逆转录-多聚酶链式反应方法检测临床肝癌组织的多药耐药基因表达
作者:韩英 柴富贵 李世荣 王玉芝
单位:韩英 柴富贵 李世荣(北京军区总医院消化内科(北京,100700));王玉芝(军事医学科学院放射医学研究所)
关键词:抗药性;多聚酶链反应(PCR);肝脏肿瘤
癌症990343
中图号:R735.7;Q753 文献标识码:B 文章编号:1000-467X(1999)03-0357-02
化疗是治疗肿瘤的有效手段之一。肿瘤细胞耐药是导致化疗失败的主要原因,有关资料统计,90%以上肿瘤患者死因或多或少都与耐药有关〔1〕。因此,研究肿瘤耐药起因、检测病人是否出现耐药,借以指导临床化疗,提高患者治愈率和生存率,这是当前肿瘤治疗迫切需要解决的重要问题。本实验采用逆转录-多聚酶链式反应(RTPCR)技术建立了一种灵敏、特异、可靠的检测临床肝癌MDR1基因的表达方法,并探讨MDR1基因在肝癌组织中的表达与临床特征之间的关系,为临床化疗提供一项辅助的监测和判断指标,使化疗个体化并发挥更有效的作用。
, http://www.100md.com
1 材料与方法
1.1 检测对象
所有标本均取自经病理证实的原发性肝细胞癌手术病人,共31例,均未接受化疗。正常肝组织5例。
1.2 主要试剂与仪器
AMV逆转录酶、RNA提取试剂盒和TaqDNA聚合酶购自Promega公司。PCR仪系美国PE公司GeneAmpPCRSystem2400。
1.3 实验方法
1.3.1 RNA制备:采用Promega公司总RNA提取试剂盒,依照操作说明书制备总RNA。
1.3.2 引物设计:参考Grunebach等〔2〕文献报道,利用PCGENE软件设计基因专一性引物,其扩增片段为一段长403bp(+207~+609,以翻译起始密码子ATG中的A为+1)的cDNA片段〔3〕。上游引物5′CGGGATCCCTGGTGTTTGGAGAAATGACAG3′,下游引物5′AACTGCAGCCCAGTGAAAAATGTTGCCATTGAC3′,内对照β微球蛋白(β-MG),上游引物5′CGAGAAGATGACCCAGAT5′GATCTTCATGAGGTAGTCAG3′,其扩增片段长度为240bp。
, 百拇医药
1.3.3 对照系统:耐药和敏感KB细胞分别作阳性和阴性细胞对照(购自中国医学科学院药物研究所)。
1.3.4 cDNA合成:取总RNA约3μg,加5×缓冲液4μl,2.5mmol/LdNTP2μl,RNA酶抑制剂(RNasin)30u,AMV逆转录酶15~20u,100μmol/L下游引物0.5μl,补水至20μl,混匀后42℃孵育1小时,结束后取逆转录混合产物5μl行PCR扩增。
1.3.5 PCR:取上述逆转录混合产物约5μl为模板,加10×缓冲液2μl,25mmol/L氯化镁1.5μl,2.5mmol/LdNTP2μl,100μmol/L两对引物各0.1μl,在PCR仪上,首先95℃预变性5分钟,再加TaqDNA聚合酶0.5u,而后94℃变性30秒,55℃退火30秒,72℃延伸1分钟,扩增35个循环,最后72℃补平7分钟。取10μl扩增产物在1.5%琼脂糖凝胶电泳60伏50分钟,紫外灯下照相。
, 百拇医药
2 结果
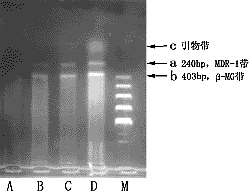
利用逆转录PCR技术和设定的两对引物,得到MDR-1和β-MG扩增产物分别为403bp和240bp(见图1)。31例肝癌标本MDR1阳性表达率为45%(14/31),5例正常肝组织均阴性。为验证本实验的敏感性,取5×104、8×104、1×105、5×105个耐药KB细胞,分别进行RT-PCR检测,耐药KB细胞数达8×104以上时,均可得到阳性MDR-1扩增带。为进一步探讨临床内镜活检小标本MDR-1表达的检测,取一阳性表达组织标本,分别称取2.5mg,5mg,10mg,20mg,(通常纤维结肠镜活检钳夹取一块组织重约2~3mg)进行RT-PCR检测MDR-1。结果表明,重约5mg以上的标本均可得到阳性MDR-1表达(见图2)。
图1 肝癌组织MDR-1表达
, 百拇医药
A.敏感KB细胞;B.耐药KB细胞;
C、D、.肝癌标本;M.marker
图2 不同重量肝癌细胞MRD-1扩增
A.2.5mg; B.5mg; C.10mg; D.2.0mg M.marker
3 讨论
