA时栓子并不是必需的,肾小球缺血则是不可缺少的病变。有时肾小球充血伴毛细血管袢极度扩张(肾小球充血—肾小球麻痹与出球动脉梗阻有关)。毛细血管袢坏死并不常见(通常是局灶和节段的),当纤维素沉积在坏死的肾小球节段时,称之谓纤维素样坏死(肾小球袢纤维素样坏死是恶性高血压的特点)。这种病变应与系统性血管炎的局灶坏死性肾小球肾炎相鉴别。HUS患者肾小球坏死通常伴肾皮质坏死(插页图7)。
, 百拇医药
图6 肾小球袢开放不良,囊腔相对扩大(HE,×400)
图7 广泛肾皮质坏死(HE,×200)
PAS及PAM染色最易识别系膜区病变,包括系膜区水肿,基质呈纤维丝样改变,系膜细胞肿胀(数量并不增加)。增生性改变通常是局灶、节段的,受累肾小球的程度也不完全一致。系膜溶解(指系膜基质疏松溶解,由于固定系膜基质处完全/部分溶解,其周边毛细血管袢高度扩张,部分袢产生假血管瘤样改变。有时由于系膜区及毛细血管袢消失,袢腔呈大的血管腔似的囊样改变)致使肾小球结构遭破坏,一般肾小球分叶的轮廓尚可见,但分叶较宽,不易染色,难以鉴别基质,TMA患者最常伴系膜溶解。
偶尔可见小新月体,在硬皮病或恶性高血压的患者中常见球旁器肥大。
, http://www.100md.com
疾病急性期就可见不同程度的肾小球缺血性改变,毛细血管袢塌陷,伴基膜皱缩和增厚,这种病变通常示血管病变严重,先前存在高血压和血管病变的患者,常出现基膜皱缩和增厚。
随疾病进展,缺血的肾小球越来越多,基膜皱缩及增厚明显,并见基膜分裂,包囊腔中可见聚集的胶原,PAS阳性的胶原首先聚于肾小球脐部,最终充满整个包囊腔并挤压球袢,使肾小球进展为完全缺血性废弃,此时肾小球缩小,少细胞,成为PAS/HE阳性的团块。
由于袢存在弥漫双轨,应与MPGN鉴别。TMA时双轨稀少,无明显系膜细胞增生,无内皮下免疫复合物沉积。
(2)血管:急性期小动脉改变轻微,仅见内皮细胞肿胀,内皮下腔隙增宽,病变严重时内皮细胞肿胀及内皮细胞分层引起袢腔狭窄或完全堵塞,水肿增宽的内膜组织常呈粘液状(插页图8),Masson染色时增宽的内膜(甚至在中膜)中可见纤维蛋白。
, http://www.100md.com
图8 血管内膜呈粘液状改变(HE,×400)
TTP患者小动脉纤维蛋白栓子是很常见的,入球动脉的纤维蛋白栓子常向肾小球毛细血管丛延伸,入球动脉最常见假血管瘤样扩张。常伴栓子形成,最终机化形成所谓肾小球样结构。肾小球样结构与扩张的小动脉内皮细胞增生相关,增生的细胞呈中心性排列,类似肾小球,因此称肾小球样改变。在TTP患者中肾小球样结构具有特征性。
纤维素样坏死表现为动脉及小动脉嗜伊红的物质渗入血管壁,纤维蛋白染色阳性(Masson染色深红色,这种病变为血管通透性增加,血浆蛋白非特异性在血管壁滞留引起。纤维素样坏死可以仅累及增厚的内膜,有时也可累及中膜,与血管炎不同的是TMA中纤维素样坏死区不常见炎细胞,但常伴栓塞形成。由于栓塞物质常与血管壁结合,因此很难与小动脉壁纤维素样坏死和腔内的栓子相鉴别。纤维素样坏死并非一定伴细胞坏死。
在HUS/TTP中纤维素样坏死并不常见,即使存在也多在肾小球脐部,肾动脉和小动脉纤维素样坏死是硬皮病和恶性高血压最特征性的病变。当疾病进展,受累的小动脉透明变性,纤维素染色阴性。
, 百拇医药
叶间动脉,偶尔弓状动脉也可受累。若内膜增厚、肿胀伴红细胞浸润,纤维蛋白渗出,则称粘膜内膜增生。内膜呈粘液样改变是由于粘多糖积聚伴结缔组织水肿及细胞增殖,引起内膜增厚(粘液细胞性内膜增厚)。内膜中增殖的细胞产生特征性的超微结构改变—类似平滑肌细胞,因此称之肌内膜细胞。肌内膜细胞常以中心性同心园样排列,其中混有结缔组织碎片,有时也称这种病变为洋葱皮样动脉改变。粘液样内膜细胞肥厚是TMA特征性病变。在硬皮病中叶间动脉粘液样内膜肥厚与小动脉纤维素样坏死一样是主要的病变。内弹力层重建也可伴粘液样细胞肥厚(发生恶性高血压前已存在长时间的高血压者尤其明显)。偶尔由于栓塞,狭窄的管腔完全闭锁。疾病晚期,早期的动脉病变被内膜纤维化所取代(纤维性的内膜增生),内膜纤维化为苍白的结缔组织构成,其染色具有胶原特征,有时也可由一束弹力层所取代,血管管腔狭窄。内膜炎症性纤维化通常为小动脉的慢性改变。
(3)小管和间质:小管病变继肾小球和血管病变后发生,病变范围广,性质多样,从轻度小管上皮细胞变性直到由于梗塞所致的片状坏死,最终,坏死区域纤维化。急性期间质水肿,炎细胞浸润。
, 百拇医药
