c-erbB-2、p53、bcl-2和nm23-H1在肺癌中的表达
作者:朱春荣 吴德明 康苏娅
单位:朱春荣(苏州医学院附属第一人民医院肿瘤科);吴德明(苏州医学院病理学教研室 215006);康苏娅(病理科 215006)
关键词:肺肿瘤;基因;Bcl-2;基因;erbB;基因;p53;基因表达;免疫组织化学;预后
临床与实验病理学杂志990310摘要 目的:探讨c-erbB-2、p53、bcl-2和nm23-H1基因在肺癌发生发展过程中的作用。方法:用免疫组化ABC法对原发性肺癌组织中4种基因的表达和突变进行检测。结果:58例肺癌中,31例(53.45%)p53过度表达,18例(31.03%)bcl-2过度表达。c-erbB-2与nm23-H1在10例小细胞肺癌(SCLC)中未见表达。而在48例非小细胞肺癌(NSCLCs)中两者过度表达率均为50%。c-erbB-2与nm23-H1表达呈正相关(P<0.05)。腺癌nm23-H1的表达明显高于鳞癌(P<0.05)。p53、bcl-2蛋白表达在肺癌分化程度中呈负相关(P<0.05)。nm23-H1、p53和bcl-2的表达与患者的生存率有关(P<0.05)。结论:c-erbB-2、p53、bcl-2和nm23-H1基因蛋白产物的检测对肺癌患者的诊治和预后评估有积极意义。
, http://www.100md.com
分类号 R734.2;R392.3 文献标识码 A
文章编号 1001-7399(1999)03-0216-03
Expression of c-erbB-2、p53、bcl-2 and nm23-H1 oncoprotein in human primary lung cancer
1Zhu Chunrong, 2Wu Deming, 3Kang Suya
(Dept of 1Oncol、3Pathol, First Affiliated Hospital of Suzhou Medical College 215006, 2Dept of Pathol, Suzhou Medical College 215006)
, 百拇医药
ABSTRACT Purpose To investigate the effect of c-erbB-2、p53、bcl-2 and nm23-H1 genes in the carcinogenesis and development of lung cancer. Methods The expressions of c-erbB-2, p53, bcl-2 and nm23-H1 oncoprotein in primary lung tumors were studied immunohistochemically. Results Of 58 cases of lung cancer, 31(53.45%) were positive for p53 expression and 18 cases (31.03%) for bcl-2 expression. There were no expression of c-erbB-2 and nm23-H1 oncoprotein in 10 small cell lung carcinoma (SCLC). Of 48 cases of non-small cell lung carcinoma (NSCLCs), 24 (50%) were positive for both c-erbB-2 and nm23-H1. The positive relationship was found between expression of c-erbB-2 and nm23-H1 (P<0.05). The squamous carcinoma was significantly different (P<0.05) from adenocarcinoma in the positivity rate of nm23-H1. There was significant correlation between the expression of p53、bcl-2 and histological grade (P<0.05). Some genes showed coexpression in some of the lung tumors. In a multivariate analysis by Cox regression model, the overexpression of nm23-H1、p53、bcl-2 were independently associated with NSCLCs survival length (P<0.05). Conclusion The detection of c-erbB-2、p53、bcl-2 and nm23-H1 geneproteins has positive effects on diagnosis, prognosis and treatment of lung tumors.
