胆囊腺上皮异型增生的层粘蛋白和表皮生长因子表达
作者:王仰坤 马乃绪 潘红 关慧娟
单位:王仰坤 马乃绪 潘红 关慧娟(山东省兖州矿业集团总医院病理科 273500)
关键词:胆囊炎;胆囊肿瘤;增生;腺癌;层粘蛋白;表皮生长因子-尿抑胃素
临床与实验病理学杂志990307摘要 目的:探讨慢性胆囊炎所致腺上皮增生、异型、癌变过程中层粘蛋白和表皮生长因子的表达及其关系。方法:对99例慢性胆囊炎壁肥厚和13例慢性胆囊炎后壁肥厚型腺癌,采用免疫组织化学S-P法,观察层粘蛋白和表皮生长因子的表达。结果:慢性胆囊炎引起胆囊壁结节状增厚,腺体增生、异型,最后导致壁肥厚型腺癌。胆囊炎后壁腺上皮异型增生中层粘蛋白显示基底膜线性结构缺损,厚薄不匀;表皮生长因子表达腺上皮细胞随异型增生程度的增加而阳性表达递增。结论:慢性胆囊炎引起囊壁弥漫性或结节状增厚,分散其间的腺上皮细胞发生增生、异型,最后导致慢性胆囊炎后壁肥厚型腺癌;层粘蛋白和表皮生长因子有助于癌前病变的诊断和鉴别。
, 百拇医药
分类号 R735.8;R575.61 文献标识码 A
文章编号 1001-7399(1999)03-0207-04
Laminin and epidermal growth factorreceptor expression in dysplsia hyperplasia of gallbladder glande
Wang Yangkun, Ma Naixu, Pan Hong et al
(Dept of Pathol, 91st Hospital of PLA, Yanzhou 272000)
ABSTRACT Purpose To evaluate relationship between laminin(LN), epidermal growth factorreceptor (EGFR) expression and dysplasia hyperplasia of gallbladder gland. Methods Ninty-nine cases of chromic cholecystitis hyperplastic-wall and 13 cases adenocarcinoma of chronic cholcystitis hyperplastic-wall type were performed in expression of LN and EGFR with S-P immunohistochemical staining. Results Due to the chronic cholecystitis, the gallbladder wall was nodular incrassation, glandulous hyperplasia and dysplasia, in favor of the adenocarcinoma of chronic cholcystitis hyperplastic-wall type. LN showed linear formative breakdown and different thickness of basilemma in the hyperplasia of glandulous epidermis of chronic cholecystitis. EGFR increased with the seriousness of the dysplastic hyperplasia in gallbladder glandulous cells. Conclusion The epithelial dysplasia and hyperplasia of chronic cholecystitis hyperplasstic-wall of the grade Ⅲ develope the adenocarcinoma of chromic cholcystitis hyperplastic-wall type. LN and EGFR are helpful for the diagnosis of precancerous lesions and the differential diagnosis.
, 百拇医药