3.2.2 超微结构改变[3~9] 超微结构改变与光镜病变相一致。肾小球毛细血管袢内皮下腔隙增宽及内皮细胞肿胀,致使毛细血管壁增厚,这些改变引起袢腔完全阻塞(缺血性肾小球),内皮细胞肿胀伴胞浆内质网增加。在先兆子痫或子痫引起的TMA中,肿胀的内皮细胞极富特征性。内皮下腔隙淡染,结构松散,由电子透亮的“蓬松的”物质组成,这些物质通常是颗粒状的,偶尔纤维状的(但无胶原纤维的周期性)。常可见脂质、红细胞、血小板碎片及无细胞成分的蓬松物,可能是血管内凝血崩解的物质或插入毛细血管袢的细胞碎片(它们可由局部产生或循环中沉积的纤维连接蛋白组成)。
与肾小球毛细血管袢栓塞不同的是,电镜所见的内皮下“蓬松”物质在TMA中并非一定存在,一些临床及实验室检查证实HUS的患者并无这种超微结构改变。肿胀的内皮细胞与基膜分离是内皮细胞损伤的早期信号,内皮细胞与基膜分离常形成一薄的新的肾小球基膜(在PAS,PAM染色时出现双轨)。
肾小球及动脉、小动脉形态学改变范围很广,从轻度的细胞肿胀、变性直到坏死,一些肾小球内皮细胞完全剥脱,在SLE及HIV的患者中,内皮细胞可见管状的包涵体,有时硬皮病患者中也可见。肾小球毛细血管袢动脉、小动脉的栓子由纤维蛋白、血小板及红细胞组成,电镜下为无定形、嗜饿的物质。
, 百拇医药
系膜区增宽,基质增多,常可见类似内皮下腔隙中细颗粒或纤维状的物质,一般无系膜细胞和基质插入,偶尔系膜基质中可见红细胞和纤维蛋白束。TMA患者肾小球中罕见电子致密物沉积(SLE患者除外),甚至在免疫荧光染色阳性患者中也如此。
动脉和小动脉的内皮细胞肿胀、变性,并与内膜分离,增宽的内膜透亮区也可见一些蓬松的组织并混有束状的或细颗粒状的电子致密物。偶尔,在增厚的内膜中可见纤维蛋白。增殖的内皮细胞出现类似平滑肌细胞的超微结构改变即肌内膜细胞。平滑肌样的超微结构改变包括形成基底层,胞浆肌丝和伴肌丝的纺锤形的致密小体。肌内膜细胞的轮廓通常是伸长和狭窄的,不规则伸长的胞浆中有许多细胞器(尤其是粗面内质网)。肌内膜细胞间,许多细胞内腔隙被中等电子密度的无周期的呈平行的层状排列的纤维丝状束所占据。疾病晚期,增厚的内膜含许多束状胶原,也可见重建的弹力膜(纤维状的弹力层增厚)。
3.2.3 免疫荧光 肾小球:动脉及小动脉均可见免疫荧光染色阳性。沿肾小球毛细血管袢和系膜区分布的纤维蛋白原/纤维蛋白呈颗粒状沉积,偶尔IgM、C3、Clq沿毛细血管袢分布。尽管肾小球免疫荧光阳性,但这并不是免疫复合物介导本病的证据。如果免疫荧光染色提示本病为免疫复合物肾炎,则电镜也可见致密物沉积。动脉和小动脉壁纤维蛋白原/纤维蛋白染色阳性。血管IgM、C3沉积往往是非特异性的。肾小球及动脉、小动脉栓子纤维蛋白/纤维蛋白原染色阳性。
, http://www.100md.com
3.3 形态学改变在判断预后中的价值[10] Habib等按照主要的形态学改变特点将HUS分为三种类型以判断预后①皮质坏死;②主要是肾小球受累;③主要是动脉受累。皮质坏死可以是片状的,限于小球和小管周,病变也可弥漫分布,累及整个包膜下皮质区。然而肾活检标本并不能推算病变的程度。在非梗塞部分的皮质中总存在肾小球和小动脉病变。婴儿最常见皮质坏死,常伴无尿,血压正常或中等高血压,预后与皮质坏死的程度相关。
以肾小球病变为主的TMA,动脉受累轻度,这类患者急性肾衰发作突然,伴少尿,血压正常或轻度升高,存在少量蛋白尿。疾病的严重程度常与累及肾小球的多少相关。年龄较大的儿童及成人,病程呈进展性,尿量正常,临床表现大量蛋白尿及高血压,大多数患者进展至终末期肾衰。
以动脉受累为主的TMA,小动脉和叶间动脉重度受累,肾小球呈缺血性病变或以肾小球性TMA为特征。此型最常见于较大的儿童,青春期和成人,婴儿少见。临床以高血压和大量蛋白尿为特征,预后不良。Morel-Maroger认为TMA的预后与动脉病变的严重程度相关。
, http://www.100md.com
Thoenes和John对一组HUS和恶性高血压的成人和儿童进行研究,并按形态学改变将它们分为三类:①年轻儿童最常见肾小球病变;②较年长儿童主要以动脉或动脉+肾小球病变为主;③成人最常见动脉病变。他们认为这种形态学分组无预后价值。
总之,肾脏动脉及小动脉病变的严重程度与TMA的预后密切相关。由于肾活检取材受限,对预测预后的敏感性较差,特别是病程早期价值更局限。
