GST-π在胃癌中表达的意义
作者:陈林莺 张声 林华 王小亚
单位:陈林莺 张声 林华 王小亚(福州迈新生物技术开发公司,福州 350002)
关键词:胃肿瘤;谷胱甘肽转移酶类;Ki-67;P-糖蛋白;免疫组织化学
临床与实验病理学杂志990312摘要 目的:研究GST-π表达变化与胃癌生物学行为、细胞增殖指数Ki-67和MDR 1编码蛋白P-糖蛋白表达的相关性。方法:对142例手术前未进行化疗的原发性胃癌进行S-P免疫组化染色。结果:发现原发性胃癌GST-π表达率为89.4%,其中肿瘤细胞核内染色为13.4%,核和浆同时染色的为26.8%,完全在浆染色的为49.3%。P-糖蛋白与GST-π共同表达率为54.9%,其中与GST-π浆表达者的共同表达率最高,达32.4%(P<0.05)。GST-π表达方式与胃癌组织分化程度、淋巴结转移、细胞增殖指数(Ki-67定级)及P-糖蛋白表达率成显著的相关性。结论:提示GST-π不仅可作为多药耐药的标志物,还可作为肿瘤分化程度、淋巴结转移及细胞增殖的标志酶。
, http://www.100md.com
分类号 R735.2 文献标识码 A
文章编号 1001-7399(1999)03-0221-03
Significance of expression of GST-π in gastric carcinomas
Chen Linying Zhang Sheng Lin Hua et al
(Dept of Pathol, First Affiliated Hospital of Fujian Medical University, Fuzhou 350005)
ABSTRACT Purpose To study the relationship of the expression of GST-π and the biological behavior、 the expressions of Ki-67 and P-glycoprotein in the primary gastric carcinomas. Methods The expressions of GST-π and Ki-67 and P-glycoprotein in 142 primary gastric carcinomas were investigated using immunohistochemical S-P method. Results The expression of GST-π was found in 89.4% of 142 gastric carcinomas, the positivity rate stained within nucleus was 13.4%, both in the nucleus and cytoplasm 26.8%, all in the cytoplasm 49.3%. The co-expression rate of GST-π and P-glycoprotein was 54.9%, of which GST-π of cytoplasm pattern coexpressed with P-glocoprotein was the highest which reached 32.4%. Significant relationships between GST-π expression pattern and the tumor differentiation, lymph node involvement, the proliferative activity (the index of Ki-67) and the P-glycoprotein expression were found in primary gastric carcinomas. Conclusion GST-π not only is a factor of multidrug resistance, but a marker enzyme of the degree of differentiation lymph-node metastasis and proliferative activity of the neoplasms.
, 百拇医药
KEY WORDS stomach neoplasms; glutathione transferases; Ki-67; P-glycoprotein; immunohistochemistry
作者应用免疫组化方法探讨谷胱甘肽S-转移酶(GST-π)表达与胃癌组织分型、浸润程度和淋巴结转移的关系,同时测定P-糖蛋白和Ki-67染色同GST-π的关系。
1 材料和方法
1.1 材料 材料取自我院1991~1998年间原发性胃癌切除标本148例,所有患者术前未经放疗和化疗。
1.2 方法 新鲜标本常规福尔马林固定,24 h内取材,石蜡包埋,连续5 μm厚切片,HE染色。