, 百拇医药
KEY WORDS lung neoplasms; genes, bcl-2; genes, erbB; genes, p53; gene expression; immunohistochemistry; prognosis
肿瘤分子生物学研究表明,肿瘤的发生与细胞增殖和分化失常有关。癌基因的激活和抑癌基因的失活是肿瘤发生的重要机制,而细胞凋亡基因在肿瘤的发生上也起重要作用。目前nm23基因被认为是肿瘤转移抑制基因的重要代表,与乳腺癌、肝癌的转移呈明显的负相关,但与肺癌的关系尚不清楚。本文旨在探讨癌基因c-erbB-2、抑癌基因p53、细胞凋亡基因bcl-2及转移抑制基因nm23-H1蛋白在肺癌中的表达及其相互关系,以及在肺癌发生、发展中的作用与意义。
1 材料与方法
1.1 材料 选用苏州医学院附属第一人民医院胸外科1992~1997年间肺癌手术标本临床及随访资料齐备者58例。其中鳞癌25例,腺癌17例,大细胞癌6例,小细胞癌10例。男性44例,女性14例。年龄33~84岁,平均62.5岁。以5例正常肺组织和7例肺炎性假瘤作为对照。标本以10%福尔马林固定,石蜡包埋,肺癌组织学类型按WHO标准分类〔1〕,组织病理学分级按国际抗癌联合会(UICC)标准〔2〕。
, 百拇医药
1.2 免疫组化染色 4 μm厚连续石蜡切片,脱蜡后放入枸橼酸钠缓冲液(10 mmol.L-1,pH 6.0),置微波炉处理(170W加热5 min,nm23-H1标记省此步骤)。第一抗体(均为Dako公司产品)稀释度分别为c-erbB-2(A-485)1∶80,p53(DO-7)1∶50,bcl-2(Clone 124)1∶30,nm23-H1(NM301)1∶100,采用ABC法染色。阴性对照以TBS替代一抗;用已知阳性切片作阳性对照。
1.3 阳性结果判断 p53蛋白的表达以细胞核呈清晰棕色或胞核胞浆同时呈棕色为阳性,bcl-2、nm23-H1蛋白以胞浆、核膜出现棕黄色颗粒为阳性。c-erbB-2则为胞膜着色,单纯胞浆染色者不计入。阳性表达标准参照Barnes等提出的基于3个参数的半定量计数方法,即染色强度,阳性细胞数和两者计分的乘积。A项:光镜下随机观察10个高倍视野,计录1 000个肿瘤细胞内阳性细胞数的百分比,无:计0分,阳性细胞数百分比1~10计1分,11~50计2分,51~80计3分,>80计4分。B项:着色强度:浅黄色计1分、棕黄色计2分、棕褐色计3分;每例肿瘤最后得分为A×B:0分为阴性,1~2分为弱阳性,3~4分为阳性,大于4分为强阳性。大于等于3分为过度表达。
, 百拇医药
1.4 统计学分析 采用χ2检验,u检验及Cox风险比例回归分析。
2 结果
2.1 c-erbB-2、p53、bcl-2和nm23-H1 4种蛋白在肺癌组织中的表达 见表1。
表1 肺癌组织中c-erbB-2、p53、bcl-2和nm23-H1蛋白过度表达 组织类别
n
c-erbB-2
阳性n(%)
p53阳性
n(%)
bcl-2阳性
, 百拇医药
n(%)
nm23-H1
阳性n(%)
鳞癌
25
12(48)
15(60)
9(36)
12(48)
腺癌
17
10(58.8)
8(47.1)
, 百拇医药
2(11.8)
11(64.7)
大细胞癌
6
2(33.3)
2(33.3)
0
1(16.7)
小细胞癌
10
0
6(60)
7(70)
, 百拇医药
0
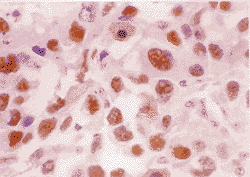
c-erbB-2表达主要位于细胞膜上(图1),部分病例同时见于细胞浆中。10例小细胞肺癌(SCLC)中均无胞膜染色。48例非小细胞肺癌(NSCLC)中有24例(50%)出现过度表达。鳞癌、腺癌、大细胞癌三者相比差异有显著性(P<0.05)。p53阳性细胞阳性颗粒主要位于细胞核(图2),58例肺癌中有31例(53.45%)p53过度表达。bcl-2阳性反应表达为细胞浆、核膜部位呈棕黄色(图3),表达率为31.03%(18/58)。bcl-2过度表达在NSCLC 11/37(29.73%)与SCLC 7/10(70%)中差异有显著性(P<0.05)。nm23-H1阳性颗粒主要位于胞浆中(图4)。48例NSCLC中nm23-H1过度表达为24/48(50%),其中鳞癌nm23-H1过度表达为12/25(48%),腺癌为11/17(64.71%),两者差异有显著性(P<0.05),在SCLC中未见有nm23-H1表达。
, http://www.100md.com
图1 c-erbB-2在肺泡细胞癌细胞膜中呈阳性表达.ABC×200
图2 p53在肺大细胞癌细胞核中呈阳性表达.ABC×200
