肝内胆管细胞癌的CT特征与病理对照研究
作者:吴义忠1 陈义雄1 吴剑波1 麦铁江2 赵振国3
单位:广东医学院附属医院 ;吴义忠、陈义雄、吴剑波:放射科 麦铁江:普外科 湛江524001; 赵振国:南海西部石油公司职工医院,湛江524056
关键词:肝肿瘤;病理学;体层摄影术;X线计算机
广东医学院学报990309摘要 目的:观察肝内胆管细胞癌的CT特征及其病理基础。方法:13例经病理证实的肝内胆管细胞癌均行CT平扫及增强扫描,其中部分病例加做CT延迟扫描;13例肝内胆管细胞癌均行病理切片观察。结果:13例CT均表现低密度,伴肝内胆管扩张6例,合并肝内胆管结石4例;增强扫描呈线样强化5例,网格样强化4例,结节状强化2例,无明显强化2例。病理切片显示肝内胆管细胞癌纤维组 织丰富,血管稀少,这是肝内胆管细胞癌CT增强扫描呈各种各样强化的病理基础。结论:CT平扫低密度而增强呈线样及网格样强化,对肝内胆管癌有诊断和鉴别诊断价值。
, 百拇医药
A comparative study of featu res of intrahepatic cholangiocarcinoma
in CT scan with pathologic view
Wu Yizhong,Chen Yixiong,Wu Jianbo,et al
(Department of Radiology,Affiliated Hospital of Guangdong Medical Colleg e,Zhanjiang 524001)
Abstract Objective:To observe th e features of intrahepatic cholangiocarc inoma in CT scan and their pathologi c background.Methods:13 patients with intrahepatic cholangiocarcinoma co nfirmed by pathology were examined w ith common CT scanning,contrast-enha nced CT scanning,and 4 of them had de layed CT scanning too.Results:Al l patients were found to have hypodense areas in the growth,and with duct di latation presented in 6 cases,intrah epatic bile duct calculi in 4 on une nhanced CT scan.There were linear en hancement in 5 cases,reticular enhan cement in 4,nodular enhancement in 2 and invisible enhancement in 2.Unde r microscopic observation slides of the growth showed fibrosis in plenty and the rarity in blood vessel in different amounts.This could be the pathologic basis of the features of CT scan in intrahepatic cholangiocarcin oma.Conclusions:The hypo density in common CT scan plus the linear and reticular enhancement in contrast-enhan ced CT scan is of value in making a diag nosis or differential diagnosis of intrahepatic cholangiocarcinoma.
, 百拇医药
Key words:liver neoplasms;pa thology;tomography,X-ray computed
肝内胆管细胞癌是原发性肝癌的少见类型。近年来,国内外文献已有报道[1~4],其影像、病理及临床表现均与肝细胞癌有所不同,为进一步提高肝内胆管癌CT诊断及鉴别诊断水平,作者收集我院10年来经病理证实的肝内胆管细胞癌13例,行CT与病理对照观察,旨在研究肝内胆管细胞癌的CT特征及在诊断和鉴别诊断的意义。
1 材料与方法
1.1 病例 本组13例中,男9例,女4例,年龄35~63岁,平均50岁。主要症状;上腹痛8例,消瘦、体重下降6例,腹部包块3例,无明显症状2例;肝脏肿大7例、黄疸4例,伴胆石症及胆道蛔虫症2例,胆管手术史2例。化验检 查:所有病例经AFP检查,结果均为阴性,但CEA检查有4例阳性。本组13例中4例行病灶穿刺活检,9例剖腹探查。所有标本经4%甲醛固定,石蜡包埋切 片,H.E染色,用光镜观察诊断结果。
