心复康对大鼠实验性心肌梗死形态学及体外培养乳鼠心肌细胞超微结构的影响△
作者:冯学瑞 张艳军 陆一竹 陆融 范英昌
单位:冯学瑞 张艳军 陆一竹 陆 融 范英昌天津中医学院(300193)
关键词:心复康;心肌梗死;心肌细胞;病理形态学;超微结构
心复康对大鼠实验性心肌梗死形态学及体外 培养乳鼠心肌细胞超微结构的影响 摘 要 用结扎大鼠左冠状动脉前降支的方法造成心肌梗死病变模型,给予中药心复康后对其病理形态的改变进行观测,结果显示可使实验性心肌梗死大鼠梗死程度减轻,梗死后修复增快。采用体外培养的大鼠乳鼠心肌细胞,通过暂时停止供应心肌细胞生存必需的糖和氧,造成心肌细胞缺氧样损伤,从细胞水平观察心复康的作用,结果表明可明显改善心肌细胞结构缺血样损伤。提示心复康对心肌梗死具有防治作用。
心肌梗死是由于突发持续性心肌缺血引起的心肌坏死,是缺血性心脏病中较为严重的一个类型。根据中医学辨证施治,运用具有益气养阴、活血化瘀作用的中药心复康治疗冠心病患者600余例,取得了明显的临床效果,为了进一步探讨其防治心肌梗死的作用机制,我们将心复康用于动物实验和细胞培养,观察对实验性心肌梗死大鼠病理形态学及体外培养乳鼠心肌细胞超微结构的影响。
, 百拇医药
1 材料
1.1 动物:成熟SD大鼠,2~3 d龄SD大鼠,天津药物研究院动物室提供。
1.2 药物及试剂:心复康由西洋参、白术、枸杞子、女贞子、功劳叶、土鳖虫、鹿衔草等组成,天津中医学院第一附属医院制剂室提供。心痛康(江苏靖江制药厂,批号2-02)。德脉宁(isosorbide-5-mononitrate,德国Merchle Gmbh生产)。D-MEM/F-12培养基和新生牛血清(GibcoBRL公司)。
1.3 仪器:美国产2323型CO2养箱,荷兰菲利浦400-ST透射电镜。
2 方法
2.1 动物实验性心肌梗死模型制作及分组:健康成熟的SD大鼠85只,雌雄各半,体重200~250 g,随机分为正常对照组,自然恢复组,心复康组,心痛康对照组,德脉宁对照组及假手术组。
, 百拇医药
动物造膜〔1〕:大鼠在乙醚麻醉下,手术开胸,挤出心脏,在动脉圆锥与左心耳冠状动脉处结扎冠状动脉后,把心脏放回胸腔,缝合胸壁,待大鼠清醒后,连接心电图机描记肢体Ⅱ导联心电图,有心肌缺血表现者视造膜成功。
正常对照组大鼠不予任何处理;假手术组开胸挤出心脏后不结扎冠状动脉;自然恢复组大鼠造膜后不予任何药物,每日ig 3 mL清水1次;心复康组按生药60 g/(kg.d) ig心复康水煎液6 mL;心痛康组按成药1.2 g/(kg.d) ig心痛康冲剂3 mL;德脉宁组按15 mg/(kg.d) ig德脉宁3 mL(以上药物均为成人药量20倍)。所有动物均自由进水,各组均于术前3 d给水或给药至实验结束。
2.2 心肌细胞培养〔2〕及分组:取2~3 d龄的SD大鼠50只,以无菌手术取下心脏,放入无菌D-Hanks溶液中反复冲洗去除血液,将心肌组织剪碎,用0.125%胰蛋白酶溶液消化多次,离心,加入少量含20 %新生牛血清D-MEM/F12培养液,收集各次消化离心后的细胞悬液,通过140目尼龙网过滤,制成1×106细胞/mL心肌细胞悬液作培养,其接种细胞74瓶,37℃静置培养,每3 天换液1次。2周后,细胞连接成网状。形成同步收缩,将其随机分为正常对照组(n=34),心复康组(n=40),按每100 mL正常培养液加入心复康无菌提取液(300 μg/mL)30 μL的比例培养。3 d后从正常对照组中抽取20瓶细胞标本换入缺糖培养液;从心复康组中抽取20瓶换入加有心复康无菌提取液的缺糖培养液,开盖置于CO2培养箱中,并迅速抽吸箱中空气,置换以高纯氮气,37 ℃密闭培养,分别成为缺氧缺糖对照组和缺氧缺糖心复康组。