3.4 形态学诊断 具备典型形态学改变者的诊断并不困难(附表),但活检标本中不一定具备表中的所有病变,如仅存在轻微改变如肾小球内皮细胞肿胀和节段性双轨,则TMA极易被忽视。当临床症状、体征、实验室检查均提示TMA,形态学诊断则通常易于确立,然而遗憾的是临床表现经典的“HUS”的儿童罕见活检,相反,活检提示TMA的患者临床症状体征都不典型,因此若出现附表中任何一种形态学改变,都应考虑到TMA的可能,由此可见在无典型表现的患者中,肾活检起到修正或确立诊断的关键性的作用[10]。
, http://www.100md.com
附表 栓塞性微血管病
临床表现/实验室特点
形态学表现
光 镜
电 镜
Coombs阴性的溶血性贫
肾小球
肾小球
血(微血管病)
毛细血管袢
内皮细胞肿胀与基膜分离
外周血涂片碎裂红细胞
, 百拇医药
增厚(内皮细胞肿胀,内皮
内皮下无细胞的蓬松物质聚积
栓塞性血小板减少
下增宽,系膜细胞插入)
系膜细胞和基质插入内皮与基
血清LDH升高
毛细血管袢基膜双轨(无明
膜间
肾功能衰竭
显细胞增生和免疫复合
毛细血管袢栓子(由RBC、血小
, 百拇医药 物沉积的膜增生样改变)
板和纤维蛋白组成)
毛细血管袢腔
系膜溶解
狭窄/闭锁(袢增厚致缺血状)
栓塞
管腔中RBC碎片
系膜区
纤维丝样增宽
系膜溶解(系膜基质溶解伴袢扩张)
动脉和小动脉
动脉和小动脉
, http://www.100md.com
粘液样内膜增厚
内皮细胞肿胀
纤维素样坏死
内皮下增宽的电子透亮区
内皮细胞肿胀
内膜中肌内膜细胞(具平滑
栓塞
细胞结构的细胞)
本质上讲HUS是一临床综合征(大杂烩),病因多种多样,与感染,药物,有毒物质及化学物质等多种因素相关,发病机制包括免疫、局部微血管性溶血及血管内凝血等。
尽管本例临床症状不典型,但形态学改变(光镜)多处符合HUS/TTP样改变,因此诊断可以成立。
, 百拇医药
参考文献
1 Fisher ER,Rodnan GP.Pathologic observations concerning the kidney in progressive systemic sclerosis.Arch Pathol,1958,65:29
2 Heptinstall RH.Hypertension I:essential hypertension.In:Heptinstall RH(ed),Pathology of the Kidney.4th Ed.Little,Brown,Boston:1992.951
3 Vitsky BH,Suzuki Y,Strauss L et al,The hemolytic-uremic syndrome:a study of renal pathologic alterations.Am J Pathol 1969,57:627
, 百拇医药
4 Churg J,Goldstein MH,Bernstein J.Thrombotic microangiopathy.In:Tisher CC,Brenner DM (eds),Renal Pathology with Clinical and Functional Correlations.JB Lippincott,Philadelphia:1992.1154
5 Shigematsu H,Dickman SH,Churg J et al.Mesangial involvement in hemolytic uremic syndrome.A light and electron microscopic study.Am J Pathol,1976,85:349
6 Heptinstall RH.Hemolytic uremic syndrome,thrombotic thrombocytopenic purpura,and systemic sclerosis(systemic scleroderma).In:Heptinstall RH(ed),Pathology of the Kidney.4th Ed.Little,Brown,Boston:1992.1163
, 百拇医药
7 Hughson MD,Nadasdy T,McCarty GA et al.Renal thrombotic microangiopathy in patients with systemic lupus erythematosus and the antiphospholipid syndrome.Am J Kidney Dis,1992,20:150
