胃癌细胞凋亡指数的意义
作者:陈晓耕 王清水 施作霖
单位:陈晓耕 王清水 福建省立医院(福州 350001) 肿瘤科;施作霖 福建省立医院(福州 350001) 2.病理科
关键词:胃肿瘤;癌;细胞凋亡
福建医科大学学报990314 目的 探讨细胞凋亡指数表达(AI)与胃癌的分型、分期及预后关系。 方法 应用原位末端标记法对80例胃癌进行细胞凋亡指数研究。 结果 AI表达与临床分期有关(P<0.05),分期越晚,凋亡指数越高;表达与胃癌组织分化程度无关(P>0.05);不同生存年段中AI的表达无统计学差异(P>0.05);AI 不同表达强度的平均生存期也无统计学意义(P>0.05)。 结论 AI表达与胃癌的分期有关,与分型,预后无关;在瘤组织中的表达强度与生存期无关,不宜做为肿瘤预后的指标。
Apoptosis Index of Stomach Carcinoma Cells and its Significance with Prognosis
, http://www.100md.com
Chen Xiaogeng, Wang Qingshui, Shi Zuolin
(Department of Oncology, Fujian Provincial Hospital, Fuzhou, 350001)
Objective To investigate the apoptosis index(AI) expression and its influences to prognosis. Methods 80 cases of paraffin embedded stomach cancer tissues were stained by terminal deoxynucleotide I transferase mediated duTP-digoxigenin nick end labelling(TUNEL) for AI and correlated the results with tumor type, clinical stage and prognosis. Results AI expressed in 76.3% cancer tissues. The expression was associated with tumor clinical stage(P<0.05), the later stage, the higher expression of AI. AI also shows no relationships with tissue differentiation(P>0.05), and survival time. The strength of expression in tumor tissue also indicates no statistical significance with prognosis. Conclusion Expression of AI is related to the biologic behaviors of stomach cancer. TUNEL assessment of AI expression in stomach carcinoma /in normal tissue might be useful for tailoring chemotherapy and predict prognosis.
, 百拇医药
Key word stomach neoplasm; carcinoma; apoptosis
胃癌为临床最常见肿瘤之一,化疗单药有效率仅达20%~30%,预后差。笔者在检测细胞凋亡指数基础上结合10年的随访资料,分析细胞凋亡指数(AI)在不同胃癌类型、临床分期中的表达及与预后的关系,旨在为临床进一步了解胃癌的生物学特性、指导临床用药、正确判断预后提供参考依据。
1 材料和方法
1.1 病例材料 选取我院1987~1991 年随访资料完整的胃癌手术存档蜡块80例。男性58例,女性22例,年龄54.8±3.14岁(26~72岁)。 其中未分化癌12例,低分化腺癌30例,高中分化腺癌27例,粘液腺癌6例,印戒细胞癌5例;按UICC、TNM(1989)分期:Ⅰ期13例,Ⅱ期19例,Ⅲ期48例。术前均未行任何化疗或放疗。
, http://www.100md.com 1.2 检测方法 原位标记法(Tunel)试剂盒为德国宝灵曼公司产品,Tnnel试剂盒购自福州迈新公司。实验步骤按试剂盒说明书进行。石蜡切片4 μm厚。