GST-π,Ki-67和P-糖蛋白免疫组化染色:本研究采用链霉菌素-生物素(S-P)免疫组化技术,GST-π和Ki-67抗血清购自美国Maxim公司,P-糖蛋白抗血清购自美国Sigma公司,S-P免疫组化试剂盒购自美国Maxim公司,操作按说明书进行。TBS代替第一抗体作阴性对照。
, http://www.100md.com
1.3 阳性细胞分级和统计处理 2名病理医师独立观察切片至少5个具有代表性的高倍视野。
GST-π阳性标准:GST-π基因蛋白染色呈颗粒状以3种方式在胃癌细胞中分布即单独核内染色、核和浆同时染色及浆染色。
P-糖蛋白阳性标准:P-糖蛋白染色呈细小颗粒状分布在胃癌细胞核周区的胞浆内和(或)在管状腺癌近腔面的胞浆和胞膜上,癌的不同分化程度和不同区域其阳性染色呈异质性,在有些区域仅数个肿瘤染色阳性细胞,而在另一些区域阳性细胞呈大片状分布;肿瘤旁正常胃粘膜胃腺底部细胞的阳性颗粒均匀地分布在整个胞浆内。
Ki-67细胞增殖指数(PI)的定级:Ki-67为颗粒型阳性定位于胃癌细胞核,不同分化程度和癌的不同区域,其阳性细胞的数量和分布呈异质性。当阳性核染色<25%时定为Ⅰ级,26%~50%为Ⅱ级,51%~75%为Ⅲ级,>76%为Ⅳ级。
, 百拇医药
1.4 结果的数据统计和分析 采用χ2检验。
2 结果
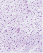
2.1 GST-π表达和胃癌临床病理学特征 142例原发性胃癌标本中,阳性GST-π染色为127例(89.4%),其中核内染色19例(13.4%),核与浆同时染色38例(26.8%),浆内染色70例(49.3%)(图1~3)。GST-π表达变化与胃癌患者的性别、年龄、肿瘤发生部位及浸润程度无关。从表1中可见,随着肿瘤恶性程度的增加,GST-π的表达逐渐从核内表达向胞浆和胞膜表达、阴性表达转移。GST-π表达方式也与胃癌淋巴结转移有关,GST-π核内表达的胃癌患者淋巴结转移率(52.67%)低于核与浆同时表达(84.2%)及浆表达(81.4%)的患者。GST-π表达方式与胃癌组织学分型和淋巴结转移明显相关(Pearson列联系数分别等于0.3756和0.2542,P<0.05)。
, 百拇医药
图1 GST-π在细胞中单独核内表达.×100
图2 GST-π在细胞核及胞浆中同时阳性表达.HE×200
图3 GST-π在细胞浆中呈阳性表达.×200
2.2 Ki-67标记率与GST-π表达方式的关系 GST-π核内表达的胃癌患者Ki-67标记率较低,但随着胃癌患者GST-π核内表达向胞浆及胞膜表达的转移,Ki-67标记率逐渐升高,两者间存在明显的相关性(Pearson列联系数等于0.4217,P<0.05)。
2.3 GST-π表达方式与P-糖蛋白表达变化的关系 随着胃癌患者GST-π从核内表达移向胞浆及胞膜表达,P-糖蛋白的阳性染色率逐渐增加,两者间存在明显的相关性(Pearson列联系数等于0.3026,P<0.05)。P-糖蛋白与GST-π共同表达率为54.9%,其中与核内GST-π表达者为4.9%,与GST-π核和浆同时表达者为17.6%,与浆表达者为32.4%。
, 百拇医药
3 讨论
GSTs是一组与机体解毒作用有关的酶类,能促使细胞毒性药物代谢成无毒性物质而排出细胞外,从而降低抗肿瘤药物对肿瘤细胞的杀伤作用,增加细胞的耐药性,根据其在细胞内定位的不同,一般可分为4种亚型,即GST-α,μ,π,θ〔2〕。本文应用免疫组化方法研究GST-π表达变化在胃癌生物学行为中的作用及其与P-糖蛋白及细胞增殖指数之间的关系。
表1 GST-π表达与原发性胃癌临床病理学特征 项别
核染色n(%)
核浆染色
n(%)
浆染色
n(%)
, 百拇医药
阴性染色
n(%)
P值
性别
M
14
32
47
8
>0.05
F
5
6
23
, 百拇医药
7
年龄(岁)
61.6
±13.4
56.9
±10.0
58.1
±11.1
58.8
±10.0
>0.05
部位
贲门部
, 百拇医药
6
14
21
4
>0.05
胃体
4
3
12
4
胃窦部
6
15
22
, 百拇医药
6
全胃
3
6
13
1
组织类型
管状腺癌
10
6
13
1
<0.05
低分化腺癌
, 百拇医药
5
19
35
7
粘液腺癌
2
7
8
3
未分化癌
2
6
14
4
, 百拇医药
浸润深度
粘膜及粘膜下
2
0
1
2
>0.05
肌层
3
3
5
1
全层
4
, 百拇医药
6
19
1
浆膜外
10
29
45
11
淋巴结转移
-
9
6
13
5
, http://www.100md.com
<0.05
+
10
31
57
10
Ki-67标定级数
Ⅰ级
9
1
6
3
<0.05
, http://www.100md.com Ⅱ级
5
10
30
4
Ⅲ级
5
24
29
6
Ⅳ级
0
3
5
, 百拇医药
2
P-糖蛋白
-
12
13
24
12
<0.05
+
7
25
46
3