8 Quereda C,Pascual J,Pardo A et al.Thrombotic microangiopathic nephropathy in scleroderma and lupus anticoagulant.Nephron,1991,59:651
9 John HD,Thoenes W.The glomerular lesions in endotheliotropic hemolytic nephroangiopathy (hemolytic uremic syndrome,malignant nephrosclerosis,post partal renal insufficiency).Pathol Res Pract,1982,173:236
10 Sliva FG,Dagati VD,Nadasdy T.Thrombotic microangiopathies.In:Renal Biopsy interpretation.Churchill Livingstoneinc,London:1996.283
(1999-03-07收稿), 百拇医药
单位:南京军区南京总医院 解放军肾脏病研究所(南京,210002)
关键词:栓塞性微血管病;急性肾功能衰竭;肾活检
肾脏病与透析肾移植杂志 CHINESE JOURNAL OF NEPHROLOGY1 病例报告
患者女性,26岁,因腰痛,少尿10天,无尿1天,1998-10-20入院。缘于1998年9月底无明显诱因发热,体温37.5~38℃,伴咳嗽,咳痰,外院予阿莫西林口服,青霉素静滴,口服“退热片”(药名不详),症状无明显改善,10月10日出现腰部疼痛不适,尿量减少(每天约300ml),肾功能急剧减退,血清肌酐最高达948μmol/L,外院曾行血液透析治疗两次。入院前1天无尿。患者发病前4周因“阴道滴虫”曾服当地药店购买治疗滴虫的中成药2周(具体成分不详)。病程中无高血压,无皮疹及关节痛,无腹泻,无口服避孕药及流产病史。
, http://www.100md.com
过去史,个人史,家庭史无特殊。
体格检查:体温36.8℃,脉搏78次/min,呼吸18次/min,血压18/12kPa,一般状况差,发育正常,贫血貌,营养欠佳,自动体位,全身皮肤粘膜无黄染及出血点,浅表淋巴结未触及,眼睑轻度浮肿,咽部充血,双侧扁桃体不肿大,两肺呼吸音粗,未闻及干湿性罗音,心率78次/min,律齐,各瓣膜听诊区未闻及病理性杂音,腹软,无压痛,肝脾肋下未及,腹水征阴性,双下肢无浮肿,病理反射未引出。
实验室检查:
尿检:尿沉渣红细胞计数235万/ml,多形性,尿蛋白3+(尿量少,未作定量检查),尿C3,尿α-2M阴性,尿溶菌酶9.1mg/L,尿嗜酸性细胞计数0,尿NAG酶132.8U/(g.cr)。
血清学检查:Hb7.4g/L,WBC9.1×109/L,N0.86,L0.14,PLT130万/ml,网织红细胞 0.006,A/G25.1/24.6g/L,GPT20U/L,GOT40U/L,CH3.2mmol/L,TG0.91 mmol/L,BUN22.6mmol/L,SCr733μmol/L,电解质正常,IgG9.23g/L,IgA1.80g/L,IgM0.89g/L,自身抗体:ANA(-),抗ds-DNA抗体(-),ANCA,MPO-ANCA(-),抗心肌磷脂抗体阳性(1∶50),乙肝相关抗原及抗体检测均阴性,丙肝抗体检测阴性,外周血涂片未见红细胞碎片。
, 百拇医药
双肾B超:左肾126mm×50mm×50mm,右肾128mm×65mm×70mm,皮质回声增强,皮髓界限不清,集合系统松散,肝胆脾B超正常。全胸片示左侧肋膈角胸膜稍有粘连;眼底检查示:视乳头色潮红,生理凹陷不明显,动脉反光带增宽明显,静脉怒张粗细不均,动静交叉压迫不明显,后极部视网膜水肿,未见出血及渗出。
临床诊断:急性肾功能衰竭
入院后行常规血液透析等对症治疗,为明确急性肾功能衰竭的病因,1998-10-26在B超引导下,行抽吸式经皮肾活组织病理检查。
2 肾活检结果
光镜:2条皮髓组织,共25个肾小球,无分叶及硬化,肾小球固有细胞减少或消失,见浸润细胞3~5个/球不等,较多核碎裂(插页图1),袢内充满红细胞,红细胞形态不规则,包囊腔中大量红细胞及不规则小的嗜复红的碎片,袢内血栓形成(插页图2),数个入球动脉大量血栓(插页图3),囊壁增厚。少数肾小球毛细血管袢皱缩,呈缺血状改变,包囊腔相对扩大,囊外纤维化。PASM-Masson:周边袢节段双轨。小管-间质病变严重,小管上皮细胞弥漫性坏死,胞浆脱落,部分管腔内充满红细胞,间质大片出血伴浸润细胞(出现核固缩碎裂),较多嗜酸性细胞(插页图4)。间质动脉坏死,伴血栓形成。
