顺铂—白蛋白微球舌动脉栓塞导向治疗舌癌的显微及超微组织结构改变研究
作者:李宏卫 王昌美 温玉明 付风华 陈亚多
单位:李宏卫 210029南京,南京医科大学附属口腔医院;王昌美,温玉明,付凤华,陈亚多 华西医科大学口腔医学院
关键词:顺铂—白蛋白微球;治疗;舌癌;显微和超微结构
提 要 目的 观察研究顺铂 提 要 目的 观察研究顺铂—白蛋白微球(CDDP-AMS)经舌动脉导向治疗舌癌的机理及微球的体内过程。方法 利用平均56.3μm的顺铂—白蛋白微球分别对7例晚期舌癌病人行舌动脉灌注术,分别于立即、1周、2周、3周、4周、5周、6周、时行联合根治术,对术后标本进行显微及超微结构观察。结果 顺铂—白蛋白微球舌动脉栓塞导向治疗舌癌的显微和超显微结构改变主要表现为肿瘤细胞的程序死亡和缺血性坏死、变性改变,4周时基本可杀灭全部癌细胞;微球在体内逐渐水解,6周后全部消失。结论 顺铂—白蛋白微球舌动脉栓塞导向治疗舌部鳞癌的机理:顺铂局部高浓度、长时间的杀瘤作用和微球栓塞后肿瘤缺血坏死的协同作用结果,是一种很好的治疗舌部肿瘤的方法。
, http://www.100md.com
Abstract Objective To observe and study the mechanism cisplatin loaded albumin microspheres infusion through lingual artery in treating carcinoma of tongue and the in vivo process of microspheres. Methods Perform lingual arterial infusion on 7 patients with terminal carcinoma of tongue by using cisplatin loaded albumin microspheres 56.3μm in diameter, respectively exercise combined treatment at once, 1,2,3,4,5,6weeks, then micro and supermicro-structure observe the specimen after the operation.Result Micro and supermicro structure change of arterial embolism with cisplatin-loaded albumin microspheres in treating squamous cell carcinoma of tongue is mainly embodied by programmed cell death, ischemic necrosis and degeneration change. Almost all carcinoma cells can be killed at the fourth week. Microspheres are hydrolysed graduallyin the body and vanish completely in 6 weeks.Conclusion The mechanism of arterial embolism with cisplatin-loaded albumin microspheres in treating squamous cell carcinoma of tongue is the combined work of albumin’s cytotoxic and time-lasting effect to kill the carcinoma cell and ischemic necrosis of tumor after microemblism makes it a good method to treat lingual tumor.
, 百拇医药
Key words CDDP-AMS treatment carcinoma of tongue micro-and supermicro-structure.
