BCL-2、p53蛋白在胆管癌组织中的表达
作者:何庆良 林永 石铮
单位:福建医科大学附属第一医院外科(福州 350005)
关键词:BCL-2蛋白;p53蛋白;胆管癌;免疫组织化学
福建医科大学学报990313 目的 研究BCL-2蛋白、p53蛋白表达与胆管癌预后的关系。 方法 应用免疫组化研究40例胆管癌组织中BCL-2蛋白、p53蛋白表达及其与胆管癌组织类型及术后生存期的关系。 结果 胆管癌组织中BCL-2蛋白和p53蛋白表达阳性率分别为55%和47.5%;BCL-2蛋白与p53蛋白的表达呈负相关,低分化癌p53蛋白阳性率高于高分化癌,高分化癌BCL-2蛋白阳性率高于低分化癌(P<0.01);BCL-2蛋白表达高或p53蛋白表达低,其患者的术后生存期较长;反之,术后生存期较短(P<0.01)。 结论 BCL-2蛋白及p53蛋白的表达情况可作为胆管癌预后判断的参考指标。
, 百拇医药
Overexpression of BCL-2 and P53 Protein in Human Cholangiocarcinoma
He Qingliang, Lin Yongkun, Shi Zheng,(Department of Surgery, The Affiliated First Hospital,Fujian Medical University, Fuzhou, 350005)
Objective To study the relations between BCL-2 and p53 expression and prognosis in human cholangiocarcinoma. Methods By using SP immunohistochemical methods, the correlation of the expression of BCL-2 and p53 with morphologic pattern and post-operation survival time was studied in the 40 cholangiocarcinoma. Results The positive rate of the expression of BCL-2 and p53 was 55% and 47.5% in the 40 cholangiocarcinoma. We also found negative relation between the expression of BCL-2 and p53 . Cases with more intense BCL-2 protein staining tended to assume better differentiation and longer surviving time for the patients. And p53 protein was closely correlated to tumor differentiation and surviving time (P<0.01). Conclusion It is suggested that BCL-2 protein and p53 protein expression may be a promising predictor for the prognosis of patients with cholangiocarcinoma.
, 百拇医药
Key words BCL-2 protein; p53 protein; cholangiocarcinoma; immunohistochemistry
近20年来,胆管癌的发生有增多的趋势。细胞染色体中癌基因的激活在细胞恶变过程中起关键作用,因此笔者应用免疫组化方法探讨BCL-2蛋白和p53蛋白表达变化与胆管癌组织类型及术后生存期的关系。
1 材料和方法
1.1 材料 取自福建医科大学及其附属第一医院和附属协和医院病理室1984~1995年原发性胆管癌切除标本40例;慢性胆管炎13例和急性胆管炎3例作对照组。经查阅病历证实,所有患者术前未经放疗和化疗。
1.2 方法 新鲜标本常规福尔马林固定,24 h取材,石蜡包埋,连续5 μm厚度切片,HE染色。BCL-2蛋白、p53蛋白免疫组化染色:采用链霉菌素-生物素(S-P)免疫组化技术,BCL-2单克隆抗体、p53(突变型)单克隆抗体和S-P免疫组化(福州迈新公司),操作按说明书进行。TBS代替第一抗体作阴性对照。
, 百拇医药
1.3 阳性细胞分级 由病理医师提供病理诊断。BCL-2蛋白阳性标准:BCL-2蛋白阳性染色位于细胞浆的玫瑰红色颗粒或团块,当阳性染色的胆管癌组织>10%时为阳性表达,<10%即定为阴性表达。p53蛋白阳性标准:p53蛋白阳性染色位于细胞核的细小棕褐色颗粒,当阳性染色的胆管癌细胞>10%时定为p53阳性表达;<10%为阴性表达。
1.4 统计分析 应用统计软件SAS软件进行χ2检验,采用Kaplan-Meire寿命及Logrank检验组间生存差异。多因素Cox比例风险模型分析及Logistic回归分析。
2 结 果
2.1 BCL-2、p53蛋白在胆管癌组织中的表达 40例胆管癌组织中BCL-2、p53蛋白表达阳性率分别为55.0%(22/40,图1)和47.5%(19/40,图2)。阳性反应产物p53蛋白主要分布在癌细胞核,BCL-2蛋白主要分布在癌细胞浆。
, 百拇医药
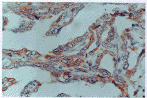
图1 原发性胆管癌高分化腺癌组织BCL-2过表达(SP免疫组化染色).×400
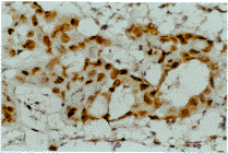
图2 原发性胆管癌低分化腺癌组织P53过表达(SP免疫组化染色).×400
2.2 BCL-2、p53蛋白表达与胆管癌组织类型的关系(表1)
表1 BCL-2、p53蛋白的表达与胆管癌组织类型的关系(n,%) 腺癌类型
n
BCL-2蛋白的表达
p53蛋白的表达
+
, http://www.100md.com -
阳性率
+
-
阳性率
高分化
14
12
2
85.7
4
10
28.6
中分化
, http://www.100md.com
9
6
3
66.7
2
7
22.2
低分化
17
4
13
23.5
13
4
, 百拇医药
82.4
χ2=12.63, P<0.01, Pearson列联系数P=0.49.