多药耐药(MDR)是患者对化疗药物产生耐药的主要形式。实验研究表明,P糖蛋白(P-gp)过度表达,DNA拓扑异构酶活性或结构异常,多药耐药相关蛋白基因过度表达,均可导致MDR。其中,P-gp介导的耐药称为典型MDR。目前,检测P-gp介导的多药耐药现象的主要方法有P-gp水平,MDR-1mRNA水平及P-gp功能活性3个方面。其中,RT-PCR方法检测MDR-1mRNA被认为是最敏感,最特异,且最可靠的方法。本实验应用RT-PCR方法,对临床肝癌标本MDR1mRNA进行检测,同时选择了在大多数细胞膜上表达较稳定的β-MG作为内对照。对于阴性表达的患者,如果β-MG表达阳性则可证实PCR反应成功,可除外因实验本身的操作失败所致假阴性。此外,本实验同时以耐药和敏感细胞系作为外对照系统,灵敏度达8×104。本方法虽然是以肝癌标本确定的实验条件,也适用于其它临床活检小标本的MDR-1表达的检测,如胃镜、纤维结肠镜活检标本。
, 百拇医药
本组受检的肝癌患者,均接受手术治疗,且术前均未进行过化疗,其MDR-1阳性表达率为45%,表明原发性肝细胞癌患者存在较高比例的内在性耐药性,与文献报道相一致〔4〕。此种内在耐药性的存在,可解释为何临床肝癌患者化疗效果不佳。值得注意的是14例MDR-1阳性病例中有9例伴有癌转移,表明MDR-1高表达也可能预示癌细胞恶性程度高,侵袭力强,有转移倾向。
肝癌患者的内在耐药性比例较高;对化疗药物的耐药性与MDR-1表达增高有关。RT-PCR方法检测MDR-1mRNA可以作为临床判断多药耐药的指标,对临床选择化疗方案和估计预后有参考价值。
参考文献
1 杨纯正.肿瘤细胞耐药基因研究进展〔J〕.中国肿瘤,1996,5(7):15
2 Grunebach F, Griese EU, Shumacher K. Competitive nested polymerase chain reaction for quantification of human MDR1 gene expression 〔J〕. J Cancer Res Clin Oncol, 1994,120:539~544.
, 百拇医药
3 Chen CJ, Clark D, Uedak. Genomic organization of the human multidrug resistance (MDR1) gene and origin of P-glycoproteins〔J〕.J Biol Chem, 1990,265(1):505~514.
4 Goldstein LJ, Galski H, Fojo A, et al. Expression of multidrug resistance gene in human cancers〔J〕. J Natl Cancer Inst, 1989,81(2):116~124.
收稿日期:1998-07-07;修回日期:1998-08-25, 百拇医药
单位:韩英 柴富贵 李世荣(北京军区总医院消化内科(北京,100700));王玉芝(军事医学科学院放射医学研究所)
关键词:抗药性;多聚酶链反应(PCR);肝脏肿瘤
癌症990343
中图号:R735.7;Q753 文献标识码:B 文章编号:1000-467X(1999)03-0357-02
化疗是治疗肿瘤的有效手段之一。肿瘤细胞耐药是导致化疗失败的主要原因,有关资料统计,90%以上肿瘤患者死因或多或少都与耐药有关〔1〕。因此,研究肿瘤耐药起因、检测病人是否出现耐药,借以指导临床化疗,提高患者治愈率和生存率,这是当前肿瘤治疗迫切需要解决的重要问题。本实验采用逆转录-多聚酶链式反应(RTPCR)技术建立了一种灵敏、特异、可靠的检测临床肝癌MDR1基因的表达方法,并探讨MDR1基因在肝癌组织中的表达与临床特征之间的关系,为临床化疗提供一项辅助的监测和判断指标,使化疗个体化并发挥更有效的作用。
, http://www.100md.com
1 材料与方法
1.1 检测对象
所有标本均取自经病理证实的原发性肝细胞癌手术病人,共31例,均未接受化疗。正常肝组织5例。
1.2 主要试剂与仪器
AMV逆转录酶、RNA提取试剂盒和TaqDNA聚合酶购自Promega公司。PCR仪系美国PE公司GeneAmpPCRSystem2400。
1.3 实验方法
1.3.1 RNA制备:采用Promega公司总RNA提取试剂盒,依照操作说明书制备总RNA。
1.3.2 引物设计:参考Grunebach等〔2〕文献报道,利用PCGENE软件设计基因专一性引物,其扩增片段为一段长403bp(+207~+609,以翻译起始密码子ATG中的A为+1)的cDNA片段〔3〕。上游引物5′CGGGATCCCTGGTGTTTGGAGAAATGACAG3′,下游引物5′AACTGCAGCCCAGTGAAAAATGTTGCCATTGAC3′,内对照β微球蛋白(β-MG),上游引物5′CGAGAAGATGACCCAGAT5′GATCTTCATGAGGTAGTCAG3′,其扩增片段长度为240bp。
, 百拇医药
1.3.3 对照系统:耐药和敏感KB细胞分别作阳性和阴性细胞对照(购自中国医学科学院药物研究所)。
