IL-6对大鼠体内约氏疟原虫红外期发育的影响*
作者:郝宏兴 黄复生 况明书 段建华
单位:第三军医大学寄生虫学教研室
关键词:IL-6;约氏疟原虫红外期;超微结构
中国人兽共患病杂志990421 摘 要 目的 观察IL-6对大鼠体内约氏疟原虫红外期发育的影响。方法 子孢子(Sp)接种前2h给Wistar大鼠腹腔注射10000U rHu IL-6,42h后活杀、常规制肝切片,观察Sp发育率,外期原虫(EEF)直径。大鼠在接种Sp前3h、0.5h分别经尾静脉注射10000U、30000U rHu IL-6,经肠系膜静脉灌注28万Sp,1h后制备肝脏样品,用电镜观察结果。结果 与对照组比较,10000U rHu IL-6对约氏疟原虫Sp发育率没有显著影响,但EEF直径明显变小。Sp接种1h后肝细胞内可见形态退变的Sp。结论 IL-6作为一种免疫效应分子可抑制大鼠体内约氏疟原虫EEF的发育。
, 百拇医药
THE EFFECT OF IL-6 ON THE DEVELOPMENT OF EXO-ERYTHROCYTIC
FORMS OF PLASMODIUM YOELII
Hao Hongxing Huang Fusheng Kuang Minshu et al
(Department of Parasitology,Third Military Medical University,Chongqing 400038)
ABSTRACT Aim To investigate the effect of IL-6 on the development of exo-erythrocytic forms of Plasmodium yoelii.Methods Rats were injected i.p.with 10000U IL-6 3h before inoculation of sporozoites,42h after inoculation,the sporozoite′s viability and the diameter of EEF were investigated.Rats were injected i.v.with 40000U IL-6 before inoculatino of 2.8×105 sporozoites of Plasmodium yoelii and the ultrastructure of hepatocytes was observed.Results It was found that the sporozoite′s viability in the IL-6 group was not significantly decreased,but,the size of EEF was much smaller than that of the control.Morever,the injured sporozoites were found in the hepatocytes 1h after inoculation.Conclusion IL-6 may affect the development of exo-erythrocytic forms of Plasmodium yoelii.
, 百拇医药
KEY WORDS IL-6 exo-erythrocytic forms of Plasmodium yoelii Ultrastructure
IL-6是T细胞、单核吞噬细胞等在IL-1、TNF等诱导下产生的一种非特异性免疫效应分子。实验提示,IL-6能抑制疟原虫红外期的发育[1~2]。但这些实验均未对EEF作直接的形态学观察,且都是单纯计算EEF数/cm2,未把肝脏体积考虑在内,误差较大。本文选用能较真实反映红外期发育情况的Sp发育率,及对Sp接种后1h的肝脏超微结构观察,进一步探讨IL-6对约氏疟原虫红外期发育的影响。
1 材料与方法
1.1 材料 约氏疟原虫(Plasmodium yoelii)BY265株,保种于昆明株小鼠体内,每周血传1次,血传5代,经斯氏按蚊蚊传1代。
, 百拇医药
斯氏按蚊(Anopheles stephensi)Hor株,本实验室常规饲养传代,羽化后3~5天感染,感染后置于24~25℃、相对湿度70%~80%恒温室内,饲以含0.05%PABA的糖水,选择蚊胃感染率70%~80%以上,腺感染率50%以上的蚊虫用于实验。
Wistar大鼠,雄性,体重80~100g,由本校实验动物中心提供。
重组人白介素-6(rHuIL-6),10万U/支,内含3mg人白蛋白,购于北京邦定生物医学公司。
1.2 方法
1.2.1 将蚊胃感染率90%以上、感染后17日龄斯氏按蚊腹部剪去,胸部研磨,加入5%葡萄糖生理盐水(内含20%小牛血清),经500r/min离心3min,吸取上清液,重复离心1次,计算上清液中所含Sp的数量。