2.3 BCL-2蛋白与p53蛋白在胆管癌组织中表达的相关性 利用Z检验,并经计算机处理后,其Kappa值为-0.642,Z值为4.492,P<0.01, 提示BCL-2蛋白、p53蛋白在胆管癌组织中表达呈负相关。
2.4 BCL-2蛋白表达与胆管癌预后关系Cox比例风险回归模型分析(表2) 提示BCL-2蛋白可能是判断胆管癌预后的参考因素。
表2 BCL-2蛋白的表达与胆管癌预后关系Cox比例风险回归模型分析 项 目
回归系数
标准误
, http://www.100md.com
P
危险比
BCL-2
2.4728
0.6069
<0.001
0.2635
p53
-1.9969
0.6060
<0.0001
0.2052
2.5 BCL-2、p53蛋白的表达与胆管癌术后生存期关系(图3,4)
, 百拇医药
图3 胆管癌患者术后生存期与BCL-2蛋白表达的关系
-: 阳性组; …:阴性组. Logrank检验,χ2=29.55, P<0.01.
图4 胆管癌患者术后生存期与p53蛋白表达的关系
-: 阳性组; …:阴性组. Logrank检验,χ2=22.74, P<0.01.
3 讨 论
探讨细胞凋亡是当今生命科学的前沿课题,而BCL-2蛋白是抑制细胞凋亡的主要基因之一[2]。笔者应用免疫组化方法研究40例原发性胆管癌组织中BCL-2蛋白表达情况,结果提示BCL-2蛋白表达位于细胞浆或核膜,这种形态学的表现与BCL-2蛋白在亚细胞结构中存在的位置有关,与国外学者Reed报道一致[3]。本组的阳性率为55%,不同的组织学类型表达率不同,高分化腺癌明显高于低分化腺癌,差异有显著性(P<0.01),其机理需进一步研究。BCL-2蛋白表达还与胆管癌患者术后生存期呈正相关,即BCL-2蛋白表达阳性者,其术后生存期较阴性者长,经Cox比例风险回归模型分析发现,BCL-2蛋白可能是判断胆管癌预后的因素之一。
, http://www.100md.com
p53蛋白是一种分子量为53 kD的核蛋白,基因突变后p53蛋白呈较强的阳性表达[4]。本组胆管癌组织中p53蛋白的阳性表达率为47.5%,低分化腺癌阳性率明显高于高分化腺癌(P<0.05),说明p53蛋白的表达与胆管癌的恶性程度有密切关系;同时发现p53蛋白的表达与胆管癌的生存期有关,阳性表达的胆管癌患者生存期明显低于阴性组,p53蛋白可作为胆管癌预后判断的参考指标之一。
在恶性肿瘤发生的癌基因研究中,不少学者提出了多基因协同作用的假说,认为在肿瘤发生发展的各个阶段,至少有两个或两个以上功能不同的异常激活的癌基因各自发挥不同作用[5]。本组BCL-2、p53蛋白的表达率较高,与胆管癌发生发展的关系尚不清楚。笔者发现BCL-2、p53蛋白在高、中、低分化癌组织中的表达存在明显负相关,其内在机制有待进一步研究。
参考文献
1 Land H. Cellular oncogenes and multistep carcinogensis. Science, 1983;222:771
, 百拇医药
2窦科峰,李开宗,杨 飞,等.抗凋零基因BCL-2在胆囊癌组织中的表达及意义.中华实验外科杂志, 1997;14(2):73
3 Reed JC. BCL-2 and the regulation of programmed cell death. J Cell Biol, 1994;124:1
4 许春森,殷凤峙,陈大良. 胆管癌p53蛋白表达及其预后意义. 福建医学院学报, 1996;30:21
5 Sinicrope FA,Kuan SB,Cleary KR,et al.BCL-2 and p53 oncoprotein expression during colorectal tumorigenesis.Cancer Res,1995;55∶237
(收稿:1999-05-10 修回:1999-06-17), http://www.100md.com
单位:福建医科大学附属第一医院外科(福州 350005)
关键词:BCL-2蛋白;p53蛋白;胆管癌;免疫组织化学
福建医科大学学报990313 目的 研究BCL-2蛋白、p53蛋白表达与胆管癌预后的关系。 方法 应用免疫组化研究40例胆管癌组织中BCL-2蛋白、p53蛋白表达及其与胆管癌组织类型及术后生存期的关系。 结果 胆管癌组织中BCL-2蛋白和p53蛋白表达阳性率分别为55%和47.5%;BCL-2蛋白与p53蛋白的表达呈负相关,低分化癌p53蛋白阳性率高于高分化癌,高分化癌BCL-2蛋白阳性率高于低分化癌(P<0.01);BCL-2蛋白表达高或p53蛋白表达低,其患者的术后生存期较长;反之,术后生存期较短(P<0.01)。 结论 BCL-2蛋白及p53蛋白的表达情况可作为胆管癌预后判断的参考指标。
, 百拇医药
Overexpression of BCL-2 and P53 Protein in Human Cholangiocarcinoma
