舌动脉灌注白蛋白微球后影响肿瘤区微球栓塞平面相关因素的实验研究
作者:郑根建 温玉明 王昌美 李龙江 陈亚多
单位:610041 华西医科大学口腔医学院口腔颌面外科学教研室(郑根建现在解放军第473医院口腔科)
关键词:微球;栓塞平面;金黄地鼠;舌癌
华西口腔医学杂志990306 摘要 目的:研究金黄地鼠舌癌影响肿瘤区微球栓塞平面的相关因素。方法:采用经升主动脉灌注微球,显微图像分析仪测量微球栓塞平面。结果:微球最佳灌注压力为30 kPa,随着肿瘤的发展,栓塞平面越向末梢端靠近。原位癌以前(包括原位癌),微球栓塞在肌性末梢小动脉水平;早期浸润癌期栓塞至微动脉水平,阻断了控制与其相连的肿瘤微循环内血流量的“总阀门”,此时栓塞效果最佳,侧枝循环最少;至晚期浸润癌时主要栓塞至中间微动脉水平,微球向末梢靠近,要获得更佳的栓塞效果,必须增加微球的用量。结论:本研究为临床选择最佳灌注压力、最佳灌注时机及最佳病例提供了实验依据。
, 百拇医药
Study of Relative Factors Which Influenced the Embolic Level of Microspheres in the Hamster Lingual Carcinoma
Zheng Genjian, Wen Yuming, Wang Changmei, et al
Department of Oral and Maxillofacial Surgery,College of Stomatology, West China University of Medical Sciences
Abstract Objective:To study the relative factors which influence the embolic level of microspheres in the hamster lingual carcinoma.Methods: Micropicture analysis instrument was used to measure the embolic level of microspheres which were poured through ascending aorta.Results: The optimum presure of embolization was 30 kPa. The embolic level approached to remote site of the lingual artery as tongue cancer developed. In early invasive cancer period, the embolic level of microspheres was at arteriole level where microspheres block “the total valves” which controlled the tumor microcirculation. The optimum embolic result and less offshoot microcirculation were obtained at this time. When in later period, microspheres mainly embolized the metaarteriole. As the microvessels dilated, the dose of microspheres must be increased to get the best embolic result.Conclusion: The experimental data for clinical choice of optimum pouring pressure, optimum opportunity and optimum cases.
, 百拇医药
Key words: microsphere embolic level hamster lingual carcinoma