图3 bcl-2在肺中分化鳞癌胞浆,核膜中呈阳性表达.ABC×100
图4 nm-23-H1在肺中分化腺癌胞浆,核膜中呈阳性表达.ABC×200
2.2 4种蛋白表达与肺癌淋巴结转移及病理分级的关系 见表2。
, http://www.100md.com 表2 肺癌淋巴结转移、病理分级与
c-erbB-2、p53、bcl-2和nm23-H1蛋白表达的关系 病理指标
n
c-erbB-2
阳性n(%)
p53阳性
n(%)
bcl-2
阳性n(%)
nm23-H1
阳性n(%)
淋巴结转移
, 百拇医药
有
26
9(34.6)
12(46.2)
7(26.9)
9(34.6)
无
32
15(46.9)
19(59.4)
11(34.4)
15(46.9)
病理分级*
, 百拇医药
G1
7
5(71.4)
2(28.6)
4(57.1)
3(42.9)
G2
20
11(55)
11(55)
3(15)
11(55)
, 百拇医药
G3
15
6(40)
10(66.7)
4(26.7)
9(60)
*仅限于鳞癌、腺癌p53,bcl-2阳性率与鳞癌、腺癌的病理分级有关(P<0.05)
c-erbB-2、p53、bcl-2和nm23-H1蛋白表达与肺癌淋巴结转移无明显关系(P>0.05),在肺鳞癌、腺癌中,p53过度表达随病理分级升高而增加,bcl-2过度表达则相反,随病理级别升高而降低,两者差异均有显著性(P<0.05)。
, http://www.100md.com 2.3 肺癌中癌基因表达的相关性 在58例肺癌中,c-erbB-2、p53、bcl-2和nm23-H1均有过度表达者2例,有其中3种基因过度表达者8例,两种基因过度表达者27例。两两之间的χ2检验结果显示:c-erbB-2过度表达与nm23-H1过度表达呈正相关(P<0.01),其中两者共同阳性16例,共同阴性26例。NSCLC中主要出现bcl-2-/p53+与bcl-2-/p53-的协同表达,而SCLC中主要出现bcl-2+/p53+的表达,大细胞癌与腺癌中均未见有bcl-2+/p53+的表达(P<0.05)。
2.4 4种蛋白表达与NSCLC患者生存期的关系 48例NSCLC患者中有22例死亡,死亡率45.83%,随访时间最短为5个月,最长为59个月,平均16.5个月,对随访病例进行了4种癌基因产物的Cox比例风险回归分析,其中对延长生存期危害最大的因素是nm23-H1(P<0.01),每增加一个阳性强度,其相对风险度为4.691倍,其次为p53(P<0.05)相对风险度为1.418倍,而bcl-2的过度表达对预后则是一个保护因素(P<0.05),c-erbB-2对生存期无明显影响(P>0.05)。
, 百拇医药
3 讨论
原癌基因c-erbB-2突变后在细胞膜上以凝聚形式存在,增加与细胞转化有关的酪氨酸激酶活性,故免疫组化检测显示强的细胞膜染色。约30%的乳腺癌、卵巢癌,40%以上的非小细胞肺癌、胃癌及前列腺癌中存在该基因的异常表达〔3,4〕。用免疫组化、原位杂交等方法研究表明,c-er
bB-2的过度表达一般多发生在人类的腺癌中〔4〕。而SCLC细胞未发现p185neu过度表达。这可能缘于它们不同的起源,本研究结果与上述情况完全一致。
野生型p53基因能抑制细胞转化,突变型p53基因则促进细胞转化,人类肿瘤中p53基因失活的主要原因为基因缺失和点突变。Greenblatt等报道,在2 567例人类肿瘤中p53基因的突变率为37%。p53在肺癌中的过度表达由于所使用的单抗和组织标本的不同,各家报道并不一致,阳性率可从46%~68%,甚至更高〔5〕。本组结果:p53过度表达31/58(53.45%),与肿瘤的分化程度有关,分化越差,阳性率越高,与国内外报道一致〔6〕。
, 百拇医药
bcl-2的过度表达出现在许多实体肿瘤中,如鼻咽癌、前列腺癌、乳腺癌、非小细胞肺癌等〔6〕。本实验结果:bcl-2过度表达率在NSCLC(29.73%)中远较SCLC(70%)低,这可能与它们不同的生物学属性有关。此外,bcl-2的表达与肺癌的组织分化程度有关,随着分化程度的提高过度表达率增高(P<0.05),这与分化程度低者多伴有坏死等有关。
nm23基因是目前肿瘤转移抑制基因的最佳代表,定位于17号染色体长臂。人类nm23有两个亚型,分别用nm23-H1和nm23-H2表示,两者有88%的同源性,但它们有各自的调节机制。本实验结果表明:nm23-H1过度表达的肺门淋巴结转移率虽低于其阴性者,但无明显相关性。48例NSCLC中nm23-H1过度表达率达50%,鳞癌为48%,低于腺癌64.71%(P<0.05),提示nm23在肺癌表达中存在差异,可能与其结构发生某些改变有关。
