克罗米芬对无排卵妇女黄体期子宫内膜组织学的影响
作者:韦娟冰 马炎辉
单位:福建医科大学附属第一医院妇产科(福州 350005)
关键词:克罗米芬;雌激素;子宫内膜;免疫组织化学
福建医科大学学报990312 目的 研究克罗米芬对无排卵妇女黄体期子宫内膜组织学的影响及其机制。 方法 应用免疫组化SP法检测20例无排卵月经妇女在服克罗米芬排卵周期和正常排卵月经妇女的黄体期子宫内膜雌激素受体(ER)、孕激素受体(PR)的表达情况,并结合子宫内膜组织学及血雌激素、孕激素水平进行分析。 结果 实验组子宫内膜腺上皮、间质细胞ER含量和对照组差别无显著性,但PR在腺上皮含量显著低于对照组,而PR在间质细胞的含量两组亦无显著性差别。实验组雌二醇(E2)、黄体酮(P)(830.51±510.94 pmol/L,3.31±1.784 ng/ml)显著高于对照组(427.22±186.59 pmol/L, 2.89±0.73 ng/ml)。实验组子宫内膜组织学异常率为90%,高于对照组(10%)。 结论 克罗米芬通过抑制PR的合成,影响子宫内膜的生长发育。
, 百拇医药
The Effect of Clomiphene Citrate on the Histological Changes in Endometrium of Luteal Phase in Anovulatory Women
Wei Juanbing, Ma Yanhui
(Department of Obstetric, The Affiliated First Hospital, Fujian Medical University, Fuzhou, 350005)
Objective To assess the effect of clomiphene citrate on the histological changes in endometrium of luteal phase in anovulatory women. Methods The expression of the estrogen receptor(ER) and progestin receptor(PR) of endometrium in luteal phase were detected by immunochemical method in 20 anovulatory women with normal ovulatory cycle or clomiphene induced ovulatory cycle. The data were analyzed associated with the endometrium histological changes and the blood level of estradioll(E2),progesterone(P). Results The expression of ER in granular and stromal cells has no difference between the two groups. The significant decrease of PR in granular cells were absoluted in the research group but the content of PR in the stromal cells has no difference between the two group. The mean level of E2 and P of research group(830.51±510.94 pml/L,3.31±1.784 ng/ml) is significantly higher than that of the control group(427.22±186.59 pml/L,2.89±0.732 ng/ml). The frequency of abnormality of the histological changes occurred in the research group is 90%, which is higher than the 10% of the research group. Conclusion Clomiphene citrate exerts affection on the growth of the endometrium by inhibiting the synthesis of progesterone receptors.
, 百拇医药
Key words clomiphene; estrin; endometrium; immunohistochemistry