微球栓塞性化疗,关键是要求作为载体的微球能够准确地到达靶组织且最大限度地集中于靶组织内,因而血管栓塞平面在微球的栓塞性化疗中具有重要作用。影响微球栓塞平面的因素有微球的大小、靶区组织的血管分布状况以及灌注途径和方法等。在微球的大小及靶区血管分布恒定的情况下,灌注的技术因素无疑是影响栓塞平面最主要的因素。以往对微球灌注压力无统一的标准进行估算,多数以自己的经验进行,这使栓塞性化疗这一技术具有一定的盲目性。同时,舌癌形成过程中,由于血管的变异,在微球大小及灌注压力一定的情况下,微球栓塞平面是否会因为肿瘤血管的变化而改变,这在国内外尚未见报道。本实验的目的是在微球大小、舌癌血管分布基本一致的情况下测定不同推注压力下微球在靶区的栓塞平面,从而为临床选择最有效的推注压力提供技术参数。在确定最佳灌注压力后测定舌癌形成不同时期微球的栓塞平面,为栓塞性化疗提供基础研究的依据,为临床选择最佳灌注时机及灌注量提供实验资料。
, http://www.100md.com
1 材料和方法
1.1 实验动物与分组
不同灌注压力动物分组:选用0.5%二甲基苯并蒽(DMBA)加局部慢性机械刺激方法诱发舌癌模型的18周金黄地鼠8只,随机分为4组,分别为Ⅰ、Ⅱ、Ⅲ、Ⅳ组。以10、20、30和40 kPa的不同压力,经心脏插管,升主动脉内灌注白蛋白微球50 mg和0.9%生理盐水3 ml的混悬液,5 min内灌完。
相同灌注压力及注射时间下,舌癌形成不同时期动物分组:取正常对照组及0.5%DMBA加局部慢性机械刺激诱发舌癌模型12、15、18和21周组动物各2只,分别为A、B、C、D、E组,经心脏插管,升主动脉内灌注白蛋白微球50 mg和0.9%生理盐水3 ml的混悬液,5 min灌完。
灌注压力的控制方法:采用LMS-2B型二道生理记录仪(成都仪器厂)控制灌注压力。将灌注用10 ml针管和三通管相连,三通管一端和插入心脏的导管相连,另一端通过一胶管连至压力换能器,然后在仪器上控制所需压力。
, 百拇医药
1.2 实验材料
牛血清白蛋白微球(华西医科大学药学院药剂教研室研制)直径29~116 μm,平均直径56.3 μm,直径40~70 μm的微球占总数的82.4%,使用前经60Co照射灭菌。
1.3 实验方法
取白蛋白微球50 mg与0.9%生理盐水3 ml混悬留置备用。用1%戊巴比妥钠按50 mg/kg体重腹腔注射麻醉动物后,仰卧固定于手术板上,打开胸腔,暴露心脏,经左心室插人腰椎硬膜外麻醉用导管于升主动脉。将6号针头插入导管另一端,按所设计的推注压力灌注50 mg白蛋白微球和3 ml生理盐水的混悬液,另取2 ml生理盐水清洗空针及导管后注入升主动脉。术后立即处死动物,取下病变组织,10%福尔马林固定,石蜡包埋,连续切片,HE染色。
1.4 栓塞平面的测量
, 百拇医药
将每个样本血管腔中有微球的组织切片,置于MIAS-2000显微图像分析仪(四川联合大学图形图像分析研究室研制)进行测量。测量前先定标,测量血管腔的最大横径及血管离肿瘤组织的最近距离,每两个标本之间取平均值。肌性小动脉、微动脉、中间微动脉的确定标准:肌性小动脉壁厚约6 μm,有3层完整平滑肌;微动脉壁厚约3 μm,只有一层较完整的平滑肌;中间微动脉壁厚约2 μm,仅有一层稀疏而不完整的平滑肌。
2 结 果
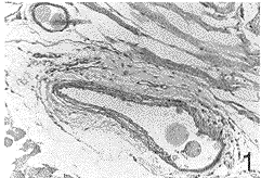
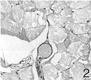
推注压力为10、20、30、40 kPa时,微球栓塞血管直径分别为185、108、68和67 μm,而血管离肿瘤组织最近距离分别为682、532、264和235 μm。推注压力为10~20 kPa时,微球主要栓塞于肌性小动脉水平,微球不能完全栓塞血管腔,离肿瘤组织较远(图1)。当其为30~40 kPa时,栓塞至微动脉水平,微球栓塞血管腔完全,充分阻断血流,离肿瘤组织较近(图2)。推注压力为30 kPa时,已经完全栓塞微动脉,故最佳灌注压力为30 kPa(表1)。
, 百拇医药
图1 18周组,灌注压力为10~20KPa时,微球主要栓塞于肌性末梢小动脉水平,微球不能完全栓塞血管腔,离肿瘤组织较远 HE ×20
图 2 18周组,灌注压力为30KPa时,微球栓塞至壁厚约3μm仅有1层完整平滑肌的微动脉水平,微球栓塞血管腔完全,离肿瘤组织较近 HE×40
表1 不同灌注压力时金黄地鼠舌癌微球栓塞平面 微球栓塞平面
(灌注压力(kPa)
10