, 百拇医药
2.3 病理形态学观察:造膜72 h后处死动物,取出心脏,用生理盐水冲洗,沿冠状沟切除心房,顺房室沟从心尖到心底部平行将大鼠心室切为均等的3块心肌,经10%中性福尔马林溶液固定后,常规石蜡包埋,每片心肌切取2张切片,每例心肌共切取6张切片,常规HE染色,镜下观察,按表1将心肌梗死后的整体病变程度及恢复程度分为轻、中、重三度。以目镜显微测微网,一个大网格为面积计数单位,计数成纤维细胞数目。
表1 心肌梗死程度分级
项目
+
++
+++
梗死面积
<1/4
, http://www.100md.com
<2/3
>2/3
成纤维细胞
密集
较稀疏
稀疏,梗死灶中无成纤维细胞增生
梗死形态
呈地图样分布,其间有岛屿状存活心肌细胞
呈地图样分布,其间存活心肌细胞
大片装梗死灶内无任何修复性反应
梗死部位
仅限于内膜下
, 百拇医药
局部心肌梗死
全层梗死
综合上述病变,“+”<5个者为轻度;5≤“+”<10者为中度;“+”≥10个者为重度。
2.4 心肌细胞超微结构的观察:培养的大鼠乳鼠心肌细胞在分组处理6 h后,各组随机抽取2例,弃去原培养液,加入0.125 %胰蛋白酶1.5 mL和含有20 %小牛血清的D-EME/F12培养液,吸管吹打,形成细胞悬液,分置于离心管中,离心,弃上清液,加2.5%戊二醛固定,行锇酸固定后。Epon812包埋,超薄切片,醋酸铀-枸橼酸铅染色,菲利蒲400-ST透射电镜观察。
3 结果
3.1 对实验性心肌梗死大鼠病理形态学的影响:见表2和图1、2。
表2 对实验性心肌梗死大鼠心肌梗死区内成纤维细胞数目的影响(
±s)
, http://www.100md.com
组别
动物(只)
成纤维细胞数
自然恢复组
15
92±14
心复康组
15
142±9**
心痛康组
15
123±11*△
, http://www.100md.com
德脉宁组
15
120±11*△△
与自然恢复组相比:*P<0.05 **P<0.01
与心复康组相比:△P<0.05 △△P<0.01
光镜下大鼠心肌梗死灶广泛,可见梗死灶内坏死组织
轮廓及炎细胞浸润,成纤维细胞稀少,肉芽组织生长缓慢。HE,×100
, http://www.100md.com
图1 手术模型组
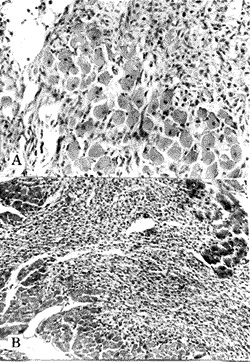
A-光镜下大鼠心肌梗死灶较局限,梗死灶内可呈岛屿
状分布的存活心肌细胞,肉芽组织增生活跃。HE,×100; B-光镜下大鼠心肌梗死灶仅限于心内膜下,梗死灶内可见存活的心肌细胞,梗死灶大部分已被肉芽组织机化。HE,×100
图2 心复康组
各组心肌梗死程度经Ridit分析,χ2检验有非常显著性差异(RA=0.446,RB=0.657,RC=0.659,RD=0.616,χ2=14.953,P<0.01),表明药物治疗各组心肌梗死程度明显减轻,见表3。
, 百拇医药
表3 心肌梗死程度比较
组别
动物(只)
轻度
中度
重度
自然恢复组(A)
15
1
7
6
心复康组(B)
15