1.2.1 原位末端标记法(TUNEL)过程 组织切片脱蜡后,用新鲜配制付甲醛液室温下固定30 min;渗透:用PBS洗一遍,将玻片置于渗透液放入冰箱4℃育2 min;标记:PBS洗,干燥加TUNEL反应试剂50 μl,可用加盖于加湿器内室温下反应60 min;加转换剂:PBS洗二次,室温干燥加转换剂(conreter-AP) 50 μl,玻片加盖,置于加湿器内37℃ 60 min;加底物:PBS冲洗,加底物50 μl,室温下降育10 min,PBS洗3遍,干燥,加盖封片光镜下观察。
1.2.2 阴性对照 用Well label solution 50 μl,代替Tunel试剂。
1.2.3 阳性对照 用已知的乳腺癌组织作阳性对照。
, 百拇医药
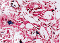
1.3 结果判断 AI阳性者胞核呈灰黑色(附图)。随机读取1000细胞,取阳性细胞数/总细胞数×100%, 以>5%为阳性,5%~15%(+),15%~30%(
),30%~45%(
),>45%(
)。
附图 细胞凋亡在胃癌中的表达
1.4 统计学方法 用EPI.INFO. 5.00建立数据库,在EPI,SPSS/PC+软件上做RXC列联χ2检验,RIDIT分析及Kruskal-Wallis分析。
, 百拇医药
2 结 果(表1~4)
表1 凋亡指数与肿瘤病理类型的关系 病理类型
凋亡指数
-
+


未分化
1
4
2
, http://www.100md.com
2
3
低分化
8
6
8
5
3
高中分化
8
6
10
1
2
, http://www.100md.com
粘液腺
1
1
2
0
2
印戒细胞
1
1
3
0
0
合 计
19
, http://www.100md.com
18
25
8
10
χ2=14.27, P>0.05.表2 凋亡指数与肿瘤临床分期的关系(Ridit分析) 分期
凋亡指数
合计
-
+


, http://www.100md.com
Ⅰ
3
4
2
0
4
13
Ⅱ
5
3
10
1
0
19
, http://www.100md.com
Ⅲ
11
11
13
7
6
48
合计
19
18
25
8
10
80
, 百拇医药
χ2=13.52, P<0.05.表3 凋亡指数与患者生存期关系 生存期
(年)
凋亡指数
-
+


<2
6
6
10
, 百拇医药
4
5
2~
3
4
3
0
1
5~
10
8
12
4
4
, http://www.100md.com
χ2=2.73, P>0.05.表4 凋亡指数不同标记强度与平均生存期的关系(Kruskal-Wallis法) 强度
n
平均生存期(年)
-
19
5.02
±
3.69
+
18
5.04
±
, 百拇医药
3.67
25
4.93
±
3.40
8
4.93
±
4.11
10
, 百拇医药
3.91
±
3.48
F=0.228, P>0.05.3 讨 论
胃癌对化疗不敏感,术后2年内复发转移率达50%~60%,使得各国都做了许多大量的研究工作,有关细胞凋亡与胃癌的关系已有不少的报道。细胞凋亡指数做为细胞恶性度判断及化学治疗的指标日益受到人们的重视,凋亡的下降意味着肿瘤恶性度高,易复发转移。化疗药物主要作用之一就是诱发凋亡的发生。研究细胞凋亡指数,结合生存随访资料,可以更加全面了解胃癌与细胞凋亡的内在联系,了解二者与预后的关系,为临床在选择化疗方案和判断疗效提供参改。
细胞凋亡又称程序性死亡,是由基因控制的程序化生理调节过程,凋亡与细胞生长一样是个细胞的基本过程,不仅保持机体自稳,而且对肿瘤的发生,发展治疗都起重大的作用,化疗药物可诱发细胞凋亡。Inadan[1]就裸鼠内移植胃癌细胞株用5-Fu做凋亡诱导实验见随时间延长凋亡细胞增加,停滞于S期细胞数增多。Shinohara[2]用Tunel检测胃癌AI发现胃癌组织内高分化、中分化组平均AI高于低分化组(高分化51±26.3、低分化28±18.8)。同样结果也为Ikeda[3]证实,他发现分化好的胃癌组织平均凋亡指数AI较分化差者高(P<0.05),但在各组内原位癌、早晚癌各期的AI无差别,可见胃癌细胞凋亡控制基因改变发生在早期,凋亡指数下降提示凋亡减少,癌瘤发生、发展、复发转移的机会就大。凋亡与化疗的敏感性密性相关,主要受BCL-2,p53基因的调节,表达野生型p53者化疗效果好,表达BCL-2 的肿瘤出现凋亡抑制,对化疗抵抗。本组80例中,阳性表达率为76.3%(61/80),分布与组织类型无关(P>0.05),未分化、低分化占54%,高中分化31%,余各型仅占少数<15%。