肾移植受者并发Kaposi肉瘤的诊治和预防
作者:杨顺良 欧良明 林荣禧
单位:南京军区福州总医院泌尿外科(福州,350025)
关键词:肾移植;Kaposi肉瘤;环孢素A
摘 要 目的 摘 要 目的:探讨同种异体肾移植受者并发Kaposi肉瘤的诊治和预防。 方法:回顾分析我院773例肾移植受者中4例Kaposi肉瘤的诊治经过。 结果:肾移植术后Kaposi肉瘤的发生率为0.52%,占同期所发生的各类恶性肿瘤的36.4%,发生时间分别为术后3、7、14、21个月,首发症状为咽喉痛、咽部异物感伴吞咽困难者2例,双下肢对称性多发紫红色斑丘疹并下肢水肿者2例,均经病理检查确诊。治愈2例。 结论:应提高对肾移植受者并发Kaposi肉瘤的认识,强调尽早行组织学检查,确诊后立即减少或停用免疫抑制剂。
并发于器官移植受者的Kaposi肉瘤较少见[1],我院773例肾移植受者中发生4例(0.52%),本文结合文献探讨其诊治及预防。
, 百拇医药
KAPOSI'S SARCOMA IN RENAL TRANSPLANT RECIPIENTS:THE DIAGNOSIS,TREATMENT AND PREVENTION
Yang Shunliang,Ou Liangmin,Lin Rongxi
Department of Urology,Fuzhou General Hospital,Nanjing Military Command,Fuzhou 350025
OBJECTIVE The purpose of the study was to investigate the clinical manifestation of Kaposi's sarcoma in renal transplant recipients,and discuss the diagnosis,treatment and prevention of transplantation-associated Kaposi's sarcoma.
, 百拇医药
METHODOLOGY A retrospective investigation was made in a group of 773 renal transplant recipients who were all on a triple anti-rejection regime of prednisone,cyclosporin A and azothiaprine.Among them,4 cases of Kaposi's sarcoma were diagnosed pathologically.
RESULTS The incidence of Kaposi's sarcoma in renal transplant recipients was 0.52%.Kaposi's sarcoma accounted for 36.4% of all tumors in this group of patients.The onset of Kaposi's sarcoma in these four patients was in the 3rd,7th,14th,and 21st month after transplantation.The presenting manifestations included pain,sense of foreign body in throat,difficulty in swallowing(in 2 of the four cases);or symmetrical red maculopapule and edema of lower extremity(in the other 2 cases).Two of the four cases were successfully treated.
, 百拇医药
CONCLUSION Kaposi's sarcoma is one of the common tumors in renal transplant recipients.Early pathological diagnosis and reduction of immune suppressive agents are pivotal in the management of these patients.
Key words renal transplantation Kaposi's sarcoma cyclosporin A
1 临床资料
