p16和Rb基因蛋白在肺癌中的表达
作者:苏长青 李淑锋 叶玉坤 单祥年
单位:苏长青 叶玉坤(南京八一医院全军肿瘤研究中心 210002);李淑锋 单祥年(南京师范大学生物系 210097)
关键词:肺癌;p16蛋白;Rb蛋白;免疫组织化学
临床与实验病理学杂志990304摘要 目的:研究p16和Rb基因蛋白的表达与肺癌临床病理学特征的关系。方法:采用免疫组织化学方法对89例肺癌进行了p16和Rb蛋白的定位观察。结果:肺癌p16基因蛋白的总丢失率为47.2%(42/89),且与肺癌的组织学类型、淋巴结转移、临床病理分期有关。Rb基因蛋白的总丢失率为31.5%(28/89),与组织学类型有关。p16和Rb基因蛋白的表达存在着明显的互补性。结论:p16和Rb基因蛋白的丢失是肺癌发生发展中重要的分子事件,与细胞周期G1→S期的负反馈调节环路中断关系密切。
, http://www.100md.com
分类号 R734.2;R392.3 文献标识码 A
文章编号 1001-7399(1999)03-0199-03
Significance of p16 and Rb gene protein expression in primary lung cancers
Su Changqing, Li Shufeng, Ye Yukun et al
(Mole Biol Lab, 81st Hospital of PLA, Nanjing 210002)
ABSTRACT Purpose To study the expression of p16 and Rb gene proteins in primary lung cancers. Method Eighty-nine cases of lung cancer were observed by immunohistochemistry. Results The loss of p16 protein in lung cancers was related to histological type, lymph node metastasis and progressive stage, while the loss of Rb protein only to histological type. The inverse correlation of p16 and Rb gene expression in lung cancers was confirmed. Conclusion The loss of p16 or Rb gene protein is an important molecular event in lung cancers, and closely related to the block in the negative regulatory pathway of cell cycle.
, 百拇医药
KEY WORDS lung cancer; p16 protein; Rb protein; immunohistochemistry
p16基因蛋白是迄今为止发现的第一个直接控制细胞增殖周期的细胞固有蛋白,直接作用于CDK4、cyclinD1和Rb的反馈回路,通过调节Rb基因蛋白的活性,防止细胞过度增殖〔1,2〕。p16和Rb基因蛋白的相互作用,在细胞周期的许多环节上起调控作用,因而两者与肿瘤发生发展的关系受到人们重视。作者采用免疫组化技术,对肺癌组织p16和Rb基因蛋白的表达进行了研究,重点探讨两者与肺癌临床病理特征的关系。
1 材料与方法
1.1 病例资料 89例肺癌标本取自南京八一医院、南京胸科医院和江苏省肿瘤防治研究所1997年3月~1998年8月手术的病人,男68例,女21例,年龄35~84岁。在肿瘤、交界、正常肺取材,10%中性福尔马林固定,石蜡包埋,连续切片,分别留作HE染色和免疫组化染色。有69例同时取肺门、支气管旁或纵隔淋巴结,经病理诊断,37例有淋巴结转移,32例无转移。另取15例肺良性疾病病灶旁肺组织作为对照,包括炎性假瘤4例,结核6例,肺囊肿3例,支气管扩张症2例。
, http://www.100md.com
1.2 免疫组化 采用链菌素亲生物素-过氧化物酶法(S-P法)进行免疫组化染色。切片脱蜡至水,作Rb染色的切片置0.01 mol*L-1柠檬酸缓冲液中微波加热至沸8~10 min,进行微波抗原修复。PBS洗后,进行p16、Rb蛋白的免疫组化染色。兔抗人p16、Rb抗血清和S-P试剂盒购自福州迈新生物技术公司,工作液浓度均为1∶100。实验以PBS代替一抗作为阴性对照,以已知有p16、Rb阳性表达的肺组织作为阳性对照。
1.3 结果判断 采用双盲法对每张切片在高倍镜(×400)下计数10个视野。以染色强度分别计0~3分,再以阳性细胞比例分别计0~3分,两项得分相加,0分为“-”,1~2分为“+”,3~4分为“
”,5~6分为“
”。结果以χ2检验进行统计学处理。
, 百拇医药