, 百拇医药 1.2.2 每组用大鼠5只,实验组腹腔注射0.5ml PBS,内含IL-6,10000U;另一组只注射0.5mlPBS作为对照,3h后经尾静脉接种Sp30万/只,42h后股动脉放血,活杀动物,称取大鼠体重和用排液法测定其肝脏体积,统一切取左叶一小块肝组织浸入Carnoys液中固定,8h后常规石腊包埋,切片厚5μm,HE染色,光镜观察EEF发育情况。用DQK型求积仪(长春光学仪器厂制造)测定镜检切片面积,计数检出EEF数量,计算Sp发育率[3],测定连续切片中完整原虫的直径。
1.2.3 大鼠在接种Sp前3h、0.5h分别经尾静脉注射10000U、30000U IL-6,用乙醚麻醉大鼠,消毒后剪开腹部,暴露肝脏,结扎肝右叶、中叶,经肠系膜静脉灌注1mlSp悬液(内含28万Sp),1h后用1640培养基10ml经门静脉灌洗,再用3%戊二醛15ml保留灌注,取未结扎之肝叶,置入2.5%戊二醛中,4℃。对照组大鼠仅接种Sp,其它同前。肝脏样品按常规方法制备,在日立H-300型电镜下观察。
, http://www.100md.com
2 结果
2.1 IL-6对大鼠体内约氏疟原虫EEF发育的影响(表1) 实验组和对照组的Sp发育率分别是2.46%和3.34%,经统计分析,P>0.05,可见在接种Sp前3h给大鼠腹腔注射10000U的IL-6对Sp的发育率无明显影响;但IL-6组的EEF的直径显著小于对照组(IL-6组和对照组分别测量121个和171个原虫)。
表1 IL-6对大鼠体内约氏疟原虫EEF发育的影响
Table 1 Effect of IL-6 of the development of EEF of P.yoelii in vivo 组别
Group
剂量(U/只)
Dose(U/Rat)
, http://www.100md.com
Sp发育率%
Sp viability%
(X±S)
EEF直径
EEF Diameter
(x±S)
IL-6组
IL-6
10000U
2.46±1.11a
17.41±5.48b
, 百拇医药 对照组
Control
0.5mlPBS
3.34±0.76
21.62±4.16
a:P>0.05,b:P<0.001
2.2 IL-6对Sp侵入肝细胞的影响的超微结构观察
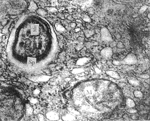
2.2.1 对照组 肝细胞内线粒体丰富,线粒体嵴清晰可见,内质网丰富,在毛细胆管区附近可见一Sp,纳虫泡清晰,纳虫泡周围可见较多粗面内质网、核糖体、及线粒体,Sp内微线体明显(图1)
, http://www.100md.com 图1 对照组肝细胞内线粒体(M),纳虫泡内Sp结构完整,内含微线体(Mn)30000×
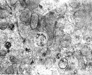
2.2.2 IL-6组 肝细胞内线粒体、内质网等丰富,线粒体嵴也清晰可见,相邻肝细胞质膜处有紧密连接结构,其交界处毛细胆管区附近可见一退变Sp,纳虫泡尚清楚,虫体空泡化 皱缩、结构不清(图2)。
图2 IL-6组肝细胞内Sp空泡化,线粒体(M)8000×
3 讨论
Vredern等发现,Sp接种前5min给大鼠腹腔注射IL-6 106U,几乎完全抑制伯氏疟原虫EEF的发育,但接种Sp后6h、24h注入IL-6 106 U,抑制率降低为62%和35%[2]。本文结果显示接种Sp前3h,给大鼠腹腔注射104 UIL-6对Sp的发育率没有明显影响,但EEF的体积明显小于对照组,说明在该剂量下,IL-6仍可推迟EEF的成熟。本实验与Vreden的结果有一定差异,原因可能与下列因素有关:(1)注入IL-6的时间不同,根据Vreden报道,腹腔注入IL-6后,血中IL-6的水平有一个变化过程(大约3h时达到高峰),因此,不同时间注入细胞因子对EEF的作用程度可能不同。(2)我们使用的IL-6的剂量比Vreden的小得多。(3)观察EEF发育数量的指标不同。实验表明,不同大鼠之间,其体重和肝体积相差较多,单纯计算EEF数/cm2误差较大,不能真实反映Sp发育为EEF的数量,Sp转化率能更准确反映实际结果[3]。(4)重组人IL-6的来源不同,其活性大小可能有差异,即使剂量高达106U也不能完全抑制EEF的发育。
, 百拇医药
本文电镜观察结果表明,在Sp接种前静注4×104U IL-6,在鼠肝细胞内可见部分Sp发生退变,虫体显现空泡,皱缩,结构不清,这与Pied等观察到IL-6可抑制Sp在肝细胞内增殖,并对虫体造成形态学损伤以致溶解的结果是一致的[1],提示IL-6在Sp侵入和EEF发育的早期(Sp侵入后1h)即可造成对原虫的损伤。
肝细胞形态和功能的正常是EEF发育必需的基本条件。文献资料表明,TNF-α、IL-1、IL-6等急性反应介质均可对肝细胞损伤起到介导作用[4]。大剂量Sp接种后大鼠肝脏超微结构的观察表明,接种Sp可引起肝内迅速的细胞炎症反应,形态、结构正常的肝细胞内的Sp结构完整,内、外膜、膜下微管和微线体清晰;而退变的Sp多存在于变性退化的肝细胞内,肝细胞空泡化是线粒体肿胀、内质网扩张的结果[5]。但是,IL-6等细胞因子干扰疟原虫EEF发育的确切机制还待进一步研究。