, http://www.100md.com
12
3
0
心痛康组(C)
15
7
8
0
德脉宁组(D)
15
8
6
1
3.2 对体外培养乳鼠心肌细胞超微结构的影响:电镜可见单纯缺氧缺糖组心肌细胞细胞器严重损伤,线粒体明显变性、肿胀,内质网扩张,并见大量脂质沉积,细胞核变性,染色体固缩,严重者细胞膜崩解。缺氧缺糖心复康组病变明显较单纯缺氧缺糖组轻微,仅见细胞浆内脂质沉积,线粒体轻度肿胀。正常对照组细胞结构清晰,胞浆内仅见少量脂质沉积(图3~5)。
, http://www.100md.com
A-电镜下心肌细胞线粒体明显变性、肿胀,内织网扩
张,胞浆内可见大量脂质沉积。×6000
B-电镜下心肌细胞内细胞器结构模糊不清,细胞核变性,染色质固缩,有处细胞膜崩解。×6000
图3 单纯缺氧缺糖组
电镜下心肌细胞线粒体轻度肿胀,胞浆内可见少量脂质沉积。×6000
图4 心复康组
, 百拇医药
电镜下心肌细胞结构清晰,胞浆内仅见
少量脂质沉积。×6000
图5 正常对照组
4 讨论
心肌梗死属于中医“胸痹”、“厥心痛”、“真心痛”范畴,从《内经》的“邪在心”到《金匮要略》的“阳微阴弦”较完整而扼要地提出了“胸痹心痛”的病机。根据其“本虚标实”的病机特点,我们创立了具有益气养阴、活血化瘀功效的中药复方心复康,方用西洋参苦、寒之品,补气养阴、清火生津;并以甘苦、温之白术,补气健脾,两药重用,共奏益气养阴之大功;枸杞子、女贞子配伍微苦、凉之功劳叶,养阴清热,共达养阴生血之效;土鳖虫主治活血化瘀;稍佐鹿衔草以温补强健,使阴得阳生而泉源不竭。全方配伍扶正祛邪,其补益而不留邪,攻逐而不伤正。
通过多例镜下观察,结果表明中药心复康对心肌梗死具有一定的防治作用:(1)减少梗死范围。(2)减轻梗死病变程度。(3)加快机体对梗死病变的修复。体外培养乳鼠心肌细胞在缺氧缺糖条件下可形成实验性心肌细胞损伤模型,国外文献称之为心肌细胞“缺血性”损伤〔3,4〕。心肌细胞受损伤后,电镜下可见其细胞器严重损伤,细胞膜受损。实验证明中药心复康对心肌细胞缺氧缺糖性损伤有直接保护作用,可使病变轻微。心复康对体外培养心肌细胞缺血性损伤的保护作用,可能是通过稳定细胞,改善线粒体功能,减轻线粒体水肿而保护心肌细胞,减轻损伤程度的,这些机制有待进一步探讨。但我们实验结果支持了本方的临床疗效评定,为本方的推广应用奠定了基础。
, http://www.100md.com
*Address:Feng Xuerui ,Tianjin College of Traditional Chinese Medicine ,Tianjin
作者简介:冯学瑞 男 副教授,1970年毕业于天津医科大学,长期中事病理学教学和中医基础理论脏腑相关学说的研究,研制多种脏腑病症模型,并进行中药复方治闻病症的实验研究,对中医脏腑理论关于肺与肠相表里学说做了深入的探讨,研制阳明腑实症(大肠不完全梗阻)模型,观察肺脏等脏器的病变,论证了该学说的客观性、内在联系和作用机制,相继发表了一系列关于肺与大肠相表里实验研究的论文。
△天津市自然科学基金资助项目No924007008
参 考 文 献
[1] 徐叔云,等.药理实验方法学.第二版.北京:人民卫生出版社,1991:921
[2] 李连达,等.中国中西医结合杂志,1986,6(4),246
[3] Marvin W J, et al.Gire Res,1979,45:528