在1979年~1998年7月所行773例同种异体肾移植受者中,发生恶性肿瘤11例,其中Kaposi肉瘤4例(占36.4%)。男女各2例,移植时年龄26~39岁,原发病均为慢性肾炎,术前均行规律性血液透析,曾输血800~2000ml,血型:O型3例,A型1例。首次移植3例,再次移植1例,淋巴细胞毒性试验2%~6%,均为青壮年尸体供肾,术后均接受强的松、硫唑嘌呤、环孢素A三联免疫抑制治疗,1例因术后早期发生抗激素性急性排斥反应而予抗胸腺细胞球蛋白。
, 百拇医药
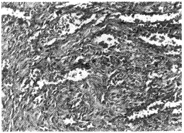
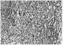
Kaposi肉瘤的发生时间分别为移植术后3、7、14及21个月,平均11.3个月。首发症状2例为咽喉痛、咽部异物感伴吞咽困难;另2例为双下肢多发对称性紫红色斑丘疹并下肢水肿、腹股沟淋巴结肿大。确诊方法:2例经扁桃体切除病理检查确诊(图1,2)另2例经下肢皮疹和淋巴结活检而确诊(图3,4)。血HIV抗体(-),CMV抗体(-)。
确诊后各患者的治疗方法及结果见附表。
附表 4例Kaposi肉瘤患者的治疗与结果
病例
免疫抑制治疗
化 疗
免疫增强剂
结 果
, 百拇医药
1
立即停用
平阳霉素
长春新碱
干扰素、白介素-2、丙球
2个月后肿瘤消失,移植肾失功转血透
2
仅停CsA
未进行
干扰素
3天后死亡
3
CsA减量
, 百拇医药
平阳霉素
长春新碱
干扰素、白介素-2
3个月后肿瘤消失,移植肾功良好
4
未更改
未进行
干扰素
1个月后死亡
图1 扁桃体结构破坏,由血管瘤样结构取代HE×200
, 百拇医药
图2 扁桃体肿瘤 瘤组织由毛细血管腔及间质梭形细胞组成HE×200
图3 皮肤肿瘤 血管瘤样结构伴表皮下少量小圆细胞浸润HE×200
图4 皮肤肿瘤 肿瘤深部见典型Kaposi肉瘤结构HE×200
2 讨 论
Kaposi肉瘤亦称多发性特发性出血性肉瘤,我国极为少见。文献报道器官移植受者Kaposi肉瘤的发病率为0.52%,其中肾移植0.45%,肝脏移植12.4%,心脏移植0.41%[2],Kaposi肉瘤占器官移植受者所并发的恶性肿瘤的4%[3]。本组发生率为0.52%,占同期各类恶性肿瘤的36.4%,与文献相比,Kaposi肉瘤所占比例明显增高。
, 百拇医药
器官移植受者并发Kaposi肉瘤的诱发因素可能有地理因素[4]、基因易感性[4~6]、病毒感染[7,8]和免疫抑制剂[4]等。约30%的艾滋病患者合并Kaposi肉瘤,但本组患者确诊为Kaposi肉瘤后,查CMV抗体、HIV抗体均为阴性。器官移植受者并发Kaposi肉瘤主要与长期使用大剂量免疫抑制剂,免疫监督功能缺陷有关,因为许多病例仅减少或停用免疫抑制剂即可控制病情的发展[2],且有些免疫抑制剂还可能具有激活癌基因作用。环孢素A是新一代强效免疫抑制剂,进入临床使用以后,Penn等[3]发现Kpaosi肉瘤发生率明显增加,提示环孢素A与Kaposi肉瘤的发生可能有关。我院自1985年起使用环孢素A,所发生的Kaposi肉瘤病例均为1994年以后接受肾移植的受者,1985年~1994年间所行452例肾移植受者均未发生,原因尚待探讨。
Kaposi肉瘤是由血管内皮细胞增生分化,或由原始幼稚间叶细胞向血管内皮细胞分化所形成的。不同的细胞分化程度和时期,Kaposi肉瘤的组织学表现亦各有差异,本组4例患者的主要组织学改变为血管样结构和梭形细胞增生,其它有淋巴管扩张,梭形细胞或巨噬细胞内嗜酸性透明小球形成,淋巴细胞、浆细胞和巨噬细胞浸润,红细胞漏出,含铁血黄素沉积。病理上需与草莓状血管瘤、血管肉瘤及恶性淋巴瘤等相鉴别[9]。
, http://www.100md.com
Kaposi肉瘤多在器官移植术后20个月左右发生,男女比例1∶2.3。本组4例患者的发生时间介于肾移植后3~21个月,较文献报道的时间早,且不固定,男女各为2例,O型及首次移植均占3例,均接受三联免疫抑制治疗。Kaposi肉瘤一般呈多中心性起病,往往以皮肤损害为首发症状,可遍布全身,表现为无痛性红褐色斑块或结节[2]。本组2例男性患者即首先表现为双下肢多发对称性紫红色斑丘疹,但2例女性患者则首先出现扁桃体肿大,并咽喉疼痛及咽部异物感、吞咽困难。Kaposi肉瘤可侵犯淋巴结和内脏,本组2例男性患者双腹股沟淋巴结对称性肿大,最大约乒乓球大小,严重影响下肢淋巴回流而致下肢水肿。确诊Kaposi肉瘤的关键在于提高对本病的认识,尽早行组织活检。本组病例均在发病后1周内经组织学检查确诊。由于Kaposi肉瘤病变进展非常迅速,故确诊后还应明确是否侵犯内脏,必要时行肺部X线摄片、胃镜、肠镜和CT等检查,同时,应确定有无人免疫缺陷病毒及巨细胞病毒感染。
