骨肉瘤抑癌基因表达及其增殖活性的临床意义
作者:李联忠 王亦进 刘亚 李忠玉
单位:潍坊医学院附属医院骨科,山东 潍坊 261031
关键词:骨肉瘤; 基因,抑制,肿瘤; 基因表达; 免疫组织化学; 预后
New Page 1
【摘要】 目的 检测p16、p53基因蛋白及增殖细胞核抗原(PCNA)在骨肉瘤中的存在情况,探讨其与骨肉瘤发生、发展和预后的关系。方法 采用改良的免疫组化ABC法,对32例骨肉瘤手术标本和15例正常骨组织标本进行p16、 p53基因蛋白、PCNA的检测。结果 p16、p53基因蛋白、PCNA的阳性表达分别为 37.5%、75.0%、100%,与正常对照差异有显著性(P<0.05,P<0.01); p53、p16基因蛋白的阳性表达与患者的预后有关(P<0.05)。结论 p16、p53基因蛋白、PCNA参与骨肉瘤细胞的增殖过程并与骨肉瘤的进展和预后有关;p16、p53基因蛋白作为骨肉瘤的预后指标对判断骨肉瘤患者的预后可能更有临床意义。
, http://www.100md.com
【中图分类号】 R738.1; R392.3
Clinical significance of expression of tumor suppressor genes and proliferative activity in osteosarcoma
Li Lianzhong, Wang Yijin, Liu Ya, Li Zhongyu
(Department of Orthopaedics, Affiliated Hospital of Weifang Medical College, Weifang ,Shandong 261031)
【Abstract 】 Objective To detect p16, p53 protein and proliferating cell nuclear antigen (PCNA) in osteosarcoma and study their relationship with pathogenesis,development and prognosis of osteosarcoma. Methods The modified immunohistochemical ABC technique was used to detect the expression of p16, p53 and PCNA in 32 osteosarcoma specimens and 15 normal bone tissues. Results The positive expression rates of p16, p53 genes and PCNA were 37.5%,75.0% and 100% respectively,which were significantly different from that in normal tissues (P<0.05,P<0.01). There were obvious relationships between the positive expression of p16,p53 and patients prognosis(P<0.05). Conclusion p16 and p53 protein and PCNA participate in the proliferation processes of osteosarcoma cells and correlate with prognosis and development of osteosarcoma. p16 and p53 as an index of prognosis for osteosarcoma may be of clinical significance to assess the patients prognosis.
, 百拇医药
【Key words】 osteosarcoma; genes, suppressor,tumor; gene expression; immunohistochemistry; prognosis
p16及野生型p53基因是肿瘤的抑制基因,当发生缺失或突变后可使肿瘤细胞无限制生长,是肿瘤增生异常活跃的因素之一。增殖细胞核抗原(PCNA)是反映细胞增殖状态较为客观的指标。我们采用改良的免疫组化ABC法,同步检测了骨肉瘤中p16、p53基因蛋白及PCNA的表达情况,并探讨了它们在骨肉瘤发生发展中的作用及对预后的影响。
1 材料与方法
1.1 材料 32例骨肉瘤免疫组化分析标本,取自病理存档的骨肉瘤组织蜡块。标本均经常规3.3 mol.L-1中性福尔马林固定,石蜡包埋,连续切片厚 5 μm,充分烤片。不加一抗作为阴性对照,以已知阳性反应片作阳性对照。
, http://www.100md.com
1.2 试剂 鼠抗人 p53单克隆抗体、兔抗人多克隆抗体p16(c-20)系美国Santa Cruz公司产品,单克隆抗体鼠抗PCNA(pc10)、 ABC试剂盒为美国ZYMED公司产品。以上试剂均购自北京中山生物技术有限公司。