He Qingliang, Lin Yongkun, Shi Zheng,(Department of Surgery, The Affiliated First Hospital,Fujian Medical University, Fuzhou, 350005)
Objective To study the relations between BCL-2 and p53 expression and prognosis in human cholangiocarcinoma. Methods By using SP immunohistochemical methods, the correlation of the expression of BCL-2 and p53 with morphologic pattern and post-operation survival time was studied in the 40 cholangiocarcinoma. Results The positive rate of the expression of BCL-2 and p53 was 55% and 47.5% in the 40 cholangiocarcinoma. We also found negative relation between the expression of BCL-2 and p53 . Cases with more intense BCL-2 protein staining tended to assume better differentiation and longer surviving time for the patients. And p53 protein was closely correlated to tumor differentiation and surviving time (P<0.01). Conclusion It is suggested that BCL-2 protein and p53 protein expression may be a promising predictor for the prognosis of patients with cholangiocarcinoma.
, 百拇医药
Key words BCL-2 protein; p53 protein; cholangiocarcinoma; immunohistochemistry
近20年来,胆管癌的发生有增多的趋势。细胞染色体中癌基因的激活在细胞恶变过程中起关键作用,因此笔者应用免疫组化方法探讨BCL-2蛋白和p53蛋白表达变化与胆管癌组织类型及术后生存期的关系。
1 材料和方法
1.1 材料 取自福建医科大学及其附属第一医院和附属协和医院病理室1984~1995年原发性胆管癌切除标本40例;慢性胆管炎13例和急性胆管炎3例作对照组。经查阅病历证实,所有患者术前未经放疗和化疗。
1.2 方法 新鲜标本常规福尔马林固定,24 h取材,石蜡包埋,连续5 μm厚度切片,HE染色。BCL-2蛋白、p53蛋白免疫组化染色:采用链霉菌素-生物素(S-P)免疫组化技术,BCL-2单克隆抗体、p53(突变型)单克隆抗体和S-P免疫组化(福州迈新公司),操作按说明书进行。TBS代替第一抗体作阴性对照。
, 百拇医药
1.3 阳性细胞分级 由病理医师提供病理诊断。BCL-2蛋白阳性标准:BCL-2蛋白阳性染色位于细胞浆的玫瑰红色颗粒或团块,当阳性染色的胆管癌组织>10%时为阳性表达,<10%即定为阴性表达。p53蛋白阳性标准:p53蛋白阳性染色位于细胞核的细小棕褐色颗粒,当阳性染色的胆管癌细胞>10%时定为p53阳性表达;<10%为阴性表达。
1.4 统计分析 应用统计软件SAS软件进行χ2检验,采用Kaplan-Meire寿命及Logrank检验组间生存差异。多因素Cox比例风险模型分析及Logistic回归分析。
2 结 果
2.1 BCL-2、p53蛋白在胆管癌组织中的表达 40例胆管癌组织中BCL-2、p53蛋白表达阳性率分别为55.0%(22/40,图1)和47.5%(19/40,图2)。阳性反应产物p53蛋白主要分布在癌细胞核,BCL-2蛋白主要分布在癌细胞浆。
, 百拇医药
图1 原发性胆管癌高分化腺癌组织BCL-2过表达(SP免疫组化染色).×400
图2 原发性胆管癌低分化腺癌组织P53过表达(SP免疫组化染色).×400
2.2 BCL-2、p53蛋白表达与胆管癌组织类型的关系(表1)
表1 BCL-2、p53蛋白的表达与胆管癌组织类型的关系(n,%) 腺癌类型
n
BCL-2蛋白的表达
p53蛋白的表达
+
, http://www.100md.com -
阳性率
+
-
阳性率
高分化
14
12
2
85.7
4
10
28.6
中分化
, http://www.100md.com
9
6
3
66.7
2
7
22.2
低分化
17
4
13
23.5
13
4
, 百拇医药
82.4
χ2=12.63, P<0.01, Pearson列联系数P=0.49.