克罗米芬(CC)是临床上最常用的促排卵药。30多年来,CC广泛应用于下丘脑-垂体-卵巢病变引起的排卵障碍患者的治疗,取得了较高的排卵率(70%~95%),但妊娠率仅25%~55%,且自然流产率为19%[1],现认为与CC周期中黄体功能不全的发生率高达29%~50%有关[2]。笔者在无排卵的妇女CC诱导排卵的黄体中期,应用免疫组化法对子宫内膜腺上皮、间质细胞内的雌激素受体(ER)、孕激素受体(PR)含量进行定位和半定量分析,同时结合子宫内膜组织学和血雌二醇(E2)、孕酮(P)的分析,探讨CC对该组患者黄体功能的影响及可能机制。
1 材料与方法
1.1 对象 选择20例1996年5月~11月在我院妇科不孕症专科门诊就诊的无排卵的妇女服克罗米芬(实验组),服药前血催乳素、体温在正常范围内,黄体生成素/卵泡制激素<2, 年龄26.8±2.6岁(23~34岁);其中原发不孕18例,继发不孕2例,不孕年限为1~7年,均为月经周期不规则,在3个月至1年多,孕酮撤药均有月经。另选10例月经周期规则,基础体温呈典型双相反应,血内分秘检查正常的妇女作为对照组,年龄26.5±2.3岁(24~30岁);其中4例因输卵管因素、6例因丈夫因素不孕。
, 百拇医药
1.2 方法
1.2.1 实验组患者在月经或孕酮撤血的第5~9天口服CC 50 mg。
1.2.2 实验组、对照组每日晨醒即测口温(静息状态)5 min,记录于体温单上。
1.2.3 实验组、对照组于月经第10天起行B超监测卵泡的生长发育,直至卵泡成熟及排卵。
1.2.4 在卵泡破裂且基础体温上升8~10天,于上午9:30~10:30抽静脉血4 ml,常规分离血清后置-20℃冻存,待标本收齐后,一次性放免测E2、P值。同时进行子宫内膜诊刮, 以小刮匙深入宫腔达宫底,在距宫底约1 cm处的子宫前、后壁刮取内膜各一条,立即放入10%中性福尔马林液中,24 h内行常规脱水,石蜡包埋,统一切片,厚度约为6 μm,分别进行SP免疫组化染色。
, 百拇医药
1.2.5 ER、PR的SP免疫组化测定 抗ER、PR单抗的SP免疫试剂盒由福州迈新公司及Zymed公司提供。步骤按操作说明进行。根据细胞核内出现棕黄色颗粒为阳性细胞,按染色深浅程度的浅、中、强和100个腺体细胞或间质细胞核阳性出现率的少(<25%)、中(<75%)、多(>75%)分别评为1,2,3,把两者相加除以2,得以下四级:<0.5为-,0.5~<1.5为+,1.5~<2.5为,>2.5为。
1.2.6 子宫内膜 常规HE染色,在光镜下根据Noyes[3]标准进行分期。
1.2.7 血清雌激素和孕激素的测定 选用包被抗体法测定E2浓度,双抗体法测定P浓度,本测定采用复管一次完成。
1.3 统计学 采用方差分析及配对秩和检验。
2 结 果
, 百拇医药
2.1 血清E2、P的浓度见表1。
表1 实验组和对照组血清E2、P的比较 组 别
n
E2(pmol/L)
P(mg/ml)
对照组
10
427.218
±
186.596
2.895
, 百拇医药
±
0.731
实验组
20
830.511
±
510.942*
3.313
±
1.738*
与对照组比较,*:P<0.05.
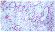
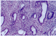
2.2 子宫内膜组织学 根据Noyes标准, 实验组中与月经周期同步者2例, 分泌不足或延迟11例,其中延迟2~3天的7例、 延迟1天的1例。延迟4天3例:分泌与增生混合存在的7例, 均是部分腺体为增生改变而间质细胞出现分泌改变。对照组10例中除1例分泌延迟1天外,其余均与月经周期同步。实验组腺体较稀疏,小腺体所占的比例较大(见图1,2)。
, http://www.100md.com
图1 服克罗米芬排卵后第8天,分泌延迟3天,腺体发育差,小腺体较多,间质分泌反应差.×100
图2 服克罗米芬排卵后第8天,腺体分泌与增生改变混合在.×200
2.3 子宫内膜ER、PR的含量见表2和表3。
表2 实验组和对照组不同类型细胞ER含量比较 组 别
腺上皮
间质细胞
-
+

, 百拇医药
-
+

对照组
2
7
1
0
0
3
7
0
, http://www.100md.com
实验组
5
8
5
2
0
6
11
3
表3 实验组和对照组不同类型细胞PR含量比较 组 别
腺上皮
间质细胞
-
, http://www.100md.com
+

-
+

对照组
1
2
4
3
0
, http://www.100md.com
2
6
2
实验组
9
5
4
2
0
8
9
3
与对照组比较,*:P<0.05.3 讨 论