1.3 方法 采用免疫组化ABC法,略加改良,对切片微波处理代替胰酶消化。工作流程如下:石蜡切片,二甲苯脱蜡20 min,无水乙醇固定20 min,枸橼酸钠工作液在微波炉内暴露修复抗原20 min,乙醇梯度脱水,3% H2O2封闭30 min,5%羊血清封闭1 h,加一抗(p16工作浓度 1∶50, p53、 PCNA工作浓度分别为1∶150,1∶200) 37℃过夜,加二抗37℃ 1 h,加入工作液A和B(A∶B=1∶200),6% DAB 37℃显色10 min,苏木素复染2 min,乙醇梯度脱水,二甲苯透明,树胶封片。
1.4 结果判定 细胞核和(或)浆呈明显棕色反应即为阳性,根据阳性细胞的百分比进行结果判断。
, 百拇医药
1.5 统计方法 检验用四格表资料χ2检验或确切概率法。
2 结果
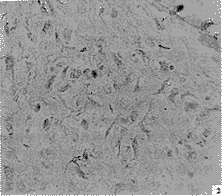
2.1 抑癌基因蛋白及PCNA表达 骨肉瘤中 p53阳性颗粒主要定位于细胞核内(图1),阳性表达率为75.0%; p16阳性细胞在组织间散在分布,阳性颗粒主要位于胞浆,部分位于胞核中(图2),其阳性率为37.5%;PCNA阳性颗粒位于胞核中(图3), PCNA蛋白阳性表达率100%,与正常骨组织对照差异有显著性(P<0.05,P<0.01)。详见表1。
图1 p53蛋白阳性表达主要位于细胞核内 ABC法×400
, http://www.100md.com
图2 骨肉瘤p16阳性表达 ABC法×200
图3 骨肉瘤PCNA阳性表达 ABC法×200
表1 肿瘤基因蛋白及PCNA表达
项别
阳性率(%)
P值
骨肉瘤
(n=32)
正常骨组织
, http://www.100md.com
(n=15)
p53
75.0
0
<0.01
PCNA
100
7.7
<0.01
p16
37.5
66.2
<0.05
, 百拇医药
2.2 p53、p16、PCNA与预后的关系 p16、p53蛋白阳性表达对患者的预后有意义,提示p16、 p53作为骨肉瘤的预后指标对判断骨肉瘤患者的预后可能更有临床意义。详见表2。
表2 p53、p16、PCNA与预后的关系
项别
n*
阳性率(%)
P值
生存期>3年
生存期<1年
p53
17
, http://www.100md.com
56.3
100
<0.05
PCNA
24
100
100
>0.05
p16
8
50
0
<0.05
, 百拇医药
*指阳性细胞在10%以上的随访患者
3 讨论
PCNA是一种仅在增殖的细胞中合成与表达的核蛋白,存在于细胞周期G1晚期和S期,在促使细胞DNA复制活动中发挥重要作用,是反映细胞增殖状态的重要标志〔1〕。本研究中发现骨肉瘤PCNA阳性细胞检出率达100%,明显高于正常骨组织,说明骨肉瘤细胞增殖活跃、恶性程度高的生物学特征。虽然其阳性表达率对存活时间影响不大,但亦发现其阳性强度随生存时间的延长而有逐渐减弱的趋势,与Mayer等〔2〕的观点一致,即PCNA阳性细胞数仅仅表明当时肿瘤细胞的增殖程度,而肿瘤的转移、预后可能与其他因素有关,如肿瘤细胞粘附因子等。
p53属抑癌基因, p53蛋白的主要生物学功能为引起细胞周期阻滞,诱导凋亡和促进分化,有大约50%的人类肿瘤,包括肝癌、胃癌、骨肉瘤等都有较高的 p53基因缺失率。研究证实,细胞内正常 p53基因的丢失或 p53基因的突变是导致这些细胞出现癌变的重要原因,其突变型与肿瘤生长明显相关〔3,4〕。本研究结果表明骨肉瘤p53蛋白的阳性表达为75.0%,说明大多数骨肉瘤有该基因突变,提示p53基因在骨肉瘤的发生和发展中起重要作用。
, http://www.100md.com
p16基因又称多肿瘤抑制基因(MTS1),其编码产物p16蛋白是细胞周期依赖激酶(CDK)的抑制剂{Q},定位于染色体9p21。编码分子量为16 ku的 p16蛋白,能与cyclin D1竞争性结合CDK4,并使之灭活,阻止细胞周期从G1向S期过渡,从而负调节细胞增殖周期〔5〕。本研究显示骨肉瘤中p16阳性表达仅为37.5%,与正常组织相比有显著差异,说明p16基因的失活与骨肉瘤的发生发展密切相关。从理论上推测p16基因失活可导致p16蛋白表达缺如,使抑制肿瘤增生的能力降低,影响患者的预后,本组随访资料支持此观点。然而在不同肿瘤中也有与此相反的报道〔6〕,可能与 p16蛋白的变异有关。
本研究表明:p53基因的突变和p16基因的失活在骨肉瘤中有较高的发生率,影响患者的预后,结合PCNA的检测,能够较准确地反映骨肉瘤的分化、恶性程度及进展情况,可作为骨肉瘤患者预后综合判断的生物学客观指标。
, 百拇医药
作者简介:李联忠,男,36岁,主治医师。研究方向:骨肿瘤,骨关节病
参考文献
1 王 臻,梁 戈,黄耀天,等. 骨肉瘤p53、C-erbB-2、C-myc的表达及预后的关系. 中华骨科杂志,1995;15(9):600~603
2 Mayer A, Takimoto M, Fritz E, et al. The prognostic significance of proliferating cell nuclear antigen, epidermal growth factor receptor and mdr gene expression in colorectal cancer. Cancer, 1993;71(8):2 454~2 456