消化道肿瘤主要表达GST-π,但其表达方式与胃癌生物学行为、MDR 1基因表达和细胞增殖能力间的关系尚少见报道〔2,3〕。我们发现随着GST-π的表达方式逐渐从核内表达向胞浆、胞膜表达转移,肿瘤的恶性程度、淋巴结转移率、细胞增殖指数和P-糖蛋白的表达率渐次增加,并存在显著的相关性。
, 百拇医药
本研究发现GST-π表达的变化与患者性别、年龄、胃癌发生部位及浸润程度无关。Brotherick〔4〕等在原发性乳腺癌的研究中发现GST-π在进展期乳腺癌或转移性乳腺癌中表达显著升高,Yokoyama〔5〕等也发现GST-π表达与子宫内膜癌淋巴结转移存在显著的相关性。我们应用免疫组化染色在胃癌研究中也有类似结果,我们发现GST-π核内表达的患者其肿瘤恶性程度、淋巴结转移率比核和浆同时表达或浆表达的患者低。研究发现P-糖蛋白与GST-π表达存在显著的相关性〔4〕,我们也发现随着GST-π从核内向胞浆和胞膜表达转移,P-糖蛋白表达率和细胞增殖指数明显升高。
GST-π表达方式与肿瘤分化程度及淋巴结转移的相关性的确切机制尚不清楚。目前知道GST-π组织特异性较强,在胎胃粘膜和胎肝中水平较高〔6〕,当胚胎细胞增生或肿瘤细胞发展时,GST-π表达增加,而当肿瘤恶性程度逐渐增加时,肿瘤细胞结构的改变导致GST-π表达从细胞核内向细胞浆和细胞膜表达转移,这可能与GST-π基因表达的调控有关,在GST-π基因上游存在一个增强子GPE 1,在肿瘤发生过程中GPE 1受ras基因编码的p21ras蛋白的作用,显著地增加GST-π的表达〔7〕。这与我们前已报道对p21ras蛋白在胃癌的表达结果相一致〔8〕,我们发现p21ras蛋白表达变化与胃癌组织分型和淋巴结转移及肿瘤细胞增殖指数显著相关。同时GST-π通过水解GSH与疏水性或亲电子性复合物之间的连接而起细胞内的解毒作用,成为肿瘤多药耐药因素之一。
, 百拇医药
综上所述,GST-π不仅可作为一种多药耐药的标志物,还可以作为肿瘤组织分化、淋巴结转移及细胞增殖研究的标志酶之一。
基金项目:福建省卫生厅科研基金资助项目(No 97109)
作者简介:陈林莺,女,25岁,医师
张 声,男,35岁,硕士,副主任医师,硕士生导师。研究方向:胃癌的浸润与转移
参考文献
1,叶圣华,张 声,林 华. P-糖蛋白在胃癌中的表达意义. 福建医学院学报,1996;30(2):129~132
2,Schipper DI, Wagenmans MJ, Peters WH et al. Glutathione S-transferases in gastric carcinomas and adjacent normal gastric epithelium: immunohistochemical and biochemical analyses. Anticancer Res, 1996;16:(16B):3721~3724
, 百拇医药
3,Schipper DL, Wagenmans MJ, Van Haelst U et al. Immunohistochemical determination of glutathione S-transferases in gastric carcinomas and in adjacent normal gastric epthetium. Anticancer Res,1996;16(2):565~571
4,Brotherick I, Shenton BK, Egan M et al. Examination of multigrug resistance in cell lines and primary breast tumours by flow cytometry. Eur J Cancer,1996;32A(13):2334~2341
5,Yokoyama Y, Maruyama H, Sato S et al. Risk factors predictive of para-aortic lymph node metastasis in endometrial carcinomas. J Obstel Gynaecol Res, 1997;23(2):179~187
, 百拇医药
6,Dulik DM, Fenselau C, Hilton J. Characterization of melphalan-glutathione adducts whose formation is catalyzed by glutathione transferases. Biochem Pharmacol, 1986;35:3405~3409
7,Hays JD, Pulford PJ. The glutathione S-transferase supergene family. Crit Rev Biochem Mol Biol,1995;30(6):445~448
8,张 声,叶圣华,林 华. nm23与p21在胃癌中表达的意义. 癌症,1996;15(1):26~28