, 百拇医药
免疫荧光检查:IgM+,C3+,Clq+弥漫分布,呈颗粒状分布于系膜区及血管袢;IgG,IgA,C4染色阴性。
电镜:电镜下肾小球内皮细胞与基膜分离,增宽的内皮下间隙中含“蓬松”的物质,见一薄的新形成的“基膜”(插页图5)。
病理诊断:符合栓塞性微血管病—溶血性尿毒症综合征/栓塞性血小板减少性紫癜(HUS/TTP)之改变。
图1 肾小球固有细胞减少或消失,见浸润细胞,较多核碎裂(HE,×400)
, 百拇医药
图2 包囊腔中大量红细胞及不规则小的嗜复红的
碎片,袢内血栓形成(PASM-Masson,×400)
图3 入球动脉血栓(MSB,×400)
图4 间质大片出血伴浸润细胞,较多嗜酸性细胞(HE,×400)
, http://www.100md.com
图5 内皮细胞与基膜分离,内皮下间隙中含"蓬松"的
物质,见一薄的新形成的"基膜"(EM,×9000)
3 讨 论
由于HUS/TTP有共同的临床表现、实验室检查特点(如溶血性贫血、周围血红细胞碎片、栓塞性血小板减少和肾功能损害等)和病理形态学特征(肾小球内皮细胞肿胀、内皮下增宽伴电子透亮的蓬松物质,和稀疏免疫复合物沉积的膜增殖样改变),从病理形态学改变出发,这二类疾病统称为“栓塞性微血管病”(Thrombotic Microangiopathies,TMA),因此,我们将二病一起讨论(恶性高血压和急性硬皮病病理改变也属于TMA范畴,因此有时也不免提及)[1~3]。
3.1 肾脏大体改变 急性期的HUS/TTP患者肾脏肿胀、充血,皮质及包囊下见许多斑点或较大的出血灶,在恶性高血压和急性硬皮病肾脏危象时也可见斑点状出血。出现这种病理改变的机制不明,可能是肾小球毛细血管袢栓塞伴毛细血管丛坏死的后果,也可能是小管中RBC管型或包囊腔RBC堆积的反应。表现为肾皮质坏死的HUS/TTP患者,坏死呈片状分布,致使皮质呈斑点状。急性硬皮病患者皮质见小的楔形梗塞区,未波及肾脏的急性病例肾脏表面通常是光滑的;若以往存在良性高血压则肾脏表面通常为细颗粒状。慢性期肾脏大小正常或略偏小,坏死区域收缩伴/不伴钙化,引起皮质瘢痕和包囊粘连。在皮质坏死“修复”区的边缘常见钙化。慢性肾衰患者,肾脏大体标本与慢性肾小球肾炎晚期或肾硬化相似[2~5]。
, http://www.100md.com
3.2 显微镜改变[3~9]
3.2.1 光镜
(1)肾小球:肾小球病理改变与疾病持续时间及严重程度相关,甚至同一患者邻近的肾小球病变都可以不相同。最特征性的急性病变是肾小球毛细血管袢增厚,内皮细胞肿胀,袢腔狭窄或完全堵塞。由于肾小球毛细血管袢腔完全闭合,使肾小球呈无血样,无血的肾小球在HE染色时最清晰(插页图6)。内皮细胞肿胀在子痫或先兆子痫患者中最具特征性。沿周边毛细血管袢可见插入的系膜基质和(或)系膜细胞,内皮细胞与基膜分离及基膜样物质生成造成毛细血管袢双轨样改变,Masson染色可见袢腔内破碎的RBC及栓子。诊断TMA时栓子并不是必需的,肾小球缺血则是不可缺少的病变。有时肾小球充血伴毛细血管袢极度扩张(肾小球充血—肾小球麻痹与出球动脉梗阻有关)。毛细血管袢坏死并不常见(通常是局灶和节段的),当纤维素沉积在坏死的肾小球节段时,称之谓纤维素样坏死(肾小球袢纤维素样坏死是恶性高血压的特点)。这种病变应与系统性血管炎的局灶坏死性肾小球肾炎相鉴别。HUS患者肾小球坏死通常伴肾皮质坏死(插页图7)。
, 百拇医药
图6 肾小球袢开放不良,囊腔相对扩大(HE,×400)
图7 广泛肾皮质坏死(HE,×200)
PAS及PAM染色最易识别系膜区病变,包括系膜区水肿,基质呈纤维丝样改变,系膜细胞肿胀(数量并不增加)。增生性改变通常是局灶、节段的,受累肾小球的程度也不完全一致。系膜溶解(指系膜基质疏松溶解,由于固定系膜基质处完全/部分溶解,其周边毛细血管袢高度扩张,部分袢产生假血管瘤样改变。有时由于系膜区及毛细血管袢消失,袢腔呈大的血管腔似的囊样改变)致使肾小球结构遭破坏,一般肾小球分叶的轮廓尚可见,但分叶较宽,不易染色,难以鉴别基质,TMA患者最常伴系膜溶解。
偶尔可见小新月体,在硬皮病或恶性高血压的患者中常见球旁器肥大。