20
30
40
, 百拇医药
栓塞血管直径(μm)
185
108
68
67
与肿瘤的距离(μm)
682
532
264
235
最佳推注压力确定后,以30 kPa灌注压力灌注不同时期的金黄地鼠舌癌模型。正常对照组,癌前病变期,原位癌,早、晚期浸润癌期微球栓塞直径均为68 μm,但由于随着肿瘤的发展,微血管发生扩张,虽然栓塞血管管径相同,微球栓塞平面向末梢端靠近。原位癌以前(包括原位癌)微球栓塞于肌性末梢小动脉水平;早期浸润癌时栓塞于微动脉水平;晚期浸润癌时栓塞至中间微动脉水平。5个时期微球栓塞血管离病变区的距离分别为716、547、418、264和235 μm(图3~5)。肿瘤发展过程中血管扩张而致微球向末梢端靠近如图6所示。
, 百拇医药
图3 15周组,金黄地鼠舌癌,灌注压力30kpa时,微球栓塞至壁厚约6μm有2层完整平滑肌的靠近微动脉近心端的肌性末梢小动脉水平,血管腔直径为68μm离病变组织(原位癌)较近,位于肌层中HE×40
图4 18周组,金黄地鼠舌癌,灌注压力30kpa时,微球栓塞至壁厚约3μm仅有一层平滑肌的微球动脉水平,栓血管直径和15周组相同为68μm,但离肿瘤组织较近,位于粘膜下唾液腺实质中
图 5 21周组,金黄地鼠舌癌,灌注压力30kpa时,微球栓塞至壁厚约1~2μm仅有一层稀疏而不完整平滑肌的中间微动脉水平,管腔直径仍为68μm,离肿瘤组织更近HE×40
, 百拇医药
图6 微循环组成模式和血管扩张后微球栓塞血管平面向末梢端靠近示意图
虚线示血管扩张前微球栓塞血管平面
3 讨 论
栓塞性化疗的主要目的是改变传统化疗中药物的肿瘤-宿主分布、吸收的不平衡状态,使其既能对肿瘤细胞发挥最大限度的杀伤作用,又能使正常组织的破坏最小,同时栓塞肿瘤供养血管,使局部组织缺血、缺氧、坏死,起到栓塞化疗的双重作用[1]。因此,微球在血管内的栓塞平面在微球的栓塞性化疗中起重要作用。Widder等[2]提出靶向过程有三级:一级是制剂特异性地分布于特定器官;二级是选择性地指向器官的特殊部位(病变部位);三级是向细胞或亚细胞内输送药物。有学者[3,4]研究表明,动脉内注射大于12 μm的微球,主要阻滞于毛细血管床,这种阻塞常能导致诸如肝、肾等器官的一级靶向,随后能导致二级靶向,导向器官所携带的肿瘤部位。这种二级靶向作用是否和肿瘤形成后毛细血管床质和量的变化有关,尚不清楚。影响微球的分布因素有微球的大小、靶区组织的血管分布以及灌注的途径和技术等。在微球大小、靶区组织血管分布及灌注途径、推注时间基本一致的情况下,如何通过提高灌注技术,控制其靶向性,使微球尽可能达到二级甚至三级靶向,减少侧枝循环的形成,从而最大限度地提高攻击精度,降低毒副作用,这一点在应用中尤为重要。以往对微球的灌注压力无技术参数可依,多数以自己的经验进行,使栓塞性化疗的效果有较多差异。
, 百拇医药
从本实验结果看,推注压力和栓塞平面之间有直接的关系,推注压力较小时(10~20 kPa),主要栓塞在末梢小动脉水平,而且不能栓塞完全,离肿瘤组织较远。这样微球除阻塞肿瘤的供血动脉外,还有可能阻断周围正常组织的血供,使周围组织涉及过多,不利于提高肿瘤的打击精度,同时还可形成侧枝循环,影响栓塞治疗的效果。而当提高推注压力至30~40 kPa时,微球主要栓塞在微动脉水平,且栓塞完全,离肿瘤组织较近,更有利达到二级甚至三级靶向,减小侧枝循环形成,从而可能提高治疗效果。灌注压力为30 kPa时已能完全栓塞血管,充分阻断血流,故最佳灌注压力为30 kPa,为临床应用提供了良好的灌注压力参数。由于舌癌模型和人舌癌之间存在差异,参数之间的换算有待进一步研究。
从本研究可知,当灌注压力确定后,舌癌形成不同时期微球栓塞血管的直径无明显差异,但离肿瘤组织的距离越来越近。这和微血管定量研究及血管构筑研究结果相吻合。癌前病变期微动脉的直径扩大为25~35 μm,原位癌时为35~60 μm,早期浸润癌时为65~80 μm,晚期浸润癌时为80~100 μm。所以,从本实验的研究结果看,癌前病变期虽然栓塞在68 μm水平,但由于微动脉仅为25~35 μm,故主要栓塞在微动脉近心的肌性末梢小动脉水平;原位癌期栓塞,虽然靠近微动脉,但仍在末梢小动脉水平;而在早期浸润癌时,正好位于扩张的微动脉水平,且栓塞完全,充分阻断了血流;至晚期浸润癌时,由于血管畸形更明显,微血管扩张更大,故栓塞在中间微动脉水平。