[4] Lau Y H, et al.Gire Res,1980,47:41
(1998-10-23收稿), 百拇医药
单位:冯学瑞 张艳军 陆一竹 陆 融 范英昌天津中医学院(300193)
关键词:心复康;心肌梗死;心肌细胞;病理形态学;超微结构
心复康对大鼠实验性心肌梗死形态学及体外 培养乳鼠心肌细胞超微结构的影响 摘 要 用结扎大鼠左冠状动脉前降支的方法造成心肌梗死病变模型,给予中药心复康后对其病理形态的改变进行观测,结果显示可使实验性心肌梗死大鼠梗死程度减轻,梗死后修复增快。采用体外培养的大鼠乳鼠心肌细胞,通过暂时停止供应心肌细胞生存必需的糖和氧,造成心肌细胞缺氧样损伤,从细胞水平观察心复康的作用,结果表明可明显改善心肌细胞结构缺血样损伤。提示心复康对心肌梗死具有防治作用。
心肌梗死是由于突发持续性心肌缺血引起的心肌坏死,是缺血性心脏病中较为严重的一个类型。根据中医学辨证施治,运用具有益气养阴、活血化瘀作用的中药心复康治疗冠心病患者600余例,取得了明显的临床效果,为了进一步探讨其防治心肌梗死的作用机制,我们将心复康用于动物实验和细胞培养,观察对实验性心肌梗死大鼠病理形态学及体外培养乳鼠心肌细胞超微结构的影响。
, 百拇医药
1 材料
1.1 动物:成熟SD大鼠,2~3 d龄SD大鼠,天津药物研究院动物室提供。
1.2 药物及试剂:心复康由西洋参、白术、枸杞子、女贞子、功劳叶、土鳖虫、鹿衔草等组成,天津中医学院第一附属医院制剂室提供。心痛康(江苏靖江制药厂,批号2-02)。德脉宁(isosorbide-5-mononitrate,德国Merchle Gmbh生产)。D-MEM/F-12培养基和新生牛血清(GibcoBRL公司)。
1.3 仪器:美国产2323型CO2养箱,荷兰菲利浦400-ST透射电镜。
2 方法
2.1 动物实验性心肌梗死模型制作及分组:健康成熟的SD大鼠85只,雌雄各半,体重200~250 g,随机分为正常对照组,自然恢复组,心复康组,心痛康对照组,德脉宁对照组及假手术组。
, 百拇医药
动物造膜〔1〕:大鼠在乙醚麻醉下,手术开胸,挤出心脏,在动脉圆锥与左心耳冠状动脉处结扎冠状动脉后,把心脏放回胸腔,缝合胸壁,待大鼠清醒后,连接心电图机描记肢体Ⅱ导联心电图,有心肌缺血表现者视造膜成功。
正常对照组大鼠不予任何处理;假手术组开胸挤出心脏后不结扎冠状动脉;自然恢复组大鼠造膜后不予任何药物,每日ig 3 mL清水1次;心复康组按生药60 g/(kg.d) ig心复康水煎液6 mL;心痛康组按成药1.2 g/(kg.d) ig心痛康冲剂3 mL;德脉宁组按15 mg/(kg.d) ig德脉宁3 mL(以上药物均为成人药量20倍)。所有动物均自由进水,各组均于术前3 d给水或给药至实验结束。
2.2 心肌细胞培养〔2〕及分组:取2~3 d龄的SD大鼠50只,以无菌手术取下心脏,放入无菌D-Hanks溶液中反复冲洗去除血液,将心肌组织剪碎,用0.125%胰蛋白酶溶液消化多次,离心,加入少量含20 %新生牛血清D-MEM/F12培养液,收集各次消化离心后的细胞悬液,通过140目尼龙网过滤,制成1×106细胞/mL心肌细胞悬液作培养,其接种细胞74瓶,37℃静置培养,每3 天换液1次。2周后,细胞连接成网状。形成同步收缩,将其随机分为正常对照组(n=34),心复康组(n=40),按每100 mL正常培养液加入心复康无菌提取液(300 μg/mL)30 μL的比例培养。3 d后从正常对照组中抽取20瓶细胞标本换入缺糖培养液;从心复康组中抽取20瓶换入加有心复康无菌提取液的缺糖培养液,开盖置于CO2培养箱中,并迅速抽吸箱中空气,置换以高纯氮气,37 ℃密闭培养,分别成为缺氧缺糖对照组和缺氧缺糖心复康组。