材料和方法
研究对象:
经病理证实的舌部鳞癌患者临床TNM分期均为T3、T4晚期病人7例,年龄32~68岁,入院前未做过其它抗癌治疗。入院检查无全身麻醉及手术禁忌症。
材料:顺铂白蛋白微球,
29~116μm,平均
56.3μm,40~70μm的微球占总数的82.4%,其中每100mg微球中含顺铂13.6mg,均作100mg分装。由华西医科大学药学院药剂教研室与口腔颌面外科教研室联合研制,使用前经60CO照射灭菌。
, http://www.100md.com
顺铂_白蛋白微球的灌注途径:局麻下行患侧颈外动脉解剖及舌动脉插管,用美兰染色定位准确后,将预先准备好的顺铂—白蛋白微球100mg和生理盐水的混悬液3ml一次性快速注入,关闭颈部创口术后给予补液,抗生素预防感染。
标本采取:治疗前活检:于肿瘤局部切取1.0×1.0平方厘米大小组织块,由组织块中央对剖,分别于10%甲醛液和3%戊二醛液中固定,4℃冰箱保存。7例患者分别于灌注术时和灌注治疗后1、2、3、4、5 6周行舌癌切除术,手术后切下的舌体标本,分别由肿块中心区及边缘区各切取1.5×1.5×1.5cm大小标本,3%戊二醛液中固定,其余舌体标本10%甲醛液固定,4℃冰箱保存。
观察:
1. 光镜组织学观察:1%甲醛液固定之标本,石蜡包埋,常规连续切片,HE染色,光学显微镜下观察,进行组织分析,并摄片记录。
2. 透射电镜观察:3%戊二醛固定之标本,经磷酸缓冲液连续清洗数次后,置于生理盐水中过夜,次日用1%锇酸固定液(pH7.4)固定两小时,丙酮酸梯度脱水,618环氧树脂包埋,45~70℃聚合72小时,半薄(1μ)切片,美兰染色后光学显微镜下定位,LKB—V型超薄切片机制作0.5μ厚度切片,铀—铅双重染色。H—600电镜观察,摄片记录。
, 百拇医药
结 果
光镜观察:
对7例手术切除病人治疗前后的肿瘤组织进行光镜观察,了解肿瘤结构及癌细胞形态的变化,微球及其栓塞平面,巨细胞反应,相邻周边组织如上皮、肌肉的变化。
1. 癌巢的变化:
注射CDDP—AMS立即行舌癌切除的患者标本,栓塞前后病理切片比较,癌巢无任何变化。CDDP—AMS栓塞治疗一周,微球周围可见癌巢细胞浆红染,核着色加深的变性改变。CDDP—AMS栓塞治疗两周的标本,低倍镜下见整个病灶区仅有残留的癌巢存在。高倍镜下癌巢的部分周界较清楚,和周围的结缔组织能区分开,其余周边的癌细胞胞浆红染,有明显变性、退变,部分癌细胞和巢体分离,解离的癌细胞呈严重的变性改变,细胞形态不整,胞核深染。
CDDP—AMS栓塞治疗后三周,光镜下未见癌巢,仅有散在严重变性癌细胞,周围多异物反应,部分区可见大片癌巢坏死裂解被吞噬后残留的空网状结构。
, http://www.100md.com
CDDP—AMS栓塞治疗四、五、六周的标本,光镜下未见癌巢和确切散在的癌细胞存在。栓塞治疗后,1~6周的切除标本,位于原癌肿相邻部位的表层粘膜上皮有溃疡形成,溃疡区有大量炎细胞存在及新生的肉芽组织。
2. 微球与栓塞平面:
7例病人均不同数量地存在微球,微球呈圆形,HE染色粉红色,美兰染色呈绿色,因其直径的大小不同分别充填在小动脉、微小动脉和毛细血管内。微球周围有异物巨细胞聚集,外周逐次被类上皮细胞、淋巴细胞包绕。而且这些反应出现于肌束间。
7例病人中注入CDDP—AMS后立即手术的标本,显微镜下测得微球平均直径为56μm,以后随手术时间逐周推后,测得微球直径逐渐减小,1~5周分别平均为44.2、37.4、19.7、12.4μm,到6周时仅见极个别微球,且直径仅在7.4mm左右。镜下观察微球直径与栓塞血管管径基本一致,因此微球直径可间接代表栓塞平面。
, http://www.100md.com
3. 周边组织的变化:
7例病人癌周正常上皮均未见明显的变性改变。除灌注后立即手术病人外,癌灶深部周边的肌肉可见轻度变性,但横纹尚依稀可见,其余肌肉均未见改变。
透射电镜下观察:
1. 癌细胞的变化:治疗前的癌细胞核仁清,主要为染色质,异染色质少见,桥粒张力丝明显,线粒体体积小,清晰,可见大量丰富的糖元颗粒,基板存在。