1.3.4 cDNA合成:取总RNA约3μg,加5×缓冲液4μl,2.5mmol/LdNTP2μl,RNA酶抑制剂(RNasin)30u,AMV逆转录酶15~20u,100μmol/L下游引物0.5μl,补水至20μl,混匀后42℃孵育1小时,结束后取逆转录混合产物5μl行PCR扩增。
1.3.5 PCR:取上述逆转录混合产物约5μl为模板,加10×缓冲液2μl,25mmol/L氯化镁1.5μl,2.5mmol/LdNTP2μl,100μmol/L两对引物各0.1μl,在PCR仪上,首先95℃预变性5分钟,再加TaqDNA聚合酶0.5u,而后94℃变性30秒,55℃退火30秒,72℃延伸1分钟,扩增35个循环,最后72℃补平7分钟。取10μl扩增产物在1.5%琼脂糖凝胶电泳60伏50分钟,紫外灯下照相。
, 百拇医药
2 结果
利用逆转录PCR技术和设定的两对引物,得到MDR-1和β-MG扩增产物分别为403bp和240bp(见图1)。31例肝癌标本MDR1阳性表达率为45%(14/31),5例正常肝组织均阴性。为验证本实验的敏感性,取5×104、8×104、1×105、5×105个耐药KB细胞,分别进行RT-PCR检测,耐药KB细胞数达8×104以上时,均可得到阳性MDR-1扩增带。为进一步探讨临床内镜活检小标本MDR-1表达的检测,取一阳性表达组织标本,分别称取2.5mg,5mg,10mg,20mg,(通常纤维结肠镜活检钳夹取一块组织重约2~3mg)进行RT-PCR检测MDR-1。结果表明,重约5mg以上的标本均可得到阳性MDR-1表达(见图2)。
图1 肝癌组织MDR-1表达
, 百拇医药
A.敏感KB细胞;B.耐药KB细胞;
C、D、.肝癌标本;M.marker
图2 不同重量肝癌细胞MRD-1扩增
A.2.5mg; B.5mg; C.10mg; D.2.0mg M.marker
3 讨论
多药耐药(MDR)是患者对化疗药物产生耐药的主要形式。实验研究表明,P糖蛋白(P-gp)过度表达,DNA拓扑异构酶活性或结构异常,多药耐药相关蛋白基因过度表达,均可导致MDR。其中,P-gp介导的耐药称为典型MDR。目前,检测P-gp介导的多药耐药现象的主要方法有P-gp水平,MDR-1mRNA水平及P-gp功能活性3个方面。其中,RT-PCR方法检测MDR-1mRNA被认为是最敏感,最特异,且最可靠的方法。本实验应用RT-PCR方法,对临床肝癌标本MDR1mRNA进行检测,同时选择了在大多数细胞膜上表达较稳定的β-MG作为内对照。对于阴性表达的患者,如果β-MG表达阳性则可证实PCR反应成功,可除外因实验本身的操作失败所致假阴性。此外,本实验同时以耐药和敏感细胞系作为外对照系统,灵敏度达8×104。本方法虽然是以肝癌标本确定的实验条件,也适用于其它临床活检小标本的MDR-1表达的检测,如胃镜、纤维结肠镜活检标本。
, 百拇医药
本组受检的肝癌患者,均接受手术治疗,且术前均未进行过化疗,其MDR-1阳性表达率为45%,表明原发性肝细胞癌患者存在较高比例的内在性耐药性,与文献报道相一致〔4〕。此种内在耐药性的存在,可解释为何临床肝癌患者化疗效果不佳。值得注意的是14例MDR-1阳性病例中有9例伴有癌转移,表明MDR-1高表达也可能预示癌细胞恶性程度高,侵袭力强,有转移倾向。
肝癌患者的内在耐药性比例较高;对化疗药物的耐药性与MDR-1表达增高有关。RT-PCR方法检测MDR-1mRNA可以作为临床判断多药耐药的指标,对临床选择化疗方案和估计预后有参考价值。
参考文献
1 杨纯正.肿瘤细胞耐药基因研究进展〔J〕.中国肿瘤,1996,5(7):15
2 Grunebach F, Griese EU, Shumacher K. Competitive nested polymerase chain reaction for quantification of human MDR1 gene expression 〔J〕. J Cancer Res Clin Oncol, 1994,120:539~544.
, 百拇医药
3 Chen CJ, Clark D, Uedak. Genomic organization of the human multidrug resistance (MDR1) gene and origin of P-glycoproteins〔J〕.J Biol Chem, 1990,265(1):505~514.
4 Goldstein LJ, Galski H, Fojo A, et al. Expression of multidrug resistance gene in human cancers〔J〕. J Natl Cancer Inst, 1989,81(2):116~124.
收稿日期:1998-07-07;修回日期:1998-08-25, 百拇医药