, 百拇医药
2.3 病理形态学观察:造膜72 h后处死动物,取出心脏,用生理盐水冲洗,沿冠状沟切除心房,顺房室沟从心尖到心底部平行将大鼠心室切为均等的3块心肌,经10%中性福尔马林溶液固定后,常规石蜡包埋,每片心肌切取2张切片,每例心肌共切取6张切片,常规HE染色,镜下观察,按表1将心肌梗死后的整体病变程度及恢复程度分为轻、中、重三度。以目镜显微测微网,一个大网格为面积计数单位,计数成纤维细胞数目。
表1 心肌梗死程度分级
项目
+
++
+++
梗死面积
<1/4
, http://www.100md.com
<2/3
>2/3
成纤维细胞
密集
较稀疏
稀疏,梗死灶中无成纤维细胞增生
梗死形态
呈地图样分布,其间有岛屿状存活心肌细胞
呈地图样分布,其间存活心肌细胞
大片装梗死灶内无任何修复性反应
梗死部位
仅限于内膜下
, 百拇医药
局部心肌梗死
全层梗死
综合上述病变,“+”<5个者为轻度;5≤“+”<10者为中度;“+”≥10个者为重度。
2.4 心肌细胞超微结构的观察:培养的大鼠乳鼠心肌细胞在分组处理6 h后,各组随机抽取2例,弃去原培养液,加入0.125 %胰蛋白酶1.5 mL和含有20 %小牛血清的D-EME/F12培养液,吸管吹打,形成细胞悬液,分置于离心管中,离心,弃上清液,加2.5%戊二醛固定,行锇酸固定后。Epon812包埋,超薄切片,醋酸铀-枸橼酸铅染色,菲利蒲400-ST透射电镜观察。
3 结果
3.1 对实验性心肌梗死大鼠病理形态学的影响:见表2和图1、2。
表2 对实验性心肌梗死大鼠心肌梗死区内成纤维细胞数目的影响(
, http://www.100md.com
组别
动物(只)
成纤维细胞数
自然恢复组
15
92±14
心复康组
15
142±9**
心痛康组
15
123±11*△
, http://www.100md.com
德脉宁组
15
120±11*△△
与自然恢复组相比:*P<0.05 **P<0.01
与心复康组相比:△P<0.05 △△P<0.01
光镜下大鼠心肌梗死灶广泛,可见梗死灶内坏死组织
轮廓及炎细胞浸润,成纤维细胞稀少,肉芽组织生长缓慢。HE,×100
, http://www.100md.com
图1 手术模型组
A-光镜下大鼠心肌梗死灶较局限,梗死灶内可呈岛屿
状分布的存活心肌细胞,肉芽组织增生活跃。HE,×100; B-光镜下大鼠心肌梗死灶仅限于心内膜下,梗死灶内可见存活的心肌细胞,梗死灶大部分已被肉芽组织机化。HE,×100
图2 心复康组
各组心肌梗死程度经Ridit分析,χ2检验有非常显著性差异(RA=0.446,RB=0.657,RC=0.659,RD=0.616,χ2=14.953,P<0.01),表明药物治疗各组心肌梗死程度明显减轻,见表3。
, 百拇医药
表3 心肌梗死程度比较
组别
动物(只)
轻度
中度
重度
自然恢复组(A)
15
1
7
6
心复康组(B)
15
, http://www.100md.com
12
3
0
心痛康组(C)
15
7
8
0
德脉宁组(D)
15
8
6