2.3 BCL-2蛋白与p53蛋白在胆管癌组织中表达的相关性 利用Z检验,并经计算机处理后,其Kappa值为-0.642,Z值为4.492,P<0.01, 提示BCL-2蛋白、p53蛋白在胆管癌组织中表达呈负相关。
2.4 BCL-2蛋白表达与胆管癌预后关系Cox比例风险回归模型分析(表2) 提示BCL-2蛋白可能是判断胆管癌预后的参考因素。
表2 BCL-2蛋白的表达与胆管癌预后关系Cox比例风险回归模型分析 项 目
回归系数
标准误
, http://www.100md.com
P
危险比
BCL-2
2.4728
0.6069
<0.001
0.2635
p53
-1.9969
0.6060
<0.0001
0.2052
2.5 BCL-2、p53蛋白的表达与胆管癌术后生存期关系(图3,4)
, 百拇医药
图3 胆管癌患者术后生存期与BCL-2蛋白表达的关系
-: 阳性组; …:阴性组. Logrank检验,χ2=29.55, P<0.01.
图4 胆管癌患者术后生存期与p53蛋白表达的关系
-: 阳性组; …:阴性组. Logrank检验,χ2=22.74, P<0.01.
3 讨 论
探讨细胞凋亡是当今生命科学的前沿课题,而BCL-2蛋白是抑制细胞凋亡的主要基因之一[2]。笔者应用免疫组化方法研究40例原发性胆管癌组织中BCL-2蛋白表达情况,结果提示BCL-2蛋白表达位于细胞浆或核膜,这种形态学的表现与BCL-2蛋白在亚细胞结构中存在的位置有关,与国外学者Reed报道一致[3]。本组的阳性率为55%,不同的组织学类型表达率不同,高分化腺癌明显高于低分化腺癌,差异有显著性(P<0.01),其机理需进一步研究。BCL-2蛋白表达还与胆管癌患者术后生存期呈正相关,即BCL-2蛋白表达阳性者,其术后生存期较阴性者长,经Cox比例风险回归模型分析发现,BCL-2蛋白可能是判断胆管癌预后的因素之一。
, http://www.100md.com
p53蛋白是一种分子量为53 kD的核蛋白,基因突变后p53蛋白呈较强的阳性表达[4]。本组胆管癌组织中p53蛋白的阳性表达率为47.5%,低分化腺癌阳性率明显高于高分化腺癌(P<0.05),说明p53蛋白的表达与胆管癌的恶性程度有密切关系;同时发现p53蛋白的表达与胆管癌的生存期有关,阳性表达的胆管癌患者生存期明显低于阴性组,p53蛋白可作为胆管癌预后判断的参考指标之一。
在恶性肿瘤发生的癌基因研究中,不少学者提出了多基因协同作用的假说,认为在肿瘤发生发展的各个阶段,至少有两个或两个以上功能不同的异常激活的癌基因各自发挥不同作用[5]。本组BCL-2、p53蛋白的表达率较高,与胆管癌发生发展的关系尚不清楚。笔者发现BCL-2、p53蛋白在高、中、低分化癌组织中的表达存在明显负相关,其内在机制有待进一步研究。
参考文献
1 Land H. Cellular oncogenes and multistep carcinogensis. Science, 1983;222:771
, 百拇医药
2窦科峰,李开宗,杨 飞,等.抗凋零基因BCL-2在胆囊癌组织中的表达及意义.中华实验外科杂志, 1997;14(2):73
3 Reed JC. BCL-2 and the regulation of programmed cell death. J Cell Biol, 1994;124:1
4 许春森,殷凤峙,陈大良. 胆管癌p53蛋白表达及其预后意义. 福建医学院学报, 1996;30:21
5 Sinicrope FA,Kuan SB,Cleary KR,et al.BCL-2 and p53 oncoprotein expression during colorectal tumorigenesis.Cancer Res,1995;55∶237
(收稿:1999-05-10 修回:1999-06-17), http://www.100md.com