山莨菪碱对牵张性脊髓损伤的防治作用△
作者:宋跃明 杨志明 雷 骥
单位:华西医科大学附一院骨科 610041 四川省成都市
关键词:脊髓;牵张性损伤;山莨菪碱
中国脊柱脊髓杂志990409 摘要 目的:探讨山莨菪碱(654-2)对牵张性脊髓损伤的防治效果。方法:日本大耳白兔48只,随机分为对照组、实验组。实验组于伤前12、8、4h各肌注654-2 1mg/kg;伤后15min开始每1h静脉滴注654-2 0.3mg/kg,持续5h,此后每间隔4h肌注654-2 1mg/kg到2d。对照组用等量体积的生理盐水替代654-2。采用脊髓功能监护、形态学、脊髓组织生化测定、运动功能评定等方法评定654-2对牵张性脊髓损伤的防治作用。结果:实验组动物伤后8h运动功能障碍率低于对照组,丙二醛(MDA)含量低于对照组,过氧化物岐化酶(SOD)含量高于对照组(P<0.05);神经元及神经纤维变性、坏死,灰质出血范围轻于对照组。结论:伤前应用654-2能保护脊髓微血管,抑制脊髓继发病理损害,促进脊髓功能恢复。
, 百拇医药
Experimental study on effect of anisodamine for traction injury of spinal cord in rabbit
SONG Yueming YANG Zhiming LEI Ji
Chinese Journal of Spine and Spinal Cord,1999,9(4):208~211
Abstract Objective:In order to study on effect of anisodamine(654-2) for treating and preventing traction injury of spinal cord.Method:48 rabbits were randomly divided into 4 groups (A,B,C,D).According to decreasing amount of amplitude of P1-wave to 50% 5min, 50% 10min as control groups and with 654-2 injected before and after injury at various intervals as experimental groups.The function of spinal cord was assessed,the amount of MDA and SOD of spinal tissue were determined,and pathomorphological changes of spinal cord were observed.Result:In experimental groups,rate of disfunction of spinal cord were lower than the control groups after SCI.SOD of spinal cord in creased and MDA decreased.Degeneration and necrosis of spinal cord which was caused by the spasm and bleeding was milder than the control groups.Conclusion:Application of 654-2 can prevent traction injury of spinal cord before operation.It can relieve the secondary pathological damage and promote a recovery of function of spinal cord.
, 百拇医药
Author′s address Department of Orthopedic Surgery,1st University Hospital,West China University of Medical Science,Chengdu,610041
Key Words Spinal cord Traction injury Anisodamine
1923年Pierson报告在婴儿臀位分娩过程中,过度牵拉脊柱可致脊髓损伤(Spinal cord injury,SCI)。随后进一步研究发现,与骨骼牵拉相关的脊柱骨折治疗、内固定器矫正脊柱畸形等都可并发牵张性SCI,其发生率为1%~17%〔1、2〕,而外伤所致的牵张性SCI难以统计。可见牵张性SCI是一种常见的SCI类型。为此,我们在研究脊髓牵张性损伤的病理学改变及皮质体感诱发电位(somatosensory cortical evoked potential,CSEP)变化规律的基础上〔3、4〕,就山莨菪碱(654-2)对牵张性SCI防治作用进行研究,报道如下。