, 百拇医药 克罗米芬应用临床后的高排卵率和低妊娠率被认为与CC周期中黄体功能不全的高发生率有关,尤其是无排卵妇女[4]。然而,CC也用于治疗黄体功能不全[2],这也根据CC的促排卵作用,即CC与ER结合, 消除下丘脑-垂体对内源性E2的负反馈,产生促性腺激素分泌增多,促进一个或多个卵泡的发育、成熟, 黄素化后黄体功能增强和(或)黄体数目增多,孕酮分泌增加所致。本实验结果,在CC的排卵周期, 实验组中黄体中期E2、P值均高于对照组,差异有显著性。但P值的增高并不能使实验组的子宫内膜有足够的分泌相改变。实验组子宫内膜组织学异常的发生率为90%,高于对照组的10%。
笔者采用B超连续监测卵泡的发育、成熟和排卵,根据排卵后的天数来计算黄体期的时间,所以比较准确地确定黄体时间,证实了黄体功能不全在无排卵妇女的CC周期中的存在。其中,以分泌延迟2~3天和分泌与增生混合存在所占的比例大(各为7例),且腺体较稀疏,小腺体较多,间质丰富、水肿,与Massi等报道的CC使增生期内膜增厚延缓,腺体发育不良,分泌期腺体分泌不足、延迟,间质蜕膜样变异,腺体少相一致[5],均说明CC抑制子宫内膜的生长发育。
, 百拇医药
Spitos等认为,P水平是否能引起子宫内膜发生良好的分泌反应, 主要取决于子宫内膜细胞中PR的水平,PR缺陷将导致黄体功能不全[6]。有关CC对子宫内膜ER、PR影响的报道很多,但结果不一。Formal等发现CC使不孕妇女黄体早期ER和(或)PR含量下降, 认为PR缺乏导致子宫内膜异常[7];但Hetch观察10例正常月经妇女使用CC后,发现在黄体中期两组细胞胞浆中ER、PR含量无差异[8];而夏雅仙等应用免疫组化SP法,对正常月经妇女的CC周期的ER、PR进行定位和半定量的研究,CC抑制增生晚期和分泌晚期内膜ER、PR的合成,而且对腺上皮内受体抑制较间质细胞明显[9]。
本研究应用单抗免疫组化SP法,对无排卵妇女CC促排卵的黄体中期及正常妇女的自然黄体中期的ER、PR进行定位及半定量测定, 结果实验组ER在腺上皮、间质细胞中的含量与对照组相近, 而PR在腺上皮的含量显著低于对照组,但在间质细胞中含量两组亦无差异, 虽然研究的对象与夏雅仙不同,但结果相似。分析原因可能与CC与E2竞争结合位点,影响PR的合成和(或)由于黄体中期黄体分泌异常的E2、P导致PR含量的异常,说明CC对腺上皮内PR的抑制较间质细胞明显,腺上皮内PR含量的下降,导致子宫内膜发育异常,证实了上述推测。
, 百拇医药
参考文献
1 Hommod MG,Halme JK,Talbert LM. Factors affecting the pregnancy rate in clomiphene citrate induction of ovulation. Obstet Gynecol, 1983;62:196
2 Guzick DS,Zeleznic A. Efficiency of clomiphene citrate in treatment of endometrial lute phase deficiency: quantity versus quality of preovulation follicles. Fertil Steril, 1990;54:206
3 Noyes RW,Hertig AT,Rock J. Direct effects of clomiphene citrate on the steroidogenic of human granulas cells. Fertil Steril, 1988,49:626
, 百拇医药
4 Cook CL,Schroeder JA,Yussman MA,et al. Induction of lute phase defect with clomiphene citrate. AMJ Obstet Gynecol, 1984;149:613
5 Massai MR,Bergeron C,Ziegler DD. Clomiphene citrate affects cervical mucus and endometrial morphology independently of the changes in plasma hormonal levels induced by multiple follicular recruitment. Fertil Steril, 1993;59:1179
6 Spirtors NJ,Yurewicz EC. Pseudocorpus luteal phase insufficiency: a study of cytosal progesterone receptors in human endometrium. Obstet Gynecol, 1985;65:535.
