Dubin-Johnson综合征2例
作者:蒯宝林 张远炎 谭德银 谢君 赵红艳
单位:蒯宝林 张远炎 谭德银 谢君 赵红艳(解放军第十二医院病理科,新疆疏勒 844200)
关键词:Dubin-Johnson综合征;病例报道
临床与实验病理学杂志990353分类号 R735 文献标识码 A
文章编号 1001-7399(1999)03-0259-01
例1 患者女性,12岁,因间歇性黄疸1年于1997年11月27日入院。患者于1996年4月无诱因下出现恶心、厌油、食欲减退、乏力。1个月后症状加重,皮肤与巩膜呈进行性黄染,皮肤瘙痒难忍,腹胀,大便呈白陶土色,先后经多家医院按“病毒性肝炎”、“结石性胆囊炎”给予保肝、消炎、利胆、退黄等对症治疗,1月后渐缓解。入院前复发,症状同前。病中无发热、右上腹痛,病前无化学药物接触史,无阳性家族史。查体:一般状况好,全身皮肤及巩膜呈金黄色,肝脏轻度肿大,叩击痛阳性。实验室检查:血、尿、大便常规、血生化、血糖、血沉、肾功能均正常,4次查SGPT均≤59 U,乙肝三项指标阴性,尿胆原与尿胆素(
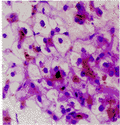
),总胆红素271.78 μmol。L-1,直接胆红素151.5 μmol。L-1。B超及CT示肝及脾轻度增大。行肝脏穿刺活检。病理检查:大体所见为墨绿色线条样组织1条。镜下所见:肝组织结构基本正常,部分肝细胞呈片状气球样变性,体积增大,细胞核小、居中或细胞边缘,有的细胞膜破裂、细胞核消失,部分肝细胞及毛细胆管内见大量粗颗粒状深棕色色素沉积(图1)。肝组织内纤维组织轻度增生形成假小叶样结构,对肝细胞内的深棕色色素颗粒物质进行组织化学染色,黑色素(Masson Fontana银浸法)阴性,胆色素(hall反应法)阳性,脂褐色素(Schmorl反应法)强阳性。病理诊断:Dubin-Johnson综合征。
, 百拇医药
图1肝细胞呈片状气球样变性,体积增大,核小,部分肝细胞及毛细胆管内见大量的棕黄色色素沉积,假小叶样结构形成。HE×400
例2 患者,男性,21岁。因皮肤及巩膜黄染2年入院。于1995年5月无明显诱因下出现皮肤及巩膜轻度黄染,伴尿黄,呈淡茶水色,无临床症状。至1998年2月因受凉,出现轻度恶心、上腹部胀痛,黄疸未加重,因对工作及生活影响不大,未予治疗。同年5月在受凉及劳累后,再现恶心及上腹部胀痛,较以前有所加重。查体:一般状况好,皮肤及巩膜轻度黄染,肝脾不大,肝区叩击痛阳性。实验室检查:总胆红素73.35 μmol。L-1,直接胆红素31.51 μmol。L-1,SGPT 4次均正常,HBsAg阴性,血、尿、大便常规、血生化、血浆蛋白等均正常。B超示肝、胆、脾正常。行肝穿刺活检。病理检查:大体见黑褐色线条状组织1条。镜下所见:肝组织结构正常,肝细胞形态基本正常,部分细胞肿胀,肝小叶内,特别是小叶中央区肝细胞内见大量棕黄色粗颗粒状色素沉积(图2),毛细胆管内未见色素,汇管区有少量炎细胞浸润。组织化学染色:黑色素阴性,胆色素阴性,脂褐素强阳性(图3)。病理诊断:Dubin-Johnson综合征。
, 百拇医药
图2 肝组织结构正常,部分肝细胞肿胀,肝细胞内见大量的棕黄色颗粒状色素沉积。HE×400
图3 Schmorl反应法脂褐素呈蓝绿色×200
讨论 本病系先天性胆红素代谢功能缺陷致非溶血性黄疸直接胆红素增高(Ⅰ型),呈家族隐性遗传,好发年龄10~30岁。病理形态特点是肝细胞内可见大量的棕黄色粗颗粒状色素沉积,组织化学染色脂褐素阳性。本文2例脂褐素染色均呈强阳性,第1例胆色素亦呈阳性,作者认为肝细胞内的这种色素是脂褐素,并且可能会在胆色素淤积的基础上形成脂褐素颗粒。