与其它类型Kaposi肉瘤的治疗不同,器官移植受者一旦发生Kaposi肉瘤,减少或停用免疫抑制剂是最基本和最有效的治疗措施。免疫抑制剂中以环孢素A最易诱发Kaposi肉瘤[2],故本组2例患者获得治愈的关键是确诊后果断停用环孢素A或将用量减为原剂量的一半。Qunibi等[4]也主张确诊后首先应将免疫抑制剂用量减少50%,若肿瘤缩小,则维持小剂量的免疫抑制剂;若肿瘤继续增大,再予停用免疫抑制剂;若肿瘤无变化,即进一步减量,仍无变化者就应停用免疫抑制剂。值得注意的是,约50%的肾移植受者在治疗Kaposi肉瘤的过程中,发生了不可逆性排斥反应,导致移植肾失功而转入透析[6],故为防止排斥反应的发生,可短时应用激素或环磷酰胺。当Kaposi肉瘤得到控制后,不宜过早恢复常规免疫抑制治疗,以免引起Kaposi肉瘤的复发。
, 百拇医药
对早期小的孤立性皮肤损害灶可行手术切除或局部液氮冷冻,本组2例男性患者由于下肢皮肤损害灶范围广泛,不适合手术切除。皮肤损害对放射治疗较为敏感,可以采用。选用长春新碱、博来霉素、阿霉素等药物进行联合化疗,对大部分非器官移植受者发生Kaposi肉瘤的患者有效,但对肾移植受者来说疗效并不肯定,且副作用较大,宜谨慎进行。免疫增强剂(干扰素、白介素-2等)用于Kaposi肉瘤的治疗还难以确定其疗效,且有可能诱发移植肾排斥反应,因此,不宜作为一线治疗措施。Kaposi肉瘤患者易并发感染,而感染又加重病情,增加治疗难度,本组有1例患者因同时并发肺部感染,导致中毒性休克而死亡。故必须重视感染的防治和支持治疗。
Kaposi肉瘤的完全治愈率仅为24.0%~28.5%[2,3],本组中有2例患者尽管在发病后3天内即获得确诊,但病情发展非常迅速,分别在确诊后3天、1个月死亡。说明做好Kaposi肉瘤的预防对肾移植受者来说很有意义。主要措施有:①加强对供者的检测,防止通过器官移植而感染艾滋病;②开展PRA、HLA基因配型,选择最理想的供者,减少术后发生排斥反应的机会,减少免疫抑制剂用量,避免某些HLA抗原(如DR2、DR5)的慢性刺激[10];③严密监测有无CMV或HHV-8感染,一旦发生应给予彻底的抗病毒治疗;④曾经发生过Kaposi肉瘤的患者,再次移植后肿瘤复发可能性极大,故不宜行二次肾移植。
, 百拇医药
参考文献
1 杨顺良,欧良明,林荣禧等.肾移植受者中发生的恶性肿瘤.中国肿瘤临床,1996,23:556
2 Farge D.Kaposi's sarcoma in organ transplantation recipients.The collaborative transplantation research of the France.Eur J Med,1993,2:339
3 Penn I.The changing pattern of posttransplant malignancies.Transplant Proc,1991,23:1101
4 Qunibi W,Akhtar M,Sheth K et al.Kaposi's sarcoma:the most common tumor after renal transplantation in Saudi Arabia.Am J Med,1988,84:225
, http://www.100md.com
5 Digiovanna JJ,Safal B.Kaposi's sarcoma:retrospective study of 90 cases,ethnic background and prevalence of the doseases.Am J Med,1981,71:779
6 Doutrelepont JM,Pauw LD,Gruber SA et al.Renal transplantation exposes patients with previous Kaposi's sarcoma to a high risk of recurrence.Transplantation,1996,62:463
7 Alkan S,Karcher DS,Ortiz A et al.Human herpesvirus-8 Kaposi's sarcoma-associated herpesvirus in organ transplant patients with immunosuppression.Br J Haematol,1997,96:412
, http://www.100md.com
8 普雄明,石得仁,沈大为.免疫组化在Kaposi肉瘤中的应用.中华皮肤科杂志,1995,28:28
9 杨国亮,王侠生.现代皮肤病学.上海:上海医科大学出版社,1996,P994~995
10 Sungur C,Bozdogan O,Sungur A et al.Lymphadenopathic aggressive Kaposi's sarcoma in a renal transplant recipients with HLA-DR2 and HLA-DR5 antigens.Nephron,1995,69:122