田牛等[5]的研究认为,微动脉及中间微动脉是微循环的阻力血管,其平滑肌的收缩或舒张决定着外周阻力的大小和舒张压,控制着与其相连的整个微循环管道内的血流量,因此微动脉和中间微动脉是微循环的“总阀门”。因此,微球栓塞于微动脉及中间微动脉水平为栓塞性化疗的最佳平面,既能充分阻断肿瘤局部微循环,又无侧枝循环形成,从而获得满意的疗效。至晚期浸润癌时,微球虽然栓塞至中间微动脉水平,能起到治疗效果,但由于血管膨大畸形更明显,且有自身固有的微循环,血管所占据的空间更大,微球向末梢端靠近,因此要获得满意效果,必须增加微球的用量。从而可以推知,临床上最佳的栓塞性化疗应该选择在早期浸润癌时期,此期微球主要栓塞在微动脉水平,阻断血流完全,且侧枝循环形成最少,效果最佳。治疗晚期浸润癌,要获得更满意效果,必须加大微球用量,至于应加大的具体量,有待进一步研究。
, http://www.100md.com
许多学者[6,7]的实验也证明了癌体周围存在大量直径为25~75 μm的血管丛,其血管密度比正常组织高2~6倍。同时,肿瘤区域的血流相对缓慢,使血管内压小于间质液压[8],这就有可能随着肿瘤的发展,使更多的微球进入肿瘤微循环,为白蛋白微球靶向治疗肿瘤提供了解剖基础。从实验结果看,在癌前病变期及原位癌期,微球栓塞在肌性小动脉水平,早期浸润癌期完全栓塞于微动脉水平,而晚期浸润癌期则主要于中间微动脉水平。这说明随着肿瘤的形成,微球有更多可能聚集于肿瘤周围的微血管丛,证明了微球栓塞性化疗的可行性。
参考文献
1 Tomlinson E. Microspheres delivery systems for durg targeting and controlled release. Int J Pharm Tech & Prod Mfr, 1983,4(3):49~53
, 百拇医药
2 Tomlinson E, Burger JJ, Schoonder EMAW, et al. Preparation and characterisation of albumin microspheres for intraarterial tumor targeting of cytotoxic compounds. J Pharm Pharmacol, 1982,34(Suppl):88~93
3 Blanchard RJW, Grotenhuis I, Lafavre JW, et al. Blood supply to hepatic V2 carcinoma implants as measured by radioactive microspheres. Proc Soc Exp Biol Med, 1965, 118(2):465~468
4 Lindell B, Aronsen KF, Rothman U, et al. The circulation in liver tissue and experimental liver metastases before and after embolism of the liver artery. Res Exp Med, 1977,171(4):63~70
, 百拇医药
5 田 牛主编.微循环.第2版,北京:科学出版社,1980:32~60
6 Grves JW, Ziessman HA, Ensminger WD, et al. Definition of hepatic tumor microcirculation by single photoemission computerized tomograpy (Spect).J Nud Med, 1984,25(3):972~978
7 Ensminger WD, Grves JW. Regional cancer chemotherapy. Cancer Treat Rep, 1984, 68(2):101~107
8 Minchinton AI, Durand RE, Chaplin DJ. Intermittent blood flow in the KHT sarcoma flow cytometric studies using Hoechst 33342. Br J Cancer, 1990,62(3):195~200