目前认为肺肿瘤的发生是正常细胞多重损伤的复杂过程,且往往形成2种或2种以上肿瘤基因激活的结果〔7〕。本组大多数病例有一种以上蛋白表达,含有两种以上蛋白表达病例数占63.79%(37/58)。本研究结果显示,p53与bcl-2蛋白表达在肺癌分化程度中呈负相关。肺癌分化程度越低,p53过度表达率越高,而bcl-2过度表达率越低;肺癌的分化程度越高,p53蛋白过度表达率越低而bcl-2过度表达率越高,说明肺癌细胞凋亡调控是通过p53基因突变而对bcl-2蛋白产生负调节所致。另外c-erbB-2阳性者nm23-H1阳性率较高,与p53的表达无关。以上说明,在肺癌的发生发展中,4种癌基因起着一定的协同作用。
, 百拇医药
随着肿瘤分子生物学的发展,通过检测肿瘤中癌基因的表达来判断预后也逐渐被人们所认识〔5,7〕。本实验结果表明:bcl-2、p53、nm23-H1因素被选入Cox模型,其中bcl-2的表达具有保护作用,与良好预后有关,其余两者与不良预后有关。nm23-H1表达的风险度最大,为4.691。由此可知,nm23-H1的表达对患者的预后起着重要作用,值得进一步探讨。影响肺癌患者预后的因素很多,往往相互关联,4种癌基因间一定的协同作用可能是构成复杂病情的主要原因之一。
作者简介:朱春荣,男,29岁,硕士生。研究方向:肿瘤中西医治疗 吴德明,男,60岁,教授,主任医师,硕士生导师。江苏省病理学会副主任委员。研究方向:肿瘤病理
参考文献
1,Shimosato Y, Sobin LH, Spencer H et al. The World Health Organization histological typing of lung tumors. Am J Clin Pathol,1982;77:123
, 百拇医药
2,Mountain CF. A new international staging system in lung cancer. Chest,1986;89(suppl):225s
3,Tan M, Yao J, Yu D. Overexpression of the c-erbB-2 gene enhanced intrinsic metastasis potential in human breast cancer cells without increasing their transformation abilities. Cancer Res,1997;57(6):1199~1205
4,Diez M, Pollan M, Maestro M et al. Prediction of recurrence by quantification of P185neu protein in non-small-cell lung cancer tissue. Br J Cancer,1997;75(5):684~689
, http://www.100md.com
5,Mitsudomi T, Takahashi T. Genetic abnormalities in lung cancer and their prognostic implications. Gan To Kagaku Ryoho,1996;23(8):990~996
6,Eerola AK, Tormanen U, Rainio P et al. Apoptosis in operated small cel lung carcinoma is inversely related to tumor necrosis and p53 immunoreactivity. J Pathol,1997;181(2):172~177
7,Dosaka-Akita H, Hu SX, Fujino M et al. Altered retinoblastoma protein expression in nonsmall cell lung cancer: its synergistic effects with altered ras and p53 protein status on prognosis. Cancer,1997;79(7):1329~1337
收稿日期:1999-03-24, http://www.100md.com
单位:朱春荣(苏州医学院附属第一人民医院肿瘤科);吴德明(苏州医学院病理学教研室 215006);康苏娅(病理科 215006)
关键词:肺肿瘤;基因;Bcl-2;基因;erbB;基因;p53;基因表达;免疫组织化学;预后