本文第1例病理改变表现为细胞变性破裂、纤维组织增生、假小叶形成等,原因可能是这种色素在肝细胞内长期反复沉着,致使肝内细微胆管破裂,直接影响肝细胞变性,甚至坏死,因而出现纤维组织增生或假小叶形成等变化。因此,对黄疸有症状者应对症治疗,以减少这种色素在肝细胞内的沉积,减轻对肝细胞的损害。
(本文第1例承蒙解放军总医院病理科陈乐真教授会诊,特此致谢)
收稿日期:1998-12-11, http://www.100md.com
单位:蒯宝林 张远炎 谭德银 谢君 赵红艳(解放军第十二医院病理科,新疆疏勒 844200)
关键词:Dubin-Johnson综合征;病例报道
临床与实验病理学杂志990353分类号 R735 文献标识码 A
文章编号 1001-7399(1999)03-0259-01
例1 患者女性,12岁,因间歇性黄疸1年于1997年11月27日入院。患者于1996年4月无诱因下出现恶心、厌油、食欲减退、乏力。1个月后症状加重,皮肤与巩膜呈进行性黄染,皮肤瘙痒难忍,腹胀,大便呈白陶土色,先后经多家医院按“病毒性肝炎”、“结石性胆囊炎”给予保肝、消炎、利胆、退黄等对症治疗,1月后渐缓解。入院前复发,症状同前。病中无发热、右上腹痛,病前无化学药物接触史,无阳性家族史。查体:一般状况好,全身皮肤及巩膜呈金黄色,肝脏轻度肿大,叩击痛阳性。实验室检查:血、尿、大便常规、血生化、血糖、血沉、肾功能均正常,4次查SGPT均≤59 U,乙肝三项指标阴性,尿胆原与尿胆素(
, 百拇医药
图1肝细胞呈片状气球样变性,体积增大,核小,部分肝细胞及毛细胆管内见大量的棕黄色色素沉积,假小叶样结构形成。HE×400
例2 患者,男性,21岁。因皮肤及巩膜黄染2年入院。于1995年5月无明显诱因下出现皮肤及巩膜轻度黄染,伴尿黄,呈淡茶水色,无临床症状。至1998年2月因受凉,出现轻度恶心、上腹部胀痛,黄疸未加重,因对工作及生活影响不大,未予治疗。同年5月在受凉及劳累后,再现恶心及上腹部胀痛,较以前有所加重。查体:一般状况好,皮肤及巩膜轻度黄染,肝脾不大,肝区叩击痛阳性。实验室检查:总胆红素73.35 μmol。L-1,直接胆红素31.51 μmol。L-1,SGPT 4次均正常,HBsAg阴性,血、尿、大便常规、血生化、血浆蛋白等均正常。B超示肝、胆、脾正常。行肝穿刺活检。病理检查:大体见黑褐色线条状组织1条。镜下所见:肝组织结构正常,肝细胞形态基本正常,部分细胞肿胀,肝小叶内,特别是小叶中央区肝细胞内见大量棕黄色粗颗粒状色素沉积(图2),毛细胆管内未见色素,汇管区有少量炎细胞浸润。组织化学染色:黑色素阴性,胆色素阴性,脂褐素强阳性(图3)。病理诊断:Dubin-Johnson综合征。
, 百拇医药
图2 肝组织结构正常,部分肝细胞肿胀,肝细胞内见大量的棕黄色颗粒状色素沉积。HE×400
图3 Schmorl反应法脂褐素呈蓝绿色×200
讨论 本病系先天性胆红素代谢功能缺陷致非溶血性黄疸直接胆红素增高(Ⅰ型),呈家族隐性遗传,好发年龄10~30岁。病理形态特点是肝细胞内可见大量的棕黄色粗颗粒状色素沉积,组织化学染色脂褐素阳性。本文2例脂褐素染色均呈强阳性,第1例胆色素亦呈阳性,作者认为肝细胞内的这种色素是脂褐素,并且可能会在胆色素淤积的基础上形成脂褐素颗粒。
本文第1例病理改变表现为细胞变性破裂、纤维组织增生、假小叶形成等,原因可能是这种色素在肝细胞内长期反复沉着,致使肝内细微胆管破裂,直接影响肝细胞变性,甚至坏死,因而出现纤维组织增生或假小叶形成等变化。因此,对黄疸有症状者应对症治疗,以减少这种色素在肝细胞内的沉积,减轻对肝细胞的损害。
(本文第1例承蒙解放军总医院病理科陈乐真教授会诊,特此致谢)
收稿日期:1998-12-11, http://www.100md.com