, http://www.100md.com 国家自然科学基金资助项目
参考文献
1.Pied S,Renia A,Nusslet F,et al.Inhibitory activity of IL-6 on malaria hepatic stages.Parasit Immunol,1991,13(2):211.
2.Vreden S G S,Van Den Broek F M.Oettinger M C,et al.Cytokines inhibit the development of the malaria parasite plasmodium berghei in vitro.Eur J Immunol,1992,22(9):2271.
3.王兴相,黄复生.环磷酰胺对大鼠体内约氏疟原虫红外期发育的影响.中国寄生虫学与寄生虫病杂志.1987,5(3):180.
4.Arthur M J P,Kowalski-Saunders P,Wright R.Effect of endotoxin on release of reactive oxygen intermediates by rat hepatic macrophages.Gasteroenterology,1988,95(6):1588.
5.黄复生,王兴相,况明书等.枯否氏细胞、肝细胞对疟原虫子孢子感染和发育的影响.中国寄生虫防治杂志.1996,9(3):173., http://www.100md.com
单位:第三军医大学寄生虫学教研室
关键词:IL-6;约氏疟原虫红外期;超微结构
中国人兽共患病杂志990421 摘 要 目的 观察IL-6对大鼠体内约氏疟原虫红外期发育的影响。方法 子孢子(Sp)接种前2h给Wistar大鼠腹腔注射10000U rHu IL-6,42h后活杀、常规制肝切片,观察Sp发育率,外期原虫(EEF)直径。大鼠在接种Sp前3h、0.5h分别经尾静脉注射10000U、30000U rHu IL-6,经肠系膜静脉灌注28万Sp,1h后制备肝脏样品,用电镜观察结果。结果 与对照组比较,10000U rHu IL-6对约氏疟原虫Sp发育率没有显著影响,但EEF直径明显变小。Sp接种1h后肝细胞内可见形态退变的Sp。结论 IL-6作为一种免疫效应分子可抑制大鼠体内约氏疟原虫EEF的发育。
, 百拇医药
THE EFFECT OF IL-6 ON THE DEVELOPMENT OF EXO-ERYTHROCYTIC
FORMS OF PLASMODIUM YOELII
Hao Hongxing Huang Fusheng Kuang Minshu et al
(Department of Parasitology,Third Military Medical University,Chongqing 400038)
ABSTRACT Aim To investigate the effect of IL-6 on the development of exo-erythrocytic forms of Plasmodium yoelii.Methods Rats were injected i.p.with 10000U IL-6 3h before inoculation of sporozoites,42h after inoculation,the sporozoite′s viability and the diameter of EEF were investigated.Rats were injected i.v.with 40000U IL-6 before inoculatino of 2.8×105 sporozoites of Plasmodium yoelii and the ultrastructure of hepatocytes was observed.Results It was found that the sporozoite′s viability in the IL-6 group was not significantly decreased,but,the size of EEF was much smaller than that of the control.Morever,the injured sporozoites were found in the hepatocytes 1h after inoculation.Conclusion IL-6 may affect the development of exo-erythrocytic forms of Plasmodium yoelii.