但表达分布与临床分期有关,分期越高,凋亡指数越高, 提示肿瘤在恶性增殖浸润的同时,各期的凋亡指数有差异(P<0.05)(Ⅰ期为16.25%,Ⅱ期为23.7%,Ⅲ期为60%)这与Ikeda的认为凋亡指数表达只有良恶性的区别,无早晚期的鉴别看法是不一致的。笔者认为凋亡指数表达与分期有关,随着肿瘤的增殖浸润、体积增大,进入凋亡的细胞也增多。从表3看,各生存年段凋亡指数的分布无明显差异,提示凋亡也是细胞良恶性所共有的特征之一,凋亡指数上升提示细胞的分化增殖快,进入凋亡的细胞增多,随凋亡指数上升,临床分期越高。Ikeguchi[4]报道凋亡抑制基因BCL-2在高分化的胃癌表达高于低分化癌,肠型胃癌高于弥漫型胃癌,反之,低分化癌、弥漫型癌由于抑凋亡基因的低表达而具有较高的凋亡指数,生存期短。所以做为一个预后指标,对未经化疗病人有较高的凋亡指数提示恶性度较高,分期较晚,预后不佳。同时,凋亡指数可做为化疗和细胞恶性度的标志。
, 百拇医药
细胞凋亡做为正常细胞基因组所具有的功能,按基因的调控稳定组织的细胞量,属于内部自稳。通过上述讨论,但有些问题尚需进一步探讨:(1)细胞凋亡做为正常细胞的基因组表达之一,为什么有的正常组织不表达,其机制值得进一步研究;(2)瘤细胞AI的不同表达在临床上有不同的意义,主要做为判断化疗预后及细胞恶性度指标,其内在的联系基因调控情况尚未清楚。需从MRNA及蛋白质二个方面进行研究,真正了解其机制;(3)影响预后的因素有许多,研究中发现,单纯从凋亡指数来判断与预后的关系是不够的,因为都属细胞正常的基因表达,只有量上的变化,且是可逆的,表达强度受许多外界因素的影响,单因素分析AI与生存年段无关(P>0.05),Okajima[5]报道影响胃癌预后的因素依次有:肿瘤的浸润程度、淋巴结转移、远处转移、淋巴结清除、年龄、组织类型、肿瘤大小等。王清水等[6]报道胃癌预后主要与分期,淋巴浸润及手术方式有关。因此笔者认为应该从病人的年龄分型、分期、手术方式、耐药指标、凋亡指标及化疗情况综合全面分析,在诸因素中建立一个生存模型,建立统一标准的预后检测,同时通过临床试验筛选新的高效低毒的化疗药物,针对不同耐药机制选择并联合使用不同的化疗药物逆转剂以提高病人的生存率。
, http://www.100md.com
参考文献
1 Inada T,Ichikawa A,Kubota T,et al. 5-fu induced apoptosis correlates with efficacy against human gastric and colon cancer xenografts in nude mice. Anticancer Res, 1997;17:1965
2 Shinohara T,Ohshima K,Murayama H,et al. Apoptosis and prohibition in gastric carcinoma:the association with histological type. Histopathology, 1996;29:123
3 Ikeda M,Shomori K,Eudo K,et al. Frequent occurrence of apoptosis is an early event in the oncogenesis of human gastric carcinoma. Virchouws Arch, 1998;432:43
, 百拇医药
4 Ikeguchi M,Tatebes S,Kaibara N,et al. Changes in levels of expression of P53 and the product of the bcl-2 in lines of gastric cancer cell during cisplatin-induced apoptosis. Eur Surg Res, 1997;29;369
5 Okajima K,Sasako M,Kinoshita T,et al. Important prognosis factors for gastric cancer patients,change of significance in 6112 patients treated in 30 years period. 35th World Congress of International Society of Surgery.见:张天泽,徐光炜(主编).肿瘤学.天津:科技出版社,1996:1487
6 王清水,林孟波,林志武,等. 1629例胃癌手术治疗疗效总结. 中国肿瘤临床, 1995:22:17