, 百拇医药
1 材料与方法
1.1 动物分组与模型建立
4~5月龄健康日本大耳白兔48只,体重1.8~2.3 kg,随机分为对照组(A、C组)和实验组(B、D组)。B、D组伤前12、8、4h各肌注654-2 1mg/kg;A、C组给予等量体积的生理盐水。1.5%戊巴比妥钠30~45mg/kg腹腔注射麻醉。俯卧位固定,四道多功能生理监测呼吸、心率、血压。消毒铺巾后在脊柱T10~L6作正中切口,剥离椎旁肌,显露T10~L6脊椎附件及椎体两侧,撑开器夹臂固定于T12、L5椎体并撑开,每次撑开2.5mm,30s内完成,间隔5min,直至CSEP的P波幅下降50%后分别持续5min(A、B组)、10min(C、D组)〔3、4〕。B、D组伤后15min开始每1h静滴654-2 0.3mg/kg,持续5h后每间隔4h肌注1mg/kg至2d;A、C组给予等量体积的生理盐水。
, http://www.100md.com
1.2 CSEP监测
右下肢胫神经相应皮肤表面放置刺激电极,同侧大腿根部放置接地电极,记录电极置于冠状缝后2mm、矢状缝向左旁开3mm皮下,参考电极置于左侧颞肌上。在麻醉后固定撑开器,每次撑开2.5mm直至SCEP P1波下降50%,并持续预定时间,取出撑开器后30min、1、2、3、4、5h;1、2、3、7、14d分别观察CSEP变化。
1.3 运动功能评价
用Tarlov评分和Molt斜板实验盲法测定伤后8h至14d内动物后肢运动功能。
1.4 脊髓组织生化测定
术后8h完成运动功能测定后,随机取4只动物处死并切取L1节段脊髓,用冰生理盐水洗去残血,迅速存入-80℃冰箱,以备测定脊髓组织内过氧化物岐化酶(Superoxide dissmutas,SOD)和丙二醛(Malonyldialdehyde,MDA)含量。
, 百拇医药
1.5 组织形态学
将取出脊髓组织用10%福尔马林固定,酒精脱水,氯仿透明,石蜡包埋,切片后HE染色光镜观察。将取出的脊髓组织用3%戊二醛固定7d,经磷酸缓冲液冲洗,10%锇酸固定,丙酮梯度脱水,环氧树脂包埋。超薄切片,透射电镜观察。各组随机取2只动物在撑开状态下行主动脉插管,在13.3 kPa压力下树脂灌注,对脊髓微血管铸型。55℃水浴硬化,40%氢氧化钠腐蚀标本,并用蒸馏水清洗,显微解剖和修剪铸型样品,金属喷镀后扫描电镜观察。
1.6 体视学检查
用脊髓前角灰质神经元体积密度(Vv)和100μm-2白质范围内的有髓神经纤维数作为评价指标,按体视学原则和方法在40倍光镜下观察〔5〕。
1.7 统计学分析
, 百拇医药 采用SPSS/PC+OV3.10软件包(SPSS,INC,CHINCAGO,ILLIONOIS,USA)。结果以均数±标准差表示(
±s),各组间采用成组设计的t检验比较。
2 结果
2.1 SCEP变化
A组伤后8h半数动物P1波幅恢复至伤前水平,余下动物7d时可完全恢复;B组伤后5h半数动物P1波完全恢复,1d时4/6的动物P1波恢复至伤前水平,3d所有动物P1波完全恢复。实验组在伤后5h、3d时P1波幅值高于对照组,统计学处理差异有显著性(P<0.05)。
C组伤后P1波幅呈持续降低的趋势,5/6的动物在伤后14d时P1波幅恢复不及伤前40%;D组动物后P1波亦有下降趋势,但伤后14d时3/4的动物P1波幅恢复至伤前60%水平,与C组相比差异有显著性(P<0.05)。
, http://www.100md.com
2.2 运动功能评价
伤后8h时对运动功能评定。为排除麻醉和手术本身的干扰,我们采用Tarlov评分障碍率和Molt斜板障碍率来评价动物后肢运动功能变化。按下列公式计算:
结果见表1。两种障碍率实验组均低于对照组,但统计学处理差异无显著性(P>0.05)。
2.3 脊髓组织生化测定
实验组MDA含量低于对照组,SOD活性高于对照组(表2)。
表 1 动物后肢Tarlov评分及Molt斜板功能障碍率
(
±s)(%) 组别
, 百拇医药
n
Tarlov评分
Molt斜板功能
A
6
16.31± 7.42
11.91± 5.43
B
6
11.25±11.26①
10.47± 3.05①
C
, 百拇医药
6
57.53±23.12
46.72±16.14
D
6
56.7 ±17.3②
48.47±16.15②
注:①与A组比较P<0.05,②与C组比较P>0.05表2 脊髓组织SOD及MDA含量
(
±s) 组别
n
, 百拇医药
SOD(mg/g)
MDA(nmol/g)
A
4
70.41±4.98
177.61± 6.44
B
4
72.27±1.66①
157.56± 5.96①
C
4
, http://www.100md.com
57.03±3.58
221.55±16.41
D
4
57.06±8.62②