(1998-10-23收稿,1999-06-11修回), 百拇医药
单位:610041 华西医科大学口腔医学院口腔颌面外科学教研室(郑根建现在解放军第473医院口腔科)
关键词:微球;栓塞平面;金黄地鼠;舌癌
华西口腔医学杂志990306 摘要 目的:研究金黄地鼠舌癌影响肿瘤区微球栓塞平面的相关因素。方法:采用经升主动脉灌注微球,显微图像分析仪测量微球栓塞平面。结果:微球最佳灌注压力为30 kPa,随着肿瘤的发展,栓塞平面越向末梢端靠近。原位癌以前(包括原位癌),微球栓塞在肌性末梢小动脉水平;早期浸润癌期栓塞至微动脉水平,阻断了控制与其相连的肿瘤微循环内血流量的“总阀门”,此时栓塞效果最佳,侧枝循环最少;至晚期浸润癌时主要栓塞至中间微动脉水平,微球向末梢靠近,要获得更佳的栓塞效果,必须增加微球的用量。结论:本研究为临床选择最佳灌注压力、最佳灌注时机及最佳病例提供了实验依据。
, 百拇医药
Study of Relative Factors Which Influenced the Embolic Level of Microspheres in the Hamster Lingual Carcinoma
Zheng Genjian, Wen Yuming, Wang Changmei, et al
Department of Oral and Maxillofacial Surgery,College of Stomatology, West China University of Medical Sciences
Abstract Objective:To study the relative factors which influence the embolic level of microspheres in the hamster lingual carcinoma.Methods: Micropicture analysis instrument was used to measure the embolic level of microspheres which were poured through ascending aorta.Results: The optimum presure of embolization was 30 kPa. The embolic level approached to remote site of the lingual artery as tongue cancer developed. In early invasive cancer period, the embolic level of microspheres was at arteriole level where microspheres block “the total valves” which controlled the tumor microcirculation. The optimum embolic result and less offshoot microcirculation were obtained at this time. When in later period, microspheres mainly embolized the metaarteriole. As the microvessels dilated, the dose of microspheres must be increased to get the best embolic result.Conclusion: The experimental data for clinical choice of optimum pouring pressure, optimum opportunity and optimum cases.
, 百拇医药
Key words: microsphere embolic level hamster lingual carcinoma
