齐齐哈尔地区鼻咽部淋巴瘤与EB病毒的相关性
作者:张晓明 郭小红 高子芬
单位:张晓明(齐齐哈尔铁路中心医院病理科,齐齐哈尔 161000);郭小红(山西省职工医学院病理学教研室,太原 030000);高子芬(北京医科大学病理学教研室 100038)
关键词:鼻咽肿瘤;淋巴瘤;疱疹病毒4型;人
临床与实验病理学杂志990308摘要 目的:探讨EB病毒感染与齐齐哈尔地区鼻咽部淋巴瘤的关系。方法:常规染色后行组织学分类,利用免疫组化LSAB法确定肿瘤的免疫表型。采用原位杂交方法检测EB病毒编码的小核RNA(EBERs)。结果:21例鼻咽部淋巴瘤中,T细胞淋巴瘤17例,占80.9%其中高度恶性15例,均为中~大T细胞淋巴瘤;低度恶性2例,为小T细胞淋巴瘤。B细胞淋巴瘤4例,高度恶性3例,分别为中心母细胞性淋巴瘤和免疫母细胞性淋巴瘤;低度恶性1例,为浆细胞性淋巴瘤。所检病例中,17例T细胞淋巴瘤中11例EBV(64.7%)阳性,4例B细胞淋巴瘤均为阴性。阳性信号位于肿瘤细胞核内,呈深蓝色,分布于10%~80%的瘤细胞核内。阳性病例均为中~大T细胞淋巴瘤,都有血管浸润,2例伴有明显坏死。结论:该地区鼻咽部T细胞淋巴瘤与EB病毒的感染有关。
, http://www.100md.com
分类号 R739.63 文献标识码 A
文章编号 1001-7399(1999)03-0210-02
The study between Epstein-Barr virus with nasopharyngeal lymphoma of Qiqihaer area
Zhang Xiaoming, Guo Xiaohong, Gao Zifen
(Dept of Pathol,Qiqihaer Railway Central Hospital 161000)
ABSTRACT Purpose To investigate the relationship between Epstein-Barr virus and nasopharyngeal lymphoma of Qiqihear area. Methods HE stain was used for histopathologic classification and immunohistochemistry for immunophenotype. EBV infection was detected using EBV encoded small RNA probe to detect by in situ hybridization method. Results Of 21 cases nasopharyngeal lymphoma, 17 cases were T cell lymphoma (80.9%), including 15 cases of ligh qrade of malignancy and 2 cases of low grade. 4 cases were B cell lymphoma. 11 cases of T cell lynphoma were EBV positive (64.7%), while all of the 4 cases of B cell lymphoma were EBV negative, the positive signals were located in the nucaei of 10%~80% tumor cells. All of the positive tumors were high grade of malignancy with angio-invasion and 2 with striking necrosis. Conclusion Nasopharyngeal T cell lymphoma of Qiqihaer area is associated with EBV.