198.52±59.05②
注:①与A组比较P<0.05,②与C组比较P>0.05



, 百拇医药
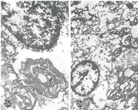
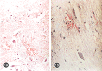
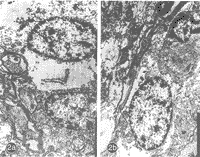
图1a 5min对照组(A组):灰质小片状出血(HE×462) 图1b 5min 654-2实验组(B组):灰质小片状出血较对照组轻(HE×462) 图1c 10min对照组(C组):神经元固缩、溶解,大片出血灶(HE×200) 图1d 10min 654-2实验组(D组):白质内大片出血灶(HE×200) 图2a A组:线粒体、内质网肿胀,髓鞘板层轻度分离(×10000) 图2b B组:线粒体肿胀,内质网扩张,神经纤维轻微水肿(×10000) 图2c C组:神经元重度肿胀,大部分线粒体及内质网消失,核膜及胞膜结构不清,核固缩(×10000) 图2d D组:神经元重度肿胀,部分线粒体、内质网破裂,神经纤维水肿(×9000) 图3a A组:微血管不同程度环状狭窄,粗细不均,充盈差(×100) 图3b B组:微血管走行自然,无明显狭窄(×600) 图3c C组:微血管密度低,破裂出血(×200) 图3d D组:微血管密度较低,粗细不均,亦可见破裂(×600)
2.4 组织形态学
, http://www.100md.com
2.4.1 光镜 A组脊髓水肿、散在小出血点, 表1 动物后肢Tarlov评分及Molt斜板功能障碍率神经元、神经纤维轻度变性((图1a,插Ⅳ);B组脊髓轻度水肿及神经元变性(图1b,插Ⅳ)。C组脊髓水肿严重,神经元变性坏死、灰质内可见大片出血(图1c,插Ⅳ);D组脊髓组织改变轻于C组(图1d,插Ⅳ)。
2.4.2 透射电镜 A组神经元及神经纤维间隙增宽,髓鞘有分层及松解。内质网扩张(图2a,插Ⅳ);B组神经元及神经纤维间隙增宽不明显,神经元线粒体形态基本正常(图2b,插Ⅳ)。C组核固缩,血管内皮细胞基底膜破裂(图2c,插Ⅳ);D组亚细胞结构改变较C组轻(图2d,插Ⅳ)。
2.4.3 扫描电镜 A组脊髓内外小动脉不同程度环状狭窄、过度迂曲,但连续性存在(图3a,插Ⅳ)。B组微血管迂曲、环状狭窄现象轻于A组(图3b,插Ⅳ)。C组脊髓微血管走行僵直、粗细极度不均、微血管有断裂或撕裂、铸型剂外溢(3c,插Ⅳ);D组微血管密度较高,粗细不均,呈灶性或小片状破裂出血(图3d,插Ⅳ)。
, 百拇医药
2.5 体视学
脊髓前角灰质神经元体积密度(Vv)及100μm-2白质范围有髓神经纤维(根/100μm-2)结果见表3。二项指标显示实验组高于对照组,但统计学处理无显著性差异(P>0.05)。
表3 脊髓前角灰质神经元体积密度及100μm-2白质范围脊髓神经纤维数
(
±s) 组别
n
脊髓前角灰质神经元
密度(Vv%)
脊髓神经纤维
, 百拇医药
(根/100μm-2)
A
6
9.71±3.30
13.41±1.70
B
6
10.20±4.34①
14.13±2.21①
C
6
2.85±1.21
, http://www.100md.com
6.32±1.91
D
6
3.10±2.43②
6.81±2.31②
注:①与A组比较P>0.05,②与C组比较P>0.05
3 讨论
目前牵张性脊髓损伤已成为临床上一种常见的脊髓损伤类型。许多研究表明〔3、6〕,随着脊柱撑开脊髓灰白质血流呈进行性下降。脊髓血供受到影响,产生脊髓功能障碍。其主要发病机理是脊髓微血管痉挛而致脊髓缺血,如何预防尚无有效方法。
654-2为一种抗胆碱药,具有较好的平滑肌解痉作用,可使小动脉及微动脉松弛,改善组织微循环。已有的研究表明,654-2能减轻脊髓损伤后微血管平滑肌的痉挛。改善脊髓微循环灌注,缓解神经元缺血缺氧。同时亦能保护脊髓白质,促进脊髓功能恢复〔7、8〕。通过抑制阴离子基团的生成,减轻自由基所介导的继发性病理损害〔9〕。我们在实验中发现。用654-2 5min组(B组)的CSEP伤后恢复时间与A组相比有显著性差异;其MDA含量低于A组,SOD含量高于A组,差异有显著性。该实验动物后肢功能恢复优于A组。组织形态学观察表明在654-2 5min组的脊髓内微血管无明显狭窄,血管密度无下降,血管管径基本一致,组织形态改变均较A组轻。表明654-2能减轻牵张性脊髓损伤后微血管平滑肌痉挛,从而改变脊髓组织微循环灌注,缓解脊髓灰白质缺血、缺氧程度,抑制脊髓继发病理损害,促进脊髓CSEP恢复,对早期牵张性脊髓损伤有一定的预防作用。
, 百拇医药
本研究发现,10min实验组除脊髓损伤后CSEP的恢复明显优于D组外,在脊髓组织生化测定、病理形态改变以及动物后肢功能恢复方面虽然较D组好,但统计学处理均无显著性差异。表明654-2对较重的牵张性脊髓损伤预防治疗作用较弱。