3 Barrett JC, Anderson M. Molecular mechanisms of carcinogenesis in human and rodents. Mol Carcinog, 1993;7(1):1~13
, 百拇医药
4 Straus BS.The origin of point mutations in human cells. Cancer Res, 1992;52(6):249~253
5 Kamb A,Gruis NA,Weaver-Feldhaus J, et al. A cell cycle regulator potencially involved in genesis of many tumor types. Science,1994;264(4):436~440
6 赵温利,郭卫星,田志刚. 肿瘤抑制基因p16的研究进展. 国外医学肿瘤分册,1997;24(4):199~201
1998-12-22收稿,1999-04-19修回, 百拇医药
单位:潍坊医学院附属医院骨科,山东 潍坊 261031
关键词:骨肉瘤; 基因,抑制,肿瘤; 基因表达; 免疫组织化学; 预后
New Page 1
【摘要】 目的 检测p16、p53基因蛋白及增殖细胞核抗原(PCNA)在骨肉瘤中的存在情况,探讨其与骨肉瘤发生、发展和预后的关系。方法 采用改良的免疫组化ABC法,对32例骨肉瘤手术标本和15例正常骨组织标本进行p16、 p53基因蛋白、PCNA的检测。结果 p16、p53基因蛋白、PCNA的阳性表达分别为 37.5%、75.0%、100%,与正常对照差异有显著性(P<0.05,P<0.01); p53、p16基因蛋白的阳性表达与患者的预后有关(P<0.05)。结论 p16、p53基因蛋白、PCNA参与骨肉瘤细胞的增殖过程并与骨肉瘤的进展和预后有关;p16、p53基因蛋白作为骨肉瘤的预后指标对判断骨肉瘤患者的预后可能更有临床意义。
, http://www.100md.com
【中图分类号】 R738.1; R392.3
Clinical significance of expression of tumor suppressor genes and proliferative activity in osteosarcoma
Li Lianzhong, Wang Yijin, Liu Ya, Li Zhongyu
(Department of Orthopaedics, Affiliated Hospital of Weifang Medical College, Weifang ,Shandong 261031)
【Abstract 】 Objective To detect p16, p53 protein and proliferating cell nuclear antigen (PCNA) in osteosarcoma and study their relationship with pathogenesis,development and prognosis of osteosarcoma. Methods The modified immunohistochemical ABC technique was used to detect the expression of p16, p53 and PCNA in 32 osteosarcoma specimens and 15 normal bone tissues. Results The positive expression rates of p16, p53 genes and PCNA were 37.5%,75.0% and 100% respectively,which were significantly different from that in normal tissues (P<0.05,P<0.01). There were obvious relationships between the positive expression of p16,p53 and patients prognosis(P<0.05). Conclusion p16 and p53 protein and PCNA participate in the proliferation processes of osteosarcoma cells and correlate with prognosis and development of osteosarcoma. p16 and p53 as an index of prognosis for osteosarcoma may be of clinical significance to assess the patients prognosis.