CDDP—AMS经舌动脉注入微球治疗后的舌部鳞癌,观察到舌癌组织的主要病理形态改变为:一周时,癌组织呈变性改变,癌细胞异染色质增多,线粒体肿胀,细胞间连接松散;二周时,癌细胞核出现固缩裂解,胞质内空泡形成,癌巢因细胞间连接松散,桥粒减少,大部分裂解为散在变化着的癌细胞,并且,出现大量吞噬细胞;三周时,观察不到癌巢的存在,仅残留一些散在、核固缩,裂解的可疑癌细胞,伴有大量炎细胞浸润;四周后的组织已不能发现典型癌细胞,但遗留有大片空网状结构,内有大量浆细胞和成纤维细胞,新生肉芽组织修复反应明显。
, http://www.100md.com
2. 微球及血管内皮细胞变化:①电镜下,发现微球灌注后立即手术和1周后手术病人标本中的微球体积大,多位于较大一级动脉内。而2~5周病人微动脉及毛细血管内微球多见,较大动脉内微球基本消失,在组织间存在的微球有裂解,形态不规则,周边不完整。直到治疗六周时,毛细血管内及组织间仍可见少量微球。另外,通过对巨噬细胞内吞噬颗粒的观察,颗粒内有似微球样的均质状物质存在。②微球所在血管内皮细胞的变化:在36.0μm的血管内,可见血管内皮细胞有破坏,血管壁有淋巴细胞浸润的炎症反应。毛细血管内存在微球的周围内皮细胞有变性,形成空泡样结构,细胞核内异染质略有增多,但细胞器结构清楚,偶见有内皮细胞裂解,微球外溢。
3. 周围组织的变化:舌肌:大部分治疗前后无明显变化,横纹清、肌纤维排列整齐,正常细胞器清晰,很少部分经治疗后的舌肌细胞虽肌膜完整但细胞内有变性改变;偶见肌细胞破坏,肌纤维断裂,线粒体增多,糖元颗粒减少,细胞器溶解。上皮:周围上皮基本无任何改变。其它:治疗二周以上的病人,均可见白细胞、浆细胞及淋巴细胞活跃,白细胞、浆细胞多长出伪足,胞质内细胞器丰满,糖元颗粒多,核染色质数目清,另外,治疗四周以上病人,成纤维细胞明显增多,增殖活跃。
, http://www.100md.com
图1 CDDP_AMS灌注后,微球完整充填于小动脉、微动脉(HW×40)
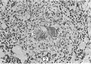
图2 CDDP—AMS治疗三周后标本,可疑癌细胞周围多异物反应。(HE,20)
图3 较大血管内存在微球,呈栅栏状,血管内皮细胞有破坏,血管壁有淋巴细胞。EMF×4000
, 百拇医药
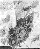
图4 活跃的巨噬细胞,内有许多吞噬颗粒,有微球样均质状物。MEF×4000
图5 CDDP—AMS治疗后二周,癌细胞裂解破坏以后形成的空洞和间质细胞形成骨架样结构。EMF×4000
讨 论
1. CDDP—AMS舌动脉灌注后正常组织显微结构和超微结构的改变。
本实验发现:CDDP—AMS舌动脉灌注后,可致血管内皮水肿、变性,形成一些空泡样结构,偶见内皮细胞裂解,这可能是微球外溢进入组织中的重要原因之一。而舌肌大部分横纹清楚,肌纤维排列整齐,偶见部分舌肌细胞有变性、破坏、溶解。说明CDDP—AMS对正常舌组织损伤轻微,这可能与CDDP—AMS对增殖期细胞更为敏感有关。
, http://www.100md.com
2. CDDP—AMS栓塞性化疗的栓塞平面及体内过程
为了检验微球在肌体内靶向性效果以及在体内的分布、降解、消除规律。目前的研究方法分为放射性同位素示踪法和化学测定法。本实验通过CDDP—AMS舌动脉灌注后不同时期舌组织内栓塞平面的动态研究,阐明CDDP—AMS在靶组织内的动态变化过程。
Kanke〔3〕等用大小3、5、7及12μm直径AMS,研究其在血中,组织中的清除情况,发现7和12μm的微球主要被肺机械滤取,而3和5μm的微球则由于网状内皮系统的巨噬细胞的吞噬作用分布到肝和脾,最终被肝脏的枯否氏细胞的溶酶体所溶解,彻底清除。I11um〔4〕等的结果与上述相同。作者在实验中也看到有一些巨噬细胞正在吞噬AMS的过程。
本实验的结果显示:CDDP—AMS经舌动脉栓塞后,开始先栓塞在