临床与实验病理学杂志990310摘要 目的:探讨c-erbB-2、p53、bcl-2和nm23-H1基因在肺癌发生发展过程中的作用。方法:用免疫组化ABC法对原发性肺癌组织中4种基因的表达和突变进行检测。结果:58例肺癌中,31例(53.45%)p53过度表达,18例(31.03%)bcl-2过度表达。c-erbB-2与nm23-H1在10例小细胞肺癌(SCLC)中未见表达。而在48例非小细胞肺癌(NSCLCs)中两者过度表达率均为50%。c-erbB-2与nm23-H1表达呈正相关(P<0.05)。腺癌nm23-H1的表达明显高于鳞癌(P<0.05)。p53、bcl-2蛋白表达在肺癌分化程度中呈负相关(P<0.05)。nm23-H1、p53和bcl-2的表达与患者的生存率有关(P<0.05)。结论:c-erbB-2、p53、bcl-2和nm23-H1基因蛋白产物的检测对肺癌患者的诊治和预后评估有积极意义。
, http://www.100md.com
分类号 R734.2;R392.3 文献标识码 A
文章编号 1001-7399(1999)03-0216-03
Expression of c-erbB-2、p53、bcl-2 and nm23-H1 oncoprotein in human primary lung cancer
1Zhu Chunrong, 2Wu Deming, 3Kang Suya
(Dept of 1Oncol、3Pathol, First Affiliated Hospital of Suzhou Medical College 215006, 2Dept of Pathol, Suzhou Medical College 215006)
, 百拇医药
ABSTRACT Purpose To investigate the effect of c-erbB-2、p53、bcl-2 and nm23-H1 genes in the carcinogenesis and development of lung cancer. Methods The expressions of c-erbB-2, p53, bcl-2 and nm23-H1 oncoprotein in primary lung tumors were studied immunohistochemically. Results Of 58 cases of lung cancer, 31(53.45%) were positive for p53 expression and 18 cases (31.03%) for bcl-2 expression. There were no expression of c-erbB-2 and nm23-H1 oncoprotein in 10 small cell lung carcinoma (SCLC). Of 48 cases of non-small cell lung carcinoma (NSCLCs), 24 (50%) were positive for both c-erbB-2 and nm23-H1. The positive relationship was found between expression of c-erbB-2 and nm23-H1 (P<0.05). The squamous carcinoma was significantly different (P<0.05) from adenocarcinoma in the positivity rate of nm23-H1. There was significant correlation between the expression of p53、bcl-2 and histological grade (P<0.05). Some genes showed coexpression in some of the lung tumors. In a multivariate analysis by Cox regression model, the overexpression of nm23-H1、p53、bcl-2 were independently associated with NSCLCs survival length (P<0.05). Conclusion The detection of c-erbB-2、p53、bcl-2 and nm23-H1 geneproteins has positive effects on diagnosis, prognosis and treatment of lung tumors.