表1 肺癌与肺组织p16、Rb的表达 组别
n
p16
Rb
-
+

丢失率(%)
-
+

, http://www.100md.com
丢失率(%)
肺癌
89
42
21
16
10
47.2*
28
26
14
21
31.5*
, http://www.100md.com
交界
89
3
35
27
24
3.4
2
35
24
28
2.2
正常肺
89
, http://www.100md.com
0
29
34
26
0
4
30
27
28
4.5
良性病肺
15
0
4
, http://www.100md.com
6
5
0
1
4
8
2
6.7
χ2检验,*P<0.05表2 p16、Rb表达与肺癌临床病理特征的关系 组别
n
p16
Rb
, 百拇医药
-
+

丢失率(%)
-
+

丢失率(%)
组织学类型
鳞癌
, http://www.100md.com 39
22
9
6
2
56.4
7
14
6
12
17.9
腺癌
31
18
, http://www.100md.com
7
5
1
58.1
5
10
7
9
16.1
小细胞癌
17
1
5
4
, 百拇医药
7
5.9*
15
1
1
0
88.2*
分化程度
高分化
29
16
7
5
, 百拇医药
1
55.2
8
9
5
7
27.6
中分化
32
12
9
5
6
37.5
, 百拇医药
11
8
4
9
34.4
低分化
28
14
5
6
3
50.0
9
9
, 百拇医药
5
5
32.1
淋巴结转移
无转移
32
8
10
7
7
25.0
11
8
7
, 百拇医药
6
34.4
有转移
37
23
6
5
3
62.2*
10
13
6
8
, http://www.100md.com
27.0
临床病理分期
Ⅰ~Ⅱ期
41
14
12
8
7
34.1
12
10
8
11
, http://www.100md.com 29.3
Ⅲ~Ⅳ期
48
28
9
8
3
58.3*
16
16
6
10
33.3
, 百拇医药
在组织学类型组中的腺鳞癌:1例p16/Rb-,1例p16-/Rb+,因例数少,未列入统计处理;χ2检验,与同组内其它组比较,*P<0.052 结果
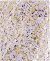
2.1 p16和Rb蛋白表达的形态学特征 正常肺、交界处组织、良性疾病肺组织p16阳性产物见于支气管粘膜上皮、血管内皮、肺泡上皮、纤维母细胞和平滑肌细胞,分布于胞浆胞核中(图1)。Rb阳性产物见于支气管粘膜上皮、肺泡上皮及各种炎症细胞胞浆中。
图1 正常肺组织中细支气管粘膜上皮,肺泡上皮,肺泡隔血管内皮,纤维母细胞呈p16蛋白阳性×200
肺癌细胞p16阳性产物的表达有3种分布形式,即核型、浆型、核浆型,以核浆型为主(图2,3),阳性反应产物呈弥漫或散在的颗粒状,阳性细胞分散、成群或弥漫分布。Rb在肺癌细胞中的表达呈浆型或核浆型分布(图4)。不论癌细胞p16、Rb是阳性还是阴性,在癌间质中可见有p16反应阳性的血管内皮、纤维母细胞和平滑肌细胞(图5),以及Rb阳性的少量炎症细胞。
, 百拇医药
图2 肺鳞癌细胞p16蛋白分布于核内×200
图3 肺腺癌细胞p16蛋白呈核浆型分布,间质细胞p16蛋白阳性×200
图4 肺腺癌细胞R16蛋白呈核浆型分布×200
图5 肺腺癌细胞p16蛋白阳性,间质细胞p16阳性表达×400
2.2 肺癌与肺组织p16、Rb表达的差异 各种类型肺癌p16、Rb表达的总阳性率分别52.8%和68.5%,低于癌旁交界组织和正常肺,以及良性疾病肺组织(表1)。
, 百拇医药
2.3 p16和Rb表达与肺癌临床病理特征之间的关系 p16、Rb蛋白的表达与肺癌组织学类型、分化程度、有无淋巴结转移以及临床病理分期的关系见表2。
3 讨论
p16基因蛋白的丢失广泛存在于人类原发恶性肿瘤和肿瘤系株中〔1~3〕,故p16基因又称为多肿瘤抑制基因(MTS1)。目前有关肺癌细胞p16表达的研究,已有不少文献报道〔2,4~6〕。我们采用免疫组化技术,检测了89例原发肺癌组织及肺癌边缘交界和正常肺组织p16蛋白的表达,发现肺癌细胞p16蛋白的阳性率为52.8%,明显低于交界区和正常肺组织,总丢失率为47.2%。全部良性疾病肺组织中有多种细胞p16阳性,排除了良性肺疾患对p16表达的影响,因此可以肯定p16的丢失是癌细胞特有的分子事件之一。无论p16表达是否阳性,在癌间质中均可见p16阳性的纤维母细胞、血管内皮细胞、平滑肌细胞等。由于对细胞增殖起负调控作用的是p16基因的蛋白产物,因此采用免疫组化技术定位观察人体原发肺癌组织p16蛋白,最能反映该基因的功能状态,它能够准确区分出癌细胞和间质细胞p16蛋白表达的情况,这一点是Southern blot、Western blot、PCR等方法无法比拟的,因为这些方法用癌组织提取基因组DNA或蛋白质进行研究,极易混入间质细胞而影响检测结果。
, http://www.100md.com