, 百拇医药
1.2 检查方法 本组13例均作全肝CT平扫,层厚8mm、层距10mm。然后静脉团注60%泛影葡胺60~80mL,行CT增强扫描,其中4例在病灶最大层面加做延迟扫描。所用CT机为Somatom CR和GE prospeed。
2 结果
2.1 CT平扫 本组13例均表现为低密度病灶,CT值18~32Hu, 8例显示边缘不清,5例边界清楚;病灶位于左叶10例,右叶2例,左右叶同时 受累1例;伴有肝内胆管扩张6例及肝内胆管结石4例。
2.2 CT增强扫描 低密度病灶内见线样强化5例CT值45~60Hu,低于正常强化的肝组织密度(70~80 Hu),线样强化常伴行有胆汁淤积 的肝内扩张胆管,其内密度18~20Hu(图1);网格样强化4例,其强化程度及形态类似内有分隔的肝脓肿,但它无明显的壁及周围晕样水肿带,周围门静脉可被侵蚀或受压变窄(图2),这点可与肝细胞癌相鉴别。
, http://www.100md.com
图1 肝左叶胆管细胞癌,增强扫描呈“线样”强化,与扩张的肝内胆管伴行
图2 肝左叶胆管细胞癌,增强扫描呈“网格样”强
化,肝内门静脉受压。
2.3 CT延迟扫描 4例增强后于病灶最大层面做“两快一慢”延迟扫描,有1例似见边缘结节样强化,1例边缘强化而病变略缩小,肿瘤边界更清楚,但没有肝血管瘤典型的“早出晚归”及肿瘤向心性高密度或等密度强化的特征,这点可与 肝血管瘤鉴别。
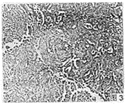
2.4 病理镜检所见 本组12例表现为典型腺癌结构,多为柱状或立方上皮,瘤巢间质富含纤维组织,血管分布较稀疏(图3),1例表现为乳头状癌。
, 百拇医药
图3 见腺癌组织内含有大量纤维组织,血管稀少(为图2 病理切片HE×10 0)
3 讨论
3.1 肝内胆管细胞癌的CT强化特征与鉴别诊断及其病理表现 本组资料显示肝内胆管细胞癌CT平扫均表现为低密度,增强扫描呈线样强化(38.5%)和网格样强化(30.7%)。说明线样强化和网格强化为肝内胆管细 胞癌较具特征性的CT表现,有别于原发性肝细胞癌增强早期瞬间普遍高密度强化,门静脉期呈低密度的CT表现特点[5]。血管造影显示肿瘤血管被包埋,末梢羽毛状[6]。本组病理资料亦显示肿瘤富含纤维组织,血管分布较稀疏。因此,强化往往出现较慢而且不显著。
线样强化和网格样强化其病理基础为胆管细胞癌呈浸润性生长,病灶内或肿瘤周围的门脉为肿瘤所浸润或包埋时,造影剂进入所形成的征象[2]。一般认为肝内胆管细胞癌侵犯肝静脉及门静脉较少见,但从实验及临床病理的研究[7]中,提示胆管细胞癌对血管、周围神经和淋巴管均有明显的侵蚀特性,这一点揭示了CT增强所见线样征和网格征符合肝内胆管癌的肿瘤生物学特征和病理学基础。
, http://www.100md.com
本组2例肿瘤边缘结节样或锥形强化,而中心大片状低密区无强化,也是肝内胆管细胞癌的一种强化表现。其病理基础是胆管细胞癌属少血型肿瘤,其中心往往由于缺血发生大片坏死,而且由于胆管细胞癌富含纤维间质结构,肿瘤坏死、残存间质成分于肿瘤边缘呈结节状或锥形结构,反映在CT增强所见的结节状或锥形强化。
肿瘤侵蚀或阻塞肝内较大胆管则往往引起不同程度的肝内胆管扩张,胆汁淤积或胆结石形成,这些CT征象是肝内胆管细胞癌的间接征象或阻塞征象,并不具有特征 性。
3.2 肝内胆管细胞癌的CT诊断与鉴别诊断的意义 CT平扫呈边界不清或清楚低密度病灶,增强扫描呈线样或网格样强化,则可以提示肝内胆管癌的诊断,如果伴有局部肝内胆管扩张,黄疸、CEA检查呈阳性,则 诊断更为明确。
当肿瘤边缘出现结节样强化时,则应与不典型海绵状血管瘤鉴别。但血管瘤强化结节密度更高(高于肝实质),持续时间更长。若结合临床表现或肝动脉造影进一步检查则两者更易区别。
, http://www.100md.com
个别不典型肝内胆管癌病例尚须与肝脓肿、单发肝转移瘤相鉴别。肝脓肿多呈环形壁强化,且壁周有低密度水肿带,临床有发热、白细胞增高等,鉴别一般不难。单发性转移瘤CT增强多呈环形强化,中心坏死而形成“靶征”也可以鉴别。少数CT 鉴别困难者应需行病灶穿剌活检进一步确诊。
4 参考文献
1 Soyer P,Bluemake DA,Reichle R,et al.Imaging of intrahepatic cholangiocar cinoma:Peripheral cholangiocarcinoma .AJR,1995,165:1427~1431
2 Soyer P,Bluemake DA,Reichle R,et a l.Imaging of intrahepatic cholangioc arcinoma:2.Hilar cholangiocarcinoma, AJR 1995,165:1433~1436