, 百拇医药
KEY WORDS nasopharyngeal neoplasms; lymphoma; herpesvirus 4, human
鼻咽部淋巴瘤与EB病毒的相关性很高,尤其与鼻咽部T/NK淋巴瘤关系密切,80%以上病例的肿瘤细胞EB病毒阳性。近几年,国内、外对EB病毒和鼻咽部T细胞淋巴瘤的相关性研究很多,在我国沿海一带,鼻咽部淋巴瘤发病率较高,其与EB病毒的相关性研究也有许多报道,但东北地区未见明确报道。我们采用原位杂交技术对21例鼻咽部淋巴瘤进行EB病毒的检测,旨在初步了解齐齐哈尔地区鼻咽部淋巴瘤与EB病毒的相关性。
1 材料和方法
1.1 材料 21例鼻咽部淋巴瘤病例选自齐齐哈尔铁路中心医院1984~1997年外检档案材料,占外检材料中鼻咽部恶性肿瘤的15%,其中鼻腔部12例,鼻咽部9例;男性14例,女性7例,男女之比为3∶2,年龄10~67岁,平均47.2岁。所有标本经10%福尔马林固定,石蜡包埋,HE染色。
, http://www.100md.com
1.2 免疫组织化学 单克隆抗体UCHL1(CD45RO),L26(CD20),LCA、EMA,均为Dako公司产品。采用链菌素亲生物素蛋白-过氧化物酶(LSAB)法分别检测T细胞、B细胞、排除低分化鼻咽癌。UCHL1、L26、LCA和EMA均采用标准免疫组化方法,一抗4℃过夜,LCA、EMA经95℃ 10 min微波预处理。最后确定为鼻咽部淋巴瘤。
1.3 原位杂交 探针选用EBV编码的小mRNA(EBERs DAK Yo17)。主要步骤:(1)石蜡切片脱蜡至水,蛋白酶K消化(4 mg/ml,37℃,30 min);(2)滴加标有FITC的EBV寡糖核苷酸探针,加盖硅化盖玻片,37℃,2 h;(3)1×TBS/0.1% Triton X-100溶液中去掉盖玻片,洗去多余的探针;(4)滴加标有Ap(碱性磷酸酶)的抗FITC抗体(用1×TBS/0.1% Trition X-100/3% BSA稀释1∶50);(5)底物缓冲液孵育,BCIP/NBT显色;(6)甲基绿复染。阳性对照用已知EBERS阳性的鼻咽癌病例。
, 百拇医药
2 结果
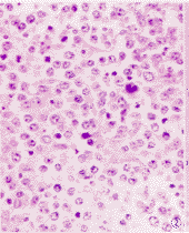
2.1 免疫表型及组织学分型 本组病例中,17例肿瘤细胞显示UCHL1阳性(图1),L26阴性,证实为T细胞淋巴瘤(17/21)。3例显示L26阳性,UCHL1阴性,证实为B细胞淋巴瘤(3/21)。1例UCHL1、L26均为阳性,根据组织学确定为浆细胞性淋巴瘤(1/21)。按照Kiel分类,17例T细胞淋巴瘤中高度恶性15例,均为中~大细胞淋巴瘤(图2),其中11例见血管浸润,2例血管浸润伴有坏死;低度恶性2例,为小T细胞淋巴瘤。4例B细胞淋巴瘤中高度恶性3例,2例为中心母细胞性淋巴瘤,1例免疫母细胞性淋巴瘤;低度恶性1例,为浆细胞性淋巴瘤。
图1 鼻烟部中-大T细胞性淋巴瘤,单克隆抗体UCHL1免疫组化染色肿瘤细胞膜阳性.×200
, 百拇医药
图2 鼻烟部中-大T细胞性淋巴瘤,瘤细胞散在分布,呈多样性.HE×200
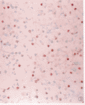
2.2 EB病毒检测 EBERs原位杂交17例T细胞淋巴瘤中11例(64.7%)阳性,6例阴性。4例B细胞淋巴瘤均阴性。阳性信号位于肿瘤细胞核内,呈深蓝紫色,分布于10%~80%的瘤细胞核内(图3),阳性病例均为中~大T细胞淋巴瘤,且均有血管浸润,2例伴有明显坏死。
图3 鼻烟部中-大T细胞性淋巴瘤,EBV原位杂交,阳性细胞呈蓝紫色 .×200
3 讨论
该组病例中,17例为T细胞淋巴瘤,占本组淋巴瘤的80.9%,4例为B细胞淋巴瘤,占本组淋巴瘤的19.1%,这与国内外的文献报道基本一致。鼻咽部淋巴瘤以T细胞淋巴瘤为多见,T细胞淋巴瘤以高度恶性的中~大细胞型为主。肿瘤细胞多形性明显,核折叠、扭曲。多数有血管浸润,少数可见血管浸润伴坏死。这种镜下形态在以往的HE切片诊断中被定为鼻中线恶网,而恰恰它们的EBV表达率为100%。据文献报道,EBV可感染人群并终生潜伏,是一种广泛存在于人体的DNA致瘤病毒。与鼻咽癌、伯基特淋巴瘤、传染性单核细胞增多症等病关系十分密切。最近几年,EBV与淋巴瘤相关性的研究已成为淋巴瘤病因学研究的热点。霍奇金淋巴瘤与EBV病毒的相关性约为40%~70%,亚洲鼻咽部T细胞淋巴瘤几乎为100%〔1〕。鼻T细胞性淋巴瘤以往称之为中线恶网(MMR),近年的研究从细胞分化抗原的表达和T细胞受体基因重排的水平上认识到该病实为T淋巴细胞性肿瘤。又因其好发于鼻部,故近年的文献报道中多用鼻T细胞性淋巴瘤来取代MMR,同时还发现该病有较高的EB病毒隐性感染率(79%~100%)〔2〕。本组在21例鼻咽部淋巴瘤中检出11例EBERS阳性病例均为中~大T细胞淋巴瘤,占该组T细胞淋巴瘤病例的64.7%。这一结果显示齐齐哈尔地区鼻咽部T细胞淋巴瘤与EB病毒的感染有关,但于国内外其它地区的学者报道的鼻咽部T/NK细胞淋巴瘤中EBERS的高检出率相比(89%~100%)〔3~5〕,阳性率较低。
, http://www.100md.com