△ 本课题受国家自然科学基金资助
4 参考文献
1 Wiber RG.Post-operative Neurological deficits is Segmental Spinal Instrumentation.J Bone Joint Surg,1984,66A:1178.
2 Scoliosis Research Society:Morbidity Reports Read at the Annual of Meeting of the Scoliosis Research Society.Vanocurer,British Columbia,Sept.1-19,1897;Baltimore,Maltimore,Maryland,Sept.29-oct,2,1988.
, http://www.100md.com
3 宋跃明,毛方敏,罗祖明,等.兔牵张性脊髓损伤的病理形态学改变.中华骨科杂志,1997,17(5):304.
4 毛方敏,宋跃明,池永龙.牵张性脊髓损伤脊髓SCEP监护作用的实验研究.中国脊柱脊髓杂志,1998,8(2):83.
5 杨正伟.实用生物体视学.四川省解剖.体视、法医、口腔学会,1991,10-15,64-70.
6 修瑞娟.山莨菪碱对微血管自主节律性运动的效用.中国医学科学院报,1984,6:56.
7 苗福麟.654-2治疗早期脊髓损伤的实验研究.中华骨科杂志,1990,10(3):27.
8 Svenner Holm L.Gangliosides:A new therapeutio agent against storke and alzheimer′s disease.Life-Sci,1994,55:2125.
9 Panter SS,Faden AI.Alteration in Extracellular Amino Acid after Traumatic Spinal Cord Injury.Ann Neurol,1990,27(1):96.
收稿日期:1998-04-14 修回日期:1999-03-22, 百拇医药
单位:华西医科大学附一院骨科 610041 四川省成都市
关键词:脊髓;牵张性损伤;山莨菪碱
中国脊柱脊髓杂志990409 摘要 目的:探讨山莨菪碱(654-2)对牵张性脊髓损伤的防治效果。方法:日本大耳白兔48只,随机分为对照组、实验组。实验组于伤前12、8、4h各肌注654-2 1mg/kg;伤后15min开始每1h静脉滴注654-2 0.3mg/kg,持续5h,此后每间隔4h肌注654-2 1mg/kg到2d。对照组用等量体积的生理盐水替代654-2。采用脊髓功能监护、形态学、脊髓组织生化测定、运动功能评定等方法评定654-2对牵张性脊髓损伤的防治作用。结果:实验组动物伤后8h运动功能障碍率低于对照组,丙二醛(MDA)含量低于对照组,过氧化物岐化酶(SOD)含量高于对照组(P<0.05);神经元及神经纤维变性、坏死,灰质出血范围轻于对照组。结论:伤前应用654-2能保护脊髓微血管,抑制脊髓继发病理损害,促进脊髓功能恢复。
, 百拇医药
Experimental study on effect of anisodamine for traction injury of spinal cord in rabbit
SONG Yueming YANG Zhiming LEI Ji
Chinese Journal of Spine and Spinal Cord,1999,9(4):208~211
Abstract Objective:In order to study on effect of anisodamine(654-2) for treating and preventing traction injury of spinal cord.Method:48 rabbits were randomly divided into 4 groups (A,B,C,D).According to decreasing amount of amplitude of P1-wave to 50% 5min, 50% 10min as control groups and with 654-2 injected before and after injury at various intervals as experimental groups.The function of spinal cord was assessed,the amount of MDA and SOD of spinal tissue were determined,and pathomorphological changes of spinal cord were observed.Result:In experimental groups,rate of disfunction of spinal cord were lower than the control groups after SCI.SOD of spinal cord in creased and MDA decreased.Degeneration and necrosis of spinal cord which was caused by the spasm and bleeding was milder than the control groups.Conclusion:Application of 654-2 can prevent traction injury of spinal cord before operation.It can relieve the secondary pathological damage and promote a recovery of function of spinal cord.