, 百拇医药
KEY WORDS lung neoplasms; genes, bcl-2; genes, erbB; genes, p53; gene expression; immunohistochemistry; prognosis
肿瘤分子生物学研究表明,肿瘤的发生与细胞增殖和分化失常有关。癌基因的激活和抑癌基因的失活是肿瘤发生的重要机制,而细胞凋亡基因在肿瘤的发生上也起重要作用。目前nm23基因被认为是肿瘤转移抑制基因的重要代表,与乳腺癌、肝癌的转移呈明显的负相关,但与肺癌的关系尚不清楚。本文旨在探讨癌基因c-erbB-2、抑癌基因p53、细胞凋亡基因bcl-2及转移抑制基因nm23-H1蛋白在肺癌中的表达及其相互关系,以及在肺癌发生、发展中的作用与意义。
1 材料与方法
1.1 材料 选用苏州医学院附属第一人民医院胸外科1992~1997年间肺癌手术标本临床及随访资料齐备者58例。其中鳞癌25例,腺癌17例,大细胞癌6例,小细胞癌10例。男性44例,女性14例。年龄33~84岁,平均62.5岁。以5例正常肺组织和7例肺炎性假瘤作为对照。标本以10%福尔马林固定,石蜡包埋,肺癌组织学类型按WHO标准分类〔1〕,组织病理学分级按国际抗癌联合会(UICC)标准〔2〕。
, 百拇医药
1.2 免疫组化染色 4 μm厚连续石蜡切片,脱蜡后放入枸橼酸钠缓冲液(10 mmol.L-1,pH 6.0),置微波炉处理(170W加热5 min,nm23-H1标记省此步骤)。第一抗体(均为Dako公司产品)稀释度分别为c-erbB-2(A-485)1∶80,p53(DO-7)1∶50,bcl-2(Clone 124)1∶30,nm23-H1(NM301)1∶100,采用ABC法染色。阴性对照以TBS替代一抗;用已知阳性切片作阳性对照。
1.3 阳性结果判断 p53蛋白的表达以细胞核呈清晰棕色或胞核胞浆同时呈棕色为阳性,bcl-2、nm23-H1蛋白以胞浆、核膜出现棕黄色颗粒为阳性。c-erbB-2则为胞膜着色,单纯胞浆染色者不计入。阳性表达标准参照Barnes等提出的基于3个参数的半定量计数方法,即染色强度,阳性细胞数和两者计分的乘积。A项:光镜下随机观察10个高倍视野,计录1 000个肿瘤细胞内阳性细胞数的百分比,无:计0分,阳性细胞数百分比1~10计1分,11~50计2分,51~80计3分,>80计4分。B项:着色强度:浅黄色计1分、棕黄色计2分、棕褐色计3分;每例肿瘤最后得分为A×B:0分为阴性,1~2分为弱阳性,3~4分为阳性,大于4分为强阳性。大于等于3分为过度表达。
, 百拇医药
1.4 统计学分析 采用χ2检验,u检验及Cox风险比例回归分析。
2 结果
2.1 c-erbB-2、p53、bcl-2和nm23-H1 4种蛋白在肺癌组织中的表达 见表1。
表1 肺癌组织中c-erbB-2、p53、bcl-2和nm23-H1蛋白过度表达 组织类别
n
c-erbB-2
阳性n(%)
p53阳性
n(%)
bcl-2阳性
, 百拇医药
n(%)
nm23-H1
阳性n(%)
鳞癌
25
12(48)
15(60)
9(36)
12(48)
腺癌
17
10(58.8)
8(47.1)
, 百拇医药
2(11.8)
11(64.7)
大细胞癌
6
2(33.3)
2(33.3)
0
1(16.7)
小细胞癌
10
0
6(60)
7(70)
, 百拇医药
0
c-erbB-2表达主要位于细胞膜上(图1),部分病例同时见于细胞浆中。10例小细胞肺癌(SCLC)中均无胞膜染色。48例非小细胞肺癌(NSCLC)中有24例(50%)出现过度表达。鳞癌、腺癌、大细胞癌三者相比差异有显著性(P<0.05)。p53阳性细胞阳性颗粒主要位于细胞核(图2),58例肺癌中有31例(53.45%)p53过度表达。bcl-2阳性反应表达为细胞浆、核膜部位呈棕黄色(图3),表达率为31.03%(18/58)。bcl-2过度表达在NSCLC 11/37(29.73%)与SCLC 7/10(70%)中差异有显著性(P<0.05)。nm23-H1阳性颗粒主要位于胞浆中(图4)。48例NSCLC中nm23-H1过度表达为24/48(50%),其中鳞癌nm23-H1过度表达为12/25(48%),腺癌为11/17(64.71%),两者差异有显著性(P<0.05),在SCLC中未见有nm23-H1表达。
, http://www.100md.com
图1 c-erbB-2在肺泡细胞癌细胞膜中呈阳性表达.ABC×200