56.3μm的小动脉内,随着药物微球在降解过程中体积不断缩小。因动脉血压使其进入更小的血管,进一步阻断血流。有关白蛋白微球完全降解时间,虽然多数报道于2周时已基本消失,但作者观察到6周时尚有很小的微球存在于毛细血管和组织间,与付风华[5]利用同批白蛋白微球的动物实验结果基本一致。从本实验的结果看,56.3μm的 CDDP-AMS100mg经舌动脉栓塞化疗可使药物的持续释放达一月以上,其间在2~3周时数目最多。从实验观察中,作者发现在肿瘤组织间有散在存在的CDDP-AMS,其中以小于12μm的微球占绝大多数。CDDP-AMS可能是通过以下途径进入组织间:①小于12μm的微球,可以通过毛细血管溢出到组织间;②大于12μm的微球可通过AVA的短路,小动脉的破坏和肿瘤血管的不完整所致的窗口进入组织。Widder[6]等曾提出靶向过程有三级:一级是特异性地分布于特定的器官(包括内皮通道);二级是选择性地指向器官的特殊部位;三级是指向细胞内输送药物。作者用CDDP-AMS经舌动脉灌注治疗舌部鳞癌,也显示有三级靶向过程。
, http://www.100md.com
3. CDDP-AMS栓塞化疗的抗癌作用机理:
目前的研究认为[7,8,9]:顺铂作用于肿瘤细胞后,引起肿瘤细胞的程序死亡(programmed cell death)或细胞凋落(apotosis),而达到抗肿瘤作用。
本实验结果也支持肿瘤细胞的变化主要是一个动态的Apotosis过程:癌细胞核仁固缩、裂解,异染色质岛状团块聚集,细胞连接松散,桥粒减少,最后细胞裂解,小体样结构形成,被巨噬细胞吞噬。此过程大约持续三周,它有别于肿瘤细胞坏死。当然,在实验中我们观察到在CDDP-AMS注入一周时,癌细胞肿胀溶解,并诱发炎症发应现象,这可能是CDDP-AMS栓塞后,导致小动脉内膜水肿,管腔闭锁,无疑会造成组织缺血性改变,肿瘤细胞坏死,大量炎细胞浸润。综上所述,作者认为CDDP-AMS对肿瘤细胞损伤的作用机制主要是肿瘤局部高浓度的CDDP诱发的舌癌细胞的Apotosis过程,以及肿瘤血管栓塞导致肿瘤细胞缺血、缺氧所致的肿瘤细胞坏死的相加效果。
, 百拇医药
4. 舌癌CDDP-AMS灌注与手术及放疗配合的时机:
本实验表明:CDDP-AMS对舌癌细胞具有确切的杀伤作用,损伤随时间推移而加重,一般治疗四周时,基本上可杀灭灌注区的癌细胞。因此,CDDP-AMS灌注后配合手术及放疗时间应放在灌注后4~5周之间施行最为恰当,此时癌肿明显得到控制,有利于癌肿残留灶的彻底切除。而对微球变化的动态观察证实,四周后微球大多数已经降解消失,原栓塞血管基本再通,改善了因血管栓塞所致的局部缺血、缺氧状态,此时辅以放射治疗,则可取得较好的效果。
顺铂—白蛋白微球舌动脉栓塞导向治疗舌癌的显微及超微组织结构改变研究 本课题为国家教委博士点基金项目(930007)
参考文献
1 周捷,林贵:栓塞剂的临床应用.上海医学.1986;8:667.
, 百拇医药
2 Shozo Hirta, Masao Sako:Experimental and clinal study of fevromagnetic micoroembolization for a treatment of malignant. J JPN Soc Cancer Ther. 1994;17(7):1936.
3 Kanke M, Simmons GH, Weiss DL, et al: Clearance of celabeled microspheres from blood and distribution in specific organs following intravenous and intraarterial administration in beagle dogs. J Pharm Scinces, 1980;69:775.
4 I11um L, Davis SS: The targeting of drugs parenterally by use of microspheres. J Parenter Sci Technol, 1982;36(6):242.
, 百拇医药
5 付风华:顺铂-白蛋白微球颈外动脉灌注治疗颌面部肿瘤的动物实验研究.1996,硕士论文.