, 百拇医药
7 Forman RG,Frydman R,Eychenne B,et al. Assessing the early luteal phase in vitro fertilization cycles relationship between plasma steroids,endometrial receptors,and endometrial histology. Fertil Steril, 1989;51:310
8 Hecht BR,Kha-Dawood FS,Dawoos MY. Peri-implantation phase endometrial estrogen and progesterone receptors: effect of ovulation induction with clomiphene citrate. AMJ Obstet Gynecol, 1989;161:688
9 夏雅仙, 周馥贞, 黄荷凤, 等. 克罗米芬对子宫内膜雌、孕激素受体的影响. 中华妇产科杂志, 1996;31:609
(收稿:1999-04-04 修回:1999-07-06), 百拇医药
单位:福建医科大学附属第一医院妇产科(福州 350005)
关键词:克罗米芬;雌激素;子宫内膜;免疫组织化学
福建医科大学学报990312 目的 研究克罗米芬对无排卵妇女黄体期子宫内膜组织学的影响及其机制。 方法 应用免疫组化SP法检测20例无排卵月经妇女在服克罗米芬排卵周期和正常排卵月经妇女的黄体期子宫内膜雌激素受体(ER)、孕激素受体(PR)的表达情况,并结合子宫内膜组织学及血雌激素、孕激素水平进行分析。 结果 实验组子宫内膜腺上皮、间质细胞ER含量和对照组差别无显著性,但PR在腺上皮含量显著低于对照组,而PR在间质细胞的含量两组亦无显著性差别。实验组雌二醇(E2)、黄体酮(P)(830.51±510.94 pmol/L,3.31±1.784 ng/ml)显著高于对照组(427.22±186.59 pmol/L, 2.89±0.73 ng/ml)。实验组子宫内膜组织学异常率为90%,高于对照组(10%)。 结论 克罗米芬通过抑制PR的合成,影响子宫内膜的生长发育。
, 百拇医药
The Effect of Clomiphene Citrate on the Histological Changes in Endometrium of Luteal Phase in Anovulatory Women
Wei Juanbing, Ma Yanhui
(Department of Obstetric, The Affiliated First Hospital, Fujian Medical University, Fuzhou, 350005)
Objective To assess the effect of clomiphene citrate on the histological changes in endometrium of luteal phase in anovulatory women. Methods The expression of the estrogen receptor(ER) and progestin receptor(PR) of endometrium in luteal phase were detected by immunochemical method in 20 anovulatory women with normal ovulatory cycle or clomiphene induced ovulatory cycle. The data were analyzed associated with the endometrium histological changes and the blood level of estradioll(E2),progesterone(P). Results The expression of ER in granular and stromal cells has no difference between the two groups. The significant decrease of PR in granular cells were absoluted in the research group but the content of PR in the stromal cells has no difference between the two group. The mean level of E2 and P of research group(830.51±510.94 pml/L,3.31±1.784 ng/ml) is significantly higher than that of the control group(427.22±186.59 pml/L,2.89±0.732 ng/ml). The frequency of abnormality of the histological changes occurred in the research group is 90%, which is higher than the 10% of the research group. Conclusion Clomiphene citrate exerts affection on the growth of the endometrium by inhibiting the synthesis of progesterone receptors.