图2 p53在肺大细胞癌细胞核中呈阳性表达.ABC×200
图3 bcl-2在肺中分化鳞癌胞浆,核膜中呈阳性表达.ABC×100
图4 nm-23-H1在肺中分化腺癌胞浆,核膜中呈阳性表达.ABC×200
2.2 4种蛋白表达与肺癌淋巴结转移及病理分级的关系 见表2。
, http://www.100md.com 表2 肺癌淋巴结转移、病理分级与
c-erbB-2、p53、bcl-2和nm23-H1蛋白表达的关系 病理指标
n
c-erbB-2
阳性n(%)
p53阳性
n(%)
bcl-2
阳性n(%)
nm23-H1
阳性n(%)
淋巴结转移
, 百拇医药
有
26
9(34.6)
12(46.2)
7(26.9)
9(34.6)
无
32
15(46.9)
19(59.4)
11(34.4)
15(46.9)
病理分级*
, 百拇医药
G1
7
5(71.4)
2(28.6)
4(57.1)
3(42.9)
G2
20
11(55)
11(55)
3(15)
11(55)
, 百拇医药
G3
15
6(40)
10(66.7)
4(26.7)
9(60)
*仅限于鳞癌、腺癌p53,bcl-2阳性率与鳞癌、腺癌的病理分级有关(P<0.05)
c-erbB-2、p53、bcl-2和nm23-H1蛋白表达与肺癌淋巴结转移无明显关系(P>0.05),在肺鳞癌、腺癌中,p53过度表达随病理分级升高而增加,bcl-2过度表达则相反,随病理级别升高而降低,两者差异均有显著性(P<0.05)。
, http://www.100md.com 2.3 肺癌中癌基因表达的相关性 在58例肺癌中,c-erbB-2、p53、bcl-2和nm23-H1均有过度表达者2例,有其中3种基因过度表达者8例,两种基因过度表达者27例。两两之间的χ2检验结果显示:c-erbB-2过度表达与nm23-H1过度表达呈正相关(P<0.01),其中两者共同阳性16例,共同阴性26例。NSCLC中主要出现bcl-2-/p53+与bcl-2-/p53-的协同表达,而SCLC中主要出现bcl-2+/p53+的表达,大细胞癌与腺癌中均未见有bcl-2+/p53+的表达(P<0.05)。
2.4 4种蛋白表达与NSCLC患者生存期的关系 48例NSCLC患者中有22例死亡,死亡率45.83%,随访时间最短为5个月,最长为59个月,平均16.5个月,对随访病例进行了4种癌基因产物的Cox比例风险回归分析,其中对延长生存期危害最大的因素是nm23-H1(P<0.01),每增加一个阳性强度,其相对风险度为4.691倍,其次为p53(P<0.05)相对风险度为1.418倍,而bcl-2的过度表达对预后则是一个保护因素(P<0.05),c-erbB-2对生存期无明显影响(P>0.05)。
, 百拇医药
3 讨论
原癌基因c-erbB-2突变后在细胞膜上以凝聚形式存在,增加与细胞转化有关的酪氨酸激酶活性,故免疫组化检测显示强的细胞膜染色。约30%的乳腺癌、卵巢癌,40%以上的非小细胞肺癌、胃癌及前列腺癌中存在该基因的异常表达〔3,4〕。用免疫组化、原位杂交等方法研究表明,c-er
bB-2的过度表达一般多发生在人类的腺癌中〔4〕。而SCLC细胞未发现p185neu过度表达。这可能缘于它们不同的起源,本研究结果与上述情况完全一致。
野生型p53基因能抑制细胞转化,突变型p53基因则促进细胞转化,人类肿瘤中p53基因失活的主要原因为基因缺失和点突变。Greenblatt等报道,在2 567例人类肿瘤中p53基因的突变率为37%。p53在肺癌中的过度表达由于所使用的单抗和组织标本的不同,各家报道并不一致,阳性率可从46%~68%,甚至更高〔5〕。本组结果:p53过度表达31/58(53.45%),与肿瘤的分化程度有关,分化越差,阳性率越高,与国内外报道一致〔6〕。
, 百拇医药
bcl-2的过度表达出现在许多实体肿瘤中,如鼻咽癌、前列腺癌、乳腺癌、非小细胞肺癌等〔6〕。本实验结果:bcl-2过度表达率在NSCLC(29.73%)中远较SCLC(70%)低,这可能与它们不同的生物学属性有关。此外,bcl-2的表达与肺癌的组织分化程度有关,随着分化程度的提高过度表达率增高(P<0.05),这与分化程度低者多伴有坏死等有关。
nm23基因是目前肿瘤转移抑制基因的最佳代表,定位于17号染色体长臂。人类nm23有两个亚型,分别用nm23-H1和nm23-H2表示,两者有88%的同源性,但它们有各自的调节机制。本实验结果表明:nm23-H1过度表达的肺门淋巴结转移率虽低于其阴性者,但无明显相关性。48例NSCLC中nm23-H1过度表达率达50%,鳞癌为48%,低于腺癌64.71%(P<0.05),提示nm23在肺癌表达中存在差异,可能与其结构发生某些改变有关。