6 Widder KJ, Flouret G, Senyei A:Maggnetic microspheres:synthesis of a novel parenteral drug carrier. J Pharm Sci, 1979;68:79.
7 Rosenberg B: Inhibition of cell division in escherichia coli by electrolysis products from a platinum electrocle. Nature. 1965;205:698.
8 Evans DL and Dive C: Effects of cisplation on the induction of apoptosis proliferating hepatoma cell and nonproliferating immature thymocytes. Cancer Res. 1993;53(9):2133.
9 Sorenson CM, Barry MA, Eastman A: Analysis of events associated with cell cycle arrest at G2 phase and cell death irduce by cisplation. J Natl Cancer Inst. 1990;82:749
(收稿:1999—02—04), 百拇医药
单位:李宏卫 210029南京,南京医科大学附属口腔医院;王昌美,温玉明,付凤华,陈亚多 华西医科大学口腔医学院
关键词:顺铂—白蛋白微球;治疗;舌癌;显微和超微结构
提 要 目的 观察研究顺铂 提 要 目的 观察研究顺铂—白蛋白微球(CDDP-AMS)经舌动脉导向治疗舌癌的机理及微球的体内过程。方法 利用平均56.3μm的顺铂—白蛋白微球分别对7例晚期舌癌病人行舌动脉灌注术,分别于立即、1周、2周、3周、4周、5周、6周、时行联合根治术,对术后标本进行显微及超微结构观察。结果 顺铂—白蛋白微球舌动脉栓塞导向治疗舌癌的显微和超显微结构改变主要表现为肿瘤细胞的程序死亡和缺血性坏死、变性改变,4周时基本可杀灭全部癌细胞;微球在体内逐渐水解,6周后全部消失。结论 顺铂—白蛋白微球舌动脉栓塞导向治疗舌部鳞癌的机理:顺铂局部高浓度、长时间的杀瘤作用和微球栓塞后肿瘤缺血坏死的协同作用结果,是一种很好的治疗舌部肿瘤的方法。
, http://www.100md.com
Abstract Objective To observe and study the mechanism cisplatin loaded albumin microspheres infusion through lingual artery in treating carcinoma of tongue and the in vivo process of microspheres. Methods Perform lingual arterial infusion on 7 patients with terminal carcinoma of tongue by using cisplatin loaded albumin microspheres 56.3μm in diameter, respectively exercise combined treatment at once, 1,2,3,4,5,6weeks, then micro and supermicro-structure observe the specimen after the operation.Result Micro and supermicro structure change of arterial embolism with cisplatin-loaded albumin microspheres in treating squamous cell carcinoma of tongue is mainly embodied by programmed cell death, ischemic necrosis and degeneration change. Almost all carcinoma cells can be killed at the fourth week. Microspheres are hydrolysed graduallyin the body and vanish completely in 6 weeks.Conclusion The mechanism of arterial embolism with cisplatin-loaded albumin microspheres in treating squamous cell carcinoma of tongue is the combined work of albumin’s cytotoxic and time-lasting effect to kill the carcinoma cell and ischemic necrosis of tumor after microemblism makes it a good method to treat lingual tumor.
, 百拇医药
Key words CDDP-AMS treatment carcinoma of tongue micro-and supermicro-structure.