微球栓塞性化疗,关键是要求作为载体的微球能够准确地到达靶组织且最大限度地集中于靶组织内,因而血管栓塞平面在微球的栓塞性化疗中具有重要作用。影响微球栓塞平面的因素有微球的大小、靶区组织的血管分布状况以及灌注途径和方法等。在微球的大小及靶区血管分布恒定的情况下,灌注的技术因素无疑是影响栓塞平面最主要的因素。以往对微球灌注压力无统一的标准进行估算,多数以自己的经验进行,这使栓塞性化疗这一技术具有一定的盲目性。同时,舌癌形成过程中,由于血管的变异,在微球大小及灌注压力一定的情况下,微球栓塞平面是否会因为肿瘤血管的变化而改变,这在国内外尚未见报道。本实验的目的是在微球大小、舌癌血管分布基本一致的情况下测定不同推注压力下微球在靶区的栓塞平面,从而为临床选择最有效的推注压力提供技术参数。在确定最佳灌注压力后测定舌癌形成不同时期微球的栓塞平面,为栓塞性化疗提供基础研究的依据,为临床选择最佳灌注时机及灌注量提供实验资料。
, http://www.100md.com
1 材料和方法
1.1 实验动物与分组
不同灌注压力动物分组:选用0.5%二甲基苯并蒽(DMBA)加局部慢性机械刺激方法诱发舌癌模型的18周金黄地鼠8只,随机分为4组,分别为Ⅰ、Ⅱ、Ⅲ、Ⅳ组。以10、20、30和40 kPa的不同压力,经心脏插管,升主动脉内灌注白蛋白微球50 mg和0.9%生理盐水3 ml的混悬液,5 min内灌完。
相同灌注压力及注射时间下,舌癌形成不同时期动物分组:取正常对照组及0.5%DMBA加局部慢性机械刺激诱发舌癌模型12、15、18和21周组动物各2只,分别为A、B、C、D、E组,经心脏插管,升主动脉内灌注白蛋白微球50 mg和0.9%生理盐水3 ml的混悬液,5 min灌完。
灌注压力的控制方法:采用LMS-2B型二道生理记录仪(成都仪器厂)控制灌注压力。将灌注用10 ml针管和三通管相连,三通管一端和插入心脏的导管相连,另一端通过一胶管连至压力换能器,然后在仪器上控制所需压力。
, 百拇医药
1.2 实验材料
牛血清白蛋白微球(华西医科大学药学院药剂教研室研制)直径29~116 μm,平均直径56.3 μm,直径40~70 μm的微球占总数的82.4%,使用前经60Co照射灭菌。
1.3 实验方法
取白蛋白微球50 mg与0.9%生理盐水3 ml混悬留置备用。用1%戊巴比妥钠按50 mg/kg体重腹腔注射麻醉动物后,仰卧固定于手术板上,打开胸腔,暴露心脏,经左心室插人腰椎硬膜外麻醉用导管于升主动脉。将6号针头插入导管另一端,按所设计的推注压力灌注50 mg白蛋白微球和3 ml生理盐水的混悬液,另取2 ml生理盐水清洗空针及导管后注入升主动脉。术后立即处死动物,取下病变组织,10%福尔马林固定,石蜡包埋,连续切片,HE染色。
1.4 栓塞平面的测量
, 百拇医药
将每个样本血管腔中有微球的组织切片,置于MIAS-2000显微图像分析仪(四川联合大学图形图像分析研究室研制)进行测量。测量前先定标,测量血管腔的最大横径及血管离肿瘤组织的最近距离,每两个标本之间取平均值。肌性小动脉、微动脉、中间微动脉的确定标准:肌性小动脉壁厚约6 μm,有3层完整平滑肌;微动脉壁厚约3 μm,只有一层较完整的平滑肌;中间微动脉壁厚约2 μm,仅有一层稀疏而不完整的平滑肌。
2 结 果
推注压力为10、20、30、40 kPa时,微球栓塞血管直径分别为185、108、68和67 μm,而血管离肿瘤组织最近距离分别为682、532、264和235 μm。推注压力为10~20 kPa时,微球主要栓塞于肌性小动脉水平,微球不能完全栓塞血管腔,离肿瘤组织较远(图1)。当其为30~40 kPa时,栓塞至微动脉水平,微球栓塞血管腔完全,充分阻断血流,离肿瘤组织较近(图2)。推注压力为30 kPa时,已经完全栓塞微动脉,故最佳灌注压力为30 kPa(表1)。
, 百拇医药
图1 18周组,灌注压力为10~20KPa时,微球主要栓塞于肌性末梢小动脉水平,微球不能完全栓塞血管腔,离肿瘤组织较远 HE ×20
图 2 18周组,灌注压力为30KPa时,微球栓塞至壁厚约3μm仅有1层完整平滑肌的微动脉水平,微球栓塞血管腔完全,离肿瘤组织较近 HE×40
表1 不同灌注压力时金黄地鼠舌癌微球栓塞平面 微球栓塞平面
(灌注压力(kPa)
10
20
30
40
, 百拇医药
栓塞血管直径(μm)
185
108
68
67
与肿瘤的距离(μm)
682
532
264
235