(1999-01-11收稿,1999-02-13修回), http://www.100md.com
单位:南京军区福州总医院泌尿外科(福州,350025)
关键词:肾移植;Kaposi肉瘤;环孢素A
摘 要 目的 摘 要 目的:探讨同种异体肾移植受者并发Kaposi肉瘤的诊治和预防。 方法:回顾分析我院773例肾移植受者中4例Kaposi肉瘤的诊治经过。 结果:肾移植术后Kaposi肉瘤的发生率为0.52%,占同期所发生的各类恶性肿瘤的36.4%,发生时间分别为术后3、7、14、21个月,首发症状为咽喉痛、咽部异物感伴吞咽困难者2例,双下肢对称性多发紫红色斑丘疹并下肢水肿者2例,均经病理检查确诊。治愈2例。 结论:应提高对肾移植受者并发Kaposi肉瘤的认识,强调尽早行组织学检查,确诊后立即减少或停用免疫抑制剂。
并发于器官移植受者的Kaposi肉瘤较少见[1],我院773例肾移植受者中发生4例(0.52%),本文结合文献探讨其诊治及预防。
, 百拇医药
KAPOSI'S SARCOMA IN RENAL TRANSPLANT RECIPIENTS:THE DIAGNOSIS,TREATMENT AND PREVENTION
Yang Shunliang,Ou Liangmin,Lin Rongxi
Department of Urology,Fuzhou General Hospital,Nanjing Military Command,Fuzhou 350025
OBJECTIVE The purpose of the study was to investigate the clinical manifestation of Kaposi's sarcoma in renal transplant recipients,and discuss the diagnosis,treatment and prevention of transplantation-associated Kaposi's sarcoma.
, 百拇医药
METHODOLOGY A retrospective investigation was made in a group of 773 renal transplant recipients who were all on a triple anti-rejection regime of prednisone,cyclosporin A and azothiaprine.Among them,4 cases of Kaposi's sarcoma were diagnosed pathologically.
RESULTS The incidence of Kaposi's sarcoma in renal transplant recipients was 0.52%.Kaposi's sarcoma accounted for 36.4% of all tumors in this group of patients.The onset of Kaposi's sarcoma in these four patients was in the 3rd,7th,14th,and 21st month after transplantation.The presenting manifestations included pain,sense of foreign body in throat,difficulty in swallowing(in 2 of the four cases);or symmetrical red maculopapule and edema of lower extremity(in the other 2 cases).Two of the four cases were successfully treated.
, 百拇医药
CONCLUSION Kaposi's sarcoma is one of the common tumors in renal transplant recipients.Early pathological diagnosis and reduction of immune suppressive agents are pivotal in the management of these patients.
Key words renal transplantation Kaposi's sarcoma cyclosporin A
1 临床资料