, http://www.100md.com
3 李子平,郑可国,许达生.胆管细胞型肝癌的CT诊断.中华放射学杂志,1 997,31:825~829
4 罗行中.肝内胆管细胞癌CT表现.中国计算机成像杂志,1998,4:3 6~39
5 赵宏,高盲敖,蔡祖龙,等.肝细胞癌的双时相螺旋CT扫描,1997,3 1(4):242~245
6 王茂强,张金山,曹丹庆,等.胆管细胞型肝癌的CT、MRI及血管造影表 现(附八例报告).中华放射学杂志,1995,29:845~849
7 王曙光,陈意生,彭志明,等.胆管癌对血管和神经周围间隙的侵犯及肿瘤血 管生成在浸润和转移中的意义.临床与实验病理杂志,1996,12:91~9 4
收稿日期:1999-04-23, 百拇医药
单位:广东医学院附属医院 ;吴义忠、陈义雄、吴剑波:放射科 麦铁江:普外科 湛江524001; 赵振国:南海西部石油公司职工医院,湛江524056
关键词:肝肿瘤;病理学;体层摄影术;X线计算机
广东医学院学报990309摘要 目的:观察肝内胆管细胞癌的CT特征及其病理基础。方法:13例经病理证实的肝内胆管细胞癌均行CT平扫及增强扫描,其中部分病例加做CT延迟扫描;13例肝内胆管细胞癌均行病理切片观察。结果:13例CT均表现低密度,伴肝内胆管扩张6例,合并肝内胆管结石4例;增强扫描呈线样强化5例,网格样强化4例,结节状强化2例,无明显强化2例。病理切片显示肝内胆管细胞癌纤维组 织丰富,血管稀少,这是肝内胆管细胞癌CT增强扫描呈各种各样强化的病理基础。结论:CT平扫低密度而增强呈线样及网格样强化,对肝内胆管癌有诊断和鉴别诊断价值。
, 百拇医药
A comparative study of featu res of intrahepatic cholangiocarcinoma
in CT scan with pathologic view
Wu Yizhong,Chen Yixiong,Wu Jianbo,et al
(Department of Radiology,Affiliated Hospital of Guangdong Medical Colleg e,Zhanjiang 524001)
Abstract Objective:To observe th e features of intrahepatic cholangiocarc inoma in CT scan and their pathologi c background.Methods:13 patients with intrahepatic cholangiocarcinoma co nfirmed by pathology were examined w ith common CT scanning,contrast-enha nced CT scanning,and 4 of them had de layed CT scanning too.Results:Al l patients were found to have hypodense areas in the growth,and with duct di latation presented in 6 cases,intrah epatic bile duct calculi in 4 on une nhanced CT scan.There were linear en hancement in 5 cases,reticular enhan cement in 4,nodular enhancement in 2 and invisible enhancement in 2.Unde r microscopic observation slides of the growth showed fibrosis in plenty and the rarity in blood vessel in different amounts.This could be the pathologic basis of the features of CT scan in intrahepatic cholangiocarcin oma.Conclusions:The hypo density in common CT scan plus the linear and reticular enhancement in contrast-enhan ced CT scan is of value in making a diag nosis or differential diagnosis of intrahepatic cholangiocarcinoma.