KEY WORDS cholecystitis; gallbladder neoplasms; hyperplasia; adenocarcinoma; laminin epidermal growth factor-urogas trone
层粘蛋白(laminin,LN)是基底膜结构的一种非胶原性糖蛋白,在癌变细胞的分化、生长、转移过程中起重要作用〔1,2〕;表皮生长因子受体(epidermal growth factor receptor, EGFR)由53个氨基酸构成,它能刺激或抑制多种细胞的增殖和分化〔3,4〕,二者均与细胞的恶性转化有关。我们对99例慢性胆囊炎壁肥厚和13例慢性胆囊炎后壁肥厚型腺癌进行LN和EGFR染色观察,以对慢性胆囊炎壁肥厚引起的腺上皮细胞增生、异型,最后导致癌变的病理变化过程进行深入研究。
1 材料和方法
, 百拇医药 1.1 材料 收集99例慢性胆囊炎壁肥厚和13例慢性胆囊炎后壁肥厚型腺癌。男44例,女68例。年龄最大81岁,最小42岁,平均58.7岁。标本经10%福尔马林液固定,常规石蜡包埋,5 μm厚切片,分别做HE染色和免疫组织化学染色。
1.2 免疫组织化学染色 采用S-P法,兔抗LN多克隆和鼠抗EGFR单克隆抗体为Dako公司产品,即用型试剂盒购自福州迈新公司。DAB显色,苏木素衬染,用PBS液代替第一抗体作阴性对照,用已知的阳性标本切片作阳性对照。
1.3 LN结果判定 主要观察腺体的基底膜,并以腺体基底膜线性棕色的完整性分为3类。Ⅰ类:有近乎完整的基底膜围绕腺体;Ⅱ类:基底膜棕色显示不完整、断裂、缺损、变薄或增厚不匀称;Ⅲ类:基本没有形成基底膜。
1.4 EGFR结果判定 阴性(-):无棕色反应;弱阳性(+):部分细胞显示棕色;强阳性():绝大部分细胞显示棕色。
, http://www.100md.com
1.5 统计学分析 组间比较均进行χ2检验。
2 结果
2.1 组织病理学
2.1.1 慢性胆囊炎壁肥厚 纤维结缔组织增生,囊壁呈弥漫性或局限性增厚,分散在其间的腺体形态不规则,排列呈管状或巢状。根据胆囊壁的厚度和腺上皮异型增生的程度分为轻、中、重度。
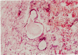
慢性胆囊炎壁肥厚,轻度:胆囊壁增厚<1.5 cm,呈局限性或弥漫性增厚,粘膜皱壁消失或增粗而呈小梁状。部分病例胆囊缩小,囊腔变窄。大多数病例伴有结石。组织学所见区域性上皮脱失,纤维结缔组织增生,伴有以淋巴细胞、浆细胞为主的炎细胞浸润;代偿性腺体增生集中,大小不等,形态不规则,腺上皮细胞呈Ⅰ级至Ⅱ级异型性增生(图1)。
, 百拇医药
图1 纤维性结缔组织间分布不规则轻度异型增生的胆囊腺体.HE×100
慢性胆囊炎壁肥厚,重度:胆囊壁增厚>2.5 cm,呈局限性或弥漫性增厚,粘膜皱壁消失,表面可为黑色、粗糙,有或无小的结节状改变。切面灰白色夹杂有黄色、褐色区域。多伴有结石。局部淋巴结可肿大,与肝可有粘连。组织学所见大部分区域上皮脱失,大量纤维组织增生,伴有以淋巴细胞、浆细胞为主的炎细胞浸润,淋巴滤泡形成;罗阿窦下延,可深达肌层或穿过肌层;代偿性区域性腺体增生集中,显示腺上皮细胞Ⅲ级异型性增生(图2)。
图2 含多量炎细胞的纤维结缔组织间增生的胆囊腺体显示重度异型性.HE×100
慢性胆囊炎壁肥厚,中度:介于上述两型之间。
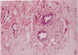
2.1.2 慢性胆囊炎后壁肥厚型腺癌 胆囊壁增厚多属重度的慢性胆囊炎壁肥厚,多为局限性的结节状改变。组织学所见,增生的纤维结缔组织间有分布不均、形态不规则的腺癌结构。癌细胞形成大小不等,形态不一,排列不规则的腺样结构,细胞不规则地排列单层或复层,核大小不一,核分裂象易见(图3)。部分区域腺腔扩张呈囊状或者形成粘液池。伴有淋巴细胞,以及浆细胞为主的炎细胞浸润。癌组织可侵及肝组织或有局部淋巴结转移。癌组织内有移行过渡的增生性胆囊腺上皮。
, 百拇医药
图3 增生的纤维结缔组织间分布不均的管状腺癌结构,排列不规则,细胞大小不等,病理性核分裂象易见.HE×200
2.2 免疫组织化学染色结果
2.2.1 层粘蛋白表达 胆囊炎壁肥厚轻度和中度,多为LN Ⅰ类,少数为LNⅡ类分布;慢性胆囊炎重度,增生的腺体LN分布明显不规则,多为LN Ⅱ类,少数LN Ⅲ类分布(图4);慢性胆囊炎后性壁肥厚型腺癌,腺体LN分布更加不规则,主要是LN Ⅲ类分布,部分病例腺癌细胞呈阳性表达。慢性胆囊炎壁肥厚轻度和中度与胆囊炎壁肥厚重度、慢性胆囊炎后壁肥厚型腺癌比较差异有显著性(P<0.01),见表1。