(收稿:1999-06-02 修回:1999-07-12), 百拇医药
单位:陈晓耕 王清水 福建省立医院(福州 350001) 肿瘤科;施作霖 福建省立医院(福州 350001) 2.病理科
关键词:胃肿瘤;癌;细胞凋亡
福建医科大学学报990314 目的 探讨细胞凋亡指数表达(AI)与胃癌的分型、分期及预后关系。 方法 应用原位末端标记法对80例胃癌进行细胞凋亡指数研究。 结果 AI表达与临床分期有关(P<0.05),分期越晚,凋亡指数越高;表达与胃癌组织分化程度无关(P>0.05);不同生存年段中AI的表达无统计学差异(P>0.05);AI 不同表达强度的平均生存期也无统计学意义(P>0.05)。 结论 AI表达与胃癌的分期有关,与分型,预后无关;在瘤组织中的表达强度与生存期无关,不宜做为肿瘤预后的指标。
Apoptosis Index of Stomach Carcinoma Cells and its Significance with Prognosis
, http://www.100md.com
Chen Xiaogeng, Wang Qingshui, Shi Zuolin
(Department of Oncology, Fujian Provincial Hospital, Fuzhou, 350001)
Objective To investigate the apoptosis index(AI) expression and its influences to prognosis. Methods 80 cases of paraffin embedded stomach cancer tissues were stained by terminal deoxynucleotide I transferase mediated duTP-digoxigenin nick end labelling(TUNEL) for AI and correlated the results with tumor type, clinical stage and prognosis. Results AI expressed in 76.3% cancer tissues. The expression was associated with tumor clinical stage(P<0.05), the later stage, the higher expression of AI. AI also shows no relationships with tissue differentiation(P>0.05), and survival time. The strength of expression in tumor tissue also indicates no statistical significance with prognosis. Conclusion Expression of AI is related to the biologic behaviors of stomach cancer. TUNEL assessment of AI expression in stomach carcinoma /in normal tissue might be useful for tailoring chemotherapy and predict prognosis.
, 百拇医药
Key word stomach neoplasm; carcinoma; apoptosis
胃癌为临床最常见肿瘤之一,化疗单药有效率仅达20%~30%,预后差。笔者在检测细胞凋亡指数基础上结合10年的随访资料,分析细胞凋亡指数(AI)在不同胃癌类型、临床分期中的表达及与预后的关系,旨在为临床进一步了解胃癌的生物学特性、指导临床用药、正确判断预后提供参考依据。
1 材料和方法
1.1 病例材料 选取我院1987~1991 年随访资料完整的胃癌手术存档蜡块80例。男性58例,女性22例,年龄54.8±3.14岁(26~72岁)。 其中未分化癌12例,低分化腺癌30例,高中分化腺癌27例,粘液腺癌6例,印戒细胞癌5例;按UICC、TNM(1989)分期:Ⅰ期13例,Ⅱ期19例,Ⅲ期48例。术前均未行任何化疗或放疗。
, http://www.100md.com 1.2 检测方法 原位标记法(Tunel)试剂盒为德国宝灵曼公司产品,Tnnel试剂盒购自福州迈新公司。实验步骤按试剂盒说明书进行。石蜡切片4 μm厚。