, 百拇医药
Author′s address Department of Orthopedic Surgery,1st University Hospital,West China University of Medical Science,Chengdu,610041
Key Words Spinal cord Traction injury Anisodamine
1923年Pierson报告在婴儿臀位分娩过程中,过度牵拉脊柱可致脊髓损伤(Spinal cord injury,SCI)。随后进一步研究发现,与骨骼牵拉相关的脊柱骨折治疗、内固定器矫正脊柱畸形等都可并发牵张性SCI,其发生率为1%~17%〔1、2〕,而外伤所致的牵张性SCI难以统计。可见牵张性SCI是一种常见的SCI类型。为此,我们在研究脊髓牵张性损伤的病理学改变及皮质体感诱发电位(somatosensory cortical evoked potential,CSEP)变化规律的基础上〔3、4〕,就山莨菪碱(654-2)对牵张性SCI防治作用进行研究,报道如下。
, 百拇医药
1 材料与方法
1.1 动物分组与模型建立
4~5月龄健康日本大耳白兔48只,体重1.8~2.3 kg,随机分为对照组(A、C组)和实验组(B、D组)。B、D组伤前12、8、4h各肌注654-2 1mg/kg;A、C组给予等量体积的生理盐水。1.5%戊巴比妥钠30~45mg/kg腹腔注射麻醉。俯卧位固定,四道多功能生理监测呼吸、心率、血压。消毒铺巾后在脊柱T10~L6作正中切口,剥离椎旁肌,显露T10~L6脊椎附件及椎体两侧,撑开器夹臂固定于T12、L5椎体并撑开,每次撑开2.5mm,30s内完成,间隔5min,直至CSEP的P波幅下降50%后分别持续5min(A、B组)、10min(C、D组)〔3、4〕。B、D组伤后15min开始每1h静滴654-2 0.3mg/kg,持续5h后每间隔4h肌注1mg/kg至2d;A、C组给予等量体积的生理盐水。
, http://www.100md.com
1.2 CSEP监测
右下肢胫神经相应皮肤表面放置刺激电极,同侧大腿根部放置接地电极,记录电极置于冠状缝后2mm、矢状缝向左旁开3mm皮下,参考电极置于左侧颞肌上。在麻醉后固定撑开器,每次撑开2.5mm直至SCEP P1波下降50%,并持续预定时间,取出撑开器后30min、1、2、3、4、5h;1、2、3、7、14d分别观察CSEP变化。
1.3 运动功能评价
用Tarlov评分和Molt斜板实验盲法测定伤后8h至14d内动物后肢运动功能。
1.4 脊髓组织生化测定
术后8h完成运动功能测定后,随机取4只动物处死并切取L1节段脊髓,用冰生理盐水洗去残血,迅速存入-80℃冰箱,以备测定脊髓组织内过氧化物岐化酶(Superoxide dissmutas,SOD)和丙二醛(Malonyldialdehyde,MDA)含量。
, 百拇医药
1.5 组织形态学
将取出脊髓组织用10%福尔马林固定,酒精脱水,氯仿透明,石蜡包埋,切片后HE染色光镜观察。将取出的脊髓组织用3%戊二醛固定7d,经磷酸缓冲液冲洗,10%锇酸固定,丙酮梯度脱水,环氧树脂包埋。超薄切片,透射电镜观察。各组随机取2只动物在撑开状态下行主动脉插管,在13.3 kPa压力下树脂灌注,对脊髓微血管铸型。55℃水浴硬化,40%氢氧化钠腐蚀标本,并用蒸馏水清洗,显微解剖和修剪铸型样品,金属喷镀后扫描电镜观察。
1.6 体视学检查
用脊髓前角灰质神经元体积密度(Vv)和100μm-2白质范围内的有髓神经纤维数作为评价指标,按体视学原则和方法在40倍光镜下观察〔5〕。
1.7 统计学分析
, 百拇医药 采用SPSS/PC+OV3.10软件包(SPSS,INC,CHINCAGO,ILLIONOIS,USA)。结果以均数±标准差表示(
2 结果
2.1 SCEP变化
A组伤后8h半数动物P1波幅恢复至伤前水平,余下动物7d时可完全恢复;B组伤后5h半数动物P1波完全恢复,1d时4/6的动物P1波恢复至伤前水平,3d所有动物P1波完全恢复。实验组在伤后5h、3d时P1波幅值高于对照组,统计学处理差异有显著性(P<0.05)。