, 百拇医药
【Key words】 osteosarcoma; genes, suppressor,tumor; gene expression; immunohistochemistry; prognosis
p16及野生型p53基因是肿瘤的抑制基因,当发生缺失或突变后可使肿瘤细胞无限制生长,是肿瘤增生异常活跃的因素之一。增殖细胞核抗原(PCNA)是反映细胞增殖状态较为客观的指标。我们采用改良的免疫组化ABC法,同步检测了骨肉瘤中p16、p53基因蛋白及PCNA的表达情况,并探讨了它们在骨肉瘤发生发展中的作用及对预后的影响。
1 材料与方法
1.1 材料 32例骨肉瘤免疫组化分析标本,取自病理存档的骨肉瘤组织蜡块。标本均经常规3.3 mol.L-1中性福尔马林固定,石蜡包埋,连续切片厚 5 μm,充分烤片。不加一抗作为阴性对照,以已知阳性反应片作阳性对照。
, http://www.100md.com
1.2 试剂 鼠抗人 p53单克隆抗体、兔抗人多克隆抗体p16(c-20)系美国Santa Cruz公司产品,单克隆抗体鼠抗PCNA(pc10)、 ABC试剂盒为美国ZYMED公司产品。以上试剂均购自北京中山生物技术有限公司。
1.3 方法 采用免疫组化ABC法,略加改良,对切片微波处理代替胰酶消化。工作流程如下:石蜡切片,二甲苯脱蜡20 min,无水乙醇固定20 min,枸橼酸钠工作液在微波炉内暴露修复抗原20 min,乙醇梯度脱水,3% H2O2封闭30 min,5%羊血清封闭1 h,加一抗(p16工作浓度 1∶50, p53、 PCNA工作浓度分别为1∶150,1∶200) 37℃过夜,加二抗37℃ 1 h,加入工作液A和B(A∶B=1∶200),6% DAB 37℃显色10 min,苏木素复染2 min,乙醇梯度脱水,二甲苯透明,树胶封片。
1.4 结果判定 细胞核和(或)浆呈明显棕色反应即为阳性,根据阳性细胞的百分比进行结果判断。
, 百拇医药
1.5 统计方法 检验用四格表资料χ2检验或确切概率法。
2 结果
2.1 抑癌基因蛋白及PCNA表达 骨肉瘤中 p53阳性颗粒主要定位于细胞核内(图1),阳性表达率为75.0%; p16阳性细胞在组织间散在分布,阳性颗粒主要位于胞浆,部分位于胞核中(图2),其阳性率为37.5%;PCNA阳性颗粒位于胞核中(图3), PCNA蛋白阳性表达率100%,与正常骨组织对照差异有显著性(P<0.05,P<0.01)。详见表1。
图1 p53蛋白阳性表达主要位于细胞核内 ABC法×400
, http://www.100md.com
图2 骨肉瘤p16阳性表达 ABC法×200
图3 骨肉瘤PCNA阳性表达 ABC法×200
表1 肿瘤基因蛋白及PCNA表达
项别
阳性率(%)
P值
骨肉瘤
(n=32)
正常骨组织
, http://www.100md.com
(n=15)
p53
75.0
0
<0.01
PCNA
100
7.7
<0.01
p16
37.5
66.2
<0.05
, 百拇医药
2.2 p53、p16、PCNA与预后的关系 p16、p53蛋白阳性表达对患者的预后有意义,提示p16、 p53作为骨肉瘤的预后指标对判断骨肉瘤患者的预后可能更有临床意义。详见表2。
表2 p53、p16、PCNA与预后的关系
项别
n*
阳性率(%)
P值
生存期>3年
生存期<1年
p53
17
, http://www.100md.com
56.3
100
<0.05
PCNA
24
100
100
>0.05
p16
8
50
0
<0.05
, 百拇医药
*指阳性细胞在10%以上的随访患者
3 讨论