1.2.1 原位末端标记法(TUNEL)过程 组织切片脱蜡后,用新鲜配制付甲醛液室温下固定30 min;渗透:用PBS洗一遍,将玻片置于渗透液放入冰箱4℃育2 min;标记:PBS洗,干燥加TUNEL反应试剂50 μl,可用加盖于加湿器内室温下反应60 min;加转换剂:PBS洗二次,室温干燥加转换剂(conreter-AP) 50 μl,玻片加盖,置于加湿器内37℃ 60 min;加底物:PBS冲洗,加底物50 μl,室温下降育10 min,PBS洗3遍,干燥,加盖封片光镜下观察。
1.2.2 阴性对照 用Well label solution 50 μl,代替Tunel试剂。
1.2.3 阳性对照 用已知的乳腺癌组织作阳性对照。
, 百拇医药
1.3 结果判断 AI阳性者胞核呈灰黑色(附图)。随机读取1000细胞,取阳性细胞数/总细胞数×100%, 以>5%为阳性,5%~15%(+),15%~30%(
附图 细胞凋亡在胃癌中的表达
1.4 统计学方法 用EPI.INFO. 5.00建立数据库,在EPI,SPSS/PC+软件上做RXC列联χ2检验,RIDIT分析及Kruskal-Wallis分析。
, 百拇医药
2 结 果(表1~4)
表1 凋亡指数与肿瘤病理类型的关系 病理类型
凋亡指数
-
+
未分化
1
4
2
, http://www.100md.com
2
3
低分化
8
6
8
5
3
高中分化
8
6
10
1
2
, http://www.100md.com
粘液腺
1
1
2
0
2
印戒细胞
1
1
3
0
0
合 计
19
, http://www.100md.com
18
25
8
10
χ2=14.27, P>0.05.表2 凋亡指数与肿瘤临床分期的关系(Ridit分析) 分期
凋亡指数
合计
-
+
, http://www.100md.com
Ⅰ
3
4
2
0
4
13
Ⅱ
5
3
10
1
0
19
, http://www.100md.com
Ⅲ
11
11
13
7
6
48
合计
19
18
25
8
10
80
, 百拇医药
χ2=13.52, P<0.05.表3 凋亡指数与患者生存期关系 生存期
(年)
凋亡指数
-
+
<2
6
6
10
, 百拇医药
4
5
2~
3
4
3
0
1
5~
10
8
12
4
4
, http://www.100md.com
χ2=2.73, P>0.05.表4 凋亡指数不同标记强度与平均生存期的关系(Kruskal-Wallis法) 强度
n
平均生存期(年)
-
19
5.02
±
3.69
+
18
5.04
±
, 百拇医药
3.67
25
4.93
±
3.40
8
4.93
±
4.11
10
, 百拇医药
3.91
±
3.48
F=0.228, P>0.05.3 讨 论
胃癌对化疗不敏感,术后2年内复发转移率达50%~60%,使得各国都做了许多大量的研究工作,有关细胞凋亡与胃癌的关系已有不少的报道。细胞凋亡指数做为细胞恶性度判断及化学治疗的指标日益受到人们的重视,凋亡的下降意味着肿瘤恶性度高,易复发转移。化疗药物主要作用之一就是诱发凋亡的发生。研究细胞凋亡指数,结合生存随访资料,可以更加全面了解胃癌与细胞凋亡的内在联系,了解二者与预后的关系,为临床在选择化疗方案和判断疗效提供参改。
细胞凋亡又称程序性死亡,是由基因控制的程序化生理调节过程,凋亡与细胞生长一样是个细胞的基本过程,不仅保持机体自稳,而且对肿瘤的发生,发展治疗都起重大的作用,化疗药物可诱发细胞凋亡。Inadan[1]就裸鼠内移植胃癌细胞株用5-Fu做凋亡诱导实验见随时间延长凋亡细胞增加,停滞于S期细胞数增多。Shinohara[2]用Tunel检测胃癌AI发现胃癌组织内高分化、中分化组平均AI高于低分化组(高分化51±26.3、低分化28±18.8)。同样结果也为Ikeda[3]证实,他发现分化好的胃癌组织平均凋亡指数AI较分化差者高(P<0.05),但在各组内原位癌、早晚癌各期的AI无差别,可见胃癌细胞凋亡控制基因改变发生在早期,凋亡指数下降提示凋亡减少,癌瘤发生、发展、复发转移的机会就大。凋亡与化疗的敏感性密性相关,主要受BCL-2,p53基因的调节,表达野生型p53者化疗效果好,表达BCL-2 的肿瘤出现凋亡抑制,对化疗抵抗。本组80例中,阳性表达率为76.3%(61/80),分布与组织类型无关(P>0.05),未分化、低分化占54%,高中分化31%,余各型仅占少数<15%。