图4 慢性胆囊炎壁重度肥厚,异型增生的腺体LN分布不完整,断裂,缺损.S-P×300
表1 LN在胆囊炎壁肥厚和胆囊炎后性壁肥厚型腺癌中的分布 组 别
, 百拇医药
n
Ⅰ
Ⅱ
Ⅲ
胆囊炎壁肥厚
异型增生 Ⅰ
45
39
6
0
异型增生 Ⅱ
31
22
, 百拇医药 7
2
异型增生 Ⅲ
23
0
8
15
胆囊炎后壁
肥厚型腺癌
13
0
2
11
2.2.2 EGFR表达 慢性胆囊炎壁肥厚轻度和中度显示区域性的弱阳性表达,慢性胆囊炎壁肥厚重度呈现区域性阳性表达(图5)。慢性胆囊炎壁肥厚重度、慢性胆囊炎后壁肥厚型腺癌与慢性胆囊炎壁肥厚轻度、中度之间的阳性表达,差异有显著性(P<0.01),见表2。
, 百拇医药
图5 慢性胆囊炎壁重度肥厚,异型增生的腺体EGFR呈阳性表达.S-P×100
表2 EGFR在胆囊炎壁肥厚和胆囊炎后性壁肥厚型腺癌中的表达 组 别
n
阴性
阳性
阳性率(%)
+
胆囊炎壁肥厚
异型增生 Ⅰ
45
, 百拇医药
27
15
3
31.1
异型增生 Ⅱ
31
19
8
4
35.5
异型增生 Ⅲ
23
12
, http://www.100md.com 4
7
52.2
胆囊炎后壁
肥厚型腺癌
13
5
2
6
61.5
3 讨论
近年来文献报道〔5〕胆囊癌的发病率有增加的趋向,表现在外科临床上所遇到此类患者的数目增加。而胆囊癌以其预后极差而倍受关注。由于在我国尚无大宗病例的统计资料,所以胆囊癌的发病率尚难于确定。文献报道胆囊癌占消化道系统肿瘤的第5位〔6〕。胆囊癌诊治的最突出问题是早期发现者太少,术前误诊率太高,治愈性手术切除率太低。提高胆囊癌的手术治疗效果关键在于提高早期诊断率,特别是基层医院的诊断水平〔5〕。大量临床病检材料,发现长期的慢性胆囊炎引起纤维结缔组织增生,囊壁呈不规则的结节状增厚,罗阿窦下沿显著。分散在纤维结缔组织间的腺体增生,其形态及大小不规则,有的区域形成不规则的管状,实体巢状或小泡状等结构,显示不等程度的异型性。我们过去对慢性胆囊炎壁肥厚所致的腺上皮增生、异型、癌变过程中的细胞核DNA含量测定、PCNA检测和p21基因表达〔7~9〕证明细胞增殖活跃。本文所见慢性胆囊炎壁肥厚型腺癌,除囊壁的弥漫性或局限性增厚外,组织学所见管状腺癌的结构。癌细胞形成大小不一,排列不规则的腺样结构,细胞不规则地排列单层或复层,核大小不一,核分裂象易见。同时可以见到增生的胆囊腺上皮细胞成分,并且显示移行过渡的现象。提示慢性胆囊炎壁肥厚是重要的癌前病变。
, http://www.100md.com
3.1 鉴别诊断
3.1.1 慢性胆囊炎后壁肥厚型腺癌与硬癌的鉴别 ①两者的肉眼所见相近,但硬癌发生在胆囊者少见,切面呈灰白色,质比较硬,而前者为轻至中等硬度,切面见灰白色区域夹杂着黄、褐色多样;②硬癌属未分化的癌细胞,组织结构上以形成条索、团块状结构散在于增生的纤维组织间,而前者属分化形成腺样结构的癌细胞,组织学结构上以形成管状腺癌夹杂在含有大量炎细胞的纤维组织间。③硬癌无胆囊腺上皮移形过渡现象,而前者在癌的周围多可见到移形过渡现象。
3.1.2 慢性胆囊炎后壁肥厚型腺癌与分化型腺癌的鉴别 ①胆囊分化型腺癌有向腔内突入的肿块,而前者则不形成肿块;②胆囊分化型腺癌镜下见纤维结缔组织和炎细胞少,为密集排列的腺管状腺癌的结构,而前者大量纤维结缔组织含有以淋巴细胞为主的炎细胞内散在管状结构的腺管。
3.1.3 慢性胆囊炎后壁肥厚型腺癌与慢性胆囊炎壁肥厚的鉴别 前者临床上具有2~5年以上的胆囊炎、胆囊结石病史和B超提示胆囊炎伴壁增厚或胆石症。手术切除的胆囊标本中,胆囊壁结节状增厚更加明显,镜下所见腺癌结构;而后者胆囊壁增厚,更重要的是腺上皮细胞仅有不同程度的异型性。
, 百拇医药
3.2 LN和EGFR的表达 LN是附着在基底膜上,由主质细胞合成分泌,它是基底膜结构的内源性和固有成分,与外源性纤维连接蛋白、Ⅳ型胶原等共同构成的。同时主质细胞也能分泌降解物质如胶原酸、丝氨酸酶等,分解基底膜结构。这样基底膜成分处于不断合成和降解的动态平衡中得以维持完整结构。它能支持主质细胞,并调节细胞分化、形态和极性。在发生肿瘤情况时〔10〕,瘤细胞同样具有合成分泌和降解基底膜结构的物资,随瘤细胞分化不同,其分泌合成和降解物资的能力也不同。当合成物资多于降解物资时,基底膜结构完整,能延缓瘤细胞的侵袭;当降解物资多于合成物资时,基底膜结构融解缺失,瘤细胞得以生长侵袭〔1,2,10〕。本文所见胆囊炎壁肥厚轻、中度中腺体的基底膜有LN分布,但有厚薄不匀现象,近乎完整的基底膜围绕腺体,而胆囊炎壁肥厚重度、显示基底膜不完整、断裂、缺损等,慢性胆囊炎壁肥厚型腺癌的腺体缺乏基底膜围绕,或有的癌细胞阳性表达,说明LN染色对胆囊腺上皮的增生、异型、癌变过程的判定有重要意义。