最佳推注压力确定后,以30 kPa灌注压力灌注不同时期的金黄地鼠舌癌模型。正常对照组,癌前病变期,原位癌,早、晚期浸润癌期微球栓塞直径均为68 μm,但由于随着肿瘤的发展,微血管发生扩张,虽然栓塞血管管径相同,微球栓塞平面向末梢端靠近。原位癌以前(包括原位癌)微球栓塞于肌性末梢小动脉水平;早期浸润癌时栓塞于微动脉水平;晚期浸润癌时栓塞至中间微动脉水平。5个时期微球栓塞血管离病变区的距离分别为716、547、418、264和235 μm(图3~5)。肿瘤发展过程中血管扩张而致微球向末梢端靠近如图6所示。
, 百拇医药
图3 15周组,金黄地鼠舌癌,灌注压力30kpa时,微球栓塞至壁厚约6μm有2层完整平滑肌的靠近微动脉近心端的肌性末梢小动脉水平,血管腔直径为68μm离病变组织(原位癌)较近,位于肌层中HE×40
图4 18周组,金黄地鼠舌癌,灌注压力30kpa时,微球栓塞至壁厚约3μm仅有一层平滑肌的微球动脉水平,栓血管直径和15周组相同为68μm,但离肿瘤组织较近,位于粘膜下唾液腺实质中
图 5 21周组,金黄地鼠舌癌,灌注压力30kpa时,微球栓塞至壁厚约1~2μm仅有一层稀疏而不完整平滑肌的中间微动脉水平,管腔直径仍为68μm,离肿瘤组织更近HE×40
, 百拇医药
图6 微循环组成模式和血管扩张后微球栓塞血管平面向末梢端靠近示意图
虚线示血管扩张前微球栓塞血管平面
3 讨 论
栓塞性化疗的主要目的是改变传统化疗中药物的肿瘤-宿主分布、吸收的不平衡状态,使其既能对肿瘤细胞发挥最大限度的杀伤作用,又能使正常组织的破坏最小,同时栓塞肿瘤供养血管,使局部组织缺血、缺氧、坏死,起到栓塞化疗的双重作用[1]。因此,微球在血管内的栓塞平面在微球的栓塞性化疗中起重要作用。Widder等[2]提出靶向过程有三级:一级是制剂特异性地分布于特定器官;二级是选择性地指向器官的特殊部位(病变部位);三级是向细胞或亚细胞内输送药物。有学者[3,4]研究表明,动脉内注射大于12 μm的微球,主要阻滞于毛细血管床,这种阻塞常能导致诸如肝、肾等器官的一级靶向,随后能导致二级靶向,导向器官所携带的肿瘤部位。这种二级靶向作用是否和肿瘤形成后毛细血管床质和量的变化有关,尚不清楚。影响微球的分布因素有微球的大小、靶区组织的血管分布以及灌注的途径和技术等。在微球大小、靶区组织血管分布及灌注途径、推注时间基本一致的情况下,如何通过提高灌注技术,控制其靶向性,使微球尽可能达到二级甚至三级靶向,减少侧枝循环的形成,从而最大限度地提高攻击精度,降低毒副作用,这一点在应用中尤为重要。以往对微球的灌注压力无技术参数可依,多数以自己的经验进行,使栓塞性化疗的效果有较多差异。
, 百拇医药
从本实验结果看,推注压力和栓塞平面之间有直接的关系,推注压力较小时(10~20 kPa),主要栓塞在末梢小动脉水平,而且不能栓塞完全,离肿瘤组织较远。这样微球除阻塞肿瘤的供血动脉外,还有可能阻断周围正常组织的血供,使周围组织涉及过多,不利于提高肿瘤的打击精度,同时还可形成侧枝循环,影响栓塞治疗的效果。而当提高推注压力至30~40 kPa时,微球主要栓塞在微动脉水平,且栓塞完全,离肿瘤组织较近,更有利达到二级甚至三级靶向,减小侧枝循环形成,从而可能提高治疗效果。灌注压力为30 kPa时已能完全栓塞血管,充分阻断血流,故最佳灌注压力为30 kPa,为临床应用提供了良好的灌注压力参数。由于舌癌模型和人舌癌之间存在差异,参数之间的换算有待进一步研究。
从本研究可知,当灌注压力确定后,舌癌形成不同时期微球栓塞血管的直径无明显差异,但离肿瘤组织的距离越来越近。这和微血管定量研究及血管构筑研究结果相吻合。癌前病变期微动脉的直径扩大为25~35 μm,原位癌时为35~60 μm,早期浸润癌时为65~80 μm,晚期浸润癌时为80~100 μm。所以,从本实验的研究结果看,癌前病变期虽然栓塞在68 μm水平,但由于微动脉仅为25~35 μm,故主要栓塞在微动脉近心的肌性末梢小动脉水平;原位癌期栓塞,虽然靠近微动脉,但仍在末梢小动脉水平;而在早期浸润癌时,正好位于扩张的微动脉水平,且栓塞完全,充分阻断了血流;至晚期浸润癌时,由于血管畸形更明显,微血管扩张更大,故栓塞在中间微动脉水平。