收稿日期:1999-03-31, 百拇医药
单位:陈林莺 张声 林华 王小亚(福州迈新生物技术开发公司,福州 350002)
关键词:胃肿瘤;谷胱甘肽转移酶类;Ki-67;P-糖蛋白;免疫组织化学
临床与实验病理学杂志990312摘要 目的:研究GST-π表达变化与胃癌生物学行为、细胞增殖指数Ki-67和MDR 1编码蛋白P-糖蛋白表达的相关性。方法:对142例手术前未进行化疗的原发性胃癌进行S-P免疫组化染色。结果:发现原发性胃癌GST-π表达率为89.4%,其中肿瘤细胞核内染色为13.4%,核和浆同时染色的为26.8%,完全在浆染色的为49.3%。P-糖蛋白与GST-π共同表达率为54.9%,其中与GST-π浆表达者的共同表达率最高,达32.4%(P<0.05)。GST-π表达方式与胃癌组织分化程度、淋巴结转移、细胞增殖指数(Ki-67定级)及P-糖蛋白表达率成显著的相关性。结论:提示GST-π不仅可作为多药耐药的标志物,还可作为肿瘤分化程度、淋巴结转移及细胞增殖的标志酶。
, http://www.100md.com
分类号 R735.2 文献标识码 A
文章编号 1001-7399(1999)03-0221-03
Significance of expression of GST-π in gastric carcinomas
Chen Linying Zhang Sheng Lin Hua et al
(Dept of Pathol, First Affiliated Hospital of Fujian Medical University, Fuzhou 350005)
ABSTRACT Purpose To study the relationship of the expression of GST-π and the biological behavior、 the expressions of Ki-67 and P-glycoprotein in the primary gastric carcinomas. Methods The expressions of GST-π and Ki-67 and P-glycoprotein in 142 primary gastric carcinomas were investigated using immunohistochemical S-P method. Results The expression of GST-π was found in 89.4% of 142 gastric carcinomas, the positivity rate stained within nucleus was 13.4%, both in the nucleus and cytoplasm 26.8%, all in the cytoplasm 49.3%. The co-expression rate of GST-π and P-glycoprotein was 54.9%, of which GST-π of cytoplasm pattern coexpressed with P-glocoprotein was the highest which reached 32.4%. Significant relationships between GST-π expression pattern and the tumor differentiation, lymph node involvement, the proliferative activity (the index of Ki-67) and the P-glycoprotein expression were found in primary gastric carcinomas. Conclusion GST-π not only is a factor of multidrug resistance, but a marker enzyme of the degree of differentiation lymph-node metastasis and proliferative activity of the neoplasms.
, 百拇医药
KEY WORDS stomach neoplasms; glutathione transferases; Ki-67; P-glycoprotein; immunohistochemistry
作者应用免疫组化方法探讨谷胱甘肽S-转移酶(GST-π)表达与胃癌组织分型、浸润程度和淋巴结转移的关系,同时测定P-糖蛋白和Ki-67染色同GST-π的关系。
1 材料和方法
1.1 材料 材料取自我院1991~1998年间原发性胃癌切除标本148例,所有患者术前未经放疗和化疗。
1.2 方法 新鲜标本常规福尔马林固定,24 h内取材,石蜡包埋,连续5 μm厚切片,HE染色。