, http://www.100md.com
疾病急性期就可见不同程度的肾小球缺血性改变,毛细血管袢塌陷,伴基膜皱缩和增厚,这种病变通常示血管病变严重,先前存在高血压和血管病变的患者,常出现基膜皱缩和增厚。
随疾病进展,缺血的肾小球越来越多,基膜皱缩及增厚明显,并见基膜分裂,包囊腔中可见聚集的胶原,PAS阳性的胶原首先聚于肾小球脐部,最终充满整个包囊腔并挤压球袢,使肾小球进展为完全缺血性废弃,此时肾小球缩小,少细胞,成为PAS/HE阳性的团块。
由于袢存在弥漫双轨,应与MPGN鉴别。TMA时双轨稀少,无明显系膜细胞增生,无内皮下免疫复合物沉积。
(2)血管:急性期小动脉改变轻微,仅见内皮细胞肿胀,内皮下腔隙增宽,病变严重时内皮细胞肿胀及内皮细胞分层引起袢腔狭窄或完全堵塞,水肿增宽的内膜组织常呈粘液状(插页图8),Masson染色时增宽的内膜(甚至在中膜)中可见纤维蛋白。
, http://www.100md.com
图8 血管内膜呈粘液状改变(HE,×400)
TTP患者小动脉纤维蛋白栓子是很常见的,入球动脉的纤维蛋白栓子常向肾小球毛细血管丛延伸,入球动脉最常见假血管瘤样扩张。常伴栓子形成,最终机化形成所谓肾小球样结构。肾小球样结构与扩张的小动脉内皮细胞增生相关,增生的细胞呈中心性排列,类似肾小球,因此称肾小球样改变。在TTP患者中肾小球样结构具有特征性。
纤维素样坏死表现为动脉及小动脉嗜伊红的物质渗入血管壁,纤维蛋白染色阳性(Masson染色深红色,这种病变为血管通透性增加,血浆蛋白非特异性在血管壁滞留引起。纤维素样坏死可以仅累及增厚的内膜,有时也可累及中膜,与血管炎不同的是TMA中纤维素样坏死区不常见炎细胞,但常伴栓塞形成。由于栓塞物质常与血管壁结合,因此很难与小动脉壁纤维素样坏死和腔内的栓子相鉴别。纤维素样坏死并非一定伴细胞坏死。
在HUS/TTP中纤维素样坏死并不常见,即使存在也多在肾小球脐部,肾动脉和小动脉纤维素样坏死是硬皮病和恶性高血压最特征性的病变。当疾病进展,受累的小动脉透明变性,纤维素染色阴性。
, 百拇医药
叶间动脉,偶尔弓状动脉也可受累。若内膜增厚、肿胀伴红细胞浸润,纤维蛋白渗出,则称粘膜内膜增生。内膜呈粘液样改变是由于粘多糖积聚伴结缔组织水肿及细胞增殖,引起内膜增厚(粘液细胞性内膜增厚)。内膜中增殖的细胞产生特征性的超微结构改变—类似平滑肌细胞,因此称之肌内膜细胞。肌内膜细胞常以中心性同心园样排列,其中混有结缔组织碎片,有时也称这种病变为洋葱皮样动脉改变。粘液样内膜细胞肥厚是TMA特征性病变。在硬皮病中叶间动脉粘液样内膜肥厚与小动脉纤维素样坏死一样是主要的病变。内弹力层重建也可伴粘液样细胞肥厚(发生恶性高血压前已存在长时间的高血压者尤其明显)。偶尔由于栓塞,狭窄的管腔完全闭锁。疾病晚期,早期的动脉病变被内膜纤维化所取代(纤维性的内膜增生),内膜纤维化为苍白的结缔组织构成,其染色具有胶原特征,有时也可由一束弹力层所取代,血管管腔狭窄。内膜炎症性纤维化通常为小动脉的慢性改变。
(3)小管和间质:小管病变继肾小球和血管病变后发生,病变范围广,性质多样,从轻度小管上皮细胞变性直到由于梗塞所致的片状坏死,最终,坏死区域纤维化。急性期间质水肿,炎细胞浸润。
, 百拇医药
3.2.2 超微结构改变[3~9] 超微结构改变与光镜病变相一致。肾小球毛细血管袢内皮下腔隙增宽及内皮细胞肿胀,致使毛细血管壁增厚,这些改变引起袢腔完全阻塞(缺血性肾小球),内皮细胞肿胀伴胞浆内质网增加。在先兆子痫或子痫引起的TMA中,肿胀的内皮细胞极富特征性。内皮下腔隙淡染,结构松散,由电子透亮的“蓬松的”物质组成,这些物质通常是颗粒状的,偶尔纤维状的(但无胶原纤维的周期性)。常可见脂质、红细胞、血小板碎片及无细胞成分的蓬松物,可能是血管内凝血崩解的物质或插入毛细血管袢的细胞碎片(它们可由局部产生或循环中沉积的纤维连接蛋白组成)。
与肾小球毛细血管袢栓塞不同的是,电镜所见的内皮下“蓬松”物质在TMA中并非一定存在,一些临床及实验室检查证实HUS的患者并无这种超微结构改变。肿胀的内皮细胞与基膜分离是内皮细胞损伤的早期信号,内皮细胞与基膜分离常形成一薄的新的肾小球基膜(在PAS,PAM染色时出现双轨)。
肾小球及动脉、小动脉形态学改变范围很广,从轻度的细胞肿胀、变性直到坏死,一些肾小球内皮细胞完全剥脱,在SLE及HIV的患者中,内皮细胞可见管状的包涵体,有时硬皮病患者中也可见。肾小球毛细血管袢动脉、小动脉的栓子由纤维蛋白、血小板及红细胞组成,电镜下为无定形、嗜饿的物质。