材料和方法
研究对象:
经病理证实的舌部鳞癌患者临床TNM分期均为T3、T4晚期病人7例,年龄32~68岁,入院前未做过其它抗癌治疗。入院检查无全身麻醉及手术禁忌症。
材料:顺铂白蛋白微球,
, http://www.100md.com
顺铂_白蛋白微球的灌注途径:局麻下行患侧颈外动脉解剖及舌动脉插管,用美兰染色定位准确后,将预先准备好的顺铂—白蛋白微球100mg和生理盐水的混悬液3ml一次性快速注入,关闭颈部创口术后给予补液,抗生素预防感染。
标本采取:治疗前活检:于肿瘤局部切取1.0×1.0平方厘米大小组织块,由组织块中央对剖,分别于10%甲醛液和3%戊二醛液中固定,4℃冰箱保存。7例患者分别于灌注术时和灌注治疗后1、2、3、4、5 6周行舌癌切除术,手术后切下的舌体标本,分别由肿块中心区及边缘区各切取1.5×1.5×1.5cm大小标本,3%戊二醛液中固定,其余舌体标本10%甲醛液固定,4℃冰箱保存。
观察:
1. 光镜组织学观察:1%甲醛液固定之标本,石蜡包埋,常规连续切片,HE染色,光学显微镜下观察,进行组织分析,并摄片记录。
2. 透射电镜观察:3%戊二醛固定之标本,经磷酸缓冲液连续清洗数次后,置于生理盐水中过夜,次日用1%锇酸固定液(pH7.4)固定两小时,丙酮酸梯度脱水,618环氧树脂包埋,45~70℃聚合72小时,半薄(1μ)切片,美兰染色后光学显微镜下定位,LKB—V型超薄切片机制作0.5μ厚度切片,铀—铅双重染色。H—600电镜观察,摄片记录。
, 百拇医药
结 果
光镜观察:
对7例手术切除病人治疗前后的肿瘤组织进行光镜观察,了解肿瘤结构及癌细胞形态的变化,微球及其栓塞平面,巨细胞反应,相邻周边组织如上皮、肌肉的变化。
1. 癌巢的变化:
注射CDDP—AMS立即行舌癌切除的患者标本,栓塞前后病理切片比较,癌巢无任何变化。CDDP—AMS栓塞治疗一周,微球周围可见癌巢细胞浆红染,核着色加深的变性改变。CDDP—AMS栓塞治疗两周的标本,低倍镜下见整个病灶区仅有残留的癌巢存在。高倍镜下癌巢的部分周界较清楚,和周围的结缔组织能区分开,其余周边的癌细胞胞浆红染,有明显变性、退变,部分癌细胞和巢体分离,解离的癌细胞呈严重的变性改变,细胞形态不整,胞核深染。
CDDP—AMS栓塞治疗后三周,光镜下未见癌巢,仅有散在严重变性癌细胞,周围多异物反应,部分区可见大片癌巢坏死裂解被吞噬后残留的空网状结构。
, http://www.100md.com
CDDP—AMS栓塞治疗四、五、六周的标本,光镜下未见癌巢和确切散在的癌细胞存在。栓塞治疗后,1~6周的切除标本,位于原癌肿相邻部位的表层粘膜上皮有溃疡形成,溃疡区有大量炎细胞存在及新生的肉芽组织。
2. 微球与栓塞平面:
7例病人均不同数量地存在微球,微球呈圆形,HE染色粉红色,美兰染色呈绿色,因其直径的大小不同分别充填在小动脉、微小动脉和毛细血管内。微球周围有异物巨细胞聚集,外周逐次被类上皮细胞、淋巴细胞包绕。而且这些反应出现于肌束间。
7例病人中注入CDDP—AMS后立即手术的标本,显微镜下测得微球平均直径为56μm,以后随手术时间逐周推后,测得微球直径逐渐减小,1~5周分别平均为44.2、37.4、19.7、12.4μm,到6周时仅见极个别微球,且直径仅在7.4mm左右。镜下观察微球直径与栓塞血管管径基本一致,因此微球直径可间接代表栓塞平面。
, http://www.100md.com
3. 周边组织的变化:
7例病人癌周正常上皮均未见明显的变性改变。除灌注后立即手术病人外,癌灶深部周边的肌肉可见轻度变性,但横纹尚依稀可见,其余肌肉均未见改变。
透射电镜下观察:
1. 癌细胞的变化:治疗前的癌细胞核仁清,主要为染色质,异染色质少见,桥粒张力丝明显,线粒体体积小,清晰,可见大量丰富的糖元颗粒,基板存在。