田牛等[5]的研究认为,微动脉及中间微动脉是微循环的阻力血管,其平滑肌的收缩或舒张决定着外周阻力的大小和舒张压,控制着与其相连的整个微循环管道内的血流量,因此微动脉和中间微动脉是微循环的“总阀门”。因此,微球栓塞于微动脉及中间微动脉水平为栓塞性化疗的最佳平面,既能充分阻断肿瘤局部微循环,又无侧枝循环形成,从而获得满意的疗效。至晚期浸润癌时,微球虽然栓塞至中间微动脉水平,能起到治疗效果,但由于血管膨大畸形更明显,且有自身固有的微循环,血管所占据的空间更大,微球向末梢端靠近,因此要获得满意效果,必须增加微球的用量。从而可以推知,临床上最佳的栓塞性化疗应该选择在早期浸润癌时期,此期微球主要栓塞在微动脉水平,阻断血流完全,且侧枝循环形成最少,效果最佳。治疗晚期浸润癌,要获得更满意效果,必须加大微球用量,至于应加大的具体量,有待进一步研究。
, http://www.100md.com
许多学者[6,7]的实验也证明了癌体周围存在大量直径为25~75 μm的血管丛,其血管密度比正常组织高2~6倍。同时,肿瘤区域的血流相对缓慢,使血管内压小于间质液压[8],这就有可能随着肿瘤的发展,使更多的微球进入肿瘤微循环,为白蛋白微球靶向治疗肿瘤提供了解剖基础。从实验结果看,在癌前病变期及原位癌期,微球栓塞在肌性小动脉水平,早期浸润癌期完全栓塞于微动脉水平,而晚期浸润癌期则主要于中间微动脉水平。这说明随着肿瘤的形成,微球有更多可能聚集于肿瘤周围的微血管丛,证明了微球栓塞性化疗的可行性。
参考文献
1 Tomlinson E. Microspheres delivery systems for durg targeting and controlled release. Int J Pharm Tech & Prod Mfr, 1983,4(3):49~53
, 百拇医药
2 Tomlinson E, Burger JJ, Schoonder EMAW, et al. Preparation and characterisation of albumin microspheres for intraarterial tumor targeting of cytotoxic compounds. J Pharm Pharmacol, 1982,34(Suppl):88~93
3 Blanchard RJW, Grotenhuis I, Lafavre JW, et al. Blood supply to hepatic V2 carcinoma implants as measured by radioactive microspheres. Proc Soc Exp Biol Med, 1965, 118(2):465~468
4 Lindell B, Aronsen KF, Rothman U, et al. The circulation in liver tissue and experimental liver metastases before and after embolism of the liver artery. Res Exp Med, 1977,171(4):63~70
, 百拇医药
5 田 牛主编.微循环.第2版,北京:科学出版社,1980:32~60
6 Grves JW, Ziessman HA, Ensminger WD, et al. Definition of hepatic tumor microcirculation by single photoemission computerized tomograpy (Spect).J Nud Med, 1984,25(3):972~978
7 Ensminger WD, Grves JW. Regional cancer chemotherapy. Cancer Treat Rep, 1984, 68(2):101~107
8 Minchinton AI, Durand RE, Chaplin DJ. Intermittent blood flow in the KHT sarcoma flow cytometric studies using Hoechst 33342. Br J Cancer, 1990,62(3):195~200
(1998-10-23收稿,1999-06-11修回), 百拇医药