, 百拇医药
系膜区增宽,基质增多,常可见类似内皮下腔隙中细颗粒或纤维状的物质,一般无系膜细胞和基质插入,偶尔系膜基质中可见红细胞和纤维蛋白束。TMA患者肾小球中罕见电子致密物沉积(SLE患者除外),甚至在免疫荧光染色阳性患者中也如此。
动脉和小动脉的内皮细胞肿胀、变性,并与内膜分离,增宽的内膜透亮区也可见一些蓬松的组织并混有束状的或细颗粒状的电子致密物。偶尔,在增厚的内膜中可见纤维蛋白。增殖的内皮细胞出现类似平滑肌细胞的超微结构改变即肌内膜细胞。平滑肌样的超微结构改变包括形成基底层,胞浆肌丝和伴肌丝的纺锤形的致密小体。肌内膜细胞的轮廓通常是伸长和狭窄的,不规则伸长的胞浆中有许多细胞器(尤其是粗面内质网)。肌内膜细胞间,许多细胞内腔隙被中等电子密度的无周期的呈平行的层状排列的纤维丝状束所占据。疾病晚期,增厚的内膜含许多束状胶原,也可见重建的弹力膜(纤维状的弹力层增厚)。
3.2.3 免疫荧光 肾小球:动脉及小动脉均可见免疫荧光染色阳性。沿肾小球毛细血管袢和系膜区分布的纤维蛋白原/纤维蛋白呈颗粒状沉积,偶尔IgM、C3、Clq沿毛细血管袢分布。尽管肾小球免疫荧光阳性,但这并不是免疫复合物介导本病的证据。如果免疫荧光染色提示本病为免疫复合物肾炎,则电镜也可见致密物沉积。动脉和小动脉壁纤维蛋白原/纤维蛋白染色阳性。血管IgM、C3沉积往往是非特异性的。肾小球及动脉、小动脉栓子纤维蛋白/纤维蛋白原染色阳性。
, http://www.100md.com
3.3 形态学改变在判断预后中的价值[10] Habib等按照主要的形态学改变特点将HUS分为三种类型以判断预后①皮质坏死;②主要是肾小球受累;③主要是动脉受累。皮质坏死可以是片状的,限于小球和小管周,病变也可弥漫分布,累及整个包膜下皮质区。然而肾活检标本并不能推算病变的程度。在非梗塞部分的皮质中总存在肾小球和小动脉病变。婴儿最常见皮质坏死,常伴无尿,血压正常或中等高血压,预后与皮质坏死的程度相关。
以肾小球病变为主的TMA,动脉受累轻度,这类患者急性肾衰发作突然,伴少尿,血压正常或轻度升高,存在少量蛋白尿。疾病的严重程度常与累及肾小球的多少相关。年龄较大的儿童及成人,病程呈进展性,尿量正常,临床表现大量蛋白尿及高血压,大多数患者进展至终末期肾衰。
以动脉受累为主的TMA,小动脉和叶间动脉重度受累,肾小球呈缺血性病变或以肾小球性TMA为特征。此型最常见于较大的儿童,青春期和成人,婴儿少见。临床以高血压和大量蛋白尿为特征,预后不良。Morel-Maroger认为TMA的预后与动脉病变的严重程度相关。
, http://www.100md.com
Thoenes和John对一组HUS和恶性高血压的成人和儿童进行研究,并按形态学改变将它们分为三类:①年轻儿童最常见肾小球病变;②较年长儿童主要以动脉或动脉+肾小球病变为主;③成人最常见动脉病变。他们认为这种形态学分组无预后价值。
总之,肾脏动脉及小动脉病变的严重程度与TMA的预后密切相关。由于肾活检取材受限,对预测预后的敏感性较差,特别是病程早期价值更局限。
3.4 形态学诊断 具备典型形态学改变者的诊断并不困难(附表),但活检标本中不一定具备表中的所有病变,如仅存在轻微改变如肾小球内皮细胞肿胀和节段性双轨,则TMA极易被忽视。当临床症状、体征、实验室检查均提示TMA,形态学诊断则通常易于确立,然而遗憾的是临床表现经典的“HUS”的儿童罕见活检,相反,活检提示TMA的患者临床症状体征都不典型,因此若出现附表中任何一种形态学改变,都应考虑到TMA的可能,由此可见在无典型表现的患者中,肾活检起到修正或确立诊断的关键性的作用[10]。
, http://www.100md.com
附表 栓塞性微血管病
临床表现/实验室特点
形态学表现
光 镜
电 镜
Coombs阴性的溶血性贫
肾小球
肾小球
血(微血管病)
毛细血管袢
内皮细胞肿胀与基膜分离
外周血涂片碎裂红细胞
, 百拇医药
增厚(内皮细胞肿胀,内皮
内皮下无细胞的蓬松物质聚积
栓塞性血小板减少
下增宽,系膜细胞插入)
系膜细胞和基质插入内皮与基
血清LDH升高
毛细血管袢基膜双轨(无明
膜间
肾功能衰竭
显细胞增生和免疫复合
毛细血管袢栓子(由RBC、血小
, 百拇医药 物沉积的膜增生样改变)
板和纤维蛋白组成)
毛细血管袢腔
系膜溶解
狭窄/闭锁(袢增厚致缺血状)
栓塞
管腔中RBC碎片
系膜区
纤维丝样增宽