EGFR基因的拷贝数增加或过渡表达,均能促进正常细胞的转化。研究还发现在癌旁组织或在不典型增生细胞和肿瘤细胞的过渡区有异常表达,可能是肿瘤周围的细胞受到肿瘤细胞分泌的因子的刺激开始表达EGFR,而EGFR的表达使“正常”的周围细胞逐渐向恶性表型转化〔3,4〕。本组结果与文献报道基本一致,在慢性胆囊炎壁肥厚轻度和中度均有一定程度的弱阳性表达,而慢性胆囊炎壁肥厚重度和慢性胆囊炎后壁肥厚型腺癌中阳性表达明显增强,差异有显著性(P<0.01)。本研究提示EGFR对了解慢性胆囊炎壁肥厚时腺上皮细胞增生程度,异型增生至癌变的生物学指标的研究有重要意义。
, 百拇医药
本文研究结果表明,LN和EGFR对胆囊腺上皮细胞的增殖、分化程度的检测,癌前病变的诊断和鉴别有重要意义,有显著的相关性。慢性胆囊炎引起囊壁结节状增厚,腺上皮细胞从增生到异型,最后可发展为慢性胆囊炎后壁肥厚型腺癌。有长期的胆囊炎、胆石症病史、B超提示有胆囊壁增厚者,应以手术切除为妥。
作者简介:王仰坤,男,44岁,副主任医师。研究方向:消化系病理
参考文献
1,Hewitt RE,Powe DG, Griffin NR et al. Relationships between epithelial basement membrane staining patterns in primary colorectal carcinomas and the extent of tumor spread. Int J Cancer,1991;48:855
, 百拇医药
2,Grigioni WF, Garbisa S, DErrico A et al. Evaluation of hepatocellular carcinoma agrressiveness by a pand of extracellular matrix antigens. Am J Pathol,1991;138:647
3,Hirayama D, Fujimori T, Satonaka K. Immunohistochemical study of epidermal growth factor and transforming growth factor-β in the penetrating type of early gastric cancer. Hum Pathol,1992;23:681
4,Mayer A, Takimoto M, Fritz E et al.The prognostic significance of proliferating cell nuclear antigen, epidermal growth factor recptor and mdr gene expression in colorectal cancer. Cancer, 1993;71:2454
, 百拇医药
5,黄志强. 加强对胆囊癌的诊断与治疗. 中华外科杂志,1997;35(11):643
6,石景森,周连锁,王作仁等. 肝外胆道癌830例临床分析. 中华外科杂志,1997;35(11):645
7,王仰坤,马乃绪,田德明等. p21蛋白和细胞核DNA含量在胆囊炎后性壁肥厚型腺癌中的研究. 中国肿瘤临床与康复,1998;5(1):8
8,王仰坤,张云国,宋金森等. 慢性胆囊炎和胆囊癌增殖细胞核抗原的免疫组织化学研究. 临床肝胆病杂志,1996;12(2):76
9,张学斌,张冠军,杨兆瑞等. 胆囊粘膜增生、异型增生和癌细胞核的DNA、AgNOR含量测定研究. 中华消化杂志,1996;16(2):112
10,Barsky SH, Siegal GP, Jannotta F et al. Loss of basement membrance components by invasive tumors but not by their benign counterparts. Lab Invest,1983;49:140