, 百拇医药
Key words clomiphene; estrin; endometrium; immunohistochemistry
克罗米芬(CC)是临床上最常用的促排卵药。30多年来,CC广泛应用于下丘脑-垂体-卵巢病变引起的排卵障碍患者的治疗,取得了较高的排卵率(70%~95%),但妊娠率仅25%~55%,且自然流产率为19%[1],现认为与CC周期中黄体功能不全的发生率高达29%~50%有关[2]。笔者在无排卵的妇女CC诱导排卵的黄体中期,应用免疫组化法对子宫内膜腺上皮、间质细胞内的雌激素受体(ER)、孕激素受体(PR)含量进行定位和半定量分析,同时结合子宫内膜组织学和血雌二醇(E2)、孕酮(P)的分析,探讨CC对该组患者黄体功能的影响及可能机制。
1 材料与方法
1.1 对象 选择20例1996年5月~11月在我院妇科不孕症专科门诊就诊的无排卵的妇女服克罗米芬(实验组),服药前血催乳素、体温在正常范围内,黄体生成素/卵泡制激素<2, 年龄26.8±2.6岁(23~34岁);其中原发不孕18例,继发不孕2例,不孕年限为1~7年,均为月经周期不规则,在3个月至1年多,孕酮撤药均有月经。另选10例月经周期规则,基础体温呈典型双相反应,血内分秘检查正常的妇女作为对照组,年龄26.5±2.3岁(24~30岁);其中4例因输卵管因素、6例因丈夫因素不孕。
, 百拇医药
1.2 方法
1.2.1 实验组患者在月经或孕酮撤血的第5~9天口服CC 50 mg。
1.2.2 实验组、对照组每日晨醒即测口温(静息状态)5 min,记录于体温单上。
1.2.3 实验组、对照组于月经第10天起行B超监测卵泡的生长发育,直至卵泡成熟及排卵。
1.2.4 在卵泡破裂且基础体温上升8~10天,于上午9:30~10:30抽静脉血4 ml,常规分离血清后置-20℃冻存,待标本收齐后,一次性放免测E2、P值。同时进行子宫内膜诊刮, 以小刮匙深入宫腔达宫底,在距宫底约1 cm处的子宫前、后壁刮取内膜各一条,立即放入10%中性福尔马林液中,24 h内行常规脱水,石蜡包埋,统一切片,厚度约为6 μm,分别进行SP免疫组化染色。
, 百拇医药
1.2.5 ER、PR的SP免疫组化测定 抗ER、PR单抗的SP免疫试剂盒由福州迈新公司及Zymed公司提供。步骤按操作说明进行。根据细胞核内出现棕黄色颗粒为阳性细胞,按染色深浅程度的浅、中、强和100个腺体细胞或间质细胞核阳性出现率的少(<25%)、中(<75%)、多(>75%)分别评为1,2,3,把两者相加除以2,得以下四级:<0.5为-,0.5~<1.5为+,1.5~<2.5为,>2.5为。
1.2.6 子宫内膜 常规HE染色,在光镜下根据Noyes[3]标准进行分期。
1.2.7 血清雌激素和孕激素的测定 选用包被抗体法测定E2浓度,双抗体法测定P浓度,本测定采用复管一次完成。
1.3 统计学 采用方差分析及配对秩和检验。
2 结 果
, 百拇医药
2.1 血清E2、P的浓度见表1。
表1 实验组和对照组血清E2、P的比较 组 别
n
E2(pmol/L)
P(mg/ml)
对照组
10
427.218
±
186.596
2.895
, 百拇医药
±
0.731
实验组
20
830.511
±
510.942*
3.313
±
1.738*
与对照组比较,*:P<0.05.
2.2 子宫内膜组织学 根据Noyes标准, 实验组中与月经周期同步者2例, 分泌不足或延迟11例,其中延迟2~3天的7例、 延迟1天的1例。延迟4天3例:分泌与增生混合存在的7例, 均是部分腺体为增生改变而间质细胞出现分泌改变。对照组10例中除1例分泌延迟1天外,其余均与月经周期同步。实验组腺体较稀疏,小腺体所占的比例较大(见图1,2)。
, http://www.100md.com
图1 服克罗米芬排卵后第8天,分泌延迟3天,腺体发育差,小腺体较多,间质分泌反应差.×100
图2 服克罗米芬排卵后第8天,腺体分泌与增生改变混合在.×200
2.3 子宫内膜ER、PR的含量见表2和表3。
表2 实验组和对照组不同类型细胞ER含量比较 组 别
腺上皮
间质细胞
-
+
, 百拇医药
-
+
对照组
2
7
1
0
0
3
7
0
, http://www.100md.com
实验组
5
8
5
2
0
6
11
3
表3 实验组和对照组不同类型细胞PR含量比较 组 别
腺上皮
间质细胞
-
, http://www.100md.com
+
-
+
对照组
1
2
4
3
0
, http://www.100md.com
2
6
2
实验组
9
5
4
2
0
8
9
3
与对照组比较,*:P<0.05.3 讨 论
, 百拇医药 克罗米芬应用临床后的高排卵率和低妊娠率被认为与CC周期中黄体功能不全的高发生率有关,尤其是无排卵妇女[4]。然而,CC也用于治疗黄体功能不全[2],这也根据CC的促排卵作用,即CC与ER结合, 消除下丘脑-垂体对内源性E2的负反馈,产生促性腺激素分泌增多,促进一个或多个卵泡的发育、成熟, 黄素化后黄体功能增强和(或)黄体数目增多,孕酮分泌增加所致。本实验结果,在CC的排卵周期, 实验组中黄体中期E2、P值均高于对照组,差异有显著性。但P值的增高并不能使实验组的子宫内膜有足够的分泌相改变。实验组子宫内膜组织学异常的发生率为90%,高于对照组的10%。