作者简介:张晓明,女,45岁,副主任医师,该课题获1998年齐齐哈尔市科技进步一等奖
参考文献
1,高子芬,李继刚,候 亮等. 非鼻咽部T细胞淋巴瘤与EB病毒的相关性. 北京医科大学学报,1997;29:109
2,刘卫平,Johanr L, Marthi LH等. 鼻T细胞性淋巴瘤细胞凋亡和增生的比较研究. 中华病理学杂志,1996;25:343
3,Jaffers Chan JK, Su IJ et al. Report of the workshop on nasal and related exreanodal angiocentric T/NK cell lymphomas. Am J Surg Pathol, 1996;20(1):103~111
4,Daniel AA, Lawrence MW, Pedro FA et al. Nasal lymphomas in peru. Am J Surg Pathol,1993;19(4):392
5,周小鸽,严庆汉,张小平. EB病毒编码的RNA及EB病毒潜在膜蛋白在中线T淋巴瘤中的表达. 中华病理学杂志,1995;24(2):69
收稿日期:1998-11-18, http://www.100md.com
单位:张晓明(齐齐哈尔铁路中心医院病理科,齐齐哈尔 161000);郭小红(山西省职工医学院病理学教研室,太原 030000);高子芬(北京医科大学病理学教研室 100038)
关键词:鼻咽肿瘤;淋巴瘤;疱疹病毒4型;人
临床与实验病理学杂志990308摘要 目的:探讨EB病毒感染与齐齐哈尔地区鼻咽部淋巴瘤的关系。方法:常规染色后行组织学分类,利用免疫组化LSAB法确定肿瘤的免疫表型。采用原位杂交方法检测EB病毒编码的小核RNA(EBERs)。结果:21例鼻咽部淋巴瘤中,T细胞淋巴瘤17例,占80.9%其中高度恶性15例,均为中~大T细胞淋巴瘤;低度恶性2例,为小T细胞淋巴瘤。B细胞淋巴瘤4例,高度恶性3例,分别为中心母细胞性淋巴瘤和免疫母细胞性淋巴瘤;低度恶性1例,为浆细胞性淋巴瘤。所检病例中,17例T细胞淋巴瘤中11例EBV(64.7%)阳性,4例B细胞淋巴瘤均为阴性。阳性信号位于肿瘤细胞核内,呈深蓝色,分布于10%~80%的瘤细胞核内。阳性病例均为中~大T细胞淋巴瘤,都有血管浸润,2例伴有明显坏死。结论:该地区鼻咽部T细胞淋巴瘤与EB病毒的感染有关。
, http://www.100md.com
分类号 R739.63 文献标识码 A
文章编号 1001-7399(1999)03-0210-02
The study between Epstein-Barr virus with nasopharyngeal lymphoma of Qiqihaer area
Zhang Xiaoming, Guo Xiaohong, Gao Zifen
(Dept of Pathol,Qiqihaer Railway Central Hospital 161000)
ABSTRACT Purpose To investigate the relationship between Epstein-Barr virus and nasopharyngeal lymphoma of Qiqihear area. Methods HE stain was used for histopathologic classification and immunohistochemistry for immunophenotype. EBV infection was detected using EBV encoded small RNA probe to detect by in situ hybridization method. Results Of 21 cases nasopharyngeal lymphoma, 17 cases were T cell lymphoma (80.9%), including 15 cases of ligh qrade of malignancy and 2 cases of low grade. 4 cases were B cell lymphoma. 11 cases of T cell lynphoma were EBV positive (64.7%), while all of the 4 cases of B cell lymphoma were EBV negative, the positive signals were located in the nucaei of 10%~80% tumor cells. All of the positive tumors were high grade of malignancy with angio-invasion and 2 with striking necrosis. Conclusion Nasopharyngeal T cell lymphoma of Qiqihaer area is associated with EBV.