收稿日期:1998-04-09, 百拇医药
单位:王仰坤 马乃绪 潘红 关慧娟(山东省兖州矿业集团总医院病理科 273500)
关键词:胆囊炎;胆囊肿瘤;增生;腺癌;层粘蛋白;表皮生长因子-尿抑胃素
临床与实验病理学杂志990307摘要 目的:探讨慢性胆囊炎所致腺上皮增生、异型、癌变过程中层粘蛋白和表皮生长因子的表达及其关系。方法:对99例慢性胆囊炎壁肥厚和13例慢性胆囊炎后壁肥厚型腺癌,采用免疫组织化学S-P法,观察层粘蛋白和表皮生长因子的表达。结果:慢性胆囊炎引起胆囊壁结节状增厚,腺体增生、异型,最后导致壁肥厚型腺癌。胆囊炎后壁腺上皮异型增生中层粘蛋白显示基底膜线性结构缺损,厚薄不匀;表皮生长因子表达腺上皮细胞随异型增生程度的增加而阳性表达递增。结论:慢性胆囊炎引起囊壁弥漫性或结节状增厚,分散其间的腺上皮细胞发生增生、异型,最后导致慢性胆囊炎后壁肥厚型腺癌;层粘蛋白和表皮生长因子有助于癌前病变的诊断和鉴别。
, 百拇医药
分类号 R735.8;R575.61 文献标识码 A
文章编号 1001-7399(1999)03-0207-04
Laminin and epidermal growth factorreceptor expression in dysplsia hyperplasia of gallbladder glande
Wang Yangkun, Ma Naixu, Pan Hong et al
(Dept of Pathol, 91st Hospital of PLA, Yanzhou 272000)
ABSTRACT Purpose To evaluate relationship between laminin(LN), epidermal growth factorreceptor (EGFR) expression and dysplasia hyperplasia of gallbladder gland. Methods Ninty-nine cases of chromic cholecystitis hyperplastic-wall and 13 cases adenocarcinoma of chronic cholcystitis hyperplastic-wall type were performed in expression of LN and EGFR with S-P immunohistochemical staining. Results Due to the chronic cholecystitis, the gallbladder wall was nodular incrassation, glandulous hyperplasia and dysplasia, in favor of the adenocarcinoma of chronic cholcystitis hyperplastic-wall type. LN showed linear formative breakdown and different thickness of basilemma in the hyperplasia of glandulous epidermis of chronic cholecystitis. EGFR increased with the seriousness of the dysplastic hyperplasia in gallbladder glandulous cells. Conclusion The epithelial dysplasia and hyperplasia of chronic cholecystitis hyperplasstic-wall of the grade Ⅲ develope the adenocarcinoma of chromic cholcystitis hyperplastic-wall type. LN and EGFR are helpful for the diagnosis of precancerous lesions and the differential diagnosis.
, 百拇医药