CDDP—AMS经舌动脉注入微球治疗后的舌部鳞癌,观察到舌癌组织的主要病理形态改变为:一周时,癌组织呈变性改变,癌细胞异染色质增多,线粒体肿胀,细胞间连接松散;二周时,癌细胞核出现固缩裂解,胞质内空泡形成,癌巢因细胞间连接松散,桥粒减少,大部分裂解为散在变化着的癌细胞,并且,出现大量吞噬细胞;三周时,观察不到癌巢的存在,仅残留一些散在、核固缩,裂解的可疑癌细胞,伴有大量炎细胞浸润;四周后的组织已不能发现典型癌细胞,但遗留有大片空网状结构,内有大量浆细胞和成纤维细胞,新生肉芽组织修复反应明显。
, http://www.100md.com
2. 微球及血管内皮细胞变化:①电镜下,发现微球灌注后立即手术和1周后手术病人标本中的微球体积大,多位于较大一级动脉内。而2~5周病人微动脉及毛细血管内微球多见,较大动脉内微球基本消失,在组织间存在的微球有裂解,形态不规则,周边不完整。直到治疗六周时,毛细血管内及组织间仍可见少量微球。另外,通过对巨噬细胞内吞噬颗粒的观察,颗粒内有似微球样的均质状物质存在。②微球所在血管内皮细胞的变化:在36.0μm的血管内,可见血管内皮细胞有破坏,血管壁有淋巴细胞浸润的炎症反应。毛细血管内存在微球的周围内皮细胞有变性,形成空泡样结构,细胞核内异染质略有增多,但细胞器结构清楚,偶见有内皮细胞裂解,微球外溢。
3. 周围组织的变化:舌肌:大部分治疗前后无明显变化,横纹清、肌纤维排列整齐,正常细胞器清晰,很少部分经治疗后的舌肌细胞虽肌膜完整但细胞内有变性改变;偶见肌细胞破坏,肌纤维断裂,线粒体增多,糖元颗粒减少,细胞器溶解。上皮:周围上皮基本无任何改变。其它:治疗二周以上的病人,均可见白细胞、浆细胞及淋巴细胞活跃,白细胞、浆细胞多长出伪足,胞质内细胞器丰满,糖元颗粒多,核染色质数目清,另外,治疗四周以上病人,成纤维细胞明显增多,增殖活跃。
, http://www.100md.com
图1 CDDP_AMS灌注后,微球完整充填于小动脉、微动脉(HW×40)
图2 CDDP—AMS治疗三周后标本,可疑癌细胞周围多异物反应。(HE,20)
图3 较大血管内存在微球,呈栅栏状,血管内皮细胞有破坏,血管壁有淋巴细胞。EMF×4000
, 百拇医药
图4 活跃的巨噬细胞,内有许多吞噬颗粒,有微球样均质状物。MEF×4000
图5 CDDP—AMS治疗后二周,癌细胞裂解破坏以后形成的空洞和间质细胞形成骨架样结构。EMF×4000
讨 论
1. CDDP—AMS舌动脉灌注后正常组织显微结构和超微结构的改变。
本实验发现:CDDP—AMS舌动脉灌注后,可致血管内皮水肿、变性,形成一些空泡样结构,偶见内皮细胞裂解,这可能是微球外溢进入组织中的重要原因之一。而舌肌大部分横纹清楚,肌纤维排列整齐,偶见部分舌肌细胞有变性、破坏、溶解。说明CDDP—AMS对正常舌组织损伤轻微,这可能与CDDP—AMS对增殖期细胞更为敏感有关。
, http://www.100md.com
2. CDDP—AMS栓塞性化疗的栓塞平面及体内过程
为了检验微球在肌体内靶向性效果以及在体内的分布、降解、消除规律。目前的研究方法分为放射性同位素示踪法和化学测定法。本实验通过CDDP—AMS舌动脉灌注后不同时期舌组织内栓塞平面的动态研究,阐明CDDP—AMS在靶组织内的动态变化过程。
Kanke〔3〕等用大小3、5、7及12μm直径AMS,研究其在血中,组织中的清除情况,发现7和12μm的微球主要被肺机械滤取,而3和5μm的微球则由于网状内皮系统的巨噬细胞的吞噬作用分布到肝和脾,最终被肝脏的枯否氏细胞的溶酶体所溶解,彻底清除。I11um〔4〕等的结果与上述相同。作者在实验中也看到有一些巨噬细胞正在吞噬AMS的过程。
本实验的结果显示:CDDP—AMS经舌动脉栓塞后,开始先栓塞在
, http://www.100md.com
3. CDDP-AMS栓塞化疗的抗癌作用机理:
目前的研究认为[7,8,9]:顺铂作用于肿瘤细胞后,引起肿瘤细胞的程序死亡(programmed cell death)或细胞凋落(apotosis),而达到抗肿瘤作用。