在1979年~1998年7月所行773例同种异体肾移植受者中,发生恶性肿瘤11例,其中Kaposi肉瘤4例(占36.4%)。男女各2例,移植时年龄26~39岁,原发病均为慢性肾炎,术前均行规律性血液透析,曾输血800~2000ml,血型:O型3例,A型1例。首次移植3例,再次移植1例,淋巴细胞毒性试验2%~6%,均为青壮年尸体供肾,术后均接受强的松、硫唑嘌呤、环孢素A三联免疫抑制治疗,1例因术后早期发生抗激素性急性排斥反应而予抗胸腺细胞球蛋白。
, 百拇医药
Kaposi肉瘤的发生时间分别为移植术后3、7、14及21个月,平均11.3个月。首发症状2例为咽喉痛、咽部异物感伴吞咽困难;另2例为双下肢多发对称性紫红色斑丘疹并下肢水肿、腹股沟淋巴结肿大。确诊方法:2例经扁桃体切除病理检查确诊(图1,2)另2例经下肢皮疹和淋巴结活检而确诊(图3,4)。血HIV抗体(-),CMV抗体(-)。
确诊后各患者的治疗方法及结果见附表。
附表 4例Kaposi肉瘤患者的治疗与结果
病例
免疫抑制治疗
化 疗
免疫增强剂
结 果
, 百拇医药
1
立即停用
平阳霉素
长春新碱
干扰素、白介素-2、丙球
2个月后肿瘤消失,移植肾失功转血透
2
仅停CsA
未进行
干扰素
3天后死亡
3
CsA减量
, 百拇医药
平阳霉素
长春新碱
干扰素、白介素-2
3个月后肿瘤消失,移植肾功良好
4
未更改
未进行
干扰素
1个月后死亡
图1 扁桃体结构破坏,由血管瘤样结构取代HE×200
, 百拇医药
图2 扁桃体肿瘤 瘤组织由毛细血管腔及间质梭形细胞组成HE×200
图3 皮肤肿瘤 血管瘤样结构伴表皮下少量小圆细胞浸润HE×200
图4 皮肤肿瘤 肿瘤深部见典型Kaposi肉瘤结构HE×200
2 讨 论
Kaposi肉瘤亦称多发性特发性出血性肉瘤,我国极为少见。文献报道器官移植受者Kaposi肉瘤的发病率为0.52%,其中肾移植0.45%,肝脏移植12.4%,心脏移植0.41%[2],Kaposi肉瘤占器官移植受者所并发的恶性肿瘤的4%[3]。本组发生率为0.52%,占同期各类恶性肿瘤的36.4%,与文献相比,Kaposi肉瘤所占比例明显增高。
, 百拇医药
器官移植受者并发Kaposi肉瘤的诱发因素可能有地理因素[4]、基因易感性[4~6]、病毒感染[7,8]和免疫抑制剂[4]等。约30%的艾滋病患者合并Kaposi肉瘤,但本组患者确诊为Kaposi肉瘤后,查CMV抗体、HIV抗体均为阴性。器官移植受者并发Kaposi肉瘤主要与长期使用大剂量免疫抑制剂,免疫监督功能缺陷有关,因为许多病例仅减少或停用免疫抑制剂即可控制病情的发展[2],且有些免疫抑制剂还可能具有激活癌基因作用。环孢素A是新一代强效免疫抑制剂,进入临床使用以后,Penn等[3]发现Kpaosi肉瘤发生率明显增加,提示环孢素A与Kaposi肉瘤的发生可能有关。我院自1985年起使用环孢素A,所发生的Kaposi肉瘤病例均为1994年以后接受肾移植的受者,1985年~1994年间所行452例肾移植受者均未发生,原因尚待探讨。
Kaposi肉瘤是由血管内皮细胞增生分化,或由原始幼稚间叶细胞向血管内皮细胞分化所形成的。不同的细胞分化程度和时期,Kaposi肉瘤的组织学表现亦各有差异,本组4例患者的主要组织学改变为血管样结构和梭形细胞增生,其它有淋巴管扩张,梭形细胞或巨噬细胞内嗜酸性透明小球形成,淋巴细胞、浆细胞和巨噬细胞浸润,红细胞漏出,含铁血黄素沉积。病理上需与草莓状血管瘤、血管肉瘤及恶性淋巴瘤等相鉴别[9]。
, http://www.100md.com
Kaposi肉瘤多在器官移植术后20个月左右发生,男女比例1∶2.3。本组4例患者的发生时间介于肾移植后3~21个月,较文献报道的时间早,且不固定,男女各为2例,O型及首次移植均占3例,均接受三联免疫抑制治疗。Kaposi肉瘤一般呈多中心性起病,往往以皮肤损害为首发症状,可遍布全身,表现为无痛性红褐色斑块或结节[2]。本组2例男性患者即首先表现为双下肢多发对称性紫红色斑丘疹,但2例女性患者则首先出现扁桃体肿大,并咽喉疼痛及咽部异物感、吞咽困难。Kaposi肉瘤可侵犯淋巴结和内脏,本组2例男性患者双腹股沟淋巴结对称性肿大,最大约乒乓球大小,严重影响下肢淋巴回流而致下肢水肿。确诊Kaposi肉瘤的关键在于提高对本病的认识,尽早行组织活检。本组病例均在发病后1周内经组织学检查确诊。由于Kaposi肉瘤病变进展非常迅速,故确诊后还应明确是否侵犯内脏,必要时行肺部X线摄片、胃镜、肠镜和CT等检查,同时,应确定有无人免疫缺陷病毒及巨细胞病毒感染。
与其它类型Kaposi肉瘤的治疗不同,器官移植受者一旦发生Kaposi肉瘤,减少或停用免疫抑制剂是最基本和最有效的治疗措施。免疫抑制剂中以环孢素A最易诱发Kaposi肉瘤[2],故本组2例患者获得治愈的关键是确诊后果断停用环孢素A或将用量减为原剂量的一半。Qunibi等[4]也主张确诊后首先应将免疫抑制剂用量减少50%,若肿瘤缩小,则维持小剂量的免疫抑制剂;若肿瘤继续增大,再予停用免疫抑制剂;若肿瘤无变化,即进一步减量,仍无变化者就应停用免疫抑制剂。值得注意的是,约50%的肾移植受者在治疗Kaposi肉瘤的过程中,发生了不可逆性排斥反应,导致移植肾失功而转入透析[6],故为防止排斥反应的发生,可短时应用激素或环磷酰胺。当Kaposi肉瘤得到控制后,不宜过早恢复常规免疫抑制治疗,以免引起Kaposi肉瘤的复发。