KEY WORDS cholecystitis; gallbladder neoplasms; hyperplasia; adenocarcinoma; laminin epidermal growth factor-urogas trone
层粘蛋白(laminin,LN)是基底膜结构的一种非胶原性糖蛋白,在癌变细胞的分化、生长、转移过程中起重要作用〔1,2〕;表皮生长因子受体(epidermal growth factor receptor, EGFR)由53个氨基酸构成,它能刺激或抑制多种细胞的增殖和分化〔3,4〕,二者均与细胞的恶性转化有关。我们对99例慢性胆囊炎壁肥厚和13例慢性胆囊炎后壁肥厚型腺癌进行LN和EGFR染色观察,以对慢性胆囊炎壁肥厚引起的腺上皮细胞增生、异型,最后导致癌变的病理变化过程进行深入研究。
1 材料和方法
, 百拇医药 1.1 材料 收集99例慢性胆囊炎壁肥厚和13例慢性胆囊炎后壁肥厚型腺癌。男44例,女68例。年龄最大81岁,最小42岁,平均58.7岁。标本经10%福尔马林液固定,常规石蜡包埋,5 μm厚切片,分别做HE染色和免疫组织化学染色。
1.2 免疫组织化学染色 采用S-P法,兔抗LN多克隆和鼠抗EGFR单克隆抗体为Dako公司产品,即用型试剂盒购自福州迈新公司。DAB显色,苏木素衬染,用PBS液代替第一抗体作阴性对照,用已知的阳性标本切片作阳性对照。
1.3 LN结果判定 主要观察腺体的基底膜,并以腺体基底膜线性棕色的完整性分为3类。Ⅰ类:有近乎完整的基底膜围绕腺体;Ⅱ类:基底膜棕色显示不完整、断裂、缺损、变薄或增厚不匀称;Ⅲ类:基本没有形成基底膜。
1.4 EGFR结果判定 阴性(-):无棕色反应;弱阳性(+):部分细胞显示棕色;强阳性():绝大部分细胞显示棕色。
, http://www.100md.com
1.5 统计学分析 组间比较均进行χ2检验。
2 结果
2.1 组织病理学
2.1.1 慢性胆囊炎壁肥厚 纤维结缔组织增生,囊壁呈弥漫性或局限性增厚,分散在其间的腺体形态不规则,排列呈管状或巢状。根据胆囊壁的厚度和腺上皮异型增生的程度分为轻、中、重度。
慢性胆囊炎壁肥厚,轻度:胆囊壁增厚<1.5 cm,呈局限性或弥漫性增厚,粘膜皱壁消失或增粗而呈小梁状。部分病例胆囊缩小,囊腔变窄。大多数病例伴有结石。组织学所见区域性上皮脱失,纤维结缔组织增生,伴有以淋巴细胞、浆细胞为主的炎细胞浸润;代偿性腺体增生集中,大小不等,形态不规则,腺上皮细胞呈Ⅰ级至Ⅱ级异型性增生(图1)。
, 百拇医药
图1 纤维性结缔组织间分布不规则轻度异型增生的胆囊腺体.HE×100
慢性胆囊炎壁肥厚,重度:胆囊壁增厚>2.5 cm,呈局限性或弥漫性增厚,粘膜皱壁消失,表面可为黑色、粗糙,有或无小的结节状改变。切面灰白色夹杂有黄色、褐色区域。多伴有结石。局部淋巴结可肿大,与肝可有粘连。组织学所见大部分区域上皮脱失,大量纤维组织增生,伴有以淋巴细胞、浆细胞为主的炎细胞浸润,淋巴滤泡形成;罗阿窦下延,可深达肌层或穿过肌层;代偿性区域性腺体增生集中,显示腺上皮细胞Ⅲ级异型性增生(图2)。
图2 含多量炎细胞的纤维结缔组织间增生的胆囊腺体显示重度异型性.HE×100
慢性胆囊炎壁肥厚,中度:介于上述两型之间。
2.1.2 慢性胆囊炎后壁肥厚型腺癌 胆囊壁增厚多属重度的慢性胆囊炎壁肥厚,多为局限性的结节状改变。组织学所见,增生的纤维结缔组织间有分布不均、形态不规则的腺癌结构。癌细胞形成大小不等,形态不一,排列不规则的腺样结构,细胞不规则地排列单层或复层,核大小不一,核分裂象易见(图3)。部分区域腺腔扩张呈囊状或者形成粘液池。伴有淋巴细胞,以及浆细胞为主的炎细胞浸润。癌组织可侵及肝组织或有局部淋巴结转移。癌组织内有移行过渡的增生性胆囊腺上皮。
, 百拇医药
图3 增生的纤维结缔组织间分布不均的管状腺癌结构,排列不规则,细胞大小不等,病理性核分裂象易见.HE×200
2.2 免疫组织化学染色结果
2.2.1 层粘蛋白表达 胆囊炎壁肥厚轻度和中度,多为LN Ⅰ类,少数为LNⅡ类分布;慢性胆囊炎重度,增生的腺体LN分布明显不规则,多为LN Ⅱ类,少数LN Ⅲ类分布(图4);慢性胆囊炎后性壁肥厚型腺癌,腺体LN分布更加不规则,主要是LN Ⅲ类分布,部分病例腺癌细胞呈阳性表达。慢性胆囊炎壁肥厚轻度和中度与胆囊炎壁肥厚重度、慢性胆囊炎后壁肥厚型腺癌比较差异有显著性(P<0.01),见表1。