本实验结果也支持肿瘤细胞的变化主要是一个动态的Apotosis过程:癌细胞核仁固缩、裂解,异染色质岛状团块聚集,细胞连接松散,桥粒减少,最后细胞裂解,小体样结构形成,被巨噬细胞吞噬。此过程大约持续三周,它有别于肿瘤细胞坏死。当然,在实验中我们观察到在CDDP-AMS注入一周时,癌细胞肿胀溶解,并诱发炎症发应现象,这可能是CDDP-AMS栓塞后,导致小动脉内膜水肿,管腔闭锁,无疑会造成组织缺血性改变,肿瘤细胞坏死,大量炎细胞浸润。综上所述,作者认为CDDP-AMS对肿瘤细胞损伤的作用机制主要是肿瘤局部高浓度的CDDP诱发的舌癌细胞的Apotosis过程,以及肿瘤血管栓塞导致肿瘤细胞缺血、缺氧所致的肿瘤细胞坏死的相加效果。
, 百拇医药
4. 舌癌CDDP-AMS灌注与手术及放疗配合的时机:
本实验表明:CDDP-AMS对舌癌细胞具有确切的杀伤作用,损伤随时间推移而加重,一般治疗四周时,基本上可杀灭灌注区的癌细胞。因此,CDDP-AMS灌注后配合手术及放疗时间应放在灌注后4~5周之间施行最为恰当,此时癌肿明显得到控制,有利于癌肿残留灶的彻底切除。而对微球变化的动态观察证实,四周后微球大多数已经降解消失,原栓塞血管基本再通,改善了因血管栓塞所致的局部缺血、缺氧状态,此时辅以放射治疗,则可取得较好的效果。
顺铂—白蛋白微球舌动脉栓塞导向治疗舌癌的显微及超微组织结构改变研究 本课题为国家教委博士点基金项目(930007)
参考文献
1 周捷,林贵:栓塞剂的临床应用.上海医学.1986;8:667.
, 百拇医药
2 Shozo Hirta, Masao Sako:Experimental and clinal study of fevromagnetic micoroembolization for a treatment of malignant. J JPN Soc Cancer Ther. 1994;17(7):1936.
3 Kanke M, Simmons GH, Weiss DL, et al: Clearance of celabeled microspheres from blood and distribution in specific organs following intravenous and intraarterial administration in beagle dogs. J Pharm Scinces, 1980;69:775.
4 I11um L, Davis SS: The targeting of drugs parenterally by use of microspheres. J Parenter Sci Technol, 1982;36(6):242.
, 百拇医药
5 付风华:顺铂-白蛋白微球颈外动脉灌注治疗颌面部肿瘤的动物实验研究.1996,硕士论文.
6 Widder KJ, Flouret G, Senyei A:Maggnetic microspheres:synthesis of a novel parenteral drug carrier. J Pharm Sci, 1979;68:79.
7 Rosenberg B: Inhibition of cell division in escherichia coli by electrolysis products from a platinum electrocle. Nature. 1965;205:698.
8 Evans DL and Dive C: Effects of cisplation on the induction of apoptosis proliferating hepatoma cell and nonproliferating immature thymocytes. Cancer Res. 1993;53(9):2133.
9 Sorenson CM, Barry MA, Eastman A: Analysis of events associated with cell cycle arrest at G2 phase and cell death irduce by cisplation. J Natl Cancer Inst. 1990;82:749
(收稿:1999—02—04), 百拇医药