目前认为肺肿瘤的发生是正常细胞多重损伤的复杂过程,且往往形成2种或2种以上肿瘤基因激活的结果〔7〕。本组大多数病例有一种以上蛋白表达,含有两种以上蛋白表达病例数占63.79%(37/58)。本研究结果显示,p53与bcl-2蛋白表达在肺癌分化程度中呈负相关。肺癌分化程度越低,p53过度表达率越高,而bcl-2过度表达率越低;肺癌的分化程度越高,p53蛋白过度表达率越低而bcl-2过度表达率越高,说明肺癌细胞凋亡调控是通过p53基因突变而对bcl-2蛋白产生负调节所致。另外c-erbB-2阳性者nm23-H1阳性率较高,与p53的表达无关。以上说明,在肺癌的发生发展中,4种癌基因起着一定的协同作用。
, 百拇医药
随着肿瘤分子生物学的发展,通过检测肿瘤中癌基因的表达来判断预后也逐渐被人们所认识〔5,7〕。本实验结果表明:bcl-2、p53、nm23-H1因素被选入Cox模型,其中bcl-2的表达具有保护作用,与良好预后有关,其余两者与不良预后有关。nm23-H1表达的风险度最大,为4.691。由此可知,nm23-H1的表达对患者的预后起着重要作用,值得进一步探讨。影响肺癌患者预后的因素很多,往往相互关联,4种癌基因间一定的协同作用可能是构成复杂病情的主要原因之一。
作者简介:朱春荣,男,29岁,硕士生。研究方向:肿瘤中西医治疗 吴德明,男,60岁,教授,主任医师,硕士生导师。江苏省病理学会副主任委员。研究方向:肿瘤病理
参考文献
1,Shimosato Y, Sobin LH, Spencer H et al. The World Health Organization histological typing of lung tumors. Am J Clin Pathol,1982;77:123
, 百拇医药
2,Mountain CF. A new international staging system in lung cancer. Chest,1986;89(suppl):225s
3,Tan M, Yao J, Yu D. Overexpression of the c-erbB-2 gene enhanced intrinsic metastasis potential in human breast cancer cells without increasing their transformation abilities. Cancer Res,1997;57(6):1199~1205
4,Diez M, Pollan M, Maestro M et al. Prediction of recurrence by quantification of P185neu protein in non-small-cell lung cancer tissue. Br J Cancer,1997;75(5):684~689
, http://www.100md.com
5,Mitsudomi T, Takahashi T. Genetic abnormalities in lung cancer and their prognostic implications. Gan To Kagaku Ryoho,1996;23(8):990~996
6,Eerola AK, Tormanen U, Rainio P et al. Apoptosis in operated small cel lung carcinoma is inversely related to tumor necrosis and p53 immunoreactivity. J Pathol,1997;181(2):172~177
7,Dosaka-Akita H, Hu SX, Fujino M et al. Altered retinoblastoma protein expression in nonsmall cell lung cancer: its synergistic effects with altered ras and p53 protein status on prognosis. Cancer,1997;79(7):1329~1337
收稿日期:1999-03-24, http://www.100md.com