图4 慢性胆囊炎壁重度肥厚,异型增生的腺体LN分布不完整,断裂,缺损.S-P×300
表1 LN在胆囊炎壁肥厚和胆囊炎后性壁肥厚型腺癌中的分布 组 别
, 百拇医药
n
Ⅰ
Ⅱ
Ⅲ
胆囊炎壁肥厚
异型增生 Ⅰ
45
39
6
0
异型增生 Ⅱ
31
22
, 百拇医药 7
2
异型增生 Ⅲ
23
0
8
15
胆囊炎后壁
肥厚型腺癌
13
0
2
11
2.2.2 EGFR表达 慢性胆囊炎壁肥厚轻度和中度显示区域性的弱阳性表达,慢性胆囊炎壁肥厚重度呈现区域性阳性表达(图5)。慢性胆囊炎壁肥厚重度、慢性胆囊炎后壁肥厚型腺癌与慢性胆囊炎壁肥厚轻度、中度之间的阳性表达,差异有显著性(P<0.01),见表2。
, 百拇医药
图5 慢性胆囊炎壁重度肥厚,异型增生的腺体EGFR呈阳性表达.S-P×100
表2 EGFR在胆囊炎壁肥厚和胆囊炎后性壁肥厚型腺癌中的表达 组 别
n
阴性
阳性
阳性率(%)
+
胆囊炎壁肥厚
异型增生 Ⅰ
45
, 百拇医药
27
15
3
31.1
异型增生 Ⅱ
31
19
8
4
35.5
异型增生 Ⅲ
23
12
, http://www.100md.com 4
7
52.2
胆囊炎后壁
肥厚型腺癌
13
5
2
6
61.5
3 讨论
近年来文献报道〔5〕胆囊癌的发病率有增加的趋向,表现在外科临床上所遇到此类患者的数目增加。而胆囊癌以其预后极差而倍受关注。由于在我国尚无大宗病例的统计资料,所以胆囊癌的发病率尚难于确定。文献报道胆囊癌占消化道系统肿瘤的第5位〔6〕。胆囊癌诊治的最突出问题是早期发现者太少,术前误诊率太高,治愈性手术切除率太低。提高胆囊癌的手术治疗效果关键在于提高早期诊断率,特别是基层医院的诊断水平〔5〕。大量临床病检材料,发现长期的慢性胆囊炎引起纤维结缔组织增生,囊壁呈不规则的结节状增厚,罗阿窦下沿显著。分散在纤维结缔组织间的腺体增生,其形态及大小不规则,有的区域形成不规则的管状,实体巢状或小泡状等结构,显示不等程度的异型性。我们过去对慢性胆囊炎壁肥厚所致的腺上皮增生、异型、癌变过程中的细胞核DNA含量测定、PCNA检测和p21基因表达〔7~9〕证明细胞增殖活跃。本文所见慢性胆囊炎壁肥厚型腺癌,除囊壁的弥漫性或局限性增厚外,组织学所见管状腺癌的结构。癌细胞形成大小不一,排列不规则的腺样结构,细胞不规则地排列单层或复层,核大小不一,核分裂象易见。同时可以见到增生的胆囊腺上皮细胞成分,并且显示移行过渡的现象。提示慢性胆囊炎壁肥厚是重要的癌前病变。
, http://www.100md.com
3.1 鉴别诊断
3.1.1 慢性胆囊炎后壁肥厚型腺癌与硬癌的鉴别 ①两者的肉眼所见相近,但硬癌发生在胆囊者少见,切面呈灰白色,质比较硬,而前者为轻至中等硬度,切面见灰白色区域夹杂着黄、褐色多样;②硬癌属未分化的癌细胞,组织结构上以形成条索、团块状结构散在于增生的纤维组织间,而前者属分化形成腺样结构的癌细胞,组织学结构上以形成管状腺癌夹杂在含有大量炎细胞的纤维组织间。③硬癌无胆囊腺上皮移形过渡现象,而前者在癌的周围多可见到移形过渡现象。
3.1.2 慢性胆囊炎后壁肥厚型腺癌与分化型腺癌的鉴别 ①胆囊分化型腺癌有向腔内突入的肿块,而前者则不形成肿块;②胆囊分化型腺癌镜下见纤维结缔组织和炎细胞少,为密集排列的腺管状腺癌的结构,而前者大量纤维结缔组织含有以淋巴细胞为主的炎细胞内散在管状结构的腺管。
3.1.3 慢性胆囊炎后壁肥厚型腺癌与慢性胆囊炎壁肥厚的鉴别 前者临床上具有2~5年以上的胆囊炎、胆囊结石病史和B超提示胆囊炎伴壁增厚或胆石症。手术切除的胆囊标本中,胆囊壁结节状增厚更加明显,镜下所见腺癌结构;而后者胆囊壁增厚,更重要的是腺上皮细胞仅有不同程度的异型性。
, 百拇医药
3.2 LN和EGFR的表达 LN是附着在基底膜上,由主质细胞合成分泌,它是基底膜结构的内源性和固有成分,与外源性纤维连接蛋白、Ⅳ型胶原等共同构成的。同时主质细胞也能分泌降解物质如胶原酸、丝氨酸酶等,分解基底膜结构。这样基底膜成分处于不断合成和降解的动态平衡中得以维持完整结构。它能支持主质细胞,并调节细胞分化、形态和极性。在发生肿瘤情况时〔10〕,瘤细胞同样具有合成分泌和降解基底膜结构的物资,随瘤细胞分化不同,其分泌合成和降解物资的能力也不同。当合成物资多于降解物资时,基底膜结构完整,能延缓瘤细胞的侵袭;当降解物资多于合成物资时,基底膜结构融解缺失,瘤细胞得以生长侵袭〔1,2,10〕。本文所见胆囊炎壁肥厚轻、中度中腺体的基底膜有LN分布,但有厚薄不匀现象,近乎完整的基底膜围绕腺体,而胆囊炎壁肥厚重度、显示基底膜不完整、断裂、缺损等,慢性胆囊炎壁肥厚型腺癌的腺体缺乏基底膜围绕,或有的癌细胞阳性表达,说明LN染色对胆囊腺上皮的增生、异型、癌变过程的判定有重要意义。