C组伤后P1波幅呈持续降低的趋势,5/6的动物在伤后14d时P1波幅恢复不及伤前40%;D组动物后P1波亦有下降趋势,但伤后14d时3/4的动物P1波幅恢复至伤前60%水平,与C组相比差异有显著性(P<0.05)。
, http://www.100md.com
2.2 运动功能评价
伤后8h时对运动功能评定。为排除麻醉和手术本身的干扰,我们采用Tarlov评分障碍率和Molt斜板障碍率来评价动物后肢运动功能变化。按下列公式计算:
结果见表1。两种障碍率实验组均低于对照组,但统计学处理差异无显著性(P>0.05)。
2.3 脊髓组织生化测定
实验组MDA含量低于对照组,SOD活性高于对照组(表2)。
表 1 动物后肢Tarlov评分及Molt斜板功能障碍率
(
, 百拇医药
n
Tarlov评分
Molt斜板功能
A
6
16.31± 7.42
11.91± 5.43
B
6
11.25±11.26①
10.47± 3.05①
C
, 百拇医药
6
57.53±23.12
46.72±16.14
D
6
56.7 ±17.3②
48.47±16.15②
注:①与A组比较P<0.05,②与C组比较P>0.05表2 脊髓组织SOD及MDA含量
(
n
, 百拇医药
SOD(mg/g)
MDA(nmol/g)
A
4
70.41±4.98
177.61± 6.44
B
4
72.27±1.66①
157.56± 5.96①
C
4
, http://www.100md.com
57.03±3.58
221.55±16.41
D
4
57.06±8.62②
198.52±59.05②
注:①与A组比较P<0.05,②与C组比较P>0.05
, 百拇医药
图1a 5min对照组(A组):灰质小片状出血(HE×462) 图1b 5min 654-2实验组(B组):灰质小片状出血较对照组轻(HE×462) 图1c 10min对照组(C组):神经元固缩、溶解,大片出血灶(HE×200) 图1d 10min 654-2实验组(D组):白质内大片出血灶(HE×200) 图2a A组:线粒体、内质网肿胀,髓鞘板层轻度分离(×10000) 图2b B组:线粒体肿胀,内质网扩张,神经纤维轻微水肿(×10000) 图2c C组:神经元重度肿胀,大部分线粒体及内质网消失,核膜及胞膜结构不清,核固缩(×10000) 图2d D组:神经元重度肿胀,部分线粒体、内质网破裂,神经纤维水肿(×9000) 图3a A组:微血管不同程度环状狭窄,粗细不均,充盈差(×100) 图3b B组:微血管走行自然,无明显狭窄(×600) 图3c C组:微血管密度低,破裂出血(×200) 图3d D组:微血管密度较低,粗细不均,亦可见破裂(×600)
2.4 组织形态学
, http://www.100md.com
2.4.1 光镜 A组脊髓水肿、散在小出血点, 表1 动物后肢Tarlov评分及Molt斜板功能障碍率神经元、神经纤维轻度变性((图1a,插Ⅳ);B组脊髓轻度水肿及神经元变性(图1b,插Ⅳ)。C组脊髓水肿严重,神经元变性坏死、灰质内可见大片出血(图1c,插Ⅳ);D组脊髓组织改变轻于C组(图1d,插Ⅳ)。
2.4.2 透射电镜 A组神经元及神经纤维间隙增宽,髓鞘有分层及松解。内质网扩张(图2a,插Ⅳ);B组神经元及神经纤维间隙增宽不明显,神经元线粒体形态基本正常(图2b,插Ⅳ)。C组核固缩,血管内皮细胞基底膜破裂(图2c,插Ⅳ);D组亚细胞结构改变较C组轻(图2d,插Ⅳ)。
2.4.3 扫描电镜 A组脊髓内外小动脉不同程度环状狭窄、过度迂曲,但连续性存在(图3a,插Ⅳ)。B组微血管迂曲、环状狭窄现象轻于A组(图3b,插Ⅳ)。C组脊髓微血管走行僵直、粗细极度不均、微血管有断裂或撕裂、铸型剂外溢(3c,插Ⅳ);D组微血管密度较高,粗细不均,呈灶性或小片状破裂出血(图3d,插Ⅳ)。
, 百拇医药
2.5 体视学
脊髓前角灰质神经元体积密度(Vv)及100μm-2白质范围有髓神经纤维(根/100μm-2)结果见表3。二项指标显示实验组高于对照组,但统计学处理无显著性差异(P>0.05)。