, 百拇医药
KEY WORDS nasopharyngeal neoplasms; lymphoma; herpesvirus 4, human
鼻咽部淋巴瘤与EB病毒的相关性很高,尤其与鼻咽部T/NK淋巴瘤关系密切,80%以上病例的肿瘤细胞EB病毒阳性。近几年,国内、外对EB病毒和鼻咽部T细胞淋巴瘤的相关性研究很多,在我国沿海一带,鼻咽部淋巴瘤发病率较高,其与EB病毒的相关性研究也有许多报道,但东北地区未见明确报道。我们采用原位杂交技术对21例鼻咽部淋巴瘤进行EB病毒的检测,旨在初步了解齐齐哈尔地区鼻咽部淋巴瘤与EB病毒的相关性。
1 材料和方法
1.1 材料 21例鼻咽部淋巴瘤病例选自齐齐哈尔铁路中心医院1984~1997年外检档案材料,占外检材料中鼻咽部恶性肿瘤的15%,其中鼻腔部12例,鼻咽部9例;男性14例,女性7例,男女之比为3∶2,年龄10~67岁,平均47.2岁。所有标本经10%福尔马林固定,石蜡包埋,HE染色。
, http://www.100md.com
1.2 免疫组织化学 单克隆抗体UCHL1(CD45RO),L26(CD20),LCA、EMA,均为Dako公司产品。采用链菌素亲生物素蛋白-过氧化物酶(LSAB)法分别检测T细胞、B细胞、排除低分化鼻咽癌。UCHL1、L26、LCA和EMA均采用标准免疫组化方法,一抗4℃过夜,LCA、EMA经95℃ 10 min微波预处理。最后确定为鼻咽部淋巴瘤。
1.3 原位杂交 探针选用EBV编码的小mRNA(EBERs DAK Yo17)。主要步骤:(1)石蜡切片脱蜡至水,蛋白酶K消化(4 mg/ml,37℃,30 min);(2)滴加标有FITC的EBV寡糖核苷酸探针,加盖硅化盖玻片,37℃,2 h;(3)1×TBS/0.1% Triton X-100溶液中去掉盖玻片,洗去多余的探针;(4)滴加标有Ap(碱性磷酸酶)的抗FITC抗体(用1×TBS/0.1% Trition X-100/3% BSA稀释1∶50);(5)底物缓冲液孵育,BCIP/NBT显色;(6)甲基绿复染。阳性对照用已知EBERS阳性的鼻咽癌病例。
, 百拇医药
2 结果
2.1 免疫表型及组织学分型 本组病例中,17例肿瘤细胞显示UCHL1阳性(图1),L26阴性,证实为T细胞淋巴瘤(17/21)。3例显示L26阳性,UCHL1阴性,证实为B细胞淋巴瘤(3/21)。1例UCHL1、L26均为阳性,根据组织学确定为浆细胞性淋巴瘤(1/21)。按照Kiel分类,17例T细胞淋巴瘤中高度恶性15例,均为中~大细胞淋巴瘤(图2),其中11例见血管浸润,2例血管浸润伴有坏死;低度恶性2例,为小T细胞淋巴瘤。4例B细胞淋巴瘤中高度恶性3例,2例为中心母细胞性淋巴瘤,1例免疫母细胞性淋巴瘤;低度恶性1例,为浆细胞性淋巴瘤。
图1 鼻烟部中-大T细胞性淋巴瘤,单克隆抗体UCHL1免疫组化染色肿瘤细胞膜阳性.×200
, 百拇医药
图2 鼻烟部中-大T细胞性淋巴瘤,瘤细胞散在分布,呈多样性.HE×200