EGFR基因的拷贝数增加或过渡表达,均能促进正常细胞的转化。研究还发现在癌旁组织或在不典型增生细胞和肿瘤细胞的过渡区有异常表达,可能是肿瘤周围的细胞受到肿瘤细胞分泌的因子的刺激开始表达EGFR,而EGFR的表达使“正常”的周围细胞逐渐向恶性表型转化〔3,4〕。本组结果与文献报道基本一致,在慢性胆囊炎壁肥厚轻度和中度均有一定程度的弱阳性表达,而慢性胆囊炎壁肥厚重度和慢性胆囊炎后壁肥厚型腺癌中阳性表达明显增强,差异有显著性(P<0.01)。本研究提示EGFR对了解慢性胆囊炎壁肥厚时腺上皮细胞增生程度,异型增生至癌变的生物学指标的研究有重要意义。
, 百拇医药
本文研究结果表明,LN和EGFR对胆囊腺上皮细胞的增殖、分化程度的检测,癌前病变的诊断和鉴别有重要意义,有显著的相关性。慢性胆囊炎引起囊壁结节状增厚,腺上皮细胞从增生到异型,最后可发展为慢性胆囊炎后壁肥厚型腺癌。有长期的胆囊炎、胆石症病史、B超提示有胆囊壁增厚者,应以手术切除为妥。
作者简介:王仰坤,男,44岁,副主任医师。研究方向:消化系病理
参考文献
1,Hewitt RE,Powe DG, Griffin NR et al. Relationships between epithelial basement membrane staining patterns in primary colorectal carcinomas and the extent of tumor spread. Int J Cancer,1991;48:855
, 百拇医药
2,Grigioni WF, Garbisa S, DErrico A et al. Evaluation of hepatocellular carcinoma agrressiveness by a pand of extracellular matrix antigens. Am J Pathol,1991;138:647
3,Hirayama D, Fujimori T, Satonaka K. Immunohistochemical study of epidermal growth factor and transforming growth factor-β in the penetrating type of early gastric cancer. Hum Pathol,1992;23:681
4,Mayer A, Takimoto M, Fritz E et al.The prognostic significance of proliferating cell nuclear antigen, epidermal growth factor recptor and mdr gene expression in colorectal cancer. Cancer, 1993;71:2454
, 百拇医药
5,黄志强. 加强对胆囊癌的诊断与治疗. 中华外科杂志,1997;35(11):643
6,石景森,周连锁,王作仁等. 肝外胆道癌830例临床分析. 中华外科杂志,1997;35(11):645
7,王仰坤,马乃绪,田德明等. p21蛋白和细胞核DNA含量在胆囊炎后性壁肥厚型腺癌中的研究. 中国肿瘤临床与康复,1998;5(1):8
8,王仰坤,张云国,宋金森等. 慢性胆囊炎和胆囊癌增殖细胞核抗原的免疫组织化学研究. 临床肝胆病杂志,1996;12(2):76
9,张学斌,张冠军,杨兆瑞等. 胆囊粘膜增生、异型增生和癌细胞核的DNA、AgNOR含量测定研究. 中华消化杂志,1996;16(2):112
10,Barsky SH, Siegal GP, Jannotta F et al. Loss of basement membrance components by invasive tumors but not by their benign counterparts. Lab Invest,1983;49:140
收稿日期:1998-04-09, 百拇医药