本文有关不同组织学类型肺癌p16的表达,结果与文献相同〔4〕。鳞癌、腺癌等非小细胞肺癌(NSCLC)的p16丢失明显,丢失率达56.9%(41/72),而17例小细胞肺癌(SCLC)只有1例丢失,丢失率5.9%。p16蛋白的表达与癌细胞的分化无关,但与淋巴结转移和临床病理分期密切相关,随转移的发生和病程的进展,p16丢失率明显上升。有关p16与肿瘤转移和分期的关系,以及p16丢失是肿瘤的早期事件还是晚期事件,文献报道结果不一〔1,7〕。我们认为,p16表达的丢失贯穿于肺癌发生发展的整个过程之中,不能简单地概括为早期或晚期事件。细胞一旦发生癌变,即可检出p16高频率丢失,随着癌细胞的增殖、转移的发生和病程的进展,p16丢失加剧,因此p16既可能作为早期诊断癌变的指标,也可被用于判断病期早晚和是否发生转移,或被用于评估预后。
p16蛋白抑制细胞增殖使细胞停滞于G1期的机制是,与CyclinD1竞争结合CDK4,使CDK4失活,从而阻止Rb的磷酸化,去磷酸化的Rb以活性形式结合E2F及ATF2等转录因子,发挥其负调控细胞生长的作用〔1〕。肺癌中Rb蛋白阳性率68.5%,总丢失率31.5%。与p16相反,Rb丢失主要发生于SCLC,17例SCLC有15例Rb阴性,丢失率达88.2%,而NSCLC中Rb丢失率只有18.1%(13/72)。Rb的表达与肺癌的分化程度、转移以及分期无关。89例肺癌中,p16+/Rb+2 2例,p16+/Rb- 25例,p16-/Rb+ 39例,p16-/Rb- 3例。肺癌p16与Rb的表达存在着显著的互补关系,在NSCLC中以p16为主的丢失,在SCLC中以Rb为主的丢失,其结果都是导致p16-cyclinD1-CDK4-Rb调节环路的中断,促使细胞失调性增殖,由G1进入S期。
, 百拇医药
基金项目:国家“九五”重点科技项目(攻关)计划(No 969060118)和国家自然科学基金(No 39670714)资助课题
作者简介:苏长青,男,35岁,博士,副主任医师。从事肿瘤分子生物学研究
单祥年,男,60岁,博士生导师,教授。从事细胞分子遗传学研究
参考文献
1,Liggett WH Jr, Sidransky D. Role of the p16 tumor suppressor gene in cancer. J Clin Oncol,1998;16(3):1197
2,Kim SK, Ro JY, Kemp BL et al. Identification of three distinct tumor suppressor loci on the short arm of chromsome 9 in small cell lung cancer. Cancer Res,1997;57:400
, 百拇医药
3,Gulley ML, Nicholls JM, Schneider BG et al. Nasopharyngeal carcinomas frequently lack the p16/MTS1 tumor suppressor protein but consistently express the retinoblastoma gene product. Am J Pathol,1998;152(4):865
4,Shapiro GI, Edwards CD, Kobzik L et al. Reciprocal Rb inactivation and p16INK4 expression in primary lung cancers and cell lines. Cancer Res,1995;55:505
5,Kratzke RA, Greatens TM, Rubins JB et al. Rb and p16INK4a expression in resected non-small cell lung tumors. Cancer Res,1996;56:3415
, 百拇医药
6,Geradts J, Kratzke RA, Niehans GA et al. Immunohistochemical detection of the cyclin-dependent kinase inhibitor 2/multiple tumor suppressor gene 1 (CDKN2/MTS1) product p16INK4A in archival human solid tumors: correlation with retinoblastoma protein expression. Cancer Res,1995;55:6006
7,Okamoto A, Hussain SP, Hagiwara K et al. Mutations in the p16INK4/MTS1/CDKN2,p15INK4B/MTS2, and p18 genes in primary and metastatic lung cancer. Cancer Res,1995;55:1448