1
3.2 对体外培养乳鼠心肌细胞超微结构的影响:电镜可见单纯缺氧缺糖组心肌细胞细胞器严重损伤,线粒体明显变性、肿胀,内质网扩张,并见大量脂质沉积,细胞核变性,染色体固缩,严重者细胞膜崩解。缺氧缺糖心复康组病变明显较单纯缺氧缺糖组轻微,仅见细胞浆内脂质沉积,线粒体轻度肿胀。正常对照组细胞结构清晰,胞浆内仅见少量脂质沉积(图3~5)。
, http://www.100md.com
A-电镜下心肌细胞线粒体明显变性、肿胀,内织网扩
张,胞浆内可见大量脂质沉积。×6000
B-电镜下心肌细胞内细胞器结构模糊不清,细胞核变性,染色质固缩,有处细胞膜崩解。×6000
图3 单纯缺氧缺糖组
电镜下心肌细胞线粒体轻度肿胀,胞浆内可见少量脂质沉积。×6000
图4 心复康组
, 百拇医药
电镜下心肌细胞结构清晰,胞浆内仅见
少量脂质沉积。×6000
图5 正常对照组
4 讨论
心肌梗死属于中医“胸痹”、“厥心痛”、“真心痛”范畴,从《内经》的“邪在心”到《金匮要略》的“阳微阴弦”较完整而扼要地提出了“胸痹心痛”的病机。根据其“本虚标实”的病机特点,我们创立了具有益气养阴、活血化瘀功效的中药复方心复康,方用西洋参苦、寒之品,补气养阴、清火生津;并以甘苦、温之白术,补气健脾,两药重用,共奏益气养阴之大功;枸杞子、女贞子配伍微苦、凉之功劳叶,养阴清热,共达养阴生血之效;土鳖虫主治活血化瘀;稍佐鹿衔草以温补强健,使阴得阳生而泉源不竭。全方配伍扶正祛邪,其补益而不留邪,攻逐而不伤正。
通过多例镜下观察,结果表明中药心复康对心肌梗死具有一定的防治作用:(1)减少梗死范围。(2)减轻梗死病变程度。(3)加快机体对梗死病变的修复。体外培养乳鼠心肌细胞在缺氧缺糖条件下可形成实验性心肌细胞损伤模型,国外文献称之为心肌细胞“缺血性”损伤〔3,4〕。心肌细胞受损伤后,电镜下可见其细胞器严重损伤,细胞膜受损。实验证明中药心复康对心肌细胞缺氧缺糖性损伤有直接保护作用,可使病变轻微。心复康对体外培养心肌细胞缺血性损伤的保护作用,可能是通过稳定细胞,改善线粒体功能,减轻线粒体水肿而保护心肌细胞,减轻损伤程度的,这些机制有待进一步探讨。但我们实验结果支持了本方的临床疗效评定,为本方的推广应用奠定了基础。
, http://www.100md.com
*Address:Feng Xuerui ,Tianjin College of Traditional Chinese Medicine ,Tianjin
作者简介:冯学瑞 男 副教授,1970年毕业于天津医科大学,长期中事病理学教学和中医基础理论脏腑相关学说的研究,研制多种脏腑病症模型,并进行中药复方治闻病症的实验研究,对中医脏腑理论关于肺与肠相表里学说做了深入的探讨,研制阳明腑实症(大肠不完全梗阻)模型,观察肺脏等脏器的病变,论证了该学说的客观性、内在联系和作用机制,相继发表了一系列关于肺与大肠相表里实验研究的论文。
△天津市自然科学基金资助项目No924007008
参 考 文 献
[1] 徐叔云,等.药理实验方法学.第二版.北京:人民卫生出版社,1991:921
[2] 李连达,等.中国中西医结合杂志,1986,6(4),246
[3] Marvin W J, et al.Gire Res,1979,45:528
[4] Lau Y H, et al.Gire Res,1980,47:41
(1998-10-23收稿), 百拇医药