GST-π,Ki-67和P-糖蛋白免疫组化染色:本研究采用链霉菌素-生物素(S-P)免疫组化技术,GST-π和Ki-67抗血清购自美国Maxim公司,P-糖蛋白抗血清购自美国Sigma公司,S-P免疫组化试剂盒购自美国Maxim公司,操作按说明书进行。TBS代替第一抗体作阴性对照。
, http://www.100md.com
1.3 阳性细胞分级和统计处理 2名病理医师独立观察切片至少5个具有代表性的高倍视野。
GST-π阳性标准:GST-π基因蛋白染色呈颗粒状以3种方式在胃癌细胞中分布即单独核内染色、核和浆同时染色及浆染色。
P-糖蛋白阳性标准:P-糖蛋白染色呈细小颗粒状分布在胃癌细胞核周区的胞浆内和(或)在管状腺癌近腔面的胞浆和胞膜上,癌的不同分化程度和不同区域其阳性染色呈异质性,在有些区域仅数个肿瘤染色阳性细胞,而在另一些区域阳性细胞呈大片状分布;肿瘤旁正常胃粘膜胃腺底部细胞的阳性颗粒均匀地分布在整个胞浆内。
Ki-67细胞增殖指数(PI)的定级:Ki-67为颗粒型阳性定位于胃癌细胞核,不同分化程度和癌的不同区域,其阳性细胞的数量和分布呈异质性。当阳性核染色<25%时定为Ⅰ级,26%~50%为Ⅱ级,51%~75%为Ⅲ级,>76%为Ⅳ级。
, 百拇医药
1.4 结果的数据统计和分析 采用χ2检验。
2 结果
2.1 GST-π表达和胃癌临床病理学特征 142例原发性胃癌标本中,阳性GST-π染色为127例(89.4%),其中核内染色19例(13.4%),核与浆同时染色38例(26.8%),浆内染色70例(49.3%)(图1~3)。GST-π表达变化与胃癌患者的性别、年龄、肿瘤发生部位及浸润程度无关。从表1中可见,随着肿瘤恶性程度的增加,GST-π的表达逐渐从核内表达向胞浆和胞膜表达、阴性表达转移。GST-π表达方式也与胃癌淋巴结转移有关,GST-π核内表达的胃癌患者淋巴结转移率(52.67%)低于核与浆同时表达(84.2%)及浆表达(81.4%)的患者。GST-π表达方式与胃癌组织学分型和淋巴结转移明显相关(Pearson列联系数分别等于0.3756和0.2542,P<0.05)。
, 百拇医药
图1 GST-π在细胞中单独核内表达.×100
图2 GST-π在细胞核及胞浆中同时阳性表达.HE×200
图3 GST-π在细胞浆中呈阳性表达.×200
2.2 Ki-67标记率与GST-π表达方式的关系 GST-π核内表达的胃癌患者Ki-67标记率较低,但随着胃癌患者GST-π核内表达向胞浆及胞膜表达的转移,Ki-67标记率逐渐升高,两者间存在明显的相关性(Pearson列联系数等于0.4217,P<0.05)。
2.3 GST-π表达方式与P-糖蛋白表达变化的关系 随着胃癌患者GST-π从核内表达移向胞浆及胞膜表达,P-糖蛋白的阳性染色率逐渐增加,两者间存在明显的相关性(Pearson列联系数等于0.3026,P<0.05)。P-糖蛋白与GST-π共同表达率为54.9%,其中与核内GST-π表达者为4.9%,与GST-π核和浆同时表达者为17.6%,与浆表达者为32.4%。
, 百拇医药
3 讨论
GSTs是一组与机体解毒作用有关的酶类,能促使细胞毒性药物代谢成无毒性物质而排出细胞外,从而降低抗肿瘤药物对肿瘤细胞的杀伤作用,增加细胞的耐药性,根据其在细胞内定位的不同,一般可分为4种亚型,即GST-α,μ,π,θ〔2〕。本文应用免疫组化方法研究GST-π表达变化在胃癌生物学行为中的作用及其与P-糖蛋白及细胞增殖指数之间的关系。
表1 GST-π表达与原发性胃癌临床病理学特征 项别
核染色n(%)
核浆染色
n(%)
浆染色
n(%)
, 百拇医药
阴性染色
n(%)
P值
性别
M
14
32
47
8
>0.05
F
5
6
23
, 百拇医药
7
年龄(岁)
61.6
±13.4
56.9
±10.0
58.1
±11.1
58.8
±10.0
>0.05
部位
贲门部
, 百拇医药
6
14
21
4
>0.05
胃体
4
3
12
4
胃窦部
6
15
22
, 百拇医药
6
全胃
3
6
13
1
组织类型
管状腺癌
10
6
13
1
<0.05
低分化腺癌
, 百拇医药
5
19
35
7
粘液腺癌
2
7
8
3
未分化癌
2
6
14
4
, 百拇医药
浸润深度
粘膜及粘膜下
2
0
1
2
>0.05
肌层
3
3
5
1
全层
4
, 百拇医药
6
19
1
浆膜外
10
29
45
11
淋巴结转移
-
9
6
13
5
, http://www.100md.com
<0.05
+
10
31
57
10
Ki-67标定级数
Ⅰ级
9
1
6
3
<0.05
, http://www.100md.com Ⅱ级
5
10
30
4
Ⅲ级
5
24
29
6
Ⅳ级
0
3
5
, 百拇医药
2
P-糖蛋白
-
12
13
24
12
<0.05
+
7
25
46
3