表3 脊髓前角灰质神经元体积密度及100μm-2白质范围脊髓神经纤维数
(
n
脊髓前角灰质神经元
密度(Vv%)
脊髓神经纤维
, 百拇医药
(根/100μm-2)
A
6
9.71±3.30
13.41±1.70
B
6
10.20±4.34①
14.13±2.21①
C
6
2.85±1.21
, http://www.100md.com
6.32±1.91
D
6
3.10±2.43②
6.81±2.31②
注:①与A组比较P>0.05,②与C组比较P>0.05
3 讨论
目前牵张性脊髓损伤已成为临床上一种常见的脊髓损伤类型。许多研究表明〔3、6〕,随着脊柱撑开脊髓灰白质血流呈进行性下降。脊髓血供受到影响,产生脊髓功能障碍。其主要发病机理是脊髓微血管痉挛而致脊髓缺血,如何预防尚无有效方法。
654-2为一种抗胆碱药,具有较好的平滑肌解痉作用,可使小动脉及微动脉松弛,改善组织微循环。已有的研究表明,654-2能减轻脊髓损伤后微血管平滑肌的痉挛。改善脊髓微循环灌注,缓解神经元缺血缺氧。同时亦能保护脊髓白质,促进脊髓功能恢复〔7、8〕。通过抑制阴离子基团的生成,减轻自由基所介导的继发性病理损害〔9〕。我们在实验中发现。用654-2 5min组(B组)的CSEP伤后恢复时间与A组相比有显著性差异;其MDA含量低于A组,SOD含量高于A组,差异有显著性。该实验动物后肢功能恢复优于A组。组织形态学观察表明在654-2 5min组的脊髓内微血管无明显狭窄,血管密度无下降,血管管径基本一致,组织形态改变均较A组轻。表明654-2能减轻牵张性脊髓损伤后微血管平滑肌痉挛,从而改变脊髓组织微循环灌注,缓解脊髓灰白质缺血、缺氧程度,抑制脊髓继发病理损害,促进脊髓CSEP恢复,对早期牵张性脊髓损伤有一定的预防作用。
, 百拇医药
本研究发现,10min实验组除脊髓损伤后CSEP的恢复明显优于D组外,在脊髓组织生化测定、病理形态改变以及动物后肢功能恢复方面虽然较D组好,但统计学处理均无显著性差异。表明654-2对较重的牵张性脊髓损伤预防治疗作用较弱。
△ 本课题受国家自然科学基金资助
4 参考文献
1 Wiber RG.Post-operative Neurological deficits is Segmental Spinal Instrumentation.J Bone Joint Surg,1984,66A:1178.
2 Scoliosis Research Society:Morbidity Reports Read at the Annual of Meeting of the Scoliosis Research Society.Vanocurer,British Columbia,Sept.1-19,1897;Baltimore,Maltimore,Maryland,Sept.29-oct,2,1988.
, http://www.100md.com
3 宋跃明,毛方敏,罗祖明,等.兔牵张性脊髓损伤的病理形态学改变.中华骨科杂志,1997,17(5):304.
4 毛方敏,宋跃明,池永龙.牵张性脊髓损伤脊髓SCEP监护作用的实验研究.中国脊柱脊髓杂志,1998,8(2):83.
5 杨正伟.实用生物体视学.四川省解剖.体视、法医、口腔学会,1991,10-15,64-70.
6 修瑞娟.山莨菪碱对微血管自主节律性运动的效用.中国医学科学院报,1984,6:56.
7 苗福麟.654-2治疗早期脊髓损伤的实验研究.中华骨科杂志,1990,10(3):27.
8 Svenner Holm L.Gangliosides:A new therapeutio agent against storke and alzheimer′s disease.Life-Sci,1994,55:2125.
9 Panter SS,Faden AI.Alteration in Extracellular Amino Acid after Traumatic Spinal Cord Injury.Ann Neurol,1990,27(1):96.
收稿日期:1998-04-14 修回日期:1999-03-22, 百拇医药