收稿日期:1999-03-31, 百拇医药
单位:苏长青 叶玉坤(南京八一医院全军肿瘤研究中心 210002);李淑锋 单祥年(南京师范大学生物系 210097)
关键词:肺癌;p16蛋白;Rb蛋白;免疫组织化学
临床与实验病理学杂志990304摘要 目的:研究p16和Rb基因蛋白的表达与肺癌临床病理学特征的关系。方法:采用免疫组织化学方法对89例肺癌进行了p16和Rb蛋白的定位观察。结果:肺癌p16基因蛋白的总丢失率为47.2%(42/89),且与肺癌的组织学类型、淋巴结转移、临床病理分期有关。Rb基因蛋白的总丢失率为31.5%(28/89),与组织学类型有关。p16和Rb基因蛋白的表达存在着明显的互补性。结论:p16和Rb基因蛋白的丢失是肺癌发生发展中重要的分子事件,与细胞周期G1→S期的负反馈调节环路中断关系密切。
, http://www.100md.com
分类号 R734.2;R392.3 文献标识码 A
文章编号 1001-7399(1999)03-0199-03
Significance of p16 and Rb gene protein expression in primary lung cancers
Su Changqing, Li Shufeng, Ye Yukun et al
(Mole Biol Lab, 81st Hospital of PLA, Nanjing 210002)
ABSTRACT Purpose To study the expression of p16 and Rb gene proteins in primary lung cancers. Method Eighty-nine cases of lung cancer were observed by immunohistochemistry. Results The loss of p16 protein in lung cancers was related to histological type, lymph node metastasis and progressive stage, while the loss of Rb protein only to histological type. The inverse correlation of p16 and Rb gene expression in lung cancers was confirmed. Conclusion The loss of p16 or Rb gene protein is an important molecular event in lung cancers, and closely related to the block in the negative regulatory pathway of cell cycle.
, 百拇医药
KEY WORDS lung cancer; p16 protein; Rb protein; immunohistochemistry
p16基因蛋白是迄今为止发现的第一个直接控制细胞增殖周期的细胞固有蛋白,直接作用于CDK4、cyclinD1和Rb的反馈回路,通过调节Rb基因蛋白的活性,防止细胞过度增殖〔1,2〕。p16和Rb基因蛋白的相互作用,在细胞周期的许多环节上起调控作用,因而两者与肿瘤发生发展的关系受到人们重视。作者采用免疫组化技术,对肺癌组织p16和Rb基因蛋白的表达进行了研究,重点探讨两者与肺癌临床病理特征的关系。
1 材料与方法
1.1 病例资料 89例肺癌标本取自南京八一医院、南京胸科医院和江苏省肿瘤防治研究所1997年3月~1998年8月手术的病人,男68例,女21例,年龄35~84岁。在肿瘤、交界、正常肺取材,10%中性福尔马林固定,石蜡包埋,连续切片,分别留作HE染色和免疫组化染色。有69例同时取肺门、支气管旁或纵隔淋巴结,经病理诊断,37例有淋巴结转移,32例无转移。另取15例肺良性疾病病灶旁肺组织作为对照,包括炎性假瘤4例,结核6例,肺囊肿3例,支气管扩张症2例。
, http://www.100md.com
1.2 免疫组化 采用链菌素亲生物素-过氧化物酶法(S-P法)进行免疫组化染色。切片脱蜡至水,作Rb染色的切片置0.01 mol*L-1柠檬酸缓冲液中微波加热至沸8~10 min,进行微波抗原修复。PBS洗后,进行p16、Rb蛋白的免疫组化染色。兔抗人p16、Rb抗血清和S-P试剂盒购自福州迈新生物技术公司,工作液浓度均为1∶100。实验以PBS代替一抗作为阴性对照,以已知有p16、Rb阳性表达的肺组织作为阳性对照。
1.3 结果判断 采用双盲法对每张切片在高倍镜(×400)下计数10个视野。以染色强度分别计0~3分,再以阳性细胞比例分别计0~3分,两项得分相加,0分为“-”,1~2分为“+”,3~4分为“
, 百拇医药