, 百拇医药
KEY WORDS IL-6 exo-erythrocytic forms of Plasmodium yoelii Ultrastructure
IL-6是T细胞、单核吞噬细胞等在IL-1、TNF等诱导下产生的一种非特异性免疫效应分子。实验提示,IL-6能抑制疟原虫红外期的发育[1~2]。但这些实验均未对EEF作直接的形态学观察,且都是单纯计算EEF数/cm2,未把肝脏体积考虑在内,误差较大。本文选用能较真实反映红外期发育情况的Sp发育率,及对Sp接种后1h的肝脏超微结构观察,进一步探讨IL-6对约氏疟原虫红外期发育的影响。
1 材料与方法
1.1 材料 约氏疟原虫(Plasmodium yoelii)BY265株,保种于昆明株小鼠体内,每周血传1次,血传5代,经斯氏按蚊蚊传1代。
, 百拇医药
斯氏按蚊(Anopheles stephensi)Hor株,本实验室常规饲养传代,羽化后3~5天感染,感染后置于24~25℃、相对湿度70%~80%恒温室内,饲以含0.05%PABA的糖水,选择蚊胃感染率70%~80%以上,腺感染率50%以上的蚊虫用于实验。
Wistar大鼠,雄性,体重80~100g,由本校实验动物中心提供。
重组人白介素-6(rHuIL-6),10万U/支,内含3mg人白蛋白,购于北京邦定生物医学公司。
1.2 方法
1.2.1 将蚊胃感染率90%以上、感染后17日龄斯氏按蚊腹部剪去,胸部研磨,加入5%葡萄糖生理盐水(内含20%小牛血清),经500r/min离心3min,吸取上清液,重复离心1次,计算上清液中所含Sp的数量。
, 百拇医药 1.2.2 每组用大鼠5只,实验组腹腔注射0.5ml PBS,内含IL-6,10000U;另一组只注射0.5mlPBS作为对照,3h后经尾静脉接种Sp30万/只,42h后股动脉放血,活杀动物,称取大鼠体重和用排液法测定其肝脏体积,统一切取左叶一小块肝组织浸入Carnoys液中固定,8h后常规石腊包埋,切片厚5μm,HE染色,光镜观察EEF发育情况。用DQK型求积仪(长春光学仪器厂制造)测定镜检切片面积,计数检出EEF数量,计算Sp发育率[3],测定连续切片中完整原虫的直径。
1.2.3 大鼠在接种Sp前3h、0.5h分别经尾静脉注射10000U、30000U IL-6,用乙醚麻醉大鼠,消毒后剪开腹部,暴露肝脏,结扎肝右叶、中叶,经肠系膜静脉灌注1mlSp悬液(内含28万Sp),1h后用1640培养基10ml经门静脉灌洗,再用3%戊二醛15ml保留灌注,取未结扎之肝叶,置入2.5%戊二醛中,4℃。对照组大鼠仅接种Sp,其它同前。肝脏样品按常规方法制备,在日立H-300型电镜下观察。
, http://www.100md.com
2 结果
2.1 IL-6对大鼠体内约氏疟原虫EEF发育的影响(表1) 实验组和对照组的Sp发育率分别是2.46%和3.34%,经统计分析,P>0.05,可见在接种Sp前3h给大鼠腹腔注射10000U的IL-6对Sp的发育率无明显影响;但IL-6组的EEF的直径显著小于对照组(IL-6组和对照组分别测量121个和171个原虫)。
表1 IL-6对大鼠体内约氏疟原虫EEF发育的影响
Table 1 Effect of IL-6 of the development of EEF of P.yoelii in vivo 组别
Group
剂量(U/只)
Dose(U/Rat)
, http://www.100md.com
Sp发育率%
Sp viability%
(X±S)
EEF直径
EEF Diameter
(x±S)
IL-6组
IL-6
10000U
2.46±1.11a
17.41±5.48b
, 百拇医药 对照组
Control
0.5mlPBS
3.34±0.76
21.62±4.16
a:P>0.05,b:P<0.001
2.2 IL-6对Sp侵入肝细胞的影响的超微结构观察
2.2.1 对照组 肝细胞内线粒体丰富,线粒体嵴清晰可见,内质网丰富,在毛细胆管区附近可见一Sp,纳虫泡清晰,纳虫泡周围可见较多粗面内质网、核糖体、及线粒体,Sp内微线体明显(图1)