消化道肿瘤主要表达GST-π,但其表达方式与胃癌生物学行为、MDR 1基因表达和细胞增殖能力间的关系尚少见报道〔2,3〕。我们发现随着GST-π的表达方式逐渐从核内表达向胞浆、胞膜表达转移,肿瘤的恶性程度、淋巴结转移率、细胞增殖指数和P-糖蛋白的表达率渐次增加,并存在显著的相关性。
, 百拇医药
本研究发现GST-π表达的变化与患者性别、年龄、胃癌发生部位及浸润程度无关。Brotherick〔4〕等在原发性乳腺癌的研究中发现GST-π在进展期乳腺癌或转移性乳腺癌中表达显著升高,Yokoyama〔5〕等也发现GST-π表达与子宫内膜癌淋巴结转移存在显著的相关性。我们应用免疫组化染色在胃癌研究中也有类似结果,我们发现GST-π核内表达的患者其肿瘤恶性程度、淋巴结转移率比核和浆同时表达或浆表达的患者低。研究发现P-糖蛋白与GST-π表达存在显著的相关性〔4〕,我们也发现随着GST-π从核内向胞浆和胞膜表达转移,P-糖蛋白表达率和细胞增殖指数明显升高。
GST-π表达方式与肿瘤分化程度及淋巴结转移的相关性的确切机制尚不清楚。目前知道GST-π组织特异性较强,在胎胃粘膜和胎肝中水平较高〔6〕,当胚胎细胞增生或肿瘤细胞发展时,GST-π表达增加,而当肿瘤恶性程度逐渐增加时,肿瘤细胞结构的改变导致GST-π表达从细胞核内向细胞浆和细胞膜表达转移,这可能与GST-π基因表达的调控有关,在GST-π基因上游存在一个增强子GPE 1,在肿瘤发生过程中GPE 1受ras基因编码的p21ras蛋白的作用,显著地增加GST-π的表达〔7〕。这与我们前已报道对p21ras蛋白在胃癌的表达结果相一致〔8〕,我们发现p21ras蛋白表达变化与胃癌组织分型和淋巴结转移及肿瘤细胞增殖指数显著相关。同时GST-π通过水解GSH与疏水性或亲电子性复合物之间的连接而起细胞内的解毒作用,成为肿瘤多药耐药因素之一。
, 百拇医药
综上所述,GST-π不仅可作为一种多药耐药的标志物,还可以作为肿瘤组织分化、淋巴结转移及细胞增殖研究的标志酶之一。
基金项目:福建省卫生厅科研基金资助项目(No 97109)
作者简介:陈林莺,女,25岁,医师
张 声,男,35岁,硕士,副主任医师,硕士生导师。研究方向:胃癌的浸润与转移
参考文献
1,叶圣华,张 声,林 华. P-糖蛋白在胃癌中的表达意义. 福建医学院学报,1996;30(2):129~132
2,Schipper DI, Wagenmans MJ, Peters WH et al. Glutathione S-transferases in gastric carcinomas and adjacent normal gastric epithelium: immunohistochemical and biochemical analyses. Anticancer Res, 1996;16:(16B):3721~3724
, 百拇医药
3,Schipper DL, Wagenmans MJ, Van Haelst U et al. Immunohistochemical determination of glutathione S-transferases in gastric carcinomas and in adjacent normal gastric epthetium. Anticancer Res,1996;16(2):565~571
4,Brotherick I, Shenton BK, Egan M et al. Examination of multigrug resistance in cell lines and primary breast tumours by flow cytometry. Eur J Cancer,1996;32A(13):2334~2341
5,Yokoyama Y, Maruyama H, Sato S et al. Risk factors predictive of para-aortic lymph node metastasis in endometrial carcinomas. J Obstel Gynaecol Res, 1997;23(2):179~187
, 百拇医药
6,Dulik DM, Fenselau C, Hilton J. Characterization of melphalan-glutathione adducts whose formation is catalyzed by glutathione transferases. Biochem Pharmacol, 1986;35:3405~3409
7,Hays JD, Pulford PJ. The glutathione S-transferase supergene family. Crit Rev Biochem Mol Biol,1995;30(6):445~448
8,张 声,叶圣华,林 华. nm23与p21在胃癌中表达的意义. 癌症,1996;15(1):26~28
收稿日期:1999-03-31, 百拇医药