笔者采用B超连续监测卵泡的发育、成熟和排卵,根据排卵后的天数来计算黄体期的时间,所以比较准确地确定黄体时间,证实了黄体功能不全在无排卵妇女的CC周期中的存在。其中,以分泌延迟2~3天和分泌与增生混合存在所占的比例大(各为7例),且腺体较稀疏,小腺体较多,间质丰富、水肿,与Massi等报道的CC使增生期内膜增厚延缓,腺体发育不良,分泌期腺体分泌不足、延迟,间质蜕膜样变异,腺体少相一致[5],均说明CC抑制子宫内膜的生长发育。
, 百拇医药
Spitos等认为,P水平是否能引起子宫内膜发生良好的分泌反应, 主要取决于子宫内膜细胞中PR的水平,PR缺陷将导致黄体功能不全[6]。有关CC对子宫内膜ER、PR影响的报道很多,但结果不一。Formal等发现CC使不孕妇女黄体早期ER和(或)PR含量下降, 认为PR缺乏导致子宫内膜异常[7];但Hetch观察10例正常月经妇女使用CC后,发现在黄体中期两组细胞胞浆中ER、PR含量无差异[8];而夏雅仙等应用免疫组化SP法,对正常月经妇女的CC周期的ER、PR进行定位和半定量的研究,CC抑制增生晚期和分泌晚期内膜ER、PR的合成,而且对腺上皮内受体抑制较间质细胞明显[9]。
本研究应用单抗免疫组化SP法,对无排卵妇女CC促排卵的黄体中期及正常妇女的自然黄体中期的ER、PR进行定位及半定量测定, 结果实验组ER在腺上皮、间质细胞中的含量与对照组相近, 而PR在腺上皮的含量显著低于对照组,但在间质细胞中含量两组亦无差异, 虽然研究的对象与夏雅仙不同,但结果相似。分析原因可能与CC与E2竞争结合位点,影响PR的合成和(或)由于黄体中期黄体分泌异常的E2、P导致PR含量的异常,说明CC对腺上皮内PR的抑制较间质细胞明显,腺上皮内PR含量的下降,导致子宫内膜发育异常,证实了上述推测。
, 百拇医药
参考文献
1 Hommod MG,Halme JK,Talbert LM. Factors affecting the pregnancy rate in clomiphene citrate induction of ovulation. Obstet Gynecol, 1983;62:196
2 Guzick DS,Zeleznic A. Efficiency of clomiphene citrate in treatment of endometrial lute phase deficiency: quantity versus quality of preovulation follicles. Fertil Steril, 1990;54:206
3 Noyes RW,Hertig AT,Rock J. Direct effects of clomiphene citrate on the steroidogenic of human granulas cells. Fertil Steril, 1988,49:626
, 百拇医药
4 Cook CL,Schroeder JA,Yussman MA,et al. Induction of lute phase defect with clomiphene citrate. AMJ Obstet Gynecol, 1984;149:613
5 Massai MR,Bergeron C,Ziegler DD. Clomiphene citrate affects cervical mucus and endometrial morphology independently of the changes in plasma hormonal levels induced by multiple follicular recruitment. Fertil Steril, 1993;59:1179
6 Spirtors NJ,Yurewicz EC. Pseudocorpus luteal phase insufficiency: a study of cytosal progesterone receptors in human endometrium. Obstet Gynecol, 1985;65:535.
, 百拇医药
7 Forman RG,Frydman R,Eychenne B,et al. Assessing the early luteal phase in vitro fertilization cycles relationship between plasma steroids,endometrial receptors,and endometrial histology. Fertil Steril, 1989;51:310
8 Hecht BR,Kha-Dawood FS,Dawoos MY. Peri-implantation phase endometrial estrogen and progesterone receptors: effect of ovulation induction with clomiphene citrate. AMJ Obstet Gynecol, 1989;161:688
9 夏雅仙, 周馥贞, 黄荷凤, 等. 克罗米芬对子宫内膜雌、孕激素受体的影响. 中华妇产科杂志, 1996;31:609
(收稿:1999-04-04 修回:1999-07-06), 百拇医药