, http://www.100md.com 图1 对照组肝细胞内线粒体(M),纳虫泡内Sp结构完整,内含微线体(Mn)30000×
2.2.2 IL-6组 肝细胞内线粒体、内质网等丰富,线粒体嵴也清晰可见,相邻肝细胞质膜处有紧密连接结构,其交界处毛细胆管区附近可见一退变Sp,纳虫泡尚清楚,虫体空泡化 皱缩、结构不清(图2)。
图2 IL-6组肝细胞内Sp空泡化,线粒体(M)8000×
3 讨论
Vredern等发现,Sp接种前5min给大鼠腹腔注射IL-6 106U,几乎完全抑制伯氏疟原虫EEF的发育,但接种Sp后6h、24h注入IL-6 106 U,抑制率降低为62%和35%[2]。本文结果显示接种Sp前3h,给大鼠腹腔注射104 UIL-6对Sp的发育率没有明显影响,但EEF的体积明显小于对照组,说明在该剂量下,IL-6仍可推迟EEF的成熟。本实验与Vreden的结果有一定差异,原因可能与下列因素有关:(1)注入IL-6的时间不同,根据Vreden报道,腹腔注入IL-6后,血中IL-6的水平有一个变化过程(大约3h时达到高峰),因此,不同时间注入细胞因子对EEF的作用程度可能不同。(2)我们使用的IL-6的剂量比Vreden的小得多。(3)观察EEF发育数量的指标不同。实验表明,不同大鼠之间,其体重和肝体积相差较多,单纯计算EEF数/cm2误差较大,不能真实反映Sp发育为EEF的数量,Sp转化率能更准确反映实际结果[3]。(4)重组人IL-6的来源不同,其活性大小可能有差异,即使剂量高达106U也不能完全抑制EEF的发育。
, 百拇医药
本文电镜观察结果表明,在Sp接种前静注4×104U IL-6,在鼠肝细胞内可见部分Sp发生退变,虫体显现空泡,皱缩,结构不清,这与Pied等观察到IL-6可抑制Sp在肝细胞内增殖,并对虫体造成形态学损伤以致溶解的结果是一致的[1],提示IL-6在Sp侵入和EEF发育的早期(Sp侵入后1h)即可造成对原虫的损伤。
肝细胞形态和功能的正常是EEF发育必需的基本条件。文献资料表明,TNF-α、IL-1、IL-6等急性反应介质均可对肝细胞损伤起到介导作用[4]。大剂量Sp接种后大鼠肝脏超微结构的观察表明,接种Sp可引起肝内迅速的细胞炎症反应,形态、结构正常的肝细胞内的Sp结构完整,内、外膜、膜下微管和微线体清晰;而退变的Sp多存在于变性退化的肝细胞内,肝细胞空泡化是线粒体肿胀、内质网扩张的结果[5]。但是,IL-6等细胞因子干扰疟原虫EEF发育的确切机制还待进一步研究。
, http://www.100md.com 国家自然科学基金资助项目
参考文献
1.Pied S,Renia A,Nusslet F,et al.Inhibitory activity of IL-6 on malaria hepatic stages.Parasit Immunol,1991,13(2):211.
2.Vreden S G S,Van Den Broek F M.Oettinger M C,et al.Cytokines inhibit the development of the malaria parasite plasmodium berghei in vitro.Eur J Immunol,1992,22(9):2271.
3.王兴相,黄复生.环磷酰胺对大鼠体内约氏疟原虫红外期发育的影响.中国寄生虫学与寄生虫病杂志.1987,5(3):180.
4.Arthur M J P,Kowalski-Saunders P,Wright R.Effect of endotoxin on release of reactive oxygen intermediates by rat hepatic macrophages.Gasteroenterology,1988,95(6):1588.
5.黄复生,王兴相,况明书等.枯否氏细胞、肝细胞对疟原虫子孢子感染和发育的影响.中国寄生虫防治杂志.1996,9(3):173., http://www.100md.com