表1 肺癌与肺组织p16、Rb的表达 组别
n
p16
Rb
-
+
丢失率(%)
-
+
, http://www.100md.com
丢失率(%)
肺癌
89
42
21
16
10
47.2*
28
26
14
21
31.5*
, http://www.100md.com
交界
89
3
35
27
24
3.4
2
35
24
28
2.2
正常肺
89
, http://www.100md.com
0
29
34
26
0
4
30
27
28
4.5
良性病肺
15
0
4
, http://www.100md.com
6
5
0
1
4
8
2
6.7
χ2检验,*P<0.05表2 p16、Rb表达与肺癌临床病理特征的关系 组别
n
p16
Rb
, 百拇医药
-
+
丢失率(%)
-
+
丢失率(%)
组织学类型
鳞癌
, http://www.100md.com 39
22
9
6
2
56.4
7
14
6
12
17.9
腺癌
31
18
, http://www.100md.com
7
5
1
58.1
5
10
7
9
16.1
小细胞癌
17
1
5
4
, 百拇医药
7
5.9*
15
1
1
0
88.2*
分化程度
高分化
29
16
7
5
, 百拇医药
1
55.2
8
9
5
7
27.6
中分化
32
12
9
5
6
37.5
, 百拇医药
11
8
4
9
34.4
低分化
28
14
5
6
3
50.0
9
9
, 百拇医药
5
5
32.1
淋巴结转移
无转移
32
8
10
7
7
25.0
11
8
7
, 百拇医药
6
34.4
有转移
37
23
6
5
3
62.2*
10
13
6
8
, http://www.100md.com
27.0
临床病理分期
Ⅰ~Ⅱ期
41
14
12
8
7
34.1
12
10
8
11
, http://www.100md.com 29.3
Ⅲ~Ⅳ期
48
28
9
8
3
58.3*
16
16
6
10
33.3
, 百拇医药
在组织学类型组中的腺鳞癌:1例p16/Rb-,1例p16-/Rb+,因例数少,未列入统计处理;χ2检验,与同组内其它组比较,*P<0.052 结果
2.1 p16和Rb蛋白表达的形态学特征 正常肺、交界处组织、良性疾病肺组织p16阳性产物见于支气管粘膜上皮、血管内皮、肺泡上皮、纤维母细胞和平滑肌细胞,分布于胞浆胞核中(图1)。Rb阳性产物见于支气管粘膜上皮、肺泡上皮及各种炎症细胞胞浆中。
图1 正常肺组织中细支气管粘膜上皮,肺泡上皮,肺泡隔血管内皮,纤维母细胞呈p16蛋白阳性×200
肺癌细胞p16阳性产物的表达有3种分布形式,即核型、浆型、核浆型,以核浆型为主(图2,3),阳性反应产物呈弥漫或散在的颗粒状,阳性细胞分散、成群或弥漫分布。Rb在肺癌细胞中的表达呈浆型或核浆型分布(图4)。不论癌细胞p16、Rb是阳性还是阴性,在癌间质中可见有p16反应阳性的血管内皮、纤维母细胞和平滑肌细胞(图5),以及Rb阳性的少量炎症细胞。
, 百拇医药
图2 肺鳞癌细胞p16蛋白分布于核内×200
图3 肺腺癌细胞p16蛋白呈核浆型分布,间质细胞p16蛋白阳性×200
图4 肺腺癌细胞R16蛋白呈核浆型分布×200
图5 肺腺癌细胞p16蛋白阳性,间质细胞p16阳性表达×400
2.2 肺癌与肺组织p16、Rb表达的差异 各种类型肺癌p16、Rb表达的总阳性率分别52.8%和68.5%,低于癌旁交界组织和正常肺,以及良性疾病肺组织(表1)。
, 百拇医药
2.3 p16和Rb表达与肺癌临床病理特征之间的关系 p16、Rb蛋白的表达与肺癌组织学类型、分化程度、有无淋巴结转移以及临床病理分期的关系见表2。
3 讨论
p16基因蛋白的丢失广泛存在于人类原发恶性肿瘤和肿瘤系株中〔1~3〕,故p16基因又称为多肿瘤抑制基因(MTS1)。目前有关肺癌细胞p16表达的研究,已有不少文献报道〔2,4~6〕。我们采用免疫组化技术,检测了89例原发肺癌组织及肺癌边缘交界和正常肺组织p16蛋白的表达,发现肺癌细胞p16蛋白的阳性率为52.8%,明显低于交界区和正常肺组织,总丢失率为47.2%。全部良性疾病肺组织中有多种细胞p16阳性,排除了良性肺疾患对p16表达的影响,因此可以肯定p16的丢失是癌细胞特有的分子事件之一。无论p16表达是否阳性,在癌间质中均可见p16阳性的纤维母细胞、血管内皮细胞、平滑肌细胞等。由于对细胞增殖起负调控作用的是p16基因的蛋白产物,因此采用免疫组化技术定位观察人体原发肺癌组织p16蛋白,最能反映该基因的功能状态,它能够准确区分出癌细胞和间质细胞p16蛋白表达的情况,这一点是Southern blot、Western blot、PCR等方法无法比拟的,因为这些方法用癌组织提取基因组DNA或蛋白质进行研究,极易混入间质细胞而影响检测结果。
, http://www.100md.com