PCNA是一种仅在增殖的细胞中合成与表达的核蛋白,存在于细胞周期G1晚期和S期,在促使细胞DNA复制活动中发挥重要作用,是反映细胞增殖状态的重要标志〔1〕。本研究中发现骨肉瘤PCNA阳性细胞检出率达100%,明显高于正常骨组织,说明骨肉瘤细胞增殖活跃、恶性程度高的生物学特征。虽然其阳性表达率对存活时间影响不大,但亦发现其阳性强度随生存时间的延长而有逐渐减弱的趋势,与Mayer等〔2〕的观点一致,即PCNA阳性细胞数仅仅表明当时肿瘤细胞的增殖程度,而肿瘤的转移、预后可能与其他因素有关,如肿瘤细胞粘附因子等。
p53属抑癌基因, p53蛋白的主要生物学功能为引起细胞周期阻滞,诱导凋亡和促进分化,有大约50%的人类肿瘤,包括肝癌、胃癌、骨肉瘤等都有较高的 p53基因缺失率。研究证实,细胞内正常 p53基因的丢失或 p53基因的突变是导致这些细胞出现癌变的重要原因,其突变型与肿瘤生长明显相关〔3,4〕。本研究结果表明骨肉瘤p53蛋白的阳性表达为75.0%,说明大多数骨肉瘤有该基因突变,提示p53基因在骨肉瘤的发生和发展中起重要作用。
, http://www.100md.com
p16基因又称多肿瘤抑制基因(MTS1),其编码产物p16蛋白是细胞周期依赖激酶(CDK)的抑制剂{Q},定位于染色体9p21。编码分子量为16 ku的 p16蛋白,能与cyclin D1竞争性结合CDK4,并使之灭活,阻止细胞周期从G1向S期过渡,从而负调节细胞增殖周期〔5〕。本研究显示骨肉瘤中p16阳性表达仅为37.5%,与正常组织相比有显著差异,说明p16基因的失活与骨肉瘤的发生发展密切相关。从理论上推测p16基因失活可导致p16蛋白表达缺如,使抑制肿瘤增生的能力降低,影响患者的预后,本组随访资料支持此观点。然而在不同肿瘤中也有与此相反的报道〔6〕,可能与 p16蛋白的变异有关。
本研究表明:p53基因的突变和p16基因的失活在骨肉瘤中有较高的发生率,影响患者的预后,结合PCNA的检测,能够较准确地反映骨肉瘤的分化、恶性程度及进展情况,可作为骨肉瘤患者预后综合判断的生物学客观指标。
, 百拇医药
作者简介:李联忠,男,36岁,主治医师。研究方向:骨肿瘤,骨关节病
参考文献
1 王 臻,梁 戈,黄耀天,等. 骨肉瘤p53、C-erbB-2、C-myc的表达及预后的关系. 中华骨科杂志,1995;15(9):600~603
2 Mayer A, Takimoto M, Fritz E, et al. The prognostic significance of proliferating cell nuclear antigen, epidermal growth factor receptor and mdr gene expression in colorectal cancer. Cancer, 1993;71(8):2 454~2 456
3 Barrett JC, Anderson M. Molecular mechanisms of carcinogenesis in human and rodents. Mol Carcinog, 1993;7(1):1~13
, 百拇医药
4 Straus BS.The origin of point mutations in human cells. Cancer Res, 1992;52(6):249~253
5 Kamb A,Gruis NA,Weaver-Feldhaus J, et al. A cell cycle regulator potencially involved in genesis of many tumor types. Science,1994;264(4):436~440
6 赵温利,郭卫星,田志刚. 肿瘤抑制基因p16的研究进展. 国外医学肿瘤分册,1997;24(4):199~201
1998-12-22收稿,1999-04-19修回, 百拇医药