但表达分布与临床分期有关,分期越高,凋亡指数越高, 提示肿瘤在恶性增殖浸润的同时,各期的凋亡指数有差异(P<0.05)(Ⅰ期为16.25%,Ⅱ期为23.7%,Ⅲ期为60%)这与Ikeda的认为凋亡指数表达只有良恶性的区别,无早晚期的鉴别看法是不一致的。笔者认为凋亡指数表达与分期有关,随着肿瘤的增殖浸润、体积增大,进入凋亡的细胞也增多。从表3看,各生存年段凋亡指数的分布无明显差异,提示凋亡也是细胞良恶性所共有的特征之一,凋亡指数上升提示细胞的分化增殖快,进入凋亡的细胞增多,随凋亡指数上升,临床分期越高。Ikeguchi[4]报道凋亡抑制基因BCL-2在高分化的胃癌表达高于低分化癌,肠型胃癌高于弥漫型胃癌,反之,低分化癌、弥漫型癌由于抑凋亡基因的低表达而具有较高的凋亡指数,生存期短。所以做为一个预后指标,对未经化疗病人有较高的凋亡指数提示恶性度较高,分期较晚,预后不佳。同时,凋亡指数可做为化疗和细胞恶性度的标志。
, 百拇医药
细胞凋亡做为正常细胞基因组所具有的功能,按基因的调控稳定组织的细胞量,属于内部自稳。通过上述讨论,但有些问题尚需进一步探讨:(1)细胞凋亡做为正常细胞的基因组表达之一,为什么有的正常组织不表达,其机制值得进一步研究;(2)瘤细胞AI的不同表达在临床上有不同的意义,主要做为判断化疗预后及细胞恶性度指标,其内在的联系基因调控情况尚未清楚。需从MRNA及蛋白质二个方面进行研究,真正了解其机制;(3)影响预后的因素有许多,研究中发现,单纯从凋亡指数来判断与预后的关系是不够的,因为都属细胞正常的基因表达,只有量上的变化,且是可逆的,表达强度受许多外界因素的影响,单因素分析AI与生存年段无关(P>0.05),Okajima[5]报道影响胃癌预后的因素依次有:肿瘤的浸润程度、淋巴结转移、远处转移、淋巴结清除、年龄、组织类型、肿瘤大小等。王清水等[6]报道胃癌预后主要与分期,淋巴浸润及手术方式有关。因此笔者认为应该从病人的年龄分型、分期、手术方式、耐药指标、凋亡指标及化疗情况综合全面分析,在诸因素中建立一个生存模型,建立统一标准的预后检测,同时通过临床试验筛选新的高效低毒的化疗药物,针对不同耐药机制选择并联合使用不同的化疗药物逆转剂以提高病人的生存率。
, http://www.100md.com
参考文献
1 Inada T,Ichikawa A,Kubota T,et al. 5-fu induced apoptosis correlates with efficacy against human gastric and colon cancer xenografts in nude mice. Anticancer Res, 1997;17:1965
2 Shinohara T,Ohshima K,Murayama H,et al. Apoptosis and prohibition in gastric carcinoma:the association with histological type. Histopathology, 1996;29:123
3 Ikeda M,Shomori K,Eudo K,et al. Frequent occurrence of apoptosis is an early event in the oncogenesis of human gastric carcinoma. Virchouws Arch, 1998;432:43
, 百拇医药
4 Ikeguchi M,Tatebes S,Kaibara N,et al. Changes in levels of expression of P53 and the product of the bcl-2 in lines of gastric cancer cell during cisplatin-induced apoptosis. Eur Surg Res, 1997;29;369
5 Okajima K,Sasako M,Kinoshita T,et al. Important prognosis factors for gastric cancer patients,change of significance in 6112 patients treated in 30 years period. 35th World Congress of International Society of Surgery.见:张天泽,徐光炜(主编).肿瘤学.天津:科技出版社,1996:1487
6 王清水,林孟波,林志武,等. 1629例胃癌手术治疗疗效总结. 中国肿瘤临床, 1995:22:17
(收稿:1999-06-02 修回:1999-07-12), 百拇医药