本文有关不同组织学类型肺癌p16的表达,结果与文献相同〔4〕。鳞癌、腺癌等非小细胞肺癌(NSCLC)的p16丢失明显,丢失率达56.9%(41/72),而17例小细胞肺癌(SCLC)只有1例丢失,丢失率5.9%。p16蛋白的表达与癌细胞的分化无关,但与淋巴结转移和临床病理分期密切相关,随转移的发生和病程的进展,p16丢失率明显上升。有关p16与肿瘤转移和分期的关系,以及p16丢失是肿瘤的早期事件还是晚期事件,文献报道结果不一〔1,7〕。我们认为,p16表达的丢失贯穿于肺癌发生发展的整个过程之中,不能简单地概括为早期或晚期事件。细胞一旦发生癌变,即可检出p16高频率丢失,随着癌细胞的增殖、转移的发生和病程的进展,p16丢失加剧,因此p16既可能作为早期诊断癌变的指标,也可被用于判断病期早晚和是否发生转移,或被用于评估预后。
p16蛋白抑制细胞增殖使细胞停滞于G1期的机制是,与CyclinD1竞争结合CDK4,使CDK4失活,从而阻止Rb的磷酸化,去磷酸化的Rb以活性形式结合E2F及ATF2等转录因子,发挥其负调控细胞生长的作用〔1〕。肺癌中Rb蛋白阳性率68.5%,总丢失率31.5%。与p16相反,Rb丢失主要发生于SCLC,17例SCLC有15例Rb阴性,丢失率达88.2%,而NSCLC中Rb丢失率只有18.1%(13/72)。Rb的表达与肺癌的分化程度、转移以及分期无关。89例肺癌中,p16+/Rb+2 2例,p16+/Rb- 25例,p16-/Rb+ 39例,p16-/Rb- 3例。肺癌p16与Rb的表达存在着显著的互补关系,在NSCLC中以p16为主的丢失,在SCLC中以Rb为主的丢失,其结果都是导致p16-cyclinD1-CDK4-Rb调节环路的中断,促使细胞失调性增殖,由G1进入S期。
, 百拇医药
基金项目:国家“九五”重点科技项目(攻关)计划(No 969060118)和国家自然科学基金(No 39670714)资助课题
作者简介:苏长青,男,35岁,博士,副主任医师。从事肿瘤分子生物学研究
单祥年,男,60岁,博士生导师,教授。从事细胞分子遗传学研究
参考文献
1,Liggett WH Jr, Sidransky D. Role of the p16 tumor suppressor gene in cancer. J Clin Oncol,1998;16(3):1197
2,Kim SK, Ro JY, Kemp BL et al. Identification of three distinct tumor suppressor loci on the short arm of chromsome 9 in small cell lung cancer. Cancer Res,1997;57:400
, 百拇医药
3,Gulley ML, Nicholls JM, Schneider BG et al. Nasopharyngeal carcinomas frequently lack the p16/MTS1 tumor suppressor protein but consistently express the retinoblastoma gene product. Am J Pathol,1998;152(4):865
4,Shapiro GI, Edwards CD, Kobzik L et al. Reciprocal Rb inactivation and p16INK4 expression in primary lung cancers and cell lines. Cancer Res,1995;55:505
5,Kratzke RA, Greatens TM, Rubins JB et al. Rb and p16INK4a expression in resected non-small cell lung tumors. Cancer Res,1996;56:3415
, 百拇医药
6,Geradts J, Kratzke RA, Niehans GA et al. Immunohistochemical detection of the cyclin-dependent kinase inhibitor 2/multiple tumor suppressor gene 1 (CDKN2/MTS1) product p16INK4A in archival human solid tumors: correlation with retinoblastoma protein expression. Cancer Res,1995;55:6006
7,Okamoto A, Hussain SP, Hagiwara K et al. Mutations in the p16INK4/MTS1/CDKN2,p15INK4B/MTS2, and p18 genes in primary and metastatic lung cancer. Cancer Res,1995;55:1448
收稿日期:1999-03-31, 百拇医药