, 百拇医药
Key words:liver neoplasms;pa thology;tomography,X-ray computed
肝内胆管细胞癌是原发性肝癌的少见类型。近年来,国内外文献已有报道[1~4],其影像、病理及临床表现均与肝细胞癌有所不同,为进一步提高肝内胆管癌CT诊断及鉴别诊断水平,作者收集我院10年来经病理证实的肝内胆管细胞癌13例,行CT与病理对照观察,旨在研究肝内胆管细胞癌的CT特征及在诊断和鉴别诊断的意义。
1 材料与方法
1.1 病例 本组13例中,男9例,女4例,年龄35~63岁,平均50岁。主要症状;上腹痛8例,消瘦、体重下降6例,腹部包块3例,无明显症状2例;肝脏肿大7例、黄疸4例,伴胆石症及胆道蛔虫症2例,胆管手术史2例。化验检 查:所有病例经AFP检查,结果均为阴性,但CEA检查有4例阳性。本组13例中4例行病灶穿刺活检,9例剖腹探查。所有标本经4%甲醛固定,石蜡包埋切 片,H.E染色,用光镜观察诊断结果。
, 百拇医药
1.2 检查方法 本组13例均作全肝CT平扫,层厚8mm、层距10mm。然后静脉团注60%泛影葡胺60~80mL,行CT增强扫描,其中4例在病灶最大层面加做延迟扫描。所用CT机为Somatom CR和GE prospeed。
2 结果
2.1 CT平扫 本组13例均表现为低密度病灶,CT值18~32Hu, 8例显示边缘不清,5例边界清楚;病灶位于左叶10例,右叶2例,左右叶同时 受累1例;伴有肝内胆管扩张6例及肝内胆管结石4例。
2.2 CT增强扫描 低密度病灶内见线样强化5例CT值45~60Hu,低于正常强化的肝组织密度(70~80 Hu),线样强化常伴行有胆汁淤积 的肝内扩张胆管,其内密度18~20Hu(图1);网格样强化4例,其强化程度及形态类似内有分隔的肝脓肿,但它无明显的壁及周围晕样水肿带,周围门静脉可被侵蚀或受压变窄(图2),这点可与肝细胞癌相鉴别。
, http://www.100md.com
图1 肝左叶胆管细胞癌,增强扫描呈“线样”强化,与扩张的肝内胆管伴行
图2 肝左叶胆管细胞癌,增强扫描呈“网格样”强
化,肝内门静脉受压。
2.3 CT延迟扫描 4例增强后于病灶最大层面做“两快一慢”延迟扫描,有1例似见边缘结节样强化,1例边缘强化而病变略缩小,肿瘤边界更清楚,但没有肝血管瘤典型的“早出晚归”及肿瘤向心性高密度或等密度强化的特征,这点可与 肝血管瘤鉴别。
2.4 病理镜检所见 本组12例表现为典型腺癌结构,多为柱状或立方上皮,瘤巢间质富含纤维组织,血管分布较稀疏(图3),1例表现为乳头状癌。
, 百拇医药
图3 见腺癌组织内含有大量纤维组织,血管稀少(为图2 病理切片HE×10 0)
3 讨论
3.1 肝内胆管细胞癌的CT强化特征与鉴别诊断及其病理表现 本组资料显示肝内胆管细胞癌CT平扫均表现为低密度,增强扫描呈线样强化(38.5%)和网格样强化(30.7%)。说明线样强化和网格强化为肝内胆管细 胞癌较具特征性的CT表现,有别于原发性肝细胞癌增强早期瞬间普遍高密度强化,门静脉期呈低密度的CT表现特点[5]。血管造影显示肿瘤血管被包埋,末梢羽毛状[6]。本组病理资料亦显示肿瘤富含纤维组织,血管分布较稀疏。因此,强化往往出现较慢而且不显著。