系膜溶解(系膜基质溶解伴袢扩张)
动脉和小动脉
动脉和小动脉
, http://www.100md.com
粘液样内膜增厚
内皮细胞肿胀
纤维素样坏死
内皮下增宽的电子透亮区
内皮细胞肿胀
内膜中肌内膜细胞(具平滑
栓塞
细胞结构的细胞)
本质上讲HUS是一临床综合征(大杂烩),病因多种多样,与感染,药物,有毒物质及化学物质等多种因素相关,发病机制包括免疫、局部微血管性溶血及血管内凝血等。
尽管本例临床症状不典型,但形态学改变(光镜)多处符合HUS/TTP样改变,因此诊断可以成立。
, 百拇医药
参考文献
1 Fisher ER,Rodnan GP.Pathologic observations concerning the kidney in progressive systemic sclerosis.Arch Pathol,1958,65:29
2 Heptinstall RH.Hypertension I:essential hypertension.In:Heptinstall RH(ed),Pathology of the Kidney.4th Ed.Little,Brown,Boston:1992.951
3 Vitsky BH,Suzuki Y,Strauss L et al,The hemolytic-uremic syndrome:a study of renal pathologic alterations.Am J Pathol 1969,57:627
, 百拇医药
4 Churg J,Goldstein MH,Bernstein J.Thrombotic microangiopathy.In:Tisher CC,Brenner DM (eds),Renal Pathology with Clinical and Functional Correlations.JB Lippincott,Philadelphia:1992.1154
5 Shigematsu H,Dickman SH,Churg J et al.Mesangial involvement in hemolytic uremic syndrome.A light and electron microscopic study.Am J Pathol,1976,85:349
6 Heptinstall RH.Hemolytic uremic syndrome,thrombotic thrombocytopenic purpura,and systemic sclerosis(systemic scleroderma).In:Heptinstall RH(ed),Pathology of the Kidney.4th Ed.Little,Brown,Boston:1992.1163
, 百拇医药
7 Hughson MD,Nadasdy T,McCarty GA et al.Renal thrombotic microangiopathy in patients with systemic lupus erythematosus and the antiphospholipid syndrome.Am J Kidney Dis,1992,20:150
8 Quereda C,Pascual J,Pardo A et al.Thrombotic microangiopathic nephropathy in scleroderma and lupus anticoagulant.Nephron,1991,59:651
9 John HD,Thoenes W.The glomerular lesions in endotheliotropic hemolytic nephroangiopathy (hemolytic uremic syndrome,malignant nephrosclerosis,post partal renal insufficiency).Pathol Res Pract,1982,173:236
10 Sliva FG,Dagati VD,Nadasdy T.Thrombotic microangiopathies.In:Renal Biopsy interpretation.Churchill Livingstoneinc,London:1996.283
(1999-03-07收稿), 百拇医药