2.2 EB病毒检测 EBERs原位杂交17例T细胞淋巴瘤中11例(64.7%)阳性,6例阴性。4例B细胞淋巴瘤均阴性。阳性信号位于肿瘤细胞核内,呈深蓝紫色,分布于10%~80%的瘤细胞核内(图3),阳性病例均为中~大T细胞淋巴瘤,且均有血管浸润,2例伴有明显坏死。
图3 鼻烟部中-大T细胞性淋巴瘤,EBV原位杂交,阳性细胞呈蓝紫色 .×200
3 讨论
该组病例中,17例为T细胞淋巴瘤,占本组淋巴瘤的80.9%,4例为B细胞淋巴瘤,占本组淋巴瘤的19.1%,这与国内外的文献报道基本一致。鼻咽部淋巴瘤以T细胞淋巴瘤为多见,T细胞淋巴瘤以高度恶性的中~大细胞型为主。肿瘤细胞多形性明显,核折叠、扭曲。多数有血管浸润,少数可见血管浸润伴坏死。这种镜下形态在以往的HE切片诊断中被定为鼻中线恶网,而恰恰它们的EBV表达率为100%。据文献报道,EBV可感染人群并终生潜伏,是一种广泛存在于人体的DNA致瘤病毒。与鼻咽癌、伯基特淋巴瘤、传染性单核细胞增多症等病关系十分密切。最近几年,EBV与淋巴瘤相关性的研究已成为淋巴瘤病因学研究的热点。霍奇金淋巴瘤与EBV病毒的相关性约为40%~70%,亚洲鼻咽部T细胞淋巴瘤几乎为100%〔1〕。鼻T细胞性淋巴瘤以往称之为中线恶网(MMR),近年的研究从细胞分化抗原的表达和T细胞受体基因重排的水平上认识到该病实为T淋巴细胞性肿瘤。又因其好发于鼻部,故近年的文献报道中多用鼻T细胞性淋巴瘤来取代MMR,同时还发现该病有较高的EB病毒隐性感染率(79%~100%)〔2〕。本组在21例鼻咽部淋巴瘤中检出11例EBERS阳性病例均为中~大T细胞淋巴瘤,占该组T细胞淋巴瘤病例的64.7%。这一结果显示齐齐哈尔地区鼻咽部T细胞淋巴瘤与EB病毒的感染有关,但于国内外其它地区的学者报道的鼻咽部T/NK细胞淋巴瘤中EBERS的高检出率相比(89%~100%)〔3~5〕,阳性率较低。
, http://www.100md.com
作者简介:张晓明,女,45岁,副主任医师,该课题获1998年齐齐哈尔市科技进步一等奖
参考文献
1,高子芬,李继刚,候 亮等. 非鼻咽部T细胞淋巴瘤与EB病毒的相关性. 北京医科大学学报,1997;29:109
2,刘卫平,Johanr L, Marthi LH等. 鼻T细胞性淋巴瘤细胞凋亡和增生的比较研究. 中华病理学杂志,1996;25:343
3,Jaffers Chan JK, Su IJ et al. Report of the workshop on nasal and related exreanodal angiocentric T/NK cell lymphomas. Am J Surg Pathol, 1996;20(1):103~111
4,Daniel AA, Lawrence MW, Pedro FA et al. Nasal lymphomas in peru. Am J Surg Pathol,1993;19(4):392
5,周小鸽,严庆汉,张小平. EB病毒编码的RNA及EB病毒潜在膜蛋白在中线T淋巴瘤中的表达. 中华病理学杂志,1995;24(2):69
收稿日期:1998-11-18, http://www.100md.com