线样强化和网格样强化其病理基础为胆管细胞癌呈浸润性生长,病灶内或肿瘤周围的门脉为肿瘤所浸润或包埋时,造影剂进入所形成的征象[2]。一般认为肝内胆管细胞癌侵犯肝静脉及门静脉较少见,但从实验及临床病理的研究[7]中,提示胆管细胞癌对血管、周围神经和淋巴管均有明显的侵蚀特性,这一点揭示了CT增强所见线样征和网格征符合肝内胆管癌的肿瘤生物学特征和病理学基础。
, http://www.100md.com
本组2例肿瘤边缘结节样或锥形强化,而中心大片状低密区无强化,也是肝内胆管细胞癌的一种强化表现。其病理基础是胆管细胞癌属少血型肿瘤,其中心往往由于缺血发生大片坏死,而且由于胆管细胞癌富含纤维间质结构,肿瘤坏死、残存间质成分于肿瘤边缘呈结节状或锥形结构,反映在CT增强所见的结节状或锥形强化。
肿瘤侵蚀或阻塞肝内较大胆管则往往引起不同程度的肝内胆管扩张,胆汁淤积或胆结石形成,这些CT征象是肝内胆管细胞癌的间接征象或阻塞征象,并不具有特征 性。
3.2 肝内胆管细胞癌的CT诊断与鉴别诊断的意义 CT平扫呈边界不清或清楚低密度病灶,增强扫描呈线样或网格样强化,则可以提示肝内胆管癌的诊断,如果伴有局部肝内胆管扩张,黄疸、CEA检查呈阳性,则 诊断更为明确。
当肿瘤边缘出现结节样强化时,则应与不典型海绵状血管瘤鉴别。但血管瘤强化结节密度更高(高于肝实质),持续时间更长。若结合临床表现或肝动脉造影进一步检查则两者更易区别。
, http://www.100md.com
个别不典型肝内胆管癌病例尚须与肝脓肿、单发肝转移瘤相鉴别。肝脓肿多呈环形壁强化,且壁周有低密度水肿带,临床有发热、白细胞增高等,鉴别一般不难。单发性转移瘤CT增强多呈环形强化,中心坏死而形成“靶征”也可以鉴别。少数CT 鉴别困难者应需行病灶穿剌活检进一步确诊。
4 参考文献
1 Soyer P,Bluemake DA,Reichle R,et al.Imaging of intrahepatic cholangiocar cinoma:Peripheral cholangiocarcinoma .AJR,1995,165:1427~1431
2 Soyer P,Bluemake DA,Reichle R,et a l.Imaging of intrahepatic cholangioc arcinoma:2.Hilar cholangiocarcinoma, AJR 1995,165:1433~1436
, http://www.100md.com
3 李子平,郑可国,许达生.胆管细胞型肝癌的CT诊断.中华放射学杂志,1 997,31:825~829
4 罗行中.肝内胆管细胞癌CT表现.中国计算机成像杂志,1998,4:3 6~39
5 赵宏,高盲敖,蔡祖龙,等.肝细胞癌的双时相螺旋CT扫描,1997,3 1(4):242~245
6 王茂强,张金山,曹丹庆,等.胆管细胞型肝癌的CT、MRI及血管造影表 现(附八例报告).中华放射学杂志,1995,29:845~849
7 王曙光,陈意生,彭志明,等.胆管癌对血管和神经周围间隙的侵犯及肿瘤血 管生成在浸润和转移中的意义.临床与实验病理杂志,1996,12:91~9 4
收稿日期:1999-04-23, 百拇医药