, 百拇医药
对早期小的孤立性皮肤损害灶可行手术切除或局部液氮冷冻,本组2例男性患者由于下肢皮肤损害灶范围广泛,不适合手术切除。皮肤损害对放射治疗较为敏感,可以采用。选用长春新碱、博来霉素、阿霉素等药物进行联合化疗,对大部分非器官移植受者发生Kaposi肉瘤的患者有效,但对肾移植受者来说疗效并不肯定,且副作用较大,宜谨慎进行。免疫增强剂(干扰素、白介素-2等)用于Kaposi肉瘤的治疗还难以确定其疗效,且有可能诱发移植肾排斥反应,因此,不宜作为一线治疗措施。Kaposi肉瘤患者易并发感染,而感染又加重病情,增加治疗难度,本组有1例患者因同时并发肺部感染,导致中毒性休克而死亡。故必须重视感染的防治和支持治疗。
Kaposi肉瘤的完全治愈率仅为24.0%~28.5%[2,3],本组中有2例患者尽管在发病后3天内即获得确诊,但病情发展非常迅速,分别在确诊后3天、1个月死亡。说明做好Kaposi肉瘤的预防对肾移植受者来说很有意义。主要措施有:①加强对供者的检测,防止通过器官移植而感染艾滋病;②开展PRA、HLA基因配型,选择最理想的供者,减少术后发生排斥反应的机会,减少免疫抑制剂用量,避免某些HLA抗原(如DR2、DR5)的慢性刺激[10];③严密监测有无CMV或HHV-8感染,一旦发生应给予彻底的抗病毒治疗;④曾经发生过Kaposi肉瘤的患者,再次移植后肿瘤复发可能性极大,故不宜行二次肾移植。
, 百拇医药
参考文献
1 杨顺良,欧良明,林荣禧等.肾移植受者中发生的恶性肿瘤.中国肿瘤临床,1996,23:556
2 Farge D.Kaposi's sarcoma in organ transplantation recipients.The collaborative transplantation research of the France.Eur J Med,1993,2:339
3 Penn I.The changing pattern of posttransplant malignancies.Transplant Proc,1991,23:1101
4 Qunibi W,Akhtar M,Sheth K et al.Kaposi's sarcoma:the most common tumor after renal transplantation in Saudi Arabia.Am J Med,1988,84:225
, http://www.100md.com
5 Digiovanna JJ,Safal B.Kaposi's sarcoma:retrospective study of 90 cases,ethnic background and prevalence of the doseases.Am J Med,1981,71:779
6 Doutrelepont JM,Pauw LD,Gruber SA et al.Renal transplantation exposes patients with previous Kaposi's sarcoma to a high risk of recurrence.Transplantation,1996,62:463
7 Alkan S,Karcher DS,Ortiz A et al.Human herpesvirus-8 Kaposi's sarcoma-associated herpesvirus in organ transplant patients with immunosuppression.Br J Haematol,1997,96:412
, http://www.100md.com
8 普雄明,石得仁,沈大为.免疫组化在Kaposi肉瘤中的应用.中华皮肤科杂志,1995,28:28
9 杨国亮,王侠生.现代皮肤病学.上海:上海医科大学出版社,1996,P994~995
10 Sungur C,Bozdogan O,Sungur A et al.Lymphadenopathic aggressive Kaposi's sarcoma in a renal transplant recipients with HLA-DR2 and HLA-DR5 antigens.Nephron,1995,69:122
(1999-01-11收稿,1999-02-13修回), http://www.100md.com